JavaScript is disabled in your browser. Please enable JavaScript to view this website.
AB284766

Anti-PABPN1 antibody [EP3001Y] - BSA and Azide free

Be the first to review this product! Submit a review

|

(0 Publication)

Rabbit Monoclonal PABPN1 antibody. Carrier free. Suitable for WB, IHC-P, Flow Cyt (Intra) and reacts with Human samples.

View Alternative Names

PAB2, PABP2, PABPN1, Polyadenylate-binding protein 2, PABP-2, Poly(A)-binding protein 2, Nuclear poly(A)-binding protein 1, Poly(A)-binding protein II, Polyadenylate-binding nuclear protein 1, PABII

3 Images
Flow Cytometry (Intracellular) - Anti-PABPN1 antibody [EP3001Y] - BSA and Azide free (AB284766)
  • Flow Cyt (Intra)

Supplier Data

Flow Cytometry (Intracellular) - Anti-PABPN1 antibody [EP3001Y] - BSA and Azide free (AB284766)

This data was developed using ab81224, the same antibody clone in a different buffer formulation.Overlay histogram showing HeLa cells stained with ab81224 (red line). The cells were fixed with 80% methanol (5 min) and then permeabilized with 0.1% PBS-Tween for 20 min. The cells were then incubated in 1x PBS / 10% normal goat serum / 0.3M glycine to block non-specific protein-protein interactions followed by the antibody (ab81224, 1/100 dilution) for 30 min at 22°C. The secondary antibody used was DyLight® 488 goat anti-rabbit IgG (H+L) (ab96899) at 1/500 dilution for 30 min at 22°C. Isotype control antibody (black line) was rabbit IgG (monoclonal) (1μg/1x106 cells) used under the same conditions. Unlabelled sample (blue line). Acquisition of >5,000 events were collected using a 20mW Argon ion laser (488nm) and 525/30 bandpass filter.

Western blot - Anti-PABPN1 antibody [EP3001Y] - BSA and Azide free (AB284766)
  • WB

Unknown

Western blot - Anti-PABPN1 antibody [EP3001Y] - BSA and Azide free (AB284766)

This data was developed using ab81224, the same antibody clone in a different buffer formulation.

All lanes:

Western blot - Anti-PABPN1 antibody [EP3001Y] (<a href='/en-us/products/primary-antibodies/pabpn1-antibody-ep3001y-ab81224'>ab81224</a>) at 1/20000 dilution

Lane 1:

T47D cell lysates at 10 µg

Lane 2:

SKBR3 cell lysates at 10 µg

Lane 3:

Ramos cell lysates at 10 µg

Lane 4:

Raji cell lysates at 10 µg

Secondary

All lanes:

HRP labelled goat anti rabbit at 1/2000 dilution

Predicted band size: 33 kDa

Observed band size: 50 kDa

false

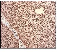
Immunohistochemistry (Formalin/PFA-fixed paraffin-embedded sections) - Anti-PABPN1 antibody [EP3001Y] - BSA and Azide free (AB284766)
  • IHC-P

Supplier Data

Immunohistochemistry (Formalin/PFA-fixed paraffin-embedded sections) - Anti-PABPN1 antibody [EP3001Y] - BSA and Azide free (AB284766)

This data was developed using ab81224, the same antibody clone in a different buffer formulation.Immunohistochemistry staining of paraffin-embedded urinary bladder transitional cell carcinoma tissue, using 1/100 ab81224

Perform heat mediated antigen retrieval with EDTA buffer pH 9 before commencing with IHC staining protocol.

Key facts

Host species

Rabbit

Clonality

Monoclonal

Clone number

EP3001Y

Isotype

IgG

Carrier free

Yes

Reacts with

Human

Applications

IHC-P, Flow Cyt (Intra), WB

applications

Immunogen

The exact immunogen used to generate this antibody is proprietary information.

Reactivity data

{ "title": "Reactivity Data", "filters": { "stats": ["", "Species", "Dilution Info", "Notes"], "tabs": { "all-applications": {"fullname" : "All Applications", "shortname": "All Applications"}, "IP" : {"fullname" : "Immunoprecipitation", "shortname":"IP"}, "WB" : {"fullname" : "Western blot", "shortname":"WB"}, "IHCP" : {"fullname" : "Immunohistochemistry (Formalin/PFA-fixed paraffin-embedded sections)", "shortname":"IHC-P"}, "FlowCytIntra" : {"fullname" : "Flow Cytometry (Intracellular)", "shortname":"Flow Cyt (Intra)"} }, "product-promise": { "all": "all", "testedAndGuaranteed": "tested", "guaranteed": "expected", "predicted": "predicted", "notRecommended": "not-recommended" } }, "values": { "Human": { "IP-species-checked": "notRecommended", "IP-species-dilution-info": "", "IP-species-notes": "<p></p>", "WB-species-checked": "testedAndGuaranteed", "WB-species-dilution-info": "", "WB-species-notes": "<p></p>", "IHCP-species-checked": "testedAndGuaranteed", "IHCP-species-dilution-info": "", "IHCP-species-notes": "<p></p>", "FlowCytIntra-species-checked": "testedAndGuaranteed", "FlowCytIntra-species-dilution-info": "", "FlowCytIntra-species-notes": "<p><a href='/en-us/products/primary-antibodies/rabbit-igg-monoclonal-epr25a-isotype-control-ab172730'>ab172730</a> - Rabbit monoclonal IgG, is suitable for use as an isotype control with this antibody.</p>" } } }

Product details

ab284766 is the carrier-free version of ab81224

Patented technology
Our RabMAb® technology is a patented hybridoma-based technology for making rabbit monoclonal antibodies. For details on our patents, please refer to RabMAb® patents.

