JavaScript is disabled in your browser. Please enable JavaScript to view this website.
AB222754

Anti-PAI1 antibody [EPR21850-82]

Be the first to review this product! Submit a review

|

(30 Publications)

Anti-PAI1 antibody [EPR21850-82] (ab222754) is a rabbit monoclonal antibody detecting PAI1 in Western Blot, Flow Cytometry (Intra), Flow Cytometry, IP, ICC/IF. Suitable for Human, Mouse, Rat.

- Biophysical QC for unrivalled batch-batch consistency
- Over 10 publications

View Alternative Names

PAI1, PLANH1, SERPINE1, Plasminogen activator inhibitor 1, PAI, PAI-1, Endothelial plasminogen activator inhibitor, Serpin E1

10 Images
Immunocytochemistry/ Immunofluorescence - Anti-PAI1 antibody [EPR21850-82] (AB222754)
  • ICC/IF

Supplier Data

Immunocytochemistry/ Immunofluorescence - Anti-PAI1 antibody [EPR21850-82] (AB222754)

Immunofluorescent analysis of 4% paraformaldehyde-fixed, 0.1% Triton X-100 permeabilized HUVEC (Human umbilical vein endothelial cell line) cells labeling PAI1 with ab222754 at 1/100 dilution, followed by Goat Anti-Rabbit IgG H&L (Alexa Fluor® 488) (ab150077) secondary antibody at 1/1,000 dilution (green). Confocal image showing cytoplasmic staining in HUVEC cell line. The nuclear counter stain is DAPI (blue).
Counterstained with ab195889 Anti-alpha Tubulin antibody [DM1A] - Microtubule Marker (Alexa Fluor® 594) at a 1/200 dilution (red).
The negative control is the secondary antibody only.

Flow Cytometry (Intracellular) - Anti-PAI1 antibody [EPR21850-82] (AB222754)
  • Flow Cyt (Intra)

Lab

Flow Cytometry (Intracellular) - Anti-PAI1 antibody [EPR21850-82] (AB222754)

Flow cytometry overlay histogram showing left HUVEC positive cells and right negative HEK293 stained with ab222754 (red line). The cells were fixed with 80% methanol (5 min) and then permeabilised with 0.1% PBS-Triton X-100 for 15 min. The cells were then incubated in 1x PBS containing 10% normal goat serum to block non-specific protein-protein interaction followed by the antibody (ab222754) (1x 106 in 100μl at 0.2μg/ml (1/9900)) for 30min at 22°C.

The secondary antibody Goat Anti-Rabbit IgG H&L (Alexa Fluor® 488) preadsorbed was incubated at 1/4000 for 30min at 22°C

Isotype control antibody (black line) was Recombinant Rabbit IgG, monoclonal [EPR25A] - Isotype Control used at the same concentration and conditions as the primary antibody. Unlabelled sample (blue line) was also used as a control.

Acquisition of >5000 events were collected using a 50 mW Blue laser (488nm) and 525/40 bandpass filter.

This antibody gave a positive signal in HUVEC Fixed with 4% formaldehyde (10 min) / permeabilised with 0.1% PBS-Triton X-100 for 15 min under the same conditions.

Immunocytochemistry/ Immunofluorescence - Anti-PAI1 antibody [EPR21850-82] (AB222754)
  • ICC/IF

Lab

Immunocytochemistry/ Immunofluorescence - Anti-PAI1 antibody [EPR21850-82] (AB222754)

ab222754 staining SERPINE1 in HUV-EC cells, with negative expression in HEK293 cells. The cells were fixed with 4% formaldehyde (10 min), permeabilised with 0.1% Triton x-100 for 5 minutes and then blocked with 1% BSA/10% normal goat serum/0.3M glycine in 0.1% PBS-Tween for 1h. The cells were then incubated overnight at +4°C with ab222754 at 0.1 μg/ml and ab7291, Mouse monoclonal [DM1A] to alpha Tubulin at 0.5 μg/ml. Cells were then incubated with ab150081, Goat polyclonal Secondary Antibody to Rabbit IgG - H&L (Alexa Fluor® 488), pre-adsorbed at 1/1000 dilution (shown in green) and ab150119, Goat polyclonal Secondary Antibody to Mouse IgG - H&L (Alexa Fluor® 647), pre-adsorbed at 1/1000 dilution (shown in red). Nuclear DNA was labelled with DAPI (shown in blue).Image was acquired with a confocal microscope (Leica-Microsystems TCS SP8) and a single confocal section is shown.

