JavaScript is disabled in your browser. Please enable JavaScript to view this website.
AB32074

Anti-p95/NBS1 antibody [Y112]

  • RabMAb
  • Recombinant
  • KO Validated
  • 20ul selling size
  • What is this?

4

(5 Reviews)

|

(36 Publications)

Rabbit Recombinant Monoclonal p95/NBS1 antibody. Suitable for IHC-P, WB and reacts with Human samples. Cited in 36 publications.

View Alternative Names

NBS, NBS1, P95, NBN, Nibrin, Cell cycle regulatory protein p95, Nijmegen breakage syndrome protein 1, hNbs1

7 Images
Immunohistochemistry (Formalin/PFA-fixed paraffin-embedded sections) - Anti-p95/NBS1 antibody [Y112] (AB32074)
  • IHC-P

Unknown

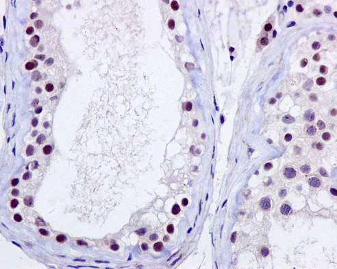
Immunohistochemistry (Formalin/PFA-fixed paraffin-embedded sections) - Anti-p95/NBS1 antibody [Y112] (AB32074)

Immunohistochemistry (Formalin/PFA-fixed paraffin-embedded sections) analysis of human testis tissue labelling p95/NBS1 with purified ab32074 at 1/200. Heat mediated antigen retrieval was performed using Tris/EDTA buffer pH 9. A prediluted HRP-polymer conjugated anti-rabbit IgG was used as the secondary antibody. Counterstained with hematoxylin.

Immunohistochemistry (Formalin/PFA-fixed paraffin-embedded sections) - Anti-p95/NBS1 antibody [Y112] (AB32074)
  • IHC-P

Unknown

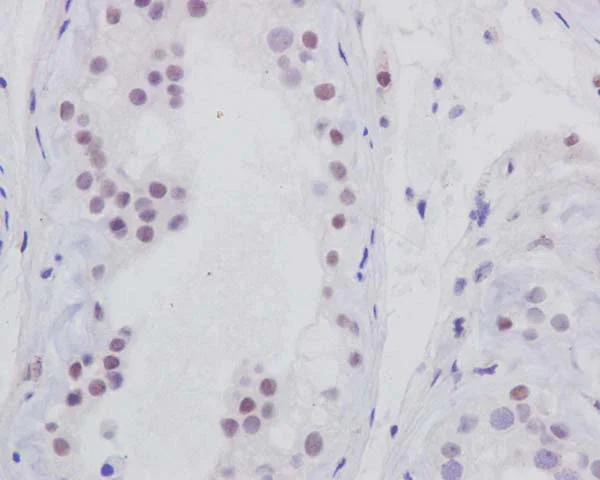
Immunohistochemistry (Formalin/PFA-fixed paraffin-embedded sections) - Anti-p95/NBS1 antibody [Y112] (AB32074)

Immunohistochemistry (Formalin/PFA-fixed paraffin-embedded sections) analysis of human testis tissue labelling p95/NBS1 with unpurified ab32074 at 1/20. Heat mediated antigen retrieval was performed using Tris/EDTA buffer pH 9. A prediluted HRP-polymer conjugated anti-rabbit IgG was used as the secondary antibody. Counterstained with hematoxylin.

Western blot - Anti-p95/NBS1 antibody [Y112] (AB32074)
  • WB

Lab

Western blot - Anti-p95/NBS1 antibody [Y112] (AB32074)

Lanes 1 - 2 : Merged signal (red and green). Green - ab32074 observed at 90 kDa. Red - loading control ab8245 (Mouse anti-GAPDH antibody [6C5]) observed at 37 kDa.

ab32074 was shown to react with p95/NBS1 in wild-type A431 cells in Western blot with loss of signal observed in NBN knockout cell line ab269506 (NBN knockout cell lysate ab269668). Wild-type A431 and NBN knockout cell lysates were subjected to SDS-PAGE. Membranes were blocked in 5 % milk in TBS-T (0.1 % Tween®) before incubation with ab32074 and ab8245 (Mouse anti-GAPDH antibody [6C5]) overnight at 4 °C at a 1 in 1000 dilution and a 1 in 20000 dilution respectively. Blots were incubated with Goat anti-Rabbit IgG H&L (IRDye® 800CW) preabsorbed (ab216773) and Goat anti-Mouse IgG H&L (IRDye® 680RD) preabsorbed (ab216776) secondary antibodies at 1 in 20000 dilution for 1 h at room temperature before imaging.

