JavaScript is disabled in your browser. Please enable JavaScript to view this website.
AB40795

Anti-PAK1 (phospho S144) + PAK2 (phospho S141) + PAK3 (phospho S154) antibody [EP656Y]

4

(4 Reviews)

|

(40 Publications)

Rabbit Recombinant Monoclonal PAK3 phospho S154 antibody. Suitable for IP, WB, ICC/IF, Flow Cyt (Intra), IHC-P and reacts with Human, Mouse, Rat samples. Cited in 40 publications.

View Alternative Names

OPHN3, PAK3, Serine/threonine-protein kinase PAK 3, Beta-PAK, Oligophrenin-3, p21-activated kinase 3, PAK-3

13 Images
Western blot - Anti-PAK1 (phospho S144) + PAK2 (phospho S141) + PAK3 (phospho S154) antibody [EP656Y] (AB40795)
  • WB

Lab

Western blot - Anti-PAK1 (phospho S144) + PAK2 (phospho S141) + PAK3 (phospho S154) antibody [EP656Y] (AB40795)

All lanes:

Western blot - Anti-PAK1 (phospho S144) + PAK2 (phospho S141) + PAK3 (phospho S154) antibody [EP656Y] (ab40795) at 1/2000 dilution

Lane 1:

HeLa cell lysate with None

Lane 2:

HeLa cell lysate with PAK2 (pS141)

Lane 3:

HeLa cell lysate with PAK2 non-phospho

Lane 4:

HeLa cell lysate with PAK3 (pS154)

Lane 5:

HeLa cell lysate with PAK3 non-phospho

false

Western blot - Anti-PAK1 (phospho S144) + PAK2 (phospho S141) + PAK3 (phospho S154) antibody [EP656Y] (AB40795)
  • WB

Lab

Western blot - Anti-PAK1 (phospho S144) + PAK2 (phospho S141) + PAK3 (phospho S154) antibody [EP656Y] (AB40795)

Blocking and dilution buffer : 5% NFDM/TBST.

All lanes:

Western blot - Anti-PAK1 (phospho S144) + PAK2 (phospho S141) + PAK3 (phospho S154) antibody [EP656Y] (ab40795) at 1/1000 dilution

Lane 1:

MCF7, grown in serum-free media overnight, whole cell lysate at 10 µg

Lane 2:

MCF7, grown in serum-free media overnight, then treated with EGF 1μg/ml for 10min, whole cell lysate at 10 µg

Lane 3:

MCF7, grown in serum-free media overnight, then treated with EGF 1μg/ml for 10min, whole cell lysate. The membrane was incubated with phosphatase. at 10 µg

Secondary

All lanes:

Western blot - Goat Anti-Rabbit IgG H&L (HRP) (<a href='/en-us/products/secondary-antibodies/goat-rabbit-igg-h-l-hrp-ab97051'>ab97051</a>) at 1/20000 dilution

Observed band size: 55 kDa

false

Exposure time: 1min

Flow Cytometry (Intracellular) - Anti-PAK1 (phospho S144) + PAK2 (phospho S141) + PAK3 (phospho S154) antibody [EP656Y] (AB40795)
  • Flow Cyt (Intra)

Unknown

Flow Cytometry (Intracellular) - Anti-PAK1 (phospho S144) + PAK2 (phospho S141) + PAK3 (phospho S154) antibody [EP656Y] (AB40795)

ab40795 staining PAK1 (phospho S144) + PAK2 (phospho S141) + PAK3 (phospho S154) in the human cell line NIH/3T3 (mouse embryo) by intracellular flow cytometry. Cells were fixed with 4% paraformaldehyde and the sample was incubated with the primary antibody at a dilution of 1/120. A goat anti rabbit IgG (Alexa Fluorr® 488) at a dilution of 1/500 was used as the secondary antibody.

Isoytype control : Rabbit monoclonal IgG (Black)

Unlabelled control : Cell without incubation with primary antibody and secondary antibody (Blue)

Immunohistochemistry (Formalin/PFA-fixed paraffin-embedded sections) - Anti-PAK1 (phospho S144) + PAK2 (phospho S141) + PAK3 (phospho S154) antibody [EP656Y] (AB40795)
  • IHC-P

Unknown

Immunohistochemistry (Formalin/PFA-fixed paraffin-embedded sections) - Anti-PAK1 (phospho S144) + PAK2 (phospho S141) + PAK3 (phospho S154) antibody [EP656Y] (AB40795)

ab40795 staining PAK1 (phospho S144) + PAK2 (phospho S141) + PAK3 (phospho S154) in mouse cerebral cortex tissue sections by Immunohistochemistry (IHC-P - paraformaldehyde-fixed, paraffin-embedded sections). Tissue was fixed with paraformaldehyde and antigen retrieval was by heat mediation in a EDTA buffer. Samples were incubated with primary antibody at a dilution of 1/100. A goat anti-rabbit IgG H&L (HRP) ab97051 was used as the secondary antibody at a dilution of 1/500.

