JavaScript is disabled in your browser. Please enable JavaScript to view this website.
AB181780

Anti-p95/NBS1 antibody [7E4C2]

Be the first to review this product! Submit a review

|

(1 Publication)

Knockout Tested Mouse Monoclonal p95/NBS1 antibody. Suitable for Flow Cyt, WB, IHC-P, ICC/IF and reacts with Human samples. Cited in 1 publication. Immunogen corresponding to Recombinant Fragment Protein within Human NBN aa 450-650.

View Alternative Names

NBS, NBS1, P95, NBN, Nibrin, Cell cycle regulatory protein p95, Nijmegen breakage syndrome protein 1, hNbs1

8 Images
Immunocytochemistry/ Immunofluorescence - Anti-p95/NBS1 antibody [7E4C2] (AB181780)
  • ICC/IF

Supplier Data

Immunocytochemistry/ Immunofluorescence - Anti-p95/NBS1 antibody [7E4C2] (AB181780)

Immunofluorescent analysis of HeLa cells labeling p95/NBS1 with ab181780 at 1/200 dilution (green). Blue : DRAQ5 fluorescent DNA dye. Red : Actin filaments have been labeled with Alexa Fluor-555 phalloidin.

Immunohistochemistry (Formalin/PFA-fixed paraffin-embedded sections) - Anti-p95/NBS1 antibody [7E4C2] (AB181780)
  • IHC-P

Supplier Data

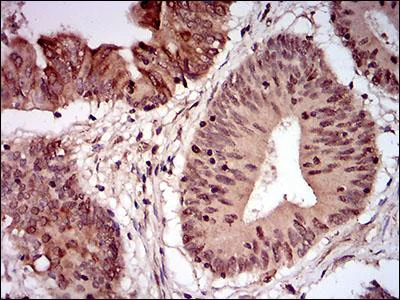
Immunohistochemistry (Formalin/PFA-fixed paraffin-embedded sections) - Anti-p95/NBS1 antibody [7E4C2] (AB181780)

Immunohistochemical analysis of paraffin-embedded Human colon cancer tissue labeling p95/NBS1 with ab181780 at 1/200 dilution followed by DAB staining.

Immunohistochemistry (Formalin/PFA-fixed paraffin-embedded sections) - Anti-p95/NBS1 antibody [7E4C2] (AB181780)
  • IHC-P

Supplier Data

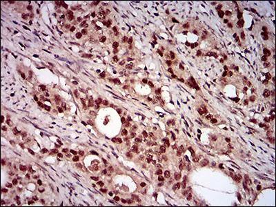
Immunohistochemistry (Formalin/PFA-fixed paraffin-embedded sections) - Anti-p95/NBS1 antibody [7E4C2] (AB181780)

Immunohistochemical analysis of paraffin-embedded Human cervical cancer tissue labeling p95/NBS1 with ab181780 at 1/200 dilution followed by DAB staining.

Flow Cytometry - Anti-p95/NBS1 antibody [7E4C2] (AB181780)
  • Flow Cyt

Supplier Data

Flow Cytometry - Anti-p95/NBS1 antibody [7E4C2] (AB181780)

Flow cytometric analysis of HeLa cells labeling p95/NBS1 with ab181780 at 1/200 dilution (green); negative control (red).

Western blot - Anti-p95/NBS1 antibody [7E4C2] (AB181780)
  • WB

Supplier Data

Western blot - Anti-p95/NBS1 antibody [7E4C2] (AB181780)

All lanes:

Western blot - Anti-p95/NBS1 antibody [7E4C2] (ab181780) at 1/500 dilution

All lanes:

Jurkat cell lysate

Predicted band size: 84 kDa

false

Western blot - Anti-p95/NBS1 antibody [7E4C2] (AB181780)
  • WB

Lab

Western blot - Anti-p95/NBS1 antibody [7E4C2] (AB181780)

False colour image of Western blot : Anti-p95/NBS1 antibody [7E4C2] staining at 1/500 dilution, shown in green; Rabbit Anti-GAPDH antibody [EPR16891] (ab181602) loading control staining at 1/20000 dilution, shown in red. In Western blot, ab181780 was shown to bind specifically to p95/NBS1. A band was observed at 95 kDa in wild-type A431 cell lysates with no signal observed at this size in NBN knockout cell line ab269506 (knockout cell lysate ab269668). To generate this image, wild-type and NBN knockout A431 cell lysates were analysed. First, samples were run on an SDS-PAGE gel then transferred onto a nitrocellulose membrane. Membranes were blocked in 3 % milk in TBS-0.1 % Tween® 20 (TBS-T) before incubation with primary antibodies overnight at 4°C. Blots were washed four times in TBS-T, incubated with secondary antibodies for 1 h at room temperature, washed again four times then imaged.Secondary antibodies used were Goat anti-Mouse IgG H&L (IRDye® 800CW) preabsorbed (ab216772) and Goat anti-Rabbit IgG H&L (IRDye® 680RD) preabsorbed (ab216777) at 1/20000 dilution.