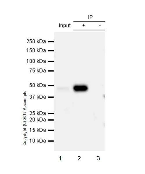
Immunoprecipitation - Anti-PAI1 antibody [EPR21850-82] (AB222754)
  • IP

Unknown

Immunoprecipitation - Anti-PAI1 antibody [EPR21850-82] (AB222754)

PAI1 was immunoprecipitated from 0.35 mg HepG2 (human hepatocellular carcinoma epithelial cell line) whole cell lysate with ab222754 at 1/30 dilution. Western blot was performed from the immunoprecipitate using ab222754 at 1/1,000 dilution. VeriBlot for IP Detection Reagent (HRP) (ab131366), was used for detection at 1/5,000 dilution.
Lane 1 : HepG2 whole cell lysate 10 μg (Input).
Lane 2 : ab222754 IP in HepG2 whole cell lysate (+).
Lane 3 : Rabbit monoclonal IgG (ab172730) instead of ab222754 in HepG2 whole cell lysate (-).
Blocking/Dilution buffer : 5% NFDM/TBST.
Exposure time : 3 minutes.

All lanes:

Immunoprecipitation - Anti-PAI1 antibody [EPR21850-82] (ab222754)

Predicted band size: 45 kDa

false

Immunocytochemistry/ Immunofluorescence - Anti-PAI1 antibody [EPR21850-82] (AB222754)
  • ICC/IF

Supplier Data

Immunocytochemistry/ Immunofluorescence - Anti-PAI1 antibody [EPR21850-82] (AB222754)

Immunofluorescent analysis of 4% paraformaldehyde-fixed, 0.1% Triton X-100 permeabilized NIH/3T3 (Mouse embryonic fibroblast cell line) cells labeling PAI1 with ab222754 at 1/100 dilution, followed by Goat Anti-Rabbit IgG H&L (Alexa Fluor® 488) (ab150077) secondary antibody at 1/1,000 dilution (green). Confocal image showing the signal is increased in 4 hour serum-starved NIH/3T3 cells treated with TGF-β (10 ng/ml) for 3 hours, then with TGF-β (10 ng/ml) and BFA (300 ng/ml) together for 18 hours. The expression of PAI-1 is induced by TGF-β in the NIH/3T3 cell line (PMID 17890327). The nuclear counter stain is DAPI (blue).
Counterstained with ab195889 Anti-alpha Tubulin antibody [DM1A] - Microtubule Marker (Alexa Fluor® 594) at a 1/200 dilution (red).
The negative control is the secondary antibody only.

Flow Cytometry (Intracellular) - Anti-PAI1 antibody [EPR21850-82] (AB222754)
  • Flow Cyt (Intra)

Unknown

Flow Cytometry (Intracellular) - Anti-PAI1 antibody [EPR21850-82] (AB222754)

Intracellular flow cytometric analysis of 4% paraformaldehyde-fixed, 90% methanol permeabilized NIH/3T3 cells serum-starved for 4 hours, treated with TGF-ß (10ng/ml) for 3 hours, and then with TGF-ß (10ng/ml) and BFA (300ng/ml) together for 18 hours (Red) / Untreated control (Green) labeling PAI1 with ab222754 at 1/60 (red/green) compared with a Rabbit monoclonal IgG (ab172730) (black) and an unlabeled control (cells without incubation with primary antibody and secondary antibody) (blue). Goat anti rabbit IgG (Alexa Fluor® 488, ab150077), at 1/2000 dilution was used as the secondary antibody.

