JavaScript is disabled in your browser. Please enable JavaScript to view this website.
AB239830

Anti-PAK1+PAK2+PAK3 (phospho S141 + S144 + S154) antibody [EP656Y] - BSA and Azide free

Be the first to review this product! Submit a review

|

(0 Publication)

Rabbit Recombinant Monoclonal PAK1 phospho S144 antibody. Carrier free. Suitable for IP, ICC/IF, Flow Cyt (Intra), IHC-P, WB and reacts with Human, Mouse, Rat samples.

View Alternative Names

Serine/threonine-protein kinase PAK 1, Alpha-PAK, p21-activated kinase 1, p65-PAK, PAK-1, PAK1

7 Images
Flow Cytometry (Intracellular) - Anti-PAK1+PAK2+PAK3 (phospho S141 + S144 + S154) antibody [EP656Y] - BSA and Azide free (AB239830)
  • Flow Cyt (Intra)

Unknown

Flow Cytometry (Intracellular) - Anti-PAK1+PAK2+PAK3 (phospho S141 + S144 + S154) antibody [EP656Y] - BSA and Azide free (AB239830)

Overlay histogram showing HeLa (Human epithelial cell line from cervix adenocarcinoma) cells stained with unpurified ab40795 (red line). The cells were fixed with 80% methanol (5 min) and then permeabilized with 0.1% PBS-Tween for 20 min. The cells were then incubated in 1x PBS / 10% normal goat serum / 0.3M glycine to block non-specific protein-protein interactions followed by the antibody (ab40795, 1/100 dilution) for 30 min at 22°C. The secondary antibody used was DyLight® 488 goat anti-rabbit IgG (H+L) (ab96899) at 1/500 dilution for 30 min at 22°C. Isotype control antibody (black line) was rabbit IgG (monoclonal) (1μg/1x106 cells) used under the same conditions. Unlabelled sample (blue line) was also used as a control. Acquisition of >5,000 events were collected using a 20mW Argon ion laser (488nm) and 525/30 bandpass filter.

This data was developed using the same antibody clone in a different buffer formulation containing PBS, BSA, glycerol, and sodium azide (ab40795).

Immunocytochemistry/ Immunofluorescence - Anti-PAK1+PAK2+PAK3 (phospho S141 + S144 + S154) antibody [EP656Y] - BSA and Azide free (AB239830)
  • ICC/IF

Unknown

Immunocytochemistry/ Immunofluorescence - Anti-PAK1+PAK2+PAK3 (phospho S141 + S144 + S154) antibody [EP656Y] - BSA and Azide free (AB239830)

ab40795 staining PAK1 (phospho S144) + PAK2 (phospho S141) + PAK3 (phospho S154) in HeLa (human cervix adenocarcinoma) cells, treated and untreated with Lambda Protein Phosphtase 31? for 5h by ICC/IF (Immunocytochemistry/immunofluorescence). Cells were fixed with 4% Paraformaldehyde and permeabilized with 0.1% Triton X-100. Samples were incubated with primary antibody at a dilution of 1/100. A goat anti rabbit IgG (Alexa Fluor® 488) (ab150077) was used as the secondary antibody. ab7291 and ab150120 were used as counterstains for primary antibody ab75748 and secondary antibody ab150077 respectively and DAPI was used as a nuclear counterstain.

Negative control 1 : Rabbit primary antibody and anti-mouse secondary antibody (ab150120)
Negative control 2 : Mouse primary antibody (ab7291) and anti-rabbit secondary antibody (ab150077)

This data was developed using the same antibody clone in a different buffer formulation containing PBS, BSA, glycerol, and sodium azide (ab40795).

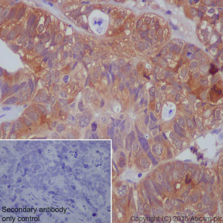
Immunohistochemistry (Formalin/PFA-fixed paraffin-embedded sections) - Anti-PAK1+PAK2+PAK3 (phospho S141 + S144 + S154) antibody [EP656Y] - BSA and Azide free (AB239830)
  • IHC-P

Unknown

Immunohistochemistry (Formalin/PFA-fixed paraffin-embedded sections) - Anti-PAK1+PAK2+PAK3 (phospho S141 + S144 + S154) antibody [EP656Y] - BSA and Azide free (AB239830)

ab40795 staining PAK1 (phospho S144) + PAK2 (phospho S141) + PAK3 (phospho S154) in human liver carcinoma tissue sections by Immunohistochemistry (IHC-P - paraformaldehyde-fixed, paraffin-embedded sections). Tissue was fixed with paraformaldehyde and antigen retrieval was by heat mediation in a EDTA buffer. Samples were incubated with primary antibody at a dilution of 1/100. A goat anti-rabbit IgG H&L (HRP) ab97051 was used as the secondary antibody at a dilution of 1/500.

