JavaScript is disabled in your browser. Please enable JavaScript to view this website.
AB227990

Anti-PAK2 antibody [EP796Y] - BSA and Azide free

Be the first to review this product! Submit a review

|

(3 Publications)

Rabbit Recombinant Monoclonal PAK2 antibody. Carrier free. Suitable for IHC-P, IP, WB, ICC/IF, Flow Cyt (Intra) and reacts with Human, Mouse, Rat samples. Cited in 3 publications.

View Alternative Names

Serine/threonine-protein kinase PAK 2, Gamma-PAK, PAK65, S6/H4 kinase, p21-activated kinase 2, p58, PAK-2, PAK2

11 Images
Immunohistochemistry (Formalin/PFA-fixed paraffin-embedded sections) - Anti-PAK2 antibody [EP796Y] - BSA and Azide free (AB227990)
  • IHC-P

Unknown

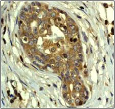
Immunohistochemistry (Formalin/PFA-fixed paraffin-embedded sections) - Anti-PAK2 antibody [EP796Y] - BSA and Azide free (AB227990)

This IHC data was generated using the same anti-PAK2 antibody clone, EP796Y, in a different buffer formulation (cat# ab76293).

Unpurified ab76293, at a 1/100 dilution, staining PAK2 in paraffin embedded human breast carcinoma tissue by Immunohistochemistry.

Perform heat mediated antigen retrieval before commencing with IHC staining protocol.

Immunocytochemistry/ Immunofluorescence - Anti-PAK2 antibody [EP796Y] - BSA and Azide free (AB227990)
  • ICC/IF

Unknown

Immunocytochemistry/ Immunofluorescence - Anti-PAK2 antibody [EP796Y] - BSA and Azide free (AB227990)

ICC/IF image of unpurified ab76293 stained T47D cells. The cells were 100% methanol fixed (5 min) and then incubated in 1%BSA / 10% normal goat serum / 0.3M glycine in 0.1% PBS-Tween for 1h to permeabilise the cells and block non-specific protein-protein interactions. The cells were then incubated with the antibody (ab76293, 1µg/ml) overnight at +4°C. The secondary antibody (green) was ab96899, DyLight® 488 goat anti-rabbit IgG (H+L) used at a 1/250 dilution for 1h. Alexa Fluor® 594 WGA was used to label plasma membranes (red) at a 1/200 dilution for 1h. DAPI was used to stain the cell nuclei (blue) at a concentration of 1.43µM.

This data was developed using the same antibody clone in a different buffer formulation containing PBS, BSA, glycerol, and sodium azide (ab76293).

Flow Cytometry (Intracellular) - Anti-PAK2 antibody [EP796Y] - BSA and Azide free (AB227990)
  • Flow Cyt (Intra)

Unknown

Flow Cytometry (Intracellular) - Anti-PAK2 antibody [EP796Y] - BSA and Azide free (AB227990)

Overlay histogram showing HeLa cells stained with unpurified ab76293 (red line). The cells were fixed with 80% methanol (5 min) and then permeabilized with 0.1% PBS-Tween for 20 min. The cells were then incubated in 1x PBS / 10% normal goat serum / 0.3M glycine to block non-specific protein-protein interactions followed by the antibody (ab76293, 1/100 dilution) for 30 min at 22°C. The secondary antibody used was Alexa Fluor® 488 goat anti-rabbit IgG (H&L) (ab150077) at 1/2000 dilution for 30 min at 22°C. Isotype control antibody (black line) was rabbit IgG (monoclonal) (1μg/1x106 cells) used under the same conditions. Unlabelled sample (blue line) was also used as a control. Acquisition of >5,000 events were collected using a 20mW Argon ion laser (488nm) and 525/30 bandpass filter.

This data was developed using the same antibody clone in a different buffer formulation containing PBS, BSA, glycerol, and sodium azide (ab76293).

