JavaScript is disabled in your browser. Please enable JavaScript to view this website.
AB216589

Anti-PACAP-38 antibody

Be the first to review this product! Submit a review

|

(2 Publications)

Rabbit Polyclonal PACAP-38 antibody. Suitable for IHC-P and reacts with Rat, Human samples. Cited in 2 publications. Immunogen corresponding to Synthetic Peptide within Human ADCYAP1 aa 100 to C-terminus conjugated to Keyhole Limpet Haemocyanin.

View Alternative Names

Pituitary adenylate cyclase-activating polypeptide, PACAP, ADCYAP1

2 Images
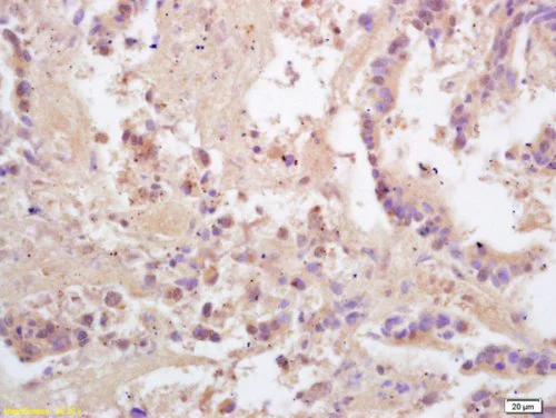
Immunohistochemistry (Formalin/PFA-fixed paraffin-embedded sections) - Anti-PACAP-38 antibody (AB216589)
  • IHC-P

Supplier Data

Immunohistochemistry (Formalin/PFA-fixed paraffin-embedded sections) - Anti-PACAP-38 antibody (AB216589)

Immunohistochemical analysis of formalin-fixed paraffin-embedded human colon carcinoma tissue, labeling PACAP-38 using ab216589 at a 1/200 dilution, followed by conjugation to the secondary antibody and DAB staining.

Immunohistochemistry (Formalin/PFA-fixed paraffin-embedded sections) - Anti-PACAP-38 antibody (AB216589)
  • IHC-P

Supplier Data

Immunohistochemistry (Formalin/PFA-fixed paraffin-embedded sections) - Anti-PACAP-38 antibody (AB216589)

Immunohistochemical analysis of formalin-fixed paraffin-embedded rat brain tissue, labeling PACAP-38 using ab216589 at a 1/200 dilution, followed by conjugation to the secondary antibody and DAB staining.

Key facts

Host species

Rabbit

Clonality

Polyclonal

Isotype

IgG

Carrier free

No

Reacts with

Rat, Human

Applications

IHC-P

applications

Immunogen

Synthetic Peptide within Human ADCYAP1 aa 100 to C-terminus conjugated to Keyhole Limpet Haemocyanin. The exact immunogen used to generate this antibody is proprietary information.

P18509

Reactivity data

{ "title": "Reactivity Data", "filters": { "stats": ["", "Species", "Dilution Info", "Notes"], "tabs": { "all-applications": {"fullname" : "All Applications", "shortname": "All Applications"}, "IHCP" : {"fullname" : "Immunohistochemistry (Formalin/PFA-fixed paraffin-embedded sections)", "shortname":"IHC-P"} }, "product-promise": { "all": "all", "testedAndGuaranteed": "tested", "guaranteed": "expected", "predicted": "predicted", "notRecommended": "not-recommended" } }, "values": { "Human": { "IHCP-species-checked": "testedAndGuaranteed", "IHCP-species-dilution-info": "1/100 - 1/500", "IHCP-species-notes": "<p></p> Perform heat-mediated antigen retrieval with citrate buffer pH 6 before commencing with IHC staining protocol." }, "Rat": { "IHCP-species-checked": "testedAndGuaranteed", "IHCP-species-dilution-info": "1/100 - 1/500", "IHCP-species-notes": "<p></p> Perform heat-mediated antigen retrieval with citrate buffer pH 6 before commencing with IHC staining protocol." } } }

Properties and storage information

Form
Liquid
Purification technique
Affinity purification Protein A
Storage buffer
pH: 7.4 Preservative: 0.02% Proclin 300 Constituents: 50% Glycerol (glycerin, glycerine), 48.98% TBS, 1X, 1% BSA
Shipped at conditions
Blue Ice
Appropriate short-term storage duration
1-2 weeks
Appropriate short-term storage conditions
+4°C
Appropriate long-term storage conditions
-20°C
Aliquoting information
Upon delivery aliquot
Storage information
Avoid freeze / thaw cycle

Supplementary information

This supplementary information is collated from multiple sources and compiled automatically.

