JavaScript is disabled in your browser. Please enable JavaScript to view this website.
AB314766

Anti-PAK4 antibody [EPR28630-82] - BSA and Azide free

  • BOND RX™ Validated
  • RabMAb
  • Recombinant
  • KO Validated
  • What is this?

Be the first to review this product! Submit a review

|

(0 Publication)

Knockout Tested Rabbit Recombinant Monoclonal PAK4 antibody. Carrier free. Suitable for IHC-P, WB, IP, Flow Cyt (Intra) and reacts with Human, Recombinant fragment - Human samples.

View Alternative Names

KIAA1142, PAK4, Serine/threonine-protein kinase PAK 4, p21-activated kinase 4, PAK-4

9 Images
Flow Cytometry (Intracellular) - Anti-PAK4 antibody [EPR28630-82] - BSA and Azide free (AB314766)
  • Flow Cyt (Intra)

Supplier Data

Flow Cytometry (Intracellular) - Anti-PAK4 antibody [EPR28630-82] - BSA and Azide free (AB314766)

This data was developed using ab314765, the same antibody clone in a different buffer formulation. Flow cytometric analysis of 4% paraformaldehyde fixed 90% methanol permeabilized PAK4 KO HEK293T (human PAK4 knockout embryonic kidney epithelial cell, Left) / Parental HEK293T (Right) cells labelling PAK4 with ab314765 at 1/50 dilution (1 ug)/Red (Red) compared with a Rabbit monoclonal IgG (ab172730) (Black) isotype control and an unlabelled control (cells without incubation with primary antibody and secondary antibody) (Blue). Goat Anti-Rabbit IgG (Alexa Fluor® 488, ab150081) at 1/5000 dilution was used as the secondary antibody.

Immunohistochemistry (Formalin/PFA-fixed paraffin-embedded sections) - Anti-PAK4 antibody [EPR28630-82] - BSA and Azide free (AB314766)
  • IHC-P

Supplier Data

Immunohistochemistry (Formalin/PFA-fixed paraffin-embedded sections) - Anti-PAK4 antibody [EPR28630-82] - BSA and Azide free (AB314766)

This data was developed using ab314765, the same antibody clone in a different buffer formulation. Immunohistochemical analysis of paraffin-embedded human colon carcinoma tissue labeling PAK4 with ab314765 at 1/50 (10.52 ug/ml) dilution, followed by a ready to use rabbit specific IHC polymer detection kit HRP/DAB (ab209101). Positive staining on human colon carcinoma (PMID : 28542136). The section was incubated with ab314765 for 30 mins at room temperature. The immunostaining was performed on a Leica Biosystems BOND® RX instrument. Counterstained with Hematoxylin. Secondary antibody only control : Secondary antibody is a ready to use rabbit specific IHC polymer detection kit HRP/DAB (ab209101). Heat mediated antigen retrieval was performed with Tris-EDTA buffer (pH 9.0, Epitope Retrieval Solution2) for 20 mins.

Immunohistochemistry (Formalin/PFA-fixed paraffin-embedded sections) - Anti-PAK4 antibody [EPR28630-82] - BSA and Azide free (AB314766)
  • IHC-P

Supplier Data

Immunohistochemistry (Formalin/PFA-fixed paraffin-embedded sections) - Anti-PAK4 antibody [EPR28630-82] - BSA and Azide free (AB314766)

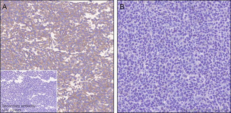
This data was developed using ab314765, the same antibody clone in a different buffer formulation. Immunohistochemical analysis of paraffin-embedded (A) Parental HEK-293T (human embryonic kidney epithelial cell) cell pellet; (B) PAK4 knock-out HEK-293T cell pellet. Tissue labeling PAK4 with ab314765 at 1/500 (1.052 ug/ml) dilution, followed by a ready to use rabbit specific IHC polymer detection kit HRP/DAB (ab209101). Positive staining on (A) parental HEK-293T cell pellet, no staining on (B) PAK4 knock-out HEK-293T cell pellet. The section was incubated with ab314765 for 30 mins at room temperature. The immunostaining was performed on a Leica Biosystems BOND® RX instrument. Counterstained with Hematoxylin. Secondary antibody only control : Secondary antibody is a ready to use rabbit specific IHC polymer detection kit HRP/DAB (ab209101). Heat mediated antigen retrieval was performed with Tris-EDTA buffer (pH 9.0, Epitope Retrieval Solution2) for 20 mins.

