JavaScript is disabled in your browser. Please enable JavaScript to view this website.
AB312314

Anti-PABP antibody [EPR27188-86]

Be the first to review this product! Submit a review

|

(0 Publication)

Rabbit Recombinant Monoclonal PABP antibody. Suitable for WB, ICC/IF, IP, Flow Cyt (Intra), Dot and reacts with Human, Mouse, Rat, Synthetic peptide samples.

View Alternative Names

PAB1, PABP, PABP1, PABPC2, PABPC1, Polyadenylate-binding protein 1, PABP-1, Poly(A)-binding protein 1

9 Images
Flow Cytometry (Intracellular) - Anti-PABP antibody [EPR27188-86] (AB312314)
  • Flow Cyt (Intra)

Supplier Data

Flow Cytometry (Intracellular) - Anti-PABP antibody [EPR27188-86] (AB312314)

Flow cytometric analysis of 4% paraformaldehyde fixed 90% methanol permeabilized HeLa (human cervical adenocarcinoma epithelial cell) cells labelling PABP with ab312314 at 1/500 dilution (0.1 ug)/Red (Red) compared with a Rabbit monoclonal IgG (ab172730) (Black) isotype control and an unlabelled control (cells without incubation with primary antibody and secondary antibody) (Blue). A Goat Anti-Rabbit IgG (Alexa Fluor® 488, ab150081) at 1/5000 dilution was used as the secondary antibody.

Immunocytochemistry/ Immunofluorescence - Anti-PABP antibody [EPR27188-86] (AB312314)
  • ICC/IF

Supplier Data

Immunocytochemistry/ Immunofluorescence - Anti-PABP antibody [EPR27188-86] (AB312314)

Immunofluorescent analysis of 4% Paraformaldehyde-fixed, 0.1% TritonX-100 permeabilized HeLa (human cervical adenocarcinoma epithelial cell) cells labelling PABP with ab312314 at 1/100 (10.36 ug/ml) dilution, followed by ab150081 Goat Anti-Rabbit IgG H&L (Alexa Fluor® 488) preadsorbed antibody at 1/1000 2 ug/ml dilution (Green). Confocal image showing cytoplasmic staining in HeLa cell line. The image was taken with a confocal microscope(Leica-Microsystems, TCS SP8). ab195889 Anti-alpha Tubulin mouse monoclonal antibody - Microtubule Marker (Alexa Fluor® 594) was used to counterstain tubulin at 1/200 2.5ug/ml dilution (Red). The Nuclear counterstain was DAPI (Blue). Secondary antibody only control : Secondary antibody is ab150081 Goat Anti-Rabbit IgG H&L (Alexa Fluor® 488) preadsorbed at 1/1000 2 ug/ml dilution.

Immunoprecipitation - Anti-PABP antibody [EPR27188-86] (AB312314)
  • IP

Supplier Data

Immunoprecipitation - Anti-PABP antibody [EPR27188-86] (AB312314)

PABP was immunoprecipitated from 0.35 mg HeLa (human cervical adenocarcinoma epithelial cell) whole cell lysate with ab312314 at 1/30 dilution (2ug in 0.35mg lysates). Western blot was performed on the immunoprecipitate using ab312314 at 1/1000 dilution. VeriBlot for IP secondary antibody(HRP)(ab131366) was used at 1/5000 dilution. Lane 1 : HeLa (human cervical adenocarcinoma epithelial cell) whole cell lysate Lane 2 : HeLa (human cervical adenocarcinoma epithelial cell) whole cell lysate Lane 3 : Rabbit monoclonal IgG (ab172730) instead of ab312314 in HeLa whole cell lysate Blocking and dilution buffer and concentration : 5% NFDM/TBST. Exposure time : 15 seconds

All lanes:

Immunoprecipitation - Anti-PABP antibody [EPR27188-86] (ab312314) at 1/30 dilution

All lanes:

HeLa (human cervical adenocarcinoma epithelial cell) whole cell lysate at 10 µg

Secondary

All lanes:

Immunoprecipitation - VeriBlot for IP Detection Reagent (HRP) (<a href='/en-us/products/reagents/veriblot-for-ip-detection-reagent-hrp-ab131366'>ab131366</a>) at 1/5000 dilution

false

Exposure time: 15s

Flow Cytometry (Intracellular) - Anti-PABP antibody [EPR27188-86] (AB312314)
  • Flow Cyt (Intra)

Supplier Data

Flow Cytometry (Intracellular) - Anti-PABP antibody [EPR27188-86] (AB312314)

Flow cytometric analysis of 4% paraformaldehyde fixed 90% methanol permeabilized PC-12 (rat adrenal gland pheochromocytoma cell) cells labelling PABP with ab312314 at 1/500 dilution (0.1 ug)/Red (Red) compared with a Rabbit monoclonal IgG (ab172730) (Black) isotype control and an unlabelled control (cells without incubation with primary antibody and secondary antibody) (Blue). A Goat Anti-Rabbit IgG (Alexa Fluor® 488, ab150081) at 1/5000 dilution was used as the secondary antibody.

