JavaScript is disabled in your browser. Please enable JavaScript to view this website.
AB178430

Anti-PAH antibody [EPR12380]

Be the first to review this product! Submit a review

|

(5 Publications)

Anti-PAH antibody [EPR12380] (ab178430) is a rabbit monoclonal antibody detecting PAH in Western Blot, Flow Cytometry (Intra), Flow Cytometry, IHC-P, ICC/IF. Suitable for Human.

- Biophysical QC for unrivalled batch-batch consistency

View Alternative Names

Phenylalanine-4-hydroxylase, PAH, Phe-4-monooxygenase

8 Images
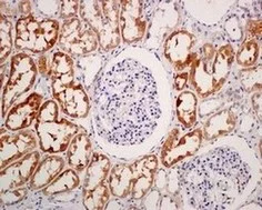
Immunohistochemistry (Formalin/PFA-fixed paraffin-embedded sections) - Anti-PAH antibody [EPR12380] (AB178430)
  • IHC-P

Supplier Data

Immunohistochemistry (Formalin/PFA-fixed paraffin-embedded sections) - Anti-PAH antibody [EPR12380] (AB178430)

Immunohistochemical analysis of paraffin-embedded Human kidney tissue labeling PAH with ab178430 at 1/50 dilution.

Perform heat mediated antigen retrieval before commencing with IHC staining protocol.

Immunocytochemistry/ Immunofluorescence - Anti-PAH antibody [EPR12380] (AB178430)
  • ICC/IF

Supplier Data

Immunocytochemistry/ Immunofluorescence - Anti-PAH antibody [EPR12380] (AB178430)

Immunofluorescent analysis of HepG2 cells labeling PAH with ab178430 at 1/50 dilution (green). DAPI nuclear staining (blue).

Immunohistochemistry (Formalin/PFA-fixed paraffin-embedded sections) - Anti-PAH antibody [EPR12380] (AB178430)
  • IHC-P

Supplier Data

Immunohistochemistry (Formalin/PFA-fixed paraffin-embedded sections) - Anti-PAH antibody [EPR12380] (AB178430)

Immunohistochemical analysis of paraffin-embedded Human liver tissue labeling PAH with ab178430 at 1/50 dilution.

Perform heat mediated antigen retrieval before commencing with IHC staining protocol.

Flow Cytometry (Intracellular) - Anti-PAH antibody [EPR12380] (AB178430)
  • Flow Cyt (Intra)

Supplier Data

Flow Cytometry (Intracellular) - Anti-PAH antibody [EPR12380] (AB178430)

Intracellular flow cytometric analysis of permeabilized HepG2 cells labeling PAH with ab178430 at 1/10 dilution (red) or a rabbit IgG (negative) (green).

Western blot - Anti-PAH antibody [EPR12380] (AB178430)
  • WB

Supplier Data

Western blot - Anti-PAH antibody [EPR12380] (AB178430)

Blocking buffer : 5% NFDM/TBST.

All lanes:

Western blot - Anti-PAH antibody [EPR12380] (ab178430) at 1/10000 dilution

Lane 1:

HepG2 (Human hepatocellular carcinoma epithelial cell) whole cell lysate at 20 µg

Lane 2:

U-87MG (Human glioblastoma-astrocytoma epithelial cell) whole cell lysate at 20 µg

Secondary

All lanes:

Western blot - Goat Anti-Rabbit IgG H&L (HRP) (<a href='/en-us/products/secondary-antibodies/goat-rabbit-igg-h-l-hrp-ab97051'>ab97051</a>) at 1/20000 dilution

Observed band size: 51 kDa

false

Exposure time: 180s

Western blot - Anti-PAH antibody [EPR12380] (AB178430)
  • WB

Supplier Data

Western blot - Anti-PAH antibody [EPR12380] (AB178430)

Blocking and dilution buffer : 5% NFDM/TBST

Negative control : mouse spleen.