Immunocytochemistry/ Immunofluorescence - Anti-PAK2 antibody [EP796Y] - BSA and Azide free (AB227990)
  • ICC/IF

Unknown

Immunocytochemistry/ Immunofluorescence - Anti-PAK2 antibody [EP796Y] - BSA and Azide free (AB227990)

Immunocytochemistry/ Immunofluorescence analysis of MCF7 (Human breast adenocarcinoma epithelial cell) cells labeling PAK2 with purified ab76293 at 1 : 100 dilution (2.0μg/ml). Cells were fixed in 4% Paraformaldehyde and permeabilized with 0.1% tritonX-100. Cells were counterstained with ab195889 Anti-alpha Tubulin antibody [DM1A] - Microtubule Marker (Alexa Fluor® 594) 1 : 200 (2.5 μg/ml). ab150077 Goat anti rabbit IgG(Alexa Fluor® 488) was used as the secondary antibody at 1 : 1000 dilution. DAPI nuclear counterstain. PBS instead of the primary antibody was used as the secondary antibody only control.

This data was developed using the same antibody clone in a different buffer formulation containing PBS, BSA, glycerol, and sodium azide (ab76293).

Flow Cytometry (Intracellular) - Anti-PAK2 antibody [EP796Y] - BSA and Azide free (AB227990)
  • Flow Cyt (Intra)

Unknown

Flow Cytometry (Intracellular) - Anti-PAK2 antibody [EP796Y] - BSA and Azide free (AB227990)

Intracellular Flow Cytometry analysis of HeLa (Human cervix adenocarcinoma epithelial cell) cells labeling PAK2 with purified ab76293 at 1/20 dilution (10 ug/ml) (red). Cells were fixed with 4% Paraformaldehyde and permeabilized with 90% Methanol. A Goat anti rabbit IgG (Alexa Fluor® 488) secondary antibody was used at 1/2000 dilution. Isotype control - Rabbit monoclonal IgG (Black). Unlabeled control - Cell without incubation with primary antibody and secondary antibody (Blue).

This data was developed using the same antibody clone in a different buffer formulation containing PBS, BSA, glycerol, and sodium azide (ab76293).

Immunohistochemistry (Formalin/PFA-fixed paraffin-embedded sections) - Anti-PAK2 antibody [EP796Y] - BSA and Azide free (AB227990)
  • IHC-P

Unknown

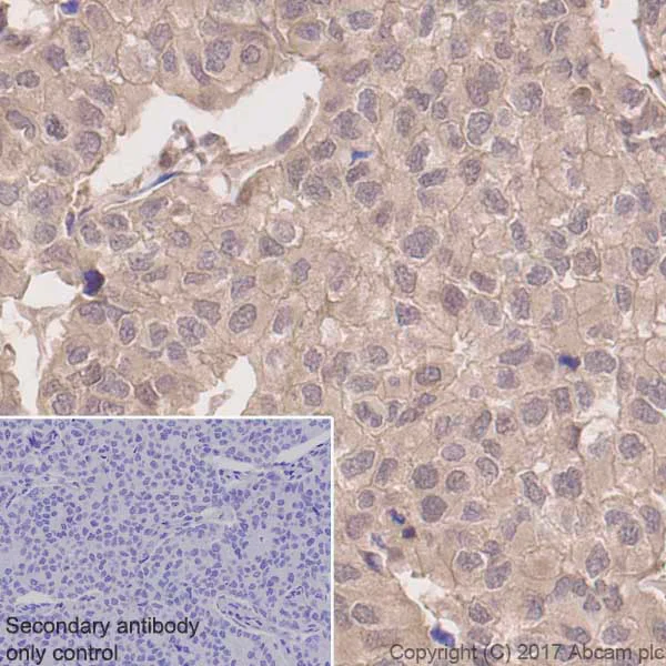
Immunohistochemistry (Formalin/PFA-fixed paraffin-embedded sections) - Anti-PAK2 antibody [EP796Y] - BSA and Azide free (AB227990)

Immunohistochemistry (Formalin/PFA-fixed paraffin-embedded sections) analysis of human breast carcinoma tissue sections labeling PAK2 with Purified ab76293 at 1 : 100 dilution (2.02 μg/ml). Heat mediated antigen retrieval was performed using ab93684 (Tris/EDTA buffer, pH 9.0). Tissue was counterstained with Hematoxylin. ImmunoHistoProbe one step HRP Polymer (ready to use) secondary antibody was used at 1 : 0 dilution. PBS instead of the primary antibody was used as the negative control.

This data was developed using the same antibody clone in a different buffer formulation containing PBS, BSA, glycerol, and sodium azide (ab76293).

