JavaScript is disabled in your browser. Please enable JavaScript to view this website.
AB314433

Anti-pan Brd4 antibody [EPR25424-71] - BSA and Azide free

  • BOND RX™ Validated
  • Recombinant
  • Advanced Validation
  • RabMAb
  • What is this?

Be the first to review this product! Submit a review

|

(0 Publication)

Rabbit Recombinant Monoclonal BRD4 antibody. Carrier free. Suitable for WB, IHC-P, Flow Cyt (Intra), ICC/IF, IP, ChIP-seq and reacts with Human, Mouse, Rat samples.

View Alternative Names

HUNK1, BRD4, Bromodomain-containing protein 4, Protein HUNK1

15 Images
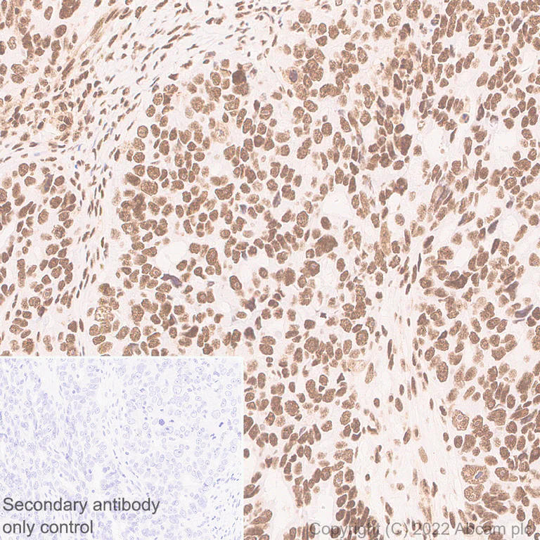
Immunohistochemistry (Formalin/PFA-fixed paraffin-embedded sections) - Anti-pan Brd4 antibody [EPR25424-71] - BSA and Azide free (AB314433)
  • IHC-P

Supplier Data

Immunohistochemistry (Formalin/PFA-fixed paraffin-embedded sections) - Anti-pan Brd4 antibody [EPR25424-71] - BSA and Azide free (AB314433)

This data was developed using ab314432, the same antibody clone in a different buffer formulation. Immunohistochemical analysis of paraffin-embedded human ovarian cancer tissue labeling pan Brd4 with ab314432 at 1/2000 (0.235 ug/ml) followed by a ready to use LeicaDS9800 (Bond™ Polymer Refine Detection). Nuclear staining on human ovarian cancer (PMID : 32044108). The section was incubated with ab314432 for 30 mins at room temperature. The immunostaining was performed on a Leica Biosystems BOND® RX instrument. Incubate slides with 3% Hydrogen Peroxide for 10 mins at room temperature after secondary antibody incubation to reduce the background. Counterstained with Hematoxylin. Secondary antibody only control : Secondary antibody is a ready to use LeicaDS9800 (Bond™ Polymer Refine Detection). Heat mediated antigen retrieval was performed with Tris-EDTA buffer (pH 9.0, Epitope Retrieval Solution2) for 20 mins.

Flow Cytometry (Intracellular) - Anti-pan Brd4 antibody [EPR25424-71] - BSA and Azide free (AB314433)
  • Flow Cyt (Intra)

Supplier Data

Flow Cytometry (Intracellular) - Anti-pan Brd4 antibody [EPR25424-71] - BSA and Azide free (AB314433)

This data was developed using ab314432, the same antibody clone in a different buffer formulation. Flow cytometric analysis of 4% paraformaldehyde fixed 90% methanol permeabilized K-562 (human chronic myelogenous leukemia lymphoblast) cells labelling pan Brd4 with ab314432 at 1/500 dilution (0.1 ug, Red) compared with a Rabbit monoclonal IgG (ab172730) (Black) isotype control and an unlabelled control (cells without incubation with primary antibody and secondary antibody) (Blue). A Goat Anti-Rabbit IgG (Alexa Fluor® 488, ab150081) at 1/5000 dilution was used as the secondary antibody.

