JavaScript is disabled in your browser. Please enable JavaScript to view this website.
AB88740

Anti-PAH antibody

Be the first to review this product! Submit a review

|

(1 Publication)

Mouse Polyclonal PAH antibody. Carrier free. Suitable for WB, IHC-P and reacts with Human samples. Cited in 1 publication. Immunogen corresponding to Recombinant Full Length Protein corresponding to Human Phenylalanine-4-hydroxylase.

View Alternative Names

Phenylalanine-4-hydroxylase, PAH, Phe-4-monooxygenase

3 Images
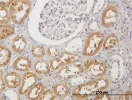
Immunohistochemistry (Formalin/PFA-fixed paraffin-embedded sections) - Anti-PAH antibody (AB88740)
  • IHC-P

Unknown

Immunohistochemistry (Formalin/PFA-fixed paraffin-embedded sections) - Anti-PAH antibody (AB88740)

ab88740, at 3 μg/ml, staining PAH in formalin fixed, paraffin embedded Human kidney tissue by Immunoperoxidase/ Immunohistochemistry.

Western blot - Anti-PAH antibody (AB88740)
  • WB

Unknown

Western blot - Anti-PAH antibody (AB88740)

All lanes:

Western blot - Anti-PAH antibody (ab88740) at 1 µg/mL

All lanes:

Human liver tissue lysate at 50 µg

Predicted band size: 51 kDa

Observed band size: 50 kDa,<15 kDa

false

Western blot - Anti-PAH antibody (AB88740)
  • WB

Unknown

Western blot - Anti-PAH antibody (AB88740)

All lanes:

Western blot - Anti-PAH antibody (ab88740) at 1 µg/mL

Lane 1:

PAH transfected 293T cell lysate at 25 µg

Lane 2:

Non transfected 293T cell lysate at 25 µg

Predicted band size: 51 kDa

Observed band size: 50 kDa

false

Key facts

Host species

Mouse

Clonality

Polyclonal

Isotype

IgG

Carrier free

Yes

Reacts with

Human

Applications

WB, IHC-P

applications

Immunogen

Recombinant Full Length Protein corresponding to Human Phenylalanine-4-hydroxylase.

P00439

Reactivity data

{ "title": "Reactivity Data", "filters": { "stats": ["", "Species", "Dilution Info", "Notes"], "tabs": { "all-applications": {"fullname" : "All Applications", "shortname": "All Applications"}, "WB" : {"fullname" : "Western blot", "shortname":"WB"}, "IHCP" : {"fullname" : "Immunohistochemistry (Formalin/PFA-fixed paraffin-embedded sections)", "shortname":"IHC-P"} }, "product-promise": { "all": "all", "testedAndGuaranteed": "tested", "guaranteed": "expected", "predicted": "predicted", "notRecommended": "not-recommended" } }, "values": { "Human": { "WB-species-checked": "testedAndGuaranteed", "WB-species-dilution-info": "1 µg/mL", "WB-species-notes": "<p></p>", "IHCP-species-checked": "testedAndGuaranteed", "IHCP-species-dilution-info": "3 µg/mL", "IHCP-species-notes": "<p></p>" } } }

Properties and storage information

Form
Liquid
Purification technique
Affinity purification Protein A
Storage buffer
pH: 7.4 Constituents: PBS
Shipped at conditions
Blue Ice
Appropriate short-term storage conditions
+4°C
Appropriate long-term storage conditions
-20°C
Aliquoting information
Upon delivery aliquot
Storage information
Avoid freeze / thaw cycle

Product protocols

For this product, it's our understanding that no specific protocols are required. You can visit:

Target data

Catalyzes the hydroxylation of L-phenylalanine to L-tyrosine.
See full target information Phenylalanine-4-hydroxylase

Publications (1)

Recent publications for all applications. Explore the full list and refine your search

EMBO reports 18:2160-2171 PubMed29097393

2017

NLRP11 disrupts MAVS signalosome to inhibit type I interferon signaling and virus-induced apoptosis.

Applications

Unspecified application

Species

Unspecified reactive species

Yunfei Qin,Zexiong Su,Yaoxing Wu,Chenglei Wu,Shouheng Jin,Weihong Xie,Wei Jiang,Rongbin Zhou,Jun Cui
View all publications

Product promise

We are committed to supporting your work with high-quality reagents, and we're here for you every step of the way. In the unlikely event that one of our products does not perform as expected, you're protected by our Product Promise.
For full details, please see our Terms & Conditions

Please note: All products are 'FOR RESEARCH USE ONLY. NOT FOR USE IN DIAGNOSTIC OR THERAPEUTIC PROCEDURES'.

For licensing inquiries, please contact partnerships@abcam.com