JavaScript is disabled in your browser. Please enable JavaScript to view this website.
AB181205

Anti-PACAP antibody [EPR11544]

Be the first to review this product! Submit a review

|

(12 Publications)

Rabbit Recombinant Monoclonal PACAP antibody. Suitable for WB, IHC-P and reacts with Human samples. Cited in 12 publications.

View Alternative Names

MEDA7, PACAP, HSPC190, MZB1, Marginal zone B- and B1-cell-specific protein, Mesenteric estrogen-dependent adipose 7, Plasma cell-induced resident endoplasmic reticulum protein, Proapoptotic caspase adapter protein, MEDA-7, Plasma cell-induced resident ER protein, pERp1

3 Images
Immunohistochemistry (Formalin/PFA-fixed paraffin-embedded sections) - Anti-PACAP antibody [EPR11544] (AB181205)
  • IHC-P

Supplier Data

Immunohistochemistry (Formalin/PFA-fixed paraffin-embedded sections) - Anti-PACAP antibody [EPR11544] (AB181205)

Immunohistochemical analysis of paraffin-embedded Human pancreas tissue labeling PACAP with ab181205 at 1/250 dilution. The slide is counterstained with Hematoxylin.

Perform heat mediated antigen retrieval with EDTA buffer pH 9 before commencing with IHC staining protocol.

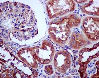
Immunohistochemistry (Formalin/PFA-fixed paraffin-embedded sections) - Anti-PACAP antibody [EPR11544] (AB181205)
  • IHC-P

Supplier Data

Immunohistochemistry (Formalin/PFA-fixed paraffin-embedded sections) - Anti-PACAP antibody [EPR11544] (AB181205)

Immunohistochemical analysis of paraffin-embedded Human kidney tissue labeling PACAP with ab181205 at 1/250 dilution. The slide is counterstained with Hematoxylin.

Perform heat mediated antigen retrieval with EDTA buffer pH 9 before commencing with IHC staining protocol.

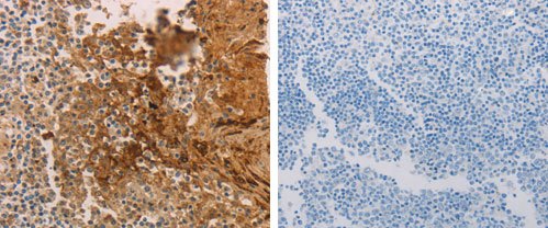
Western blot - Anti-PACAP antibody [EPR11544] (AB181205)
  • WB

Supplier Data

Western blot - Anti-PACAP antibody [EPR11544] (AB181205)

All lanes:

Western blot - Anti-PACAP antibody [EPR11544] (ab181205) at 1/50000 dilution

Lane 1:

Raji cell lysate at 20 µg

Lane 2:

Ramos cell lysate at 20 µg

Lane 3:

MOLT-4 cell lysate at 20 µg

Secondary

All lanes:

Goat Anti-Rabbit IgG, (H+L), Peroxidase conjugated at 1/1000 dilution

Predicted band size: 21 kDa

false

Key facts

Host species

Rabbit

Clonality

Monoclonal

Clone number

EPR11544

Isotype

IgG

Carrier free

No

Reacts with

Human

Applications

WB, IHC-P

applications

Immunogen

The exact immunogen used to generate this antibody is proprietary information.

