JavaScript is disabled in your browser. Please enable JavaScript to view this website.
AB66705

Anti-PAI1 antibody

4

(8 Reviews)

|

(107 Publications)

Anti-PAI1 antibody (ab66705) is a rabbit polyclonal antibody detecting PAI1 in Western Blot, IHC-P, ICC/IF. Suitable for Human.

- Over 80 publications
- Trusted since 2009

View Alternative Names

PAI1, PLANH1, SERPINE1, Plasminogen activator inhibitor 1, PAI, PAI-1, Endothelial plasminogen activator inhibitor, Serpin E1

7 Images
Western blot - Anti-PAI1 antibody (AB66705)
  • WB

Lab

Western blot - Anti-PAI1 antibody (AB66705)

This blot was produced using a 4-12% Bis-tris gel under the MOPS buffer system. The gel was run at 200V for 50 minutes before being transferred onto a Nitrocellulose membrane at 30V for 70 minutes. The membrane was then blocked for an hour using 2% Bovine Serum Albumin before being incubated with ab66705 overnight at 4°C. Antibody binding was detected using an anti-rabbit antibody conjugated to HRP, and visualised using ECL development solution ab133406.

All lanes:

Western blot - Anti-PAI1 antibody (ab66705) at 1 µg/mL

Lane 1:

HUVEC (Human Umbilical Vein Endothelial Cell) Whole Cell Lysate at 10 µg

Lane 2:

Human Aortic Endothelial Cell Lysate (HAEC) at 10 µg

Secondary

All lanes:

Peroxidase AffiniPure Goat Anti-Rabbit IgG (H+L) at 1/50000 dilution

Predicted band size: 45 kDa

Observed band size: 45 kDa

true

Exposure time: 4min

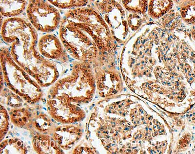
Immunohistochemistry (Formalin/PFA-fixed paraffin-embedded sections) - Anti-PAI1 antibody (AB66705)
  • IHC-P

Unknown

Immunohistochemistry (Formalin/PFA-fixed paraffin-embedded sections) - Anti-PAI1 antibody (AB66705)

IHC image of PAI1 staining in Human normal kidney formalin fixed paraffin embedded tissue section, performed on a Leica Bond™ system using the standard protocol F. The section was pre-treated using heat mediated antigen retrieval with sodium citrate buffer (pH6, epitope retrieval solution 1) for 20 mins. The section was then incubated with ab66705, 5μg/ml, for 15 mins at room temperature and detected using an HRP conjugated compact polymer system. DAB was used as the chromogen. The section was then counterstained with haematoxylin and mounted with DPX.

For other IHC staining systems (automated and non-automated) customers should optimize variable parameters such as antigen retrieval conditions, primary antibody concentration and antibody incubation times.

Immunocytochemistry/ Immunofluorescence - Anti-PAI1 antibody (AB66705)
  • ICC/IF

Unknown

Immunocytochemistry/ Immunofluorescence - Anti-PAI1 antibody (AB66705)

ab66705 staining PAI1 in HeLa cells treated with dynole-34-2™ (ab120463), by ICC/IF. Increase in PAI1 expression correlates with increased concentration of dynole-34-2™, as described in literature.
The cells were incubated at 37°C for 24h in media containing different concentrations of ab120463 (dynole-34-2™) in DMSO, fixed with 100% methanol for 5 minutes at -20°C and blocked with PBS containing 10% goat serum, 0.3 M glycine, 1% BSA and 0.1% tween for 2h at room temperature. Staining of the treated cells with ab66705 (5 µg/ml) was performed overnight at 4°C in PBS containing 1% BSA and 0.1% tween. A DyLight 488 goat anti-rabbit polyclonal antibody (ab96899) at 1/250 dilution was used as the secondary antibody. Nuclei were counterstained with DAPI and are shown in blue.

