JavaScript is disabled in your browser. Please enable JavaScript to view this website.
AB2871

Anti-pan ATPase Alpha antibody [M7-PB-E9] - Plasma Membrane Loading Control

Be the first to review this product! Submit a review

|

(9 Publications)

Mouse Monoclonal alpha 1 Sodium Potassium ATPase antibody. Suitable for IP, Flow Cyt, WB, IHC-P, ICC/IF and reacts with Mouse, Human, Rat samples. Cited in 9 publications. Immunogen corresponding to Native Full Length Protein corresponding to Sheep ATP1A1.

View Alternative Names

Sodium/potassium-transporting ATPase subunit alpha-1, Na(+)/K(+) ATPase alpha-1 subunit, Sodium pump subunit alpha-1, ATP1A1

10 Images
Immunocytochemistry/ Immunofluorescence - Anti-pan ATPase Alpha antibody [M7-PB-E9] - Plasma Membrane Loading Control (AB2871)
  • ICC/IF

Supplier Data

Immunocytochemistry/ Immunofluorescence - Anti-pan ATPase Alpha antibody [M7-PB-E9] - Plasma Membrane Loading Control (AB2871)

Immunocytochemistry/Immunofluorescence analysis of ATP1A2 shows staining in HeLa cells. ATP1A2 (green), F-Actin staining with Phalloidin (red) and nuclei with DAPI (blue) is shown. Cells were grown on chamber slides and fixed with formaldehyde prior to staining. Cells were incubated without (control) or with ab2871 (1 : 20) overnight at 4°C, washed with PBS and incubated with a DyLight-488 conjugated secondary antibody. Images were taken at 60X magnification.

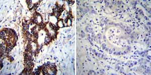
Immunohistochemistry paraffin embedded sections - Anti-pan ATPase Alpha antibody [M7-PB-E9] - Plasma Membrane Loading Control (AB2871)
  • IHC-P

Unknown

Immunohistochemistry paraffin embedded sections - Anti-pan ATPase Alpha antibody [M7-PB-E9] - Plasma Membrane Loading Control (AB2871)

Immunohistochemistry was performed on both normal and cancer biopsies of deparaffinized Human testis tissue tissues. To expose target proteins heat induced antigen retrieval was performed using 10mM sodium citrate (pH6.0) buffer microwaved for 8-15 minutes. Following antigen retrieval tissues were blocked in 3% BSA-PBS for 30 minutes at room temperature. Tissues were then probed at a dilution of 1 : 200 with a mouse monoclonal antibody recognizing Sodium/Potassium ATPase alpha ab2871 or without primary antibody (negative control) overnight at 4°C in a humidified chamber. Tissues were washed extensively with PBST and endogenous peroxidase activity was quenched with a peroxidase suppressor. Detection was performed using a biotin-conjugated secondary antibody and SA-HRP followed by colorimetric detection using DAB. Tissues were counterstained with hematoxylin and prepped for mounting.

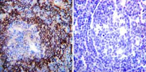
Immunohistochemistry paraffin embedded sections - Anti-pan ATPase Alpha antibody [M7-PB-E9] - Plasma Membrane Loading Control (AB2871)
  • IHC-P

Unknown

Immunohistochemistry paraffin embedded sections - Anti-pan ATPase Alpha antibody [M7-PB-E9] - Plasma Membrane Loading Control (AB2871)

Immunohistochemistry was performed on both normal and cancer biopsies of deparaffinized Human tonsil tissue tissues. To expose target proteins heat induced antigen retrieval was performed using 10mM sodium citrate (pH6.0) buffer microwaved for 8-15 minutes. Following antigen retrieval tissues were blocked in 3% BSA-PBS for 30 minutes at room temperature. Tissues were then probed at a dilution of 1 : 200 with a mouse monoclonal antibody recognizing Sodium/Potassium ATPase alpha ab2871 or without primary antibody (negative control) overnight at 4°C in a humidified chamber. Tissues were washed extensively with PBST and endogenous peroxidase activity was quenched with a peroxidase suppressor. Detection was performed using a biotin-conjugated secondary antibody and SA-HRP followed by colorimetric detection using DAB. Tissues were counterstained with hematoxylin and prepped for mounting.