Conjugation ready
Our carrier-free antibodies are typically supplied in a PBS-only formulation, purified and free of BSA, sodium azide and glycerol. This conjugation-ready format is designed for use with fluorochromes, metal isotopes, oligonucleotides, and enzymes, which makes them ideal for antibody labelling, functional and cell-based assays, flow-based assays (e.g. mass cytometry) and Multiplex Imaging applications.

Use our conjugation kits for antibody conjugates that are ready-to-use in as little as 20 minutes with 1 minute hands-on-time and 100% antibody recovery: available for fluorescent dyes, HRP, biotin and gold.

Compatibility
This product is compatible with the Maxpar® Antibody Labeling Kit from Fluidigm, without the need for antibody preparation. Maxpar® is a trademark of Fluidigm Canada Inc.

Properties and storage information

Form
Liquid
Purity
Tissue culture supernatant
Storage buffer
pH: 7.2 - 7.4 Constituents: PBS
Shipped at conditions
Blue Ice
Appropriate short-term storage conditions
+4°C
Appropriate long-term storage conditions
+4°C

Supplementary information

This supplementary information is collated from multiple sources and compiled automatically.

PABPN1 also known as polyadenylate-binding nuclear protein 1 is an RNA-binding protein that plays a fundamental role in the regulation of mRNA processing. It is a 31-kilodalton protein that binds to the poly(A) tail of pre-mRNA and stimulates the assembly of the polyadenylation complex thereby influencing the maturation and stability of mRNA transcripts. This protein is predominantly expressed in the nucleus of eukaryotic cells where it performs its important function in post-transcriptional regulation.
Biological function summary

PABPN1 is involved in controlling the polyadenylation process of pre-mRNA which is essential for producing mature mRNA molecules. PABPN1 operates within a multi-protein complex that includes enzymes like poly(A) polymerase and cleavage stimulation factor (CstF). By interacting with these proteins PABPN1 ensures the correct formation of the 3' end of mRNA influencing gene expression regulation and mRNA stability.

Pathways

PABPN1 participates in key cellular pathways such as mRNA processing and nuclear export of mRNA. It operates in concert with other proteins like PABPC1 which aids in the transition of mRNA from the nucleus to the cytoplasm. The protein maintains the balance of mRNA stability and translation efficiency which are critical aspects of efficient gene expression.

PABPN1 mutations are linked to oculopharyngeal muscular dystrophy (OPMD) a genetic condition that leads to muscle weakness. Another related disorder involves its interaction with proteins like HSP70 where its dysfunction may contribute to disrupted protein homeostasis in affected tissues. Studying PABPN1's role in these diseases provides insight into the molecular mechanisms underlying these conditions and aids in the development of potential therapeutic strategies.

Product protocols

For this product, it's our understanding that no specific protocols are required. You can visit:

Target data

Involved in the 3'-end formation of mRNA precursors (pre-mRNA) by the addition of a poly(A) tail of 200-250 nt to the upstream cleavage product (By similarity). Stimulates poly(A) polymerase (PAPOLA) conferring processivity on the poly(A) tail elongation reaction and controls also the poly(A) tail length (By similarity). Increases the affinity of poly(A) polymerase for RNA (By similarity). Is also present at various stages of mRNA metabolism including nucleocytoplasmic trafficking and nonsense-mediated decay (NMD) of mRNA. Cooperates with SKIP to synergistically activate E-box-mediated transcription through MYOD1 and may regulate the expression of muscle-specific genes (PubMed : 11371506). Binds to poly(A) and to poly(G) with high affinity (By similarity). May protect the poly(A) tail from degradation (By similarity). Subunit of the trimeric poly(A) tail exosome targeting (PAXT) complex, a complex that directs a subset of long and polyadenylated poly(A) RNAs for exosomal degradation. The RNA exosome is fundamental for the degradation of RNA in eukaryotic nuclei. Substrate targeting is facilitated by its cofactor MTREX, which links to RNA-binding protein adapters (PubMed : 27871484).
See full target information PABPN1

Product promise

We are committed to supporting your work with high-quality reagents, and we're here for you every step of the way. In the unlikely event that one of our products does not perform as expected, you're protected by our Product Promise.
For full details, please see our Terms & Conditions

Please note: All products are 'FOR RESEARCH USE ONLY. NOT FOR USE IN DIAGNOSTIC OR THERAPEUTIC PROCEDURES'.

For licensing inquiries, please contact partnerships@abcam.com