JavaScript is disabled in your browser. Please enable JavaScript to view this website.
AB315269

Anti-PADI4 / PAD4 antibody [EPR26687-49]

  • BOND RX™ Validated
  • 20ul selling size
  • RabMAb
  • Recombinant
  • What is this?

Be the first to review this product! Submit a review

|

(0 Publication)

Anti-PADI4 / PAD4 antibody [EPR26687-49] is a Rabbit Monoclonal antibody that is used in PADI4 / PAD4 Flow Cytometry (Intra), ICC/IF, IHC-P, Western Blot. Suitable for Human samples.

PADI4 (PAD4) is an enzyme that catalyzes the citrullination of arginine residues in proteins such as histones, playing a key role in regulating the histone code and chromatin structure

View Alternative Names

PAD4, PADI5, PDI5, PADI4, Protein-arginine deiminase type-4, HL-60 PAD, Peptidylarginine deiminase IV, Protein-arginine deiminase type IV

8 Images
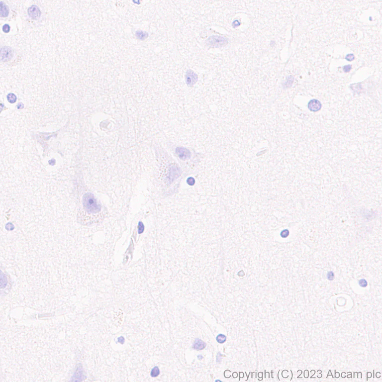
Immunohistochemistry (Formalin/PFA-fixed paraffin-embedded sections) - Anti-PADI4 / PAD4 antibody [EPR26687-49] (AB315269)
  • IHC-P

Supplier Data

Immunohistochemistry (Formalin/PFA-fixed paraffin-embedded sections) - Anti-PADI4 / PAD4 antibody [EPR26687-49] (AB315269)

Immunohistochemical analysis of paraffin-embedded Human cerebrum tissue labeling PADI4 / PAD4 with ab315269 at 1/2000 (0.257 ug/ml) dilution, followed by a ready to use LeicaDS9800 (Bond™ Polymer Refine Detection).

Negative control : No staining on human cerebrum (PMID : 12833157).
The section was incubated with ab315269 for 30 mins at room temperature.
The immunostaining was performed on a Leica Biosystems BOND® RX instrument

Counterstained with Hematoxylin.

Secondary antibody only control : Secondary antibody is a ready to use LeicaDS9800 (Bond™ Polymer Refine Detection).

Heat mediated antigen retrieval was performed with Tris-EDTA buffer (pH 9.0, Epitope Retrieval Solution2) for 20 mins

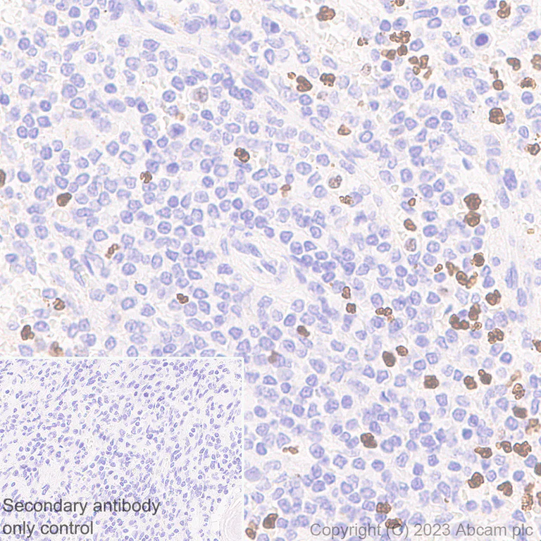
Immunohistochemistry (Formalin/PFA-fixed paraffin-embedded sections) - Anti-PADI4 / PAD4 antibody [EPR26687-49] (AB315269)
  • IHC-P

Supplier Data

Immunohistochemistry (Formalin/PFA-fixed paraffin-embedded sections) - Anti-PADI4 / PAD4 antibody [EPR26687-49] (AB315269)

Immunohistochemical analysis of paraffin-embedded Human spleen tissue labeling PADI4 / PAD4 with ab315269 at 1/2000 (0.257 ug/ml) dilution, followed by a ready to use LeicaDS9800 (Bond™ Polymer Refine Detection).

Nuclear staining on granulocytes in human spleen.
The section was incubated with ab315269 for 30 mins at room temperature.
The immunostaining was performed on a Leica Biosystems BOND® RX instrument

Counterstained with Hematoxylin.