Immunocytochemistry/ Immunofluorescence - Anti-pan ATPase Alpha antibody [M7-PB-E9] - Plasma Membrane Loading Control (AB2871)
  • ICC/IF

Supplier Data

Immunocytochemistry/ Immunofluorescence - Anti-pan ATPase Alpha antibody [M7-PB-E9] - Plasma Membrane Loading Control (AB2871)

Immunocytochemistry/Immunofluorescence analysis of ATP1A2 shows staining in MCF-7 cells. ATP1A2 (green), F-Actin staining with Phalloidin (red) and nuclei with DAPI (blue) is shown. Cells were grown on chamber slides and fixed with formaldehyde prior to staining. Cells were incubated without (control) or with ab2871 (1 : 20) overnight at 4°C, washed with PBS and incubated with a DyLight-488 conjugated secondary antibody. Images were taken at 60X magnification.

Immunocytochemistry/ Immunofluorescence - Anti-pan ATPase Alpha antibody [M7-PB-E9] - Plasma Membrane Loading Control (AB2871)
  • ICC/IF

Supplier Data

Immunocytochemistry/ Immunofluorescence - Anti-pan ATPase Alpha antibody [M7-PB-E9] - Plasma Membrane Loading Control (AB2871)

Immunocytochemistry/Immunofluorescence analysis of ATP1A2 shows staining in U251 cells. ATP1A2 (green), F-Actin staining with Phalloidin (red) and nuclei with DAPI (blue) is shown. Cells were grown on chamber slides and fixed with formaldehyde prior to staining. Cells were incubated without (control) or with ab2871 (1 : 20) overnight at 4°C, washed with PBS and incubated with a DyLight-488 conjugated secondary antibody. Images were taken at 60X magnification.

Immunocytochemistry/ Immunofluorescence - Anti-pan ATPase Alpha antibody [M7-PB-E9] - Plasma Membrane Loading Control (AB2871)
  • ICC/IF

Unknown

Immunocytochemistry/ Immunofluorescence - Anti-pan ATPase Alpha antibody [M7-PB-E9] - Plasma Membrane Loading Control (AB2871)

ICC/IF image of ab2871 stained MCF7 cells. The cells were 100% methanol fixed (5 min) and then incubated in 1%BSA / 10% normal goat serum / 0.3M glycine in 0.1% PBS-Tween for 1h to permeabilise the cells and block non-specific protein-protein interactions. The cells were then incubated with the antibody (ab2871, 10µg/ml) overnight at +4°C. The secondary antibody (green) was ab96879, DyLight® 488 goat anti-mouse IgG (H+L) used at a 1/250 dilution for 1h.Alexa Fluor® 594 WGA was used to label plasma membranes (red) at a 1/200 dilution for 1h. DAPI was used to stain the cell nuclei (blue) at a concentration of 1.43µM.

Immunohistochemistry paraffin embedded sections - Anti-pan ATPase Alpha antibody [M7-PB-E9] - Plasma Membrane Loading Control (AB2871)
  • IHC-P

Unknown

Immunohistochemistry paraffin embedded sections - Anti-pan ATPase Alpha antibody [M7-PB-E9] - Plasma Membrane Loading Control (AB2871)

Immunohistochemistry was performed on both normal and cancer biopsies of deparaffinized Human colon carcinoma tissues. To expose target proteins heat induced antigen retrieval was performed using 10mM sodium citrate (pH6.0) buffer microwaved for 8-15 minutes. Following antigen retrieval tissues were blocked in 3% BSA-PBS for 30 minutes at room temperature. Tissues were then probed at a dilution of 1 : 100 with a mouse monoclonal antibody recognizing Sodium/Potassium ATPase alpha ab2871 or without primary antibody (negative control) overnight at 4°C in a humidified chamber. Tissues were washed extensively with PBST and endogenous peroxidase activity was quenched with a peroxidase suppressor. Detection was performed using a biotin-conjugated secondary antibody and SA-HRP followed by colorimetric detection using DAB. Tissues were counterstained with hematoxylin and prepped for mounting.