Immunoprecipitation - Anti-PAK2 antibody [EP796Y] - BSA and Azide free (AB227990)
  • IP

Unknown

Immunoprecipitation - Anti-PAK2 antibody [EP796Y] - BSA and Azide free (AB227990)

PAK2 was immunoprecipitated from 0.35 mg HeLa (Human cervix adenocarcinoma epithelial cell) cell lysate 10 μg with ab76293 at 1/30 dilution (2μg in 0.35mg lysates). Western blot was performed on the immunoprecipitate using ab76293 at 1/1000 dilution. VeriBlot for IP Detection Reagent (HRP)(ab131366) was used at 1/5000 dilution.

Lane 1 : HeLa (Human cervix adenocarcinoma epithelial cell) cell lysate 10 μg

Lane 2 : ab76293 IP in HeLa cell lysate

Lane 3 : Rabbit monoclonal IgG (ab172730) instead of ab76293 in HeLa cell lysate

Blocking and dilution buffer and concentration : 5% NFDM/TBST.

Exposure time : 7 seconds

This data was developed using the same antibody clone in a different buffer formulation containing PBS, BSA, glycerol, and sodium azide (ab76293).

All lanes:

Immunoprecipitation - Anti-PAK2 antibody [EP796Y] (<a href='/en-us/products/primary-antibodies/pak2-antibody-ep796y-ab76293'>ab76293</a>)

Predicted band size: 58 kDa

false

Immunoprecipitation - Anti-PAK2 antibody [EP796Y] - BSA and Azide free (AB227990)
  • IP

Unknown

Immunoprecipitation - Anti-PAK2 antibody [EP796Y] - BSA and Azide free (AB227990)

PAK2 was immunoprecipitated from 0.35 mg NIH/3T3 (Mouse embryonic fibroblast) cell lysate 10 μg with ab76293 at 1/30 dilution (2μg in 0.35mg lysates). Western blot was performed on the immunoprecipitate using ab76293 at 1/1000 dilution. VeriBlot for IP Detection Reagent (HRP)(ab131366) was used at 1/5000 dilution.

Lane 1 : NIH/3T3 (Mouse embryonic fibroblast) cell lysate 10 μg

Lane 2 : ab76293 IP in NIH/3T3 cell lysate

Lane 3 : Rabbit monoclonal IgG (ab172730) instead of ab76293 in HeLa cell lysate

Blocking and dilution buffer and concentration : 5% NFDM/TBST.

Exposure time : 7 seconds

This data was developed using the same antibody clone in a different buffer formulation containing PBS, BSA, glycerol, and sodium azide (ab76293).

All lanes:

Immunoprecipitation - Anti-PAK2 antibody [EP796Y] (<a href='/en-us/products/primary-antibodies/pak2-antibody-ep796y-ab76293'>ab76293</a>)

Predicted band size: 58 kDa

false

Western blot - Anti-PAK2 antibody [EP796Y] - BSA and Azide free (AB227990)
  • WB

Unknown

Western blot - Anti-PAK2 antibody [EP796Y] - BSA and Azide free (AB227990)

This WB data was generated using the same anti-PAK2 antibody clone, EP796Y, in a different buffer formulation (cat# ab76293).

Lane 1 : Wild-type HAP1 cell lysate (20 μg)
Lane 2 : PAK2 knockout HAP1 cell lysate (20 μg)
Lane 3 : HeLa cell lysate (20 μg)
Lane 4 : Human lymph node tissue lysate (20 μg)
Lanes 1 - 4 : Merged signal (red and green). Green - ab76293 observed at 60 kDa. Red - loading control, ab8245, observed at 37 kDa.

Unpurified ab76293 was shown to specifically react with PAK2 when PAK2 knockout samples were used. Wild-type and PAK2 knockout samples were subjected to SDS-PAGE. ab76293 and ab8245 (loading control to GAPDH) were diluted 1/1000 and 1/10000 respectively and incubated overnight at 4°C. Blots were developed with Goat anti-Rabbit IgG H&L (IRDye® 800CW) preadsorbed (ab216773) and Goat anti-Mouse IgG H&L (IRDye® 680RD) preadsorbed (ab216776) secondary antibodies at 1/10000 dilution for 1 h at room temperature before imaging.

All lanes:

Western blot - Anti-PAK2 antibody [EP796Y] (<a href='/en-us/products/primary-antibodies/pak2-antibody-ep796y-ab76293'>ab76293</a>)

Predicted band size: 58 kDa

false

Western blot - Anti-PAK2 antibody [EP796Y] - BSA and Azide free (AB227990)
  • WB

Lab

Western blot - Anti-PAK2 antibody [EP796Y] - BSA and Azide free (AB227990)

This data was developed using the same antibody clone in a different buffer formulation (ab76293).

