JavaScript is disabled in your browser. Please enable JavaScript to view this website.
AB269409

Anti-PAI1 antibody [EPR21850-262] - BSA and Azide free (Detector)

Be the first to review this product! Submit a review

|

(0 Publication)

Rabbit Recombinant Monoclonal PAI1 antibody. Carrier free. Suitable for sELISA, WB, IHC-P, ICC/IF and reacts with Human, Mouse, Rat samples.

View Alternative Names

PAI1, PLANH1, SERPINE1, Plasminogen activator inhibitor 1, PAI, PAI-1, Endothelial plasminogen activator inhibitor, Serpin E1

8 Images
Immunocytochemistry/ Immunofluorescence - Anti-PAI1 antibody [EPR21850-262] - BSA and Azide free (Detector) (AB269409)
  • ICC/IF

Lab

Immunocytochemistry/ Immunofluorescence - Anti-PAI1 antibody [EPR21850-262] - BSA and Azide free (Detector) (AB269409)

Immunofluorescent analysis of 4% Paraformaldehyde-fixed, 0.1% TritonX-100 permeabilized HUVEC (human umbilical vein endothelial cell) cells labelling Clusterin with ab269409 at 1/500 (2.022 µg/ml) dilution followed by a ab150081 Goat Anti-Rabbit IgG H&L (Alexa Fluor® 488) preadsorbed at a 1/1000 (2 µg) dilution (Green).

Confocal image showing cytoplasmic staining in HUVEC cell line. Negative control : HCT 116 (PMID : 36076991). Nuclear DNA was labelled with DAPI (shown in blue).
Image was taken with a confocal microscope (Leica-Microsystems, TCS SP8).

ab195889 Anti-alpha Tubulin mouse monoclonal antibody - Microtubule Marker (Alexa Fluor® 594) was used to counterstain tubulin at 1/200 (2.5µg/ml) dilution (Magenta). The Nuclear counterstain was DAPI (Blue).

Secondary antibody only control : ab150081 Goat Anti-Rabbit IgG H&L (Alexa Fluor® 488) preadsorbed at a 1/1000 (2 µg) dilution.

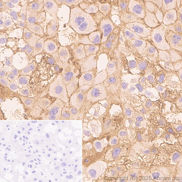
Immunohistochemistry (Formalin/PFA-fixed paraffin-embedded sections) - Anti-PAI1 antibody [EPR21850-262] - BSA and Azide free (Detector) (AB269409)
  • IHC-P

Lab

Immunohistochemistry (Formalin/PFA-fixed paraffin-embedded sections) - Anti-PAI1 antibody [EPR21850-262] - BSA and Azide free (Detector) (AB269409)

Immunohistochemical analysis of paraffin-embedded Human placenta tissue labeling PAI1 with ab269409 at 1/100 (10.11 µg/ml) dilution, followed by a ready to use LeicaDS9800 (Bond™ Polymer Refine Detection).

Positive staining on human placenta. The section was incubated with ab269409 for 30 mins at room temperature.
The immunostaining was performed on a Leica Biosystems BOND® RX instrument

Counterstained with Hematoxylin.

Secondary antibody only control : Ready to use LeicaDS9800 (Bond™ Polymer Refine Detection).

Heat mediated antigen retrieval was performed with Tris-EDTA buffer (pH 9.0, Epitope Retrieval Solution2) for 20 mins.

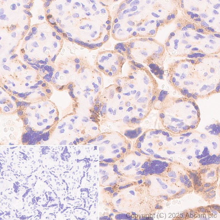
Immunohistochemistry (Formalin/PFA-fixed paraffin-embedded sections) - Anti-PAI1 antibody [EPR21850-262] - BSA and Azide free (Detector) (AB269409)
  • IHC-P

Lab

Immunohistochemistry (Formalin/PFA-fixed paraffin-embedded sections) - Anti-PAI1 antibody [EPR21850-262] - BSA and Azide free (Detector) (AB269409)

Immunohistochemical analysis of paraffin-embedded Mouse placenta tissue labeling PAI1 with ab269409 at 1/100 (10.11 µg/ml) dilution, followed by a ready to use LeicaDS9800 (Bond™ Polymer Refine Detection).

Positive staining on mouse placenta. The section was incubated with ab269409 for 30 mins at room temperature.
The immunostaining was performed on a Leica Biosystems BOND® RX instrument

Counterstained with Hematoxylin.

Secondary antibody only control : Ready to use LeicaDS9800 (Bond™ Polymer Refine Detection).

Heat mediated antigen retrieval was performed with Tris-EDTA buffer (pH 9.0, Epitope Retrieval Solution2) for 20 mins.