Flow Cytometry - Anti-pan ATPase Alpha antibody [M7-PB-E9] - Plasma Membrane Loading Control (AB2871)
  • Flow Cyt

Unknown

Flow Cytometry - Anti-pan ATPase Alpha antibody [M7-PB-E9] - Plasma Membrane Loading Control (AB2871)

Overlay histogram showing HEK293 cells stained with ab2871 (red line). The cells were fixed with 80% methanol (5 min) and incubated in 1x PBS / 10% normal goat serum / 0.3M glycine to block non-specific protein-protein interactions. The cells were then incubated with the antibody (ab28711, 1/100 dilution) for 30 min at 22°C. The secondary antibody used was DyLight® 488 goat anti-mouse IgG (H+L) (ab96879) at 1/500 dilution for 30 min at 22°C. Isotype control antibody (black line) was mouse IgG1 [ICIGG1] (ab91353, 2μg/1x106 cells) used under the same conditions. Acquisition of >5,000 events was performed.

Please note that Abcam do not have any data for use of this antibody on non-fixed cells. We welcome any customer feedback.

Immunoprecipitation - Anti-pan ATPase Alpha antibody [M7-PB-E9] - Plasma Membrane Loading Control (AB2871)
  • IP

Unknown

Immunoprecipitation - Anti-pan ATPase Alpha antibody [M7-PB-E9] - Plasma Membrane Loading Control (AB2871)

ATP1A2 was immunoprecipitated using 0.5mg Mouse Kidney tissue extract, 5μg of Mouse monoclonal to ATP1A2 and 50μl of protein G magnetic beads (+). No antibody was added to the control (-).

The antibody was incubated under agitation with Protein G beads for 10min, Mouse Kidney tissue extract lysate diluted in RIPA buffer was added to each sample and incubated for a further 10min under agitation.

Proteins were eluted by addition of 40μl SDS loading buffer and incubated for 10min at 70°C; 10μl of each sample was separated on a SDS PAGE gel, transferred to a nitrocellulose membrane, blocked with 5% BSA and probed with ab2871.

Secondary : Goat polyclonal to mouse IgG light chain specific (HRP) at 1/20,000 dilution.

Band : 102kDa; ATP1A2

All lanes:

Immunoprecipitation - Anti-pan ATPase Alpha antibody [M7-PB-E9] - Plasma Membrane Loading Control (ab2871)

Predicted band size: 112 kDa

true

Exposure time: 16min

Western blot - Anti-pan ATPase Alpha antibody [M7-PB-E9] - Plasma Membrane Loading Control (AB2871)
  • WB

Unknown

Western blot - Anti-pan ATPase Alpha antibody [M7-PB-E9] - Plasma Membrane Loading Control (AB2871)

All lanes:

Western blot - Anti-pan ATPase Alpha antibody [M7-PB-E9] - Plasma Membrane Loading Control (ab2871) at 1/500 dilution

Lane 1:

Human kidney tissue lysate - total protein (<a href='/en-us/products/unavailable/human-kidney-tissue-lysate-total-protein-ab30203'>ab30203</a>) at 20 µg

Lane 2:

Kidney (Mouse) Tissue Lysate at 20 µg

Lane 3:

Kidney (Rat) Tissue Lysate at 20 µg

Secondary

All lanes:

Western blot - Goat Anti-Mouse IgG H&L (HRP) preadsorbed (<a href='/en-us/products/secondary-antibodies/goat-mouse-igg-h-l-hrp-preadsorbed-ab97040'>ab97040</a>) at 1/5000 dilution

Predicted band size: 112 kDa

Observed band size: 102 kDa,28 kDa,60 kDa

true

Exposure time: 2min

Key facts

Host species

Mouse

Clonality

Monoclonal

Clone number

M7-PB-E9

Isotype

IgG1

Carrier free

No

Reacts with

Mouse, Rat, Human

Applications

ICC/IF, IP, WB, IHC-P, Flow Cyt

applications

Immunogen

Native Full Length Protein corresponding to Sheep ATP1A1. The exact immunogen used to generate this antibody is proprietary information.