Lanes 1 - 2:

Western blot - Anti-p95/NBS1 antibody [Y112] (ab32074) at 1/1000 dilution

Lanes 1 - 3:

Western blot - Anti-p95/NBS1 antibody (<a href='/en-us/products/primary-antibodies/p95-nbs1-antibody-ab23996'>ab23996</a>) at 1/1000 dilution

Lane 1:

Wild-type A431 cell lysate at 20 µg

Lanes 2 - 3:

NBN knockout A431 cell lysate at 20 µg

Lane 2:

Western blot - Human NBN (p95/NBS1) knockout A-431 cell line (<a href='/en-us/products/cell-lines/human-nbn-p95-nbs1-knockout-a-431-cell-line-ab269506'>ab269506</a>)

Predicted band size: 84 kDa

Observed band size: 90 kDa,95 kDa

false

Western blot - Anti-p95/NBS1 antibody [Y112] (AB32074)
  • WB

Lab

Western blot - Anti-p95/NBS1 antibody [Y112] (AB32074)

Blocking buffer and concentration : 5% NFDM/TBST.

Diluting buffer and concentration : 5% NFDM /TBST.

All lanes:

Western blot - Anti-p95/NBS1 antibody [Y112] (ab32074) at 1/1200 dilution

Lane 1:

HeLa cell lysate at 20 µg

Lane 2:

Jurkat cell lysate at 20 µg

Secondary

All lanes:

Peroxidase-conjugated goat anti-rabbit IgG (H+L) at 1/1000 dilution

Predicted band size: 84 kDa

Observed band size: 95 kDa

false

Western blot - Anti-p95/NBS1 antibody [Y112] (AB32074)
  • WB

Lab

Western blot - Anti-p95/NBS1 antibody [Y112] (AB32074)

Lanes 1-3 : Merged signal (red and green). Green - ab32074 observed at 95 kDa.

ab32074 Anti-p95/NBS1 antibody [Y112] was shown to specifically react with p95/NBS1 in wild-type HeLa cells. Loss of signal was observed when knockout cell line ab261834 (knockout cell lysate ab257111) was used. Wild-type and p95/NBS1 knockout samples were subjected to SDS-PAGE. ab32074, Anti-GAPDH antibody [6C5] - Cytoplasmic Loading Control (ab8245) and Anti-Histone H3 (ab176842) - Nuclear Loading Control were incubated overnight at 4°C at 1 in 1000 dilution, 1 in 20000 dilution and 1 in 1000 dilution respectively. Blots were developed with Goat anti-Rabbit IgG H&L (IRDye® 800CW) preadsorbed (ab216773), Goat anti-Mouse IgG H&L (IRDye® 680RD) preadsorbed (ab216776) secondary antibodies and Goat anti-Rabbit IgG H&L (IRDye® 680RD) preadsorbed (ab216777) at 1 in 10000 dilution for 1 hour at room temperature before imaging.

All lanes:

Western blot - Anti-p95/NBS1 antibody [Y112] (ab32074) at 1/1000 dilution

Lane 1:

Wild-type HeLa cell lysate at 20 µg

Lane 2:

NBN knockout HeLa cell lysate at 20 µg

Lane 2:

Western blot - Human NBN (p95/NBS1) knockout HeLa cell line (<a href='/en-us/products/cell-lines/human-nbn-p95-nbs1-knockout-hela-cell-line-ab261834'>ab261834</a>)

Lane 3:

Wild-type HeLa nuclear cell lysate at 20 µg

Predicted band size: 84 kDa

Observed band size: 95 kDa

false

Western blot - Anti-p95/NBS1 antibody [Y112] (AB32074)
  • WB

Unknown

Western blot - Anti-p95/NBS1 antibody [Y112] (AB32074)