Negative control 1 : PBS in place of primary antibody.

This data was developed using the same antibody clone in a different buffer formulation containing PBS, BSA, glycerol, and sodium azide (ab40795).

Immunohistochemistry (Formalin/PFA-fixed paraffin-embedded sections) - Anti-PAK1+PAK2+PAK3 (phospho S141 + S144 + S154) antibody [EP656Y] - BSA and Azide free (AB239830)
  • IHC-P

Unknown

Immunohistochemistry (Formalin/PFA-fixed paraffin-embedded sections) - Anti-PAK1+PAK2+PAK3 (phospho S141 + S144 + S154) antibody [EP656Y] - BSA and Azide free (AB239830)

ab40795 staining PAK1 (phospho S144) + PAK2 (phospho S141) + PAK3 (phospho S154) in mouse cerebral cortex tissue sections by Immunohistochemistry (IHC-P - paraformaldehyde-fixed, paraffin-embedded sections). Tissue was fixed with paraformaldehyde and antigen retrieval was by heat mediation in a EDTA buffer. Samples were incubated with primary antibody at a dilution of 1/100. A goat anti-rabbit IgG H&L (HRP) ab97051 was used as the secondary antibody at a dilution of 1/500.

Negative control 1 : PBS in place of primary antibody.

This data was developed using the same antibody clone in a different buffer formulation containing PBS, BSA, glycerol, and sodium azide (ab40795).

Flow Cytometry (Intracellular) - Anti-PAK1+PAK2+PAK3 (phospho S141 + S144 + S154) antibody [EP656Y] - BSA and Azide free (AB239830)
  • Flow Cyt (Intra)

Unknown

Flow Cytometry (Intracellular) - Anti-PAK1+PAK2+PAK3 (phospho S141 + S144 + S154) antibody [EP656Y] - BSA and Azide free (AB239830)

ab40795 staining PAK1 (phospho S144) + PAK2 (phospho S141) + PAK3 (phospho S154) in the mousecell line NIH/3T3 (mouse embryo) by intracellular flow cytometry. Cells were fixed with 4% paraformaldehyde and the sample was incubated with the primary antibody at a dilution of 1/120. A goat anti rabbit IgG (Alexa Fluor® 488) at a dilution of 1/500 was used as the secondary antibody.

Isoytype control : Rabbit monoclonal IgG (Black)

Unlabelled control : Cell without incubation with primary antibody and secondary antibody (Blue)

This data was developed using the same antibody clone in a different buffer formulation containing PBS, BSA, glycerol, and sodium azide (ab40795).

Immunohistochemistry (Formalin/PFA-fixed paraffin-embedded sections) - Anti-PAK1+PAK2+PAK3 (phospho S141 + S144 + S154) antibody [EP656Y] - BSA and Azide free (AB239830)
  • IHC-P

Unknown

Immunohistochemistry (Formalin/PFA-fixed paraffin-embedded sections) - Anti-PAK1+PAK2+PAK3 (phospho S141 + S144 + S154) antibody [EP656Y] - BSA and Azide free (AB239830)

ab40795 staining PAK1 (phospho S144) + PAK2 (phospho S141) + PAK3 (phospho S154) in rat cerebral cortex tissue sections by Immunohistochemistry (IHC-P - paraformaldehyde-fixed, paraffin-embedded sections). Tissue was fixed with paraformaldehyde and antigen retrieval was by heat mediation in a EDTA buffer. Samples were incubated with primary antibody at a dilution of 1/100. A goat anti-rabbit IgG H&L (HRP) ab97051 was used as the secondary antibody at a dilution of 1/500.

Negative control 1 : PBS in place of primary

This data was developed using the same antibody clone in a different buffer formulation containing PBS, BSA, glycerol, and sodium azide (ab40795).