P04074

Epitope

This antibody recognizes an epitope between amino acid residues 646 and 652 of the sheep kidney alpha sodium / potassium ATPase.

Specificity

Detects pan alpha sodium / potassium ATPase. The antibody binds all alpha subunits in sheep, dog, pig, human and chicken. It does not bind alpha 1 or 2 in rat, but does bind alpha 3.

Reactivity data

{ "title": "Reactivity Data", "filters": { "stats": ["", "Species", "Dilution Info", "Notes"], "tabs": { "all-applications": {"fullname" : "All Applications", "shortname": "All Applications"}, "IP" : {"fullname" : "Immunoprecipitation", "shortname":"IP"}, "FlowCyt" : {"fullname" : "Flow Cytometry", "shortname":"Flow Cyt"}, "WB" : {"fullname" : "Western blot", "shortname":"WB"}, "IHCP" : {"fullname" : "Immunohistochemistry (Formalin/PFA-fixed paraffin-embedded sections)", "shortname":"IHC-P"}, "ICCIF" : {"fullname" : "Immunocytochemistry/ Immunofluorescence", "shortname":"ICC/IF"} }, "product-promise": { "all": "all", "testedAndGuaranteed": "tested", "guaranteed": "expected", "predicted": "predicted", "notRecommended": "not-recommended" } }, "values": { "Human": { "IP-species-checked": "guaranteed", "IP-species-dilution-info": "", "IP-species-notes": "", "FlowCyt-species-checked": "testedAndGuaranteed", "FlowCyt-species-dilution-info": "1/100", "FlowCyt-species-notes": "<p><a href='/en-us/products/primary-antibodies/mouse-igg1-kappa-monoclonal-15-6e10a7-isotype-control-ab170190'>ab170190</a> - Mouse monoclonal IgG1, is suitable for use as an isotype control with this antibody.</p>", "WB-species-checked": "guaranteed", "WB-species-dilution-info": "", "WB-species-notes": "", "IHCP-species-checked": "guaranteed", "IHCP-species-dilution-info": "1/100 - 1/200", "IHCP-species-notes": "<p></p>", "ICCIF-species-checked": "testedAndGuaranteed", "ICCIF-species-dilution-info": "1/20", "ICCIF-species-notes": "<p></p>" }, "Mouse": { "IP-species-checked": "testedAndGuaranteed", "IP-species-dilution-info": "1/100 - 1/200", "IP-species-notes": "<p></p>", "FlowCyt-species-checked": "guaranteed", "FlowCyt-species-dilution-info": "", "FlowCyt-species-notes": "", "WB-species-checked": "testedAndGuaranteed", "WB-species-dilution-info": "1/500", "WB-species-notes": "<p></p>", "IHCP-species-checked": "guaranteed", "IHCP-species-dilution-info": "1/100 - 1/200", "IHCP-species-notes": "<p></p>", "ICCIF-species-checked": "guaranteed", "ICCIF-species-dilution-info": "", "ICCIF-species-notes": "" }, "Rat": { "IP-species-checked": "predicted", "IP-species-dilution-info": "", "IP-species-notes": "", "FlowCyt-species-checked": "predicted", "FlowCyt-species-dilution-info": "", "FlowCyt-species-notes": "", "WB-species-checked": "predicted", "WB-species-dilution-info": "", "WB-species-notes": "", "IHCP-species-checked": "guaranteed", "IHCP-species-dilution-info": "1/100 - 1/200", "IHCP-species-notes": "<p></p>", "ICCIF-species-checked": "predicted", "ICCIF-species-dilution-info": "", "ICCIF-species-notes": "" } } }