Immunocytochemistry/ Immunofluorescence - Anti-PAI1 antibody (AB66705)
  • ICC/IF

Unknown

Immunocytochemistry/ Immunofluorescence - Anti-PAI1 antibody (AB66705)

ab66705 staining PAI1 in HeLa cells treated with Dyngo-4a™ (ab120689), by ICC/IF. Increase in PAI1 expression correlates with increased concentration of Dyngo-4a™, as described in literature.
The cells were incubated at 37°C for 6h in media containing different concentrations of ab120689 (Dyngo-4a™) in DMSO, fixed with 100% methanol for 5 minutes at -20°C and blocked with PBS containing 10% goat serum, 0.3 M glycine, 1% BSA and 0.1% tween for 2h at room temperature. Staining of the treated cells with ab66705 (5 μg/ml) was performed overnight at 4°C in PBS containing 1% BSA and 0.1% tween. A DyLight® 488 goat anti-rabbit polyclonal antibody (ab96899) at 1/250 dilution was used as the secondary antibody. Nuclei were counterstained with DAPI and are shown in blue.

Immunocytochemistry/ Immunofluorescence - Anti-PAI1 antibody (AB66705)
  • ICC/IF

Unknown

Immunocytochemistry/ Immunofluorescence - Anti-PAI1 antibody (AB66705)

ab66705 staining PAI1 in HeLa cells treated with dynasore (ab120192), by ICC/IF. Increase in PAI1 expression correlates with increased concentration of dynasore, as described in literature.
The cells were incubated at 37°C for 6h in media containing different concentrations of ab120192 (dynasore) in DMSO, fixed with 100% methanol for 5 minutes at -20°C and blocked with PBS containing 10% goat serum, 0.3 M glycine, 1% BSA and 0.1% tween for 2h at room temperature. Staining of the treated cells with ab66705 (5 μg/ml) was performed overnight at 4°C in PBS containing 1% BSA and 0.1% tween. A DyLight® 488 goat anti-rabbit polyclonal antibody (ab96899) at 1/250 dilution was used as the secondary antibody. Nuclei were counterstained with DAPI and are shown in blue.

Western blot - Anti-PAI1 antibody (AB66705)
  • WB

Lab

Western blot - Anti-PAI1 antibody (AB66705)

This blot was produced using a 4-12% Bis-tris gel under the MOPS buffer system. The gel was run at 200V for 50 minutes before being transferred onto a Nitrocellulose membrane at 30V for 70 minutes. The membrane was then blocked for an hour using 2% Bovine Serum Albumin before being incubated with ab66705 overnight at 4°C. Antibody binding was detected using an anti-rabbit antibody conjugated to HRP, and visualised using ECL development solution ab133406.

All lanes:

Western blot - Anti-PAI1 antibody (ab66705) at 1 µg/mL

Lane 1:

HUVEC (Human Umbilical Vein Endothelial Cell) Whole Cell Lysate at 10 µg

Lane 2:

Human Aortic Endothelial Cell Lysate (HAEC) at 10 µg

Secondary

All lanes:

Peroxidase AffiniPure Goat Anti-Rabbit IgG (H+L) at 1/50000 dilution

Predicted band size: 45 kDa

Observed band size: 42 kDa,45 kDa

true

Exposure time: 2min

Immunocytochemistry/ Immunofluorescence - Anti-PAI1 antibody (AB66705)
  • ICC/IF