Immunohistochemistry (Formalin/PFA-fixed paraffin-embedded sections) - Anti-PAI1 antibody [EPR21850-262] - BSA and Azide free (Detector) (AB269409)
  • IHC-P

Lab

Immunohistochemistry (Formalin/PFA-fixed paraffin-embedded sections) - Anti-PAI1 antibody [EPR21850-262] - BSA and Azide free (Detector) (AB269409)

Immunohistochemical analysis of paraffin-embedded Rat placenta tissue labeling PAI1 with ab269409 at 1/100 (10.11 µg/ml) dilution, followed by a ready to use LeicaDS9800 (Bond™ Polymer Refine Detection).

Positive staining on rat placenta. The section was incubated with ab269409 for 30 mins at room temperature.
The immunostaining was performed on a Leica Biosystems BOND® RX instrument

Counterstained with Hematoxylin.

Secondary antibody only control : Ready to use LeicaDS9800 (Bond™ Polymer Refine Detection).

Heat mediated antigen retrieval was performed with Tris-EDTA buffer (pH 9.0, Epitope Retrieval Solution2) for 20 mins.

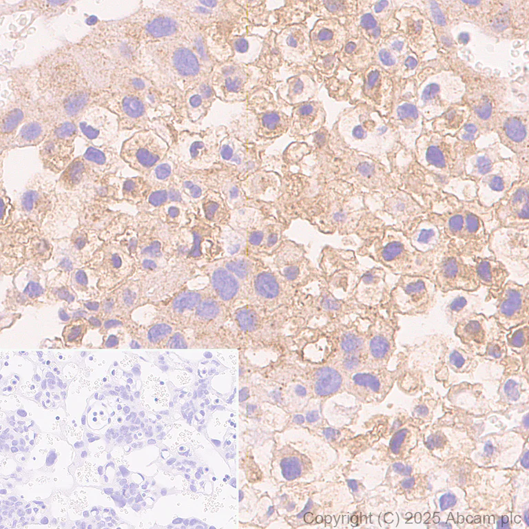
Western blot - Anti-PAI1 antibody [EPR21850-262] - BSA and Azide free (Detector) (AB269409)
  • WB

Lab

Western blot - Anti-PAI1 antibody [EPR21850-262] - BSA and Azide free (Detector) (AB269409)

Blocking and diluting buffer and concentration : 5% NFDM/TBST.

ab181602 was used as a GAPDH loading control at a 1/200000 dilution.

Exposure time :
Lane 1-2 : 180 seconds;
Lane 3-4 : 26 seconds

All lanes:

Western blot - Anti-PAI1 antibody [EPR21850-262] - BSA and Azide free (Detector) (ab269409) at 1/1000 dilution

Lane 1:

HepG2 (human hepatocellular carcinoma epithelial cell) whole cell lysate at 20 µg

Lane 2:

Human liver tissue lysate at 20 µg

Lane 3:

Mouse placenta tissue lysate at 20 µg

Lane 4:

Rat placenta tissue lysate at 20 µg

Secondary

All lanes:

Western blot - Goat Anti-Rabbit IgG H&L (HRP) (<a href='/en-us/products/secondary-antibodies/goat-rabbit-igg-h-l-hrp-ab97051'>ab97051</a>) at 1/100000 dilution

Observed band size: 45 kDa

false

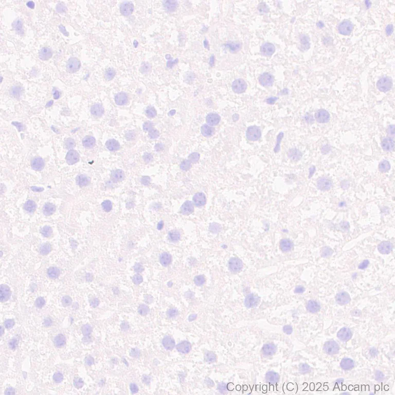
Immunohistochemistry (Formalin/PFA-fixed paraffin-embedded sections) - Anti-PAI1 antibody [EPR21850-262] - BSA and Azide free (Detector) (AB269409)
  • IHC-P

Lab

Immunohistochemistry (Formalin/PFA-fixed paraffin-embedded sections) - Anti-PAI1 antibody [EPR21850-262] - BSA and Azide free (Detector) (AB269409)

Immunohistochemical analysis of paraffin-embedded Rat liver tissue labeling PAI1 with ab269409 at 1/100 (10.11 µg/ml) dilution, followed by a ready to use LeicaDS9800 (Bond™ Polymer Refine Detection).

