JavaScript is disabled in your browser. Please enable JavaScript to view this website.
AB264485

Anti-pan Cytokeratin antibody [C-11] - BSA and Azide free

  • BOND RX™ Validated
  • Advanced Validation
  • Recombinant
  • What is this?

Be the first to review this product! Submit a review

|

(1 Publication)

Anti-pan Cytokeratin antibody [C-11] - BSA and Azide free (ab264485) is a mouse recombinant monoclonal antibody provided in a PBS only buffer for easy conjugation. Suitable for Flow Cytometry, IHC-P, IHC-Fr, ICC/IF, mIHC in Human, Mouse, Rat.

- BSA, sodium azide, and glycerol-free for easy conjugation
- Multiplex IHC validated on the Leica BOND® MAX using Opal reagents
- Biophysical QC for unrivalled batch-batch consistency

View Alternative Names

KRTA, KRT1, 67 kDa cytokeratin, Cytokeratin-1, Hair alpha protein, Keratin-1, Type-II keratin Kb1, CK-1, K1

18 Images
Flow Cytometry (Intracellular) - Anti-pan Cytokeratin antibody [C-11] - BSA and Azide free (AB264485)
  • Flow Cyt (Intra)

Lab

Flow Cytometry (Intracellular) - Anti-pan Cytokeratin antibody [C-11] - BSA and Azide free (AB264485)

This data was developed using the same antibody clone in a different buffer formulation containing PBS, BSA, glycerol, and sodium azide (ab7753).

Flow cytometry overlay histogram showing left HeLa positive cells and right negative Jurkat stained with ab7753 (red line). The cells were fixed with 80% methanol (5 min) and then permeabilised with 0.1% PBS-Triton X-100 for 15 min. The cells were then incubated in 1x PBS containing 10% normal goat serum to block non-specific protein-protein interaction followed by the antibody (ab7753) (1x 106 in 100μl at 0.2μg/ml (1/13150)) for 30min at 22°C.

The secondary antibody Goat Anti-Mouse IgG H&L (Alexa Fluor® 488) preadsorbed was incubated at 1/4000 for 30min at 22°C

Isotype control antibody (black line) was Mouse IgG1, kappa monoclonal [15-6E10A7] - Isotype Control used at the same concentration and conditions as the primary antibody. Unlabelled sample (blue line) was also used as a control.

Acquisition of >5000 events were collected using a 50 mW Blue laser (488nm) and 525/40 bandpass filter.

This antibody gave a positive signal in HeLa Fixed with 4% formaldehyde (10 min) / permeabilised with 0.1% PBS-Triton X-100 for 15 min under the same conditions.

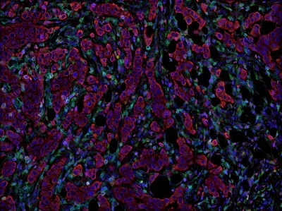
Multiplex immunohistochemistry - Anti-pan Cytokeratin antibody [C-11] - BSA and Azide free (AB264485)
  • mIHC

Collaborator

Multiplex immunohistochemistry - Anti-pan Cytokeratin antibody [C-11] - BSA and Azide free (AB264485)

Fluorescence multiplex immunohistochemical analysis of Human breast cancer tissue (formalin-fixed paraffin-embedded section).

Merged staining of Anti-PD-L1 (ab251611; cyan; Opal™ 520), Anti-Granzyme B (ab219803; yellow; Opal™ 540), Anti-PD1 (ab251613; magenta; Opal™ 570), Anti-pan Cytokeratin (ab264485; red; Opal™ 620), Anti-EpCAM (ab225894; red; Opal™ 620), Anti-CD8 alpha (ab251596; green; Opal™ 650) and Anti-FOXP3 (ab96048; orange; Opal™ 690). EpCAM and pan-cytokeratin share the same dye and color. Dyes are pseudo-colored for better contrast of the markers.

The immunostaining was performed on a Leica Biosystems BOND® MAX instrument with an Opal™ 6-Plex Detection Kit (NEL821001KT, Akoya Biosciences®).

The section was incubated in six rounds of staining; sequentially for ab251611 (1/750 dilution), ab219803 (1/250 dilution), ab251613 (1/750 dilution), ab264485 (0.5 μg/ml), ab225894 (1/1250 dilution), ab251596 (1/1500 dilution) and ab96048 (10 μg/ml); each using a separate fluorescent tyramide signal amplification system. EDTA based antigen retrieval (Leica Biosystems BOND® Epitope Retrieval Solution 2, pH 9.0, 20 minutes) was used in between rounds of tyramide signal amplification to remove the antibody from the previous round, to avoid any cross-reactivity. DAPI (dark blue) was used as a nuclear counter stain.
Microscopy and pseudocoloring of individual Opal™ dyes was performed using a Vectra 3 Imaging System (Akoya Biosciences®).

This data was developed using the same antibody clone in a different buffer formulation containing PBS and sodium azide (ab7753).

This data is courtesy of ImmunoAtlas and it can be found here.

This image is courtesy of ImmunoAtlas.

