JavaScript is disabled in your browser. Please enable JavaScript to view this website.
AB214810

Anti-PADI4 / PAD4 antibody [EPR20706]

  • BOND RX™ Validated
  • RabMAb
  • Recombinant
  • KO Validated
  • What is this?

5

(1 Review)

|

(44 Publications)

Anti-PADI4 / PAD4 antibody [EPR20706] (ab214810) is a rabbit monoclonal antibody detecting PADI4 / PAD4 in Western Blot, IHC-P. Suitable for Mouse, Rat.

- KO validated for confirmed specificity
- Biophysical QC for unrivalled batch-batch consistency
- Over 20 publications

View Alternative Names

Pad4, Pdi4, Padi4, Protein-arginine deiminase type-4, Peptidylarginine deiminase IV, Protein-arginine deiminase type IV

10 Images
Immunohistochemistry (Formalin/PFA-fixed paraffin-embedded sections) - Anti-PADI4 / PAD4 antibody [EPR20706] (AB214810)
  • IHC-P

Supplier Data

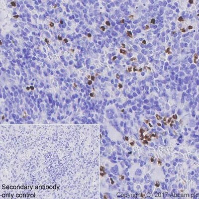
Immunohistochemistry (Formalin/PFA-fixed paraffin-embedded sections) - Anti-PADI4 / PAD4 antibody [EPR20706] (AB214810)

Immunohistochemical analysis of paraffin-embedded mouse spleen tissue labeling PADI4 / PAD4 with ab214810 at 1/1000 dilution, followed by Goat Anti-Rabbit IgG H&L (HRP) Ready to use. Strongly nuclear staining on peripheral blood granulocytes of mouse spleen (PMID : 20733033, PMID : 28281906, PMID : 12393868, PMID : 12833157). Counter stained with hematoxylin.

Secondary antibody only control : Used PBS instead of primary antibody, secondary antibody is Goat Anti-Rabbit IgG H&L (HRP) Ready to use.

Perform heat mediated antigen retrieval with Tris/EDTA buffer pH 9.0 before commencing with IHC staining protocol.

Immunohistochemistry (Formalin/PFA-fixed paraffin-embedded sections) - Anti-PADI4 / PAD4 antibody [EPR20706] (AB214810)
  • IHC-P

Lab

Immunohistochemistry (Formalin/PFA-fixed paraffin-embedded sections) - Anti-PADI4 / PAD4 antibody [EPR20706] (AB214810)

Immunohistochemical analysis of paraffin-embedded (A) Spleen tissue from wild-type C57BL/6J mice and (B) Spleen tissue from Padi4 knockout mice labelling PADI4 / PAD4 with ab214810 at 1/500 (2.052 ug/ml) dilution, followed by a ready to use LeicaDS9800 (Bond™ Polymer Refine Detection).

Positive staining on (A) Spleen tissue from wild-type C57BL/6J mice, no staining on (B) Spleen tissue from Padi4 knockout mice. The primary antibody was incubated for 30 mins at room temperature.

The immunostaining was performed on a Leica Biosystems BOND® RX instrument.

The tissue samples were kindly provided by GemPharmatech. C57BL/6JGpt wildtype mice and Padi4-KO homozygous mice (Strain ID : T011513).

Heat mediated antigen retrieval was performed with Tris-EDTA buffer (pH 9.0, Epitope Retrieval Solution2) for 20 mins.

Immunohistochemistry (Formalin/PFA-fixed paraffin-embedded sections) - Anti-PADI4 / PAD4 antibody [EPR20706] (AB214810)
  • IHC-P

Lab

Immunohistochemistry (Formalin/PFA-fixed paraffin-embedded sections) - Anti-PADI4 / PAD4 antibody [EPR20706] (AB214810)

Immunohistochemical analysis of paraffin-embedded (A) Lung tissue from wild-type C57BL/6J mice (B) Lung tissue from Padi4 knockout mice labelling PADI4 / PAD4 with ab214810 at 1/500 (2.052 ug/ml) dilution, followed by a ready to use LeicaDS9800 (Bond™ Polymer Refine Detection).

