JavaScript is disabled in your browser. Please enable JavaScript to view this website.
AB196834

Anti-PAK1 + PAK2 + PAK3 antibody

Be the first to review this product! Submit a review

|

(2 Publications)

Rabbit Polyclonal PAK2 antibody. Suitable for WB, IHC-P and reacts with Mouse, Human samples. Cited in 2 publications. Immunogen corresponding to Synthetic Peptide within Human PAK1.

View Alternative Names

Serine/threonine-protein kinase PAK 2, Gamma-PAK, PAK65, S6/H4 kinase, p21-activated kinase 2, p58, PAK-2, PAK2

3 Images
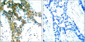
Immunohistochemistry (Formalin/PFA-fixed paraffin-embedded sections) - Anti-PAK1 + PAK2 + PAK3 antibody (AB196834)
  • IHC-P

Supplier Data

Immunohistochemistry (Formalin/PFA-fixed paraffin-embedded sections) - Anti-PAK1 + PAK2 + PAK3 antibody (AB196834)

Immunohistochemical analysis of paraffin-embedded Human brain tissue labeling PAK1 + PAK2 + PAK3 with ab196834 at 1/50 dilution (left) and synthesized peptide (right).

Western blot - Anti-PAK1 + PAK2 + PAK3 antibody (AB196834)
  • WB

Supplier Data

Western blot - Anti-PAK1 + PAK2 + PAK3 antibody (AB196834)

All lanes:

Western blot - Anti-PAK1 + PAK2 + PAK3 antibody (ab196834) at 1/500 dilution

Lane 1:

293 cell extract with synthesized peptide

Lane 2:

293 cell extract

Predicted band size: 58 kDa,61 kDa,62 kDa

false

Western blot - Anti-PAK1 + PAK2 + PAK3 antibody (AB196834)
  • WB

Supplier Data

Western blot - Anti-PAK1 + PAK2 + PAK3 antibody (AB196834)

All lanes:

Western blot - Anti-PAK1 + PAK2 + PAK3 antibody (ab196834) at 1/500 dilution

Lane 1:

NIH/3T3 cell extract

Lane 2:

NIH/3T3 cell extract with synthesized peptide

Predicted band size: 58 kDa,61 kDa,62 kDa

false

Key facts

Host species

Rabbit

Clonality

Polyclonal

Isotype

IgG

Carrier free

No

Reacts with

Mouse, Human

Applications

IHC-P, WB

applications

Immunogen

Synthetic Peptide within Human PAK1. The exact immunogen used to generate this antibody is proprietary information.

Q13153

Reactivity data

{ "title": "Reactivity Data", "filters": { "stats": ["", "Species", "Dilution Info", "Notes"], "tabs": { "all-applications": {"fullname" : "All Applications", "shortname": "All Applications"}, "WB" : {"fullname" : "Western blot", "shortname":"WB"}, "IHCP" : {"fullname" : "Immunohistochemistry (Formalin/PFA-fixed paraffin-embedded sections)", "shortname":"IHC-P"} }, "product-promise": { "all": "all", "testedAndGuaranteed": "tested", "guaranteed": "expected", "predicted": "predicted", "notRecommended": "not-recommended" } }, "values": { "Human": { "WB-species-checked": "testedAndGuaranteed", "WB-species-dilution-info": "1/500 - 1/3000", "WB-species-notes": "<p></p>", "IHCP-species-checked": "testedAndGuaranteed", "IHCP-species-dilution-info": "1/50 - 1/100", "IHCP-species-notes": "<p></p>" }, "Mouse": { "WB-species-checked": "testedAndGuaranteed", "WB-species-dilution-info": "1/500 - 1/3000", "WB-species-notes": "<p></p>", "IHCP-species-checked": "guaranteed", "IHCP-species-dilution-info": "", "IHCP-species-notes": "" }, "Rat": { "WB-species-checked": "predicted", "WB-species-dilution-info": "", "WB-species-notes": "", "IHCP-species-checked": "predicted", "IHCP-species-dilution-info": "", "IHCP-species-notes": "" } } }