Secondary antibody only control : Secondary antibody is a ready to use LeicaDS9800 (Bond™ Polymer Refine Detection).

Heat mediated antigen retrieval was performed with Tris-EDTA buffer (pH 9.0, Epitope Retrieval Solution2) for 20 mins

Immunohistochemistry (Formalin/PFA-fixed paraffin-embedded sections) - Anti-PADI4 / PAD4 antibody [EPR26687-49] (AB315269)
  • IHC-P

Supplier Data

Immunohistochemistry (Formalin/PFA-fixed paraffin-embedded sections) - Anti-PADI4 / PAD4 antibody [EPR26687-49] (AB315269)

Immunohistochemical analysis of paraffin-embedded Human liver tissue labeling PADI4 / PAD4 with ab315269 at 1/2000 (0.257 ug/ml) dilution, followed by a ready to use LeicaDS9800 (Bond™ Polymer Refine Detection).

Nuclear staining on granulocytes in human liver.
The section was incubated with ab315269 for 30 mins at room temperature.
The immunostaining was performed on a Leica Biosystems BOND® RX instrument

Counterstained with Hematoxylin.

Secondary antibody only control : Secondary antibody is a ready to use LeicaDS9800 (Bond™ Polymer Refine Detection).

Heat mediated antigen retrieval was performed with Tris-EDTA buffer (pH 9.0, Epitope Retrieval Solution2) for 20 mins

Immunohistochemistry (Formalin/PFA-fixed paraffin-embedded sections) - Anti-PADI4 / PAD4 antibody [EPR26687-49] (AB315269)
  • IHC-P

Supplier Data

Immunohistochemistry (Formalin/PFA-fixed paraffin-embedded sections) - Anti-PADI4 / PAD4 antibody [EPR26687-49] (AB315269)

Immunohistochemical analysis of paraffin-embedded Human lung tissue labeling PADI4 / PAD4 with ab315269 at 1/2000 (0.257 ug/ml) dilution, followed by a ready to use LeicaDS9800 (Bond™ Polymer Refine Detection).

Nuclear staining on granulocytes in human lung.
The section was incubated with ab315269 for 30 mins at room temperature.
The immunostaining was performed on a Leica Biosystems BOND® RX instrument

Counterstained with Hematoxylin.

Secondary antibody only control : Secondary antibody is a ready to use LeicaDS9800 (Bond™ Polymer Refine Detection).

Heat mediated antigen retrieval was performed with Tris-EDTA buffer (pH 9.0, Epitope Retrieval Solution2) for 20 mins

Immunocytochemistry/ Immunofluorescence - Anti-PADI4 / PAD4 antibody [EPR26687-49] (AB315269)
  • ICC/IF

Supplier Data

Immunocytochemistry/ Immunofluorescence - Anti-PADI4 / PAD4 antibody [EPR26687-49] (AB315269)

Immunofluorescent analysis of 4% Paraformaldehyde-fixed, 0.1% TritonX-100 permeabilized HL-60 (human acute promyelocytic leukemia promyeloblast) cells labelling PADI4 / PAD4 with ab315269 at 1/500 (1.026 ug/ml) dilution, followed by ab150081 Goat Anti-Rabbit IgG H&L (Alexa Fluor® 488) preadsorbed antibody at 1/1000 (2 ug/ml) dilution (Green).

Confocal image showing nuclear staining in HL-60 cells treated with 1.25% DMSO for 5 days and showing no staining in untreated HL-60 cells.
Image was taken with a confocal microscope(Leica-Microsystems, TCS SP8).

ab195889 Anti-alpha Tubulin mouse monoclonal antibody - Microtubule Marker (Alexa Fluor® 594) was used to counterstain tubulin at 1/200 (2.5ug/ml) dilution (Red). The Nuclear counterstain was DAPI (Blue).

Secondary antibody only control : Secondary antibody is ab150081 Goat Anti-Rabbit IgG H&L (Alexa Fluor® 488) preadsorbed at 1/1000 (2 ug/ml) dilution.