Multiplex immunohistochemistry - Anti-pan Cytokeratin antibody [C-11] - BSA and Azide free (AB264485)
  • mIHC

Collaborator

Multiplex immunohistochemistry - Anti-pan Cytokeratin antibody [C-11] - BSA and Azide free (AB264485)

Fluorescence multiplex immunohistochemical analysis of Human breast cancer tissue (formalin-fixed paraffin-embedded section).

Merged staining of Anti-PD-L1 (ab251611; cyan; Opal™ 520), Anti-Granzyme B (ab219803; yellow; Opal™ 540), Anti-PD1 (ab251613; magenta; Opal™ 570), Anti-pan Cytokeratin (ab264485; red; Opal™ 620), Anti-EpCAM (ab225894; red; Opal™ 620), Anti-CD8 alpha (ab251596; green; Opal™ 650) and Anti-FOXP3 (ab96048; orange; Opal™ 690). EpCAM and pan-cytokeratin share the same dye and color. Dyes are pseudo-colored for better contrast of the markers.

The immunostaining was performed on a Leica Biosystems BOND® MAX instrument with an Opal™ 6-Plex Detection Kit (NEL821001KT, Akoya Biosciences®).

The section was incubated in six rounds of staining; sequentially for ab251611 (1/750 dilution), ab219803 (1/250 dilution), ab251613 (1/750 dilution), ab264485 (0.5 μg/ml), ab225894 (1/1250 dilution), ab251596 (1/1500 dilution) and ab96048 (10 μg/ml); each using a separate fluorescent tyramide signal amplification system. EDTA based antigen retrieval (Leica Biosystems BOND® Epitope Retrieval Solution 2, pH 9.0, 20 minutes) was used in between rounds of tyramide signal amplification to remove the antibody from the previous round, to avoid any cross-reactivity. DAPI (dark blue) was used as a nuclear counter stain.
Microscopy and pseudocoloring of individual Opal™ dyes was performed using a Vectra 3 Imaging System (Akoya Biosciences®).

This data is courtesy of ImmunoAtlas and it can be found here.

This data was developed using the same antibody clone in a different buffer formulation containing PBS and sodium azide (ab7753).

This image is courtesy of ImmunoAtlas.

Multiplex immunohistochemistry - Anti-pan Cytokeratin antibody [C-11] - BSA and Azide free (AB264485)
  • mIHC

Collaborator

Multiplex immunohistochemistry - Anti-pan Cytokeratin antibody [C-11] - BSA and Azide free (AB264485)

Fluorescence multiplex immunohistochemical analysis of Human breast cancer tissue (formalin-fixed paraffin-embedded section). Merged staining of Anti-PD-L1 (ab251611), Anti-Granzyme B (ab219803), Anti-PD1 (ab251613), Anti-pan Cytokeratin (ab264485), Anti-EpCAM (ab225894), Anti-CD8 alpha (ab251596) and Anti-FOXP3 (ab96048). The immunostaining was performed on a Leica Biosystems BOND® MAX instrument with an Opal™ 6-Plex Detection Kit (NEL821001KT, Akoya Biosciences®). The section was incubated in six rounds of staining; sequentially for ab251611 (1/750 dilution), ab219803 (1/250 dilution), ab251613 (1/750 dilution), ab264485 (0.5 µg/ml), ab225894 (1/1250 dilution), ab251596 (1/1500 dilution) and ab96048 (10 µg/ml); each using a separate fluorescent tyramide signal amplification system. EDTA based antigen retrieval (Leica Biosystems BOND® Epitope Retrieval Solution 2, pH 9.0, 20 minutes) was used in between rounds of tyramide signal amplification to remove the antibody from the previous round, to avoid any cross-reactivity. DAPI (dark blue) was used as a nuclear counter stain. Microscopy and pseudocoloring of individual Opal™ dyes was performed using a Vectra 3 Imaging System (Akoya Biosciences®). This data was developed using the same antibody clone in a different buffer formulation containing PBS and sodium azide (ab7753).

This image is courtesy of ImmunoAtlas.

Multiplex immunohistochemistry - Anti-pan Cytokeratin antibody [C-11] - BSA and Azide free (AB264485)
  • mIHC

Collaborator

Multiplex immunohistochemistry - Anti-pan Cytokeratin antibody [C-11] - BSA and Azide free (AB264485)

Fluorescence multiplex immunohistochemical analysis of Human breast cancer tissue (formalin-fixed paraffin-embedded section).

Merged staining of Anti-PD-L1 (ab251611; cyan; Opal™ 520), Anti-Granzyme B (ab219803; yellow; Opal™ 540), Anti-PD1 (ab251613; magenta; Opal™ 570), Anti-pan Cytokeratin (ab264485; red; Opal™ 620), Anti-EpCAM (ab225894; red; Opal™ 620), Anti-CD8 alpha (ab251596; green; Opal™ 650) and Anti-FOXP3 (ab96048; orange; Opal™ 690). EpCAM and pan-cytokeratin share the same dye and color. Dyes are pseudo-colored for better contrast of the markers.

The immunostaining was performed on a Leica Biosystems BOND® MAX instrument with an Opal™ 6-Plex Detection Kit (NEL821001KT, Akoya Biosciences®).