Immunocytochemistry/ Immunofluorescence - Anti-PABP antibody [EPR27188-86] (AB312314)
  • ICC/IF

Supplier Data

Immunocytochemistry/ Immunofluorescence - Anti-PABP antibody [EPR27188-86] (AB312314)

Immunofluorescent analysis of 4% Paraformaldehyde-fixed, 0.1% TritonX-100 permeabilized PC-12 (rat adrenal gland pheochromocytoma cell) cells labelling PABP with ab312314 at 1/100 (10.36 ug/ml) dilution, followed by ab150081 Goat Anti-Rabbit IgG H&L (Alexa Fluor® 488) preadsorbed antibody at 1/1000 2 ug/ml dilution (Green). Confocal image showing cytoplasmic staining in PC-12 cell line. The image was taken with a confocal microscope(Leica-Microsystems, TCS SP8). ab195889 Anti-alpha Tubulin mouse monoclonal antibody - Microtubule Marker (Alexa Fluor® 594) was used to counterstain tubulin at 1/200 2.5ug/ml dilution (Red). The Nuclear counterstain was DAPI (Blue). Secondary antibody only control : Secondary antibody is ab150081 Goat Anti-Rabbit IgG H&L (Alexa Fluor® 488) preadsorbed at 1/1000 2 ug/ml dilution.

Immunocytochemistry/ Immunofluorescence - Anti-PABP antibody [EPR27188-86] (AB312314)
  • ICC/IF

Supplier Data

Immunocytochemistry/ Immunofluorescence - Anti-PABP antibody [EPR27188-86] (AB312314)

Immunofluorescent analysis of 4% Paraformaldehyde-fixed, 0.1% TritonX-100 permeabilized C2C12 (mouse myoblast) cells labelling PABP with ab312314 at 1/100 (10.36 ug/ml) dilution, followed by ab150081 Goat Anti-Rabbit IgG H&L (Alexa Fluor® 488) preadsorbed antibody at 1/1000 2 ug/ml dilution (Green). Confocal image showing cytoplasmic staining in undifferenced C2C12 cells and the expression was decreased in differentiated C2C12 cells. Image was taken with a confocal microscope(Leica-Microsystems, TCS SP8). ab195889 Anti-alpha Tubulin mouse monoclonal antibody - Microtubule Marker (Alexa Fluor® 594) was used to counterstain tubulin at 1/200 2.5ug/ml dilution (Red). The Nuclear counterstain was DAPI (Blue). Secondary antibody only control : Secondary antibody is ab150081 Goat Anti-Rabbit IgG H&L (Alexa Fluor® 488) preadsorbed at 1/1000 2 ug/ml dilution.

Flow Cytometry (Intracellular) - Anti-PABP antibody [EPR27188-86] (AB312314)
  • Flow Cyt (Intra)

Supplier Data

Flow Cytometry (Intracellular) - Anti-PABP antibody [EPR27188-86] (AB312314)

Flow cytometric analysis of 4% paraformaldehyde fixed 90% methanol permeabilized C2C12 (mouse myoblast) treated with differentiation to muscle for 6 days (Red) / untreated C2C12 cells (Green) cells labelling PABP with ab312314 at 1/500 dilution (0.1 ug)/Red and Green (Red) compared with a Rabbit monoclonal IgG (ab172730) (Black) isotype control and an unlabelled control (cells without incubation with primary antibody and secondary antibody) (Blue). A Goat Anti-Rabbit IgG (Alexa Fluor® 488, ab150081) at 1/5000 dilution was used as the secondary antibody.