Negative control 1 : PBS in place of primary antibody.

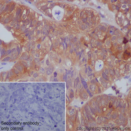
Immunohistochemistry (Formalin/PFA-fixed paraffin-embedded sections) - Anti-PAK1 (phospho S144) + PAK2 (phospho S141) + PAK3 (phospho S154) antibody [EP656Y] (AB40795)
  • IHC-P

Unknown

Immunohistochemistry (Formalin/PFA-fixed paraffin-embedded sections) - Anti-PAK1 (phospho S144) + PAK2 (phospho S141) + PAK3 (phospho S154) antibody [EP656Y] (AB40795)

ab40795 staining PAK1 (phospho S144) + PAK2 (phospho S141) + PAK3 (phospho S154) in human liver carcinoma tissue sections by Immunohistochemistry (IHC-P - paraformaldehyde-fixed, paraffin-embedded sections). Tissue was fixed with paraformaldehyde and antigen retrieval was by heat mediation in a EDTA buffer. Samples were incubated with primary antibody at a dilution of 1/100. A goat anti-rabbit IgG H&L (HRP) ab97051 was used as the secondary antibody at a dilution of 1/500.

Negative control 1 : PBS in place of primary antibody.

Immunohistochemistry (Formalin/PFA-fixed paraffin-embedded sections) - Anti-PAK1 (phospho S144) + PAK2 (phospho S141) + PAK3 (phospho S154) antibody [EP656Y] (AB40795)
  • IHC-P

Unknown

Immunohistochemistry (Formalin/PFA-fixed paraffin-embedded sections) - Anti-PAK1 (phospho S144) + PAK2 (phospho S141) + PAK3 (phospho S154) antibody [EP656Y] (AB40795)

ab40795 staining PAK1 (phospho S144) + PAK2 (phospho S141) + PAK3 (phospho S154) in rat cerebral cortex tissue sections by Immunohistochemistry (IHC-P - paraformaldehyde-fixed, paraffin-embedded sections). Tissue was fixed with paraformaldehyde and antigen retrieval was by heat mediation in a EDTA buffer. Samples were incubated with primary antibody at a dilution of 1/100. A goat anti-rabbit IgG H&L (HRP) ab97051 was used as the secondary antibody at a dilution of 1/500.

Negative control 1 : PBS in place of primary

Immunocytochemistry/ Immunofluorescence - Anti-PAK1 (phospho S144) + PAK2 (phospho S141) + PAK3 (phospho S154) antibody [EP656Y] (AB40795)
  • ICC/IF

Unknown

Immunocytochemistry/ Immunofluorescence - Anti-PAK1 (phospho S144) + PAK2 (phospho S141) + PAK3 (phospho S154) antibody [EP656Y] (AB40795)

ab40795 staining PAK1 (phospho S144) + PAK2 (phospho S141) + PAK3 (phospho S154) in HeLa (human cervix adenocarcinoma) cells, treated and untreated with Lambda Protein Phosphtase 31℃ for 5h by ICC/IF (Immunocytochemistry/immunofluorescence). Cells were fixed with 4% Paraformaldehyde and permeabilized with 0.1% Triton X-100. Samples were incubated with primary antibody at a dilution of 1/100. A goat anti rabbit IgG (Alexa Fluor® 488) (ab150077) was used as the secondary antibody. ab7291 and ab150120 were used as counterstains for primary antibody ab75748 and secondary antibody ab150077 respectively and DAPI was used as a nuclear counterstain.