Immunocytochemistry/ Immunofluorescence - Anti-pan Brd4 antibody [EPR25424-71] - BSA and Azide free (AB314433)
  • ICC/IF

Supplier Data

Immunocytochemistry/ Immunofluorescence - Anti-pan Brd4 antibody [EPR25424-71] - BSA and Azide free (AB314433)

This data was developed using ab314432, the same antibody clone in a different buffer formulation. Immunofluorescent analysis of 4% Paraformaldehyde-fixed, 0.1% TritonX-100 permeabilized K-562 (human chronic myelogenous leukemia lymphoblast) cells labelling pan Brd4 with ab314432 at 1/500 (0.94 ug/ml) dilution, followed by ab150081 Goat Anti-Rabbit IgG H&L (Alexa Fluor® 488) preadsorbed antibody at 1/1004 (2ug/ml) dilution (Green). Confocal image showing nuclear staining in K-562 cell line. Image was taken with a confocal microscope(Leica-Microsystems, TCS SP8). ab195889 Anti-alpha Tubulin mouse monoclonal antibody - Microtubule Marker (Alexa Fluor® 594) was used to counterstain tubulin at 1/200 (2.5ug/ml) dilution (Red). The Nuclear counterstain was DAPI (Blue). Secondary antibody only control : Secondary antibody is ab150081 Goat Anti-Rabbit IgG H&L (Alexa Fluor® 488) preadsorbed at 1/1004 (2ug/ml) dilution.

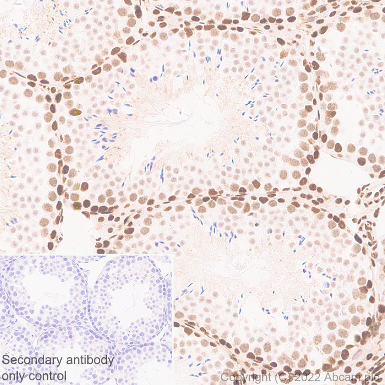
Immunohistochemistry (Formalin/PFA-fixed paraffin-embedded sections) - Anti-pan Brd4 antibody [EPR25424-71] - BSA and Azide free (AB314433)
  • IHC-P

Supplier Data

Immunohistochemistry (Formalin/PFA-fixed paraffin-embedded sections) - Anti-pan Brd4 antibody [EPR25424-71] - BSA and Azide free (AB314433)

This data was developed using ab314432, the same antibody clone in a different buffer formulation. Immunohistochemical analysis of paraffin-embedded human testis tissue labeling pan Brd4 with ab314432 at 1/2000 (0.235 ug/ml) followed by a ready to use LeicaDS9800 (Bond™ Polymer Refine Detection). Nuclear staining on human testis. The section was incubated with ab314432 for 30 mins at room temperature. The immunostaining was performed on a Leica Biosystems BOND® RX instrument. Incubate slides with 3% Hydrogen Peroxide for 10 mins at room temperature after secondary antibody incubation to reduce the background. Counterstained with Hematoxylin. Secondary antibody only control : Secondary antibody is a ready to use LeicaDS9800 (Bond™ Polymer Refine Detection). Heat mediated antigen retrieval was performed with Tris-EDTA buffer (pH 9.0, Epitope Retrieval Solution2) for 20 mins.

ChIP-sequencing - Anti-pan Brd4 antibody [EPR25424-71] - BSA and Azide free (AB314433)
  • ChIP-seq

Supplier Data

ChIP-sequencing - Anti-pan Brd4 antibody [EPR25424-71] - BSA and Azide free (AB314433)

This data was developed using ab314432, the same antibody clone in a different buffer formulation. Chromatin was prepared from K562 cells. Cells were fixed with 1% formaldehyde for 10 minutes. ChIP was performed with 10^7 cells and 8 µg of ab314432 [EPR25424-71]. ChIP DNA was sequenced on the Illumina NovaSeq 6000 to a depth of 30 million reads. The Input control is also shown.

ChIP-sequencing - Anti-pan Brd4 antibody [EPR25424-71] - BSA and Azide free (AB314433)
  • ChIP-seq

Supplier Data

ChIP-sequencing - Anti-pan Brd4 antibody [EPR25424-71] - BSA and Azide free (AB314433)

This data was developed using ab314432, the same antibody clone in a different buffer formulation. Chromatin was prepared from K562 cells. Cells were fixed with 1% formaldehyde for 10 minutes. ChIP was performed with 10^7 cells and 8 µg of ab314432 [EPR25424-71]. ChIP DNA was sequenced on the Illumina NovaSeq 6000 to a depth of 30 million reads. The Input control is also shown.