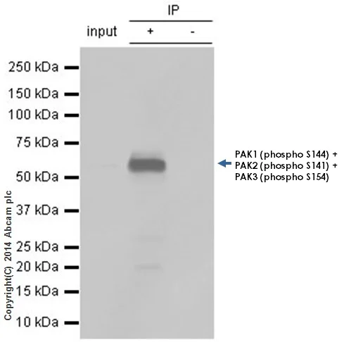
Immunoprecipitation - Anti-PAK1+PAK2+PAK3 (phospho S141 + S144 + S154) antibody [EP656Y] - BSA and Azide free (AB239830)
  • IP

Unknown

Immunoprecipitation - Anti-PAK1+PAK2+PAK3 (phospho S141 + S144 + S154) antibody [EP656Y] - BSA and Azide free (AB239830)

ab40795 immunoprecipitating PAK1 (phospho S144) + PAK2 (phospho S141) + PAK3 (phospho S154). 10μg of HeLa (human cervix adenocarcinoma) whole cell lysate was incubated with primary antibody at a dilution of 1/40 and VeriBlot for IP Detection Reagent (HRP) (ab131366) at a dilution of 1/10000.

Lane 1 : HeLa whole cell lysate (10ug)
Lane 2 : ab40795 IP in HeLa whole cell lysate
Lane 3 : Rabbit monoclonal IgG (ab172730) instead of ab40795 in HeLa (human cervix adenocarcinoma) whole cell lysate

This data was developed using the same antibody clone in a different buffer formulation containing PBS, BSA, glycerol, and sodium azide (ab40795).

All lanes:

Immunoprecipitation - Anti-PAK1 (phospho S144) + PAK2 (phospho S141) + PAK3 (phospho S154) antibody [EP656Y] (<a href='/en-us/products/primary-antibodies/pak1-phospho-s144-pak2-phospho-s141-pak3-phospho-s154-antibody-ep656y-ab40795'>ab40795</a>)

false

  • Unconjugated

    Anti-PAK1 (phospho S144) + PAK2 (phospho S141) + PAK3 (phospho S154) antibody [EP656Y]

  • 775 Alexa Fluor® 750

    Alexa Fluor® 750 Anti-PAK1+PAK2+PAK3 (phospho S141 + S144 + S154) antibody [EP656Y]

  • 665 Alexa Fluor® 647

    Alexa Fluor® 647 Anti-PAK1+PAK2+PAK3 (phospho S141 + S144 + S154) antibody [EP656Y]

  • 578 PE

    PE Anti-PAK1 (phospho S144) + PAK2 (phospho S141) + PAK3 (phospho S154) antibody [EP656Y]

  • 660 APC

    APC Anti-PAK1 (phospho S144) + PAK2 (phospho S141) + PAK3 (phospho S154) antibody [EP656Y]

  • 617 Alexa Fluor® 594

    Alexa Fluor® 594 Anti-PAK1 (phospho S144) + PAK2 (phospho S141) + PAK3 (phospho S154) antibody [EP656Y]

  • 519 Alexa Fluor® 488

    Alexa Fluor® 488 Anti-PAK1 (phospho S144) + PAK2 (phospho S141) + PAK3 (phospho S154) antibody [EP656Y]

  • 565 Alexa Fluor® 555

    Alexa Fluor® 555 Anti-PAK1 (phospho S144) + PAK2 (phospho S141) + PAK3 (phospho S154) antibody [EP656Y]

  • HRP

    HRP Anti-PAK1 (phospho S144) + PAK2 (phospho S141) + PAK3 (phospho S154) antibody [EP656Y]

  • 603 Alexa Fluor® 568

    Alexa Fluor® 568 Anti-PAK1 (phospho S144) + PAK2 (phospho S141) + PAK3 (phospho S154) antibody [EP656Y]

Key facts

Host species

Rabbit

Clonality

Monoclonal

Clone number

EP656Y

Isotype

IgG

Carrier free

Yes

Reacts with

Mouse, Rat, Human

Applications

IHC-P, WB, IP, ICC/IF, Flow Cyt (Intra)

applications

Immunogen

The exact immunogen used to generate this antibody is proprietary information.

