JavaScript is disabled in your browser. Please enable JavaScript to view this website.
AB250425

Anti-PACAP antibody [EPR11544] - BSA and Azide free

3

(1 Review)

|

(1 Publication)

Rabbit Recombinant Monoclonal PACAP antibody. Carrier free. Suitable for WB, IHC-P and reacts with Human samples. Cited in 1 publication.

View Alternative Names

MEDA7, PACAP, HSPC190, MZB1, Marginal zone B- and B1-cell-specific protein, Mesenteric estrogen-dependent adipose 7, Plasma cell-induced resident endoplasmic reticulum protein, Proapoptotic caspase adapter protein, MEDA-7, Plasma cell-induced resident ER protein, pERp1

3 Images
Immunohistochemistry (Formalin/PFA-fixed paraffin-embedded sections) - Anti-PACAP antibody [EPR11544] - BSA and Azide free (AB250425)
  • IHC-P

Supplier Data

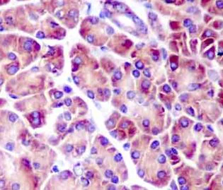
Immunohistochemistry (Formalin/PFA-fixed paraffin-embedded sections) - Anti-PACAP antibody [EPR11544] - BSA and Azide free (AB250425)

This data was developed using ab181205, the same antibody clone in a different buffer formulation.

Immunohistochemical analysis of paraffin-embedded Human pancreas tissue labeling PACAP with ab181205 at 1/250 dilution. The slide is counterstained with Hematoxylin.

Perform heat mediated antigen retrieval with EDTA buffer pH 9 before commencing with IHC staining protocol.

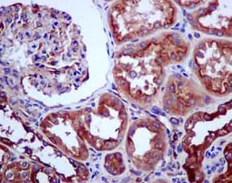
Immunohistochemistry (Formalin/PFA-fixed paraffin-embedded sections) - Anti-PACAP antibody [EPR11544] - BSA and Azide free (AB250425)
  • IHC-P

Supplier Data

Immunohistochemistry (Formalin/PFA-fixed paraffin-embedded sections) - Anti-PACAP antibody [EPR11544] - BSA and Azide free (AB250425)

This data was developed using ab181205, the same antibody clone in a different buffer formulation.

Immunohistochemical analysis of paraffin-embedded Human kidney tissue labeling PACAP with ab181205 at 1/250 dilution. The slide is counterstained with Hematoxylin.

Perform heat mediated antigen retrieval with EDTA buffer pH 9 before commencing with IHC staining protocol.

Western blot - Anti-PACAP antibody [EPR11544] - BSA and Azide free (AB250425)
  • WB

Supplier Data

Western blot - Anti-PACAP antibody [EPR11544] - BSA and Azide free (AB250425)

This data was developed using ab181205, the same antibody clone in a different buffer formulation.

All lanes:

Western blot - Anti-PACAP antibody [EPR11544] (<a href='/en-us/products/primary-antibodies/pacap-antibody-epr11544-ab181205'>ab181205</a>) at 1/50000 dilution

Lane 1:

Raji cell lysate at 20 µg

Lane 2:

Ramos cell lysate at 20 µg

Lane 3:

MOLT-4 cell lysate at 20 µg

Secondary

All lanes:

Goat Anti-Rabbit IgG, (H+L), Peroxidase conjugated at 1/1000 dilution

Predicted band size: 21 kDa

false

Key facts

Host species

Rabbit

Clonality

Monoclonal

Clone number

EPR11544

Isotype

IgG

Carrier free

Yes

Reacts with

Human

Applications

IHC-P, WB

applications

Immunogen

The exact immunogen used to generate this antibody is proprietary information.

