JavaScript is disabled in your browser. Please enable JavaScript to view this website.
AB323573

Anti-PACSIN1 antibody [EPR29589-587]

  • BOND RX™ Validated
  • RabMAb
  • Recombinant
  • 20ul selling size
  • What is this?

Be the first to review this product! Submit a review

|

(0 Publication)

Rabbit Recombinant Monoclonal PACSIN1 antibody. Suitable for WB, IHC-P and reacts with Recombinant fragment - Human, Human, Mouse, Rat samples.

View Alternative Names

KIAA1379, PACSIN1, Protein kinase C and casein kinase substrate in neurons protein 1, Syndapin-1

10 Images
Immunohistochemistry (Formalin/PFA-fixed paraffin-embedded sections) - Anti-PACSIN1 antibody [EPR29589-587] (AB323573)
  • IHC-P

Supplier Data

Immunohistochemistry (Formalin/PFA-fixed paraffin-embedded sections) - Anti-PACSIN1 antibody [EPR29589-587] (AB323573)

Immunohistochemical analysis of paraffin-embedded Human liver tissue labeling PACSIN1 with ab323573 at 1/2000 (0.104 ug/ml) dilution, followed by a ready to use LeicaDS9800 (Bond™ Polymer Refine Detection).

Negative control : no staining on human liver. The section was incubated with ab323573 for 10 mins at room temperature.
Incubate slides with 3% Hydrogen Peroxide for 10 mins at room temperature after secondary antibody incubation to reduce the background.
The immunostaining was performed on a Leica Biosystems BOND® RX instrument

Counterstained with Hematoxylin.

Secondary antibody only control : Secondary antibody is a ready to use LeicaDS9800 (Bond™ Polymer Refine Detection).

Heat mediated antigen retrieval was performed with Tris-EDTA buffer (pH 9.0, Epitope Retrieval Solution2) for 20 mins

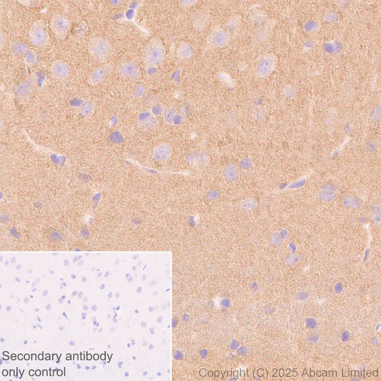
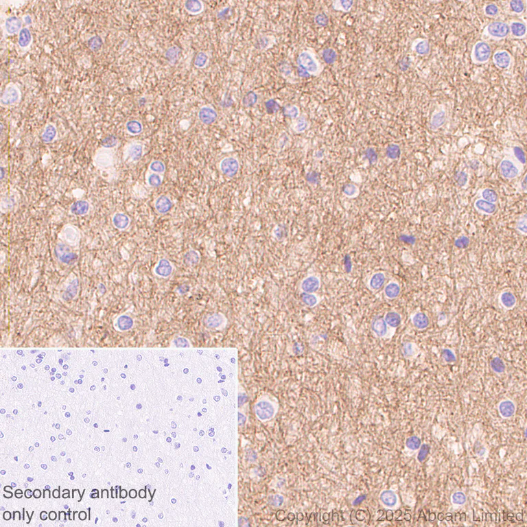
Immunohistochemistry (Formalin/PFA-fixed paraffin-embedded sections) - Anti-PACSIN1 antibody [EPR29589-587] (AB323573)
  • IHC-P

Supplier Data

Immunohistochemistry (Formalin/PFA-fixed paraffin-embedded sections) - Anti-PACSIN1 antibody [EPR29589-587] (AB323573)

Immunohistochemical analysis of paraffin-embedded Human cerebrum tissue labeling PACSIN1 with ab323573 at 1/2000 (0.26 ug/ml) dilution, followed by a ready to use LeicaDS9800 (Bond™ Polymer Refine Detection).