Lab

Immunocytochemistry/ Immunofluorescence - Anti-PAI1 antibody (AB66705)

ab66705 staining PAI1 in HeLa cells. The cells were fixed with 100% methanol (5 min), permeabilized with 0.1% Triton X-100 for 5 minutes and then blocked with 1% BSA/10% normal goat serum/0.3M glycine in 0.1% PBS-Tween for 1h. The cells were then incubated with the antibody ab66705 at 1μg/ml and ab7291 (Mouse monoclonal to alpha Tubulin - Loading Control) used at a 1/1000 dilution overnight at +4°C. The secondary antibodies were ab150081, Goat Anti-Rabbit IgG H&L (Alexa Fluor® 488) preadsorbed, (pseudo-colored green) and ab150120, Goat polyclonal Secondary Antibody to Mouse IgG - H&L (Alexa Fluor® 594) preadsorbed, (colored red), both used at a 1/1000 dilution for 1 hour at room temperature. DAPI was used to stain the cell nuclei (colored blue) at a concentration of 1.43 μM for 1hour at room temperature.

Key facts

Host species

Rabbit

Clonality

Polyclonal

Isotype

IgG

Carrier free

No

Reacts with

Human

Applications

IHC-P, WB, ICC/IF

applications

Immunogen

The exact immunogen used to generate this antibody is proprietary information.

Specificity

Replenishment batches of our polyclonal antibody, ab66705 are tested in WB. Previous batches were additionally validated in ICC/IF and IHC-P. These applications are still expected to work and are covered by our Abpromise guarantee. You may also be interested in our alternative recombinant antibody, ab182973.

Reactivity data

{ "title": "Reactivity Data", "filters": { "stats": ["", "Species", "Dilution Info", "Notes"], "tabs": { "all-applications": {"fullname" : "All Applications", "shortname": "All Applications"}, "WB" : {"fullname" : "Western blot", "shortname":"WB"}, "ICCIF" : {"fullname" : "Immunocytochemistry/ Immunofluorescence", "shortname":"ICC/IF"}, "IHCP" : {"fullname" : "Immunohistochemistry (Formalin/PFA-fixed paraffin-embedded sections)", "shortname":"IHC-P"} }, "product-promise": { "all": "all", "testedAndGuaranteed": "tested", "guaranteed": "expected", "predicted": "predicted", "notRecommended": "not-recommended" } }, "values": { "Human": { "WB-species-checked": "testedAndGuaranteed", "WB-species-dilution-info": "1 µg/mL", "WB-species-notes": "<p>We recommend blocking in 2% Bovine Serum Albumin.</p>", "ICCIF-species-checked": "testedAndGuaranteed", "ICCIF-species-dilution-info": "1/1 - 1/5", "ICCIF-species-notes": "<p></p>", "IHCP-species-checked": "testedAndGuaranteed", "IHCP-species-dilution-info": "5 µg/mL", "IHCP-species-notes": "<p></p> Perform heat-mediated antigen retrieval with citrate buffer pH 6 before commencing with IHC staining protocol." }, "Mouse": { "WB-species-checked": "predicted", "WB-species-dilution-info": "", "WB-species-notes": "", "ICCIF-species-checked": "predicted", "ICCIF-species-dilution-info": "", "ICCIF-species-notes": "", "IHCP-species-checked": "predicted", "IHCP-species-dilution-info": "", "IHCP-species-notes": "" }, "Rat": { "WB-species-checked": "predicted", "WB-species-dilution-info": "", "WB-species-notes": "", "ICCIF-species-checked": "predicted", "ICCIF-species-dilution-info": "", "ICCIF-species-notes": "", "IHCP-species-checked": "predicted", "IHCP-species-dilution-info": "", "IHCP-species-notes": "" }, "Cow": { "WB-species-checked": "predicted", "WB-species-dilution-info": "", "WB-species-notes": "", "ICCIF-species-checked": "predicted", "ICCIF-species-dilution-info": "", "ICCIF-species-notes": "", "IHCP-species-checked": "predicted", "IHCP-species-dilution-info": "", "IHCP-species-notes": "" }, "Horse": { "WB-species-checked": "predicted", "WB-species-dilution-info": "", "WB-species-notes": "", "ICCIF-species-checked": "predicted", "ICCIF-species-dilution-info": "", "ICCIF-species-notes": "", "IHCP-species-checked": "predicted", "IHCP-species-dilution-info": "", "IHCP-species-notes": "" }, "Pig": { "WB-species-checked": "predicted", "WB-species-dilution-info": "", "WB-species-notes": "", "ICCIF-species-checked": "predicted", "ICCIF-species-dilution-info": "", "ICCIF-species-notes": "", "IHCP-species-checked": "predicted", "IHCP-species-dilution-info": "", "IHCP-species-notes": "" } } }