ChIP-sequencing - Anti-pan Brd4 antibody [EPR25424-71] - BSA and Azide free (AB314433)
  • ChIP-seq

Supplier Data

ChIP-sequencing - Anti-pan Brd4 antibody [EPR25424-71] - BSA and Azide free (AB314433)

This data was developed using ab314432, the same antibody clone in a different buffer formulation. Chromatin was prepared from K562 cells. Cells were fixed with 1% formaldehyde for 10 minutes. ChIP was performed with 10^7 cells and 8 µg of ab314432 [EPR25424-71]. ChIP DNA was sequenced on the Illumina NovaSeq 6000 to a depth of 30 million reads. The Input control is also shown.

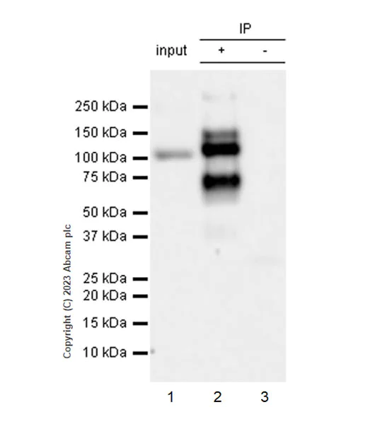
Immunoprecipitation - Anti-pan Brd4 antibody [EPR25424-71] - BSA and Azide free (AB314433)
  • IP

Supplier Data

Immunoprecipitation - Anti-pan Brd4 antibody [EPR25424-71] - BSA and Azide free (AB314433)

This data was developed using ab314432, the same antibody clone in a different buffer formulation. pan Brd4 was immunoprecipitated from 0.35 mg K-562 (human chronic myelogenous leukemia lymphoblast) whole cell lysate with ab314432 at 1/30 dilution (2ug in 0.35mg lysates). Western blot was performed on the immunoprecipitate using ab314432 at 1/1000 dilution. VeriBlot for IP secondary antibody(HRP)(ab131366) was used at 1/5000 dilution. Lane 1 : K-562 (human chronic myelogenous leukemia lymphoblast) whole cell lysate Lane 2 : ab314432 IP in K-562 (human chronic myelogenous leukemia lymphoblast) whole cell lysate Lane 3 : Rabbit monoclonal IgG (ab172730) instead of ab314432 in K-562 whole cell lysate Blocking and dilution buffer and concentration : 5% NFDM/TBST.

All lanes:

Immunoprecipitation - Anti-pan Brd4 antibody [EPR25424-71] (<a href='/en-us/products/primary-antibodies/pan-brd4-antibody-epr25424-71-ab314432'>ab314432</a>) at 1/30 dilution

All lanes:

K-562 (human chronic myelogenous leukemia lymphoblast) whole cell lysate

Secondary

All lanes:

Immunoprecipitation - VeriBlot for IP Detection Reagent (HRP) (<a href='/en-us/products/reagents/veriblot-for-ip-detection-reagent-hrp-ab131366'>ab131366</a>) at 1/5000 dilution

false

Exposure time: 32s

Immunohistochemistry (Formalin/PFA-fixed paraffin-embedded sections) - Anti-pan Brd4 antibody [EPR25424-71] - BSA and Azide free (AB314433)
  • IHC-P

Supplier Data

Immunohistochemistry (Formalin/PFA-fixed paraffin-embedded sections) - Anti-pan Brd4 antibody [EPR25424-71] - BSA and Azide free (AB314433)

This data was developed using ab314432, the same antibody clone in a different buffer formulation. Immunohistochemical analysis of paraffin-embedded rat testis tissue labeling pan Brd4 with ab314432 at 1/2000 (0.235 ug/ml) followed by a ready to use LeicaDS9800 (Bond™ Polymer Refine Detection). Nuclear staining on rat testis. The section was incubated with ab314432 for 30 mins at room temperature. The immunostaining was performed on a Leica Biosystems BOND® RX instrument. Incubate slides with 3% Hydrogen Peroxide for 10 mins at room temperature after secondary antibody incubation to reduce the background. Counterstained with Hematoxylin. Secondary antibody only control : Secondary antibody is a ready to use LeicaDS9800 (Bond™ Polymer Refine Detection). Heat mediated antigen retrieval was performed with Tris-EDTA buffer (pH 9.0, Epitope Retrieval Solution2) for 20 mins.