Flow Cytometry (Intracellular) - Anti-PADI4 / PAD4 antibody [EPR26687-49] (AB315269)
  • Flow Cyt (Intra)

Supplier Data

Flow Cytometry (Intracellular) - Anti-PADI4 / PAD4 antibody [EPR26687-49] (AB315269)

Flow cytometric analysis of 4% paraformaldehyde fixed 90% methanol permeabilized HL-60 (human acute promyelocytic leukemia promyeloblast) treated with 1.25% DMSO for 5days) (Red) / untreated HL-60 (Green) cells labelling PADI4 / PAD4 with ab315269 at 1/5000 dilution (0.01 ug)/Red and Green compared with a Rabbit monoclonal IgG (ab172730) (Black) isotype control and an unlabelled control (cells without incubation with primary antibody and secondary antibody) (Blue).

Goat Anti-Rabbit IgG (Alexa Fluor® 488, ab150081) at 1/5000 dilution was used as the secondary antibody.

Western blot - Anti-PADI4 / PAD4 antibody [EPR26687-49] (AB315269)
  • WB

Supplier Data

Western blot - Anti-PADI4 / PAD4 antibody [EPR26687-49] (AB315269)

Blocking and diluting buffer and concentration : 5% NFDM/TBST.

The expression of PAD is upregulated in response to DMSO treatment (PMID : 10488123).

Lysates were freshly made and used immediately to minimize protein degradation.

In Western blot, Anti-GAPDH antibody [EPR16891] - Loading Control (ab181602) staining at 1/200000 dilution.

All lanes:

Western blot - Anti-PADI4 / PAD4 antibody [EPR26687-49] (ab315269) at 1/1000 dilution

Lane 1:

Untreated HL-60 (human acute promyelocytic leukemia promyeloblast) whole cell lysate at 20 µg

Lane 2:

HL-60 treated with 1.25% DMSO for 5 days whole cell lysate at 20 µg

Secondary

All lanes:

Western blot - Goat Anti-Rabbit IgG H&L (HRP) (<a href='/en-us/products/secondary-antibodies/goat-rabbit-igg-h-l-hrp-ab97051'>ab97051</a>) at 1/100000 dilution

Observed band size: 74 kDa,36 kDa

false

Exposure time: 48s

Western blot - Anti-PADI4 / PAD4 antibody [EPR26687-49] (AB315269)
  • WB

Supplier Data

Western blot - Anti-PADI4 / PAD4 antibody [EPR26687-49] (AB315269)

Blocking and diluting buffer and concentration : 5% NFDM/TBST.

This antibody does not cross-react with human PADI1, PADI2, PADI3 and PADI6.

In Western blot, Anti-GAPDH antibody [EPR16891] - Loading Control (ab181602) staining at 1/200000 dilution.

In Western blot, Anti-6X His tag® antibody [EPR20547] - ChIP Grade (ab213204) staining at 1/5000 dilution.

All lanes:

Western blot - Anti-PADI4 / PAD4 antibody [EPR26687-49] (ab315269) at 1/1000 dilution

Lane 1:

293T cells transfected with an empty vector containing a myc-His-tag®, whole cell lysate at 20 µg

Lane 2:

293T cells transfected with a human PADI4 expression vector containing a myc-His-tag®, whole cell lysate at 20 µg

Lane 3:

293T cells transfected with a human PADI1 expression vector containing a GFP-tag, whole cell lysate at 20 µg

Lane 4:

293T cells transfected with a human PADI3 expression vector containing a GFP-tag, whole cell lysate at 20 µg

Lane 5:

293T cells transfected with a human PADI2 expression vector containing a GFP-tag, whole cell lysate at 20 µg

Lane 6:

293T cells transfected with a human PADI6 expression vector containing a myc-His-tag®, whole cell lysate at 20 µg

Secondary

All lanes:

Western blot - Goat Anti-Rabbit IgG H&L (HRP) (<a href='/en-us/products/secondary-antibodies/goat-rabbit-igg-h-l-hrp-ab97051'>ab97051</a>) at 1/100000 dilution

Observed band size: 75 kDa,36 kDa

false

Exposure time: 6s

  • 519 Alexa Fluor® 488

    Alexa Fluor® 488 Anti-PADI4 / PAD4 antibody [EPR26687-49]

  • 665 Alexa Fluor® 647

    Alexa Fluor® 647 Anti-PADI4 / PAD4 antibody [EPR26687-49]

  • Carrier free

    Anti-PADI4 / PAD4 antibody [EPR26687-49] - BSA and Azide free

Key facts

Host species

Rabbit

Clonality

Monoclonal

Clone number

EPR26687-49

Isotype

IgG

Carrier free

No

Reacts with

Human

Applications

ICC/IF, Flow Cyt (Intra), WB, IHC-P

applications

Immunogen

The exact immunogen used to generate this antibody is proprietary information.