Product details

What is this antibody validated in?
Anti-PAI1 antibody (ab66705) is a rabbit polyclonal antibody and is validated for use in Western Blot (WB), Immunohistochemistry (IHC-P), Immunocytochemistry/immunofluorescence (ICC/IF) in Human samples.

What is the molecular weight of PAI1?
Anti-PAI1 (ab66705) specifically detects a band for PAI1 (UniProt: P05121) at a molecular weight of 45kDa.

Trusted by the scientific community
Anti-PAI1 (ab66705) was first used in a scientific publication in 2009 and has been cited over 80 times in peer-reviewed journals.

Reviewed by scientists
Anti-PAI1 (ab66705) has over 5 independent reviews from customers.

Properties and storage information

Form
Liquid
Purification technique
Affinity purification Immunogen
Storage buffer
pH: 7.4 Preservative: 0.02% Sodium azide Constituents: 98.98% PBS, 1% BSA
Shipped at conditions
Blue Ice
Appropriate short-term storage duration
1-2 weeks
Appropriate short-term storage conditions
+4°C
Appropriate long-term storage conditions
-20°C
Aliquoting information
Upon delivery aliquot
Storage information
Avoid freeze / thaw cycle

Product protocols

For this product, it's our understanding that no specific protocols are required. You can visit:

Target data

Serine protease inhibitor. Inhibits TMPRSS7 (PubMed : 15853774). Is a primary inhibitor of tissue-type plasminogen activator (PLAT) and urokinase-type plasminogen activator (PLAU). As PLAT inhibitor, it is required for fibrinolysis down-regulation and is responsible for the controlled degradation of blood clots (PubMed : 17912461, PubMed : 8481516, PubMed : 9207454). As PLAU inhibitor, it is involved in the regulation of cell adhesion and spreading (PubMed : 9175705). Acts as a regulator of cell migration, independently of its role as protease inhibitor (PubMed : 15001579, PubMed : 9168821). It is required for stimulation of keratinocyte migration during cutaneous injury repair (PubMed : 18386027). It is involved in cellular and replicative senescence (PubMed : 16862142). Plays a role in alveolar type 2 cells senescence in the lung (By similarity). Is involved in the regulation of cementogenic differentiation of periodontal ligament stem cells, and regulates odontoblast differentiation and dentin formation during odontogenesis (PubMed : 25808697, PubMed : 27046084).
See full target information SERPINE1

Publications (107)

Recent publications for all applications. Explore the full list and refine your search

International journal of molecular sciences 26: PubMed40806434

2025

Gene Monitoring in Obesity-Induced Metabolic Dysfunction in Rats: Preclinical Data on Breast Neoplasia Initiation.

Applications

Unspecified application

Species

Unspecified reactive species

Francisco Claro,Joseane Morari,Camila de Angelis,Emerielle Cristine Vanzela,Wandir Antonio Schiozer,Lício Velloso,Luis Otavio Zanatta Sarian

Stem cell research & therapy 16:244 PubMed40369583

2025

Lyophilized MSC-EVs attenuates COVID-19 pathogenesis by regulating the JAK/STAT pathway.

Applications

Unspecified application

Species

Unspecified reactive species

Nesrine Ebrahim,Hajir A Al Saihati,Zahraa Alali,Sabry Younis Mohamed Mahmoud,Ali A Rabaan,Arigue A Dessouky,Rabab F Salim,Ashraf A Shamaa,Ahmed N Abdallah,Nehal M Elsherbiny,Gamal Othman,Abdelnaser A Badawy,Gianpiero Di Leva,Omnia A Badr

Scientific reports 15:16449 PubMed40355586

2025

Tumor microenvironment modulation by SERPINE1 increases radioimmunotherapy in murine model of gastric cancer.