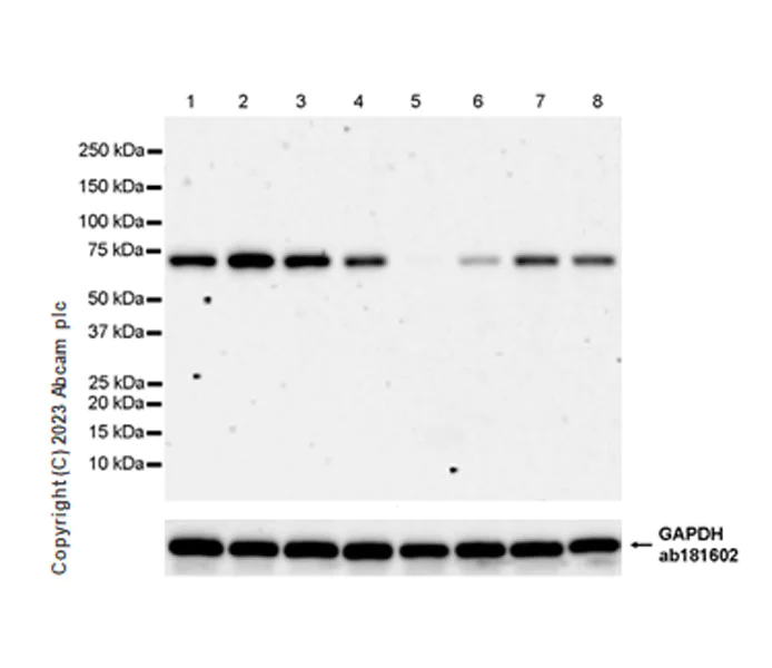
Western blot - Anti-PABP antibody [EPR27188-86] (AB312314)
  • WB

Supplier Data

Western blot - Anti-PABP antibody [EPR27188-86] (AB312314)

Blocking and diluting buffer and concentration : 5% NFDM/TBST The expression of PABP was decreased in differentiated C2C12 cells (PMID : 28653618). In Western blot, anti-GAPDH antibody (ab181602) loading control staining at 1/200000 dilution. Exposure time : 180 seconds

All lanes:

Western blot - Anti-PABP antibody [EPR27188-86] (ab312314) at 1/1000 dilution

Lane 1:

HeLa (human cervical adenocarcinoma epithelial cell) whole cell lysate at 20 µg

Lane 2:

PC-3 (human prostate adenocarcinoma epithelial cell) whole cell lysate at 20 µg

Lane 3:

LNCaP (human prostate carcinoma epithelial cell) whole cell lysate at 20 µg

Lane 4:

Undifferenced C2C12 (mouse myoblast) whole cell lysate at 20 µg

Lane 5:

C2C12 differentiated to muscle for 6 days whole cell lysate at 20 µg

Lane 6:

NIH/3T3 (mouse embryonic fibroblast) whole cell lysate at 20 µg

Lane 7:

RAW 264.7 (mouse abelson murine leukemia virus-induced tumor macrophage) whole cell lysate at 20 µg

Lane 8:

PC-12 (rat adrenal gland pheochromocytoma cell) whole cell lysate at 20 µg

Secondary

All lanes:

Western blot - Goat Anti-Rabbit IgG H&L (HRP) (<a href='/en-us/products/secondary-antibodies/goat-rabbit-igg-h-l-hrp-ab97051'>ab97051</a>) at 1/20000 dilution

Observed band size: 71 kDa

false

Exposure time: 180s

Dot Blot - Anti-PABP antibody [EPR27188-86] (AB312314)
  • Dot

Supplier Data

Dot Blot - Anti-PABP antibody [EPR27188-86] (AB312314)

Dot blot analysis of PABP using ab312314 at 1 : 1000 (0.518 ug/ml) followed by a Goat Anti-Rabbit IgG, (H+L), Peroxidase conjugated (ab97051) at 1 : 100,000 dilution. Lane 1 : PABP peptide Lane 2 : PABP3 peptide Exposure time : 180 seconds. Blocking and diluting buffer and concentration : 5% NFDM/TBST

  • Carrier free

    Anti-PABP antibody [EPR27188-86] - BSA and Azide free

Key facts

Host species

Rabbit

Clonality

Monoclonal

Clone number

EPR27188-86

Isotype

IgG

Carrier free

No

Reacts with

Human, Mouse, Rat

Applications

Dot, IP, Flow Cyt (Intra), WB, ICC/IF

applications

Immunogen

The exact immunogen used to generate this antibody is proprietary information.