Lanes 1- 2 : Merged signal (red and green). Green - ab76293 observed at 60 kDa. Red - Anti-GAPDH antibody [6C5] - Loading Control (ab8245) observed at 37 kDa.

ab76293 was shown to react with PAK2 in wild-type HeLa cells in western blot. Loss of signal was observed when knockout cell line ab264814 (knockout cell lysate ab257573) was used. Wild-type HeLa and PAK2 knockout HeLa cell lysates were subjected to SDS-PAGE. Membrane was blocked for 1 hour at room temperature in 0.1% TBST with 3% non-fat dried milk. ab76293 and Anti-GAPDH antibody [6C5] - Loading Control (ab8245) were incubated overnight at 4°C at a 1 in 1000 dilution and a 1 in 20000 dilution respectively. Blots were developed with Goat anti-Rabbit IgG H&L (IRDye®800CW) preadsorbed (ab216773) and Goat anti-Mouse IgG H&L (IRDye®680RD) preadsorbed (ab216776) secondary antibodies at 1 in 20000 dilution for 1 hour at room temperature before imaging.

All lanes:

Western blot - Anti-PAK2 antibody [EP796Y] (<a href='/en-us/products/primary-antibodies/pak2-antibody-ep796y-ab76293'>ab76293</a>) at 1/1000 dilution

Lane 1:

Wild-type HeLa cell lysate at 20 µg

Lane 2:

PAK2 knockout HeLa cell lysate at 20 µg

Lane 2:

Western blot - Human PAK2 knockout HeLa cell line (<a href='/en-us/products/cell-lines/human-pak2-knockout-hela-cell-line-ab264814'>ab264814</a>)

Predicted band size: 50 kDa,58 kDa

Observed band size: 50 kDa,60 kDa

false

Western blot - Anti-PAK2 antibody [EP796Y] - BSA and Azide free (AB227990)
  • WB

Supplier Data

Western blot - Anti-PAK2 antibody [EP796Y] - BSA and Azide free (AB227990)

False colour image of Western blot : Anti-PAK2 antibody [EP796Y] staining at 1/5000 dilution, shown in green; Mouse anti-GAPDH antibody [6C5] (ab8245) loading control staining at 1/20000 dilution, shown in red. In Western blot, ab76293 was shown to bind specifically to PAK2. A band was observed at 65 kDa in wild-type HEK-293T cell lysates with no signal observed at this size in PAK2 CRISPR-Cas9 edited cell line ab282648 (CRISPR-Cas9 edited cell lysate ab283047). The band observed in the CRISPR-Cas9 edited lysate lane below 65 kDa is likely to represent a truncated form of PAK2. This has not been investigated further and the functional properties of the gene product have not been determined. To generate this image, wild-type and PAK2 CRISPR-Cas9 edited HEK-293T cell lysates were analysed. First, samples were run on an SDS-PAGE gel then transferred onto a nitrocellulose membrane. Membranes were blocked in 3 % milk in TBS-0.1 % Tween® 20 (TBS-T) before incubation with primary antibodies overnight at 4 °C. Blots were washed four times in TBS-T, incubated with secondary antibodies for 1 h at room temperature, washed again four times then imaged. Secondary antibodies used were Goat anti-Rabbit IgG H&L 800CW and Goat anti-Mouse IgG H&L 680RD at 1/20000 dilution. This data was developed using the same antibody clone in a different buffer formulation (ab76293).

All lanes:

Western blot - Anti-PAK2 antibody [EP796Y] (<a href='/en-us/products/primary-antibodies/pak2-antibody-ep796y-ab76293'>ab76293</a>) at 1/5000 dilution

Lane 1:

Wild-type HEK-293T cell lysate at 20 µg

Lane 2:

Western blot - Human PAK2 knockout HEK-293T cell lysate (ab283047) at 20 µg

Lane 3:

Wild-type HeLa ab255552 cell lysate at 20 µg

Lane 4:

PAK2 knockout HeLa ab260287 cell lysate at 20 µg

Secondary

All lanes:

Goat anti-Rabbit IgG H&L 800CW and Goat anti-Mouse IgG H&L 680RD at 1/20000 dilution

Predicted band size: 58 kDa

Observed band size: 65 kDa

false

Key facts

Host species

Rabbit

Clonality

Monoclonal

Clone number

EP796Y

Isotype

IgG

Carrier free

Yes

Reacts with

Mouse, Rat, Human

Applications

WB, IHC-P, IP, Flow Cyt (Intra), ICC/IF

applications

Immunogen

The exact immunogen used to generate this antibody is proprietary information.