Negative control 1 : Rabbit primary antibody and anti-mouse secondary antibody (ab150120)
Negative control 2 : Mouse primary antibody (ab7291) and anti-rabbit secondary antibody (ab150077)

Flow Cytometry (Intracellular) - Anti-PAK1 (phospho S144) + PAK2 (phospho S141) + PAK3 (phospho S154) antibody [EP656Y] (AB40795)
  • Flow Cyt (Intra)

Unknown

Flow Cytometry (Intracellular) - Anti-PAK1 (phospho S144) + PAK2 (phospho S141) + PAK3 (phospho S154) antibody [EP656Y] (AB40795)

Overlay histogram showing HeLa cells stained with unpurified ab40795 (red line). The cells were fixed with 80% methanol (5 min) and then permeabilized with 0.1% PBS-Tween for 20 min. The cells were then incubated in 1x PBS / 10% normal goat serum / 0.3M glycine to block non-specific protein-protein interactions followed by the antibody (ab40795, 1/100 dilution) for 30 min at 22°C. The secondary antibody used was DyLight® 488 goat anti-rabbit IgG (H+L) (ab96899) at 1/500 dilution for 30 min at 22°C. Isotype control antibody (black line) was rabbit IgG (monoclonal) (1μg/1x106 cells) used under the same conditions. Unlabelled sample (blue line) was also used as a control. Acquisition of >5,000 events were collected using a 20mW Argon ion laser (488nm) and 525/30 bandpass filter.

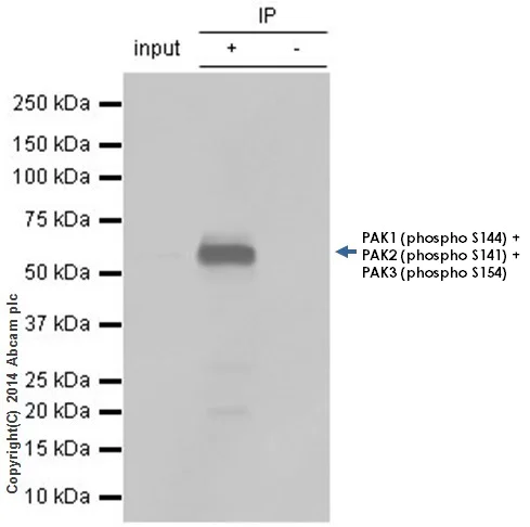
Immunoprecipitation - Anti-PAK1 (phospho S144) + PAK2 (phospho S141) + PAK3 (phospho S154) antibody [EP656Y] (AB40795)
  • IP

Unknown

Immunoprecipitation - Anti-PAK1 (phospho S144) + PAK2 (phospho S141) + PAK3 (phospho S154) antibody [EP656Y] (AB40795)

ab40795 immunoprecipitating PAK1 (phospho S144) + PAK2 (phospho S141) + PAK3 (phospho S154). 10μg of HeLa (human cervix adenocarcinoma) whole cell lysate was incubated with primary antibody at a dilution of 1/40 and VeriBlot for IP Detection Reagent (HRP) (ab131366) at a dilution of 1/10000.

Lane 1 : HeLa whole cell lysate (10ug)
Lane 2 : ab40795 IP in HeLa whole cell lysate
Lane 3 : Rabbit monoclonal IgG (ab172730) instead of ab40795 in HeLa (human cervix adenocarcinoma) whole cell lysate

All lanes:

Immunoprecipitation - Anti-PAK1 (phospho S144) + PAK2 (phospho S141) + PAK3 (phospho S154) antibody [EP656Y] (ab40795)

false

Western blot - Anti-PAK1 (phospho S144) + PAK2 (phospho S141) + PAK3 (phospho S154) antibody [EP656Y] (AB40795)
  • WB

Lab

Western blot - Anti-PAK1 (phospho S144) + PAK2 (phospho S141) + PAK3 (phospho S154) antibody [EP656Y] (AB40795)

All lanes:

Western blot - Anti-PAK1 (phospho S144) + PAK2 (phospho S141) + PAK3 (phospho S154) antibody [EP656Y] (ab40795) at 1/10000 dilution

Lane 1:

RAW264.7 (mouse abelson murine leukemia virus-induced tumor) whole cell lysate - treated with phosphatase at 10 µg

Lane 2:

RAW264.7 (mouse abelson murine leukemia virus-induced tumor) whole cell lysate - untreated at 10 µg

Secondary

All lanes:

Western blot - Goat Anti-Rabbit IgG H&L (HRP) (<a href='/en-us/products/secondary-antibodies/goat-rabbit-igg-h-l-hrp-ab97051'>ab97051</a>) at 1/100000 dilution

false

Western blot - Anti-PAK1 (phospho S144) + PAK2 (phospho S141) + PAK3 (phospho S154) antibody [EP656Y] (AB40795)
  • WB