Immunohistochemistry (Formalin/PFA-fixed paraffin-embedded sections) - Anti-PAK4 antibody [EPR28630-82] - BSA and Azide free (AB314766)
  • IHC-P

Supplier Data

Immunohistochemistry (Formalin/PFA-fixed paraffin-embedded sections) - Anti-PAK4 antibody [EPR28630-82] - BSA and Azide free (AB314766)

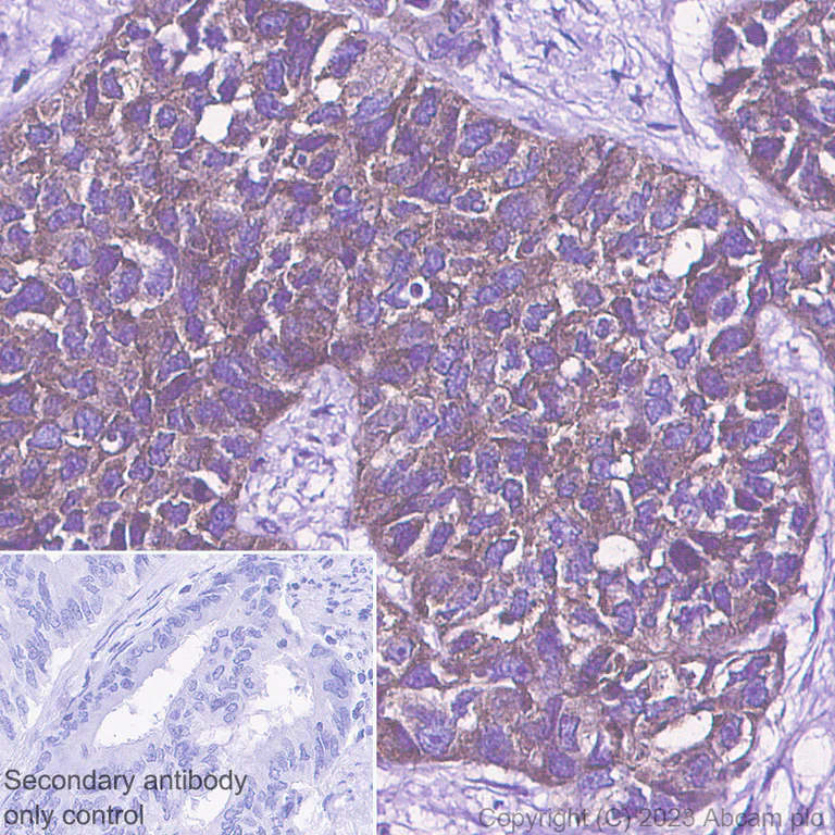
This data was developed using ab314765, the same antibody clone in a different buffer formulation. Immunohistochemical analysis of paraffin-embedded human endometrial carcinoma tissue labeling PAK4 with ab314765 at 1/50 (10.52 ug/ml) dilution, followed by a ready to use Rabbit specific IHC polymer detection kit HRP/DAB (ab209101). Positive staining on human endometrial carcinoma. The section was incubated with ab314765 for 30 mins at room temperature. The immunostaining was performed on a Leica Biosystems BOND® RX instrument. Counterstained with Hematoxylin. Secondary antibody only control : Secondary antibody is a ready to use Rabbit specific IHC polymer detection kit HRP/DAB (ab209101). Heat mediated antigen retrieval was performed with Tris-EDTA buffer (pH 9.0, Epitope Retrieval Solution2) for 20 mins.

