JavaScript is disabled in your browser. Please enable JavaScript to view this website.
AB212682

Anti-p75 NGF Receptor antibody [NGFR5] - BSA and Azide free

Be the first to review this product! Submit a review

|

(1 Publication)

Mouse Monoclonal p75 NGF Receptor antibody. Carrier free. Suitable for IHC-P and reacts with Human samples. Cited in 1 publication. Immunogen corresponding to Cell preparation containing NGFR protein.

View Alternative Names

CD271, TNFRSF16, NGFR, Tumor necrosis factor receptor superfamily member 16, Gp80-LNGFR, Low affinity neurotrophin receptor p75NTR, Low-affinity nerve growth factor receptor, Low-affinity nerve growth factor receptor p75NGFR, Low-affinity nerve growth factor receptor p75NGR, p75 ICD, NGF receptor

1 Images
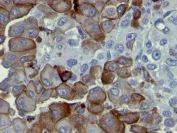
Immunohistochemistry (Formalin/PFA-fixed paraffin-embedded sections) - Anti-p75 NGF Receptor antibody [NGFR5] - BSA and Azide free (AB212682)
  • IHC-P

Supplier Data

Immunohistochemistry (Formalin/PFA-fixed paraffin-embedded sections) - Anti-p75 NGF Receptor antibody [NGFR5] - BSA and Azide free (AB212682)

Immunohistochemical analysis of formalin-fixed, paraffin-embedded Human melanoma tissue section labeling p75 NGF Receptor with ab212682 at 1 μg/mL.

  • Unconjugated

    Anti-p75 NGF Receptor antibody [NGFR5]

  • 778 PE/Cy7®

    PE/Cy7® Anti-p75 NGF Receptor antibody [NGFR5]

  • 578 PE

    PE Anti-p75 NGF Receptor antibody [NGFR5]

  • 660 APC

    APC Anti-p75 NGF Receptor antibody [NGFR5]

  • 695 PerCP/Cy5.5®

    PerCP/Cy5.5® Anti-p75 NGF Receptor antibody [NGFR5]

Key facts

Host species

Mouse

Clonality

Monoclonal

Clone number

NGFR5

Isotype

IgG1

Light chain type

kappa

Carrier free

Yes

Reacts with

Human

Applications

IHC-P

applications

Immunogen

Cell preparation containing NGFR protein. The exact immunogen used to generate this antibody is proprietary information.

P08138

Epitope

Epitope spans aa 1-160 of the extracellular domain of NGFR/NTR.

Reactivity data

{ "title": "Reactivity Data", "filters": { "stats": ["", "Species", "Dilution Info", "Notes"], "tabs": { "all-applications": {"fullname" : "All Applications", "shortname": "All Applications"}, "IHCP" : {"fullname" : "Immunohistochemistry (Formalin/PFA-fixed paraffin-embedded sections)", "shortname":"IHC-P"} }, "product-promise": { "all": "all", "testedAndGuaranteed": "tested", "guaranteed": "expected", "predicted": "predicted", "notRecommended": "not-recommended" } }, "values": { "Human": { "IHCP-species-checked": "testedAndGuaranteed", "IHCP-species-dilution-info": "0.5-1 µg/mL", "IHCP-species-notes": "<p>for 30 minutes at room temperature.</p> Perform heat-mediated antigen retrieval with citrate buffer pH 6 before commencing with IHC staining protocol." }, "Mouse": { "IHCP-species-checked": "notRecommended", "IHCP-species-dilution-info": "0.5-1 µg/mL", "IHCP-species-notes": "<p>for 30 minutes at room temperature.</p> Perform heat-mediated antigen retrieval with citrate buffer pH 6 before commencing with IHC staining protocol." }, "Rat": { "IHCP-species-checked": "notRecommended", "IHCP-species-dilution-info": "0.5-1 µg/mL", "IHCP-species-notes": "<p>for 30 minutes at room temperature.</p> Perform heat-mediated antigen retrieval with citrate buffer pH 6 before commencing with IHC staining protocol." } } }

Properties and storage information

Form
Liquid
Purification technique
Affinity purification Protein G
Purification notes
Purified from bioreactor concentrate.
Storage buffer
pH: 7.2 - 7.4 Constituents: PBS
Shipped at conditions
Blue Ice
Appropriate short-term storage duration
1-2 weeks
Appropriate short-term storage conditions
+4°C
Appropriate long-term storage conditions
-20°C
Aliquoting information
Upon delivery aliquot
Storage information
Avoid freeze / thaw cycle

Supplementary information

This supplementary information is collated from multiple sources and compiled automatically.