The expression of PAI-1 is induced by TGF-ß in NIH/3T3 cell line (PMID 17890327).

Western blot - Anti-PAI1 antibody [EPR21850-82] (AB222754)
  • WB

Supplier Data

Western blot - Anti-PAI1 antibody [EPR21850-82] (AB222754)

Blocking/Dilution buffer : 5% NFDM/TBST.

Exposure times : Lane 1-4 and 6 : 3 minutes; Lane 5 : 37 seconds : Lane 7 : 8 seconds.

PAI1 forms complex with its target protease, t-PA (lane 7). The molecular mass observed is consistent with what has been described in the literature (PMID 21596853).

Lanes 6 and 7 were developed with a high sensitivity ECL substrate.

All lanes:

Western blot - Anti-PAI1 antibody [EPR21850-82] (ab222754) at 1/1000 dilution

Lane 1:

HepG2 (human liver hepatocellular carcinoma cell line) whole cell lysate at 20 µg

Lane 2:

Human liver lysate at 20 µg

Lane 3:

Mouse placenta lysate at 20 µg

Lane 4:

Rat placenta lysate at 20 µg

Lane 5:

Hepa1-6 (Mouse hepatoma epithelial cell line) whole cell lysate at 20 µg

Lane 6:

Human placenta lysate at 20 µg

Lane 7:

HUVEC (Human umbilical vein endothelial cell line) whole cell lysate at 20 µg

Secondary

Lanes 1 - 5:

Western blot - Goat Anti-Rabbit IgG H&L (HRP) (<a href='/en-us/products/secondary-antibodies/goat-rabbit-igg-h-l-hrp-ab97051'>ab97051</a>) at 1/20000 dilution

Lanes 6 - 7:

Western blot - Goat Anti-Rabbit IgG H&L (HRP) (<a href='/en-us/products/secondary-antibodies/goat-rabbit-igg-h-l-hrp-ab97051'>ab97051</a>) at 1/100000 dilution

Predicted band size: 45 kDa

false

Western blot - Anti-PAI1 antibody [EPR21850-82] (AB222754)
  • WB

Supplier Data

Western blot - Anti-PAI1 antibody [EPR21850-82] (AB222754)

Blocking/Dilution buffer : 5% NFDM/TBST.

The expression of PAI-1 is induced by TGF-β in the NIH/3T3 cell line (PMID 17890327). The 110 kDa band likely represents PAI-1 in complex with its target protease, t-PA (PMID 21596853).

The blot was developed with a high sensitivity ECL substrate.

All lanes:

Western blot - Anti-PAI1 antibody [EPR21850-82] (ab222754) at 1/1000 dilution

Lane 1:

NIH/3T3 (Mouse embryonic fibroblast cell line) serum-starved for 4 hours, whole cell lysate at 10 µg

Lane 2:

NIH/3T3 serum-starved for 4 hours then treated with 10 ng/ml TGF β1 (<a href='/en-us/products/proteins-peptides/recombinant-human-tgf-beta-1-protein-active-ab50036'>ab50036</a>) for 3 hours, then with 10 ng/ml TGF β1 (<a href='/en-us/products/proteins-peptides/recombinant-human-tgf-beta-1-protein-active-ab50036'>ab50036</a>) and 300 ng/ml Brefeldin A (BFA) together for 18 hours, whole cell lysate at 10 µg

Secondary

All lanes:

Western blot - Goat Anti-Rabbit IgG H&L (HRP) (<a href='/en-us/products/secondary-antibodies/goat-rabbit-igg-h-l-hrp-ab97051'>ab97051</a>) at 1/20000 dilution

Predicted band size: 45 kDa

false

Exposure time: 32s

Western blot - Anti-PAI1 antibody [EPR21850-82] (AB222754)
  • WB

Supplier Data

Western blot - Anti-PAI1 antibody [EPR21850-82] (AB222754)

Blocking/Dilution buffer : 5% NFDM/TBST.