Positive staining on (A) lung tissue from wild-type C57BL/6J mice, no staining on (B) lung tissue from Padi4 knockout mice. The primary antibody was incubated for 30 mins at room temperature.

The immunostaining was performed on a Leica Biosystems BOND® RX instrument.

The tissue samples were kindly provided by GemPharmatech. C57BL/6JGpt wildtype mice and Padi4-KO homozygous mice (Strain ID : T011513).

Heat mediated antigen retrieval was performed with Tris-EDTA buffer (pH 9.0, Epitope Retrieval Solution2) for 20 mins.

Immunohistochemistry (Formalin/PFA-fixed paraffin-embedded sections) - Anti-PADI4 / PAD4 antibody [EPR20706] (AB214810)
  • IHC-P

Lab

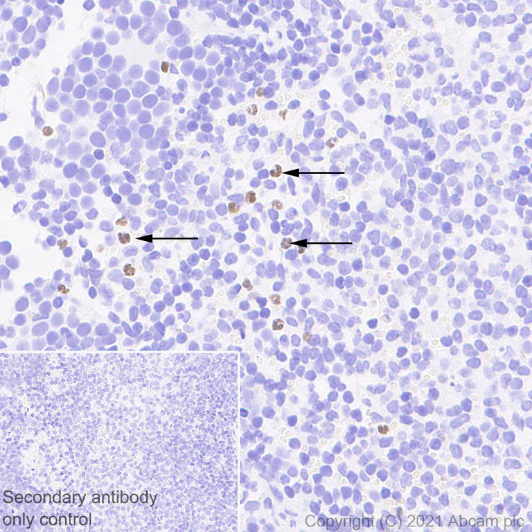
Immunohistochemistry (Formalin/PFA-fixed paraffin-embedded sections) - Anti-PADI4 / PAD4 antibody [EPR20706] (AB214810)

Immunohistochemical analysis of paraffin-embedded Mouse spleen tissue labeling PADI4 / PAD4 with ab214810 at 1/100 (11.55 ug/ml) dilution followed by a ready to use LeicaDS9800 (Bond Polymer Refine Detection) was used. Nuclear staining on granulocytes in mouse spleen.The section was incubated with ab214810 for 30 mins at room temperature.The immunostaining was performed on a Leica Biosystems BOND RX instrument Counterstained with Hematoxylin.

Secondary antibody only control : Secondary antibody is a ready to use LeicaDS9800 (Bond Polymer Refine Detection) was used.

Heat mediated antigen retrieval with Citrate buffer (pH 6.0, epitope retrieval solution 1) for 20 mins

Immunohistochemistry (Formalin/PFA-fixed paraffin-embedded sections) - Anti-PADI4 / PAD4 antibody [EPR20706] (AB214810)
  • IHC-P

Lab

Immunohistochemistry (Formalin/PFA-fixed paraffin-embedded sections) - Anti-PADI4 / PAD4 antibody [EPR20706] (AB214810)

Immunohistochemical analysis of paraffin-embedded Rat lung tissue labeling PADI4 / PAD4 with ab214810 at 1/100 (11.55 ug/ml) dilution followed by a ready to use LeicaDS9800 (Bond Polymer Refine Detection) was used. Nuclear staining on granulocytes in rat lung.The section was incubated with ab214810 for 30 mins at room temperature.The immunostaining was performed on a Leica Biosystems BOND RX instrument Counterstained with Hematoxylin.

Secondary antibody only control : Secondary antibody is a ready to use LeicaDS9800 (Bond Polymer Refine Detection) was used.