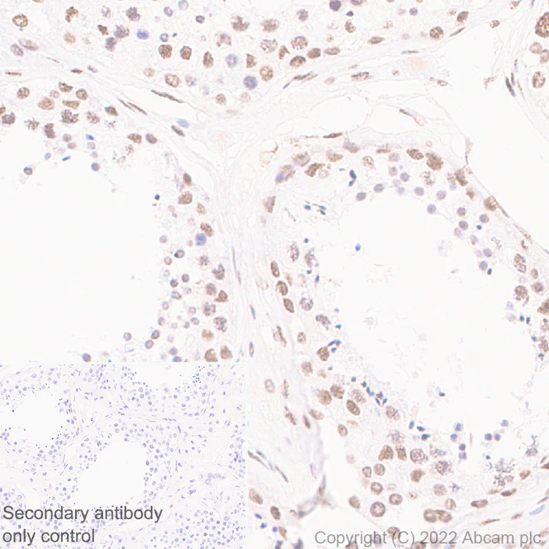
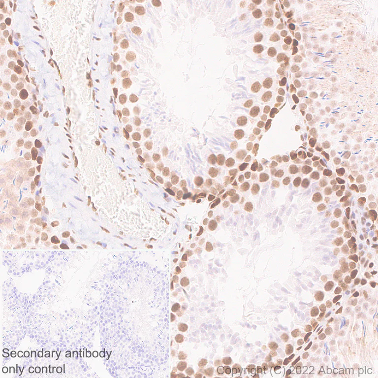
Immunohistochemistry (Formalin/PFA-fixed paraffin-embedded sections) - Anti-pan Brd4 antibody [EPR25424-71] - BSA and Azide free (AB314433)
  • IHC-P

Supplier Data

Immunohistochemistry (Formalin/PFA-fixed paraffin-embedded sections) - Anti-pan Brd4 antibody [EPR25424-71] - BSA and Azide free (AB314433)

This data was developed using ab314432, the same antibody clone in a different buffer formulation. Immunohistochemical analysis of paraffin-embedded mouse testis tissue labeling pan Brd4 with ab314432 at 1/2000 (0.235 ug/ml) followed by a ready to use LeicaDS9800 (Bond™ Polymer Refine Detection). Nuclear staining on mouse testis. The section was incubated with ab314432 for 30 mins at room temperature. The immunostaining was performed on a Leica Biosystems BOND® RX instrument. Incubate slides with 3% Hydrogen Peroxide for 10 mins at room temperature after secondary antibody incubation to reduce the background. Counterstained with Hematoxylin. Secondary antibody only control : Secondary antibody is a ready to use LeicaDS9800 (Bond™ Polymer Refine Detection). Heat mediated antigen retrieval was performed with Tris-EDTA buffer (pH 9.0, Epitope Retrieval Solution2) for 20 mins.

Flow Cytometry (Intracellular) - Anti-pan Brd4 antibody [EPR25424-71] - BSA and Azide free (AB314433)
  • Flow Cyt (Intra)

Supplier Data

Flow Cytometry (Intracellular) - Anti-pan Brd4 antibody [EPR25424-71] - BSA and Azide free (AB314433)

This data was developed using ab314432, the same antibody clone in a different buffer formulation. Flow cytometric analysis of 4% paraformaldehyde fixed 90% methanol permeabilized NIH/3T3 (mouse embryonic fibroblast) cells labelling pan Brd4 with ab314432 at 1/500 dilution (0.1 ug, Red) compared with a Rabbit monoclonal IgG (ab172730) (Black) isotype control and an unlabelled control (cells without incubation with primary antibody and secondary antibody) (Blue). A Goat Anti-Rabbit IgG (Alexa Fluor® 488, ab150081) at 1/5000 dilution was used as the secondary antibody.