Positive staining on human cerebrum. The section was incubated with ab323573 for 10 mins at room temperature.
Incubate slides with 3% Hydrogen Peroxide for 10 mins at room temperature after secondary antibody incubation to reduce the background.
The immunostaining was performed on a Leica Biosystems BOND® RX instrument

Counterstained with Hematoxylin.

Secondary antibody only control : Secondary antibody is a ready to use LeicaDS9800 (Bond™ Polymer Refine Detection).

Heat mediated antigen retrieval was performed with Tris-EDTA buffer (pH 9.0, Epitope Retrieval Solution2) for 20 mins

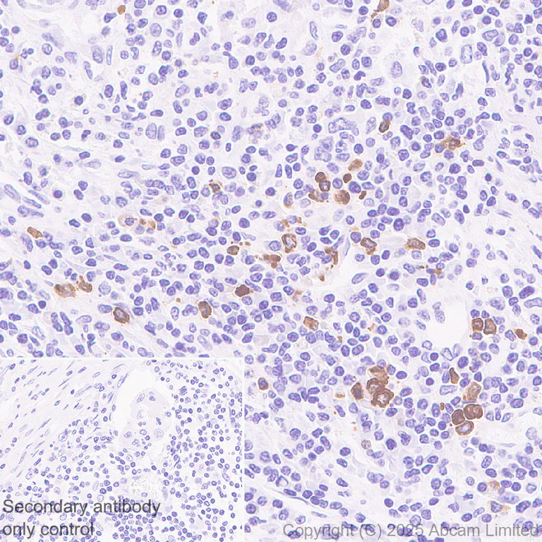
Immunohistochemistry (Formalin/PFA-fixed paraffin-embedded sections) - Anti-PACSIN1 antibody [EPR29589-587] (AB323573)
  • IHC-P

Supplier Data

Immunohistochemistry (Formalin/PFA-fixed paraffin-embedded sections) - Anti-PACSIN1 antibody [EPR29589-587] (AB323573)

Immunohistochemical analysis of paraffin-embedded Human gastric cancer tissue labeling PACSIN1 with ab323573 at 1/2000 (0.104 ug/ml) dilution, followed by a ready to use LeicaDS9800 (Bond™ Polymer Refine Detection).

Positive staining on immune cells of human gastric cancer (PMID : 38826133). The section was incubated with ab323573 for 10 mins at room temperature.
Incubate slides with 3% Hydrogen Peroxide for 10 mins at room temperature after secondary antibody incubation to reduce the background.
The immunostaining was performed on a Leica Biosystems BOND® RX instrument

Counterstained with Hematoxylin.

Secondary antibody only control : Secondary antibody is a ready to use LeicaDS9800 (Bond™ Polymer Refine Detection).

Heat mediated antigen retrieval was performed with Tris-EDTA buffer (pH 9.0, Epitope Retrieval Solution2) for 20 mins

Immunohistochemistry (Formalin/PFA-fixed paraffin-embedded sections) - Anti-PACSIN1 antibody [EPR29589-587] (AB323573)
  • IHC-P

Supplier Data

Immunohistochemistry (Formalin/PFA-fixed paraffin-embedded sections) - Anti-PACSIN1 antibody [EPR29589-587] (AB323573)

Immunohistochemical analysis of paraffin-embedded Mouse cerebrum tissue labeling PACSIN1 with ab323573 at 1/5000 (0.104 ug/ml) dilution, followed by a ready to use LeicaDS9800 (Bond™ Polymer Refine Detection).

Positive staining on mouse cerebrum (PMID : 35534740). The section was incubated with ab323573 for 10 mins at room temperature.
Incubate slides with 3% Hydrogen Peroxide for 10 mins at room temperature after secondary antibody incubation to reduce the background.
The immunostaining was performed on a Leica Biosystems BOND® RX instrument

Counterstained with Hematoxylin.

Secondary antibody only control : Secondary antibody is a ready to use LeicaDS9800 (Bond™ Polymer Refine Detection).