The section was incubated in six rounds of staining; sequentially for ab251611 (1/750 dilution), ab219803 (1/250 dilution), ab251613 (1/750 dilution), ab264485 (0.5 μg/ml), ab225894 (1/1250 dilution), ab251596 (1/1500 dilution) and ab96048 (10 μg/ml); each using a separate fluorescent tyramide signal amplification system. EDTA based antigen retrieval (Leica Biosystems BOND® Epitope Retrieval Solution 2, pH 9.0, 20 minutes) was used in between rounds of tyramide signal amplification to remove the antibody from the previous round, to avoid any cross-reactivity. DAPI (dark blue) was used as a nuclear counter stain.
Microscopy and pseudocoloring of individual Opal™ dyes was performed using a Vectra 3 Imaging System (Akoya Biosciences®).

This data is courtesy of ImmunoAtlas and it can be found here.

This data was developed using the same antibody clone in a different buffer formulation containing PBS and sodium azide (ab7753).

This image is courtesy of ImmunoAtlas.

Multiplex immunohistochemistry - Anti-pan Cytokeratin antibody [C-11] - BSA and Azide free (AB264485)
  • mIHC

Collaborator

Multiplex immunohistochemistry - Anti-pan Cytokeratin antibody [C-11] - BSA and Azide free (AB264485)

Fluorescence multiplex immunohistochemical analysis of Human breast cancer tissue (formalin-fixed paraffin-embedded section).

Merged staining of Anti-PD-L1 (ab251611; cyan; Opal™ 520), Anti-Granzyme B (ab219803; yellow; Opal™ 540), Anti-PD1 (ab251613; magenta; Opal™ 570), Anti-pan Cytokeratin (ab264485; red; Opal™ 620), Anti-EpCAM (ab225894; red; Opal™ 620), Anti-CD8 alpha (ab251596; green; Opal™ 650) and Anti-FOXP3 (ab96048; orange; Opal™ 690). EpCAM and pan-cytokeratin share the same dye and color. Dyes are pseudo-colored for better contrast of the markers.

The immunostaining was performed on a Leica Biosystems BOND® MAX instrument with an Opal™ 6-Plex Detection Kit (NEL821001KT, Akoya Biosciences®).

The section was incubated in six rounds of staining; sequentially for ab251611 (1/750 dilution), ab219803 (1/250 dilution), ab251613 (1/750 dilution), ab264485 (0.5 μg/ml), ab225894 (1/1250 dilution), ab251596 (1/1500 dilution) and ab96048 (10 μg/ml); each using a separate fluorescent tyramide signal amplification system. EDTA based antigen retrieval (Leica Biosystems BOND® Epitope Retrieval Solution 2, pH 9.0, 20 minutes) was used in between rounds of tyramide signal amplification to remove the antibody from the previous round, to avoid any cross-reactivity. DAPI (dark blue) was used as a nuclear counter stain.
Microscopy and pseudocoloring of individual Opal™ dyes was performed using a Vectra 3 Imaging System (Akoya Biosciences®).

This data was developed using the same antibody clone in a different buffer formulation containing PBS and sodium azide (ab7753).

This data is courtesy of ImmunoAtlas and it can be found here.

This image is courtesy of ImmunoAtlas.

Immunohistochemistry (Formalin/PFA-fixed paraffin-embedded sections) - Anti-pan Cytokeratin antibody [C-11] - BSA and Azide free (AB264485)
  • IHC-P

Lab

Immunohistochemistry (Formalin/PFA-fixed paraffin-embedded sections) - Anti-pan Cytokeratin antibody [C-11] - BSA and Azide free (AB264485)

This data was developed using ab7753, the same antibody clone in a different buffer formulation.

Immunohistochemical analysis of formalin fixed paraffin embedded human skin labelling pan Cytokeratin with ab7753 at a concentration of 0.1µg/ml. The immunostaining was performed on a Ventana DISCOVERY ULTRA (Roche Tissue Diagnostics) instrument with a OptiView DAB IHC Detection Kit. Heat mediated antigen retrieval was performed with DISCOVERY cell conditioning solution (CC1) 100°C, pH8.5 for 32mins.

ab7753 Anti-pan Cytokeratin antibody [C-11] was incubated for 16mins at 37°C. Sections were counterstained with Hematoxylin II. Image inset shows absence of staining in secondary antibody only control.

Customers are encouraged to optimise antigen retrieval conditions, antibody concentration, incubation times and temperature for best results in their own IHC assay workflow (automated and manual).

Immunocytochemistry/ Immunofluorescence - Anti-pan Cytokeratin antibody [C-11] - BSA and Azide free (AB264485)
  • ICC/IF

Lab

Immunocytochemistry/ Immunofluorescence - Anti-pan Cytokeratin antibody [C-11] - BSA and Azide free (AB264485)

This data was developed using the same antibody clone in a different buffer formulation containing PBS and sodium azide (ab7753)

ab7753 staining pan Cytokeratin in A431 cells. The cells were fixed with 4% paraformaldehyde (10 min),permeabilized with 0.1% PBS-Triton X-100 for 5 minutes and then blocked with 1% BSA/10% normal goat serum/0.3M glycine in 0.1%PBS-Tween for 1h. The cells were then incubated overnight at 4°C with ab7753 at 1μg/ml and ab6046,Rabbit polyclonal to beta Tubulin - Loading Control. Cells were then incubated with ab150117,Goat polyclonal Secondary Antibody to Mouse IgG H&L (Alexa Fluor® 488) preadsorbed at 1/1000 dilution (shown in green) and ab150080,Goat polyclonal Secondary Antibody to Rabbit IgG - H&L (Alexa Fluor® 594) at 1/1000 dilution (shown in pseudocolour red). Nuclear DNA was labelled with DAPI (shown in blue). Also suitable in cells fixed with 100% methanol (5 min).

