JavaScript is disabled in your browser. Please enable JavaScript to view this website.
AB271300

Anti-p75 NGF Receptor antibody [NORI146C] - BSA and Azide free

5

(1 Review)

|

(0 Publication)

Rat Recombinant Monoclonal p75 NGF Receptor antibody. Carrier free. Suitable for WB, IHC-Fr, IHC-P and reacts with Mouse samples.

View Alternative Names

CD271, Tnfrsf16, Ngfr, Tumor necrosis factor receptor superfamily member 16, Low affinity neurotrophin receptor p75NTR, Low-affinity nerve growth factor receptor, Low-affinity nerve growth factor receptor p75NGFR, Low-affinity nerve growth factor receptor p75NGR, NGF receptor

4 Images
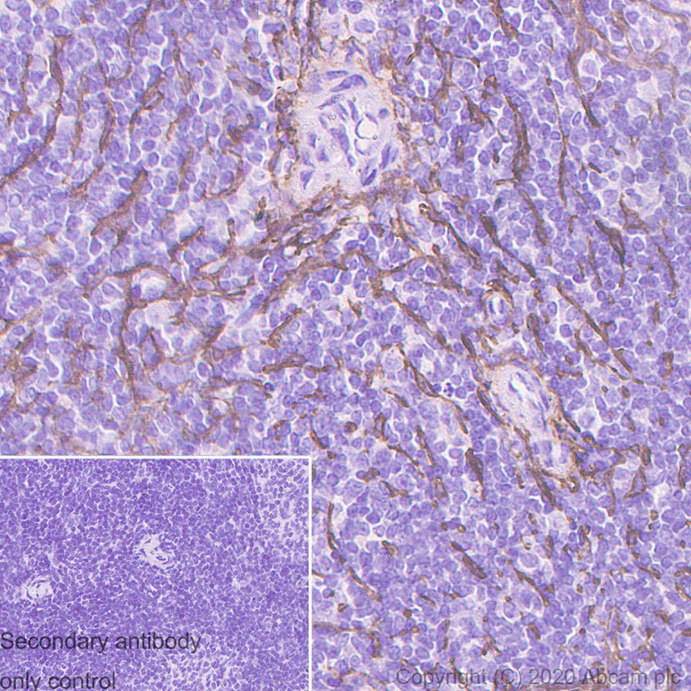
Immunohistochemistry (Formalin/PFA-fixed paraffin-embedded sections) - Anti-p75 NGF Receptor antibody [NORI146C] - BSA and Azide free (AB271300)
  • IHC-P

Unknown

Immunohistochemistry (Formalin/PFA-fixed paraffin-embedded sections) - Anti-p75 NGF Receptor antibody [NORI146C] - BSA and Azide free (AB271300)

Immunohistochemical analysis of paraffin-embedded mouse spleen tissue labeling CD271 with ab271290 at 1/1000 dilution (0.755μg/ml) followed by a ready to use Goat Anti-Rabbit IgG H&L (HRP). Positive staining on the mouse spleen. Counterstained with Hematoxylin.

Secondary antibody only control : Secondary antibody is a ready to use Goat Anti-Rabbit IgG H&L (HRP).

Heat mediated antigen retrieval using ab93684 (Tris/EDTA buffer, pH 9.0).

This data was developed using the same antibody clone in a different buffer formulation containing PBS, BSA, glycerol, and sodium azide (ab271290).

Immunohistochemistry (Frozen sections) - Anti-p75 NGF Receptor antibody [NORI146C] - BSA and Azide free (AB271300)
  • IHC-Fr

Unknown

Immunohistochemistry (Frozen sections) - Anti-p75 NGF Receptor antibody [NORI146C] - BSA and Azide free (AB271300)

Immunohistochemical analysis of 4% PFA-fixed, 0.2% Triton X-100 permeabilized frozen mouse spleen tissue labeling CD271 with ab271290 at 1/100 dilution followed by ab150157 Goat Anti-rat IgG H&L (Alexa Fluor® 488) at 1/1000 dilution (7.55μg/ml) (Green). Positive staining on mouse spleen is observed. The nuclear counterstain was DAPI (Blue).