Reactivity data

{ "title": "Reactivity Data", "filters": { "stats": ["", "Species", "Dilution Info", "Notes"], "tabs": { "all-applications": {"fullname" : "All Applications", "shortname": "All Applications"}, "WB" : {"fullname" : "Western blot", "shortname":"WB"}, "IHCP" : {"fullname" : "Immunohistochemistry (Formalin/PFA-fixed paraffin-embedded sections)", "shortname":"IHC-P"} }, "product-promise": { "all": "all", "testedAndGuaranteed": "tested", "guaranteed": "expected", "predicted": "predicted", "notRecommended": "not-recommended" } }, "values": { "Human": { "WB-species-checked": "testedAndGuaranteed", "WB-species-dilution-info": "1/10000 - 1/50000", "WB-species-notes": "<p></p>", "IHCP-species-checked": "testedAndGuaranteed", "IHCP-species-dilution-info": "1/100 - 1/250", "IHCP-species-notes": "<p></p> Perform heat-mediated antigen retrieval with Tris/EDTA buffer pH 9.0 before commencing with IHC staining protocol." }, "Mouse": { "WB-species-checked": "predicted", "WB-species-dilution-info": "", "WB-species-notes": "", "IHCP-species-checked": "predicted", "IHCP-species-dilution-info": "", "IHCP-species-notes": "" }, "Rat": { "WB-species-checked": "predicted", "WB-species-dilution-info": "", "WB-species-notes": "", "IHCP-species-checked": "predicted", "IHCP-species-dilution-info": "", "IHCP-species-notes": "" } } }

Product details

Patented technology
Our RabMAb® technology is a patented hybridoma-based technology for making rabbit monoclonal antibodies. For details on our patents, please refer to RabMAb® patents.

What are the advantages of a recombinant monoclonal antibody?
This product is a recombinant monoclonal antibody, which offers several advantages including:

  • - High batch-to-batch consistency and reproducibility
  • - Improved sensitivity and specificity
  • - Long-term security of supply
  • - Animal-free batch production

For more information, read more on recombinant antibodies.

Properties and storage information

Form
Liquid
Purification technique
Affinity purification Protein A
Storage buffer
Preservative: 0.01% Sodium azide Constituents: PBS, 40% Glycerol (glycerin, glycerine), 0.05% BSA
Shipped at conditions
Blue Ice
Appropriate short-term storage duration
1-2 weeks
Appropriate short-term storage conditions
+4°C
Appropriate long-term storage conditions
-20°C
Aliquoting information
Upon delivery aliquot
Storage information
Avoid freeze / thaw cycle

Product protocols

For this product, it's our understanding that no specific protocols are required. You can visit:

Target data

Associates with immunoglobulin M (IgM) heavy and light chains and promotes IgM assembly and secretion. May exert its effect by acting as a molecular chaperone or as an oxidoreductase as it displays a low level of oxidoreductase activity (By similarity). Isoform 2 may be involved in regulation of apoptosis. Helps to diversify peripheral B-cell functions by regulating Ca(2+) stores, antibody secretion and integrin activation.. Acts as a hormone-regulated adipokine/pro-inflammatory cytokine that is implicated in causing chronic inflammation, affecting cellular expansion and blunting insulin response in adipocytes. May have a role in the onset of insulin resistance.
See full target information MZB1

Publications (12)

Recent publications for all applications. Explore the full list and refine your search

Journal of translational medicine 23:227 PubMed40001145

2025

Revolutionizing the treatment of intervertebral disc degeneration: an approach based on molecular typing.

Applications

Unspecified application

Species

Unspecified reactive species

Shaofeng Chen,Wei Zhang,Yifan Liu,Runzhi Huang,Xiaoyi Zhou,Xianzhao Wei

Frontiers in pharmacology 15:1442831 PubMed39206261

2024

Puerarin attenuates myocardial ischemic injury and endoplasmic reticulum stress by upregulating the Mzb1 signal pathway.

Applications

Unspecified application

Species

Unspecified reactive species

Jiaojiao Xue,Haolin Ren,Qi Zhang,Jing Gu,Qian Xu,Jiaxi Sun,Lu Zhang,Ming-Sheng Zhou

Journal of cellular and molecular medicine 27:3692-3705 PubMed37830980

2023

Dedifferentiated Schwann cells promote perineural invasion mediated by the PACAP paracrine signalling in cervical cancer.