Image was acquired with a high-content analyser (Operetta CLS,Perkin Elmer) and a maximum intensity projection of confocal sections is shown.

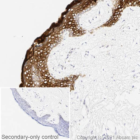
Immunohistochemistry (Frozen sections) - Anti-pan Cytokeratin antibody [C-11] - BSA and Azide free (AB264485)
  • IHC-Fr

Lab

Immunohistochemistry (Frozen sections) - Anti-pan Cytokeratin antibody [C-11] - BSA and Azide free (AB264485)

This data was developed using the same antibody clone in a different buffer formulation containing PBS and sodium azide (ab7753)

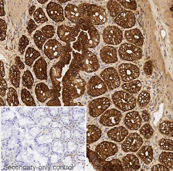
IHC image of pan cytokeratin staining in a section of frozen normal rat kidney performed on a Leica BONDTM system using the standard protocol. The section was fixed in 10% paraformaldehyde (10 min) prior to staining. The section was incubated with ab7753, 1μg/ml, for 15 mins at room temperature and detected using an HRP conjμgated compact polymer system. DAB was used as the chromogen. The section was then counterstained with haematoxylin and mounted with DPX. The inset secondary-only control image is taken from an identical assay without primary antibody.

Immunohistochemistry (Frozen sections) - Anti-pan Cytokeratin antibody [C-11] - BSA and Azide free (AB264485)
  • IHC-Fr

Lab

Immunohistochemistry (Frozen sections) - Anti-pan Cytokeratin antibody [C-11] - BSA and Azide free (AB264485)

This data was developed using the same antibody clone in a different buffer formulation containing PBS and sodium azide (ab7753)

IHC image of pan cytokeratin staining in a section of frozen normal human skin performed on a Leica BONDTM system using the standard protocol. The section was fixed in 10% paraformaldehyde (10 min) prior to staining. The section was incubated with ab7753, 1μg/ml, for 15 mins at room temperature and detected using an HRP conjμgated compact polymer system. DAB was used as the chromogen. The section was then counterstained with haematoxylin and mounted with DPX. The inset secondary-only control image is taken from an identical assay without primary antibody.
For other IHC staining systems (automated and non-automated) customers should optimize variable parameters such as antigen retrieval conditions,primary antibody concentration and antibody incubation times.

Immunohistochemistry (Frozen sections) - Anti-pan Cytokeratin antibody [C-11] - BSA and Azide free (AB264485)
  • IHC-Fr

Lab

Immunohistochemistry (Frozen sections) - Anti-pan Cytokeratin antibody [C-11] - BSA and Azide free (AB264485)

This data was developed using the same antibody clone in a different buffer formulation containing PBS and sodium azide (ab7753)

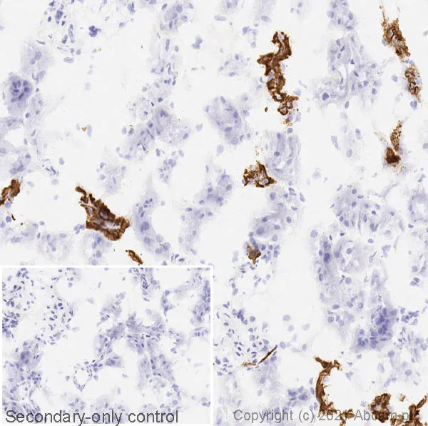
IHC image of pan cytokeratin staining in a section of frozen normal mouse large intestine performed on a Leica BONDTM system using the standard protocol. The section was fixed in 10% paraformaldehyde (10 min) prior to staining. The section was incubated with ab7753, 1μg/ml, for 15 mins at room temperature. A goat anti-mouse IgG1 bridging antibody,ab125913,was added for 8 mins at room temperature and detected using an HRP conjμgated compact polymer system. DAB was used as the chromogen. The section was then counterstained with haematoxylin and mounted with DPX. The inset secondary-only control image is taken from an identical assay without primary antibody.