Lanes 1-3 : Merged signal (red and green). Green - ab32074 observed at 95 kDa.

ab32074 Anti-p95/NBS1 antibody [Y112] was shown to specifically react with p95/NBS1 in wild-type HeLa cells. Loss of signal was observed when knockout cell line ab261834 (knockout cell lysate ab257111) was used. Wild-type and p95/NBS1 knockout samples were subjected to SDS-PAGE. ab32074, Anti-GAPDH antibody [6C5] - Cytoplasmic Loading Control (ab8245) and Anti-Histone H3 (ab176842) - Nuclear Loading Control were incubated overnight at 4°C at 1 in 1000 dilution, 1 in 20000 dilution and 1 in 1000 dilution respectively. Blots were developed with Goat anti-Rabbit IgG H&L (IRDye® 800CW) preadsorbed (ab216773), Goat anti-Mouse IgG H&L (IRDye® 680RD) preadsorbed (ab216776) secondary antibodies and Goat anti-Rabbit IgG H&L (IRDye® 680RD) preadsorbed (ab216777) at 1 in 10000 dilution for 1 hour at room temperature before imaging.

All lanes:

Western blot - Anti-p95/NBS1 antibody [Y112] (ab32074) at 1/1000 dilution

Lane 1:

Wild-type HeLa cell lysate at 20 µg

Lane 2:

NBN knockout HeLa cell lysate at 20 µg

Lane 3:

Wild-type HeLa nuclear cell lysate at 20 µg

Predicted band size: 84 kDa

Observed band size: 95 kDa

false

Western blot - Anti-p95/NBS1 antibody [Y112] (AB32074)
  • WB

Lab

Western blot - Anti-p95/NBS1 antibody [Y112] (AB32074)

Blocking buffer and concentration : 5% NFDM/TBST.

Diluting buffer and concentration : 5% NFDM /TBST.

All lanes:

Western blot - Anti-p95/NBS1 antibody [Y112] (ab32074) at 1/10000 dilution

Lane 1:

HeLa cell lysate at 20 µg

Lane 2:

Jurkat cell lysate at 20 µg

Secondary

All lanes:

Peroxidase-conjugated goat anti-rabbit IgG (H+L) at 1/1000 dilution

Predicted band size: 84 kDa

Observed band size: 95 kDa

false

  • Carrier free

    Anti-p95/NBS1 antibody [Y112] - BSA and Azide free

Key facts

Host species

Rabbit

Clonality

Monoclonal

Clone number

Y112

Isotype

IgG

Carrier free

No

Reacts with

Human

Applications

IHC-P, WB

applications

Immunogen

The exact immunogen used to generate this antibody is proprietary information.