The expression of PAI-1 is induced by TGF-β in the NIH/3T3 cell line (PMID 17890327).

The blot was developed with a high sensitivity ECL substrate.

All lanes:

Western blot - Anti-PAI1 antibody [EPR21850-82] (ab222754) at 1/1000 dilution

Lane 1:

NIH/3T3 (Mouse embryonic fibroblast cell line) serum-starved for 18 hours, then collected the supernatant lysate at 10 µg

Lane 2:

NIH/3T3 serum-starved for 18 hours then treated with 10 ng/ml TGF β1 (<a href='/en-us/products/proteins-peptides/recombinant-human-tgf-beta-1-protein-active-ab50036'>ab50036</a>) for 24 hours, then collected the supernatant lysate at 10 µg

Secondary

All lanes:

Western blot - Goat Anti-Rabbit IgG H&L (HRP) (<a href='/en-us/products/secondary-antibodies/goat-rabbit-igg-h-l-hrp-ab97051'>ab97051</a>) at 1/100000 dilution

Predicted band size: 45 kDa

false

Exposure time: 26s

Western blot - Anti-PAI1 antibody [EPR21850-82] (AB222754)
  • WB

Lab

Western blot - Anti-PAI1 antibody [EPR21850-82] (AB222754)

Blocking/Diluting buffer and concentration : 5% NFDM/TBST.

The expression levels of mouse and rat PAI1 may be low in normal liver tissue (PMID : 21898503). This antibody detects a 37 kDa extra band and no specific band in mouse liver and no bands in rat liver.
Although lung tissue is reported to be PAI1 positive (PMID : 21768189, PMID : 17032919), this antibody can't detect band of target in mouse lung and detects weak target band in rat lung.

All lanes:

Western blot - Anti-PAI1 antibody [EPR21850-82] (ab222754) at 1/1000 dilution

Lane 1:

Mouse placenta tissue lysate at 20 µg

Lane 2:

Mouse lung tissue lysate at 20 µg

Lane 3:

Mouse liver tissue lysate at 20 µg

Lane 4:

Rat placenta tissue lysate at 20 µg

Lane 5:

Rat lung tissue lysate at 20 µg

Lane 6:

Rat liver tissue lysate at 20 µg

Secondary

All lanes:

Western blot - Goat Anti-Rabbit IgG H&L (HRP) (<a href='/en-us/products/secondary-antibodies/goat-rabbit-igg-h-l-hrp-ab97051'>ab97051</a>) at 1/20000 dilution

Predicted band size: 45 kDa

Observed band size: 37 kDa,45 kDa

false

Exposure time: 3min

  • Carrier free

    Anti-PAI1 antibody [EPR21850-82] - BSA and Azide free

  • 519 Alexa Fluor® 488

    Alexa Fluor® 488 Anti-PAI1 antibody [EPR21850-82]

  • 665 Alexa Fluor® 647

    Alexa Fluor® 647 Anti-PAI1 antibody [EPR21850-82]

  • 578 PE

    PE Anti-PAI1 antibody [EPR21850-82]

Key facts

Host species

Rabbit

Clonality

Monoclonal

Clone number

EPR21850-82

Isotype

IgG

Carrier free

No

Reacts with

Mouse, Rat, Human

Applications

Flow Cyt (Intra), ICC/IF, WB, IP

applications

Immunogen

The exact immunogen used to generate this antibody is proprietary information.