In Western blot, anti-GAPDH antibody (ab181602) loading control staining at 1/200000 dilution.

All lanes:

Western blot - Anti-PAH antibody [EPR12380] (ab178430)

Lane 1:

Mouse liver tissue lysate at 20 µg

Lane 2:

Mouse spleen tissue lysate at 20 µg

Secondary

All lanes:

Western blot - Goat Anti-Rabbit IgG H&L (HRP) (<a href='/en-us/products/secondary-antibodies/goat-rabbit-igg-h-l-hrp-ab97051'>ab97051</a>) at 1/20000 dilution

Predicted band size: 51 kDa

Observed band size: 51 kDa

false

Western blot - Anti-PAH antibody [EPR12380] (AB178430)
  • WB

Supplier Data

Western blot - Anti-PAH antibody [EPR12380] (AB178430)

Blocking and dilution buffer : 5% NFDM/TBST.

Negative control : rat spleen.

In Western blot, anti-GAPDH antibody (ab181602) loading control staining at 1/200000 dilution.

All lanes:

Western blot - Anti-PAH antibody [EPR12380] (ab178430) at 1/500 dilution

Lane 1:

Rat liver tissue lysate at 20 µg

Lane 2:

Rat spleen tissue lysate at 20 µg

Secondary

All lanes:

Western blot - Goat Anti-Rabbit IgG H&L (HRP) (<a href='/en-us/products/secondary-antibodies/goat-rabbit-igg-h-l-hrp-ab97051'>ab97051</a>) at 1/20000 dilution

Predicted band size: 51 kDa

Observed band size: 51 kDa

false

Western blot - Anti-PAH antibody [EPR12380] (AB178430)
  • WB

Supplier Data

Western blot - Anti-PAH antibody [EPR12380] (AB178430)

All lanes:

Western blot - Anti-PAH antibody [EPR12380] (ab178430) at 1/1000 dilution

Lane 1:

Human fetal liver lysate at 10 µg

Lane 2:

HepG2 cell line lysate at 10 µg

Secondary

All lanes:

Goat anti-rabbit HRP conjugated antibody

Predicted band size: 51 kDa

true

Key facts

Host species

Rabbit

Clonality

Monoclonal

Clone number

EPR12380

Isotype

IgG

Carrier free

No

Reacts with

Mouse, Rat, Human

Applications

WB, ICC/IF, Flow Cyt (Intra), IHC-P

applications

Immunogen

The exact immunogen used to generate this antibody is proprietary information.

