JavaScript is disabled in your browser. Please enable JavaScript to view this website.
AB183894

Anti-PAK1 antibody

Be the first to review this product! Submit a review

|

(3 Publications)

Rabbit Polyclonal PAK1 antibody. Suitable for WB, IHC-P, ICC/IF and reacts with Mouse, Rat, Human samples. Cited in 3 publications. Immunogen corresponding to Recombinant Fragment Protein within Human PAK1 aa 150 to C-terminus.

View Alternative Names

Serine/threonine-protein kinase PAK 1, Alpha-PAK, p21-activated kinase 1, p65-PAK, PAK-1, PAK1

5 Images
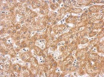
Immunohistochemistry (Formalin/PFA-fixed paraffin-embedded sections) - Anti-PAK1 antibody (AB183894)
  • IHC-P

Supplier Data

Immunohistochemistry (Formalin/PFA-fixed paraffin-embedded sections) - Anti-PAK1 antibody (AB183894)

Immunohistochemical analysis of paraffin-embedded human hepatoma labeling PAK1 using ab183894 at a 1/500 dilution.

Immunocytochemistry/ Immunofluorescence - Anti-PAK1 antibody (AB183894)
  • ICC/IF

Supplier Data

Immunocytochemistry/ Immunofluorescence - Anti-PAK1 antibody (AB183894)

Immunofluorescence analysis of A431 cells fixed in ice-cold methanol for 5 minutes, labeling PAK1 using ab183894 at a 1/500 dilution (green). Blue : Hoechst 33343 staining.

Western blot - Anti-PAK1 antibody (AB183894)
  • WB

Supplier Data

Western blot - Anti-PAK1 antibody (AB183894)

All lanes:

Western blot - Anti-PAK1 antibody (ab183894) at 1/1000 dilution

All lanes:

BCL-1 whole cell lysate/extract at 30 µg

Predicted band size: 61 kDa

false

Western blot - Anti-PAK1 antibody (AB183894)
  • WB

Supplier Data

Western blot - Anti-PAK1 antibody (AB183894)

All lanes:

Western blot - Anti-PAK1 antibody (ab183894) at 1/1000 dilution

All lanes:

rat PC12 whole cell lysate/extract at 30 µg

Predicted band size: 61 kDa

false

Western blot - Anti-PAK1 antibody (AB183894)
  • WB

Supplier Data

Western blot - Anti-PAK1 antibody (AB183894)

All lanes:

Western blot - Anti-PAK1 antibody (ab183894) at 1/5000 dilution

Lane 1:

A431 whole cell lysate at 30 µg

Lane 2:

HeLa whole cell lysate at 30 µg

Predicted band size: 61 kDa

false

Key facts

Host species

Rabbit

Clonality

Polyclonal

Isotype

IgG

Carrier free

No

Reacts with

Mouse, Rat, Human

Applications

ICC/IF, WB, IHC-P

applications

Immunogen

Recombinant Fragment Protein within Human PAK1 aa 150 to C-terminus. The exact immunogen used to generate this antibody is proprietary information.