Reactivity data

{ "title": "Reactivity Data", "filters": { "stats": ["", "Species", "Dilution Info", "Notes"], "tabs": { "all-applications": {"fullname" : "All Applications", "shortname": "All Applications"}, "IP" : {"fullname" : "Immunoprecipitation", "shortname":"IP"}, "WB" : {"fullname" : "Western blot", "shortname":"WB"}, "ICCIF" : {"fullname" : "Immunocytochemistry/ Immunofluorescence", "shortname":"ICC/IF"}, "FlowCytIntra" : {"fullname" : "Flow Cytometry (Intracellular)", "shortname":"Flow Cyt (Intra)"}, "IHCP" : {"fullname" : "Immunohistochemistry (Formalin/PFA-fixed paraffin-embedded sections)", "shortname":"IHC-P"} }, "product-promise": { "all": "all", "testedAndGuaranteed": "tested", "guaranteed": "expected", "predicted": "predicted", "notRecommended": "not-recommended" } }, "values": { "Human": { "IP-species-checked": "testedAndGuaranteed", "IP-species-dilution-info": "1/30", "IP-species-notes": "<p></p>", "WB-species-checked": "testedAndGuaranteed", "WB-species-dilution-info": "1/1000", "WB-species-notes": "<p></p>", "ICCIF-species-checked": "testedAndGuaranteed", "ICCIF-species-dilution-info": "0.1 µg/mL", "ICCIF-species-notes": "<p>This product gave a positive signal in HUVEC (-ve: HEK293) fixed with 4% formaldehyde (10 min).</p>", "FlowCytIntra-species-checked": "testedAndGuaranteed", "FlowCytIntra-species-dilution-info": "1/60", "FlowCytIntra-species-notes": "<p></p>", "IHCP-species-checked": "notRecommended", "IHCP-species-dilution-info": "1/100", "IHCP-species-notes": "<p>Tested with human, mouse, and rat kidney tissue.</p>" }, "Mouse": { "IP-species-checked": "guaranteed", "IP-species-dilution-info": "", "IP-species-notes": "", "WB-species-checked": "testedAndGuaranteed", "WB-species-dilution-info": "1/1000", "WB-species-notes": "<p></p>", "ICCIF-species-checked": "testedAndGuaranteed", "ICCIF-species-dilution-info": "0.1 µg/mL", "ICCIF-species-notes": "<p>This product gave a positive signal in HUVEC (-ve: HEK293) fixed with 4% formaldehyde (10 min).</p>", "FlowCytIntra-species-checked": "testedAndGuaranteed", "FlowCytIntra-species-dilution-info": "1/60", "FlowCytIntra-species-notes": "<p></p>", "IHCP-species-checked": "notRecommended", "IHCP-species-dilution-info": "1/100", "IHCP-species-notes": "<p>Tested with human, mouse, and rat kidney tissue.</p>" }, "Rat": { "IP-species-checked": "guaranteed", "IP-species-dilution-info": "", "IP-species-notes": "", "WB-species-checked": "testedAndGuaranteed", "WB-species-dilution-info": "1/1000", "WB-species-notes": "<p></p>", "ICCIF-species-checked": "guaranteed", "ICCIF-species-dilution-info": "", "ICCIF-species-notes": "", "FlowCytIntra-species-checked": "guaranteed", "FlowCytIntra-species-dilution-info": "", "FlowCytIntra-species-notes": "", "IHCP-species-checked": "notRecommended", "IHCP-species-dilution-info": "1/100", "IHCP-species-notes": "<p>Tested with human, mouse, and rat kidney tissue.</p>" } } }

Product details

What is this antibody validated in?
Anti-PAI1 antibody [EPR21850-82] (ab222754) is a rabbit recombinant monoclonal antibody and is validated for use in Western Blot (WB), Flow Cytometry (Intra), Flow Cytometry (Flow Cyt), Immunoprecipitation (IP), Immunocytochemistry/immunofluorescence (ICC/IF) in Human, Mouse, Rat samples.

What is the molecular weight of PAI1?
Anti-PAI1 [EPR21850-82] (ab222754) specifically detects a band for PAI1 (UniProt: P05121) at a molecular weight of 45kDa.

Trusted by the scientific community
Anti-PAI1 [EPR21850-82] (ab222754) was first used in a scientific publication in 2018 and has been cited over 10 times in peer-reviewed journals.

