JavaScript is disabled in your browser. Please enable JavaScript to view this website.
AB223852

Anti-PAK1 (phospho T212) antibody [EPR20045]

Be the first to review this product! Submit a review

|

(1 Publication)

Rabbit Recombinant Monoclonal PAK1 phospho T212 antibody. Suitable for Dot, ICC/IF, Flow Cyt (Intra), IHC-P and reacts with Human samples. Cited in 1 publication.

View Alternative Names

Serine/threonine-protein kinase PAK 1, Alpha-PAK, p21-activated kinase 1, p65-PAK, PAK-1, PAK1

7 Images
Immunocytochemistry/ Immunofluorescence - Anti-PAK1 (phospho T212) antibody [EPR20045] (AB223852)
  • ICC/IF

Supplier Data

Immunocytochemistry/ Immunofluorescence - Anti-PAK1 (phospho T212) antibody [EPR20045] (AB223852)

Immunofluorescent analysis of 4% paraformaldehyde-fixed, 0.1% Triton X-100 permeabilized A549 (human lung carcinoma cell line) cells labeling PAK1 (phospho T212) with ab223852 at 1/100 dilution, followed by Goat Anti-Rabbit IgG H&L (Alexa Fluor® 488) (ab150077) secondary antibody at 1/1,000 dilution (green). Confocal image showing positive staining on HeLa cells in M phase. The signal decreased after treatment with Lambda Protein Phosphatase 31℃ for 2 hours (treated).

The nuclear counter stain is DAPI (blue). Tubulin is detected with Anti-alpha Tubulin antibody [DM1A] - Microtubule Marker (Alexa Fluor® 594) (ab195889) at 1/200 dilution (red).

The negative control : PBS followed by Goat Anti-Rabbit IgG H&L (Alexa Fluor® 488) (ab150077) secondary antibody at 1/1,000 dilution.

Immunohistochemistry (Formalin/PFA-fixed paraffin-embedded sections) - Anti-PAK1 (phospho T212) antibody [EPR20045] (AB223852)
  • IHC-P

Supplier Data

Immunohistochemistry (Formalin/PFA-fixed paraffin-embedded sections) - Anti-PAK1 (phospho T212) antibody [EPR20045] (AB223852)

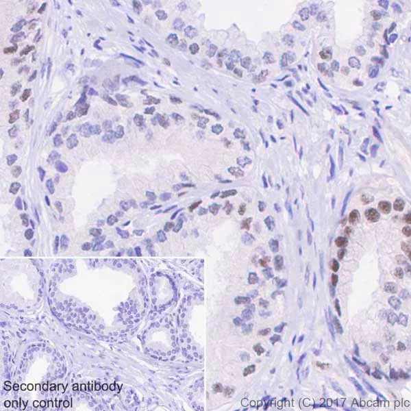
Immunohistochemical analysis of paraffin-embedded human prostate tissue labeling PAK1 (phospho T212) with ab223852 at 1/500 dilution, followed by Goat Anti-Rabbit IgG H&L (HRP) Ready to use. Sporadic nuclear staining on human prostate (PMID : 19876919; PMID : 12176334) is observed. Counter stained with hematoxylin.

Secondary antibody only control : Used PBS instead of primary antibody, secondary antibody is Goat Anti-Rabbit IgG H&L (HRP) Ready to use.

Perform heat mediated antigen retrieval using ab93684 (Tris/EDTA buffer, pH 9.0).

Immunohistochemistry (Formalin/PFA-fixed paraffin-embedded sections) - Anti-PAK1 (phospho T212) antibody [EPR20045] (AB223852)
  • IHC-P

Supplier Data

Immunohistochemistry (Formalin/PFA-fixed paraffin-embedded sections) - Anti-PAK1 (phospho T212) antibody [EPR20045] (AB223852)

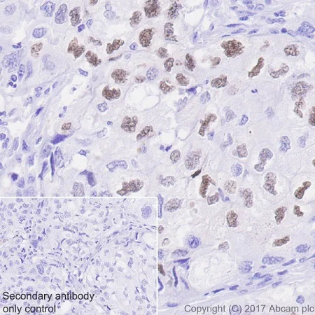
Immunohistochemical analysis of paraffin-embedded human colon cancer tissue labeling PAK1 (phospho T212) with ab223852 at 1/500 dilution, followed by Goat Anti-Rabbit IgG H&L (HRP) Ready to use. Nuclear staining on tumor cells of human colon cancer (PMID : 19876919; PMID : 12176334) is observed. Counter stained with hematoxylin.