Reactivity data

{ "title": "Reactivity Data", "filters": { "stats": ["", "Species", "Dilution Info", "Notes"], "tabs": { "all-applications": {"fullname" : "All Applications", "shortname": "All Applications"}, "IHCP" : {"fullname" : "Immunohistochemistry (Formalin/PFA-fixed paraffin-embedded sections)", "shortname":"IHC-P"}, "IP" : {"fullname" : "Immunoprecipitation", "shortname":"IP"}, "WB" : {"fullname" : "Western blot", "shortname":"WB"}, "ICCIF" : {"fullname" : "Immunocytochemistry/ Immunofluorescence", "shortname":"ICC/IF"}, "FlowCytIntra" : {"fullname" : "Flow Cytometry (Intracellular)", "shortname":"Flow Cyt (Intra)"} }, "product-promise": { "all": "all", "testedAndGuaranteed": "tested", "guaranteed": "expected", "predicted": "predicted", "notRecommended": "not-recommended" } }, "values": { "Human": { "IHCP-species-checked": "testedAndGuaranteed", "IHCP-species-dilution-info": "", "IHCP-species-notes": "<p>This antibody may not be suitable for IHC with mouse or rat samples<br>Use of HRP conjugated or polymerized HRP secondary antibody is recommended. Stronger signals have been found using the polymerized HRP secondary.</p>", "IP-species-checked": "guaranteed", "IP-species-dilution-info": "", "IP-species-notes": "<p></p>", "WB-species-checked": "testedAndGuaranteed", "WB-species-dilution-info": "", "WB-species-notes": "<p></p>", "ICCIF-species-checked": "testedAndGuaranteed", "ICCIF-species-dilution-info": "", "ICCIF-species-notes": "<p></p>", "FlowCytIntra-species-checked": "testedAndGuaranteed", "FlowCytIntra-species-dilution-info": "", "FlowCytIntra-species-notes": "<p><a href='/en-us/products/primary-antibodies/rabbit-igg-monoclonal-epr25a-isotype-control-low-endotoxin-azide-free-ab199376'>ab199376</a> - Rabbit monoclonal IgG (Low endotoxin, Azide free), is suitable for use as an isotype control with this antibody.</p>" }, "Mouse": { "IHCP-species-checked": "guaranteed", "IHCP-species-dilution-info": "", "IHCP-species-notes": "", "IP-species-checked": "testedAndGuaranteed", "IP-species-dilution-info": "", "IP-species-notes": "<p></p>", "WB-species-checked": "testedAndGuaranteed", "WB-species-dilution-info": "", "WB-species-notes": "<p></p>", "ICCIF-species-checked": "guaranteed", "ICCIF-species-dilution-info": "", "ICCIF-species-notes": "", "FlowCytIntra-species-checked": "guaranteed", "FlowCytIntra-species-dilution-info": "", "FlowCytIntra-species-notes": "" }, "Rat": { "IHCP-species-checked": "guaranteed", "IHCP-species-dilution-info": "", "IHCP-species-notes": "", "IP-species-checked": "guaranteed", "IP-species-dilution-info": "", "IP-species-notes": "", "WB-species-checked": "testedAndGuaranteed", "WB-species-dilution-info": "", "WB-species-notes": "<p></p>", "ICCIF-species-checked": "guaranteed", "ICCIF-species-dilution-info": "", "ICCIF-species-notes": "", "FlowCytIntra-species-checked": "guaranteed", "FlowCytIntra-species-dilution-info": "", "FlowCytIntra-species-notes": "" } } }

Product details

ab227990 is the carrier-free version of ab76293.

Conjugation ready
Our carrier-free antibodies are typically supplied in a PBS-only formulation, purified and free of BSA, sodium azide and glycerol. This conjugation-ready format is designed for use with fluorochromes, metal isotopes, oligonucleotides, and enzymes, which makes them ideal for antibody labelling, functional and cell-based assays, flow-based assays (e.g. mass cytometry) and Multiplex Imaging applications.