Secondary antibody control : Secondary antibody is ab150157 Goat Anti-rat IgG H&L (Alexa Fluor® 488)at 1/1000 dilution.

Heat mediated antigen retrieval using sodium citrate buffer (10mM citrate pH 6.0 + 0.05% Tween-20).

This data was developed using the same antibody clone in a different buffer formulation containing PBS, BSA, glycerol, and sodium azide (ab271290).

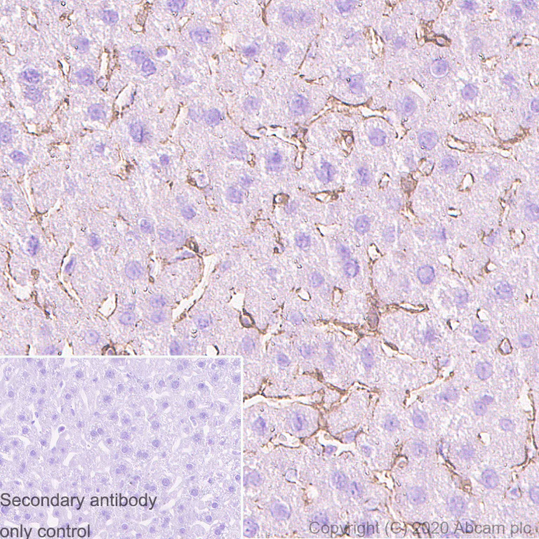
Immunohistochemistry (Formalin/PFA-fixed paraffin-embedded sections) - Anti-p75 NGF Receptor antibody [NORI146C] - BSA and Azide free (AB271300)
  • IHC-P

Unknown

Immunohistochemistry (Formalin/PFA-fixed paraffin-embedded sections) - Anti-p75 NGF Receptor antibody [NORI146C] - BSA and Azide free (AB271300)

Immunohistochemical analysis of paraffin-embedded mouse liver tissue labeling CD271 with ab271290 at 1/1000 dilution (0.755μg/ml) followed by a ready to use Goat Anti-Rabbit IgG H&L (HRP). Positive staining on the peri-sinusoidal space in the mouse liver. Counterstained with Hematoxylin.

Secondary antibody only control : Secondary antibody is a ready to use Goat Anti-Rabbit IgG H&L (HRP).

Heat mediated antigen retrieval using ab93684 (Tris/EDTA buffer, pH 9.0).

This data was developed using the same antibody clone in a different buffer formulation containing PBS, BSA, glycerol, and sodium azide (ab271290).

Western blot - Anti-p75 NGF Receptor antibody [NORI146C] - BSA and Azide free (AB271300)
  • WB

Lab

Western blot - Anti-p75 NGF Receptor antibody [NORI146C] - BSA and Azide free (AB271300)

Blocking/Dilution buffer : 5% NFDM/TBST.

This data was developed using the same antibody clone in a different buffer formulation containing PBS, BSA, glycerol, and sodium azide (ab271290).

All lanes:

Western blot - Anti-p75 NGF Receptor antibody [NORI146C] (<a href='/en-us/products/primary-antibodies/p75-ngf-receptor-antibody-nori146c-ab271290'>ab271290</a>) at 0.755 µg/mL

All lanes:

Neuro-2a (mouse neuroblastoma neuroblast), whole cell lysate at 20 µg

Secondary

All lanes:

Western blot - Goat Anti-Rat IgG H&L (HRP) (<a href='/en-us/products/secondary-antibodies/goat-rat-igg-h-l-hrp-ab205720'>ab205720</a>) at 1/10000 dilution

Predicted band size: 45 kDa

false

Exposure time: 59s

Key facts

Host species

Rat

Clonality

Monoclonal

Clone number

NORI146C

Isotype

IgG2a

Carrier free

Yes

Reacts with

Mouse

Applications

IHC-P, WB, IHC-Fr

applications

Immunogen

The exact immunogen used to generate this antibody is proprietary information.