Secondary antibody only control : Used PBS instead of primary antibody, secondary antibody is Goat Anti-Rabbit IgG H&L (HRP) Ready to use.

Perform heat mediated antigen retrieval using ab93684 (Tris/EDTA buffer, pH 9.0).

Flow Cytometry (Intracellular) - Anti-PAK1 (phospho T212) antibody [EPR20045] (AB223852)
  • Flow Cyt (Intra)

Supplier Data

Flow Cytometry (Intracellular) - Anti-PAK1 (phospho T212) antibody [EPR20045] (AB223852)

Intracellular flow cytometric analysis of 80% methanol-fixed, 0.1% Tween-20 permeabilized HeLa (human epithelial cell line from cervix adenocarcinoma) cell line labeling PAK1 (phospho T212) with ab223852 at 1/50 (right panel) compared with a Rabbit monoclonal IgG (ab172730) Isotype control (left panel). Goat Anti-Rabbit IgG H&L (Alexa Fluor® 488) (ab150077), at 1/2,000 dilution was used as the secondary antibody. Unlabeled control cells without incubation with primary antibody and secondary antibody (Blue).

Cells were pretreated with 20μg/ml RNase A for 30 minutes to eliminate the non-specific binding between RNA and PI (Propidium iodide). PAK1 (phospho T212) is highly expressed in mitotic cells (PMID : 12176334).

Immunocytochemistry/ Immunofluorescence - Anti-PAK1 (phospho T212) antibody [EPR20045] (AB223852)
  • ICC/IF

Supplier Data

Immunocytochemistry/ Immunofluorescence - Anti-PAK1 (phospho T212) antibody [EPR20045] (AB223852)

Immunofluorescent analysis of 4% paraformaldehyde-fixed, 0.1% Triton X-100 permeabilized HeLa (human epithelial cell line from cervix adenocarcinoma) cells labeling PAK1 (phospho T212) with ab223852 at 1/100 dilution, followed by Goat Anti-Rabbit IgG H&L (Alexa Fluor® 488) (ab150077) secondary antibody at 1/1,000 dilution (green). Confocal image showing positive staining on HeLa cells in M phase. The signal decreased after treatment with Lambda Protein Phosphatase 31℃ for 2 hours (treated).

The nuclear counter stain is DAPI (blue). Tubulin is detected with Anti-alpha Tubulin antibody [DM1A] - Microtubule Marker (Alexa Fluor® 594) (ab195889) at 1/200 dilution (red).

The negative control : PBS followed by Goat Anti-Rabbit IgG H&L (Alexa Fluor® 488) (ab150077) secondary antibody at 1/1,000 dilution.

Immunohistochemistry (Formalin/PFA-fixed paraffin-embedded sections) - Anti-PAK1 (phospho T212) antibody [EPR20045] (AB223852)
  • IHC-P

Supplier Data

Immunohistochemistry (Formalin/PFA-fixed paraffin-embedded sections) - Anti-PAK1 (phospho T212) antibody [EPR20045] (AB223852)

Immunohistochemical analysis of paraffin-embedded human lung squamous cancer tissue labeling PAK1 (phospho T212) with ab223852 at 1/500 dilution, followed by Goat Anti-Rabbit IgG H&L (HRP) Ready to use. Nuclear staining on tumor cells of human lung squamous cancer (PMID : 19876919; PMID : 12176334) is observed. Counter stained with hematoxylin.

Secondary antibody only control : Used PBS instead of primary antibody, secondary antibody is Goat Anti-Rabbit IgG H&L (HRP) Ready to use.

Perform heat mediated antigen retrieval using ab93684 (Tris/EDTA buffer, pH 9.0).