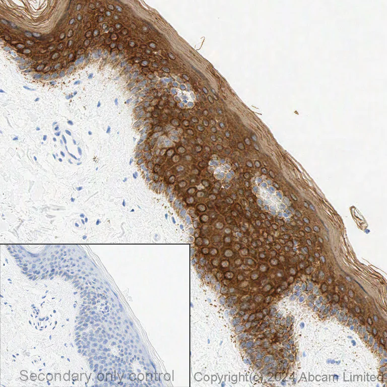
Immunohistochemistry (Formalin/PFA-fixed paraffin-embedded sections) - Anti-pan Cytokeratin antibody [C-11] - BSA and Azide free (AB264485)
  • IHC-P

Lab

Immunohistochemistry (Formalin/PFA-fixed paraffin-embedded sections) - Anti-pan Cytokeratin antibody [C-11] - BSA and Azide free (AB264485)

This data was developed using the same antibody clone in a different buffer formulation containing PBS and sodium azide (ab7753)

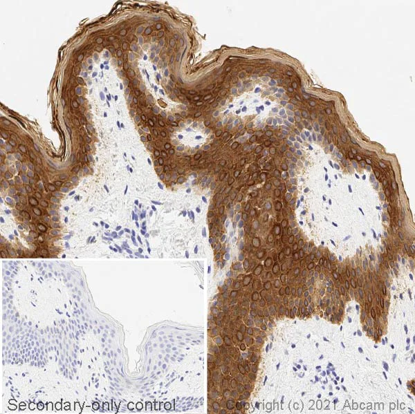
IHC image of pan cytokeratin staining in a section of formalin-fixed paraffin-embedded normal human skin* performed on a Leica BONDTM system using the standard protocol F. The section was pre-treated using heat mediated antigen retrieval with sodium citrate buffer (pH6,epitope retrieval solution 1) for 20mins. The section was then incubated with ab7753, 1μg/ml, for 15 mins at room temperature and detected using an HRP conjμgated compact polymer system. DAB was used as the chromogen. The section was then counterstained with haematoxylin and mounted with DPX. The inset secondary-only control image is taken from an identical assay without primary antibody.
For other IHC staining systems (automated and non-automated) customers should optimize variable parameters such as antigen retrieval conditions,primary antibody concentration and antibody incubation times.
*Tissue obtained from the Human Research Tissue Bank,supported by the NIHR Cambridge Biomedical Research Centre

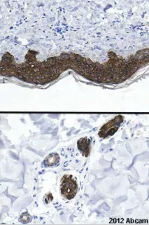
Immunohistochemistry (Formalin/PFA-fixed paraffin-embedded sections) - Anti-pan Cytokeratin antibody [C-11] - BSA and Azide free (AB264485)
  • IHC-P

Unknown

Immunohistochemistry (Formalin/PFA-fixed paraffin-embedded sections) - Anti-pan Cytokeratin antibody [C-11] - BSA and Azide free (AB264485)

This image was generated from the hybridoma version of the product.

ab7753 staining rat embryonic skin/organ sections by IHC-P. The tissue was fixed with formaldehyde and a heat mediated antigen retrival step was performed with citric acid pH 6. Blocking of the sample was done with 1% BSA for 10 minutes at 21°C, followed by staining with ab77539 at 1/250 in TBS/BSA/azide for 2h at 21°C. A biotinylated goat anti-mouse polyclonal antibody at 1/200 was used as the secondary antibody.

This image is courtesy of an Abreview submitted by Carl Hobbs

Immunocytochemistry/ Immunofluorescence - Anti-pan Cytokeratin antibody [C-11] - BSA and Azide free (AB264485)
  • ICC/IF

Unknown

Immunocytochemistry/ Immunofluorescence - Anti-pan Cytokeratin antibody [C-11] - BSA and Azide free (AB264485)

ab7753 staining pan Cytokeratin in HeLa cells. The cells were fixed with 4% paraformaldehyde (10 min),permeabilized with 0.1% PBS-Triton X-100 for 5 minutes and then blocked with 1% BSA/10% normal goat serum/0.3M glycine in 0.1%PBS-Tween for 1h. The cells were then incubated overnight at 4°C with ab7753 at 1μg/ml and ab6046,Rabbit polyclonal to beta Tubulin - Loading Control. Cells were then incubated with ab150117,Goat polyclonal Secondary Antibody to Mouse IgG H&L (Alexa Fluor® 488) preadsorbed at 1/1000 dilution (shown in green) and ab150080,Goat polyclonal Secondary Antibody to Rabbit IgG - H&L (Alexa Fluor® 594) at 1/1000 dilution (shown in pseudocolour red). Nuclear DNA was labelled with DAPI (shown in blue). Also suitable in cells fixed with 100% methanol (5 min).

Image was acquired with a high-content analyser (Operetta CLS,Perkin Elmer) and a maximum intensity projection of confocal sections is shown.

Immunohistochemistry (Formalin/PFA-fixed paraffin-embedded sections) - Anti-pan Cytokeratin antibody [C-11] - BSA and Azide free (AB264485)
  • IHC-P

Unknown

Immunohistochemistry (Formalin/PFA-fixed paraffin-embedded sections) - Anti-pan Cytokeratin antibody [C-11] - BSA and Azide free (AB264485)

This image was generated from the hybridoma version of the product.

ab7753 staining human skin sections by IHC-P. The tissue was fixed with formaldehyde and a heat mediated antigen retrival step was performed with citric acid pH 6. Blocking of the sample was done with 1% BSA for 10 minutes at 21°C, followed by staining with ab7753 at 1/250 in TBS/BSA/azide for 2h at 21°C. A biotinylated goat anti-rabbit polyclonal antibody at 1/200 was used as the secondary antibody.