Properties and storage information

Form
Liquid
Purification technique
Affinity purification Protein A
Storage buffer
Preservative: 0.05% Sodium azide Constituents: 0.1% BSA
Shipped at conditions
Blue Ice
Appropriate short-term storage duration
1-2 weeks
Appropriate short-term storage conditions
+4°C
Appropriate long-term storage conditions
-20°C
Aliquoting information
Upon delivery aliquot
Storage information
Avoid freeze / thaw cycle

Supplementary information

This supplementary information is collated from multiple sources and compiled automatically.

Pan ATPase Alpha also known as 'alpha pan' or 'pb alpha' is a protein complex with an approximate molecular mass of 100 kDa. It is part of a larger family of ATPases which hydrolyze ATP to ADP releasing energy used in various cellular processes. The protein is expressed in diverse tissues in the body reflecting its essential role in cellular metabolism. It consists of multiple subunits that work together to maintain the proton gradient across membranes important for energy homeostasis.
Biological function summary

Different subunits of ATPase Alpha are important for cellular energy metabolism and are part of a larger enzymatic complex. This complex facilitates proton translocation in cellular organelles contributing to energy conversion processes. Through ATP hydrolysis this protein helps maintain ion gradients which are employed by cells for multiple functions such as nutrient uptake and pH balance. The machinery provided by ATPase Alpha is vital for cell survival and function.

Pathways

The activity of ATPase Alpha integrates into significant metabolic pathways such as oxidative phosphorylation and glycolysis. It is central in energy transduction providing ATP required for many cellular activities. The protein modulates activity in conjunction with other components like the cytochrome c oxidase complex in the mitochondrial electron transport chain playing a role in producing the cell's energy currency. Pan ATPase Alpha's ability to interface with glycolysis allows cells to effectively manage energy production and consumption.

Abnormal levels of ATPase Alpha are linked to conditions such as metabolic syndrome and neurodegenerative diseases. In metabolic syndrome dysregulation of ATPase Alpha may contribute to impaired energy metabolism and insulin resistance. Additionally alterations in its function can relate to neurodegenerative disorders where mitochondrial dysfunction is prevalent. In these diseases ATPase Alpha interacts with other key proteins such as amyloid precursor protein in Alzheimer's disease indicating its possible role in disease pathogenesis and progression.

Product protocols

For this product, it's our understanding that no specific protocols are required. You can visit:

Target data

This is the catalytic component of the active enzyme, which catalyzes the hydrolysis of ATP coupled with the exchange of sodium and potassium ions across the plasma membrane. This action creates the electrochemical gradient of sodium and potassium ions, providing the energy for active transport of various nutrients (By similarity). Could also be part of an osmosensory signaling pathway that senses body-fluid sodium levels and controls salt intake behavior as well as voluntary water intake to regulate sodium homeostasis (By similarity).
See full target information ATP1A1

Publications (9)

Recent publications for all applications. Explore the full list and refine your search

Neuropathology and applied neurobiology 48:e12811 PubMed35274343

2022

Extracellular tau oligomers affect extracellular glutamate handling by astrocytes through downregulation of GLT-1 expression and impairment of NKA1A2 function.

Applications

Unspecified application

Species

Unspecified reactive species

Domenica Donatella Li Puma,Cristian Ripoli,Giulia Puliatti,Francesco Pastore,Giacomo Lazzarino,Barbara Tavazzi,Ottavio Arancio,Roberto Piacentini,Claudio Grassi

International journal of molecular sciences 23: PubMed35008753

2021

Berberine Decreases Intestinal GLUT2 Translocation and Reduces Intestinal Glucose Absorption in Mice.

Applications

Unspecified application

Species

Unspecified reactive species

Min Zhang,Hongyan Yang,Erwan Yang,Jia Li,Ling Dong

International journal of molecular sciences 22: PubMed34066474

2021

Mesenchymal Stem Cell-Derived Extracellular Vesicles Protect Human Corneal Endothelial Cells from Endoplasmic Reticulum Stress-Mediated Apoptosis.