Heat mediated antigen retrieval with Citrate buffer (pH 6.0, epitope retrieval solution 1) for 20 mins

Immunohistochemistry (Formalin/PFA-fixed paraffin-embedded sections) - Anti-PADI4 / PAD4 antibody [EPR20706] (AB214810)
  • IHC-P

Lab

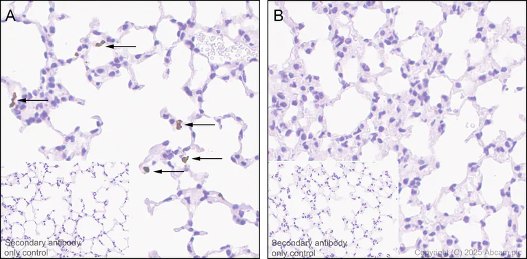
Immunohistochemistry (Formalin/PFA-fixed paraffin-embedded sections) - Anti-PADI4 / PAD4 antibody [EPR20706] (AB214810)

Immunohistochemical analysis of paraffin-embedded Mouse lung tissue labeling PADI4 / PAD4 with ab214810 at 1/100 (11.55 ug/ml) dilution followed by a ready to use LeicaDS9800 (Bond Polymer Refine Detection) was used. Nuclear staining on granulocytes in mouse lung.The section was incubated with ab214810 for 30 mins at room temperature.The immunostaining was performed on a Leica Biosystems BOND RX instrument Counterstained with Hematoxylin.

Secondary antibody only control : Secondary antibody is a ready to use LeicaDS9800 (Bond Polymer Refine Detection) was used.

Heat mediated antigen retrieval with Citrate buffer (pH 6.0, epitope retrieval solution 1) for 20 mins

Western blot - Anti-PADI4 / PAD4 antibody [EPR20706] (AB214810)
  • WB

Lab

Western blot - Anti-PADI4 / PAD4 antibody [EPR20706] (AB214810)

Blocking and diluting buffer and concentration : 5% NFDM/TBST.

The tissue samples were kindly provided by GemPharmatech. C57BL/6JGpt wildtype mice and Padi4-KO homozygous mice (Strain ID : T011513).

All lanes:

Western blot - Anti-PADI4 / PAD4 antibody [EPR20706] (ab214810) at 1/1000 dilution

Lane 1:

Wild-type mouse spleen tissue lysate (female) at 40 µg

Lane 2:

Wild-type mouse spleen tissue lysate (male) at 40 µg

Lane 3:

Padi4 knockout mouse spleen tissue lysate (male case1) at 40 µg

Lane 4:

Padi4 knockout mouse spleen tissue lysate (male case2) at 40 µg

Lane 5:

Wild-type mouse lung tissue lysate (female) at 40 µg

Lane 6:

Wild-type mouse lung tissue lysate (male) at 40 µg

Lane 7:

Padi4 knockout mouse lung tissue lysate (male case1) at 40 µg

Lane 8:

Padi4 knockout mouse lung tissue lysate (male case2) 40μg at 40 µg

Secondary

All lanes:

Western blot - Goat Anti-Rabbit IgG H&L (HRP) (<a href='/en-us/products/secondary-antibodies/goat-rabbit-igg-h-l-hrp-ab97051'>ab97051</a>) at 1/20000 dilution

Observed band size: 74 kDa

false

Exposure time: 180s

Western blot - Anti-PADI4 / PAD4 antibody [EPR20706] (AB214810)
  • WB

Supplier Data

Western blot - Anti-PADI4 / PAD4 antibody [EPR20706] (AB214810)

Blocking/Dilution buffer : 5% NFDM/TBST.

All lanes:

Western blot - Anti-PADI4 / PAD4 antibody [EPR20706] (ab214810) at 1/1000 dilution

Lane 1:

Mouse embryo lysate at 20 µg

Lane 2:

ES-D3 (mouse embryonic multipotent stem cell), whole cell lysate at 20 µg

Secondary

All lanes:

Western blot - Goat Anti-Rabbit IgG H&L (HRP) (<a href='/en-us/products/secondary-antibodies/goat-rabbit-igg-h-l-hrp-ab97051'>ab97051</a>) at 1/20000 dilution

Predicted band size: 74 kDa

Observed band size: 74 kDa

true

Exposure time: 3min

Western blot - Anti-PADI4 / PAD4 antibody [EPR20706] (AB214810)
  • WB

AbReview62868****

Western blot - Anti-PADI4 / PAD4 antibody [EPR20706] (AB214810)