The p75 NGF receptor also known as p75 NGFR or anti-NTR is a transmembrane protein with a molecular mass of approximately 75 kDa. It is a member of the tumor necrosis factor receptor superfamily. This receptor is widely expressed in the nervous system particularly in neurons glial cells and Schwann cells. The p75 receptor primarily binds to neurotrophins such as nerve growth factor (NGF) influencing neuronal survival apoptosis and growth.
Biological function summary

The p75 receptor functions as an important part of a signaling complex that mediates diverse cellular responses. It often forms complexes with other receptors like TrkA but can also signal independently. In particular the p75 protein can form a biological chimera with different co-receptors influencing its downstream effects. This makes it significant in processes like apoptosis and neuronal differentiation as well as influencing neurotrophin-mediated signaling.

Pathways

The p75 receptor plays an important role in pathways involving neuronal survival and apoptosis. One key pathway involves the nerve growth factor (NGF) signaling pathway where p75 collaborates with Trk receptors enhancing or inhibiting NGF signaling based on cellular context. Another pathway is the JNK signaling pathway where the p75 receptor interacts with proteins like sortilin contributing to apoptosis and stress responses in neurons. These interactions determine the outcome of neurotrophic signaling highlighting its role in cell fate decisions.

P75 receptor is associated with several neurodegenerative conditions and cancers. Its involvement in Alzheimer's disease is significant because altered p75 expression and function can contribute to neurodegeneration through apoptosis pathways. This receptor is also linked to glioblastoma where it might promote tumor progression in coordination with proteins such as sortilin. These links make p75 receptor a target of interest for therapeutic intervention in these diseases.

Product protocols

For this product, it's our understanding that no specific protocols are required. You can visit:

Target data

Low affinity receptor which can bind to NGF, BDNF, NTF3, and NTF4. Forms a heterodimeric receptor with SORCS2 that binds the precursor forms of NGF, BDNF and NTF3 with high affinity, and has much lower affinity for mature NGF and BDNF (PubMed : 24908487). Plays an important role in differentiation and survival of specific neuronal populations during development (By similarity). Can mediate cell survival as well as cell death of neural cells. Plays a role in the inactivation of RHOA (PubMed : 26646181). Plays a role in the regulation of the translocation of GLUT4 to the cell surface in adipocytes and skeletal muscle cells in response to insulin, probably by regulating RAB31 activity, and thereby contributes to the regulation of insulin-dependent glucose uptake (By similarity). Necessary for the circadian oscillation of the clock genes BMAL1, PER1, PER2 and NR1D1 in the suprachiasmatic nucleus (SCmgetaN) of the brain and in liver and of the genes involved in glucose and lipid metabolism in the liver (PubMed : 23785138).
See full target information NGFR

Publications (1)

Recent publications for all applications. Explore the full list and refine your search

Molecular cell 72:99-111.e5 PubMed30220559

2018

Box C/D snoRNP Autoregulation by a cis-Acting snoRNA in the NOP56 Pre-mRNA.

Applications

Unspecified application

Species

Unspecified reactive species

Søren Lykke-Andersen,Britt Kidmose Ardal,Anne Kruse Hollensen,Christian Kroun Damgaard,Torben Heick Jensen
View all publications

Product promise

We are committed to supporting your work with high-quality reagents, and we're here for you every step of the way. In the unlikely event that one of our products does not perform as expected, you're protected by our Product Promise.
For full details, please see our Terms & Conditions

Please note: All products are 'FOR RESEARCH USE ONLY. NOT FOR USE IN DIAGNOSTIC OR THERAPEUTIC PROCEDURES'.

For licensing inquiries, please contact partnerships@abcam.com