JavaScript is disabled in your browser. Please enable JavaScript to view this website.
AB62155

Anti-PAK1 (phospho T423) + PAK2 (phospho T402 ) + PAK3 (phospho T436) antibody

Be the first to review this product! Submit a review

|

(3 Publications)

Rabbit Polyclonal PAK1 phospho T423 antibody. Suitable for IHC-P and reacts with Human samples. Cited in 3 publications. Immunogen corresponding to Synthetic Peptide within Human Serine/threonine-protein kinase PAK 1 phospho T423 aa 350-450.

View Alternative Names

Serine/threonine-protein kinase PAK 1, Alpha-PAK, p21-activated kinase 1, p65-PAK, PAK-1, PAK1, OPHN3, PAK3, Serine/threonine-protein kinase PAK 3, Beta-PAK, Oligophrenin-3, p21-activated kinase 3, PAK-3, Serine/threonine-protein kinase PAK 2, Gamma-PAK, PAK65, S6/H4 kinase, p21-activated kinase 2, p58, PAK-2, PAK2

1 Images
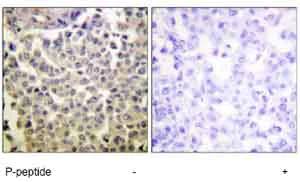
Immunohistochemistry (Formalin/PFA-fixed paraffin-embedded sections) - Anti-PAK1 (phospho T423) + PAK2 (phospho T402 ) + PAK3 (phospho T436) antibody (AB62155)
  • IHC-P

Unknown

Immunohistochemistry (Formalin/PFA-fixed paraffin-embedded sections) - Anti-PAK1 (phospho T423) + PAK2 (phospho T402 ) + PAK3 (phospho T436) antibody (AB62155)

Immunohistochemistry analysis of paraffin-embedded human breast carcinoma tissue using PAK1 (phospho T423) + PAK2 (phospho T402 ) + PAK3 (phospho T436) antibody (ab62155) at 1/50 - 1/100 dilution, in the presence (right panel) and absence (left panel) of immunising phosphopeptide.

Key facts

Host species

Rabbit

Clonality

Polyclonal

Isotype

IgG

Carrier free

No

Reacts with

Human

Applications

IHC-P

applications

Immunogen

Synthetic Peptide within Human Serine/threonine-protein kinase PAK 1 phospho T423 aa 350-450. The exact immunogen used to generate this antibody is proprietary information.

Q13153

Specificity

Detects endogenous levels of PAK1, PAK2 and PAK3 only when phosphorylated at threonine 423, threonine 402 and threonine 421 respectively (Human: Thr423/402/421; Mouse: Thr423/402/421; Rat: Thr422/402/421).

Reactivity data

{ "title": "Reactivity Data", "filters": { "stats": ["", "Species", "Dilution Info", "Notes"], "tabs": { "all-applications": {"fullname" : "All Applications", "shortname": "All Applications"}, "IHCP" : {"fullname" : "Immunohistochemistry (Formalin/PFA-fixed paraffin-embedded sections)", "shortname":"IHC-P"} }, "product-promise": { "all": "all", "testedAndGuaranteed": "tested", "guaranteed": "expected", "predicted": "predicted", "notRecommended": "not-recommended" } }, "values": { "Human": { "IHCP-species-checked": "testedAndGuaranteed", "IHCP-species-dilution-info": "1/50 - 1/100", "IHCP-species-notes": "<p></p>" } } }

Properties and storage information

Form
Liquid
Purification technique
Affinity purification Immunogen
Purification notes
Purified from rabbit antiserum by affinity chromatography using epitope specific phosphopeptide. The antibody against non-phosphopeptide was removed by chromatography using non-phosphopeptide corresponding to the phosphorylation site.
Storage buffer
pH: 7.4 Preservative: 0.02% Sodium azide Constituents: PBS, 50% Glycerol (glycerin, glycerine), 0.87% Sodium chloride
Shipped at conditions
Blue Ice
Appropriate short-term storage conditions
+4°C
Appropriate long-term storage conditions
-20°C
Storage information
Stable for 12 months at -20°C

Product protocols

For this product, it's our understanding that no specific protocols are required. You can visit:

Target data

Protein kinase involved in intracellular signaling pathways downstream of integrins and receptor-type kinases that plays an important role in cytoskeleton dynamics, in cell adhesion, migration, proliferation, apoptosis, mitosis, and in vesicle-mediated transport processes (PubMed : 10551809, PubMed : 11896197, PubMed : 12876277, PubMed : 14585966, PubMed : 15611088, PubMed : 17726028, PubMed : 17989089, PubMed : 30290153, PubMed : 17420447). Can directly phosphorylate BAD and protects cells against apoptosis (By similarity). Activated by interaction with CDC42 and RAC1 (PubMed : 8805275, PubMed : 9528787). Functions as a GTPase effector that links the Rho-related GTPases CDC42 and RAC1 to the JNK MAP kinase pathway (PubMed : 8805275, PubMed : 9528787). Phosphorylates and activates MAP2K1, and thereby mediates activation of downstream MAP kinases (By similarity). Involved in the reorganization of the actin cytoskeleton, actin stress fibers and of focal adhesion complexes (PubMed : 9032240, PubMed : 9395435). Phosphorylates the tubulin chaperone TBCB and thereby plays a role in the regulation of microtubule biogenesis and organization of the tubulin cytoskeleton (PubMed : 15831477). Plays a role in the regulation of insulin secretion in response to elevated glucose levels (PubMed : 22669945). Part of a ternary complex that contains PAK1, DVL1 and MUSK that is important for MUSK-dependent regulation of AChR clustering during the formation of the neuromuscular junction (NMJ) (By similarity). Activity is inhibited in cells undergoing apoptosis, potentially due to binding of CDC2L1 and CDC2L2 (PubMed : 12624090). Phosphorylates MYL9/MLC2 (By similarity). Phosphorylates RAF1 at 'Ser-338' and 'Ser-339' resulting in : activation of RAF1, stimulation of RAF1 translocation to mitochondria, phosphorylation of BAD by RAF1, and RAF1 binding to BCL2 (PubMed : 11733498). Phosphorylates SNAI1 at 'Ser-246' promoting its transcriptional repressor activity by increasing its accumulation in the nucleus (PubMed : 15833848). In podocytes, promotes NR3C2 nuclear localization (By similarity). Required for atypical chemokine receptor ACKR2-induced phosphorylation of LIMK1 and cofilin (CFL1) and for the up-regulation of ACKR2 from endosomal compartment to cell membrane, increasing its efficiency in chemokine uptake and degradation (PubMed : 23633677). In synapses, seems to mediate the regulation of F-actin cluster formation performed by SHANK3, maybe through CFL1 phosphorylation and inactivation (By similarity). Plays a role in RUFY3-mediated facilitating gastric cancer cells migration and invasion (PubMed : 25766321). In response to DNA damage, phosphorylates MORC2 which activates its ATPase activity and facilitates chromatin remodeling (PubMed : 23260667). In neurons, plays a crucial role in regulating GABA(A) receptor synaptic stability and hence GABAergic inhibitory synaptic transmission through its role in F-actin stabilization (By similarity). In hippocampal neurons, necessary for the formation of dendritic spines and excitatory synapses; this function is dependent on kinase activity and may be exerted by the regulation of actomyosin contractility through the phosphorylation of myosin II regulatory light chain (MLC) (By similarity). Along with GIT1, positively regulates microtubule nucleation during interphase (PubMed : 27012601). Phosphorylates FXR1, promoting its localization to stress granules and activity (PubMed : 20417602). Phosphorylates ILK on 'Thr-173' and 'Ser-246', promoting nuclear export of ILK (PubMed : 17420447).
See full target information Serine/threonine-protein kinase PAK 1 phospho T423

Additional targets

Serine/threonine-protein kinase PAK 2 phospho T402,PAK3 phospho T421

Publications (3)

Recent publications for all applications. Explore the full list and refine your search

Blood science (Baltimore, Md.) 5:249-257 PubMed37941919

2023

Targeting P21-activated kinase suppresses proliferation and enhances chemosensitivity in T-cell lymphoblastic lymphoma.

Applications

Unspecified application

Species

Unspecified reactive species

Ning Su,Yu Fang,Xu Chen,Xiaoqin Chen,Zhongjun Xia,Huiqiang Huang,Yi Xia,Panpan Liu,Xiaopeng Tian,Qingqing Cai

Frontiers in oncology 13:1152458 PubMed37397366

2023

Rac and Cdc42 inhibitors reduce macrophage function in breast cancer preclinical models.

Applications

Unspecified application

Species

Unspecified reactive species

Anamaris Torres-Sanchez,Michael Rivera-Robles,Linette Castillo-Pichardo,Magaly Martínez-Ferrer,Stephanie M Dorta-Estremera,Suranganie Dharmawardhane

Oncology reports 47: PubMed34738628

2021

Glucose transporter‑1 inhibition overcomes imatinib resistance in gastrointestinal stromal tumor cells.

Applications

Unspecified application

Species

Unspecified reactive species

Takafumi Shima,Kohei Taniguchi,Yoshihisa Tokumaru,Yosuke Inomata,Jun Arima,Sang-Woong Lee,Kazuaki Takabe,Kazuhiro Yoshida,Kazuhisa Uchiyama
View all publications

Product promise

We are committed to supporting your work with high-quality reagents, and we're here for you every step of the way. In the unlikely event that one of our products does not perform as expected, you're protected by our Product Promise.
For full details, please see our Terms & Conditions

Please note: All products are 'FOR RESEARCH USE ONLY. NOT FOR USE IN DIAGNOSTIC OR THERAPEUTIC PROCEDURES'.

For licensing inquiries, please contact partnerships@abcam.com