Immunohistochemistry (Formalin/PFA-fixed paraffin-embedded sections) - Anti-PAK4 antibody [EPR28630-82] - BSA and Azide free (AB314766)
  • IHC-P

Supplier Data

Immunohistochemistry (Formalin/PFA-fixed paraffin-embedded sections) - Anti-PAK4 antibody [EPR28630-82] - BSA and Azide free (AB314766)

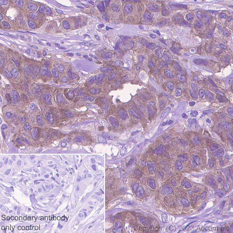
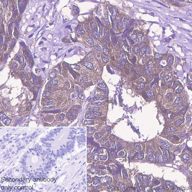
This data was developed using ab314765, the same antibody clone in a different buffer formulation. Immunohistochemical analysis of paraffin-embedded human breast carcinoma tissue labeling PAK4 with ab314765 at 1/50 (10.52 ug/ml) dilution, followed by a ready to use rabbit specific IHC polymer detection kit HRP/DAB (ab209101). Positive staining on human breast carcinoma (PMID : 28407679). The section was incubated with ab314765 for 30 mins at room temperature. The immunostaining was performed on a Leica Biosystems BOND® RX instrument. Counterstained with Hematoxylin. Secondary antibody only control : Secondary antibody is a ready to use Rabbit specific IHC polymer detection kit HRP/DAB (ab209101). Heat mediated antigen retrieval was performed with Tris-EDTA buffer (pH 9.0, Epitope Retrieval Solution2) for 20 mins.

Immunoprecipitation - Anti-PAK4 antibody [EPR28630-82] - BSA and Azide free (AB314766)
  • IP

Supplier Data

Immunoprecipitation - Anti-PAK4 antibody [EPR28630-82] - BSA and Azide free (AB314766)

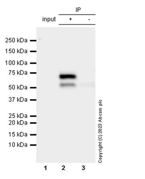
This data was developed using ab314765, the same antibody clone in a different buffer formulation. PAK4 was immunoprecipitated from 0.35 mg 293T (human embryonic kidney epithelial cell) whole cell lysate with ab314765 at 1/30 dilution (2ug in 0.35mg lysates). Western blot was performed on the immunoprecipitate using ab314765 at 1/1000 dilution. VeriBlot for IP secondary antibody(HRP)(ab131366) was used at 1/5000 dilution. Lane 1 : 293T (human embryonic kidney epithelial cell) whole cell lysate Lane 2 : ab314765 IP in 293T (human embryonic kidney epithelial cell) whole cell lysate Lane 3 : Rabbit monoclonal IgG (ab172730) instead of ab314765 in 293T whole cell lysate Blocking and dilution buffer and concentration : 5% NFDM/TBST.

All lanes:

Immunoprecipitation - Anti-PAK4 antibody [EPR28630-82] (<a href='/en-us/products/primary-antibodies/pak4-antibody-epr28630-82-ab314765'>ab314765</a>) at 1/30 dilution

All lanes:

293T (human embryonic kidney epithelial cell) whole cell lysate

Secondary

All lanes:

Immunoprecipitation - VeriBlot for IP Detection Reagent (HRP) (<a href='/en-us/products/reagents/veriblot-for-ip-detection-reagent-hrp-ab131366'>ab131366</a>) at 1/5000 dilution

false

Exposure time: 15s

Western blot - Anti-PAK4 antibody [EPR28630-82] - BSA and Azide free (AB314766)
  • WB

Supplier Data

Western blot - Anti-PAK4 antibody [EPR28630-82] - BSA and Azide free (AB314766)

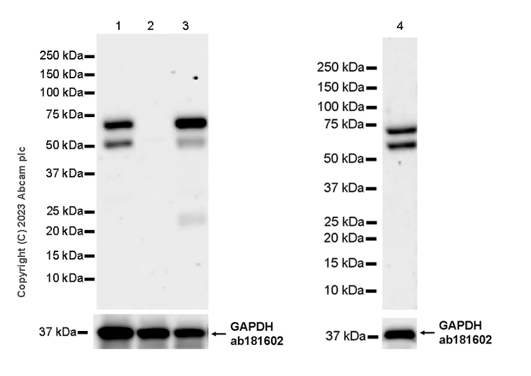
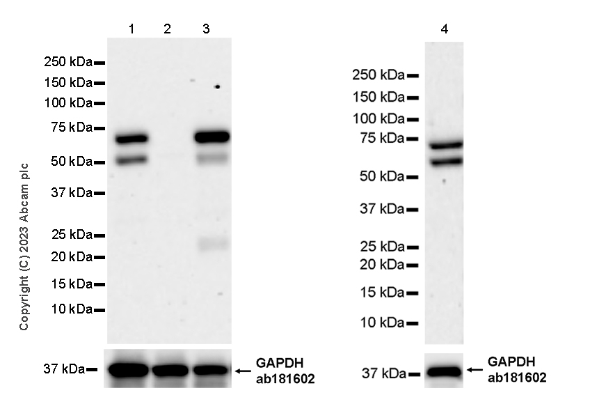
This data was developed using ab314765, the same antibody clone in a different buffer formulation. Blocking and diluting buffer and concentration : 5% NFDM/TBST. In Western blot, ab314765 was shown to bind specifically to PAK4. Target of interest was observed at 68 kDa and 52 KD in wild-type HEK293T cell lysates (lane 1, wild-type cell line ab255449) with no signal observed at this size in PAK4 knockout cell line (lane 2, knockout cell line ab266807/ knockout cell lysate ab258560). The band (50 kDa) beneath the target band (68 kDa) is likely to be degraded target fragments. In western blot, anti-GAPDH antibody [EPR16891] - Loading Control (ab181602) staining at 1/200000 dilution.