Pituitary adenylate cyclase-activating polypeptide-38 (PACAP-38) is a neuropeptide with key roles in the central and peripheral nervous systems. Another name is vasoactive intestinal peptide-related peptide. PACAP-38 is a 38-amino acid peptide and its molecular weight is approximately 4.5 kDa. It expresses widely notably in the hypothalamus pituitary gland and adrenal medulla. PACAP-38 interacts with specific receptors such as PAC1 and VPAC receptors to mediate its functions.
Biological function summary

PACAP-38 modulates various physiological processes through its signaling activities. It acts in neurotransmission neuroprotection and neurogenesis. In the immune system PACAP-38 contributes to anti-inflammatory responses by regulating cytokine production. It does not form part of a larger protein complex but exerts its effects independently via receptor binding serving important roles in maintaining homeostasis.

Pathways

PACAP-38 influences several signaling cascades. It is integral to the cAMP-PKA pathway which is important for regulating a variety of cellular processes including hormonal secretion and metabolic activity. Additionally PACAP-38 is involved in the MAPK/ERK pathway contributing to cell proliferation and survival. Related proteins such as the PAC1 receptor and adenylate cyclase play roles alongside PACAP-38 in these pathways.

PACAP-38 connects to migraine and schizophrenia. PACAP-38's role in dilation of cerebral arteries and its modulation of pain pathways link it to migraine where levels of this peptide can dictate disease manifestation. In schizophrenia altered PACAP-38 signaling affects neural circuits contributing to the disorder's symptoms. Through these disorders PACAP-38 interacts with proteins like calcitonin gene-related peptide (CGRP) in migraines and dopamine receptors in psychiatric conditions.

Product protocols

For this product, it's our understanding that no specific protocols are required. You can visit:

Target data

Binding to its receptor activates G proteins and stimulates adenylate cyclase in pituitary cells. Promotes neuron projection development through the RAPGEF2/Rap1/B-Raf/ERK pathway. In chromaffin cells, induces long-lasting increase of intracellular calcium concentrations and neuroendocrine secretion (By similarity). Involved in the control of glucose homeostasis, induces insulin secretion by pancreatic beta cells (By similarity).
See full target information ADCYAP1

Publications (2)

Recent publications for all applications. Explore the full list and refine your search

Nature communications 14:5986 PubMed37794031

2023

Integration of 3D-printed cerebral cortical tissue into an ex vivo lesioned brain slice.

Applications

Unspecified application

Species

Unspecified reactive species

Yongcheng Jin,Ellina Mikhailova,Ming Lei,Sally A Cowley,Tianyi Sun,Xingyun Yang,Yujia Zhang,Kaili Liu,Daniel Catarino da Silva,Luana Campos Soares,Sara Bandiera,Francis G Szele,Zoltán Molnár,Linna Zhou,Hagan Bayley

eLife 7: PubMed29972353

2018

Loss of from neurons regulating hypoxic and hypercapnic chemoresponses causes neonatal respiratory failure in mice.

Applications

Unspecified application

Species

Unspecified reactive species

Meike E van der Heijden,Huda Y Zoghbi
View all publications

Product promise

We are committed to supporting your work with high-quality reagents, and we're here for you every step of the way. In the unlikely event that one of our products does not perform as expected, you're protected by our Product Promise.
For full details, please see our Terms & Conditions

Please note: All products are 'FOR RESEARCH USE ONLY. NOT FOR USE IN DIAGNOSTIC OR THERAPEUTIC PROCEDURES'.

For licensing inquiries, please contact partnerships@abcam.com