All lanes:

Western blot - Anti-PADI4 / PAD4 antibody [EPR20706] (ab214810) at 1/1000 dilution

Lane 1:

Wild-type mouse embryonic stem cells (E14) at 40 µg with BSA

Lanes 2 - 3:

mouse embryonic stem cells (E14) PADI4 Knock out at 40 µg with BSA

Secondary

All lanes:

Western blot - Goat Anti-Rabbit IgG H&L (HRP) (<a href='/en-us/products/secondary-antibodies/goat-rabbit-igg-h-l-hrp-ab6721'>ab6721</a>) at 1/5000 dilution

Predicted band size: 74 kDa

true

Exposure time: 18hr

This image is courtesy of an abreview by Maria Christophorou

Western blot - Anti-PADI4 / PAD4 antibody [EPR20706] (AB214810)
  • WB

Supplier Data

Western blot - Anti-PADI4 / PAD4 antibody [EPR20706] (AB214810)

Blocking/Dilution buffer : 5% NFDM/TBST.

All lanes:

Western blot - Anti-PADI4 / PAD4 antibody [EPR20706] (ab214810) at 1/1000 dilution

Lane 1:

HEK-293T (human epithelial cell line from embryonic kidney transformed with large T antigen) transfected with an empty vector (vector control) containing a myc-His-tag®, whole cell lysate at 10 µg

Lane 2:

HEK-293T transfected with mouse PADI4 / PAD4 expression vector containing a myc-His-tag®, whole cell lysate at 10 µg

Secondary

All lanes:

Western blot - Goat Anti-Rabbit IgG H&L (HRP) (<a href='/en-us/products/secondary-antibodies/goat-rabbit-igg-h-l-hrp-ab97051'>ab97051</a>) at 1/100000 dilution

Predicted band size: 74 kDa

Observed band size: 74 kDa

true

Exposure time: 1s

  • Carrier free

    Anti-PADI4 / PAD4 antibody [EPR20706] - BSA and Azide free

Key facts

Host species

Rabbit

Clonality

Monoclonal

Clone number

EPR20706

Isotype

IgG

Carrier free

No

Reacts with

Mouse, Rat

Applications

IHC-P, WB

applications

Immunogen

The exact immunogen used to generate this antibody is proprietary information.

Reactivity data

{ "title": "Reactivity Data", "filters": { "stats": ["", "Species", "Dilution Info", "Notes"], "tabs": { "all-applications": {"fullname" : "All Applications", "shortname": "All Applications"}, "IHCP" : {"fullname" : "Immunohistochemistry (Formalin/PFA-fixed paraffin-embedded sections)", "shortname":"IHC-P"}, "IP" : {"fullname" : "Immunoprecipitation", "shortname":"IP"}, "WB" : {"fullname" : "Western blot", "shortname":"WB"} }, "product-promise": { "all": "all", "testedAndGuaranteed": "tested", "guaranteed": "expected", "predicted": "predicted", "notRecommended": "not-recommended" } }, "values": { "Human": { "IHCP-species-checked": "notRecommended", "IHCP-species-dilution-info": "1/1000", "IHCP-species-notes": "<p></p> Perform heat-mediated antigen retrieval with Tris/EDTA buffer pH 9.0 before commencing with IHC staining protocol.", "IP-species-checked": "notRecommended", "IP-species-dilution-info": "", "IP-species-notes": "", "WB-species-checked": "notRecommended", "WB-species-dilution-info": "1/1000", "WB-species-notes": "<p></p>" }, "Mouse": { "IHCP-species-checked": "testedAndGuaranteed", "IHCP-species-dilution-info": "1/1000", "IHCP-species-notes": "<p></p> Perform heat-mediated antigen retrieval with Tris/EDTA buffer pH 9.0 before commencing with IHC staining protocol.", "IP-species-checked": "notRecommended", "IP-species-dilution-info": "", "IP-species-notes": "<p>We have been unable to obtain a sucessful result in IP with ab210747.</p>", "WB-species-checked": "testedAndGuaranteed", "WB-species-dilution-info": "1/1000", "WB-species-notes": "<p></p>" }, "Rat": { "IHCP-species-checked": "testedAndGuaranteed", "IHCP-species-dilution-info": "1/1000", "IHCP-species-notes": "<p></p> Perform heat-mediated antigen retrieval with Tris/EDTA buffer pH 9.0 before commencing with IHC staining protocol.", "IP-species-checked": "notRecommended", "IP-species-dilution-info": "", "IP-species-notes": "<p>We have been unable to obtain a sucessful result in IP with ab210747.</p>", "WB-species-checked": "guaranteed", "WB-species-dilution-info": "", "WB-species-notes": "" }, "Transfected cell lysate - Mouse": { "IHCP-species-checked": "notRecommended", "IHCP-species-dilution-info": "", "IHCP-species-notes": "", "IP-species-checked": "notRecommended", "IP-species-dilution-info": "", "IP-species-notes": "", "WB-species-checked": "testedAndGuaranteed", "WB-species-dilution-info": "1/1000", "WB-species-notes": "<p></p>" } } }