All lanes:

Western blot - Anti-PAK4 antibody [EPR28630-82] (<a href='/en-us/products/primary-antibodies/pak4-antibody-epr28630-82-ab314765'>ab314765</a>) at 1/1000 dilution

Lane 1:

Western blot - Human wild-type HEK-293T cell line (ab255449) at 20 µg

Lane 2:

Western blot - Human PAK4 knockout HEK-293T cell lysate (<a href='/en-us/products/cell-lysates/human-pak4-knockout-hek-293t-cell-lysate-ab258560'>ab258560</a>) at 20 µg

Lane 3:

PANC-1 (human pancreatic epithelioid carcinoma epithelial cell) whole cell lysate at 20 µg

Lane 4:

Human testis lysate at 20 µg

Secondary

All lanes:

Western blot - Goat Anti-Rabbit IgG H&L (HRP) (<a href='/en-us/products/secondary-antibodies/goat-rabbit-igg-h-l-hrp-ab97051'>ab97051</a>) at 1/20000 dilution

Observed band size: 52 kDa,68 kDa

false

Exposure time: 70s

Western blot - Anti-PAK4 antibody [EPR28630-82] - BSA and Azide free (AB314766)
  • WB

Supplier Data

Western blot - Anti-PAK4 antibody [EPR28630-82] - BSA and Azide free (AB314766)

This data was developed using ab314765, the same antibody clone in a different buffer formulation. Blocking and diluting buffer and concentration : 5% NFDM/TBST. This target was tested in fresh and frozen LNCaP and Hela, and it was concluded that PAK4 is the easy target for degradation.Lane 3-5 was freshly made and used for Western blotting immediately to minimize protein degradation. Exposure time : Lane 1, Lane 4-5 : 70 seconds; Lane 2 : 180 seconds; Lane 3 : 26 seconds

All lanes:

Western blot - Anti-PAK4 antibody [EPR28630-82] (<a href='/en-us/products/primary-antibodies/pak4-antibody-epr28630-82-ab314765'>ab314765</a>) at 1/1000 dilution

Lanes 1 and 3:

LNCaP (human prostate carcinoma epithelial cell) whole cell lysate at 20 µg

Lanes 2 and 4:

HeLa (human cervical adenocarcinoma epithelial cell) whole cell lysate at 20 µg

Lane 5:

293T (human embryonic kidney epithelial cell) whole cell lysate at 20 µg

Secondary

All lanes:

Western blot - Goat Anti-Rabbit IgG H&L (HRP) (<a href='/en-us/products/secondary-antibodies/goat-rabbit-igg-h-l-hrp-ab97051'>ab97051</a>) at 1/20000 dilution

Observed band size: 52 kDa,68 kDa

false

Western blot - Anti-PAK4 antibody [EPR28630-82] - BSA and Azide free (AB314766)
  • WB

Supplier Data

Western blot - Anti-PAK4 antibody [EPR28630-82] - BSA and Azide free (AB314766)

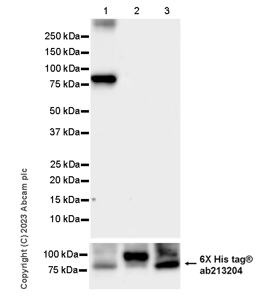
This data was developed using ab314765, the same antibody clone in a different buffer formulation. Blocking and diluting buffer and concentration : 5% NFDM/TBST. This antibody does not cross-react with human PAK5 and human PAK6. All the recombinant proteins were made in-house. In western blot, Anti-6X His tag® antibody [EPR20547] - ChIP Grade (ab213204) staining at 1/5000 dilution.