Reactivity data

{ "title": "Reactivity Data", "filters": { "stats": ["", "Species", "Dilution Info", "Notes"], "tabs": { "all-applications": {"fullname" : "All Applications", "shortname": "All Applications"}, "WB" : {"fullname" : "Western blot", "shortname":"WB"}, "ICCIF" : {"fullname" : "Immunocytochemistry/ Immunofluorescence", "shortname":"ICC/IF"}, "IP" : {"fullname" : "Immunoprecipitation", "shortname":"IP"}, "FlowCytIntra" : {"fullname" : "Flow Cytometry (Intracellular)", "shortname":"Flow Cyt (Intra)"}, "Dot" : {"fullname" : "Dot Blot", "shortname":"Dot"}, "IHCP" : {"fullname" : "Immunohistochemistry (Formalin/PFA-fixed paraffin-embedded sections)", "shortname":"IHC-P"} }, "product-promise": { "all": "all", "testedAndGuaranteed": "tested", "guaranteed": "expected", "predicted": "predicted", "notRecommended": "not-recommended" } }, "values": { "Human": { "WB-species-checked": "testedAndGuaranteed", "WB-species-dilution-info": "1/1000", "WB-species-notes": "<p></p>", "ICCIF-species-checked": "testedAndGuaranteed", "ICCIF-species-dilution-info": "1/100", "ICCIF-species-notes": "<p></p>", "IP-species-checked": "testedAndGuaranteed", "IP-species-dilution-info": "1/30", "IP-species-notes": "<p></p>", "FlowCytIntra-species-checked": "testedAndGuaranteed", "FlowCytIntra-species-dilution-info": "1/500", "FlowCytIntra-species-notes": "<p></p>", "Dot-species-checked": "guaranteed", "Dot-species-dilution-info": "", "Dot-species-notes": "", "IHCP-species-checked": "notRecommended", "IHCP-species-dilution-info": "", "IHCP-species-notes": "<p></p>" }, "Mouse": { "WB-species-checked": "testedAndGuaranteed", "WB-species-dilution-info": "1/1000", "WB-species-notes": "<p></p>", "ICCIF-species-checked": "testedAndGuaranteed", "ICCIF-species-dilution-info": "1/100", "ICCIF-species-notes": "<p></p>", "IP-species-checked": "guaranteed", "IP-species-dilution-info": "", "IP-species-notes": "", "FlowCytIntra-species-checked": "testedAndGuaranteed", "FlowCytIntra-species-dilution-info": "1/500", "FlowCytIntra-species-notes": "<p></p>", "Dot-species-checked": "guaranteed", "Dot-species-dilution-info": "", "Dot-species-notes": "", "IHCP-species-checked": "notRecommended", "IHCP-species-dilution-info": "", "IHCP-species-notes": "<p></p>" }, "Rat": { "WB-species-checked": "testedAndGuaranteed", "WB-species-dilution-info": "1/1000", "WB-species-notes": "<p></p>", "ICCIF-species-checked": "testedAndGuaranteed", "ICCIF-species-dilution-info": "1/100", "ICCIF-species-notes": "<p></p>", "IP-species-checked": "guaranteed", "IP-species-dilution-info": "", "IP-species-notes": "", "FlowCytIntra-species-checked": "testedAndGuaranteed", "FlowCytIntra-species-dilution-info": "1/500", "FlowCytIntra-species-notes": "<p></p>", "Dot-species-checked": "guaranteed", "Dot-species-dilution-info": "", "Dot-species-notes": "", "IHCP-species-checked": "notRecommended", "IHCP-species-dilution-info": "", "IHCP-species-notes": "<p></p>" }, "Synthetic peptide": { "WB-species-checked": "notRecommended", "WB-species-dilution-info": "", "WB-species-notes": "", "ICCIF-species-checked": "notRecommended", "ICCIF-species-dilution-info": "", "ICCIF-species-notes": "", "IP-species-checked": "notRecommended", "IP-species-dilution-info": "", "IP-species-notes": "", "FlowCytIntra-species-checked": "notRecommended", "FlowCytIntra-species-dilution-info": "", "FlowCytIntra-species-notes": "", "Dot-species-checked": "testedAndGuaranteed", "Dot-species-dilution-info": "1/1000", "Dot-species-notes": "<p></p>", "IHCP-species-checked": "notRecommended", "IHCP-species-dilution-info": "", "IHCP-species-notes": "" } } }

Product details

Patented technology
Our RabMAb® technology is a patented hybridoma-based technology for making rabbit monoclonal antibodies. For details on our patents, please refer to RabMAb® patents.