Immunocytochemistry/ Immunofluorescence - Anti-pan Brd4 antibody [EPR25424-71] - BSA and Azide free (AB314433)
  • ICC/IF

Supplier Data

Immunocytochemistry/ Immunofluorescence - Anti-pan Brd4 antibody [EPR25424-71] - BSA and Azide free (AB314433)

This data was developed using ab314432, the same antibody clone in a different buffer formulation. Immunofluorescent analysis of 4% Paraformaldehyde-fixed, 0.1% TritonX-100 permeabilized NIH/3T3 (mouse embryonic fibroblast) cells labelling pan Brd4 with ab314432 at 1/500 (0.94 ug/ml) dilution, followed by ab150081 Goat Anti-Rabbit IgG H&L (Alexa Fluor® 488) preadsorbed antibody at 1/1005 (2ug/ml) dilution (Green). Confocal image showing nuclear staining in NIH/3T3 cell line. Image was taken with a confocal microscope(Leica-Microsystems, TCS SP8). ab195889 Anti-alpha Tubulin mouse monoclonal antibody - Microtubule Marker (Alexa Fluor® 594) was used to counterstain tubulin at 1/200 (2.5ug/ml) dilution (Red). The Nuclear counterstain was DAPI (Blue). Secondary antibody only control : Secondary antibody is ab150081 Goat Anti-Rabbit IgG H&L (Alexa Fluor® 488) preadsorbed at 1/1005 (2ug/ml) dilution.

Immunoprecipitation - Anti-pan Brd4 antibody [EPR25424-71] - BSA and Azide free (AB314433)
  • IP

Supplier Data

Immunoprecipitation - Anti-pan Brd4 antibody [EPR25424-71] - BSA and Azide free (AB314433)

This data was developed using ab314432, the same antibody clone in a different buffer formulation. pan Brd4 was immunoprecipitated from 0.35 mg ES-D3 [D3]  (mouse blastocyst-derived embryonic stem cell) whole cell lysate with ab314432 at 1/30 dilution (2ug in 0.35mg lysates). Western blot was performed on the immunoprecipitate using ab314432 at 1/1000 dilution. VeriBlot for IP secondary antibody(HRP)(ab131366) was used at 1/5000 dilution. Lane 1 : ES-D3 [D3]  (mouse blastocyst-derived embryonic stem cell) whole cell lysate Lane 2 : ab314432 IP in ES-D3 [D3]  (mouse blastocyst-derived embryonic stem cell) whole cell lysate Lane 3 : Rabbit monoclonal IgG (ab172730) instead of ab314432 in ES-D3 [D3] whole cell lysate Blocking and dilution buffer and concentration : 5% NFDM/TBST.

All lanes:

Immunoprecipitation - Anti-pan Brd4 antibody [EPR25424-71] (<a href='/en-us/products/primary-antibodies/pan-brd4-antibody-epr25424-71-ab314432'>ab314432</a>) at 1/30 dilution

All lanes:

ES-D3 [D3]  (mouse blastocyst-derived embryonic stem cell) whole cell lysate

Secondary

All lanes:

Immunoprecipitation - VeriBlot for IP Detection Reagent (HRP) (<a href='/en-us/products/reagents/veriblot-for-ip-detection-reagent-hrp-ab131366'>ab131366</a>) at 1/5000 dilution

false

Exposure time: 5s

Western blot - Anti-pan Brd4 antibody [EPR25424-71] - BSA and Azide free (AB314433)
  • WB

Supplier Data

Western blot - Anti-pan Brd4 antibody [EPR25424-71] - BSA and Azide free (AB314433)

This data was developed using ab314432, the same antibody clone in a different buffer formulation. Blocking and diluting buffer and concentration : 5% NFDM/TBST In Western blot, Anti-GAPDH antibody [EPR16891] - Loading Control (ab181602) staining at 1/200000 dilution. In Western blot, Anti-Brd4L antibody [EPR25425-23] (ab289886) staining at 1/1000 dilution.

All lanes:

Western blot - Anti-pan Brd4 antibody [EPR25424-71] (<a href='/en-us/products/primary-antibodies/pan-brd4-antibody-epr25424-71-ab314432'>ab314432</a>) at 1/1000 dilution

Lane 1:

293T (human embryonic kidney epithelial cell) transfected with scrambled siRNA control whole cell lysate at 20 µg

Lane 2:

293T transfected with siRNA specifically targeti Brd4 whole cell lysate at 20 µg

Secondary

All lanes:

Western blot - Goat Anti-Rabbit IgG H&L (HRP) (<a href='/en-us/products/secondary-antibodies/goat-rabbit-igg-h-l-hrp-ab97051'>ab97051</a>) at 1/100000 dilution

Observed band size: 110 kDa,200 kDa

false

Exposure time: 180s

Western blot - Anti-pan Brd4 antibody [EPR25424-71] - BSA and Azide free (AB314433)
  • WB

Supplier Data

Western blot - Anti-pan Brd4 antibody [EPR25424-71] - BSA and Azide free (AB314433)

This data was developed using ab314432, the same antibody clone in a different buffer formulation.

