JavaScript is disabled in your browser. Please enable JavaScript to view this website.
AB153930

Anti-PABP antibody

Be the first to review this product! Submit a review

|

(3 Publications)

Rabbit Polyclonal PABP antibody. Suitable for WB, IHC-P and reacts with Human samples. Cited in 3 publications. Immunogen corresponding to Recombinant Fragment Protein within Human PABPC1 aa 350 to C-terminus.

View Alternative Names

PAB1, PABP, PABP1, PABPC2, PABPC1, Polyadenylate-binding protein 1, PABP-1, Poly(A)-binding protein 1

1 Images
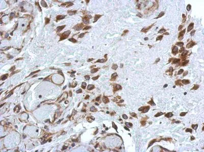
Immunohistochemistry (Formalin/PFA-fixed paraffin-embedded sections) - Anti-PABP antibody (AB153930)
  • IHC-P

Unknown

Immunohistochemistry (Formalin/PFA-fixed paraffin-embedded sections) - Anti-PABP antibody (AB153930)

Immunohistochemical analysis of paraffin-embedded Human hepatoma tissue, labeling PABP with ab153930 at 1/500 dilution.

Key facts

Host species

Rabbit

Clonality

Polyclonal

Isotype

IgG

Carrier free

No

Reacts with

Human

Applications

WB, IHC-P

applications

Immunogen

Recombinant Fragment Protein within Human PABPC1 aa 350 to C-terminus. The exact immunogen used to generate this antibody is proprietary information.

P11940

Reactivity data

{ "title": "Reactivity Data", "filters": { "stats": ["", "Species", "Dilution Info", "Notes"], "tabs": { "all-applications": {"fullname" : "All Applications", "shortname": "All Applications"}, "WB" : {"fullname" : "Western blot", "shortname":"WB"}, "IHCP" : {"fullname" : "Immunohistochemistry (Formalin/PFA-fixed paraffin-embedded sections)", "shortname":"IHC-P"} }, "product-promise": { "all": "all", "testedAndGuaranteed": "tested", "guaranteed": "expected", "predicted": "predicted", "notRecommended": "not-recommended" } }, "values": { "Human": { "WB-species-checked": "guaranteed", "WB-species-dilution-info": "1/500 - 1/3000", "WB-species-notes": "<p></p>", "IHCP-species-checked": "testedAndGuaranteed", "IHCP-species-dilution-info": "1/100 - 1/1000", "IHCP-species-notes": "<p></p>" }, "Mouse": { "WB-species-checked": "predicted", "WB-species-dilution-info": "", "WB-species-notes": "", "IHCP-species-checked": "predicted", "IHCP-species-dilution-info": "", "IHCP-species-notes": "" }, "Rat": { "WB-species-checked": "predicted", "WB-species-dilution-info": "", "WB-species-notes": "", "IHCP-species-checked": "predicted", "IHCP-species-dilution-info": "", "IHCP-species-notes": "" }, "Cow": { "WB-species-checked": "predicted", "WB-species-dilution-info": "", "WB-species-notes": "", "IHCP-species-checked": "predicted", "IHCP-species-dilution-info": "", "IHCP-species-notes": "" } } }

Properties and storage information

Form
Liquid
Purification technique
Affinity purification Immunogen
Storage buffer
pH: 7 Preservative: 0.01% Thimerosal (merthiolate) Constituents: PBS, 20% Glycerol (glycerin, glycerine)
Shipped at conditions
Blue Ice
Appropriate short-term storage conditions
+4°C
Appropriate long-term storage conditions
-20°C
Aliquoting information
Upon delivery aliquot
Storage information
Avoid freeze / thaw cycle

Supplementary information

This supplementary information is collated from multiple sources and compiled automatically.

PABP also known as Poly(A) Binding Protein is a significant component in mRNA metabolism. It binds to the poly(A) tail of eukaryotic mRNA molecules facilitating the translation process and aiding in mRNA stability. The protein is expressed ubiquitously throughout the cell with a mass of approximately 70 kDa. Some variations like PABPC1 exist in different contexts but the core functions remain consistent across these variations.
Biological function summary

This protein plays an essential role in translation initiation. PABP interacts with eukaryotic initiation factor 4G (eIF4G) which fosters the formation of the eIF4F complex an assembly critical for ribosome recruitment to mRNA. By linking the 5’ cap structure to the poly(A) tail PABP enhances translational efficiency and RNA integrity. Through these interactions it helps maintain normal cellular function and adapts to changes in the cellular environment.