All lanes:

Western blot - Anti-PAK4 antibody [EPR28630-82] (<a href='/en-us/products/primary-antibodies/pak4-antibody-epr28630-82-ab314765'>ab314765</a>) at 1/1000 dilution

Lane 1:

Purified His-tagged human PAK4 recombinant protein at 20 ng

Lane 2:

Purified His-tagged human PAK5 recombinant protein at 100 ng

Lane 3:

Purified His-tagged human PAK6 recombinant protein at 20 ng

Secondary

All lanes:

Western blot - Goat Anti-Rabbit IgG H&L (HRP) (<a href='/en-us/products/secondary-antibodies/goat-rabbit-igg-h-l-hrp-ab97051'>ab97051</a>) at 1/100000 dilution

Observed band size: 80 kDa

false

Exposure time: 48s

Key facts

Host species

Rabbit

Clonality

Monoclonal

Clone number

EPR28630-82

Isotype

IgG

Carrier free

Yes

Reacts with

Human

Applications

WB, IHC-P, IP, Flow Cyt (Intra)

applications

Immunogen

The exact immunogen used to generate this antibody is proprietary information.

Specificity

This antibody does not cross-react with human PAK5 and PAK6.

Reactivity data

{ "title": "Reactivity Data", "filters": { "stats": ["", "Species", "Dilution Info", "Notes"], "tabs": { "all-applications": {"fullname" : "All Applications", "shortname": "All Applications"}, "IHCP" : {"fullname" : "Immunohistochemistry (Formalin/PFA-fixed paraffin-embedded sections)", "shortname":"IHC-P"}, "WB" : {"fullname" : "Western blot", "shortname":"WB"}, "IP" : {"fullname" : "Immunoprecipitation", "shortname":"IP"}, "FlowCytIntra" : {"fullname" : "Flow Cytometry (Intracellular)", "shortname":"Flow Cyt (Intra)"}, "ICCIF" : {"fullname" : "Immunocytochemistry/ Immunofluorescence", "shortname":"ICC/IF"} }, "product-promise": { "all": "all", "testedAndGuaranteed": "tested", "guaranteed": "expected", "predicted": "predicted", "notRecommended": "not-recommended" } }, "values": { "Human": { "IHCP-species-checked": "testedAndGuaranteed", "IHCP-species-dilution-info": "", "IHCP-species-notes": "<p></p>", "WB-species-checked": "testedAndGuaranteed", "WB-species-dilution-info": "", "WB-species-notes": "<p></p>", "IP-species-checked": "testedAndGuaranteed", "IP-species-dilution-info": "", "IP-species-notes": "<p></p>", "FlowCytIntra-species-checked": "testedAndGuaranteed", "FlowCytIntra-species-dilution-info": "", "FlowCytIntra-species-notes": "<p></p>", "ICCIF-species-checked": "notRecommended", "ICCIF-species-dilution-info": "", "ICCIF-species-notes": "<p></p>" }, "Mouse": { "IHCP-species-checked": "notRecommended", "IHCP-species-dilution-info": "", "IHCP-species-notes": "<p></p>", "WB-species-checked": "notRecommended", "WB-species-dilution-info": "", "WB-species-notes": "<p></p>", "IP-species-checked": "notRecommended", "IP-species-dilution-info": "", "IP-species-notes": "", "FlowCytIntra-species-checked": "notRecommended", "FlowCytIntra-species-dilution-info": "", "FlowCytIntra-species-notes": "<p></p>", "ICCIF-species-checked": "notRecommended", "ICCIF-species-dilution-info": "", "ICCIF-species-notes": "<p></p>" }, "Rat": { "IHCP-species-checked": "notRecommended", "IHCP-species-dilution-info": "", "IHCP-species-notes": "<p></p>", "WB-species-checked": "notRecommended", "WB-species-dilution-info": "", "WB-species-notes": "<p></p>", "IP-species-checked": "notRecommended", "IP-species-dilution-info": "", "IP-species-notes": "", "FlowCytIntra-species-checked": "notRecommended", "FlowCytIntra-species-dilution-info": "", "FlowCytIntra-species-notes": "", "ICCIF-species-checked": "notRecommended", "ICCIF-species-dilution-info": "", "ICCIF-species-notes": "" }, "Recombinant fragment - Human": { "IHCP-species-checked": "notRecommended", "IHCP-species-dilution-info": "", "IHCP-species-notes": "", "WB-species-checked": "testedAndGuaranteed", "WB-species-dilution-info": "", "WB-species-notes": "<p></p>", "IP-species-checked": "notRecommended", "IP-species-dilution-info": "", "IP-species-notes": "", "FlowCytIntra-species-checked": "notRecommended", "FlowCytIntra-species-dilution-info": "", "FlowCytIntra-species-notes": "", "ICCIF-species-checked": "notRecommended", "ICCIF-species-dilution-info": "", "ICCIF-species-notes": "" } } }