Applications

Unspecified application

Species

Unspecified reactive species

Guoqiang Chen,Zhen Zheng,Hao Sun,Jiahao You,Jing Chu,Jinghai Gao,Lei Qiu,Xiaojun Liu

Nature communications 14:3958 PubMed37402769

2023

Whole genome sequencing identifies genetic variants associated with neurogenic inflammation in rosacea.

Applications

Unspecified application

Species

Unspecified reactive species

Zhili Deng,Mengting Chen,Zhixiang Zhao,Wenqin Xiao,Tangxiele Liu,Qinqin Peng,Zheng Wu,San Xu,Wei Shi,Dan Jian,Ben Wang,Fangfen Liu,Yan Tang,Yingxue Huang,Yiya Zhang,Qian Wang,Lunquan Sun,Hongfu Xie,Guohong Zhang,Ji Li

The Korean journal of pain 36:335-346 PubMed37394274

2023

Perampanel ameliorates nitroglycerin-induced migraine through inhibition of the cAMP/PKA/CREB signaling pathway in the trigeminal ganglion in rats.

Applications

Unspecified application

Species

Unspecified reactive species

QingLing Zhai,KaiXin Wang,Defu Zhang,Jinbo Chen,XiaoMeng Dong,Yonghui Pan

The Journal of general physiology 155: PubMed36538657

2022

PACAP and acetylcholine cause distinct Ca2+ signals and secretory responses in chromaffin cells.

Applications

Unspecified application

Species

Unspecified reactive species

Alina Morales,Ramkumar Mohan,Xiaohuan Chen,Breanna L Coffman,Mounir Bendahmane,Lester Watch,Joshua L West,Shreeya Bakshi,John R Traynor,David R Giovannucci,Paul J Kammermeier,Daniel Axelrod,Kevin P M Currie,Alan V Smrcka,Arun Anantharam

iScience 25:105366 PubMed36339258

2022

Single-cell RNA-seq transcriptomic landscape of human and mouse islets and pathological alterations of diabetes.

Applications

Unspecified application

Species

Unspecified reactive species

Kai Chen,Junqing Zhang,Youyuan Huang,Xiaodong Tian,Yinmo Yang,Aimei Dong

Translational neuroscience 12:523-532 PubMed34963819

2021

Neuropeptide changes in an improved migraine model with repeat stimulations.

Applications

Unspecified application

Species

Unspecified reactive species

Yichen Guo,Yawen Cheng,Jiaqi An,Yi Qi,Guogang Luo

Genetics and molecular biology 44:e20200463 PubMed34807222

2021

Overexpression of RAPGEF3 enhances the therapeutic effect of dezocine in treatment of neuropathic pain.

Applications

Unspecified application

Species

Unspecified reactive species

Xue Liu,Li Song,Xiaojun Ma,Yong Liu,Hui Huang,Yongsheng Xu,Wei Yan

Free radical biology & medicine 174:236-248 PubMed34400297

2021

Pituitary adenylate cyclase-activating polypeptide attenuates mitochondria-mediated oxidative stress and neuronal apoptosis after subarachnoid hemorrhage in rats.

Applications

Unspecified application

Species

Unspecified reactive species

Yuanjian Fang,Hui Shi,Lei Huang,Reng Ren,Cameron Lenahan,Jie Xiao,Yu Liu,Rui Liu,Rajvee Sanghavi,Chenguang Li,Sheng Chen,Jiping Tang,Jun Yu,John H Zhang,Jianmin Zhang
View all publications

Product promise

We are committed to supporting your work with high-quality reagents, and we're here for you every step of the way. In the unlikely event that one of our products does not perform as expected, you're protected by our Product Promise.
For full details, please see our Terms & Conditions

Please note: All products are 'FOR RESEARCH USE ONLY. NOT FOR USE IN DIAGNOSTIC OR THERAPEUTIC PROCEDURES'.

For licensing inquiries, please contact partnerships@abcam.com