Applications

Unspecified application

Species

Unspecified reactive species

Lola Buono,Simona Scalabrin,Marco De Iuliis,Adele Tanzi,Cristina Grange,Marta Tapparo,Raffaele Nuzzi,Benedetta Bussolati

Frontiers in neuroscience 13:831 PubMed31440132

2019

β-Catenin Controls the Electrophysiologic Properties of Skeletal Muscle Cells by Regulating the α2 Isoform of Na/K-ATPase.

Applications

Unspecified application

Species

Unspecified reactive species

Congying Zhao,Yonglin Yu,Yi Zhang,Jue Shen,Lihua Jiang,Guoxia Sheng,Weiqin Zhang,Lu Xu,Kewen Jiang,Shanshan Mao,Peifang Jiang,Feng Gao

British journal of pharmacology 176:787-800 PubMed30592786

2019

Epigenetic events involved in organic cation transporter 1-dependent impaired response of hepatocellular carcinoma to sorafenib.

Applications

Unspecified application

Species

Unspecified reactive species

Ruba Al-Abdulla,Elisa Lozano,Rocio I R Macias,Maria J Monte,Oscar Briz,Colm J O'Rourke,Maria A Serrano,Jesus M Banales,Matias A Avila,Maria L Martinez-Chantar,Andreas Geier,Jesper B Andersen,Jose J G Marin

The Journal of pathology 246:217-230 PubMed29984492

2018

Increased jejunal permeability in human obesity is revealed by a lipid challenge and is linked to inflammation and type 2 diabetes.

Applications

Unspecified application

Species

Unspecified reactive species

Laurent Genser,Doriane Aguanno,Hédi A Soula,Liping Dong,Laurence Trystram,Karen Assmann,Joe-Elie Salem,Jean-Christophe Vaillant,Jean-Michel Oppert,Fabienne Laugerette,Marie-Caroline Michalski,Philippe Wind,Monique Rousset,Edith Brot-Laroche,Armelle Leturque,Karine Clément,Sophie Thenet,Christine Poitou

Diabetes 60:2598-607 PubMed21852673

2011

GLUT2 accumulation in enterocyte apical and intracellular membranes: a study in morbidly obese human subjects and ob/ob and high fat-fed mice.

Applications

IHC-Fr, WB

Species

Human, Human

Amal Ait-Omar,Milena Monteiro-Sepulveda,Christine Poitou,Maude Le Gall,Aurélie Cotillard,Jules Gilet,Kevin Garbin,Anne Houllier,Danièle Château,Amélie Lacombe,Nicolas Veyrie,Danielle Hugol,Joan Tordjman,Christophe Magnan,Patricia Serradas,Karine Clément,Armelle Leturque,Edith Brot-Laroche

Nano letters 9:4489-93 PubMed19807066

2009

Localization of Na+-K+ ATPases in quasi-native cell membranes.

Applications

Unspecified application

Species

Human

Junguang Jiang,Xian Hao,Mingjun Cai,Yuping Shan,Xin Shang,Zhiyong Tang,Hongda Wang

Biochimica et biophysica acta 719:413-23 PubMed6295504

1982

Isolation and characterization of monoclonal antibodies to (Na+ + K+)-ATPase.

Applications

Unspecified application

Species

Unspecified reactive species

W J Ball,A Schwartz,J L Lessard
View all publications

Product promise

We are committed to supporting your work with high-quality reagents, and we're here for you every step of the way. In the unlikely event that one of our products does not perform as expected, you're protected by our Product Promise.
For full details, please see our Terms & Conditions

Please note: All products are 'FOR RESEARCH USE ONLY. NOT FOR USE IN DIAGNOSTIC OR THERAPEUTIC PROCEDURES'.

For licensing inquiries, please contact partnerships@abcam.com