Use our conjugation kits for antibody conjugates that are ready-to-use in as little as 20 minutes with 1 minute hands-on-time and 100% antibody recovery: available for fluorescent dyes, HRP, biotin and gold.

Compatibility
This product is compatible with the Maxpar® Antibody Labeling Kit from Fluidigm, without the need for antibody preparation. Maxpar® is a trademark of Fluidigm Canada Inc.

Properties and storage information

Form
Liquid
Purification technique
Affinity purification Protein A
Storage buffer
pH: 7.2 - 7.4 Constituents: PBS
Shipped at conditions
Blue Ice
Appropriate short-term storage conditions
+4°C
Appropriate long-term storage conditions
+4°C
Storage information
Do Not Freeze

Product protocols

For this product, it's our understanding that no specific protocols are required. You can visit:

Target data

Serine/threonine protein kinase that plays a role in a variety of different signaling pathways including cytoskeleton regulation, cell motility, cell cycle progression, apoptosis or proliferation (PubMed : 12853446, PubMed : 16617111, PubMed : 19273597, PubMed : 19923322, PubMed : 33693784, PubMed : 7744004, PubMed : 9171063). Acts as a downstream effector of the small GTPases CDC42 and RAC1 (PubMed : 7744004). Activation by the binding of active CDC42 and RAC1 results in a conformational change and a subsequent autophosphorylation on several serine and/or threonine residues (PubMed : 7744004). Full-length PAK2 stimulates cell survival and cell growth (PubMed : 7744004). Phosphorylates MAPK4 and MAPK6 and activates the downstream target MAPKAPK5, a regulator of F-actin polymerization and cell migration (PubMed : 21317288). Phosphorylates JUN and plays an important role in EGF-induced cell proliferation (PubMed : 21177766). Phosphorylates many other substrates including histone H4 to promote assembly of H3.3 and H4 into nucleosomes, BAD, ribosomal protein S6, or MBP (PubMed : 21724829). Phosphorylates CASP7, thereby preventing its activity (PubMed : 21555521, PubMed : 27889207). Additionally, associates with ARHGEF7 and GIT1 to perform kinase-independent functions such as spindle orientation control during mitosis (PubMed : 19273597, PubMed : 19923322). On the other hand, apoptotic stimuli such as DNA damage lead to caspase-mediated cleavage of PAK2, generating PAK-2p34, an active p34 fragment that translocates to the nucleus and promotes cellular apoptosis involving the JNK signaling pathway (PubMed : 12853446, PubMed : 16617111, PubMed : 9171063). Caspase-activated PAK2 phosphorylates MKNK1 and reduces cellular translation (PubMed : 15234964).
See full target information PAK2

Publications (3)

Recent publications for all applications. Explore the full list and refine your search

Oncogene 34:2764-76 PubMed25065596

2014

In vivo quantitative phosphoproteomic profiling identifies novel regulators of castration-resistant prostate cancer growth.

Applications

Unspecified application

Species

Mouse

N Jiang,K Hjorth-Jensen,O Hekmat,D Iglesias-Gato,T Kruse,C Wang,W Wei,B Ke,B Yan,Y Niu,J V Olsen,A Flores-Morales

Journal of cell science 126:3697-712 PubMed23781022

2013

TGFβ receptor I transactivation mediates stretch-induced Pak1 activation and CTGF upregulation in mesangial cells.

Applications

Unspecified application

Species

Unspecified reactive species

Guang Chen,Xing Chen,Aravin Sukumar,Bo Gao,Jessica Curley,H William Schnaper,Alistair J Ingram,Joan C Krepinsky

PloS one 5:e11584 PubMed20644732

2010

LRP-1 promotes cancer cell invasion by supporting ERK and inhibiting JNK signaling pathways.

Applications

WB

Species

Unspecified reactive species

Benoit Langlois,Gwenn Perrot,Christophe Schneider,Patrick Henriet,Hervé Emonard,Laurent Martiny,Stéphane Dedieu
View all publications

Product promise

We are committed to supporting your work with high-quality reagents, and we're here for you every step of the way. In the unlikely event that one of our products does not perform as expected, you're protected by our Product Promise.
For full details, please see our Terms & Conditions

Please note: All products are 'FOR RESEARCH USE ONLY. NOT FOR USE IN DIAGNOSTIC OR THERAPEUTIC PROCEDURES'.

For licensing inquiries, please contact partnerships@abcam.com