Blocking and diluting buffer and concentration : 5% NFDM/TBST.

Lysates were freshly made and used for Western blotting immediately to minimize protein degradation.

The identity of the bands between 37 kDa and 100 kDa are unknown.

Exposure time : Lanes 1-3 : 81 seconds; Lane 4 : 3 seconds; Lane 5 : 81 seconds.

All lanes:

Western blot - Anti-pan Brd4 antibody [EPR25424-71] (<a href='/en-us/products/primary-antibodies/pan-brd4-antibody-epr25424-71-ab314432'>ab314432</a>) at 1/1000 dilution

Lane 1:

293T (human embryonic kidney epithelial cell) whole cell lysate at 20 µg

Lane 2:

NIH/3T3 (mouse embryonic fibroblast) whole cell lysate at 20 µg

Lane 3:

PC-12 (rat adrenal gland pheochromocytoma cell) whole cell lysate at 20 µg

Lane 4:

K-562 (human chronic myelogenous leukemia lymphoblast) whole cell lysate at 20 µg

Lane 5:

ES-D3 D3  (mouse blastocyst-derived embryonic stem cell) whole cell lysate at 20 µg

Secondary

All lanes:

Western blot - Goat Anti-Rabbit IgG H&L (HRP) (<a href='/en-us/products/secondary-antibodies/goat-rabbit-igg-h-l-hrp-ab97051'>ab97051</a>) at 1/100000 dilution

Observed band size: 110 kDa,200 kDa

false

Key facts

Host species

Rabbit

Clonality

Monoclonal

Clone number

EPR25424-71

Isotype

IgG

Carrier free

Yes

Reacts with

Human, Mouse, Rat

Applications

ChIP-seq, ICC/IF, IP, IHC-P, Flow Cyt (Intra), WB

applications

Immunogen

The exact immunogen used to generate this antibody is proprietary information.