Lab

Western blot - Anti-PAK1 (phospho S144) + PAK2 (phospho S141) + PAK3 (phospho S154) antibody [EP656Y] (AB40795)

All lanes:

Western blot - Anti-PAK1 (phospho S144) + PAK2 (phospho S141) + PAK3 (phospho S154) antibody [EP656Y] (ab40795) at 1/10000 dilution

Lane 1:

HeLa whole cell lysate - untreated at 10 µg

Lane 2:

HeLa whole cell lysate - treated with phosphatase at 10 µg

Secondary

All lanes:

Western blot - Goat Anti-Rabbit IgG H&L (HRP) (<a href='/en-us/products/secondary-antibodies/goat-rabbit-igg-h-l-hrp-ab97051'>ab97051</a>) at 1/20000 dilution

false

Western blot - Anti-PAK1 (phospho S144) + PAK2 (phospho S141) + PAK3 (phospho S154) antibody [EP656Y] (AB40795)
  • WB

Lab

Western blot - Anti-PAK1 (phospho S144) + PAK2 (phospho S141) + PAK3 (phospho S154) antibody [EP656Y] (AB40795)

All lanes:

Western blot - Anti-PAK1 (phospho S144) + PAK2 (phospho S141) + PAK3 (phospho S154) antibody [EP656Y] (ab40795) at 1/50000 dilution

Lane 1:

C6 (rat glioma) whole cell lysate - treated with phosphatase at 10 µg

Lane 2:

C6 (rat glioma) whole cell lysate - untreated at 10 µg

Secondary

All lanes:

Western blot - Goat Anti-Rabbit IgG H&L (HRP) (<a href='/en-us/products/secondary-antibodies/goat-rabbit-igg-h-l-hrp-ab97051'>ab97051</a>) at 1/100000 dilution

false

Western blot - Anti-PAK1 (phospho S144) + PAK2 (phospho S141) + PAK3 (phospho S154) antibody [EP656Y] (AB40795)
  • WB

CiteAb

Western blot - Anti-PAK1 (phospho S144) + PAK2 (phospho S141) + PAK3 (phospho S154) antibody [EP656Y] (AB40795)

PAK1 (phospho S144) + PAK2 (phospho S141) + PAK3 (phospho S154) western blot using anti-PAK1 (phospho S144) + PAK2 (phospho S141) + PAK3 (phospho S154) antibody [EP656Y] ab40795. Publication image and figure legend from Schelle, I., Bruening, J., et al., 2016, Toxins (Basel), PubMed 28025502.

ab40795 was used in this publication in western blot. This may not be the same as the application(s) guaranteed by Abcam. For a full list of applications guaranteed by Abcam for ab40795 please see the product overview.

Effects of genetic deletion of p38alpha and of SB203580 treatment on TcsL-catalyzed Rac/Cdc42 glucosylation (time-dependency). p38alpha-/- MSCV p38alpha MEFs and p38alpha-/- MSCV empty vector (EV) MEFs were treated with TcsL (1 μg/mL) in the presence of SB203580 (10 μM) or DMSO alone for the indicated times. The cellular levels of non-glucosylated Rac/Cdc42, total Rac1, pS144/141-PAK1/2, PAK2, pT222-MAPKAPK2, MAPKAPK2, and beta-actin were analyzed by immunoblot using the indicated antibodies. Quantifications of immunoblots were performed using Kodak software and relative amounts of non-glucosylated Rac/Cdc42 versus the total levels of Rac1, respectively, are expressed as mean ± SD of three independent experiments. * indicates significant differences, p < 0.05, as analyzed using Student's t-test.

false

  • 665 Alexa Fluor® 647

    Alexa Fluor® 647 Anti-PAK1+PAK2+PAK3 (phospho S141 + S144 + S154) antibody [EP656Y]

  • Carrier free

    Anti-PAK1+PAK2+PAK3 (phospho S141 + S144 + S154) antibody [EP656Y] - BSA and Azide free

  • 578 PE

    PE Anti-PAK1 (phospho S144) + PAK2 (phospho S141) + PAK3 (phospho S154) antibody [EP656Y]

  • 660 APC

    APC Anti-PAK1 (phospho S144) + PAK2 (phospho S141) + PAK3 (phospho S154) antibody [EP656Y]