Trial sizes available!
Test your antibody or perform pre-screening before committing to a larger quantity. Sold in 10µl. Discover our selection of trial-size antibodies.

Other related products
We have a range of other formats of antibody clone [EPR21850-82] also available for your convenience: ab222754, Carrier free - ab237780, Alexa Fluor® 647 - ab303581, Alexa Fluor® 488 - ab307393, PE - ab314276

Patented technology
Our RabMAb® technology is a patented hybridoma-based technology for making rabbit monoclonal antibodies. For details on our patents, please refer to RabMAb® patents.

What are the advantages of a recombinant monoclonal antibody?
This product is a recombinant monoclonal antibody, which offers several advantages including:

  • - High batch-to-batch consistency and reproducibility
  • - Improved sensitivity and specificity
  • - Long-term security of supply
  • - Animal-free batch production

For more information, read more on recombinant antibodies.

Properties and storage information

Form
Liquid
Purification technique
Affinity purification Protein A
Storage buffer
pH: 7.2 - 7.4 Preservative: 0.01% Sodium azide Constituents: PBS, 40% Glycerol (glycerin, glycerine), 0.05% BSA
Shipped at conditions
Blue Ice
Appropriate short-term storage duration
1-2 weeks
Appropriate short-term storage conditions
+4°C
Appropriate long-term storage conditions
-20°C
Aliquoting information
Upon delivery aliquot
Storage information
Avoid freeze / thaw cycle

Product protocols

For this product, it's our understanding that no specific protocols are required. You can visit:

Target data

Serine protease inhibitor. Inhibits TMPRSS7 (PubMed : 15853774). Is a primary inhibitor of tissue-type plasminogen activator (PLAT) and urokinase-type plasminogen activator (PLAU). As PLAT inhibitor, it is required for fibrinolysis down-regulation and is responsible for the controlled degradation of blood clots (PubMed : 17912461, PubMed : 8481516, PubMed : 9207454). As PLAU inhibitor, it is involved in the regulation of cell adhesion and spreading (PubMed : 9175705). Acts as a regulator of cell migration, independently of its role as protease inhibitor (PubMed : 15001579, PubMed : 9168821). It is required for stimulation of keratinocyte migration during cutaneous injury repair (PubMed : 18386027). It is involved in cellular and replicative senescence (PubMed : 16862142). Plays a role in alveolar type 2 cells senescence in the lung (By similarity). Is involved in the regulation of cementogenic differentiation of periodontal ligament stem cells, and regulates odontoblast differentiation and dentin formation during odontogenesis (PubMed : 25808697, PubMed : 27046084).
See full target information SERPINE1

Publications (30)

Recent publications for all applications. Explore the full list and refine your search

Journal of inflammation research 18:8447-8475 PubMed40589610

2025

Qimai Feiluoping Decoction Inhibits EndMT to Alleviate Pulmonary Fibrosis by Reducing PI3K/AKT/mTOR Pathway-Mediated the Restoration of Autophagy.

Applications

Unspecified application

Species

Unspecified reactive species

Jing Ma,Lu Ding,Xiaoyu Zang,Yingying Yang,Wei Zhang,Xiangyan Li,Daqing Zhao,Zepeng Zhang,Zeyu Wang,Linhua Zhao,Xiaolin Tong

Cancer cell international 25:217 PubMed40537770

2025

LncRNA H19 acts as a ceRNA to promote glioblastoma malignancy by sponging miR-19b-3p and upregulating SERPINE1.

Applications

Unspecified application

Species

Unspecified reactive species

Wonyi Jang,Mijung Im,Goeun Yoon,Jungwook Roh,Wanyeon Kim

Molecular therapy. Nucleic acids 36:102566 PubMed40503176

2025

PAI1 regulating CHRNA1 contributes to primary focal hyperhidrosis: Clinical and experimental studies.