Product details

What is this antibody validated in?
Anti-PADI4 / PAD4 antibody [EPR20706] (ab214810) is a rabbit recombinant monoclonal antibody and is validated for use in Western Blot (WB), Immunohistochemistry (IHC-P) in Mouse, Rat samples.

What is the molecular weight of PADI4 / PAD4?
Anti-PADI4 / PAD4 [EPR20706] (ab214810) specifically detects a band for PADI4 / PAD4 (UniProt: Q9Z183) at a molecular weight of 74kDa.

Trusted by the scientific community
Anti-PADI4 / PAD4 [EPR20706] (ab214810) was first used in a scientific publication in 2017 and has been cited over 20 times in peer-reviewed journals.

Trial sizes available!
Test your antibody or perform pre-screening before committing to a larger quantity. Sold in 20µl. Discover our selection of trial-size antibodies.

Specificity confirmed
The specificity of Anti-PADI4 / PAD4 antibody [EPR20706] (ab214810) has been confirmed by Western blot testing in Padi4 Knockout mESCs.

Other related products
We have a range of other formats of antibody clone [EPR20706] also available for your convenience: ab214810, Carrier free - ab227891

Patented technology
Our RabMAb® technology is a patented hybridoma-based technology for making rabbit monoclonal antibodies. For details on our patents, please refer to RabMAb® patents.

What are the advantages of a recombinant monoclonal antibody?
This product is a recombinant monoclonal antibody, which offers several advantages including:

  • - High batch-to-batch consistency and reproducibility
  • - Improved sensitivity and specificity
  • - Long-term security of supply
  • - Animal-free batch production

For more information, read more on recombinant antibodies.

Properties and storage information

Form
Liquid
Purification technique
Affinity purification Protein A
Storage buffer
pH: 7.2 - 7.4 Preservative: 0.01% Sodium azide Constituents: PBS, 40% Glycerol (glycerin, glycerine), 0.05% BSA
Shipped at conditions
Blue Ice
Appropriate short-term storage duration
1-2 weeks
Appropriate short-term storage conditions
+4°C
Appropriate long-term storage conditions
-20°C
Aliquoting information
Upon delivery aliquot
Storage information
Avoid freeze / thaw cycle

Supplementary information

This supplementary information is collated from multiple sources and compiled automatically.

PADI4 also known as PAD4 PADI4 protein or PAD-4 is an enzyme that plays a mechanical role in post-translational modification. It functions by catalyzing the conversion of arginine residues into citrulline in histones a process known as citrullination or deimination. This enzyme exhibits a molecular mass of approximately 74 kDa and is expressed notably in tissues like bone marrow and sites of inflammation. PADI4 shows high expression in immune cells such as neutrophils which are important for inflammatory responses.
Biological function summary

The PADI4 protein impacts gene expression by modifying chromatin architecture making it part of chromatin remodeling activities. PADI4 is known to associate with chromatin but it does not form large stable complexes. It influences the transcriptional activity of genes by altering histone interactions which can affect immune responses and cellular differentiation. Through these chromatin changes PADI4 plays a notable role in regulating genes associated with immune function and inflammatory responses.

