JavaScript is disabled in your browser. Please enable JavaScript to view this website.
AB237803

Anti-PAIP2 antibody

Be the first to review this product! Submit a review

|

(1 Publication)

Rabbit Polyclonal PAIP2 antibody. Suitable for WB, IHC-P, ICC/IF and reacts with Human, Mouse samples. Cited in 1 publication. Immunogen corresponding to Recombinant Full Length Protein corresponding to Human PAIP2.

View Alternative Names

PAIP2A, HSPC218, PAIP2, Polyadenylate-binding protein-interacting protein 2, PABP-interacting protein 2, PAIP-2, Poly(A)-binding protein-interacting protein 2

3 Images
Western blot - Anti-PAIP2 antibody (AB237803)
  • WB

Supplier Data

Western blot - Anti-PAIP2 antibody (AB237803)

All lanes:

Western blot - Anti-PAIP2 antibody (ab237803) at 1/500 dilution

Lane 1:

HeLa (human epithelial cell line from cervix adenocarcinoma) whole cell lysate

Lane 2:

Jurkat (human T cell leukemia cell line from peripheral blood) whole cell lysate

Lane 3:

SH-SY5Y (human neuroblastoma cell line from bone marrow) whole cell lysate

Lane 4:

HEK-293 (human epithelial cell line from embryonic kidney) whole cell lysate

Lane 5:

Mouse lung tissue lysate

Lane 6:

Mouse liver tissue lysate

Lane 7:

Mouse kidney tissue lysate

Lane 8:

Mouse brain tissue lysate

Secondary

All lanes:

Goat polyclonal to rabbit IgG at 1/50000 dilution

Predicted band size: 15 kDa

false

Immunocytochemistry/ Immunofluorescence - Anti-PAIP2 antibody (AB237803)
  • ICC/IF

Supplier Data

Immunocytochemistry/ Immunofluorescence - Anti-PAIP2 antibody (AB237803)

HeLa (human epithelial cell line from cervix adenocarcinoma) cells stained for PAIP2 (green) using ab237803 at 1/100 dilution in ICC/IF, followed by Alexa Fluor® 488-congugated Goat Anti-Rabbit IgG (H+L) secondary antibody.

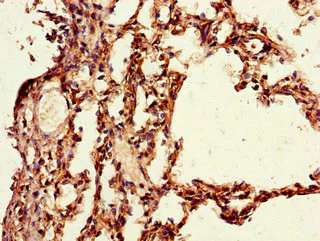
Immunohistochemistry (Formalin/PFA-fixed paraffin-embedded sections) - Anti-PAIP2 antibody (AB237803)
  • IHC-P

Supplier Data

Immunohistochemistry (Formalin/PFA-fixed paraffin-embedded sections) - Anti-PAIP2 antibody (AB237803)

Paraffin-embedded human lung tissue stained for PAIP2 using ab237803 at 1/100 dilution in immunohistochemical analysis.

Key facts

Host species

Rabbit

Clonality

Polyclonal

Isotype

IgG

Carrier free

No

Reacts with

Mouse, Human

Applications

ICC/IF, WB, IHC-P

applications

Immunogen

Recombinant Full Length Protein corresponding to Human PAIP2.