Pathways

Poly(A) binding protein is central to the RNA metabolic process. It supports the canonical mRNA decay pathway by interacting with deadenylase complexes which initiate mRNA decay. Another key pathway involves the regulation of nonsense-mediated decay where PABP helps distinguish between normal and aberrant mRNAs. Proteins such as XRN1 and eIF4E closely interact with PABP to execute these pathways efficiently.

Issues with the poly(A) binding protein affect both cancer and neurodegenerative conditions. Aberrant expression or malfunction of PABP leads to defects in mRNA regulation potentially resulting in tumorigenesis due to disrupted cell cycle control. PABP also interacts with proteins like TDP-43 implicated in neurodegenerative diseases affecting RNA processing and potentially contributing to conditions like Amyotrophic Lateral Sclerosis (ALS). The consistent involvement of PABP in these processes highlights its importance to human health.

Product protocols

For this product, it's our understanding that no specific protocols are required. You can visit:

Target data

Binds the poly(A) tail of mRNA, including that of its own transcript, and regulates processes of mRNA metabolism such as pre-mRNA splicing and mRNA stability (PubMed : 11051545, PubMed : 17212783, PubMed : 25480299). Its function in translational initiation regulation can either be enhanced by PAIP1 or repressed by PAIP2 (PubMed : 11051545, PubMed : 20573744). Can probably bind to cytoplasmic RNA sequences other than poly(A) in vivo. Binds to N6-methyladenosine (m6A)-containing mRNAs and contributes to MYC stability by binding to m6A-containing MYC mRNAs (PubMed : 32245947). Involved in translationally coupled mRNA turnover (PubMed : 11051545). Implicated with other RNA-binding proteins in the cytoplasmic deadenylation/translational and decay interplay of the FOS mRNA mediated by the major coding-region determinant of instability (mCRD) domain (PubMed : 11051545). Involved in regulation of nonsense-mediated decay (NMD) of mRNAs containing premature stop codons; for the recognition of premature termination codons (PTC) and initiation of NMD a competitive interaction between UPF1 and PABPC1 with the ribosome-bound release factors is proposed (PubMed : 18447585). By binding to long poly(A) tails, may protect them from uridylation by ZCCHC6/ZCCHC11 and hence contribute to mRNA stability (PubMed : 25480299).. (Microbial infection) Positively regulates the replication of dengue virus (DENV).
See full target information PABPC1

Publications (3)

Recent publications for all applications. Explore the full list and refine your search

Clinical and translational medicine 12:e961 PubMed35839307

2022

Functional genomic analysis of epithelioid sarcoma reveals distinct proximal and distal subtype biology.

Applications

Unspecified application

Species

Unspecified reactive species

Samuel V Rasmussen,Jia Xiang Jin,Lissett R Bickford,Andrew D Woods,Felix Sahm,Kenneth A Crawford,Kiyo Nagamori,Hiroaki Goto,Keila E Torres,Angelo Sidoni,Erin R Rudzinski,Khin Thway,Robin L Jones,Alessio Ciulli,Hollis Wright,Melvin Lathara,Ganapati Srinivasa,Kavya Kannan,Paul H Huang,Thomas G P Grünewald,Noah E Berlow,Charles Keller

Nature communications 9:3648 PubMed30194296

2018

Staufen1 links RNA stress granules and autophagy in a model of neurodegeneration.

Applications

Unspecified application

Species

Unspecified reactive species

Sharan Paul,Warunee Dansithong,Karla P Figueroa,Daniel R Scoles,Stefan M Pulst

Nucleic acids research 42:7186-200 PubMed24792155

2014

DDX6 regulates sequestered nuclear CUG-expanded DMPK-mRNA in dystrophia myotonica type 1.

Applications

Unspecified application

Species

Unspecified reactive species

Olof J Pettersson,Lars Aagaard,Diana Andrejeva,Rune Thomsen,Thomas G Jensen,Christian K Damgaard
View all publications

Product promise

We are committed to supporting your work with high-quality reagents, and we're here for you every step of the way. In the unlikely event that one of our products does not perform as expected, you're protected by our Product Promise.
For full details, please see our Terms & Conditions

Please note: All products are 'FOR RESEARCH USE ONLY. NOT FOR USE IN DIAGNOSTIC OR THERAPEUTIC PROCEDURES'.

For licensing inquiries, please contact partnerships@abcam.com