What are the advantages of a recombinant monoclonal antibody?
This product is a recombinant monoclonal antibody, which offers several advantages including:

  • - High batch-to-batch consistency and reproducibility
  • - Improved sensitivity and specificity
  • - Long-term security of supply
  • - Animal-free batch production

For more information, read more on recombinant antibodies.

Properties and storage information

Form
Liquid
Purification technique
Affinity purification Protein A
Storage buffer
pH: 7.2 - 7.4 Preservative: 0.01% Sodium azide Constituents: PBS, 40% Glycerol (glycerin, glycerine), 0.05% BSA
Shipped at conditions
Blue Ice
Appropriate short-term storage duration
1-2 weeks
Appropriate short-term storage conditions
+4°C
Appropriate long-term storage conditions
-20°C
Aliquoting information
Upon delivery aliquot
Storage information
Avoid freeze / thaw cycle

Supplementary information

This supplementary information is collated from multiple sources and compiled automatically.

PABP also known as Poly(A) Binding Protein is a significant component in mRNA metabolism. It binds to the poly(A) tail of eukaryotic mRNA molecules facilitating the translation process and aiding in mRNA stability. The protein is expressed ubiquitously throughout the cell with a mass of approximately 70 kDa. Some variations like PABPC1 exist in different contexts but the core functions remain consistent across these variations.
Biological function summary

This protein plays an essential role in translation initiation. PABP interacts with eukaryotic initiation factor 4G (eIF4G) which fosters the formation of the eIF4F complex an assembly critical for ribosome recruitment to mRNA. By linking the 5’ cap structure to the poly(A) tail PABP enhances translational efficiency and RNA integrity. Through these interactions it helps maintain normal cellular function and adapts to changes in the cellular environment.

Pathways

Poly(A) binding protein is central to the RNA metabolic process. It supports the canonical mRNA decay pathway by interacting with deadenylase complexes which initiate mRNA decay. Another key pathway involves the regulation of nonsense-mediated decay where PABP helps distinguish between normal and aberrant mRNAs. Proteins such as XRN1 and eIF4E closely interact with PABP to execute these pathways efficiently.

Issues with the poly(A) binding protein affect both cancer and neurodegenerative conditions. Aberrant expression or malfunction of PABP leads to defects in mRNA regulation potentially resulting in tumorigenesis due to disrupted cell cycle control. PABP also interacts with proteins like TDP-43 implicated in neurodegenerative diseases affecting RNA processing and potentially contributing to conditions like Amyotrophic Lateral Sclerosis (ALS). The consistent involvement of PABP in these processes highlights its importance to human health.

Product protocols

For this product, it's our understanding that no specific protocols are required. You can visit:

Target data

Binds the poly(A) tail of mRNA, including that of its own transcript, and regulates processes of mRNA metabolism such as pre-mRNA splicing and mRNA stability (PubMed : 11051545, PubMed : 17212783, PubMed : 25480299). Its function in translational initiation regulation can either be enhanced by PAIP1 or repressed by PAIP2 (PubMed : 11051545, PubMed : 20573744). Can probably bind to cytoplasmic RNA sequences other than poly(A) in vivo. Binds to N6-methyladenosine (m6A)-containing mRNAs and contributes to MYC stability by binding to m6A-containing MYC mRNAs (PubMed : 32245947). Involved in translationally coupled mRNA turnover (PubMed : 11051545). Implicated with other RNA-binding proteins in the cytoplasmic deadenylation/translational and decay interplay of the FOS mRNA mediated by the major coding-region determinant of instability (mCRD) domain (PubMed : 11051545). Involved in regulation of nonsense-mediated decay (NMD) of mRNAs containing premature stop codons; for the recognition of premature termination codons (PTC) and initiation of NMD a competitive interaction between UPF1 and PABPC1 with the ribosome-bound release factors is proposed (PubMed : 18447585). By binding to long poly(A) tails, may protect them from uridylation by ZCCHC6/ZCCHC11 and hence contribute to mRNA stability (PubMed : 25480299).. (Microbial infection) Positively regulates the replication of dengue virus (DENV).
See full target information PABPC1

Product promise

We are committed to supporting your work with high-quality reagents, and we're here for you every step of the way. In the unlikely event that one of our products does not perform as expected, you're protected by our Product Promise.
For full details, please see our Terms & Conditions

Please note: All products are 'FOR RESEARCH USE ONLY. NOT FOR USE IN DIAGNOSTIC OR THERAPEUTIC PROCEDURES'.

For licensing inquiries, please contact partnerships@abcam.com