All lanes:

Western blot - Anti-p95/NBS1 antibody [7E4C2] (ab181780) at 1/500 dilution

Lane 1:

Wild-type A431 cell lysate at 20 µg

Lane 2:

NBN knockout A431 cell lysate at 20 µg

Lane 2:

Western blot - Human NBN (p95/NBS1) knockout A-431 cell line (<a href='/en-us/products/cell-lines/human-nbn-p95-nbs1-knockout-a-431-cell-line-ab269506'>ab269506</a>)

Predicted band size: 84 kDa

Observed band size: 95 kDa

false

Western blot - Anti-p95/NBS1 antibody [7E4C2] (AB181780)
  • WB

Supplier Data

Western blot - Anti-p95/NBS1 antibody [7E4C2] (AB181780)

All lanes:

Western blot - Anti-p95/NBS1 antibody [7E4C2] (ab181780) at 1/500 dilution

All lanes:

Human p95/NBS1 recombinant protein (amino acids 467-615)

Predicted band size: 22 kDa,37 kDa,39 kDa,84 kDa

false

Western blot - Anti-p95/NBS1 antibody [7E4C2] (AB181780)
  • WB

Supplier Data

Western blot - Anti-p95/NBS1 antibody [7E4C2] (AB181780)

All lanes:

Western blot - Anti-p95/NBS1 antibody [7E4C2] (ab181780) at 1/500 dilution

Lane 1:

HEK293 cell lysate, non-transfected

Lane 2:

HEK293 cell lysate, transfected with p95/NBS1 (amino acids 467-615)-hIgGFc

Predicted band size: 84 kDa

false

Key facts

Host species

Mouse

Clonality

Monoclonal

Clone number

7E4C2

Isotype

IgG2a

Carrier free

No

Reacts with

Human

Applications

IHC-P, Flow Cyt, WB, ICC/IF

applications

Immunogen

Recombinant Fragment Protein within Human NBN aa 450-650. The exact immunogen used to generate this antibody is proprietary information.

O60934

Reactivity data

{ "title": "Reactivity Data", "filters": { "stats": ["", "Species", "Dilution Info", "Notes"], "tabs": { "all-applications": {"fullname" : "All Applications", "shortname": "All Applications"}, "FlowCyt" : {"fullname" : "Flow Cytometry", "shortname":"Flow Cyt"}, "WB" : {"fullname" : "Western blot", "shortname":"WB"}, "IHCP" : {"fullname" : "Immunohistochemistry (Formalin/PFA-fixed paraffin-embedded sections)", "shortname":"IHC-P"}, "ICCIF" : {"fullname" : "Immunocytochemistry/ Immunofluorescence", "shortname":"ICC/IF"} }, "product-promise": { "all": "all", "testedAndGuaranteed": "tested", "guaranteed": "expected", "predicted": "predicted", "notRecommended": "not-recommended" } }, "values": { "Human": { "FlowCyt-species-checked": "testedAndGuaranteed", "FlowCyt-species-dilution-info": "1/200 - 1/400", "FlowCyt-species-notes": "<p><a href='/en-us/products/primary-antibodies/mouse-igg2c-kappa-monoclonal-18c8bc7ad10-isotype-control-ab170191'>ab170191</a> - Mouse monoclonal IgG2a, is suitable for use as an isotype control with this antibody.</p>", "WB-species-checked": "testedAndGuaranteed", "WB-species-dilution-info": "1/500 - 1/2000", "WB-species-notes": "<p></p>", "IHCP-species-checked": "testedAndGuaranteed", "IHCP-species-dilution-info": "1/200 - 1/1000", "IHCP-species-notes": "<p></p>", "ICCIF-species-checked": "testedAndGuaranteed", "ICCIF-species-dilution-info": "1/200 - 1/1000", "ICCIF-species-notes": "<p></p>" } } }

Properties and storage information

Form
Liquid
Purification technique
Affinity purification Protein G
Purification notes
Purified from tissue culture supernatant.
Storage buffer
Preservative: 0.05% Sodium azide Constituents: PBS
Shipped at conditions
Blue Ice
Appropriate short-term storage duration
1-2 weeks
Appropriate short-term storage conditions
+4°C
Appropriate long-term storage conditions
-20°C
Aliquoting information
Upon delivery aliquot
Storage information
Avoid freeze / thaw cycle

Supplementary information

This supplementary information is collated from multiple sources and compiled automatically.

The target known as p95/NBS1 also referred to as NBN protein is a critical component in the DNA damage response mechanism. The full molecular weight of the NBS1 protein is approximately 95 kDa. This protein is abundantly expressed in various tissues particularly where there is a higher rate of cell division or repair such as in the thymus and testis. It plays an important role in maintaining the stability of the genome through its involvement in the repair of double-strand breaks.
Biological function summary

The NBS1 protein functions as an essential component of the MRN complex which also includes MRE11 and RAD50 proteins. This complex is fundamental in accurately detecting DNA double-strand breaks and initiating repair processes. Through its actions NBS1 facilitates numerous cellular processes that preserve genomic integrity such as homologous recombination and non-homologous end joining. Its influence in controlling the cell cycle further emphasizes its role in maintaining cellular health.