Properties and storage information

Form
Liquid
Purification technique
Affinity purification Immunogen
Purification notes
ab196834 was affinity-purified from rabbit antiserum by affinity-chromatography using epitope-specific immunogen.
Storage buffer
pH: 7.4 Preservative: 0.02% Sodium azide Constituents: PBS, 50% Glycerol (glycerin, glycerine), 0.87% Sodium chloride
Shipped at conditions
Blue Ice
Appropriate short-term storage duration
1-2 weeks
Appropriate short-term storage conditions
+4°C
Appropriate long-term storage conditions
-20°C
Aliquoting information
Upon delivery aliquot
Storage information
Avoid freeze / thaw cycle

Product protocols

For this product, it's our understanding that no specific protocols are required. You can visit:

Target data

Serine/threonine protein kinase that plays a role in a variety of different signaling pathways including cytoskeleton regulation, cell motility, cell cycle progression, apoptosis or proliferation (PubMed : 12853446, PubMed : 16617111, PubMed : 19273597, PubMed : 19923322, PubMed : 33693784, PubMed : 7744004, PubMed : 9171063). Acts as a downstream effector of the small GTPases CDC42 and RAC1 (PubMed : 7744004). Activation by the binding of active CDC42 and RAC1 results in a conformational change and a subsequent autophosphorylation on several serine and/or threonine residues (PubMed : 7744004). Full-length PAK2 stimulates cell survival and cell growth (PubMed : 7744004). Phosphorylates MAPK4 and MAPK6 and activates the downstream target MAPKAPK5, a regulator of F-actin polymerization and cell migration (PubMed : 21317288). Phosphorylates JUN and plays an important role in EGF-induced cell proliferation (PubMed : 21177766). Phosphorylates many other substrates including histone H4 to promote assembly of H3.3 and H4 into nucleosomes, BAD, ribosomal protein S6, or MBP (PubMed : 21724829). Phosphorylates CASP7, thereby preventing its activity (PubMed : 21555521, PubMed : 27889207). Additionally, associates with ARHGEF7 and GIT1 to perform kinase-independent functions such as spindle orientation control during mitosis (PubMed : 19273597, PubMed : 19923322). On the other hand, apoptotic stimuli such as DNA damage lead to caspase-mediated cleavage of PAK2, generating PAK-2p34, an active p34 fragment that translocates to the nucleus and promotes cellular apoptosis involving the JNK signaling pathway (PubMed : 12853446, PubMed : 16617111, PubMed : 9171063). Caspase-activated PAK2 phosphorylates MKNK1 and reduces cellular translation (PubMed : 15234964).
See full target information PAK2

Additional targets

PAK2,,

Publications (2)

Recent publications for all applications. Explore the full list and refine your search

Annals of neurology 88:526-543 PubMed32562430

2020

Haploinsufficiency of Cyfip2 Causes Lithium-Responsive Prefrontal Dysfunction.

Applications

Unspecified application

Species

Unspecified reactive species

Seung-Hyun Lee,Yinhua Zhang,Jina Park,Bowon Kim,Yangsik Kim,Sang Hoon Lee,Gyu Hyun Kim,Yang Hoon Huh,Bokyoung Lee,Yoonhee Kim,Yeunkum Lee,Jin Yong Kim,Hyojin Kang,Su-Yeon Choi,Seil Jang,Yan Li,Shinhyun Kim,Chunmei Jin,Kaifang Pang,Eunjeong Kim,Yoontae Lee,Hyun Kim,Eunjoon Kim,Jee Hyun Choi,Jeongjin Kim,Kea Joo Lee,Se-Young Choi,Kihoon Han

Viruses 9: PubMed28075421

2017

Mx Is Not Responsible for the Antiviral Activity of Interferon-α against Japanese Encephalitis Virus.

Applications

Unspecified application

Species

Unspecified reactive species

Jing Zhou,Shi-Qi Wang,Jian-Chao Wei,Xiao-Min Zhang,Zhi-Can Gao,Ke Liu,Zhi-Yong Ma,Pu-Yan Chen,Bin Zhou
View all publications

Product promise

We are committed to supporting your work with high-quality reagents, and we're here for you every step of the way. In the unlikely event that one of our products does not perform as expected, you're protected by our Product Promise.
For full details, please see our Terms & Conditions

Please note: All products are 'FOR RESEARCH USE ONLY. NOT FOR USE IN DIAGNOSTIC OR THERAPEUTIC PROCEDURES'.

For licensing inquiries, please contact partnerships@abcam.com