Product details

ab314766 is the carrier-free version of ab314765.

Patented technology
Our RabMAb® technology is a patented hybridoma-based technology for making rabbit monoclonal antibodies. For details on our patents, please refer to RabMAb® patents.

What are the advantages of a recombinant monoclonal antibody?
This product is a recombinant monoclonal antibody, which offers several advantages including:

  • - High batch-to-batch consistency and reproducibility
  • - Improved sensitivity and specificity
  • - Long-term security of supply
  • - Animal-free batch production

For more information, read more on recombinant antibodies.

Conjugation ready
Our carrier-free antibodies are typically supplied in a PBS-only formulation, purified and free of BSA, sodium azide and glycerol. This conjugation-ready format is designed for use with fluorochromes, metal isotopes, oligonucleotides, and enzymes, which makes them ideal for antibody labelling, functional and cell-based assays, flow-based assays (e.g. mass cytometry) and Multiplex Imaging applications.

Use our conjugation kits for antibody conjugates that are ready-to-use in as little as 20 minutes with 1 minute hands-on-time and 100% antibody recovery: available for fluorescent dyes, HRP, biotin and gold.

Compatibility
This product is compatible with the Maxpar® Antibody Labeling Kit from Fluidigm, without the need for antibody preparation. Maxpar® is a trademark of Fluidigm Canada Inc.

Properties and storage information

Form
Liquid
Purification technique
Affinity purification Protein A
Storage buffer
pH: 7.2 - 7.4 Constituents: PBS
Shipped at conditions
Blue Ice
Appropriate short-term storage conditions
+4°C
Appropriate long-term storage conditions
+4°C

Product protocols

For this product, it's our understanding that no specific protocols are required. You can visit:

Target data

Serine/threonine protein kinase that plays a role in a variety of different signaling pathways including cytoskeleton regulation, cell migration, growth, proliferation or cell survival. Activation by various effectors including growth factor receptors or active CDC42 and RAC1 results in a conformational change and a subsequent autophosphorylation on several serine and/or threonine residues. Phosphorylates and inactivates the protein phosphatase SSH1, leading to increased inhibitory phosphorylation of the actin binding/depolymerizing factor cofilin. Decreased cofilin activity may lead to stabilization of actin filaments. Phosphorylates LIMK1, a kinase that also inhibits the activity of cofilin. Phosphorylates integrin beta5/ITGB5 and thus regulates cell motility. Phosphorylates ARHGEF2 and activates the downstream target RHOA that plays a role in the regulation of assembly of focal adhesions and actin stress fibers. Stimulates cell survival by phosphorylating the BCL2 antagonist of cell death BAD. Alternatively, inhibits apoptosis by preventing caspase-8 binding to death domain receptors in a kinase independent manner. Plays a role in cell-cycle progression by controlling levels of the cell-cycle regulatory protein CDKN1A and by phosphorylating RAN.
See full target information PAK4

Product promise

We are committed to supporting your work with high-quality reagents, and we're here for you every step of the way. In the unlikely event that one of our products does not perform as expected, you're protected by our Product Promise.
For full details, please see our Terms & Conditions

Please note: All products are 'FOR RESEARCH USE ONLY. NOT FOR USE IN DIAGNOSTIC OR THERAPEUTIC PROCEDURES'.

For licensing inquiries, please contact partnerships@abcam.com