Heat mediated antigen retrieval was performed with Tris-EDTA buffer (pH 9.0, Epitope Retrieval Solution2) for 20 mins

Immunohistochemistry (Formalin/PFA-fixed paraffin-embedded sections) - Anti-PACSIN1 antibody [EPR29589-587] (AB323573)
  • IHC-P

Supplier Data

Immunohistochemistry (Formalin/PFA-fixed paraffin-embedded sections) - Anti-PACSIN1 antibody [EPR29589-587] (AB323573)

Immunohistochemical analysis of paraffin-embedded Rat lung tissue labeling PACSIN1 with ab323573 at 1/5000 (0.104 ug/ml) dilution, followed by a ready to use LeicaDS9800 (Bond™ Polymer Refine Detection).

Negative control : no staining on rat lung. The section was incubated with ab323573 for 10 mins at room temperature.
Incubate slides with 3% Hydrogen Peroxide for 10 mins at room temperature after secondary antibody incubation to reduce the background.
The immunostaining was performed on a Leica Biosystems BOND® RX instrument

Counterstained with Hematoxylin.

Secondary antibody only control : Secondary antibody is a ready to use LeicaDS9800 (Bond™ Polymer Refine Detection).

Heat mediated antigen retrieval was performed with Tris-EDTA buffer (pH 9.0, Epitope Retrieval Solution2) for 20 mins

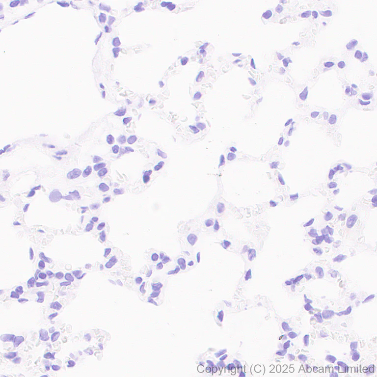
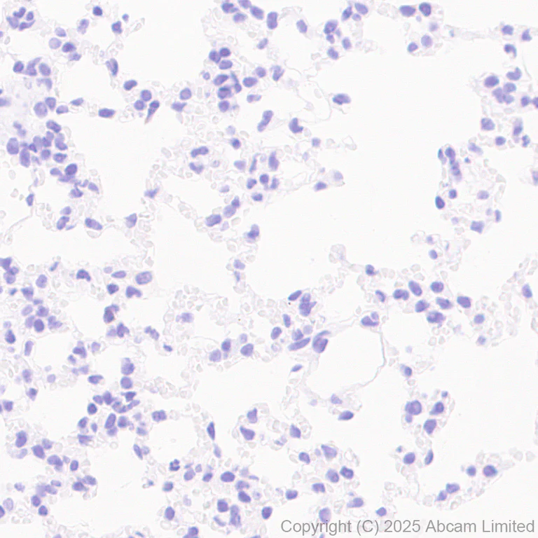
Immunohistochemistry (Formalin/PFA-fixed paraffin-embedded sections) - Anti-PACSIN1 antibody [EPR29589-587] (AB323573)
  • IHC-P

Supplier Data

Immunohistochemistry (Formalin/PFA-fixed paraffin-embedded sections) - Anti-PACSIN1 antibody [EPR29589-587] (AB323573)

Immunohistochemical analysis of paraffin-embedded Mouse lung tissue labeling PACSIN1 with ab323573 at 1/5000 (0.104 ug/ml) dilution, followed by a ready to use LeicaDS9800 (Bond™ Polymer Refine Detection).

Negative control : no staining on mouse lung (PMID : 35534740). The section was incubated with ab323573 for 10 mins at room temperature.
Incubate slides with 3% Hydrogen Peroxide for 10 mins at room temperature after secondary antibody incubation to reduce the background.
The immunostaining was performed on a Leica Biosystems BOND® RX instrument

Counterstained with Hematoxylin.

Secondary antibody only control : Secondary antibody is a ready to use LeicaDS9800 (Bond™ Polymer Refine Detection).

