JavaScript is disabled in your browser. Please enable JavaScript to view this website.
AB216627

Anti-PACAP-38 antibody

Be the first to review this product! Submit a review

|

(7 Publications)

Rabbit Polyclonal PACAP-38 antibody. Suitable for IHC-P and reacts with Mouse, Rat, Human samples. Cited in 7 publications. Immunogen corresponding to Synthetic Peptide within Human ADCYAP1 aa 150 to C-terminus conjugated to Keyhole Limpet Haemocyanin.

View Alternative Names

Pituitary adenylate cyclase-activating polypeptide, PACAP, ADCYAP1

3 Images
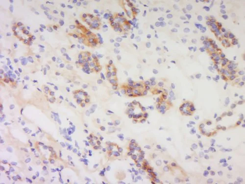
Immunohistochemistry (Formalin/PFA-fixed paraffin-embedded sections) - Anti-PACAP-38 antibody (AB216627)
  • IHC-P

Supplier Data

Immunohistochemistry (Formalin/PFA-fixed paraffin-embedded sections) - Anti-PACAP-38 antibody (AB216627)

Immunohistochemical analysis of formalin-fixed paraffin-embedded Human kidney tissue, labeling PACAP-38 using ab216627 at a 1/200 dilution, followed by conjugation to the secondary antibody and DAB staining.

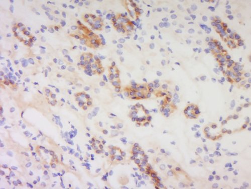
Immunohistochemistry (Formalin/PFA-fixed paraffin-embedded sections) - Anti-PACAP-38 antibody (AB216627)
  • IHC-P

Supplier Data

Immunohistochemistry (Formalin/PFA-fixed paraffin-embedded sections) - Anti-PACAP-38 antibody (AB216627)

Immunohistochemical analysis of formalin-fixed paraffin-embedded mouse small intestine tissue, labeling PACAP-38 using ab216627 at a 1/200 dilution, followed by conjugation to the secondary antibody and DAB staining.

Immunohistochemistry (Formalin/PFA-fixed paraffin-embedded sections) - Anti-PACAP-38 antibody (AB216627)
  • IHC-P

Supplier Data

Immunohistochemistry (Formalin/PFA-fixed paraffin-embedded sections) - Anti-PACAP-38 antibody (AB216627)

Immunohistochemical analysis of formalin-fixed paraffin-embedded rat brain tissue, labeling PACAP-38 using ab216627 at a 1/200 dilution, followed by conjugation to the secondary antibody and DAB staining.

Key facts

Host species

Rabbit

Clonality

Polyclonal

Isotype

IgG

Carrier free

No

Reacts with

Mouse, Rat, Human

Applications

IHC-P

applications

Immunogen

Synthetic Peptide within Human ADCYAP1 aa 150 to C-terminus conjugated to Keyhole Limpet Haemocyanin. The exact immunogen used to generate this antibody is proprietary information.

P18509

Specificity

ab216627 is specific to the cleaved PACAP-38 chain.

Reactivity data

{ "title": "Reactivity Data", "filters": { "stats": ["", "Species", "Dilution Info", "Notes"], "tabs": { "all-applications": {"fullname" : "All Applications", "shortname": "All Applications"}, "IHCP" : {"fullname" : "Immunohistochemistry (Formalin/PFA-fixed paraffin-embedded sections)", "shortname":"IHC-P"} }, "product-promise": { "all": "all", "testedAndGuaranteed": "tested", "guaranteed": "expected", "predicted": "predicted", "notRecommended": "not-recommended" } }, "values": { "Human": { "IHCP-species-checked": "testedAndGuaranteed", "IHCP-species-dilution-info": "1/100 - 1/500", "IHCP-species-notes": "<p>When using a fluorescent probe the recommended dilution is 1/50 – 1/200.</p> Perform heat-mediated antigen retrieval with citrate buffer pH 6 before commencing with IHC staining protocol." }, "Mouse": { "IHCP-species-checked": "testedAndGuaranteed", "IHCP-species-dilution-info": "1/100 - 1/500", "IHCP-species-notes": "<p>When using a fluorescent probe the recommended dilution is 1/50 – 1/200.</p> Perform heat-mediated antigen retrieval with citrate buffer pH 6 before commencing with IHC staining protocol." }, "Rat": { "IHCP-species-checked": "testedAndGuaranteed", "IHCP-species-dilution-info": "1/100 - 1/500", "IHCP-species-notes": "<p>When using a fluorescent probe the recommended dilution is 1/50 – 1/200.</p> Perform heat-mediated antigen retrieval with citrate buffer pH 6 before commencing with IHC staining protocol." } } }

Properties and storage information

Form
Liquid
Purification technique
Affinity purification Protein A
Storage buffer
pH: 7.4 Preservative: 0.02% Proclin 300 Constituents: 50% Glycerol (glycerin, glycerine), 48.98% TBS, 1X, 1% BSA
Shipped at conditions
Blue Ice
Appropriate short-term storage duration
1-2 weeks
Appropriate short-term storage conditions
+4°C
Appropriate long-term storage conditions
-20°C
Aliquoting information
Upon delivery aliquot
Storage information
Avoid freeze / thaw cycle

Supplementary information

This supplementary information is collated from multiple sources and compiled automatically.