Reactivity data

{ "title": "Reactivity Data", "filters": { "stats": ["", "Species", "Dilution Info", "Notes"], "tabs": { "all-applications": {"fullname" : "All Applications", "shortname": "All Applications"}, "IP" : {"fullname" : "Immunoprecipitation", "shortname":"IP"}, "ICCIF" : {"fullname" : "Immunocytochemistry/ Immunofluorescence", "shortname":"ICC/IF"}, "FlowCytIntra" : {"fullname" : "Flow Cytometry (Intracellular)", "shortname":"Flow Cyt (Intra)"}, "IHCP" : {"fullname" : "Immunohistochemistry (Formalin/PFA-fixed paraffin-embedded sections)", "shortname":"IHC-P"}, "WB" : {"fullname" : "Western blot", "shortname":"WB"} }, "product-promise": { "all": "all", "testedAndGuaranteed": "tested", "guaranteed": "expected", "predicted": "predicted", "notRecommended": "not-recommended" } }, "values": { "Human": { "IP-species-checked": "testedAndGuaranteed", "IP-species-dilution-info": "", "IP-species-notes": "<p></p> Perform heat-mediated antigen retrieval with Tris/EDTA buffer pH 9.0 before commencing with IHC staining protocol.", "ICCIF-species-checked": "testedAndGuaranteed", "ICCIF-species-dilution-info": "", "ICCIF-species-notes": "<p></p>", "FlowCytIntra-species-checked": "testedAndGuaranteed", "FlowCytIntra-species-dilution-info": "", "FlowCytIntra-species-notes": "<p><a href='/en-us/products/primary-antibodies/rabbit-igg-monoclonal-epr25a-isotype-control-low-endotoxin-azide-free-ab199376'>ab199376</a> - Rabbit monoclonal IgG, is suitable for use as an isotype control with this antibody.</p>", "IHCP-species-checked": "testedAndGuaranteed", "IHCP-species-dilution-info": "", "IHCP-species-notes": "<p></p> Perform heat-mediated antigen retrieval with Tris/EDTA buffer pH 9.0 before commencing with IHC staining protocol.", "WB-species-checked": "testedAndGuaranteed", "WB-species-dilution-info": "", "WB-species-notes": "<p></p>" }, "Mouse": { "IP-species-checked": "guaranteed", "IP-species-dilution-info": "", "IP-species-notes": "", "ICCIF-species-checked": "guaranteed", "ICCIF-species-dilution-info": "", "ICCIF-species-notes": "", "FlowCytIntra-species-checked": "testedAndGuaranteed", "FlowCytIntra-species-dilution-info": "", "FlowCytIntra-species-notes": "<p><a href='/en-us/products/primary-antibodies/rabbit-igg-monoclonal-epr25a-isotype-control-low-endotoxin-azide-free-ab199376'>ab199376</a> - Rabbit monoclonal IgG, is suitable for use as an isotype control with this antibody.</p>", "IHCP-species-checked": "testedAndGuaranteed", "IHCP-species-dilution-info": "", "IHCP-species-notes": "<p></p> Perform heat-mediated antigen retrieval with Tris/EDTA buffer pH 9.0 before commencing with IHC staining protocol.", "WB-species-checked": "testedAndGuaranteed", "WB-species-dilution-info": "", "WB-species-notes": "<p></p>" }, "Rat": { "IP-species-checked": "guaranteed", "IP-species-dilution-info": "", "IP-species-notes": "", "ICCIF-species-checked": "guaranteed", "ICCIF-species-dilution-info": "", "ICCIF-species-notes": "", "FlowCytIntra-species-checked": "guaranteed", "FlowCytIntra-species-dilution-info": "", "FlowCytIntra-species-notes": "", "IHCP-species-checked": "testedAndGuaranteed", "IHCP-species-dilution-info": "", "IHCP-species-notes": "<p></p> Perform heat-mediated antigen retrieval with Tris/EDTA buffer pH 9.0 before commencing with IHC staining protocol.", "WB-species-checked": "testedAndGuaranteed", "WB-species-dilution-info": "", "WB-species-notes": "<p></p>" } } }

Product details

ab239830 is the carrier-free version of ab40795.

Patented technology
Our RabMAb® technology is a patented hybridoma-based technology for making rabbit monoclonal antibodies. For details on our patents, please refer to RabMAb® patents.