Applications

Unspecified application

Species

Unspecified reactive species

Ru-Jie Zheng,Nan-Long Lin,Meng-Long Zhang,Rui-Qin Qiu,Feng-Qiang Yu,Xu Li,Jian-Bo Lin

PLoS biology 23:e3003163 PubMed40367288

2025

Phosphatase-independent activity of smooth-muscle calcineurin orchestrates a gene expression program leading to hypertension.

Applications

Unspecified application

Species

Unspecified reactive species

Paula Sofía Yunes-Leites,Yilin Sun,Sara Martínez-Martínez,Álvaro Alfayate,Marta Toral,María José Méndez-Olivares,Ángel Colmenar,Ana Isabel Torralbo,Dolores López-Maderuelo,Sergio Mateos-García,David N Cornfield,Jesús Vázquez,Juan Miguel Redondo,Miguel R Campanero

PeerJ 12:e18428 PubMed39544420

2024

CAF-derived miR-642a-3p supports migration, invasion, and EMT of hepatocellular carcinoma cells by targeting SERPINE1.

Applications

Unspecified application

Species

Unspecified reactive species

Shuo Zhang,Gang Cao,Shuijie Shen,Yu Wu,Xiying Tan,Xiaoyan Jiang

Environmental health perspectives 132:107004 PubMed39412896

2024

Lead Acetate Exposure and Cerebral Amyloid Accumulation: Mechanistic Evaluations in APP/PS1 Mice.

Applications

Unspecified application

Species

Unspecified reactive species

Huiying Gu,Luqing L Liu,Alanna Wu,Yongqi Yu,Uzay Emir,Stephen J Sawiak,Paul R Territo,Matin R Farlow,Wei Zheng,Yansheng Du

International journal of molecular sciences 25: PubMed39337713

2024

Glial-Cell-Line-Derived Neurotrophic Factor Promotes Glioblastoma Cell Migration and Invasion via the SMAD2/3-SERPINE1-Signaling Axis.

Applications

Unspecified application

Species

Unspecified reactive species

Xiaoxiao Guo,Han Zhou,Yifang Liu,Wei Xu,Kouminin Kanwore,Lin Zhang

Heliyon 10:e37081 PubMed39295999

2024

The effects of resistance training on cardiovascular factors and anti-inflammation in diabetic rats.

Applications

Unspecified application

Species

Unspecified reactive species

Jin Yoo,Jinsu Hwang,Jiyun Choi,Mahesh Ramalingam,Haewon Jeong,Sujeong Jang,Han-Seong Jeong,Daeyeol Kim

Advanced science (Weinheim, Baden-Wurttemberg, Germany) 11:e2309754 PubMed39162106

2024

Meis1 Targets Protein Tyrosine Phosphatase Receptor J in Fibroblast to Retard Chronic Kidney Disease Progression.

Applications

Unspecified application

Species

Unspecified reactive species

Mi Bai,Shuang Xu,Mingzhu Jiang,Yuxian Guo,Dandan Hu,Jia He,Ting Wang,Yu Zhang,Yan Guo,Yue Zhang,Songming Huang,Zhanjun Jia,Aihua Zhang

The journal of gene medicine 26:e3683 PubMed38571451

2024

NLRC4-mediated pyroptosis was involved in coagulation disorders of acute pancreatitis.

Applications

Unspecified application

Species

Unspecified reactive species

Sunkuan Hu,Tiesu Lin,Yufeng Chen,Yimo Guo,Xuecheng Sun,Lingyan Shi,Jingye Pan
View all publications

Product promise

We are committed to supporting your work with high-quality reagents, and we're here for you every step of the way. In the unlikely event that one of our products does not perform as expected, you're protected by our Product Promise.
For full details, please see our Terms & Conditions

Please note: All products are 'FOR RESEARCH USE ONLY. NOT FOR USE IN DIAGNOSTIC OR THERAPEUTIC PROCEDURES'.

For licensing inquiries, please contact partnerships@abcam.com