Reactivity data

{ "title": "Reactivity Data", "filters": { "stats": ["", "Species", "Dilution Info", "Notes"], "tabs": { "all-applications": {"fullname" : "All Applications", "shortname": "All Applications"}, "IHCP" : {"fullname" : "Immunohistochemistry (Formalin/PFA-fixed paraffin-embedded sections)", "shortname":"IHC-P"}, "IP" : {"fullname" : "Immunoprecipitation", "shortname":"IP"}, "WB" : {"fullname" : "Western blot", "shortname":"WB"}, "ICCIF" : {"fullname" : "Immunocytochemistry/ Immunofluorescence", "shortname":"ICC/IF"}, "FlowCytIntra" : {"fullname" : "Flow Cytometry (Intracellular)", "shortname":"Flow Cyt (Intra)"} }, "product-promise": { "all": "all", "testedAndGuaranteed": "tested", "guaranteed": "expected", "predicted": "predicted", "notRecommended": "not-recommended" } }, "values": { "Human": { "IHCP-species-checked": "testedAndGuaranteed", "IHCP-species-dilution-info": "1/50 - 1/100", "IHCP-species-notes": "<p></p> Perform heat-mediated antigen retrieval before commencing with IHC staining protocol.", "IP-species-checked": "notRecommended", "IP-species-dilution-info": "", "IP-species-notes": "<p></p>", "WB-species-checked": "testedAndGuaranteed", "WB-species-dilution-info": "1/1000 - 1/10000", "WB-species-notes": "<p></p>", "ICCIF-species-checked": "testedAndGuaranteed", "ICCIF-species-dilution-info": "1/50 - 1/100", "ICCIF-species-notes": "<p></p>", "FlowCytIntra-species-checked": "testedAndGuaranteed", "FlowCytIntra-species-dilution-info": "1/10 - 1/100", "FlowCytIntra-species-notes": "<p><a href='/en-us/products/primary-antibodies/rabbit-igg-monoclonal-epr25a-isotype-control-ab172730'>ab172730</a> - Rabbit monoclonal IgG, is suitable for use as an isotype control with this antibody.</p>" }, "Mouse": { "IHCP-species-checked": "notRecommended", "IHCP-species-dilution-info": "", "IHCP-species-notes": "<p></p>", "IP-species-checked": "notRecommended", "IP-species-dilution-info": "", "IP-species-notes": "", "WB-species-checked": "testedAndGuaranteed", "WB-species-dilution-info": "1/500", "WB-species-notes": "<p></p>", "ICCIF-species-checked": "guaranteed", "ICCIF-species-dilution-info": "", "ICCIF-species-notes": "", "FlowCytIntra-species-checked": "guaranteed", "FlowCytIntra-species-dilution-info": "", "FlowCytIntra-species-notes": "" }, "Rat": { "IHCP-species-checked": "notRecommended", "IHCP-species-dilution-info": "", "IHCP-species-notes": "<p></p>", "IP-species-checked": "notRecommended", "IP-species-dilution-info": "", "IP-species-notes": "", "WB-species-checked": "testedAndGuaranteed", "WB-species-dilution-info": "1/500", "WB-species-notes": "<p></p>", "ICCIF-species-checked": "guaranteed", "ICCIF-species-dilution-info": "", "ICCIF-species-notes": "", "FlowCytIntra-species-checked": "guaranteed", "FlowCytIntra-species-dilution-info": "", "FlowCytIntra-species-notes": "" } } }

Product details

What is this antibody validated in?
Anti-PAH antibody [EPR12380] (ab178430) is a rabbit recombinant monoclonal antibody and is validated for use in Western Blot (WB), Flow Cytometry (Intra), Flow Cytometry (Flow Cyt), Immunohistochemistry (IHC-P), Immunocytochemistry/immunofluorescence (ICC/IF) in Human samples.

What is the molecular weight of PAH?
Anti-PAH [EPR12380] (ab178430) specifically detects a band for PAH (UniProt: P00439) at a molecular weight of 51kDa.

Trial sizes available!
Test your antibody or perform pre-screening before committing to a larger quantity. Sold in 10µl. Discover our selection of trial-size antibodies.

Other related products
We have a range of other formats of antibody clone [EPR12380] also available for your convenience: ab178430, Carrier free - ab202431, Alexa Fluor® 647 - ab207388, Alexa Fluor® 488 - ab208418, PE - ab303092, APC - ab303093, HRP - ab303094, Alkaline Phosphatase - ab308739, Alexa Fluor® 594 - ab310453, Alexa Fluor® 555 - ab311982, Alexa Fluor® 568 - ab312457, Alexa Fluor® 750 - ab321214

Patented technology
Our RabMAb® technology is a patented hybridoma-based technology for making rabbit monoclonal antibodies. For details on our patents, please refer to RabMAb® patents.

What are the advantages of a recombinant monoclonal antibody?
This product is a recombinant monoclonal antibody, which offers several advantages including:

  • - High batch-to-batch consistency and reproducibility
  • - Improved sensitivity and specificity
  • - Long-term security of supply
  • - Animal-free batch production

For more information, read more on recombinant antibodies.

