JavaScript is disabled in your browser. Please enable JavaScript to view this website.
AB79503

Anti-PAK1 (phospho S204) antibody

Be the first to review this product! Submit a review

|

(2 Publications)

Rabbit Polyclonal PAK1 phospho S204 antibody. Suitable for WB, IHC-P and reacts with Mouse, Human samples. Cited in 2 publications. Immunogen corresponding to Synthetic Peptide within Human PAK1 phospho S204.

View Alternative Names

Serine/threonine-protein kinase PAK 1, Alpha-PAK, p21-activated kinase 1, p65-PAK, PAK-1, PAK1

2 Images
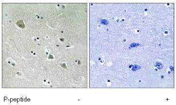
Immunohistochemistry (Formalin/PFA-fixed paraffin-embedded sections) - Anti-PAK1 (phospho S204) antibody (AB79503)
  • IHC-P

Unknown

Immunohistochemistry (Formalin/PFA-fixed paraffin-embedded sections) - Anti-PAK1 (phospho S204) antibody (AB79503)

Immunohistochemistry analysis of paraffin-embedded human brain tissue, stained with ab79503, at 1/100 dilution, in the absence and presence of the immunising peptide

Western blot - Anti-PAK1 (phospho S204) antibody (AB79503)
  • WB

Unknown

Western blot - Anti-PAK1 (phospho S204) antibody (AB79503)

All lanes:

Western blot - Anti-PAK1 (phospho S204) antibody (ab79503) at 1/1000 dilution

Lane 1:

extracts from 3T3 cells (treated with UV for 15 mins) at 30 µg

Lane 2:

extracts from 3T3 cells (treated with UV for 15 mins) at 30 µg with immunising peptide

Predicted band size: 61 kDa

Observed band size: 61 kDa

false

Key facts

Host species

Rabbit

Clonality

Polyclonal

Isotype

IgG

Carrier free

No

Reacts with

Mouse, Human

Applications

IHC-P, WB

applications

Immunogen

Synthetic Peptide within Human PAK1 phospho S204. The exact immunogen used to generate this antibody is proprietary information.

Q13153

Reactivity data

{ "title": "Reactivity Data", "filters": { "stats": ["", "Species", "Dilution Info", "Notes"], "tabs": { "all-applications": {"fullname" : "All Applications", "shortname": "All Applications"}, "WB" : {"fullname" : "Western blot", "shortname":"WB"}, "IHCP" : {"fullname" : "Immunohistochemistry (Formalin/PFA-fixed paraffin-embedded sections)", "shortname":"IHC-P"} }, "product-promise": { "all": "all", "testedAndGuaranteed": "tested", "guaranteed": "expected", "predicted": "predicted", "notRecommended": "not-recommended" } }, "values": { "Human": { "WB-species-checked": "guaranteed", "WB-species-dilution-info": "", "WB-species-notes": "", "IHCP-species-checked": "testedAndGuaranteed", "IHCP-species-dilution-info": "1/50 - 1/100", "IHCP-species-notes": "<p></p>" }, "Mouse": { "WB-species-checked": "testedAndGuaranteed", "WB-species-dilution-info": "1/500 - 1/1000", "WB-species-notes": "<p></p>", "IHCP-species-checked": "guaranteed", "IHCP-species-dilution-info": "", "IHCP-species-notes": "" }, "Rat": { "WB-species-checked": "predicted", "WB-species-dilution-info": "", "WB-species-notes": "", "IHCP-species-checked": "predicted", "IHCP-species-dilution-info": "", "IHCP-species-notes": "" } } }

Properties and storage information

Form
Liquid
Purification technique
Affinity purification Immunogen
Purification notes
Purified by affinity chromatography using an epitope specific phosphopeptide. The antibody against non-phosphopeptide was removed by chromatography using a non-phosphopeptide corresponding to the phosphorylation site.
Storage buffer
pH: 7.4 Preservative: 0.02% Sodium azide Constituents: PBS, 50% Glycerol (glycerin, glycerine), 0.87% Sodium chloride
Shipped at conditions
Blue Ice
Appropriate short-term storage conditions
+4°C
Appropriate long-term storage conditions
-20°C
Aliquoting information
Upon delivery aliquot
Storage information
Avoid freeze / thaw cycle

Product protocols

For this product, it's our understanding that no specific protocols are required. You can visit:

Target data

Protein kinase involved in intracellular signaling pathways downstream of integrins and receptor-type kinases that plays an important role in cytoskeleton dynamics, in cell adhesion, migration, proliferation, apoptosis, mitosis, and in vesicle-mediated transport processes (PubMed : 10551809, PubMed : 11896197, PubMed : 12876277, PubMed : 14585966, PubMed : 15611088, PubMed : 17726028, PubMed : 17989089, PubMed : 30290153, PubMed : 17420447). Can directly phosphorylate BAD and protects cells against apoptosis (By similarity). Activated by interaction with CDC42 and RAC1 (PubMed : 8805275, PubMed : 9528787). Functions as a GTPase effector that links the Rho-related GTPases CDC42 and RAC1 to the JNK MAP kinase pathway (PubMed : 8805275, PubMed : 9528787). Phosphorylates and activates MAP2K1, and thereby mediates activation of downstream MAP kinases (By similarity). Involved in the reorganization of the actin cytoskeleton, actin stress fibers and of focal adhesion complexes (PubMed : 9032240, PubMed : 9395435). Phosphorylates the tubulin chaperone TBCB and thereby plays a role in the regulation of microtubule biogenesis and organization of the tubulin cytoskeleton (PubMed : 15831477). Plays a role in the regulation of insulin secretion in response to elevated glucose levels (PubMed : 22669945). Part of a ternary complex that contains PAK1, DVL1 and MUSK that is important for MUSK-dependent regulation of AChR clustering during the formation of the neuromuscular junction (NMJ) (By similarity). Activity is inhibited in cells undergoing apoptosis, potentially due to binding of CDC2L1 and CDC2L2 (PubMed : 12624090). Phosphorylates MYL9/MLC2 (By similarity). Phosphorylates RAF1 at 'Ser-338' and 'Ser-339' resulting in : activation of RAF1, stimulation of RAF1 translocation to mitochondria, phosphorylation of BAD by RAF1, and RAF1 binding to BCL2 (PubMed : 11733498). Phosphorylates SNAI1 at 'Ser-246' promoting its transcriptional repressor activity by increasing its accumulation in the nucleus (PubMed : 15833848). In podocytes, promotes NR3C2 nuclear localization (By similarity). Required for atypical chemokine receptor ACKR2-induced phosphorylation of LIMK1 and cofilin (CFL1) and for the up-regulation of ACKR2 from endosomal compartment to cell membrane, increasing its efficiency in chemokine uptake and degradation (PubMed : 23633677). In synapses, seems to mediate the regulation of F-actin cluster formation performed by SHANK3, maybe through CFL1 phosphorylation and inactivation (By similarity). Plays a role in RUFY3-mediated facilitating gastric cancer cells migration and invasion (PubMed : 25766321). In response to DNA damage, phosphorylates MORC2 which activates its ATPase activity and facilitates chromatin remodeling (PubMed : 23260667). In neurons, plays a crucial role in regulating GABA(A) receptor synaptic stability and hence GABAergic inhibitory synaptic transmission through its role in F-actin stabilization (By similarity). In hippocampal neurons, necessary for the formation of dendritic spines and excitatory synapses; this function is dependent on kinase activity and may be exerted by the regulation of actomyosin contractility through the phosphorylation of myosin II regulatory light chain (MLC) (By similarity). Along with GIT1, positively regulates microtubule nucleation during interphase (PubMed : 27012601). Phosphorylates FXR1, promoting its localization to stress granules and activity (PubMed : 20417602). Phosphorylates ILK on 'Thr-173' and 'Ser-246', promoting nuclear export of ILK (PubMed : 17420447).
See full target information PAK1 phospho S204

Publications (2)

Recent publications for all applications. Explore the full list and refine your search

Journal of experimental & clinical cancer research : CR 41:230 PubMed35869555

2022

ARHGEF37 overexpression promotes extravasation and metastasis of hepatocellular carcinoma via directly activating Cdc42.

Applications

Unspecified application

Species

Unspecified reactive species

Xin Zhang,Liangliang Ren,Junhua Wu,Rongni Feng,Yunyang Chen,Ronggang Li,Meimei Wu,Mingzhu Zheng,Xing Gui Wu,Wanjun Luo,Hongle He,Yanming Huang,Miaoling Tang,Jun Li

Cell reports 27:3152-3166.e7 PubMed31189102

2019

Injured Axons Instruct Schwann Cells to Build Constricting Actin Spheres to Accelerate Axonal Disintegration.

Applications

Unspecified application

Species

Unspecified reactive species

Adrien Vaquié,Alizée Sauvain,Mert Duman,Gianluigi Nocera,Boris Egger,Felix Meyenhofer,Laurent Falquet,Luca Bartesaghi,Roman Chrast,Christophe Maurice Lamy,Seokyoung Bang,Seung-Ryeol Lee,Noo Li Jeon,Sophie Ruff,Claire Jacob
View all publications

Product promise

We are committed to supporting your work with high-quality reagents, and we're here for you every step of the way. In the unlikely event that one of our products does not perform as expected, you're protected by our Product Promise.
For full details, please see our Terms & Conditions

Please note: All products are 'FOR RESEARCH USE ONLY. NOT FOR USE IN DIAGNOSTIC OR THERAPEUTIC PROCEDURES'.

For licensing inquiries, please contact partnerships@abcam.com