Reactivity data

{ "title": "Reactivity Data", "filters": { "stats": ["", "Species", "Dilution Info", "Notes"], "tabs": { "all-applications": {"fullname" : "All Applications", "shortname": "All Applications"}, "IHCP" : {"fullname" : "Immunohistochemistry (Formalin/PFA-fixed paraffin-embedded sections)", "shortname":"IHC-P"}, "WB" : {"fullname" : "Western blot", "shortname":"WB"}, "IP" : {"fullname" : "Immunoprecipitation", "shortname":"IP"}, "ICCIF" : {"fullname" : "Immunocytochemistry/ Immunofluorescence", "shortname":"ICC/IF"}, "FlowCytIntra" : {"fullname" : "Flow Cytometry (Intracellular)", "shortname":"Flow Cyt (Intra)"} }, "product-promise": { "all": "all", "testedAndGuaranteed": "tested", "guaranteed": "expected", "predicted": "predicted", "notRecommended": "not-recommended" } }, "values": { "Human": { "IHCP-species-checked": "testedAndGuaranteed", "IHCP-species-dilution-info": "1/2000", "IHCP-species-notes": "<p></p> Perform heat-mediated antigen retrieval with Tris/EDTA buffer pH 9.0 before commencing with IHC staining protocol.", "WB-species-checked": "testedAndGuaranteed", "WB-species-dilution-info": "1/1000", "WB-species-notes": "<p></p>", "IP-species-checked": "notRecommended", "IP-species-dilution-info": "", "IP-species-notes": "<p></p>", "ICCIF-species-checked": "testedAndGuaranteed", "ICCIF-species-dilution-info": "1/500", "ICCIF-species-notes": "<p></p>", "FlowCytIntra-species-checked": "testedAndGuaranteed", "FlowCytIntra-species-dilution-info": "1/5000", "FlowCytIntra-species-notes": "<p></p>" }, "Mouse": { "IHCP-species-checked": "notRecommended", "IHCP-species-dilution-info": "", "IHCP-species-notes": "<p></p>", "WB-species-checked": "notRecommended", "WB-species-dilution-info": "", "WB-species-notes": "<p></p>", "IP-species-checked": "notRecommended", "IP-species-dilution-info": "", "IP-species-notes": "", "ICCIF-species-checked": "notRecommended", "ICCIF-species-dilution-info": "", "ICCIF-species-notes": "<p></p>", "FlowCytIntra-species-checked": "notRecommended", "FlowCytIntra-species-dilution-info": "", "FlowCytIntra-species-notes": "<p></p>" }, "Rat": { "IHCP-species-checked": "notRecommended", "IHCP-species-dilution-info": "", "IHCP-species-notes": "<p></p>", "WB-species-checked": "notRecommended", "WB-species-dilution-info": "", "WB-species-notes": "<p></p>", "IP-species-checked": "notRecommended", "IP-species-dilution-info": "", "IP-species-notes": "", "ICCIF-species-checked": "notRecommended", "ICCIF-species-dilution-info": "", "ICCIF-species-notes": "", "FlowCytIntra-species-checked": "notRecommended", "FlowCytIntra-species-dilution-info": "", "FlowCytIntra-species-notes": "" }, "Transfected cell lysate - Human": { "IHCP-species-checked": "notRecommended", "IHCP-species-dilution-info": "", "IHCP-species-notes": "", "WB-species-checked": "testedAndGuaranteed", "WB-species-dilution-info": "1/1000", "WB-species-notes": "<p></p>", "IP-species-checked": "notRecommended", "IP-species-dilution-info": "", "IP-species-notes": "", "ICCIF-species-checked": "notRecommended", "ICCIF-species-dilution-info": "", "ICCIF-species-notes": "", "FlowCytIntra-species-checked": "notRecommended", "FlowCytIntra-species-dilution-info": "", "FlowCytIntra-species-notes": "" } } }

Product details

Patented technology
Our RabMAb® technology is a patented hybridoma-based technology for making rabbit monoclonal antibodies. For details on our patents, please refer to RabMAb® patents.

What are the advantages of a recombinant monoclonal antibody?
This product is a recombinant monoclonal antibody, which offers several advantages including:

  • - High batch-to-batch consistency and reproducibility
  • - Improved sensitivity and specificity
  • - Long-term security of supply
  • - Animal-free batch production

For more information, read more on recombinant antibodies.