Dot Blot - Anti-PAK1 (phospho T212) antibody [EPR20045] (AB223852)
  • Dot

Supplier Data

Dot Blot - Anti-PAK1 (phospho T212) antibody [EPR20045] (AB223852)

Dot blot analysis of PAK1 (phospho T212) peptide using ab223852 1/1,000 dilution. Goat Anti-Rabbit IgG H&L (HRP) (ab97051), was used as secondary antibody at 1/100,000 dilution.

Lane 1 : PAK1 (phospho T212) peptide.

Lane 2 : PAK1 non-phospho peptide.

Blocking and dilution buffer : 5% NFDM/TBST.

Exposure time : 3 minutes.

Key facts

Host species

Rabbit

Clonality

Monoclonal

Clone number

EPR20045

Isotype

IgG

Carrier free

No

Reacts with

Human

Applications

IHC-P, ICC/IF, Flow Cyt (Intra), Dot

applications

Immunogen

The exact immunogen used to generate this antibody is proprietary information.

Reactivity data

{ "title": "Reactivity Data", "filters": { "stats": ["", "Species", "Dilution Info", "Notes"], "tabs": { "all-applications": {"fullname" : "All Applications", "shortname": "All Applications"}, "Dot" : {"fullname" : "Dot Blot", "shortname":"Dot"}, "ICCIF" : {"fullname" : "Immunocytochemistry/ Immunofluorescence", "shortname":"ICC/IF"}, "FlowCytIntra" : {"fullname" : "Flow Cytometry (Intracellular)", "shortname":"Flow Cyt (Intra)"}, "IHCP" : {"fullname" : "Immunohistochemistry (Formalin/PFA-fixed paraffin-embedded sections)", "shortname":"IHC-P"} }, "product-promise": { "all": "all", "testedAndGuaranteed": "tested", "guaranteed": "expected", "predicted": "predicted", "notRecommended": "not-recommended" } }, "values": { "Human": { "Dot-species-checked": "testedAndGuaranteed", "Dot-species-dilution-info": "1/1000", "Dot-species-notes": "<p></p>", "ICCIF-species-checked": "testedAndGuaranteed", "ICCIF-species-dilution-info": "1/100", "ICCIF-species-notes": "<p></p>", "FlowCytIntra-species-checked": "testedAndGuaranteed", "FlowCytIntra-species-dilution-info": "1/50", "FlowCytIntra-species-notes": "<p></p>", "IHCP-species-checked": "testedAndGuaranteed", "IHCP-species-dilution-info": "1/500", "IHCP-species-notes": "<p></p>" } } }

Product details

Patented technology
Our RabMAb® technology is a patented hybridoma-based technology for making rabbit monoclonal antibodies. For details on our patents, please refer to RabMAb® patents.

What are the advantages of a recombinant monoclonal antibody?
This product is a recombinant monoclonal antibody, which offers several advantages including:

  • - High batch-to-batch consistency and reproducibility
  • - Improved sensitivity and specificity
  • - Long-term security of supply
  • - Animal-free batch production

For more information, read more on recombinant antibodies.

Properties and storage information

Form
Liquid
Purification technique
Affinity purification Protein A
Storage buffer
pH: 7.2 - 7.4 Preservative: 0.01% Sodium azide Constituents: PBS, 40% Glycerol (glycerin, glycerine), 0.05% BSA
Shipped at conditions
Blue Ice
Appropriate short-term storage duration
1-2 weeks
Appropriate short-term storage conditions
+4°C
Appropriate long-term storage conditions
-20°C
Aliquoting information
Upon delivery aliquot
Storage information
Avoid freeze / thaw cycle

Product protocols

For this product, it's our understanding that no specific protocols are required. You can visit:

Target data

Protein kinase involved in intracellular signaling pathways downstream of integrins and receptor-type kinases that plays an important role in cytoskeleton dynamics, in cell adhesion, migration, proliferation, apoptosis, mitosis, and in vesicle-mediated transport processes (PubMed : 10551809, PubMed : 11896197, PubMed : 12876277, PubMed : 14585966, PubMed : 15611088, PubMed : 17726028, PubMed : 17989089, PubMed : 30290153, PubMed : 17420447). Can directly phosphorylate BAD and protects cells against apoptosis (By similarity). Activated by interaction with CDC42 and RAC1 (PubMed : 8805275, PubMed : 9528787). Functions as a GTPase effector that links the Rho-related GTPases CDC42 and RAC1 to the JNK MAP kinase pathway (PubMed : 8805275, PubMed : 9528787). Phosphorylates and activates MAP2K1, and thereby mediates activation of downstream MAP kinases (By similarity). Involved in the reorganization of the actin cytoskeleton, actin stress fibers and of focal adhesion complexes (PubMed : 9032240, PubMed : 9395435). Phosphorylates the tubulin chaperone TBCB and thereby plays a role in the regulation of microtubule biogenesis and organization of the tubulin cytoskeleton (PubMed : 15831477). Plays a role in the regulation of insulin secretion in response to elevated glucose levels (PubMed : 22669945). Part of a ternary complex that contains PAK1, DVL1 and MUSK that is important for MUSK-dependent regulation of AChR clustering during the formation of the neuromuscular junction (NMJ) (By similarity). Activity is inhibited in cells undergoing apoptosis, potentially due to binding of CDC2L1 and CDC2L2 (PubMed : 12624090). Phosphorylates MYL9/MLC2 (By similarity). Phosphorylates RAF1 at 'Ser-338' and 'Ser-339' resulting in : activation of RAF1, stimulation of RAF1 translocation to mitochondria, phosphorylation of BAD by RAF1, and RAF1 binding to BCL2 (PubMed : 11733498). Phosphorylates SNAI1 at 'Ser-246' promoting its transcriptional repressor activity by increasing its accumulation in the nucleus (PubMed : 15833848). In podocytes, promotes NR3C2 nuclear localization (By similarity). Required for atypical chemokine receptor ACKR2-induced phosphorylation of LIMK1 and cofilin (CFL1) and for the up-regulation of ACKR2 from endosomal compartment to cell membrane, increasing its efficiency in chemokine uptake and degradation (PubMed : 23633677). In synapses, seems to mediate the regulation of F-actin cluster formation performed by SHANK3, maybe through CFL1 phosphorylation and inactivation (By similarity). Plays a role in RUFY3-mediated facilitating gastric cancer cells migration and invasion (PubMed : 25766321). In response to DNA damage, phosphorylates MORC2 which activates its ATPase activity and facilitates chromatin remodeling (PubMed : 23260667). In neurons, plays a crucial role in regulating GABA(A) receptor synaptic stability and hence GABAergic inhibitory synaptic transmission through its role in F-actin stabilization (By similarity). In hippocampal neurons, necessary for the formation of dendritic spines and excitatory synapses; this function is dependent on kinase activity and may be exerted by the regulation of actomyosin contractility through the phosphorylation of myosin II regulatory light chain (MLC) (By similarity). Along with GIT1, positively regulates microtubule nucleation during interphase (PubMed : 27012601). Phosphorylates FXR1, promoting its localization to stress granules and activity (PubMed : 20417602). Phosphorylates ILK on 'Thr-173' and 'Ser-246', promoting nuclear export of ILK (PubMed : 17420447).
See full target information PAK1 phospho T212

Publications (1)

Recent publications for all applications. Explore the full list and refine your search

Neuroreport 32:1341-1348 PubMed34718248

2021

NBTI attenuates neuroinflammation and apoptosis partly by ENT1/NLRP3/Bcl2 pathway after subarachnoid hemorrhage in rats.

Applications

Unspecified application

Species

Unspecified reactive species

Xiaowei Chen,Xiaocheng Luo,Hang Hu,Qianghua Xu
View all publications

Product promise

We are committed to supporting your work with high-quality reagents, and we're here for you every step of the way. In the unlikely event that one of our products does not perform as expected, you're protected by our Product Promise.
For full details, please see our Terms & Conditions

Please note: All products are 'FOR RESEARCH USE ONLY. NOT FOR USE IN DIAGNOSTIC OR THERAPEUTIC PROCEDURES'.

For licensing inquiries, please contact partnerships@abcam.com