Properties and storage information

Form
Liquid
Purification technique
Affinity purification Protein A
Storage buffer
pH: 7.2 - 7.4 Preservative: 0.01% Sodium azide Constituents: PBS, 40% Glycerol (glycerin, glycerine), 0.05% BSA
Shipped at conditions
Blue Ice
Appropriate short-term storage duration
1-2 weeks
Appropriate short-term storage conditions
+4°C
Appropriate long-term storage conditions
-20°C
Aliquoting information
Upon delivery aliquot
Storage information
Avoid freeze / thaw cycle

Product protocols

For this product, it's our understanding that no specific protocols are required. You can visit:

Target data

Catalyzes the hydroxylation of L-phenylalanine to L-tyrosine.
See full target information Phenylalanine-4-hydroxylase

Publications (5)

Recent publications for all applications. Explore the full list and refine your search

Nature communications 13:4291 PubMed35879296

2022

Phenylalanine impairs insulin signaling and inhibits glucose uptake through modification of IRβ.

Applications

Unspecified application

Species

Unspecified reactive species

Qian Zhou,Wan-Wan Sun,Jia-Cong Chen,Hui-Lu Zhang,Jie Liu,Yan Lin,Peng-Cheng Lin,Bai-Xing Wu,Yan-Peng An,Lin Huang,Wen-Xing Sun,Xin-Wen Zhou,Yi-Ming Li,Yi-Yuan Yuan,Jian-Yuan Zhao,Wei Xu,Shi-Min Zhao

Frontiers in endocrinology 12:703167 PubMed34925225

2021

The miR-4739/DLX3 Axis Modulates Bone Marrow-Derived Mesenchymal Stem Cell (BMSC) Osteogenesis Affecting Osteoporosis Progression.

Applications

Unspecified application

Species

Unspecified reactive species

Ding Li,Qi Yuan,Liang Xiong,Aoyu Li,Yu Xia

Journal of inherited metabolic disease 44:1369-1381 PubMed33896013

2021

Use of an adeno-associated virus serotype Anc80 to provide durable cure of phenylketonuria in a mouse model.

Applications

Unspecified application

Species

Unspecified reactive species

Robert A Kaiser,Nicholas D Weber,Laia Trigueros-Motos,Kari L Allen,Michael Martinez,William Cao,Caitlin J VanLith,Lori G Hillin,Anne Douar,Gloria González-Aseguinolaza,Rafael Aldabe,Joseph B Lillegard

PloS one 16:e0245831 PubMed33493163

2021

Development of a porcine model of phenylketonuria with a humanized R408W mutation for gene editing.

Applications

Unspecified application

Species

Unspecified reactive species

Robert A Kaiser,Daniel F Carlson,Kari L Allen,Dennis A Webster,Caitlin J VanLith,Clara T Nicolas,Lori G Hillin,Yue Yu,Catherine W Kaiser,William R Wahoff,Raymond D Hickey,Adrienne L Watson,Shelley R Winn,Beat Thöny,Douglas R Kern,Cary O Harding,Joseph B Lillegard

Gene 707:239-245 PubMed31102715

2019

In vitro residual activities in 20 variants of phenylalanine hydroxylase and genotype-phenotype correlation in phenylketonuria patients.

Applications

Unspecified application

Species

Unspecified reactive species

Xia Zhang,Jun Ye,Nan Shen,Yue Tao,Lianshu Han,Wenjuan Qiu,Huiwen Zhang,Lili Liang,Yanjie Fan,Jianguo Wang,Zhuwen Gong,Yu Wang,Guoling You,Qihua Fu,Xi Mo,Xuefan Gu,Yongguo Yu
View all publications

Product promise

We are committed to supporting your work with high-quality reagents, and we're here for you every step of the way. In the unlikely event that one of our products does not perform as expected, you're protected by our Product Promise.
For full details, please see our Terms & Conditions

Please note: All products are 'FOR RESEARCH USE ONLY. NOT FOR USE IN DIAGNOSTIC OR THERAPEUTIC PROCEDURES'.

For licensing inquiries, please contact partnerships@abcam.com