Reactivity data

{ "title": "Reactivity Data", "filters": { "stats": ["", "Species", "Dilution Info", "Notes"], "tabs": { "all-applications": {"fullname" : "All Applications", "shortname": "All Applications"}, "IHCP" : {"fullname" : "Immunohistochemistry (Formalin/PFA-fixed paraffin-embedded sections)", "shortname":"IHC-P"}, "FlowCyt" : {"fullname" : "Flow Cytometry", "shortname":"Flow Cyt"}, "WB" : {"fullname" : "Western blot", "shortname":"WB"}, "ICCIF" : {"fullname" : "Immunocytochemistry/ Immunofluorescence", "shortname":"ICC/IF"} }, "product-promise": { "all": "all", "testedAndGuaranteed": "tested", "guaranteed": "expected", "predicted": "predicted", "notRecommended": "not-recommended" } }, "values": { "Human": { "IHCP-species-checked": "testedAndGuaranteed", "IHCP-species-dilution-info": "1/200", "IHCP-species-notes": "<p><strong>For unpurified use at 1/50.</strong></p> Perform heat-mediated antigen retrieval before commencing with IHC staining protocol.", "FlowCyt-species-checked": "notRecommended", "FlowCyt-species-dilution-info": "", "FlowCyt-species-notes": "<p><a href='/en-us/products/primary-antibodies/rabbit-igg-monoclonal-epr25a-isotype-control-ab172730'>ab172730</a> - Rabbit monoclonal IgG, is suitable for use as an isotype control with this antibody.</p>", "WB-species-checked": "testedAndGuaranteed", "WB-species-dilution-info": "1/1000 - 1/10000", "WB-species-notes": "<p><strong>For unpurified use at 1/1000 - 1/2000.</strong></p>", "ICCIF-species-checked": "notRecommended", "ICCIF-species-dilution-info": "", "ICCIF-species-notes": "<p><strong>For unpurified use at 1/50.</strong></p>" }, "Mouse": { "IHCP-species-checked": "predicted", "IHCP-species-dilution-info": "", "IHCP-species-notes": "", "FlowCyt-species-checked": "notRecommended", "FlowCyt-species-dilution-info": "", "FlowCyt-species-notes": "", "WB-species-checked": "predicted", "WB-species-dilution-info": "", "WB-species-notes": "", "ICCIF-species-checked": "notRecommended", "ICCIF-species-dilution-info": "", "ICCIF-species-notes": "" }, "Rat": { "IHCP-species-checked": "predicted", "IHCP-species-dilution-info": "", "IHCP-species-notes": "", "FlowCyt-species-checked": "notRecommended", "FlowCyt-species-dilution-info": "", "FlowCyt-species-notes": "", "WB-species-checked": "predicted", "WB-species-dilution-info": "", "WB-species-notes": "", "ICCIF-species-checked": "notRecommended", "ICCIF-species-dilution-info": "", "ICCIF-species-notes": "" } } }

Product details

Patented technology
Our RabMAb® technology is a patented hybridoma-based technology for making rabbit monoclonal antibodies. For details on our patents, please refer to RabMAb® patents.

What are the advantages of a recombinant monoclonal antibody?
This product is a recombinant monoclonal antibody, which offers several advantages including:

  • - High batch-to-batch consistency and reproducibility
  • - Improved sensitivity and specificity
  • - Long-term security of supply
  • - Animal-free batch production

For more information, read more on recombinant antibodies.

Properties and storage information

Form
Liquid
Purification technique
Affinity purification Protein A
Storage buffer
pH: 7.2 - 7.4 Preservative: 0.01% Sodium azide Constituents: PBS, 40% Glycerol (glycerin, glycerine), 0.05% BSA
Shipped at conditions
Blue Ice
Appropriate short-term storage duration
1-2 weeks
Appropriate short-term storage conditions
+4°C
Appropriate long-term storage conditions
-20°C
Aliquoting information
Upon delivery aliquot
Storage information
Avoid freeze / thaw cycle

Supplementary information

This supplementary information is collated from multiple sources and compiled automatically.

The target known as p95/NBS1 also referred to as NBN protein is a critical component in the DNA damage response mechanism. The full molecular weight of the NBS1 protein is approximately 95 kDa. This protein is abundantly expressed in various tissues particularly where there is a higher rate of cell division or repair such as in the thymus and testis. It plays an important role in maintaining the stability of the genome through its involvement in the repair of double-strand breaks.
Biological function summary

The NBS1 protein functions as an essential component of the MRN complex which also includes MRE11 and RAD50 proteins. This complex is fundamental in accurately detecting DNA double-strand breaks and initiating repair processes. Through its actions NBS1 facilitates numerous cellular processes that preserve genomic integrity such as homologous recombination and non-homologous end joining. Its influence in controlling the cell cycle further emphasizes its role in maintaining cellular health.

Pathways

The NBS1 protein engages significantly in the DNA damage response and repair pathways notably impacting the ATM signaling pathway. By interacting with proteins such as ATM kinase NBS1 facilitates the phosphorylation and activation of several downstream effectors necessary for DNA repair and cell cycle checkpoints. The MRN complex also links with the RAD50 protein highlighting its involvement in these pathways.

Mutations in the NBS1 gene are linked to Nijmegen breakage syndrome characterized by sensitivity to radiation immune deficiency and increased cancer risk. Additionally NBS1's role in pathways makes it pertinent to certain cancer pathologies where its malfunction can contribute to genomic instability. The NBN protein through its interaction with ATM and RAD50 assists in understanding its connection with predispositions to these diseases.