  • 617 Alexa Fluor® 594

    Alexa Fluor® 594 Anti-PAK1 (phospho S144) + PAK2 (phospho S141) + PAK3 (phospho S154) antibody [EP656Y]

  • 519 Alexa Fluor® 488

    Alexa Fluor® 488 Anti-PAK1 (phospho S144) + PAK2 (phospho S141) + PAK3 (phospho S154) antibody [EP656Y]

  • 565 Alexa Fluor® 555

    Alexa Fluor® 555 Anti-PAK1 (phospho S144) + PAK2 (phospho S141) + PAK3 (phospho S154) antibody [EP656Y]

  • HRP

    HRP Anti-PAK1 (phospho S144) + PAK2 (phospho S141) + PAK3 (phospho S154) antibody [EP656Y]

  • 603 Alexa Fluor® 568

    Alexa Fluor® 568 Anti-PAK1 (phospho S144) + PAK2 (phospho S141) + PAK3 (phospho S154) antibody [EP656Y]

  • 775 Alexa Fluor® 750

    Alexa Fluor® 750 Anti-PAK1+PAK2+PAK3 (phospho S141 + S144 + S154) antibody [EP656Y]

Key facts

Host species

Rabbit

Clonality

Monoclonal

Clone number

EP656Y

Isotype

IgG

Carrier free

No

Reacts with

Mouse, Rat, Human

Applications

ICC/IF, Flow Cyt (Intra), IHC-P, WB, IP

applications

Immunogen

The exact immunogen used to generate this antibody is proprietary information.

Reactivity data

{ "title": "Reactivity Data", "filters": { "stats": ["", "Species", "Dilution Info", "Notes"], "tabs": { "all-applications": {"fullname" : "All Applications", "shortname": "All Applications"}, "IP" : {"fullname" : "Immunoprecipitation", "shortname":"IP"}, "WB" : {"fullname" : "Western blot", "shortname":"WB"}, "ICCIF" : {"fullname" : "Immunocytochemistry/ Immunofluorescence", "shortname":"ICC/IF"}, "FlowCytIntra" : {"fullname" : "Flow Cytometry (Intracellular)", "shortname":"Flow Cyt (Intra)"}, "IHCP" : {"fullname" : "Immunohistochemistry (Formalin/PFA-fixed paraffin-embedded sections)", "shortname":"IHC-P"} }, "product-promise": { "all": "all", "testedAndGuaranteed": "tested", "guaranteed": "expected", "predicted": "predicted", "notRecommended": "not-recommended" } }, "values": { "Human": { "IP-species-checked": "testedAndGuaranteed", "IP-species-dilution-info": "1/40", "IP-species-notes": "<p></p> Perform heat-mediated antigen retrieval with Tris/EDTA buffer pH 9.0 before commencing with IHC staining protocol.", "WB-species-checked": "testedAndGuaranteed", "WB-species-dilution-info": "1/10000 - 1/50000", "WB-species-notes": "<p></p>", "ICCIF-species-checked": "testedAndGuaranteed", "ICCIF-species-dilution-info": "1/250 - 1/500", "ICCIF-species-notes": "<p></p>", "FlowCytIntra-species-checked": "testedAndGuaranteed", "FlowCytIntra-species-dilution-info": "1/120", "FlowCytIntra-species-notes": "<p><a href='/en-us/products/primary-antibodies/rabbit-igg-monoclonal-epr25a-isotype-control-ab172730'>ab172730</a> - Rabbit monoclonal IgG, is suitable for use as an isotype control with this antibody.</p>", "IHCP-species-checked": "testedAndGuaranteed", "IHCP-species-dilution-info": "1/100 - 1/500", "IHCP-species-notes": "<p></p> Perform heat-mediated antigen retrieval with Tris/EDTA buffer pH 9.0 before commencing with IHC staining protocol." }, "Mouse": { "IP-species-checked": "guaranteed", "IP-species-dilution-info": "", "IP-species-notes": "", "WB-species-checked": "testedAndGuaranteed", "WB-species-dilution-info": "1/10000 - 1/50000", "WB-species-notes": "<p></p> Perform heat-mediated antigen retrieval with Tris/EDTA buffer pH 9.0 before commencing with IHC staining protocol.", "ICCIF-species-checked": "guaranteed", "ICCIF-species-dilution-info": "", "ICCIF-species-notes": "", "FlowCytIntra-species-checked": "testedAndGuaranteed", "FlowCytIntra-species-dilution-info": "1/120", "FlowCytIntra-species-notes": "<p><a href='/en-us/products/primary-antibodies/rabbit-igg-monoclonal-epr25a-isotype-control-ab172730'>ab172730</a> - Rabbit monoclonal IgG, is suitable for use as an isotype control with this antibody.</p>", "IHCP-species-checked": "testedAndGuaranteed", "IHCP-species-dilution-info": "1/100 - 1/500", "IHCP-species-notes": "<p></p> Perform heat-mediated antigen retrieval with Tris/EDTA buffer pH 9.0 before commencing with IHC staining protocol." }, "Rat": { "IP-species-checked": "guaranteed", "IP-species-dilution-info": "", "IP-species-notes": "", "WB-species-checked": "testedAndGuaranteed", "WB-species-dilution-info": "1/10000 - 1/50000", "WB-species-notes": "<p></p> Perform heat-mediated antigen retrieval with Tris/EDTA buffer pH 9.0 before commencing with IHC staining protocol.", "ICCIF-species-checked": "guaranteed", "ICCIF-species-dilution-info": "", "ICCIF-species-notes": "", "FlowCytIntra-species-checked": "guaranteed", "FlowCytIntra-species-dilution-info": "", "FlowCytIntra-species-notes": "", "IHCP-species-checked": "testedAndGuaranteed", "IHCP-species-dilution-info": "1/100 - 1/500", "IHCP-species-notes": "<p></p> Perform heat-mediated antigen retrieval with Tris/EDTA buffer pH 9.0 before commencing with IHC staining protocol." } } }