Heat mediated antigen retrieval was performed with Tris-EDTA buffer (pH 9.0, Epitope Retrieval Solution2) for 20 mins

Immunohistochemistry (Formalin/PFA-fixed paraffin-embedded sections) - Anti-PACSIN1 antibody [EPR29589-587] (AB323573)
  • IHC-P

Supplier Data

Immunohistochemistry (Formalin/PFA-fixed paraffin-embedded sections) - Anti-PACSIN1 antibody [EPR29589-587] (AB323573)

Immunohistochemical analysis of paraffin-embedded Rat cerebrum tissue labeling PACSIN1 with ab323573 at 1/5000 (0.104 ug/ml) dilution, followed by a ready to use LeicaDS9800 (Bond™ Polymer Refine Detection).

Positive staining on rat cerebrum. The section was incubated with ab323573 for 10 mins at room temperature.
Incubate slides with 3% Hydrogen Peroxide for 10 mins at room temperature after secondary antibody incubation to reduce the background.
The immunostaining was performed on a Leica Biosystems BOND® RX instrument

Counterstained with Hematoxylin.

Secondary antibody only control : Secondary antibody is a ready to use LeicaDS9800 (Bond™ Polymer Refine Detection).

Heat mediated antigen retrieval was performed with Tris-EDTA buffer (pH 9.0, Epitope Retrieval Solution2) for 20 mins

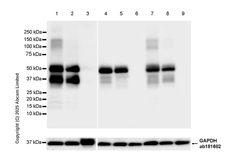
Western blot - Anti-PACSIN1 antibody [EPR29589-587] (AB323573)
  • WB

Supplier Data

Western blot - Anti-PACSIN1 antibody [EPR29589-587] (AB323573)

Blocking and diluting buffer and concentration : 5% NFDM/TBST.

Negative control : Human liver, mouse and rat lung.

Dimerization of two identical 51 kDa subunits of PACSIN1 results in the formation of the approximately 100 kDa band (PMID : 27488904).

In Western blot, Anti-GAPDH antibody [EPR16891] - Loading Control (ab181602) staining at 1/200000 dilution.

All lanes:

Western blot - Anti-PACSIN1 antibody [EPR29589-587] (ab323573) at 1/1000 dilution

Lane 1:

Human hippocampus tissue lysate at 20 µg

Lane 2:

Human cerebellum tissue lysate at 20 µg

Lane 3:

Human liver tissue lysate at 20 µg

Lane 4:

Mouse hippocampus tissue lysate at 20 µg

Lane 5:

Mouse cerebellum tissue lysate at 20 µg

Lane 6:

Mouse lung tissue lysate at 20 µg

Lane 7:

Rat hippocampus tissue lysate at 20 µg

Lane 8:

Rat cerebellum tissue lysate at 20 µg

Lane 9:

Rat lung tissue lysate at 20 µg

Secondary

All lanes:

Western blot - Goat Anti-Rabbit IgG H&L (HRP) (<a href='/en-us/products/secondary-antibodies/goat-rabbit-igg-h-l-hrp-ab97051'>ab97051</a>) at 1/100000 dilution

Observed band size: 51 kDa,36 kDa

false

Exposure time: 180s

Western blot - Anti-PACSIN1 antibody [EPR29589-587] (AB323573)
  • WB

Supplier Data

Western blot - Anti-PACSIN1 antibody [EPR29589-587] (AB323573)

Blocking and diluting buffer and concentration : 5% NFDM/TBST.

Low expression : HeLa, 293T, 4T1.

In Western blot, Anti-GAPDH antibody [EPR16891] - Loading Control (ab181602) staining at 1/200000 dilution.

