JavaScript is disabled in your browser. Please enable JavaScript to view this website.
AB131547

Anti-PAK1 + PAK2 + PAK3 antibody

Be the first to review this product! Submit a review

|

(1 Publication)

Rabbit Polyclonal PAK2 antibody. Suitable for IHC-P, ICC/IF and reacts with Human samples. Cited in 1 publication. Immunogen corresponding to Synthetic Peptide within Human PAK2 conjugated to Keyhole Limpet Haemocyanin.

View Alternative Names

Serine/threonine-protein kinase PAK 2, Gamma-PAK, PAK65, S6/H4 kinase, p21-activated kinase 2, p58, PAK-2, PAK2

2 Images
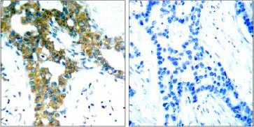
Immunohistochemistry (Formalin/PFA-fixed paraffin-embedded sections) - Anti-PAK1 + PAK2 + PAK3 antibody (AB131547)
  • IHC-P

Unknown

Immunohistochemistry (Formalin/PFA-fixed paraffin-embedded sections) - Anti-PAK1 + PAK2 + PAK3 antibody (AB131547)

Immunohistochemical analysis of paraffin-embedded Human breast carcinoma tissue labelling PAK1 + PAK2 + PAK3 with ab131547 at 1/50 dilution (left) or ab131547 preincubated with blocking peptide (right).

Immunocytochemistry/ Immunofluorescence - Anti-PAK1 + PAK2 + PAK3 antibody (AB131547)
  • ICC/IF

Unknown

Immunocytochemistry/ Immunofluorescence - Anti-PAK1 + PAK2 + PAK3 antibody (AB131547)

Immunofluorescent analysis of methanol-fixed HeLa cells labelling PAK1 + PAK2 + PAK3 with ab131547 at 1/100 dilution.

Key facts

Host species

Rabbit

Clonality

Polyclonal

Isotype

IgG

Carrier free

No

Reacts with

Human

Applications

ICC/IF, IHC-P

applications

Immunogen

Synthetic Peptide within Human PAK2 conjugated to Keyhole Limpet Haemocyanin. The exact immunogen used to generate this antibody is proprietary information.

Q13177

Reactivity data

{ "title": "Reactivity Data", "filters": { "stats": ["", "Species", "Dilution Info", "Notes"], "tabs": { "all-applications": {"fullname" : "All Applications", "shortname": "All Applications"}, "IHCP" : {"fullname" : "Immunohistochemistry (Formalin/PFA-fixed paraffin-embedded sections)", "shortname":"IHC-P"}, "ICCIF" : {"fullname" : "Immunocytochemistry/ Immunofluorescence", "shortname":"ICC/IF"} }, "product-promise": { "all": "all", "testedAndGuaranteed": "tested", "guaranteed": "expected", "predicted": "predicted", "notRecommended": "not-recommended" } }, "values": { "Human": { "IHCP-species-checked": "testedAndGuaranteed", "IHCP-species-dilution-info": "1/50 - 1/100", "IHCP-species-notes": "<p></p>", "ICCIF-species-checked": "testedAndGuaranteed", "ICCIF-species-dilution-info": "1/100 - 1/200", "ICCIF-species-notes": "<p></p>" } } }

Properties and storage information

Form
Liquid
Purification technique
Affinity purification Immunogen
Storage buffer
pH: 7.4 Preservative: 0.02% Sodium azide Constituents: PBS, 50% Glycerol (glycerin, glycerine), 0.88% Sodium chloride
Shipped at conditions
Blue Ice
Appropriate short-term storage conditions
+4°C
Appropriate long-term storage conditions
-20°C
Storage information
Stable for 12 months at -20°C

Product protocols

For this product, it's our understanding that no specific protocols are required. You can visit:

Target data

Serine/threonine protein kinase that plays a role in a variety of different signaling pathways including cytoskeleton regulation, cell motility, cell cycle progression, apoptosis or proliferation (PubMed : 12853446, PubMed : 16617111, PubMed : 19273597, PubMed : 19923322, PubMed : 33693784, PubMed : 7744004, PubMed : 9171063). Acts as a downstream effector of the small GTPases CDC42 and RAC1 (PubMed : 7744004). Activation by the binding of active CDC42 and RAC1 results in a conformational change and a subsequent autophosphorylation on several serine and/or threonine residues (PubMed : 7744004). Full-length PAK2 stimulates cell survival and cell growth (PubMed : 7744004). Phosphorylates MAPK4 and MAPK6 and activates the downstream target MAPKAPK5, a regulator of F-actin polymerization and cell migration (PubMed : 21317288). Phosphorylates JUN and plays an important role in EGF-induced cell proliferation (PubMed : 21177766). Phosphorylates many other substrates including histone H4 to promote assembly of H3.3 and H4 into nucleosomes, BAD, ribosomal protein S6, or MBP (PubMed : 21724829). Phosphorylates CASP7, thereby preventing its activity (PubMed : 21555521, PubMed : 27889207). Additionally, associates with ARHGEF7 and GIT1 to perform kinase-independent functions such as spindle orientation control during mitosis (PubMed : 19273597, PubMed : 19923322). On the other hand, apoptotic stimuli such as DNA damage lead to caspase-mediated cleavage of PAK2, generating PAK-2p34, an active p34 fragment that translocates to the nucleus and promotes cellular apoptosis involving the JNK signaling pathway (PubMed : 12853446, PubMed : 16617111, PubMed : 9171063). Caspase-activated PAK2 phosphorylates MKNK1 and reduces cellular translation (PubMed : 15234964).
See full target information PAK2

Additional targets

PAK1,PAK2

Publications (1)

Recent publications for all applications. Explore the full list and refine your search

iScience 27:109048 PubMed38464592

2024

Specific knockout of macrophage SHP2 promotes macrophage M2 polarization and alleviates renal ischemia-reperfusion injury.

Applications

Unspecified application

Species

Unspecified reactive species

Meilian Du,Shanbao Zhang,Xiaoyu Wang,Chen Liu,Linrong Pan,Xiao Chen,Yinghui Qi
View all publications

Product promise

We are committed to supporting your work with high-quality reagents, and we're here for you every step of the way. In the unlikely event that one of our products does not perform as expected, you're protected by our Product Promise.
For full details, please see our Terms & Conditions

Please note: All products are 'FOR RESEARCH USE ONLY. NOT FOR USE IN DIAGNOSTIC OR THERAPEUTIC PROCEDURES'.

For licensing inquiries, please contact partnerships@abcam.com