Properties and storage information

Form
Liquid
Purification technique
Affinity purification Protein A
Storage buffer
pH: 7.2 - 7.4 Preservative: 0.01% Sodium azide Constituents: PBS, 40% Glycerol (glycerin, glycerine), 0.05% BSA
Shipped at conditions
Blue Ice
Appropriate short-term storage duration
1-2 weeks
Appropriate short-term storage conditions
+4°C
Appropriate long-term storage conditions
-20°C
Aliquoting information
Upon delivery aliquot
Storage information
Avoid freeze / thaw cycle

Supplementary information

This supplementary information is collated from multiple sources and compiled automatically.

PADI4 also known as PAD4 PADI4 protein or PAD-4 is an enzyme that plays a mechanical role in post-translational modification. It functions by catalyzing the conversion of arginine residues into citrulline in histones a process known as citrullination or deimination. This enzyme exhibits a molecular mass of approximately 74 kDa and is expressed notably in tissues like bone marrow and sites of inflammation. PADI4 shows high expression in immune cells such as neutrophils which are important for inflammatory responses.
Biological function summary

The PADI4 protein impacts gene expression by modifying chromatin architecture making it part of chromatin remodeling activities. PADI4 is known to associate with chromatin but it does not form large stable complexes. It influences the transcriptional activity of genes by altering histone interactions which can affect immune responses and cellular differentiation. Through these chromatin changes PADI4 plays a notable role in regulating genes associated with immune function and inflammatory responses.

Pathways

PADI4 integrates into the inflammatory response and apoptosis pathways. It influences apoptosis by modulating pro-inflammatory gene expression and participating in the formation of neutrophil extracellular traps (NETs). PADI4 works with other proteins such as histone H3 and histone H4 to influence immune cell pathways. These interactions underline its role in the regulation of protein expressions during inflammation and immune-mediated processes.

PADI4 connects to rheumatoid arthritis (RA) and certain cancers. In rheumatoid arthritis altered activity of PADI4 can lead to the production of autoantibodies against citrullinated proteins which exacerbates inflammation in joints. The enzyme’s dysregulation is also implicated in cancer progression where it may affect tumor growth and metastasis. PADI4’s interaction with other proteins like citrullinated histones highlights its association with pathogenic processes in such diseases.

Product protocols

For this product, it's our understanding that no specific protocols are required. You can visit:

Target data

Catalyzes the citrullination/deimination of arginine residues of proteins such as histones, thereby playing a key role in histone code and regulation of stem cell maintenance (PubMed : 15339660, PubMed : 15345777, PubMed : 16567635, PubMed : 21245532). Citrullinates histone H1 at 'Arg-54' (to form H1R54ci), histone H3 at 'Arg-2', 'Arg-8', 'Arg-17' and/or 'Arg-26' (to form H3R2ci, H3R8ci, H3R17ci, H3R26ci, respectively) and histone H4 at 'Arg-3' (to form H4R3ci) (PubMed : 15339660, PubMed : 15345777, PubMed : 16567635, PubMed : 21245532). Acts as a key regulator of stem cell maintenance by mediating citrullination of histone H1 : citrullination of 'Arg-54' of histone H1 (H1R54ci) results in H1 displacement from chromatin and global chromatin decondensation, thereby promoting pluripotency and stem cell maintenance (PubMed : 15339660, PubMed : 15345777, PubMed : 16567635, PubMed : 21245532). Promotes profound chromatin decondensation during the innate immune response to infection in neutrophils by mediating formation of H1R54ci (PubMed : 18209087). Required for the formation of neutrophil extracellular traps (NETs); NETs are mainly composed of DNA fibers and are released by neutrophils to bind pathogens during inflammation (By similarity). Citrullination of histone H3 prevents their methylation by CARM1 and HRMT1L2/PRMT1 and represses transcription (PubMed : 15345777). Citrullinates EP300/P300 at 'Arg-2142', which favors its interaction with NCOA2/GRIP1 (PubMed : 15731352).
See full target information PADI4

Product promise

We are committed to supporting your work with high-quality reagents, and we're here for you every step of the way. In the unlikely event that one of our products does not perform as expected, you're protected by our Product Promise.
For full details, please see our Terms & Conditions

Please note: All products are 'FOR RESEARCH USE ONLY. NOT FOR USE IN DIAGNOSTIC OR THERAPEUTIC PROCEDURES'.

For licensing inquiries, please contact partnerships@abcam.com