Product details

Patented technology
Our RabMAb® technology is a patented hybridoma-based technology for making rabbit monoclonal antibodies. For details on our patents, please refer to RabMAb® patents.

What are the advantages of a recombinant monoclonal antibody?
This product is a recombinant monoclonal antibody, which offers several advantages including:

  • - High batch-to-batch consistency and reproducibility
  • - Improved sensitivity and specificity
  • - Long-term security of supply
  • - Animal-free batch production

For more information, read more on recombinant antibodies.

Properties and storage information

Form
Liquid
Purification technique
Affinity purification Protein A
Storage buffer
pH: 7.2 - 7.4 Preservative: 0.01% Sodium azide Constituents: 59% PBS, 40% Glycerol (glycerin, glycerine), 0.05% BSA
Shipped at conditions
Blue Ice
Appropriate short-term storage duration
1-2 weeks
Appropriate short-term storage conditions
+4°C
Appropriate long-term storage conditions
-20°C
Aliquoting information
Upon delivery aliquot
Storage information
Avoid freeze / thaw cycle

Product protocols

For this product, it's our understanding that no specific protocols are required. You can visit:

Target data

Serine/threonine protein kinase that plays a role in a variety of different signaling pathways including cytoskeleton regulation, cell migration, or cell cycle regulation. Plays a role in dendrite spine morphogenesis as well as synapse formation and plasticity. Acts as a downstream effector of the small GTPases CDC42 and RAC1. Activation by the binding of active CDC42 and RAC1 results in a conformational change and a subsequent autophosphorylation on several serine and/or threonine residues. Phosphorylates MAPK4 and MAPK6 and activates the downstream target MAPKAPK5, a regulator of F-actin polymerization and cell migration. Additionally, phosphorylates TNNI3/troponin I to modulate calcium sensitivity and relaxation kinetics of thin myofilaments. May also be involved in early neuronal development. In hippocampal neurons, necessary for the formation of dendritic spines and excitatory synapses; this function is dependent on kinase activity and may be exerted by the regulation of actomyosin contractility through the phosphorylation of myosin II regulatory light chain (MLC) (By similarity).
See full target information PAK3 phospho S154

Additional targets

,PAK3 phospho S154

Publications (40)

Recent publications for all applications. Explore the full list and refine your search

Blood science (Baltimore, Md.) 5:249-257 PubMed37941919

2023

Targeting P21-activated kinase suppresses proliferation and enhances chemosensitivity in T-cell lymphoblastic lymphoma.

Applications

Unspecified application

Species

Unspecified reactive species

Ning Su,Yu Fang,Xu Chen,Xiaoqin Chen,Zhongjun Xia,Huiqiang Huang,Yi Xia,Panpan Liu,Xiaopeng Tian,Qingqing Cai

Cells 12: PubMed37443762

2023

Impaired Insulin Signaling Alters Mediators of Hippocampal Synaptic Dynamics/Plasticity: A Possible Mechanism of Hyperglycemia-Induced Cognitive Impairment.