Reactivity data

{ "title": "Reactivity Data", "filters": { "stats": ["", "Species", "Dilution Info", "Notes"], "tabs": { "all-applications": {"fullname" : "All Applications", "shortname": "All Applications"}, "WB" : {"fullname" : "Western blot", "shortname":"WB"}, "IHCP" : {"fullname" : "Immunohistochemistry (Formalin/PFA-fixed paraffin-embedded sections)", "shortname":"IHC-P"}, "FlowCytIntra" : {"fullname" : "Flow Cytometry (Intracellular)", "shortname":"Flow Cyt (Intra)"}, "ICCIF" : {"fullname" : "Immunocytochemistry/ Immunofluorescence", "shortname":"ICC/IF"}, "IP" : {"fullname" : "Immunoprecipitation", "shortname":"IP"}, "ChIPseq" : {"fullname" : "ChIP-sequencing", "shortname":"ChIP-seq"} }, "product-promise": { "all": "all", "testedAndGuaranteed": "tested", "guaranteed": "expected", "predicted": "predicted", "notRecommended": "not-recommended" } }, "values": { "Human": { "WB-species-checked": "testedAndGuaranteed", "WB-species-dilution-info": "", "WB-species-notes": "<p></p>", "IHCP-species-checked": "testedAndGuaranteed", "IHCP-species-dilution-info": "", "IHCP-species-notes": "<p></p>", "FlowCytIntra-species-checked": "testedAndGuaranteed", "FlowCytIntra-species-dilution-info": "", "FlowCytIntra-species-notes": "<p></p>", "ICCIF-species-checked": "testedAndGuaranteed", "ICCIF-species-dilution-info": "", "ICCIF-species-notes": "<p></p>", "IP-species-checked": "testedAndGuaranteed", "IP-species-dilution-info": "", "IP-species-notes": "<p></p>", "ChIPseq-species-checked": "testedAndGuaranteed", "ChIPseq-species-dilution-info": "", "ChIPseq-species-notes": "<p></p>" }, "Mouse": { "WB-species-checked": "testedAndGuaranteed", "WB-species-dilution-info": "", "WB-species-notes": "<p></p>", "IHCP-species-checked": "testedAndGuaranteed", "IHCP-species-dilution-info": "", "IHCP-species-notes": "<p></p>", "FlowCytIntra-species-checked": "testedAndGuaranteed", "FlowCytIntra-species-dilution-info": "", "FlowCytIntra-species-notes": "<p></p>", "ICCIF-species-checked": "testedAndGuaranteed", "ICCIF-species-dilution-info": "", "ICCIF-species-notes": "<p></p>", "IP-species-checked": "testedAndGuaranteed", "IP-species-dilution-info": "", "IP-species-notes": "<p></p>", "ChIPseq-species-checked": "guaranteed", "ChIPseq-species-dilution-info": "", "ChIPseq-species-notes": "" }, "Rat": { "WB-species-checked": "testedAndGuaranteed", "WB-species-dilution-info": "", "WB-species-notes": "<p></p>", "IHCP-species-checked": "testedAndGuaranteed", "IHCP-species-dilution-info": "", "IHCP-species-notes": "<p></p>", "FlowCytIntra-species-checked": "guaranteed", "FlowCytIntra-species-dilution-info": "", "FlowCytIntra-species-notes": "", "ICCIF-species-checked": "guaranteed", "ICCIF-species-dilution-info": "", "ICCIF-species-notes": "", "IP-species-checked": "guaranteed", "IP-species-dilution-info": "", "IP-species-notes": "", "ChIPseq-species-checked": "guaranteed", "ChIPseq-species-dilution-info": "", "ChIPseq-species-notes": "" } } }

Product details

Patented technology
Our RabMAb® technology is a patented hybridoma-based technology for making rabbit monoclonal antibodies. For details on our patents, please refer to RabMAb® patents.

What are the advantages of a recombinant monoclonal antibody?
This product is a recombinant monoclonal antibody, which offers several advantages including:

  • - High batch-to-batch consistency and reproducibility
  • - Improved sensitivity and specificity
  • - Long-term security of supply
  • - Animal-free batch production

For more information, read more on recombinant antibodies.

Conjugation ready
Our carrier-free antibodies are typically supplied in a PBS-only formulation, purified and free of BSA, sodium azide and glycerol. This conjugation-ready format is designed for use with fluorochromes, metal isotopes, oligonucleotides, and enzymes, which makes them ideal for antibody labelling, functional and cell-based assays, flow-based assays (e.g. mass cytometry) and Multiplex Imaging applications.

Use our conjugation kits for antibody conjugates that are ready-to-use in as little as 20 minutes with 1 minute hands-on-time and 100% antibody recovery: available for fluorescent dyes, HRP, biotin and gold.

Compatibility
This product is compatible with the Maxpar® Antibody Labeling Kit from Fluidigm, without the need for antibody preparation. Maxpar® is a trademark of Fluidigm Canada Inc.

Properties and storage information

Form
Liquid
Purification technique
Affinity purification Protein A
Storage buffer
pH: 7.2 - 7.4 Constituents: PBS
Shipped at conditions
Blue Ice
Appropriate short-term storage conditions
+4°C
Appropriate long-term storage conditions
+4°C

Supplementary information

This supplementary information is collated from multiple sources and compiled automatically.

Pan Brd4 also known as bromodomain-containing protein 4 belongs to the BET family. This protein often acts as an epigenetic reader recognizing acetylated lysine residues on histone tails. Brd4 has two bromodomains which contribute to its function in regulating gene expression by facilitating the assembly of transcriptional complexes. The Brd4 molecular weight varies depending on its isoforms with the short form around 75 kDa and the long form approximately 150 kDa. Brd4 is expressed widely across various tissues including the heart brain and testis.
Biological function summary

Brd4 plays an essential role in transcriptional regulation and control of gene expression. It interacts with multiple transcription factors and serves as a critical component of the super-enhancer complex where it aids in the recruitment of RNA polymerase II. Brd4 links the chromatin environment to transcription machinery facilitating transitions from chromatin condensation to active transcription. Furthermore Brd4 involvement extends to the regulation of cell cycle progression and mitotic bookmarking ensuring the retention of transcriptional memory through cell divisions.