Q13153

Reactivity data

{ "title": "Reactivity Data", "filters": { "stats": ["", "Species", "Dilution Info", "Notes"], "tabs": { "all-applications": {"fullname" : "All Applications", "shortname": "All Applications"}, "WB" : {"fullname" : "Western blot", "shortname":"WB"}, "IHCP" : {"fullname" : "Immunohistochemistry (Formalin/PFA-fixed paraffin-embedded sections)", "shortname":"IHC-P"}, "ICCIF" : {"fullname" : "Immunocytochemistry/ Immunofluorescence", "shortname":"ICC/IF"} }, "product-promise": { "all": "all", "testedAndGuaranteed": "tested", "guaranteed": "expected", "predicted": "predicted", "notRecommended": "not-recommended" } }, "values": { "Human": { "WB-species-checked": "testedAndGuaranteed", "WB-species-dilution-info": "1/1000 - 1/10000", "WB-species-notes": "<p></p>", "IHCP-species-checked": "testedAndGuaranteed", "IHCP-species-dilution-info": "1/100 - 1/1000", "IHCP-species-notes": "<p></p>", "ICCIF-species-checked": "testedAndGuaranteed", "ICCIF-species-dilution-info": "1/100 - 1/1000", "ICCIF-species-notes": "<p></p>" }, "Mouse": { "WB-species-checked": "testedAndGuaranteed", "WB-species-dilution-info": "1/1000 - 1/10000", "WB-species-notes": "<p></p>", "IHCP-species-checked": "guaranteed", "IHCP-species-dilution-info": "", "IHCP-species-notes": "", "ICCIF-species-checked": "guaranteed", "ICCIF-species-dilution-info": "", "ICCIF-species-notes": "" }, "Rat": { "WB-species-checked": "testedAndGuaranteed", "WB-species-dilution-info": "1/1000 - 1/10000", "WB-species-notes": "<p></p>", "IHCP-species-checked": "guaranteed", "IHCP-species-dilution-info": "", "IHCP-species-notes": "", "ICCIF-species-checked": "guaranteed", "ICCIF-species-dilution-info": "", "ICCIF-species-notes": "" }, "Cow": { "WB-species-checked": "predicted", "WB-species-dilution-info": "", "WB-species-notes": "", "IHCP-species-checked": "predicted", "IHCP-species-dilution-info": "", "IHCP-species-notes": "", "ICCIF-species-checked": "predicted", "ICCIF-species-dilution-info": "", "ICCIF-species-notes": "" } } }

Properties and storage information

Form
Liquid
Purification technique
Affinity purification Immunogen
Storage buffer
pH: 7 Preservative: 0.01% Thimerosal (merthiolate) Constituents: 10% Glycerol (glycerin, glycerine), 1.21% Tris, 0.75% Glycine
Shipped at conditions
Blue Ice
Appropriate short-term storage duration
1-2 weeks
Appropriate short-term storage conditions
+4°C
Appropriate long-term storage conditions
-20°C
Aliquoting information
Upon delivery aliquot
Storage information
Avoid freeze / thaw cycle

Product protocols

For this product, it's our understanding that no specific protocols are required. You can visit:

Target data

Protein kinase involved in intracellular signaling pathways downstream of integrins and receptor-type kinases that plays an important role in cytoskeleton dynamics, in cell adhesion, migration, proliferation, apoptosis, mitosis, and in vesicle-mediated transport processes (PubMed : 10551809, PubMed : 11896197, PubMed : 12876277, PubMed : 14585966, PubMed : 15611088, PubMed : 17726028, PubMed : 17989089, PubMed : 30290153, PubMed : 17420447). Can directly phosphorylate BAD and protects cells against apoptosis (By similarity). Activated by interaction with CDC42 and RAC1 (PubMed : 8805275, PubMed : 9528787). Functions as a GTPase effector that links the Rho-related GTPases CDC42 and RAC1 to the JNK MAP kinase pathway (PubMed : 8805275, PubMed : 9528787). Phosphorylates and activates MAP2K1, and thereby mediates activation of downstream MAP kinases (By similarity). Involved in the reorganization of the actin cytoskeleton, actin stress fibers and of focal adhesion complexes (PubMed : 9032240, PubMed : 9395435). Phosphorylates the tubulin chaperone TBCB and thereby plays a role in the regulation of microtubule biogenesis and organization of the tubulin cytoskeleton (PubMed : 15831477). Plays a role in the regulation of insulin secretion in response to elevated glucose levels (PubMed : 22669945). Part of a ternary complex that contains PAK1, DVL1 and MUSK that is important for MUSK-dependent regulation of AChR clustering during the formation of the neuromuscular junction (NMJ) (By similarity). Activity is inhibited in cells undergoing apoptosis, potentially due to binding of CDC2L1 and CDC2L2 (PubMed : 12624090). Phosphorylates MYL9/MLC2 (By similarity). Phosphorylates RAF1 at 'Ser-338' and 'Ser-339' resulting in : activation of RAF1, stimulation of RAF1 translocation to mitochondria, phosphorylation of BAD by RAF1, and RAF1 binding to BCL2 (PubMed : 11733498). Phosphorylates SNAI1 at 'Ser-246' promoting its transcriptional repressor activity by increasing its accumulation in the nucleus (PubMed : 15833848). In podocytes, promotes NR3C2 nuclear localization (By similarity). Required for atypical chemokine receptor ACKR2-induced phosphorylation of LIMK1 and cofilin (CFL1) and for the up-regulation of ACKR2 from endosomal compartment to cell membrane, increasing its efficiency in chemokine uptake and degradation (PubMed : 23633677). In synapses, seems to mediate the regulation of F-actin cluster formation performed by SHANK3, maybe through CFL1 phosphorylation and inactivation (By similarity). Plays a role in RUFY3-mediated facilitating gastric cancer cells migration and invasion (PubMed : 25766321). In response to DNA damage, phosphorylates MORC2 which activates its ATPase activity and facilitates chromatin remodeling (PubMed : 23260667). In neurons, plays a crucial role in regulating GABA(A) receptor synaptic stability and hence GABAergic inhibitory synaptic transmission through its role in F-actin stabilization (By similarity). In hippocampal neurons, necessary for the formation of dendritic spines and excitatory synapses; this function is dependent on kinase activity and may be exerted by the regulation of actomyosin contractility through the phosphorylation of myosin II regulatory light chain (MLC) (By similarity). Along with GIT1, positively regulates microtubule nucleation during interphase (PubMed : 27012601). Phosphorylates FXR1, promoting its localization to stress granules and activity (PubMed : 20417602). Phosphorylates ILK on 'Thr-173' and 'Ser-246', promoting nuclear export of ILK (PubMed : 17420447).
See full target information PAK1

Publications (3)

Recent publications for all applications. Explore the full list and refine your search

Nature communications 15:10541 PubMed39627191

2024

Cell polarity proteins promote macropinocytosis in response to metabolic stress.

Applications

Unspecified application

Species

Unspecified reactive species

Guillem Lambies,Szu-Wei Lee,Karen Duong-Polk,Pedro Aza-Blanc,Swetha Maganti,Cheska M Galapate,Anagha Deshpande,Aniruddha J Deshpande,David A Scott,David W Dawson,Cosimo Commisso

Cell cycle (Georgetown, Tex.) :1-11 PubMed33522393

2021

Exosomal miR-487a derived from m2 macrophage promotes the progression of gastric cancer.

Applications

Unspecified application

Species

Unspecified reactive species

Xuefeng Yang,Shuang Cai,Yue Shu,Xun Deng,Yuanwei Zhang,Nian He,Lei Wan,Xu Chen,Yan Qu,Shouyang Yu

Journal of neuropathology and experimental neurology 77:608-627 PubMed29788265

2018

Gene Expression Profile in Frontal Cortex in Sporadic Frontotemporal Lobar Degeneration-TDP.

Applications

Unspecified application

Species

Unspecified reactive species

Pol Andrés-Benito,Ellen Gelpi,Mónica Povedano,Gabriel Santpere,Isidro Ferrer
View all publications

Product promise

We are committed to supporting your work with high-quality reagents, and we're here for you every step of the way. In the unlikely event that one of our products does not perform as expected, you're protected by our Product Promise.
For full details, please see our Terms & Conditions

Please note: All products are 'FOR RESEARCH USE ONLY. NOT FOR USE IN DIAGNOSTIC OR THERAPEUTIC PROCEDURES'.

For licensing inquiries, please contact partnerships@abcam.com