Pathways

PADI4 integrates into the inflammatory response and apoptosis pathways. It influences apoptosis by modulating pro-inflammatory gene expression and participating in the formation of neutrophil extracellular traps (NETs). PADI4 works with other proteins such as histone H3 and histone H4 to influence immune cell pathways. These interactions underline its role in the regulation of protein expressions during inflammation and immune-mediated processes.

PADI4 connects to rheumatoid arthritis (RA) and certain cancers. In rheumatoid arthritis altered activity of PADI4 can lead to the production of autoantibodies against citrullinated proteins which exacerbates inflammation in joints. The enzyme's dysregulation is also implicated in cancer progression where it may affect tumor growth and metastasis. PADI4's interaction with other proteins like citrullinated histones highlights its association with pathogenic processes in such diseases.

Product protocols

For this product, it's our understanding that no specific protocols are required. You can visit:

Target data

Catalyzes the citrullination/deimination of arginine residues of proteins such as histones, thereby playing a key role in histone code and regulation of stem cell maintenance (PubMed : 15339660, PubMed : 32528174). Citrullinates histone H1 at 'Arg-54' (to form H1R54ci), histone H3 at 'Arg-2', 'Arg-8', 'Arg-17' and/or 'Arg-26' (to form H3R2ci, H3R8ci, H3R17ci, H3R26ci, respectively) and histone H4 at 'Arg-3' (to form H4R3ci) (PubMed : 15339660). Acts as a key regulator of stem cell maintenance by mediating citrullination of histone H1 : citrullination of 'Arg-54' of histone H1 (H1R54ci) results in H1 displacement from chromatin and global chromatin decondensation, thereby promoting pluripotency and stem cell maintenance (PubMed : 24463520, PubMed : 32528174). Promotes profound chromatin decondensation during the innate immune response to infection in neutrophils by mediating formation of H1R54ci (PubMed : 20733033, PubMed : 23650392). Required for the formation of neutrophil extracellular traps (NETs); NETs are mainly composed of DNA fibers and are released by neutrophils to bind pathogens during inflammation (PubMed : 20733033, PubMed : 32528174). Citrullination of histone H3 prevents their methylation by CARM1 and HRMT1L2/PRMT1 and represses transcription (By similarity). Citrullinates EP300/P300 at 'Arg-2142', which favors its interaction with NCOA2/GRIP1 (By similarity).
See full target information Padi4

Publications (44)

Recent publications for all applications. Explore the full list and refine your search

Molecular medicine (Cambridge, Mass.) 31:304 PubMed41023796

2025

NET degradation attenuates ricin-induced acute lung injury and protects mice from ARDS.

Applications

Unspecified application

Species

Unspecified reactive species

Anita Sapoznikov,Yentl Evgy,Liat Fux,Ilya Ruderfer,Yakir Nataf,Yael Hayon,Shay Zamin,Roey Mizrachi,Rachel Pessah,Yoav Gal,Alon Ben-David,Noam Erez,Reut Falach

International dental journal 75:100958 PubMed40902508

2025

Initial Insights into the NET-Associated ceRNA Network in Pulpitis: Transcriptomic and Functional Exploration.

Applications

Unspecified application

Species

Unspecified reactive species

Xiaolan Guo,Kailun Wu,Longrui Dang,Sitong Liu,Jing Xu,Runting Wang,Junyang Xu,Yiming Zhong,Zhao Chen,Buling Wu

Nature communications 16:7435 PubMed40796783

2025

A citrullinated histone H3 monoclonal antibody for immune modulation in sepsis.