All lanes:

Western blot - Anti-PACSIN1 antibody [EPR29589-587] (ab323573) at 1/1000 dilution

Lane 1:

U-87 MG (human glioblastoma-astrocytoma epithelial cell) whole cell lysate at 20 µg

Lane 2:

HeLa (human cervical adenocarcinoma epithelial cell) whole cell lysate at 20 µg

Lane 3:

293T (human embryonic kidney epithelial cell) whole cell lysate at 20 µg

Lane 4:

Neuro-2a (mouse neuroblastoma neuroblast) whole cell lysate at 20 µg

Lane 5:

4T1 (mouse mammary gland carcinoma epithelial cell) whole cell lysate at 20 µg

Secondary

All lanes:

Western blot - Goat Anti-Rabbit IgG H&L (HRP) (<a href='/en-us/products/secondary-antibodies/goat-rabbit-igg-h-l-hrp-ab97051'>ab97051</a>) at 1/100000 dilution

Observed band size: 51 kDa,36 kDa

false

Exposure time: 180s

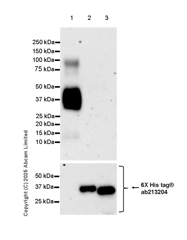
Western blot - Anti-PACSIN1 antibody [EPR29589-587] (AB323573)
  • WB

Supplier Data

Western blot - Anti-PACSIN1 antibody [EPR29589-587] (AB323573)

Blocking and diluting buffer and concentration : 5% NFDM/TBST.

This antibody does not cross-react with recombinant human PACSIN2 and PACSIN3 by Western Blot.

In Western blot, Anti-6X His tag® antibody [EPR20547] - ChIP Grade (ab213204) staining at 1/5000 dilution.

All lanes:

Western blot - Anti-PACSIN1 antibody [EPR29589-587] (ab323573) at 1/1000 dilution

Lane 1:

No-tagged human PACSIN1 recombinant protein at 20 ng

Lane 2:

His-tagged human PACSIN2 recombinant protein at 20 ng

Lane 3:

His-tagged human PACSIN3 recombinant protein at 20 ng

Secondary

All lanes:

Western blot - Goat Anti-Rabbit IgG H&L (HRP) (<a href='/en-us/products/secondary-antibodies/goat-rabbit-igg-h-l-hrp-ab97051'>ab97051</a>) at 1/100000 dilution

Observed band size: 51 kDa,50-55 kDa

false

Exposure time: 180s

Key facts

Host species

Rabbit

Clonality

Monoclonal

Clone number

EPR29589-587

Isotype

IgG

Carrier free

No

Reacts with

Human, Mouse, Rat

Applications

IHC-P, WB

applications

Immunogen

The exact immunogen used to generate this antibody is proprietary information.

Reactivity data

{ "title": "Reactivity Data", "filters": { "stats": ["", "Species", "Dilution Info", "Notes"], "tabs": { "all-applications": {"fullname" : "All Applications", "shortname": "All Applications"}, "WB" : {"fullname" : "Western blot", "shortname":"WB"}, "IHCP" : {"fullname" : "Immunohistochemistry (Formalin/PFA-fixed paraffin-embedded sections)", "shortname":"IHC-P"}, "IP" : {"fullname" : "Immunoprecipitation", "shortname":"IP"}, "ICCIF" : {"fullname" : "Immunocytochemistry/ Immunofluorescence", "shortname":"ICC/IF"} }, "product-promise": { "all": "all", "testedAndGuaranteed": "tested", "guaranteed": "expected", "predicted": "predicted", "notRecommended": "not-recommended" } }, "values": { "Human": { "WB-species-checked": "testedAndGuaranteed", "WB-species-dilution-info": "1/1000", "WB-species-notes": "<p></p>", "IHCP-species-checked": "testedAndGuaranteed", "IHCP-species-dilution-info": "1/2000", "IHCP-species-notes": "<p></p> Perform heat-mediated antigen retrieval with Tris/EDTA buffer pH 9.0 before commencing with IHC staining protocol.", "IP-species-checked": "notRecommended", "IP-species-dilution-info": "", "IP-species-notes": "<p></p>", "ICCIF-species-checked": "notRecommended", "ICCIF-species-dilution-info": "", "ICCIF-species-notes": "<p></p>" }, "Mouse": { "WB-species-checked": "testedAndGuaranteed", "WB-species-dilution-info": "1/1000", "WB-species-notes": "<p></p>", "IHCP-species-checked": "testedAndGuaranteed", "IHCP-species-dilution-info": "1/5000", "IHCP-species-notes": "<p></p> Perform heat-mediated antigen retrieval with Tris/EDTA buffer pH 9.0 before commencing with IHC staining protocol.", "IP-species-checked": "notRecommended", "IP-species-dilution-info": "", "IP-species-notes": "<p></p>", "ICCIF-species-checked": "notRecommended", "ICCIF-species-dilution-info": "", "ICCIF-species-notes": "<p></p>" }, "Rat": { "WB-species-checked": "testedAndGuaranteed", "WB-species-dilution-info": "1/1000", "WB-species-notes": "<p></p>", "IHCP-species-checked": "testedAndGuaranteed", "IHCP-species-dilution-info": "1/5000", "IHCP-species-notes": "<p></p> Perform heat-mediated antigen retrieval with Tris/EDTA buffer pH 9.0 before commencing with IHC staining protocol.", "IP-species-checked": "notRecommended", "IP-species-dilution-info": "", "IP-species-notes": "<p></p>", "ICCIF-species-checked": "notRecommended", "ICCIF-species-dilution-info": "", "ICCIF-species-notes": "<p></p>" }, "Recombinant fragment - Human": { "WB-species-checked": "testedAndGuaranteed", "WB-species-dilution-info": "1/1000", "WB-species-notes": "<p></p>", "IHCP-species-checked": "notRecommended", "IHCP-species-dilution-info": "", "IHCP-species-notes": "", "IP-species-checked": "notRecommended", "IP-species-dilution-info": "", "IP-species-notes": "", "ICCIF-species-checked": "notRecommended", "ICCIF-species-dilution-info": "", "ICCIF-species-notes": "" } } }