Pathways

The NBS1 protein engages significantly in the DNA damage response and repair pathways notably impacting the ATM signaling pathway. By interacting with proteins such as ATM kinase NBS1 facilitates the phosphorylation and activation of several downstream effectors necessary for DNA repair and cell cycle checkpoints. The MRN complex also links with the RAD50 protein highlighting its involvement in these pathways.

Mutations in the NBS1 gene are linked to Nijmegen breakage syndrome characterized by sensitivity to radiation immune deficiency and increased cancer risk. Additionally NBS1's role in pathways makes it pertinent to certain cancer pathologies where its malfunction can contribute to genomic instability. The NBN protein through its interaction with ATM and RAD50 assists in understanding its connection with predispositions to these diseases.

Product protocols

For this product, it's our understanding that no specific protocols are required. You can visit:

Target data

Component of the MRN complex, which plays a central role in double-strand break (DSB) repair, DNA recombination, maintenance of telomere integrity and meiosis (PubMed : 10888888, PubMed : 15616588, PubMed : 18411307, PubMed : 18583988, PubMed : 18678890, PubMed : 19759395, PubMed : 23115235, PubMed : 28216226, PubMed : 28867292, PubMed : 9705271). The MRN complex is involved in the repair of DNA double-strand breaks (DSBs) via homologous recombination (HR), an error-free mechanism which primarily occurs during S and G2 phases (PubMed : 19759395, PubMed : 28867292, PubMed : 9705271). The complex (1) mediates the end resection of damaged DNA, which generates proper single-stranded DNA, a key initial steps in HR, and is (2) required for the recruitment of other repair factors and efficient activation of ATM and ATR upon DNA damage (PubMed : 19759395, PubMed : 9705271). The MRN complex possesses single-strand endonuclease activity and double-strand-specific 3'-5' exonuclease activity, which are provided by MRE11, to initiate end resection, which is required for single-strand invasion and recombination (PubMed : 19759395, PubMed : 28867292, PubMed : 9705271). Within the MRN complex, NBN acts as a protein-protein adapter, which specifically recognizes and binds phosphorylated proteins, promoting their recruitment to DNA damage sites (PubMed : 12419185, PubMed : 15616588, PubMed : 18411307, PubMed : 18582474, PubMed : 18583988, PubMed : 18678890, PubMed : 19759395, PubMed : 19804756, PubMed : 23762398, PubMed : 24534091, PubMed : 27814491, PubMed : 27889449, PubMed : 33836577). Recruits MRE11 and RAD50 components of the MRN complex to DSBs in response to DNA damage (PubMed : 12419185, PubMed : 18411307, PubMed : 18583988, PubMed : 18678890, PubMed : 24534091, PubMed : 26438602). Promotes the recruitment of PI3/PI4-kinase family members ATM, ATR, and probably DNA-PKcs to the DNA damage sites, activating their functions (PubMed : 15064416, PubMed : 15616588, PubMed : 15790808, PubMed : 16622404, PubMed : 22464731, PubMed : 30952868, PubMed : 35076389). Mediates the recruitment of phosphorylated RBBP8/CtIP to DSBs, leading to cooperation between the MRN complex and RBBP8/CtIP to initiate end resection (PubMed : 19759395, PubMed : 27814491, PubMed : 27889449, PubMed : 33836577). RBBP8/CtIP specifically promotes the endonuclease activity of the MRN complex to clear DNA ends containing protein adducts (PubMed : 27814491, PubMed : 27889449, PubMed : 30787182, PubMed : 33836577). The MRN complex is also required for the processing of R-loops (PubMed : 31537797). NBN also functions in telomere length maintenance via its interaction with TERF2 : interaction with TERF2 during G1 phase preventing recruitment of DCLRE1B/Apollo to telomeres (PubMed : 10888888, PubMed : 28216226). NBN also promotes DNA repair choice at dysfunctional telomeres : NBN phosphorylation by CK2 promotes non-homologous end joining repair at telomeres, while unphosphorylated NBN promotes microhomology-mediated end-joining (MMEJ) repair (PubMed : 28216226). Enhances AKT1 phosphorylation possibly by association with the mTORC2 complex (PubMed : 23762398).
See full target information NBN

Publications (1)

Recent publications for all applications. Explore the full list and refine your search

Computational and mathematical methods in medicine 2021:4439505 PubMed34992672

2021

Downregulated Expression of miRNA-130a-5p Aggravates Hepatoma Progression via Targeting PTP4A2.

Applications

Unspecified application

Species

Unspecified reactive species

Longqing Shi,Fengbo Wang,Yue Zhang,Yue Yang,Zheng Qu,Donglin Sun
View all publications

Product promise

We are committed to supporting your work with high-quality reagents, and we're here for you every step of the way. In the unlikely event that one of our products does not perform as expected, you're protected by our Product Promise.
For full details, please see our Terms & Conditions

Please note: All products are 'FOR RESEARCH USE ONLY. NOT FOR USE IN DIAGNOSTIC OR THERAPEUTIC PROCEDURES'.

For licensing inquiries, please contact partnerships@abcam.com