Product protocols

For this product, it's our understanding that no specific protocols are required. You can visit:

Target data

Component of the MRN complex, which plays a central role in double-strand break (DSB) repair, DNA recombination, maintenance of telomere integrity and meiosis (PubMed : 10888888, PubMed : 15616588, PubMed : 18411307, PubMed : 18583988, PubMed : 18678890, PubMed : 19759395, PubMed : 23115235, PubMed : 28216226, PubMed : 28867292, PubMed : 9705271). The MRN complex is involved in the repair of DNA double-strand breaks (DSBs) via homologous recombination (HR), an error-free mechanism which primarily occurs during S and G2 phases (PubMed : 19759395, PubMed : 28867292, PubMed : 9705271). The complex (1) mediates the end resection of damaged DNA, which generates proper single-stranded DNA, a key initial steps in HR, and is (2) required for the recruitment of other repair factors and efficient activation of ATM and ATR upon DNA damage (PubMed : 19759395, PubMed : 9705271). The MRN complex possesses single-strand endonuclease activity and double-strand-specific 3'-5' exonuclease activity, which are provided by MRE11, to initiate end resection, which is required for single-strand invasion and recombination (PubMed : 19759395, PubMed : 28867292, PubMed : 9705271). Within the MRN complex, NBN acts as a protein-protein adapter, which specifically recognizes and binds phosphorylated proteins, promoting their recruitment to DNA damage sites (PubMed : 12419185, PubMed : 15616588, PubMed : 18411307, PubMed : 18582474, PubMed : 18583988, PubMed : 18678890, PubMed : 19759395, PubMed : 19804756, PubMed : 23762398, PubMed : 24534091, PubMed : 27814491, PubMed : 27889449, PubMed : 33836577). Recruits MRE11 and RAD50 components of the MRN complex to DSBs in response to DNA damage (PubMed : 12419185, PubMed : 18411307, PubMed : 18583988, PubMed : 18678890, PubMed : 24534091, PubMed : 26438602). Promotes the recruitment of PI3/PI4-kinase family members ATM, ATR, and probably DNA-PKcs to the DNA damage sites, activating their functions (PubMed : 15064416, PubMed : 15616588, PubMed : 15790808, PubMed : 16622404, PubMed : 22464731, PubMed : 30952868, PubMed : 35076389). Mediates the recruitment of phosphorylated RBBP8/CtIP to DSBs, leading to cooperation between the MRN complex and RBBP8/CtIP to initiate end resection (PubMed : 19759395, PubMed : 27814491, PubMed : 27889449, PubMed : 33836577). RBBP8/CtIP specifically promotes the endonuclease activity of the MRN complex to clear DNA ends containing protein adducts (PubMed : 27814491, PubMed : 27889449, PubMed : 30787182, PubMed : 33836577). The MRN complex is also required for the processing of R-loops (PubMed : 31537797). NBN also functions in telomere length maintenance via its interaction with TERF2 : interaction with TERF2 during G1 phase preventing recruitment of DCLRE1B/Apollo to telomeres (PubMed : 10888888, PubMed : 28216226). NBN also promotes DNA repair choice at dysfunctional telomeres : NBN phosphorylation by CK2 promotes non-homologous end joining repair at telomeres, while unphosphorylated NBN promotes microhomology-mediated end-joining (MMEJ) repair (PubMed : 28216226). Enhances AKT1 phosphorylation possibly by association with the mTORC2 complex (PubMed : 23762398).
See full target information NBN

Publications (36)

Recent publications for all applications. Explore the full list and refine your search

Brazilian journal of medical and biological research = Revista brasileira de pesquisas medicas e biologica 58:e14766 PubMed40862458

2025

Trifolirhizin improves the hyperproliferation and excessive inflammatory response in human HaCaT keratinocytes and ameliorates skin lesions in psoriasis-like mouse models.

Applications

Unspecified application

Species

Unspecified reactive species

Linyu Zhu,Menger Guo,Ling Wang,Shaomin Chen,Zhiyu Ye,Yuansheng Wu

Cell death discovery 11:397 PubMed40846737

2025

WTAP participates in the DNA damage response via an mA-FOXM1-dependent manner in hepatocellular carcinoma.

