JavaScript is disabled in your browser. Please enable JavaScript to view this website.
AB313491

Anti-PAK4 (phospho S474) + PAK5 (phospho S474) + PAK6 (phospho S474) Antibody [RP23040229]

Be the first to review this product! Submit a review

|

(0 Publication)

Anti-Anti antibody [RP23040229] is a Rabbit Recombinant Multiclonal antibody that is used in Anti ICC/IF, Western Blot. Suitable for Human samples.

PAK proteins, or p21-activated kinases, are serine/threonine kinases involved in various cellular processes such as growth, apoptosis, and motility. In cancer research, PAKs are known to be overexpressed and hyperactivated in several tumors, contributing to cell transformation and tumor progression. Their role in oncogenic signaling pathways makes them attractive targets for developing cancer therapeutics.

View Alternative Names

KIAA1142, PAK4, Serine/threonine-protein kinase PAK 4, p21-activated kinase 4, PAK-4

2 Images
Immunocytochemistry/ Immunofluorescence - Anti-PAK4 (phospho S474) + PAK5 (phospho S474) + PAK6 (phospho S474) Antibody [RP23040229] (AB313491)
  • ICC/IF

Supplier Data

Immunocytochemistry/ Immunofluorescence - Anti-PAK4 (phospho S474) + PAK5 (phospho S474) + PAK6 (phospho S474) Antibody [RP23040229] (AB313491)

Immunofluorescent analysis of MCF-7 cells fixed with 4% formaldehyde reconstituted in 1X PBS for 10 min at room temperature and permabilized using 0.1 % Triton X-100 in PBS for 15 min at room temperature labeling endogenous Phospho-PAK4 + PAK6 + PAK7 pSer474 with ab313491 at 2 µg/mL dilution followed by Goat anti-Rabbit IgG (H+L) Secondary Antibody, Alexa Fluor 488 conjugate at 1/2000 dilution. Panel a) shows representative cells that were stained for detection and localization of Phospho-PAK4 + PAK6 + PAK7 pSer474 protein (green), Panel b) is stained for nuclei (blue) using DAPI. Panel c) represents cytoskeletal F-actin staining using Rhodamine Phalloidin at 1/300 dilution. Panel d) is a composite image of panels a, b and c clearly demonstrating nuclear localization of Phospho-PAK4 + PAK6 + PAK7 pSer474. Panel e) shows loss of signal by competition with the Phospho-PAK4 + PAK6 + PAK7 pSer474 phospho peptide, demonstrating antibody specificity. Panel f) demonstrates no competition with the non-phosphorylated peptide. Panel g) represents control cells with no primary antibody to assess background. The images were captured at 60X magnification.

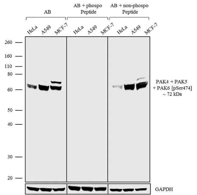
Western blot - Anti-PAK4 (phospho S474) + PAK5 (phospho S474) + PAK6 (phospho S474) Antibody [RP23040229] (AB313491)
  • WB

Supplier Data

Western blot - Anti-PAK4 (phospho S474) + PAK5 (phospho S474) + PAK6 (phospho S474) Antibody [RP23040229] (AB313491)

All lanes:

Western blot - Anti-PAK4 (phospho S474) + PAK5 (phospho S474) + PAK6 (phospho S474) Antibody [RP23040229] (ab313491) at 1 µg/mL

Lane 1:

Hela cell lysate at 30 µg

Lane 2:

A549 cell lysate at 30 µg

Lane 3:

MCF7 cell lysate at 30 µg

Lane 4:

phosphopeptide (10 µg/ml) incubated Hela cell lysate at 30 µg

Lane 5:

phosphopeptide (10 µg/ml) incubated A549 cell lysate at 30 µg

Lane 6:

phosphopeptide (10 µg/ml) incubated MCF7 cell lysate at 30 µg

Lane 7:

non-phosphopeptide (10 µg/ml) incubated Hela cell lysate at 30 µg

Lane 8:

non-phosphopeptide (10 µg/ml) incubated A549 cell lysate at 30 µg

Lane 9:

non-phosphopeptide (10 µg/ml) incubated MCF7 cell lysate at 30 µg

Secondary

All lanes:

Goat anti-Rabbit IgG (H+L) Secondary Antibody, HRP conjugate at 1/5000 dilution

Predicted band size: 64.072 kDa

true

Key facts

Host species

Rabbit

Clonality

Monoclonal

Clone number

RP23040229

Isotype

IgG

Carrier free

No

Reacts with

Human

Applications

WB, ICC/IF

applications

Immunogen

Synthetic Peptide within Human PAK4 phospho S474 + S560 + S602.