Applications

Unspecified application

Species

Unspecified reactive species

Wenlu Ouyang,Yuchen Chen,Tao Tan,Yujing Song,Tao Dong,Xin Yu,Kyung Eun Lee,Xinyu Zhou,Zoe Tetz,Sophia Go,Xindi Zeng,Liujiazi Shao,Chao Quan,Ting Zhao,Yuzi Tian,Katsuo Kurabayashi,Hua Jin,Jichun Ma,Jingdong Qin,Brandon Williams,Qingtian Li,Gui-Dong Zhu,Hasan B Alam,Kathleen A Stringer,Yongqing Li,Jianjie Ma

Regenerative therapy 30:241-251 PubMed40654518

2025

Effects and the mechanism of pine pollen polysaccharides on diabetic wound healing and .

Applications

Unspecified application

Species

Unspecified reactive species

Lan Chen,Lifang Zhu,Yu Cao

Scientific reports 15:16731 PubMed40369118

2025

TRIM21 knockdown alleviates hemorrhage induced hepatic ischemia reperfusion injury by suppressing ferroptosis-induced NETs.

Applications

Unspecified application

Species

Unspecified reactive species

Shikai Wang,Zhipeng Li,Yunxiang Chang,Di He,Kai Dong,Xinsheng Cheng

Frontiers in immunology 16:1567522 PubMed40134435

2025

Jing-Yin-Gu-Biao formula protects mice from postinfluenza infection by ameliorating acute lung injury and improving hypercoagulable state via inhibiting NETosis.

Applications

Unspecified application

Species

Unspecified reactive species

Biao Lei,Jingwen Mu,Guihua Xu,Xiaodong Yang,Wenbo Huang,Liang Hu,Dan Liu,Ting Cheng,Yuhe Ma,Lirong Xu,Qiankun Liang,Yuan Lin,Linqiong Zhou,Chunxian Zhou,Wei Zhang,Yuejuan Zheng

Iranian journal of pharmaceutical research : IJPR 23:e148139 PubMed40066121

2025

The Glucagon-Like Peptide-1 (GLP-1) Receptor Agonist Liraglutide Regulates Sirtuin-1-Mediated Neutrophil Extracellular Traps to Improve Diabetes-Induced Bone Metabolism Imbalance.

Applications

Unspecified application

Species

Unspecified reactive species

Shuai Zhong,Liangzhi Huang,Tingting Lin,Yanyan Li,Bin Deng,Dezhi Kong,Zhanlin Liao,Zugui Huang

Cell death & disease 16:60 PubMed39890818

2025

Piezo1-directed neutrophil extracellular traps regulate macrophage differentiation during influenza virus infection.

Applications

Unspecified application

Species

Unspecified reactive species

Yuexin Wang,Qiuli Yang,Yingjie Dong,Likun Wang,Zhiyuan Zhang,Ruiying Niu,Yufei Wang,Yujing Bi,Guangwei Liu

Advanced science (Weinheim, Baden-Wurttemberg, Germany) 11:e2407346 PubMed39499780

2024

Hyperglycemia-Enhanced Neutrophil Extracellular Traps Drive Mucosal Immunopathology at the Oral Barrier.

Applications

Unspecified application

Species

Unspecified reactive species

Qian Wang,Weimin Lin,Kexin Lei,Hui Wang,Xiaohan Zhang,Shuang Jiang,Danting Zhang,Wen Wang,Shuqin Cao,Yuyu Li,Bo Yu,Yuan Wang,Qi Yin,Quan Yuan

Pulmonary circulation 14:e12454 PubMed39386377

2024

Didang decoction attenuates cancer-associated thrombosis by inhibiting PAD4-dependent NET formation in lung cancer.

Applications

Unspecified application

Species

Unspecified reactive species

Xiaoyan Zeng,Jiuxi Li,Liyuan Pei,Yaping Yang,Ya Chen,Xuejing Wang,Ting Zhang,Ting Zhou
View all publications

Product promise

We are committed to supporting your work with high-quality reagents, and we're here for you every step of the way. In the unlikely event that one of our products does not perform as expected, you're protected by our Product Promise.
For full details, please see our Terms & Conditions

Please note: All products are 'FOR RESEARCH USE ONLY. NOT FOR USE IN DIAGNOSTIC OR THERAPEUTIC PROCEDURES'.

For licensing inquiries, please contact partnerships@abcam.com