Reactivity data

{ "title": "Reactivity Data", "filters": { "stats": ["", "Species", "Dilution Info", "Notes"], "tabs": { "all-applications": {"fullname" : "All Applications", "shortname": "All Applications"}, "WB" : {"fullname" : "Western blot", "shortname":"WB"}, "IHCFr" : {"fullname" : "Immunohistochemistry (Frozen sections)", "shortname":"IHC-Fr"}, "IHCP" : {"fullname" : "Immunohistochemistry (Formalin/PFA-fixed paraffin-embedded sections)", "shortname":"IHC-P"} }, "product-promise": { "all": "all", "testedAndGuaranteed": "tested", "guaranteed": "expected", "predicted": "predicted", "notRecommended": "not-recommended" } }, "values": { "Human": { "WB-species-checked": "notRecommended", "WB-species-dilution-info": "", "WB-species-notes": "", "IHCFr-species-checked": "notRecommended", "IHCFr-species-dilution-info": "", "IHCFr-species-notes": "", "IHCP-species-checked": "notRecommended", "IHCP-species-dilution-info": "", "IHCP-species-notes": "<p></p>" }, "Mouse": { "WB-species-checked": "testedAndGuaranteed", "WB-species-dilution-info": "", "WB-species-notes": "<p></p>", "IHCFr-species-checked": "testedAndGuaranteed", "IHCFr-species-dilution-info": "", "IHCFr-species-notes": "<p>Heat mediated antigen retrieval using sodium citrate buffer (10mM citrate pH 6.0 + 0.05% Tween-20).</p>", "IHCP-species-checked": "testedAndGuaranteed", "IHCP-species-dilution-info": "", "IHCP-species-notes": "<p></p>" }, "Rat": { "WB-species-checked": "notRecommended", "WB-species-dilution-info": "", "WB-species-notes": "<p></p>", "IHCFr-species-checked": "notRecommended", "IHCFr-species-dilution-info": "", "IHCFr-species-notes": "<p>Heat mediated antigen retrieval using sodium citrate buffer (10mM citrate pH 6.0 + 0.05% Tween-20).</p>", "IHCP-species-checked": "notRecommended", "IHCP-species-dilution-info": "", "IHCP-species-notes": "<p></p>" } } }

Product details

ab271300 is the carrier-free version of ab271290.

What are the advantages of a recombinant monoclonal antibody?
This product is a recombinant monoclonal antibody, which offers several advantages including:

  • - High batch-to-batch consistency and reproducibility
  • - Improved sensitivity and specificity
  • - Long-term security of supply
  • - Animal-free batch production

For more information, read more on recombinant antibodies.

Want a custom formulation?
This antibody clone is manufactured by Abcam. If you require a custom buffer formulation or conjugation for your experiments, please contact orders@abcam.com

Conjugation ready
Our carrier-free antibodies are typically supplied in a PBS-only formulation, purified and free of BSA, sodium azide and glycerol. This conjugation-ready format is designed for use with fluorochromes, metal isotopes, oligonucleotides, and enzymes, which makes them ideal for antibody labelling, functional and cell-based assays, flow-based assays (e.g. mass cytometry) and Multiplex Imaging applications.

Use our conjugation kits for antibody conjugates that are ready-to-use in as little as 20 minutes with 1 minute hands-on-time and 100% antibody recovery: available for fluorescent dyes, HRP, biotin and gold.

Compatibility
This product is compatible with the Maxpar® Antibody Labeling Kit from Fluidigm, without the need for antibody preparation. Maxpar® is a trademark of Fluidigm Canada Inc.

Properties and storage information

Form
Liquid
Purification technique
Affinity purification Protein A
Storage buffer
pH: 7.2 - 7.4 Constituents: PBS
Shipped at conditions
Blue Ice
Appropriate short-term storage conditions
+4°C
Appropriate long-term storage conditions
+4°C
Storage information
Do Not Freeze

Supplementary information

This supplementary information is collated from multiple sources and compiled automatically.