Negative control : no staining on rat liver. The section was incubated with ab269409 for 30 mins at room temperature.
The immunostaining was performed on a Leica Biosystems BOND® RX instrument

Counterstained with Hematoxylin.

Secondary antibody only control : Ready to use LeicaDS9800 (Bond™ Polymer Refine Detection).

Heat mediated antigen retrieval was performed with Tris-EDTA buffer (pH 9.0, Epitope Retrieval Solution2) for 20 mins.

Immunohistochemistry (Formalin/PFA-fixed paraffin-embedded sections) - Anti-PAI1 antibody [EPR21850-262] - BSA and Azide free (Detector) (AB269409)
  • IHC-P

Lab

Immunohistochemistry (Formalin/PFA-fixed paraffin-embedded sections) - Anti-PAI1 antibody [EPR21850-262] - BSA and Azide free (Detector) (AB269409)

Immunohistochemical analysis of paraffin-embedded Mouse liver tissue labeling PAI1 with ab269409 at 1/100 (10.11 µg/ml) dilution, followed by a ready to use LeicaDS9800 (Bond™ Polymer Refine Detection).

Negative control : no staining on mouse liver. The section was incubated with ab269409 for 30 mins at room temperature.
The immunostaining was performed on a Leica Biosystems BOND® RX instrument

Counterstained with Hematoxylin.

Secondary antibody only control : Ready to use LeicaDS9800 (Bond™ Polymer Refine Detection).

Heat mediated antigen retrieval was performed with Tris-EDTA buffer (pH 9.0, Epitope Retrieval Solution2) for 20 mins.

Sandwich ELISA - Anti-PAI1 antibody [EPR21850-262] - BSA and Azide free (Detector) (AB269409)
  • sELISA

Supplier Data

Sandwich ELISA - Anti-PAI1 antibody [EPR21850-262] - BSA and Azide free (Detector) (AB269409)

Representative standard curve from corresponding SimpleStep ELISA® Kit (ab269373).

Key facts

Host species

Rabbit

Clonality

Monoclonal

Clone number

EPR21850-262

Isotype

IgG

Carrier free

Yes

Reacts with

Human, Mouse, Rat

Applications

IHC-P, sELISA, ICC/IF, WB

applications

Immunogen

The exact immunogen used to generate this antibody is proprietary information.

Reactivity data

{ "title": "Reactivity Data", "filters": { "stats": ["", "Species", "Dilution Info", "Notes"], "tabs": { "all-applications": {"fullname" : "All Applications", "shortname": "All Applications"}, "sELISA" : {"fullname" : "Sandwich ELISA", "shortname":"sELISA"}, "WB" : {"fullname" : "Western blot", "shortname":"WB"}, "IHCP" : {"fullname" : "Immunohistochemistry (Formalin/PFA-fixed paraffin-embedded sections)", "shortname":"IHC-P"}, "ICCIF" : {"fullname" : "Immunocytochemistry/ Immunofluorescence", "shortname":"ICC/IF"} }, "product-promise": { "all": "all", "testedAndGuaranteed": "tested", "guaranteed": "expected", "predicted": "predicted", "notRecommended": "not-recommended" } }, "values": { "Human": { "sELISA-species-checked": "guaranteed", "sELISA-species-dilution-info": "", "sELISA-species-notes": "<p></p>", "WB-species-checked": "testedAndGuaranteed", "WB-species-dilution-info": "", "WB-species-notes": "<p></p>", "IHCP-species-checked": "testedAndGuaranteed", "IHCP-species-dilution-info": "", "IHCP-species-notes": "<p></p>", "ICCIF-species-checked": "testedAndGuaranteed", "ICCIF-species-dilution-info": "", "ICCIF-species-notes": "<p></p>" }, "Mouse": { "sELISA-species-checked": "predicted", "sELISA-species-dilution-info": "", "sELISA-species-notes": "", "WB-species-checked": "testedAndGuaranteed", "WB-species-dilution-info": "", "WB-species-notes": "<p></p>", "IHCP-species-checked": "testedAndGuaranteed", "IHCP-species-dilution-info": "", "IHCP-species-notes": "<p></p>", "ICCIF-species-checked": "guaranteed", "ICCIF-species-dilution-info": "", "ICCIF-species-notes": "" }, "Rat": { "sELISA-species-checked": "predicted", "sELISA-species-dilution-info": "", "sELISA-species-notes": "", "WB-species-checked": "testedAndGuaranteed", "WB-species-dilution-info": "", "WB-species-notes": "<p></p>", "IHCP-species-checked": "testedAndGuaranteed", "IHCP-species-dilution-info": "", "IHCP-species-notes": "<p></p>", "ICCIF-species-checked": "guaranteed", "ICCIF-species-dilution-info": "", "ICCIF-species-notes": "" } } }

You may be interested in:

AB108894

Plasminogen activator Inhibitor Type 1 Human Chromogenic Activity Assay Kit

0

0 Reviews

View product

We recommend this product because it’s often used in the same experiment or related research.