What are the advantages of a recombinant monoclonal antibody?
This product is a recombinant monoclonal antibody, which offers several advantages including:

  • - High batch-to-batch consistency and reproducibility
  • - Improved sensitivity and specificity
  • - Long-term security of supply
  • - Animal-free batch production

For more information, read more on recombinant antibodies.

Conjugation ready
Our carrier-free antibodies are typically supplied in a PBS-only formulation, purified and free of BSA, sodium azide and glycerol. This conjugation-ready format is designed for use with fluorochromes, metal isotopes, oligonucleotides, and enzymes, which makes them ideal for antibody labelling, functional and cell-based assays, flow-based assays (e.g. mass cytometry) and Multiplex Imaging applications.

Use our conjugation kits for antibody conjugates that are ready-to-use in as little as 20 minutes with 1 minute hands-on-time and 100% antibody recovery: available for fluorescent dyes, HRP, biotin and gold.

Compatibility
This product is compatible with the Maxpar® Antibody Labeling Kit from Fluidigm, without the need for antibody preparation. Maxpar® is a trademark of Fluidigm Canada Inc.

Properties and storage information

Form
Liquid
Purification technique
Affinity purification Protein A
Storage buffer
pH: 7.2 - 7.4 Constituents: PBS
Shipped at conditions
Blue Ice
Appropriate short-term storage conditions
+4°C
Appropriate long-term storage conditions
+4°C
Storage information
Do Not Freeze

Product protocols

For this product, it's our understanding that no specific protocols are required. You can visit:

Target data

Protein kinase involved in intracellular signaling pathways downstream of integrins and receptor-type kinases that plays an important role in cytoskeleton dynamics, in cell adhesion, migration, proliferation, apoptosis, mitosis, and in vesicle-mediated transport processes (PubMed : 10551809, PubMed : 11896197, PubMed : 12876277, PubMed : 14585966, PubMed : 15611088, PubMed : 17726028, PubMed : 17989089, PubMed : 30290153, PubMed : 17420447). Can directly phosphorylate BAD and protects cells against apoptosis (By similarity). Activated by interaction with CDC42 and RAC1 (PubMed : 8805275, PubMed : 9528787). Functions as a GTPase effector that links the Rho-related GTPases CDC42 and RAC1 to the JNK MAP kinase pathway (PubMed : 8805275, PubMed : 9528787). Phosphorylates and activates MAP2K1, and thereby mediates activation of downstream MAP kinases (By similarity). Involved in the reorganization of the actin cytoskeleton, actin stress fibers and of focal adhesion complexes (PubMed : 9032240, PubMed : 9395435). Phosphorylates the tubulin chaperone TBCB and thereby plays a role in the regulation of microtubule biogenesis and organization of the tubulin cytoskeleton (PubMed : 15831477). Plays a role in the regulation of insulin secretion in response to elevated glucose levels (PubMed : 22669945). Part of a ternary complex that contains PAK1, DVL1 and MUSK that is important for MUSK-dependent regulation of AChR clustering during the formation of the neuromuscular junction (NMJ) (By similarity). Activity is inhibited in cells undergoing apoptosis, potentially due to binding of CDC2L1 and CDC2L2 (PubMed : 12624090). Phosphorylates MYL9/MLC2 (By similarity). Phosphorylates RAF1 at 'Ser-338' and 'Ser-339' resulting in : activation of RAF1, stimulation of RAF1 translocation to mitochondria, phosphorylation of BAD by RAF1, and RAF1 binding to BCL2 (PubMed : 11733498). Phosphorylates SNAI1 at 'Ser-246' promoting its transcriptional repressor activity by increasing its accumulation in the nucleus (PubMed : 15833848). In podocytes, promotes NR3C2 nuclear localization (By similarity). Required for atypical chemokine receptor ACKR2-induced phosphorylation of LIMK1 and cofilin (CFL1) and for the up-regulation of ACKR2 from endosomal compartment to cell membrane, increasing its efficiency in chemokine uptake and degradation (PubMed : 23633677). In synapses, seems to mediate the regulation of F-actin cluster formation performed by SHANK3, maybe through CFL1 phosphorylation and inactivation (By similarity). Plays a role in RUFY3-mediated facilitating gastric cancer cells migration and invasion (PubMed : 25766321). In response to DNA damage, phosphorylates MORC2 which activates its ATPase activity and facilitates chromatin remodeling (PubMed : 23260667). In neurons, plays a crucial role in regulating GABA(A) receptor synaptic stability and hence GABAergic inhibitory synaptic transmission through its role in F-actin stabilization (By similarity). In hippocampal neurons, necessary for the formation of dendritic spines and excitatory synapses; this function is dependent on kinase activity and may be exerted by the regulation of actomyosin contractility through the phosphorylation of myosin II regulatory light chain (MLC) (By similarity). Along with GIT1, positively regulates microtubule nucleation during interphase (PubMed : 27012601). Phosphorylates FXR1, promoting its localization to stress granules and activity (PubMed : 20417602). Phosphorylates ILK on 'Thr-173' and 'Ser-246', promoting nuclear export of ILK (PubMed : 17420447).
See full target information PAK1 phospho S144