Product details

Patented technology
Our RabMAb® technology is a patented hybridoma-based technology for making rabbit monoclonal antibodies. For details on our patents, please refer to RabMAb® patents.

What are the advantages of a recombinant monoclonal antibody?
This product is a recombinant monoclonal antibody, which offers several advantages including:

  • - High batch-to-batch consistency and reproducibility
  • - Improved sensitivity and specificity
  • - Long-term security of supply
  • - Animal-free batch production

For more information, read more on recombinant antibodies.

Properties and storage information

Form
Liquid
Purification technique
Affinity purification Protein A
Storage buffer
pH: 7.2 - 7.4 Preservative: 0.01% Sodium azide Constituents: PBS, 40% Glycerol (glycerin, glycerine), 0.05% BSA
Shipped at conditions
Blue Ice
Appropriate short-term storage duration
1-2 weeks
Appropriate short-term storage conditions
+4°C
Appropriate long-term storage conditions
-20°C
Aliquoting information
Upon delivery aliquot
Storage information
Avoid freeze / thaw cycle

Product protocols

For this product, it's our understanding that no specific protocols are required. You can visit:

Target data

Plays a role in the reorganization of the microtubule cytoskeleton via its interaction with MAPT; this decreases microtubule stability and inhibits MAPT-induced microtubule polymerization. Plays a role in cellular transport processes by recruiting DNM1, DNM2 and DNM3 to membranes. Plays a role in the reorganization of the actin cytoskeleton and in neuron morphogenesis via its interaction with COBL and WASL, and by recruiting COBL to the cell cortex. Plays a role in the regulation of neurite formation, neurite branching and the regulation of neurite length. Required for normal synaptic vesicle endocytosis; this process retrieves previously released neurotransmitters to accommodate multiple cycles of neurotransmission. Required for normal excitatory and inhibitory synaptic transmission (By similarity). Binds to membranes via its F-BAR domain and mediates membrane tubulation.
See full target information PACSIN1

Product promise

We are committed to supporting your work with high-quality reagents, and we're here for you every step of the way. In the unlikely event that one of our products does not perform as expected, you're protected by our Product Promise.
For full details, please see our Terms & Conditions

Please note: All products are 'FOR RESEARCH USE ONLY. NOT FOR USE IN DIAGNOSTIC OR THERAPEUTIC PROCEDURES'.

For licensing inquiries, please contact partnerships@abcam.com