Pituitary adenylate cyclase-activating polypeptide-38 (PACAP-38) is a neuropeptide with key roles in the central and peripheral nervous systems. Another name is vasoactive intestinal peptide-related peptide. PACAP-38 is a 38-amino acid peptide and its molecular weight is approximately 4.5 kDa. It expresses widely notably in the hypothalamus pituitary gland and adrenal medulla. PACAP-38 interacts with specific receptors such as PAC1 and VPAC receptors to mediate its functions.
Biological function summary

PACAP-38 modulates various physiological processes through its signaling activities. It acts in neurotransmission neuroprotection and neurogenesis. In the immune system PACAP-38 contributes to anti-inflammatory responses by regulating cytokine production. It does not form part of a larger protein complex but exerts its effects independently via receptor binding serving important roles in maintaining homeostasis.

Pathways

PACAP-38 influences several signaling cascades. It is integral to the cAMP-PKA pathway which is important for regulating a variety of cellular processes including hormonal secretion and metabolic activity. Additionally PACAP-38 is involved in the MAPK/ERK pathway contributing to cell proliferation and survival. Related proteins such as the PAC1 receptor and adenylate cyclase play roles alongside PACAP-38 in these pathways.

PACAP-38 connects to migraine and schizophrenia. PACAP-38's role in dilation of cerebral arteries and its modulation of pain pathways link it to migraine where levels of this peptide can dictate disease manifestation. In schizophrenia altered PACAP-38 signaling affects neural circuits contributing to the disorder's symptoms. Through these disorders PACAP-38 interacts with proteins like calcitonin gene-related peptide (CGRP) in migraines and dopamine receptors in psychiatric conditions.

Product protocols

For this product, it's our understanding that no specific protocols are required. You can visit:

Target data

Binding to its receptor activates G proteins and stimulates adenylate cyclase in pituitary cells. Promotes neuron projection development through the RAPGEF2/Rap1/B-Raf/ERK pathway. In chromaffin cells, induces long-lasting increase of intracellular calcium concentrations and neuroendocrine secretion (By similarity). Involved in the control of glucose homeostasis, induces insulin secretion by pancreatic beta cells (By similarity).
See full target information ADCYAP1

Publications (7)

Recent publications for all applications. Explore the full list and refine your search

Acta neuropathologica communications 13:35 PubMed39972389

2025

Spatial analysis of a complete DIPG-infiltrated brainstem reveals novel ligand-receptor mediators of tumour-to-TME crosstalk.

Applications

Unspecified application

Species

Unspecified reactive species

Anja Kordowski,Onkar Mulay,Xiao Tan,Tuan Vo,Ulrich Baumgartner,Mellissa K Maybury,Timothy Hassall,Lachlan Harris,Quan Nguyen,Bryan W Day

CNS neuroscience & therapeutics 30:e14743 PubMed38780008

2024

Electroacupuncture regulates Rab5a-mediating NGF transduction to improve learning and memory ability in the early stage of AD mice.

Applications

Unspecified application

Species

Unspecified reactive species

Jianhong Li,Minguang Yang,Yaling Dai,Xiaoqin Guo,Yanyi Ding,Xiaoling Li,Shenghang Zhang,Wenshan Xu,Lidian Chen,Jing Tao,Weilin Liu

International journal of molecular sciences 23: PubMed36555637

2022

Novel Small Molecule Positive Allosteric Modulator SPAM1 Triggers the Nuclear Translocation of PAC1-R to Exert Neuroprotective Effects through Neuron-Restrictive Silencer Factor.

Applications

Unspecified application

Species

Unspecified reactive species

Guangchun Fan,Shang Chen,Lili Liang,Huahua Zhang,Rongjie Yu

International journal of environmental research and public health 19: PubMed35627499

2022

Endocrine Disruptor Bisphenol a Affects the Neurochemical Profile of Nerve Fibers in the Aortic Arch Wall in the Domestic Pig.

Applications

Unspecified application

Species

Unspecified reactive species

Liliana Rytel,László Könyves,Slawomir Gonkowski

Translational psychiatry 10:396 PubMed33177511

2020

Early-life stress alters affective behaviors in adult mice through persistent activation of CRH-BDNF signaling in the oval bed nucleus of the stria terminalis.

Applications

Unspecified application

Species

Unspecified reactive species

Pu Hu,Isabella Maita,Mimi L Phan,Edward Gu,Christopher Kwok,Andrew Dieterich,Mark M Gergues,Christine N Yohn,Yu Wang,Jiang-Ning Zhou,Xin-Rui Qi,Dick F Swaab,Zhiping P Pang,Paul J Lucassen,Troy A Roepke,Benjamin A Samuels

The Journal of neuroscience : the official journal 40:2519-2537 PubMed32054675

2020

Chronic Stress Induces Maladaptive Behaviors by Activating Corticotropin-Releasing Hormone Signaling in the Mouse Oval Bed Nucleus of the Stria Terminalis.

Applications

Unspecified application

Species

Unspecified reactive species

Pu Hu,Ji Liu,Isabella Maita,Christopher Kwok,Edward Gu,Mark M Gergues,Frederric Kelada,Mimi Phan,Jiang-Ning Zhou,Dick F Swaab,Zhiping P Pang,Paul J Lucassen,Troy A Roepke,Benjamin A Samuels

Frontiers in neuroscience 13:1326 PubMed31920495

2019

Distinct VIP and PACAP Functions in the Distal Nerve Stump During Peripheral Nerve Regeneration.

Applications

Unspecified application

Species

Unspecified reactive species

Patricia K Woodley,Qing Min,Yankun Li,Nina F Mulvey,David B Parkinson,Xin-Peng Dun
View all publications

Product promise

We are committed to supporting your work with high-quality reagents, and we're here for you every step of the way. In the unlikely event that one of our products does not perform as expected, you're protected by our Product Promise.
For full details, please see our Terms & Conditions

Please note: All products are 'FOR RESEARCH USE ONLY. NOT FOR USE IN DIAGNOSTIC OR THERAPEUTIC PROCEDURES'.

For licensing inquiries, please contact partnerships@abcam.com