Additional targets

,PAK3 phospho S154

Product promise

We are committed to supporting your work with high-quality reagents, and we're here for you every step of the way. In the unlikely event that one of our products does not perform as expected, you're protected by our Product Promise.
For full details, please see our Terms & Conditions

Associated Products

Select an associated product type
Alternative Version
Primary Antibodies

AB203640

Alexa Fluor® 647 Anti-PAK1+PAK2+PAK3 (phospho S141 + S144 + S154) antibody [EP656Y]

primary-antibodies

alexa-fluor-647-pak1pak2pak3-phospho-s141-s144-s154-antibody-ep656y-ab203640

0

(0 reviews)

Alternative Version
Primary Antibodies

AB306153

PE Anti-PAK1 (phospho S144) + PAK2 (phospho S141) + PAK3 (phospho S154) antibody [EP656Y]

primary-antibodies

pe-pak1-phospho-s144-pak2-phospho-s141-pak3-phospho-s154-antibody-ep656y-ab306153

0

(0 reviews)

Alternative Version
Primary Antibodies

AB306154

APC Anti-PAK1 (phospho S144) + PAK2 (phospho S141) + PAK3 (phospho S154) antibody [EP656Y]

primary-antibodies

apc-pak1-phospho-s144-pak2-phospho-s141-pak3-phospho-s154-antibody-ep656y-ab306154

0

(0 reviews)

Alternative Version
Primary Antibodies

AB310477

Alexa Fluor® 594 Anti-PAK1 (phospho S144) + PAK2 (phospho S141) + PAK3 (phospho S154) antibody [EP656Y]

primary-antibodies

alexa-fluor-594-pak1-phospho-s144-pak2-phospho-s141-pak3-phospho-s154-antibody-ep656y-ab310477

0

(0 reviews)

Alternative Version
Primary Antibodies

AB309711

Alexa Fluor® 488 Anti-PAK1 (phospho S144) + PAK2 (phospho S141) + PAK3 (phospho S154) antibody [EP656Y]

primary-antibodies

alexa-fluor-488-pak1-phospho-s144-pak2-phospho-s141-pak3-phospho-s154-antibody-ep656y-ab309711

0

(0 reviews)

Alternative Version
Primary Antibodies

AB312007

Alexa Fluor® 555 Anti-PAK1 (phospho S144) + PAK2 (phospho S141) + PAK3 (phospho S154) antibody [EP656Y]

primary-antibodies

alexa-fluor-555-pak1-phospho-s144-pak2-phospho-s141-pak3-phospho-s154-antibody-ep656y-ab312007

0

(0 reviews)

Alternative Version
Primary Antibodies

AB306155

HRP Anti-PAK1 (phospho S144) + PAK2 (phospho S141) + PAK3 (phospho S154) antibody [EP656Y]

primary-antibodies

hrp-pak1-phospho-s144-pak2-phospho-s141-pak3-phospho-s154-antibody-ep656y-ab306155

0

(0 reviews)

Alternative Version
Primary Antibodies

AB312483

Alexa Fluor® 568 Anti-PAK1 (phospho S144) + PAK2 (phospho S141) + PAK3 (phospho S154) antibody [EP656Y]

primary-antibodies

alexa-fluor-568-pak1-phospho-s144-pak2-phospho-s141-pak3-phospho-s154-antibody-ep656y-ab312483

0

(0 reviews)

Please note: All products are 'FOR RESEARCH USE ONLY. NOT FOR USE IN DIAGNOSTIC OR THERAPEUTIC PROCEDURES'.

For licensing inquiries, please contact partnerships@abcam.com