Q9BPZ3

Reactivity data

{ "title": "Reactivity Data", "filters": { "stats": ["", "Species", "Dilution Info", "Notes"], "tabs": { "all-applications": {"fullname" : "All Applications", "shortname": "All Applications"}, "WB" : {"fullname" : "Western blot", "shortname":"WB"}, "IHCP" : {"fullname" : "Immunohistochemistry (Formalin/PFA-fixed paraffin-embedded sections)", "shortname":"IHC-P"}, "ICCIF" : {"fullname" : "Immunocytochemistry/ Immunofluorescence", "shortname":"ICC/IF"} }, "product-promise": { "all": "all", "testedAndGuaranteed": "tested", "guaranteed": "expected", "predicted": "predicted", "notRecommended": "not-recommended" } }, "values": { "Human": { "WB-species-checked": "testedAndGuaranteed", "WB-species-dilution-info": "1/500 - 1/5000", "WB-species-notes": "<p></p>", "IHCP-species-checked": "testedAndGuaranteed", "IHCP-species-dilution-info": "1/20 - 1/200", "IHCP-species-notes": "<p></p>", "ICCIF-species-checked": "testedAndGuaranteed", "ICCIF-species-dilution-info": "1/50 - 1/200", "ICCIF-species-notes": "<p></p>" }, "Mouse": { "WB-species-checked": "testedAndGuaranteed", "WB-species-dilution-info": "1/500 - 1/5000", "WB-species-notes": "<p></p>", "IHCP-species-checked": "guaranteed", "IHCP-species-dilution-info": "", "IHCP-species-notes": "", "ICCIF-species-checked": "guaranteed", "ICCIF-species-dilution-info": "", "ICCIF-species-notes": "" }, "Rat": { "WB-species-checked": "predicted", "WB-species-dilution-info": "", "WB-species-notes": "", "IHCP-species-checked": "predicted", "IHCP-species-dilution-info": "", "IHCP-species-notes": "", "ICCIF-species-checked": "predicted", "ICCIF-species-dilution-info": "", "ICCIF-species-notes": "" }, "Chicken": { "WB-species-checked": "predicted", "WB-species-dilution-info": "", "WB-species-notes": "", "IHCP-species-checked": "predicted", "IHCP-species-dilution-info": "", "IHCP-species-notes": "", "ICCIF-species-checked": "predicted", "ICCIF-species-dilution-info": "", "ICCIF-species-notes": "" }, "Cow": { "WB-species-checked": "predicted", "WB-species-dilution-info": "", "WB-species-notes": "", "IHCP-species-checked": "predicted", "IHCP-species-dilution-info": "", "IHCP-species-notes": "", "ICCIF-species-checked": "predicted", "ICCIF-species-dilution-info": "", "ICCIF-species-notes": "" }, "Orangutan": { "WB-species-checked": "predicted", "WB-species-dilution-info": "", "WB-species-notes": "", "IHCP-species-checked": "predicted", "IHCP-species-dilution-info": "", "IHCP-species-notes": "", "ICCIF-species-checked": "predicted", "ICCIF-species-dilution-info": "", "ICCIF-species-notes": "" } } }

Properties and storage information

Form
Liquid
Purification technique
Affinity purification Protein G
Purification notes
Purity greater than 95%.
Storage buffer
pH: 7.4 Preservative: 0.03% Proclin 300 Constituents: PBS, 50% Glycerol (glycerin, glycerine)
Shipped at conditions
Blue Ice
Appropriate short-term storage duration
1-2 weeks
Appropriate short-term storage conditions
+4°C
Appropriate long-term storage conditions
-20°C
Aliquoting information
Upon delivery aliquot
Storage information
Avoid freeze / thaw cycle

Product protocols

For this product, it's our understanding that no specific protocols are required. You can visit:

Target data

Acts as a repressor in the regulation of translation initiation of poly(A)-containing mRNAs. Its inhibitory activity on translation is mediated via its action on PABPC1. Displaces the interaction of PABPC1 with poly(A) RNA and competes with PAIP1 for binding to PABPC1. Its association with PABPC1 results in disruption of the cytoplasmic poly(A) RNP structure organization.
See full target information PAIP2

Publications (1)

Recent publications for all applications. Explore the full list and refine your search

Cell & bioscience 13:45 PubMed36879298

2023

PABPN1 regulates mRNA alternative polyadenylation to inhibit bladder cancer progression.

Applications

Unspecified application

Species

Unspecified reactive species

Liang Chen,Wei Dong,Menghao Zhou,Chenlu Yang,Ming Xiong,Gallina Kazobinka,Zhaohui Chen,Yifei Xing,Teng Hou
View all publications

Product promise

We are committed to supporting your work with high-quality reagents, and we're here for you every step of the way. In the unlikely event that one of our products does not perform as expected, you're protected by our Product Promise.
For full details, please see our Terms & Conditions

Please note: All products are 'FOR RESEARCH USE ONLY. NOT FOR USE IN DIAGNOSTIC OR THERAPEUTIC PROCEDURES'.

For licensing inquiries, please contact partnerships@abcam.com