This image is courtesy of an Abreview submitted by Carl Hobbs

Immunohistochemistry (Formalin/PFA-fixed paraffin-embedded sections) - Anti-pan Cytokeratin antibody [C-11] - BSA and Azide free (AB264485)
  • IHC-P

Lab

Immunohistochemistry (Formalin/PFA-fixed paraffin-embedded sections) - Anti-pan Cytokeratin antibody [C-11] - BSA and Azide free (AB264485)

This data was developed using the same antibody clone in a different buffer formulation containing PBS and sodium azide (ab7753)

IHC image of pan cytokeratin staining in a section of formalin-fixed paraffin-embedded normal rat skin performed on a Leica BONDTM system using the standard protocol F. The section was pre-treated using heat mediated antigen retrieval with sodium citrate buffer (pH6,epitope retrieval solution 1) for 20mins. The section was then incubated with ab7753, 1μg/ml, for 15 mins at room temperature and detected using an HRP conjμgated compact polymer system. DAB was used as the chromogen. The section was then counterstained with haematoxylin and mounted with DPX. The inset secondary-only control image is taken from an identical assay without primary antibody.
For other IHC staining systems (automated and non-automated) customers should optimize variable parameters such as antigen retrieval conditions,primary antibody concentration and antibody incubation times.

Immunohistochemistry (Formalin/PFA-fixed paraffin-embedded sections) - Anti-pan Cytokeratin antibody [C-11] - BSA and Azide free (AB264485)
  • IHC-P

Lab

Immunohistochemistry (Formalin/PFA-fixed paraffin-embedded sections) - Anti-pan Cytokeratin antibody [C-11] - BSA and Azide free (AB264485)

This data was developed using the same antibody clone in a different buffer formulation containing PBS and sodium azide (ab7753)

IHC image of pan cytokeratin staining in a section of formalin-fixed paraffin-embedded normal mouse skin performed on a Leica BONDTM system using the standard protocol F. The section was pre-treated using heat mediated antigen retrieval with sodium citrate buffer (pH6,epitope retrieval solution 1) for 20mins. The section was then incubated with ab7753, 1μg/ml, for 15 mins at room temperature. A goat anti-mouse IgG1 bridging antibody,ab125913,was added for 8 mins at room temperature and detected using an HRP conjμgated compact polymer system. DAB was used as the chromogen. The section was then counterstained with haematoxylin and mounted with DPX. The inset secondary-only control image is taken from an identical assay without primary antibody.
For other IHC staining systems (automated and non-automated) customers should optimize variable parameters such as antigen retrieval conditions,primary antibody concentration and antibody incubation times.

Multiplex immunohistochemistry - Anti-pan Cytokeratin antibody [C-11] - BSA and Azide free (AB264485)
  • mIHC

Unknown

Multiplex immunohistochemistry - Anti-pan Cytokeratin antibody [C-11] - BSA and Azide free (AB264485)

This image was generated from the hybridoma version of the product.

Fluorescence multiplex immunohistochemical analysis of normal human tonsil tissue (formalin-fixed paraffin-embedded section).

Merged staining of anti-PD1 (ab237728; orange; Opal™520), anti-PDL1 (ab237726; green; Opal™540), anti-CD68 (ab192847; yellow; Opal™570), anti-CD3 (ab16669; red; Opal™620), anti-Ki67 (ab16667; light blue; Opal™650) and anti-PanCK (ab7753; grey; Opal™690).

The immunostaining was performed on a Leica Biosystems BOND® RX instrument with an Opal™ 7-color automation IHC kit (NEL821001KT, Akoya Biosciences®).

The section was incubated in six rounds of staining; in the order of ab237728 (1/500 dilution), ab237726 (1/500 dilution), ab192847 (1/300 dilution), ab16669 (1/300 dilution), ab16667 (1/200 dilution) and ab7753 (1/200 dilution); each using a separate fluorescent tyramide signal amplification system.

Sodium citrate antigen retrieval (Leica ER1, pH6.0, 30 minutes) was used in between rounds of tyramide signal amplification to remove the antibody from the previous round, to avoid any cross-reactivity.

DAPI (dark blue) was used as a nuclear counter stain.

Microscopy and pseudocoloring of individual Opal™ dyes was performed using a Vectra Polaris.

  • Unconjugated

    Anti-pan Cytokeratin antibody [C-11]

  • 660 APC

    APC Anti-pan Cytokeratin antibody [C-11]

  • 578 PE

    PE Anti-pan Cytokeratin antibody [C-11]

  • 519 Alexa Fluor® 488

    Alexa Fluor® 488 Anti-pan Cytokeratin antibody [C-11]

  • 617 Alexa Fluor® 594

    Alexa Fluor® 594 Anti-pan Cytokeratin antibody [C-11]

  • 565 Alexa Fluor® 555

    Alexa Fluor® 555 Anti-pan Cytokeratin antibody [C-11]

  • 665 Alexa Fluor® 647

    Alexa Fluor® 647 Anti-pan Cytokeratin antibody [C-11]

Key facts

Host species

Mouse

Clonality

Monoclonal

Clone number

C-11

Isotype

IgG1

Carrier free

Yes

Reacts with

Mouse, Rat, Human

Applications

mIHC, Flow Cyt (Intra), IHC-Fr, IHC-P, ICC/IF

applications

Immunogen

The exact immunogen used to generate this antibody is proprietary information.