We advise that you always check the datasheet to ensure it fits your experiments, or contact ourtechnical teamfor help.

Product details

ab269409 is a BSA and Azide Free antibody supplied in an unconjugated format and it is suitable for sandwich ELISAs to quantify Human PAI1. The recommended pair for sandwich ELISA is:
Capture: ab269408, Human PAI1 Capture Antibody (unconjugated)
Detector: ab269409, Human PAI1 Detector Antibody (unconjugated)
The reference range value is 31.25 - 2000 pg/ml.

Alternatively, you can use
Capture: ab281237, Human PAI1 + tPA Complex Capture Antibody (unconjugated)
Detector: ab269409, Human PAI1 + tPA Complex Detector Antibody (unconjugated)
The reference range value is 78 - 5,000 pg/mL.

Patented technology
Our RabMAb® technology is a patented hybridoma-based technology for making rabbit monoclonal antibodies. For details on our patents, please refer to RabMAb® patents.

What are the advantages of a recombinant monoclonal antibody?
This product is a recombinant monoclonal antibody, which offers several advantages including:

  • - High batch-to-batch consistency and reproducibility
  • - Improved sensitivity and specificity
  • - Long-term security of supply
  • - Animal-free batch production

For more information, read more on recombinant antibodies.

Conjugation ready
Our carrier-free antibodies are typically supplied in a PBS-only formulation, purified and free of BSA, sodium azide and glycerol. This conjugation-ready format is designed for use with fluorochromes, metal isotopes, oligonucleotides, and enzymes, which makes them ideal for antibody labelling, functional and cell-based assays, flow-based assays (e.g. mass cytometry) and Multiplex Imaging applications.

Use our conjugation kits for antibody conjugates that are ready-to-use in as little as 20 minutes with 1 minute hands-on-time and 100% antibody recovery: available for fluorescent dyes, HRP, biotin and gold.

Sandwich ELISA
The recommended antibody orientation is based on internal optimization for ELISA-based assays. Antibody orientation is assay dependent and needs to be optimized for each assay type. Please note that the range provided for this antibody is only an estimation based on the performance of the product using the recommended antibody pair. Performance of the antibody pair will depend on the specific characteristics of your assay. We guarantee the product works in sandwich ELISA, but we do not guarantee the sensitivity or dynamic range of the antibody in your assay.

Properties and storage information

Form
Liquid
Purification technique
Affinity purification Protein A
Storage buffer
Constituents: 100% PBS
Shipped at conditions
Blue Ice
Appropriate short-term storage conditions
+4°C
Appropriate long-term storage conditions
+4°C

Product protocols

For this product, it's our understanding that no specific protocols are required. You can visit:

Target data

Serine protease inhibitor. Inhibits TMPRSS7 (PubMed : 15853774). Is a primary inhibitor of tissue-type plasminogen activator (PLAT) and urokinase-type plasminogen activator (PLAU). As PLAT inhibitor, it is required for fibrinolysis down-regulation and is responsible for the controlled degradation of blood clots (PubMed : 17912461, PubMed : 8481516, PubMed : 9207454). As PLAU inhibitor, it is involved in the regulation of cell adhesion and spreading (PubMed : 9175705). Acts as a regulator of cell migration, independently of its role as protease inhibitor (PubMed : 15001579, PubMed : 9168821). It is required for stimulation of keratinocyte migration during cutaneous injury repair (PubMed : 18386027). It is involved in cellular and replicative senescence (PubMed : 16862142). Plays a role in alveolar type 2 cells senescence in the lung (By similarity). Is involved in the regulation of cementogenic differentiation of periodontal ligament stem cells, and regulates odontoblast differentiation and dentin formation during odontogenesis (PubMed : 25808697, PubMed : 27046084).
See full target information SERPINE1

Product promise

We are committed to supporting your work with high-quality reagents, and we're here for you every step of the way. In the unlikely event that one of our products does not perform as expected, you're protected by our Product Promise.
For full details, please see our Terms & Conditions

Please note: All products are 'FOR RESEARCH USE ONLY. NOT FOR USE IN DIAGNOSTIC OR THERAPEUTIC PROCEDURES'.

For licensing inquiries, please contact partnerships@abcam.com