Reactivity data

{ "title": "Reactivity Data", "filters": { "stats": ["", "Species", "Dilution Info", "Notes"], "tabs": { "all-applications": {"fullname" : "All Applications", "shortname": "All Applications"}, "WB" : {"fullname" : "Western blot", "shortname":"WB"}, "IHCP" : {"fullname" : "Immunohistochemistry (Formalin/PFA-fixed paraffin-embedded sections)", "shortname":"IHC-P"} }, "product-promise": { "all": "all", "testedAndGuaranteed": "tested", "guaranteed": "expected", "predicted": "predicted", "notRecommended": "not-recommended" } }, "values": { "Human": { "WB-species-checked": "testedAndGuaranteed", "WB-species-dilution-info": "", "WB-species-notes": "<p></p>", "IHCP-species-checked": "testedAndGuaranteed", "IHCP-species-dilution-info": "", "IHCP-species-notes": "<p></p>" }, "Mouse": { "WB-species-checked": "predicted", "WB-species-dilution-info": "", "WB-species-notes": "", "IHCP-species-checked": "predicted", "IHCP-species-dilution-info": "", "IHCP-species-notes": "" }, "Rat": { "WB-species-checked": "predicted", "WB-species-dilution-info": "", "WB-species-notes": "", "IHCP-species-checked": "predicted", "IHCP-species-dilution-info": "", "IHCP-species-notes": "" } } }

Product details

ab250425 is the carrier-free version of ab181205.

Patented technology
Our RabMAb® technology is a patented hybridoma-based technology for making rabbit monoclonal antibodies. For details on our patents, please refer to RabMAb® patents.

What are the advantages of a recombinant monoclonal antibody?
This product is a recombinant monoclonal antibody, which offers several advantages including:

  • - High batch-to-batch consistency and reproducibility
  • - Improved sensitivity and specificity
  • - Long-term security of supply
  • - Animal-free batch production

For more information, read more on recombinant antibodies.

Conjugation ready
Our carrier-free antibodies are typically supplied in a PBS-only formulation, purified and free of BSA, sodium azide and glycerol. This conjugation-ready format is designed for use with fluorochromes, metal isotopes, oligonucleotides, and enzymes, which makes them ideal for antibody labelling, functional and cell-based assays, flow-based assays (e.g. mass cytometry) and Multiplex Imaging applications.

Use our conjugation kits for antibody conjugates that are ready-to-use in as little as 20 minutes with 1 minute hands-on-time and 100% antibody recovery: available for fluorescent dyes, HRP, biotin and gold.

Compatibility
This product is compatible with the Maxpar® Antibody Labeling Kit from Fluidigm, without the need for antibody preparation. Maxpar® is a trademark of Fluidigm Canada Inc.

Properties and storage information

Form
Liquid
Purification technique
Affinity purification Protein A
Storage buffer
pH: 7.2 - 7.4 Constituents: PBS
Shipped at conditions
Blue Ice
Appropriate short-term storage conditions
+4°C
Appropriate long-term storage conditions
+4°C
Storage information
Do Not Freeze

Product protocols

For this product, it's our understanding that no specific protocols are required. You can visit:

Target data

Associates with immunoglobulin M (IgM) heavy and light chains and promotes IgM assembly and secretion. May exert its effect by acting as a molecular chaperone or as an oxidoreductase as it displays a low level of oxidoreductase activity (By similarity). Isoform 2 may be involved in regulation of apoptosis. Helps to diversify peripheral B-cell functions by regulating Ca(2+) stores, antibody secretion and integrin activation.. Acts as a hormone-regulated adipokine/pro-inflammatory cytokine that is implicated in causing chronic inflammation, affecting cellular expansion and blunting insulin response in adipocytes. May have a role in the onset of insulin resistance.
See full target information MZB1

Publications (1)

Recent publications for all applications. Explore the full list and refine your search

Evidence-based complementary and alternative medicine : eCAM 2022:7757833 PubMed36091585

2022

Esculentoside A Alleviates Intestinal Dysmotility in Ulcerative Colitis by Regulating HS/CSE and NO/nNOS Systems.

Applications

Unspecified application

Species

Unspecified reactive species

Ying Liu,Wenhua Wei,Shiwei Liang,Haicheng Fang,Jie Cao
View all publications

Product promise

We are committed to supporting your work with high-quality reagents, and we're here for you every step of the way. In the unlikely event that one of our products does not perform as expected, you're protected by our Product Promise.
For full details, please see our Terms & Conditions

Please note: All products are 'FOR RESEARCH USE ONLY. NOT FOR USE IN DIAGNOSTIC OR THERAPEUTIC PROCEDURES'.

For licensing inquiries, please contact partnerships@abcam.com