The p75 NGF receptor also known as p75 NGFR or anti-NTR is a transmembrane protein with a molecular mass of approximately 75 kDa. It is a member of the tumor necrosis factor receptor superfamily. This receptor is widely expressed in the nervous system particularly in neurons glial cells and Schwann cells. The p75 receptor primarily binds to neurotrophins such as nerve growth factor (NGF) influencing neuronal survival apoptosis and growth.
Biological function summary

The p75 receptor functions as an important part of a signaling complex that mediates diverse cellular responses. It often forms complexes with other receptors like TrkA but can also signal independently. In particular the p75 protein can form a biological chimera with different co-receptors influencing its downstream effects. This makes it significant in processes like apoptosis and neuronal differentiation as well as influencing neurotrophin-mediated signaling.

Pathways

The p75 receptor plays an important role in pathways involving neuronal survival and apoptosis. One key pathway involves the nerve growth factor (NGF) signaling pathway where p75 collaborates with Trk receptors enhancing or inhibiting NGF signaling based on cellular context. Another pathway is the JNK signaling pathway where the p75 receptor interacts with proteins like sortilin contributing to apoptosis and stress responses in neurons. These interactions determine the outcome of neurotrophic signaling highlighting its role in cell fate decisions.

P75 receptor is associated with several neurodegenerative conditions and cancers. Its involvement in Alzheimer's disease is significant because altered p75 expression and function can contribute to neurodegeneration through apoptosis pathways. This receptor is also linked to glioblastoma where it might promote tumor progression in coordination with proteins such as sortilin. These links make p75 receptor a target of interest for therapeutic intervention in these diseases.

Product protocols

For this product, it's our understanding that no specific protocols are required. You can visit:

Target data

Low affinity neurotrophin receptor which can bind to mature NGF, BDNF, NTF3, and NTF4 (PubMed : 11559852, PubMed : 1317267). Forms a heterodimeric receptor with SORCS2 that binds the precursor forms of NGF (proNGF), BDNF (proBDNF) and NTF3 (proNT3) with high affinity, and has much lower affinity for mature NGF and BDNF (PubMed : 22155786, PubMed : 24908487, PubMed : 27457814). Plays an important role in differentiation and survival of specific neuronal populations during development (PubMed : 11559852, PubMed : 1317267). Can mediate cell survival as well as cell death of neural cells (PubMed : 11559852, PubMed : 1317267, PubMed : 24908487). The heterodimeric receptor formed with SORCS2 plays a role in proBDNF-dependent synaptic plasticity, in hippocampal long term depression (LTD) and long term potentiation (LTP) (PubMed : 27457814). Plays a role in the inactivation of RHOA (By similarity). Plays a role in the regulation of the translocation of GLUT4 to the cell surface in adipocytes and skeletal muscle cells in response to insulin, probably by regulating RAB31 activity, and thereby contributes to the regulation of insulin-dependent glucose uptake (PubMed : 22460790). Necessary for the circadian oscillation of the clock genes BMAL1, PER1, PER2 and NR1D1 in the suprachiasmatic nucleus (SCN) of the brain and in liver and of the genes involved in glucose and lipid metabolism in the liver (PubMed : 23785138).. (Microbial infection) Cell surface receptor for rabies virus glycoprotein Gs.. Isoform 2. Does not bind NGF, BDNF, NTF3, and NTF4.
See full target information Ngfr

Product promise

We are committed to supporting your work with high-quality reagents, and we're here for you every step of the way. In the unlikely event that one of our products does not perform as expected, you're protected by our Product Promise.
For full details, please see our Terms & Conditions

Please note: All products are 'FOR RESEARCH USE ONLY. NOT FOR USE IN DIAGNOSTIC OR THERAPEUTIC PROCEDURES'.

For licensing inquiries, please contact partnerships@abcam.com