Reactivity data

{ "title": "Reactivity Data", "filters": { "stats": ["", "Species", "Dilution Info", "Notes"], "tabs": { "all-applications": {"fullname" : "All Applications", "shortname": "All Applications"}, "IHCP" : {"fullname" : "Immunohistochemistry (Formalin/PFA-fixed paraffin-embedded sections)", "shortname":"IHC-P"}, "ICCIF" : {"fullname" : "Immunocytochemistry/ Immunofluorescence", "shortname":"ICC/IF"}, "IHCFr" : {"fullname" : "Immunohistochemistry (Frozen sections)", "shortname":"IHC-Fr"}, "mIHC" : {"fullname" : "Multiplex immunohistochemistry", "shortname":"mIHC"}, "FlowCytIntra" : {"fullname" : "Flow Cytometry (Intracellular)", "shortname":"Flow Cyt (Intra)"} }, "product-promise": { "all": "all", "testedAndGuaranteed": "tested", "guaranteed": "expected", "predicted": "predicted", "notRecommended": "not-recommended" } }, "values": { "Human": { "IHCP-species-checked": "testedAndGuaranteed", "IHCP-species-dilution-info": "", "IHCP-species-notes": "<p></p> Perform heat-mediated antigen retrieval with citrate buffer pH 6 before commencing with IHC staining protocol.", "ICCIF-species-checked": "testedAndGuaranteed", "ICCIF-species-dilution-info": "", "ICCIF-species-notes": "<p></p>", "IHCFr-species-checked": "testedAndGuaranteed", "IHCFr-species-dilution-info": "", "IHCFr-species-notes": "<p></p>", "mIHC-species-checked": "testedAndGuaranteed", "mIHC-species-dilution-info": "", "mIHC-species-notes": "<p></p>", "FlowCytIntra-species-checked": "testedAndGuaranteed", "FlowCytIntra-species-dilution-info": "", "FlowCytIntra-species-notes": "<p></p>" }, "Mouse": { "IHCP-species-checked": "testedAndGuaranteed", "IHCP-species-dilution-info": "", "IHCP-species-notes": "<p></p> Perform heat-mediated antigen retrieval with citrate buffer pH 6 before commencing with IHC staining protocol.", "ICCIF-species-checked": "guaranteed", "ICCIF-species-dilution-info": "", "ICCIF-species-notes": "", "IHCFr-species-checked": "testedAndGuaranteed", "IHCFr-species-dilution-info": "", "IHCFr-species-notes": "<p></p>", "mIHC-species-checked": "guaranteed", "mIHC-species-dilution-info": "", "mIHC-species-notes": "", "FlowCytIntra-species-checked": "guaranteed", "FlowCytIntra-species-dilution-info": "", "FlowCytIntra-species-notes": "" }, "Rat": { "IHCP-species-checked": "testedAndGuaranteed", "IHCP-species-dilution-info": "", "IHCP-species-notes": "<p></p> Perform heat-mediated antigen retrieval with citrate buffer pH 6 before commencing with IHC staining protocol.", "ICCIF-species-checked": "guaranteed", "ICCIF-species-dilution-info": "", "ICCIF-species-notes": "", "IHCFr-species-checked": "testedAndGuaranteed", "IHCFr-species-dilution-info": "", "IHCFr-species-notes": "<p></p>", "mIHC-species-checked": "guaranteed", "mIHC-species-dilution-info": "", "mIHC-species-notes": "", "FlowCytIntra-species-checked": "guaranteed", "FlowCytIntra-species-dilution-info": "", "FlowCytIntra-species-notes": "" } } }

Product details

What is this antibody validated in?
Anti-pan Cytokeratin antibody [C-11] - BSA and Azide free (ab264485) is a mouse recombinant monoclonal antibody and is validated for use in Flow Cytometry (Intra), Flow Cytometry (Flow Cyt), Immunohistochemistry (IHC-P), Immunohistochemistry (IHC-Fr), Immunocytochemistry/immunofluorescence (ICC/IF), Multiplex IHC (mIHC) in Human, Mouse, Rat samples.

Other related products
We have a range of other formats of antibody clone [C-11] also available for your convenience: ab7753, PE - ab52460, APC - ab106166, Carrier free - ab264485, ab269366, Alexa Fluor® 594 - ab277234, Alexa Fluor® 488 - ab277270, Alexa Fluor® 555 - ab279324, Oligonucleotide - ab279360, Alexa Fluor® 647 - ab309978

Want a custom formulation?
This antibody clone is manufactured by Abcam. If you require a custom buffer formulation or conjugation for your experiments, please contact orders@abcam.com

Conjugation ready
Our carrier-free antibodies are typically supplied in a PBS-only formulation, purified and free of BSA, sodium azide and glycerol. This conjugation-ready format is designed for use with fluorochromes, metal isotopes, oligonucleotides, and enzymes, which makes them ideal for antibody labelling, functional and cell-based assays, flow-based assays (e.g. mass cytometry) and Multiplex Imaging applications.

Use our conjugation kits for antibody conjugates that are ready-to-use in as little as 20 minutes with 1 minute hands-on-time and 100% antibody recovery: available for fluorescent dyes, HRP, biotin and gold.