Pathways

Brd4 integrates into vital cellular processes influencing inflammation and cancer pathways. In the context of the inflammatory pathway Brd4 associates with NF-kB a significant transcription factor in immune response regulation. For cancer pathways Brd4 influences MYC a well-recognized oncogene by driving its expression and subsequent cellular proliferation. These interactions highlight Brd4 as a prominent node in transcription regulation connecting to significant proteins involved in cellular growth and inflammation responses.

Brd4 significance emerges in cancer and cardiovascular diseases. In cancer such as acute myeloid leukemia Brd4 aberrantly regulates MYC resulting in uncontrolled cell proliferation and tumor growth. The connection here with MYC underpins Brd4's pivotal role in oncogenesis. In cardiovascular conditions Brd4 influences inflammatory gene expression contributing to pathologies like atherosclerosis. These roles make Brd4 a target for therapeutic development with inhibitors being investigated for their potential in treating cancers and inflammatory disorders associated with this protein.

Product protocols

For this product, it's our understanding that no specific protocols are required. You can visit:

Target data

Chromatin reader protein that recognizes and binds acetylated histones and plays a key role in transmission of epigenetic memory across cell divisions and transcription regulation (PubMed : 20871596, PubMed : 23086925, PubMed : 23317504, PubMed : 29176719, PubMed : 29379197). Remains associated with acetylated chromatin throughout the entire cell cycle and provides epigenetic memory for postmitotic G1 gene transcription by preserving acetylated chromatin status and maintaining high-order chromatin structure (PubMed : 22334664, PubMed : 23317504, PubMed : 23589332). During interphase, plays a key role in regulating the transcription of signal-inducible genes by associating with the P-TEFb complex and recruiting it to promoters (PubMed : 16109376, PubMed : 16109377, PubMed : 19596240, PubMed : 23589332, PubMed : 24360279). Also recruits P-TEFb complex to distal enhancers, so called anti-pause enhancers in collaboration with JMJD6 (PubMed : 16109376, PubMed : 16109377, PubMed : 19596240, PubMed : 23589332, PubMed : 24360279). BRD4 and JMJD6 are required to form the transcriptionally active P-TEFb complex by displacing negative regulators such as HEXIM1 and 7SKsnRNA complex from P-TEFb, thereby transforming it into an active form that can then phosphorylate the C-terminal domain (CTD) of RNA polymerase II (PubMed : 16109376, PubMed : 16109377, PubMed : 19596240, PubMed : 23589332, PubMed : 24360279). Regulates differentiation of naive CD4(+) T-cells into T-helper Th17 by promoting recruitment of P-TEFb to promoters (By similarity). Promotes phosphorylation of 'Ser-2' of the C-terminal domain (CTD) of RNA polymerase II (PubMed : 23086925). According to a report, directly acts as an atypical protein kinase and mediates phosphorylation of 'Ser-2' of the C-terminal domain (CTD) of RNA polymerase II; these data however need additional evidences in vivo (PubMed : 22509028). In addition to acetylated histones, also recognizes and binds acetylated RELA, leading to further recruitment of the P-TEFb complex and subsequent activation of NF-kappa-B (PubMed : 19103749). Also acts as a regulator of p53/TP53-mediated transcription : following phosphorylation by CK2, recruited to p53/TP53 specific target promoters (PubMed : 23317504).. Isoform B. Acts as a chromatin insulator in the DNA damage response pathway. Inhibits DNA damage response signaling by recruiting the condensin-2 complex to acetylated histones, leading to chromatin structure remodeling, insulating the region from DNA damage response by limiting spreading of histone H2AX/H2A.x phosphorylation.
See full target information BRD4

Product promise

We are committed to supporting your work with high-quality reagents, and we're here for you every step of the way. In the unlikely event that one of our products does not perform as expected, you're protected by our Product Promise.
For full details, please see our Terms & Conditions

Please note: All products are 'FOR RESEARCH USE ONLY. NOT FOR USE IN DIAGNOSTIC OR THERAPEUTIC PROCEDURES'.

For licensing inquiries, please contact partnerships@abcam.com