Applications

Unspecified application

Species

Unspecified reactive species

Nan Huang,Zhixuan Bian,Chang Xu,Yue Zhang,Li Liu,Zhongqi Cui,Shasha Zhao,Qiangyuan Fan,Shaobo Xue,Yan Chen,Qiuhui Pan,Fenyong Sun

Scientific reports 15:985 PubMed39762328

2025

Repeated ionizing radiation exposure induces TRIP13 expression, conferring radioresistance in lung cancer cells.

Applications

Unspecified application

Species

Unspecified reactive species

Wenqing Liu,Qijing Lei,Ans M M van Pelt,Geert Hamer

Cell proliferation 57:e13685 PubMed38894566

2024

MRE11 is essential for the long-term viability of undifferentiated spermatogonia.

Applications

Unspecified application

Species

Unspecified reactive species

Zhenghui Tang,Zhongyang Liang,Bin Zhang,Xiaohui Xu,Peng Li,Lejun Li,Lin-Yu Lu,Yidan Liu

Journal of cancer research and clinical oncology 150:30 PubMed38270643

2024

The mA demethylase FTO targets POLQ to promote ccRCC cell proliferation and genome stability maintenance.

Applications

Unspecified application

Species

Unspecified reactive species

Yichen He,Yimeng Chen,Zhengsheng Li,Changping Wu

Cell death discovery 9:245 PubMed37452056

2023

Restricting epigenetic activity promotes the reprogramming of transformed cells to pluripotency in a line-specific manner.

Applications

Unspecified application

Species

Unspecified reactive species

Xiuling Fu,Qiang Zhuang,Isaac A Babarinde,Liyang Shi,Gang Ma,Haoqing Hu,Yuhao Li,Jiao Chen,Zhen Xiao,Boping Deng,Li Sun,Ralf Jauch,Andrew P Hutchins

Nucleic acids research 51:7357-7375 PubMed37378420

2023

RNase H1 facilitates recombinase recruitment by degrading DNA-RNA hybrids during meiosis.

Applications

Unspecified application

Species

Unspecified reactive species

Chao Liu,Liying Wang,Yanan Li,Mengmeng Guo,Jun Hu,Teng Wang,Mengjing Li,Zhuo Yang,Ruoyao Lin,Wei Xu,Yinghong Chen,Mengcheng Luo,Fei Gao,Jia-Yu Chen,Qianwen Sun,Hongbin Liu,Bo Sun,Wei Li

PLoS biology 18:e3000666 PubMed32203529

2020

A long noncoding RNA sensitizes genotoxic treatment by attenuating ATM activation and homologous recombination repair in cancers.

Applications

Unspecified application

Species

Unspecified reactive species

Kunming Zhao,Xingwen Wang,Xuting Xue,Li Li,Ying Hu

Frontiers in oncology 10:241 PubMed32185127

2020

GLI1 Inhibitor SRI-38832 Attenuates Chemotherapeutic Resistance by Downregulating NBS1 Transcription in BRAF Colorectal Cancer.

Applications

Unspecified application

Species

Unspecified reactive species

Ruowen Zhang,Jinlu Ma,Justin T Avery,Vijaya Sambandam,Theresa H Nguyen,Bo Xu,Mark J Suto,Rebecca J Boohaker

Cell death and differentiation 27:2176-2190 PubMed31965061

2020

NBS1 is required for SPO11-linked DNA double-strand break repair in male meiosis.

Applications

Unspecified application

Species

Unspecified reactive species

Bin Zhang,Zhenghui Tang,Lejun Li,Lin-Yu Lu
View all publications

Product promise

We are committed to supporting your work with high-quality reagents, and we're here for you every step of the way. In the unlikely event that one of our products does not perform as expected, you're protected by our Product Promise.
For full details, please see our Terms & Conditions

Please note: All products are 'FOR RESEARCH USE ONLY. NOT FOR USE IN DIAGNOSTIC OR THERAPEUTIC PROCEDURES'.

For licensing inquiries, please contact partnerships@abcam.com