Compatibility
This product is compatible with the Maxpar® Antibody Labeling Kit from Fluidigm, without the need for antibody preparation. Maxpar® is a trademark of Fluidigm Canada Inc.

Properties and storage information

Form
Liquid
Purification technique
Affinity purification Protein A
Purification notes
Purified from TCS. Purity >95% by SDS-PAGE.
Storage buffer
pH: 7.2 - 7.4 Constituents: PBS
Shipped at conditions
Blue Ice
Appropriate short-term storage conditions
+4°C
Appropriate long-term storage conditions
+4°C
Storage information
Do Not Freeze

Supplementary information

This supplementary information is collated from multiple sources and compiled automatically.

Pan cytokeratin also known as cytokeratin AE1/AE3 is a cytoskeletal protein complex that consists of different keratin polypeptides. It mechanically supports epithelial cells contributing to their structural integrity. The protein mass is variable due to its composite nature ranging between 40 to 67 kDa. Pan cytokeratin is expressed in epithelial tissues throughout the body serving as a reliable marker for identifying epithelial origin cells in histological studies.
Biological function summary

Keratins in pan cytokeratin contribute to maintaining structural stability within epithelial cells. They act as components of the cytoskeletal network interacting with other cellular structures to provide protection from stress and mechanical damage. Pan cytokeratin exists as part of the intermediate filament protein complex which plays a significant role in cellular mechanics and cohesion essential for tissue integrity.

Pathways

Intermediate filaments containing pan cytokeratin participate in pathways related to cell differentiation and stress response. Its interactions with other proteins like desmoplakin and plectin link the cytoskeletal filaments to cell membranes and the extracellular matrix. This involvement is important in pathways related to cellular structural integrity and epithelial-mesenchymal transition (EMT).

Pan cytokeratin serves as a critical marker in the diagnosis of epithelial-derived cancers such as carcinoma and conditions like psoriasis. Abnormal expression patterns of pan cytokeratin indicate tumor presence and origin. Its connection to proteins such as E-cadherin and vimentin assists in understanding the progression and metastasis of cancer by facilitating EMT and tissue invasion diagnostics.

Product protocols

For this product, it's our understanding that no specific protocols are required. You can visit:

Target data

May regulate the activity of kinases such as PKC and SRC via binding to integrin beta-1 (ITB1) and the receptor of activated protein C kinase 1 (RACK1). In complex with C1QBP is a high affinity receptor for kininogen-1/HMWK.
See full target information KRT1

Publications (1)

Recent publications for all applications. Explore the full list and refine your search

Frontiers in oncology 12:866293 PubMed35574364

2022

Prognostic Relevance of Estrogen Receptor Status in Circulating Tumor Cells in Breast Cancer Patients Treated With Endocrine Therapy.

Applications

Unspecified application

Species

Unspecified reactive species

Ying Zhou,Jinmei Zhou,Jinyi Xiao,Yuehua Wang,Hao Wang,Haoyuan Shi,Chunyan Yue,Fei Jia,Ping Li,Zhiyuan Hu,Yanlian Yang,Zefei Jiang,Tao Wang
View all publications

Product promise

We are committed to supporting your work with high-quality reagents, and we're here for you every step of the way. In the unlikely event that one of our products does not perform as expected, you're protected by our Product Promise.
For full details, please see our Terms & Conditions

Associated Products

Select an associated product type
Alternative Product
Primary Antibodies

AB213135

Anti-pan Cytokeratin antibody [AE-1] - BSA and Azide free

primary-antibodies

pan-cytokeratin-antibody-ae-1-bsa-and-azide-free-ab213135

0

(0 reviews)

Alternative Product
Primary Antibodies

AB270305

Anti-pan Cytokeratin antibody [KRTL/1577R] - BSA and Azide free

primary-antibodies

pan-cytokeratin-antibody-krtl-1577r-bsa-and-azide-free-ab270305

0

(0 reviews)

Alternative Product
Primary Antibodies

AB86734

Anti-pan Cytokeratin antibody [AE1/AE3 + 5D3]

primary-antibodies

pan-cytokeratin-antibody-ae1-ae3-5d3-ab86734

5

(11 reviews)

Alternative Product
Primary Antibodies

AB6401

Anti-pan Cytokeratin antibody [PCK-26]

primary-antibodies

pan-cytokeratin-antibody-pck-26-ab6401

4

(20 reviews)

Alternative Version
Primary Antibodies

AB277270

Alexa Fluor® 488 Anti-pan Cytokeratin antibody [C-11]

primary-antibodies

alexa-fluor-488-pan-cytokeratin-antibody-c-11-ab277270

0

(0 reviews)

Alternative Version
Primary Antibodies

AB309978

Alexa Fluor® 647 Anti-pan Cytokeratin antibody [C-11]

primary-antibodies

alexa-fluor-647-pan-cytokeratin-antibody-c-11-ab309978

0

(0 reviews)

Please note: All products are 'FOR RESEARCH USE ONLY. NOT FOR USE IN DIAGNOSTIC OR THERAPEUTIC PROCEDURES'.

For licensing inquiries, please contact partnerships@abcam.com