Applications

Unspecified application

Species

Unspecified reactive species

Mubeen A Ansari,Aishah Al-Jarallah,Fawzi A Babiker

Molecular biology reports 50:2067-2076 PubMed36542238

2022

Low dose radiation upregulates Ras/p38 and NADPH oxidase in mouse colon two months after exposure.

Applications

Unspecified application

Species

Unspecified reactive species

Santosh Kumar,Shubhankar Suman,Bo-Hyun Moon,Albert J Fornace,Kamal Datta

Antioxidants (Basel, Switzerland) 11: PubMed35453399

2022

Proteins Associated with Phagocytosis Alteration in Retinal Pigment Epithelial Cells Derived from Age-Related Macular Degeneration Patients.

Applications

Unspecified application

Species

Unspecified reactive species

Audrey Voisin,Afsaneh Gaillard,Anaïs Balbous,Nicolas Leveziel

Journal of cellular biochemistry 123:375-389 PubMed34750857

2021

PAK1 and PAK2 in cell metabolism regulation.

Applications

Unspecified application

Species

Unspecified reactive species

Tereza Kořánová,Lukáš Dvořáček,Dana Grebeňová,Pavla Röselová,Adam Obr,Kateřina Kuželová

PLoS pathogens 17:e1009902 PubMed34460869

2021

A kinase-independent function of PAK is crucial for pathogen-mediated actin remodelling.

Applications

Unspecified application

Species

Unspecified reactive species

Anthony Davidson,Joe Tyler,Peter Hume,Vikash Singh,Vassilis Koronakis

Journal of cell science 134: PubMed33558312

2021

Vimentin tunes cell migration on collagen by controlling β1 integrin activation and clustering.

Applications

Unspecified application

Species

Unspecified reactive species

Zofia Ostrowska-Podhorodecka,Isabel Ding,Wilson Lee,Jelena Tanic,Sevil Abbasi,Pamma D Arora,Richard S Liu,Alison E Patteson,Paul A Janmey,Christopher A McCulloch

Cell adhesion & migration 15:18-36 PubMed33464167

2021

Group I p21-activated kinases in leukemia cell adhesion to fibronectin.

Applications

Unspecified application

Species

Unspecified reactive species

Kateřina Kuželová,Adam Obr,Pavla Röselová,Dana Grebeňová,Petra Otevřelová,Barbora Brodská,Aleš Holoubek

Nature microbiology 6:401-412 PubMed33432150

2021

Escherichia coli Rho GTPase-activating toxin CNF1 mediates NLRP3 inflammasome activation via p21-activated kinases-1/2 during bacteraemia in mice.

Applications

Unspecified application

Species

Unspecified reactive species

Océane Dufies,Anne Doye,Johan Courjon,Cédric Torre,Gregory Michel,Celine Loubatier,Arnaud Jacquel,Paul Chaintreuil,Alissa Majoor,Rodolphe R Guinamard,Alexandre Gallerand,Pedro H V Saavedra,Els Verhoeyen,Amaury Rey,Sandrine Marchetti,Raymond Ruimy,Dorota Czerucka,Mohamed Lamkanfi,Bénédicte F Py,Patrick Munro,Orane Visvikis,Laurent Boyer

Nature communications 11:5808 PubMed33199701

2020

Vav2 catalysis-dependent pathways contribute to skeletal muscle growth and metabolic homeostasis.

Applications

Unspecified application

Species

Unspecified reactive species

Sonia Rodríguez-Fdez,L Francisco Lorenzo-Martín,Isabel Fernández-Pisonero,Begoña Porteiro,Christelle Veyrat-Durebex,Daniel Beiroa,Omar Al-Massadi,Antonio Abad,Carlos Diéguez,Roberto Coppari,Rubén Nogueiras,Xosé R Bustelo
View all publications

Product promise

We are committed to supporting your work with high-quality reagents, and we're here for you every step of the way. In the unlikely event that one of our products does not perform as expected, you're protected by our Product Promise.
For full details, please see our Terms & Conditions

Please note: All products are 'FOR RESEARCH USE ONLY. NOT FOR USE IN DIAGNOSTIC OR THERAPEUTIC PROCEDURES'.

For licensing inquiries, please contact partnerships@abcam.com