Applications

Unspecified application

Species

Unspecified reactive species

Javeria Zaheer,Joycie Shanmugiah,Seungyoun Kim,Hyeongi Kim,Jin Su Kim

Journal of molecular and cellular cardiology plus 11:100287 PubMed40028176

2025

Angiotensin IV does not exert prothrombotic effects .

Applications

Unspecified application

Species

Unspecified reactive species

Qifang Wu,Christine Gille,Florian Maderspacher,Bianca Hildebrand,Manuela Thienel,Sebastian Clauss

Frontiers in cell and developmental biology 13:1450407 PubMed39974724

2025

Cisplatin resistance alters ovarian cancer spheroid formation and impacts peritoneal invasion.

Applications

Unspecified application

Species

Unspecified reactive species

Lydia C Powell,Marcos Quintela,David W James,Emenike Onyido,David Howard,Kadie Edwards,Jordan L Turney,Charlotte R Morgan,Jenny Worthington,Nicole Williams,Alexander Dulebo,Heiko Haschke,Deyarina Gonzalez,R Steven Conlan,Lewis W Francis

Gynecologic and obstetric investigation 90:108-119 PubMed39348822

2024

HLTF/SERPINE1 Axis Plays a Crucial Pro-Oncogenic Role in the Progression from Cervical Precancerous Lesions to Cervical Carcinoma in vitro.

Applications

Unspecified application

Species

Unspecified reactive species

Yong Wang,Yudi Tan,Shasha Yang,Jinkong Wei,Yuying Wei,Junying Chen

Pharmaceuticals (Basel, Switzerland) 17: PubMed39338372

2024

Plasminogen Activation Inhibitor-1 Promotes Resilience to Acute Oxidative Stress in Cerebral Arteries from Females.

Applications

Unspecified application

Species

Unspecified reactive species

Safa,Charles E Norton

iScience 27:110423 PubMed39104417

2024

Targeted dephosphorylation of SMAD3 as an approach to impede TGF-β signaling.

Applications

Unspecified application

Species

Unspecified reactive species

Abigail Brewer,Jin-Feng Zhao,Rotimi Fasimoye,Natalia Shpiro,Thomas J Macartney,Nicola T Wood,Melanie Wightman,Dario R Alessi,Gopal P Sapkota

International journal of molecular sciences 25: PubMed38892076

2024

Anti-HMGB1 mAb Therapy Reduces Epidural Hematoma Injury.

Applications

Unspecified application

Species

Unspecified reactive species

Shangze Gao,Dengli Wang,Keyue Liu,Yasuko Tomono,Li Fu,Yuan Gao,Yohei Takahashi,Mariko Yata,Masahiro Nishibori

BMC neurology 24:90 PubMed38454378

2024

High thrombin-activatable fibrinolysis inhibitor expression in thrombi from stroke patients in elevated estrogen states.

Applications

Unspecified application

Species

Unspecified reactive species

Tamanna Agarwal,Oana Madalina Mereuta,Sherief Ghozy,Jorge L Arturo Larco,Cem Bilgin,Ram Kadirvel,Waleed Brinjikji,David F Kallmes
View all publications

Product promise

We are committed to supporting your work with high-quality reagents, and we're here for you every step of the way. In the unlikely event that one of our products does not perform as expected, you're protected by our Product Promise.
For full details, please see our Terms & Conditions

Please note: All products are 'FOR RESEARCH USE ONLY. NOT FOR USE IN DIAGNOSTIC OR THERAPEUTIC PROCEDURES'.

For licensing inquiries, please contact partnerships@abcam.com