O96013

Reactivity data

{ "title": "Reactivity Data", "filters": { "stats": ["", "Species", "Dilution Info", "Notes"], "tabs": { "all-applications": {"fullname" : "All Applications", "shortname": "All Applications"}, "ICCIF" : {"fullname" : "Immunocytochemistry/ Immunofluorescence", "shortname":"ICC/IF"}, "WB" : {"fullname" : "Western blot", "shortname":"WB"} }, "product-promise": { "all": "all", "testedAndGuaranteed": "tested", "guaranteed": "expected", "predicted": "predicted", "notRecommended": "not-recommended" } }, "values": { "Human": { "ICCIF-species-checked": "testedAndGuaranteed", "ICCIF-species-dilution-info": "2 µg/mL", "ICCIF-species-notes": "<p></p>", "WB-species-checked": "testedAndGuaranteed", "WB-species-dilution-info": "1 µg/mL", "WB-species-notes": "<p></p>" } } }

Product details

What are recombinant multiclonals?
Recombinant multiclonals are a mixture of recombinant antibodies co-expressed from a library of heavy and light chains. They offer several advantages including:

  • - The sensitivity of polyclonal antibodies by recognising multiple epitopes
  • - High batch-to-batch consistency and reproducibility
  • - Improved sensitivity and specificity
  • - Long-term security of supply
  • - Animal-free batch production

View our range of recombinant multiclonal antibodies.

Properties and storage information

Form
Liquid
Purification technique
Affinity purification Protein A
Storage buffer
pH: 7.4 Preservative: 0.09% Sodium azide Constituents: 99.91% PBS
Shipped at conditions
Blue Ice
Appropriate short-term storage conditions
+4°C
Appropriate long-term storage conditions
-20°C

Product protocols

For this product, it's our understanding that no specific protocols are required. You can visit:

Target data

Serine/threonine protein kinase that plays a role in a variety of different signaling pathways including cytoskeleton regulation, cell migration, growth, proliferation or cell survival. Activation by various effectors including growth factor receptors or active CDC42 and RAC1 results in a conformational change and a subsequent autophosphorylation on several serine and/or threonine residues. Phosphorylates and inactivates the protein phosphatase SSH1, leading to increased inhibitory phosphorylation of the actin binding/depolymerizing factor cofilin. Decreased cofilin activity may lead to stabilization of actin filaments. Phosphorylates LIMK1, a kinase that also inhibits the activity of cofilin. Phosphorylates integrin beta5/ITGB5 and thus regulates cell motility. Phosphorylates ARHGEF2 and activates the downstream target RHOA that plays a role in the regulation of assembly of focal adhesions and actin stress fibers. Stimulates cell survival by phosphorylating the BCL2 antagonist of cell death BAD. Alternatively, inhibits apoptosis by preventing caspase-8 binding to death domain receptors in a kinase independent manner. Plays a role in cell-cycle progression by controlling levels of the cell-cycle regulatory protein CDKN1A and by phosphorylating RAN.
See full target information PAK4 phospho S474

Additional targets

PAK5 phospho S474,PAK6 phospho S474

Product promise

We are committed to supporting your work with high-quality reagents, and we're here for you every step of the way. In the unlikely event that one of our products does not perform as expected, you're protected by our Product Promise.
For full details, please see our Terms & Conditions

Please note: All products are 'FOR RESEARCH USE ONLY. NOT FOR USE IN DIAGNOSTIC OR THERAPEUTIC PROCEDURES'.

For licensing inquiries, please contact partnerships@abcam.com