JavaScript is disabled in your browser. Please enable JavaScript to view this website.
AB308263

Anti-pan cytokeratin antibody [EPR28285-45] - BSA and Azide free

Be the first to review this product! Submit a review

|

(0 Publication)

Rabbit Recombinant Monoclonal K2C1B antibody. Carrier free. Suitable for WB, IHC-P, Dot and reacts with Human, Rat, Mouse, Synthetic peptide samples.

View Alternative Names

KRT1B, KRT77, Cytokeratin-1B, Keratin-77, Type-II keratin Kb39, CK-1B, K77

14 Images
Immunohistochemistry (Formalin/PFA-fixed paraffin-embedded sections) - Anti-pan cytokeratin antibody [EPR28285-45] - BSA and Azide free (AB308263)
  • IHC-P

Supplier Data

Immunohistochemistry (Formalin/PFA-fixed paraffin-embedded sections) - Anti-pan cytokeratin antibody [EPR28285-45] - BSA and Azide free (AB308263)

This data was produced using ab308262, the same clone but in a different formulation. Immunohistochemical analysis of paraffin-embedded human liver tissue labeling pan cytokeratin with ab308262 at 1/5000 dilution (0.108 ug/ml) followed by ready to use LeicaDS9800 (Bond® Polymer Refine Detection). Positive staining on human liver. The section was incubated with ab308262 for 30 mins at room temperature. The immunostaining was performed on a Leica Biosystems BOND® RX instrument. Counterstained with Hematoxylin. Secondary antibody only control : Secondary antibody is ready to use LeicaDS9800 (Bond® Polymer Refine Detection). Heat mediated antigen retrieval was performed with Tris-EDTA buffer (pH 9.0, Epitope Retrieval Solution2) for 20 mins.

Immunohistochemistry (Formalin/PFA-fixed paraffin-embedded sections) - Anti-pan cytokeratin antibody [EPR28285-45] - BSA and Azide free (AB308263)
  • IHC-P

Supplier Data

Immunohistochemistry (Formalin/PFA-fixed paraffin-embedded sections) - Anti-pan cytokeratin antibody [EPR28285-45] - BSA and Azide free (AB308263)

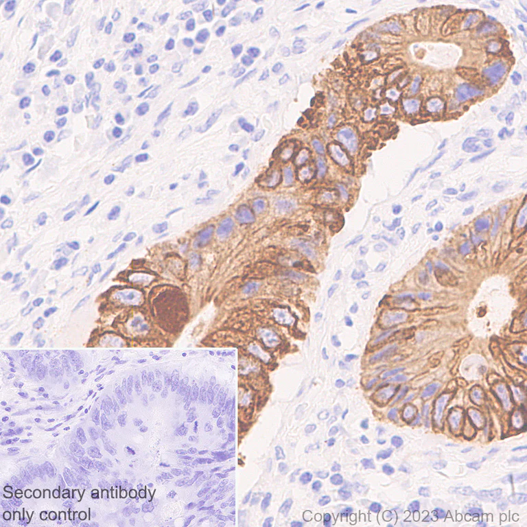
This data was produced using ab308262, the same clone but in a different formulation. Immunohistochemical analysis of paraffin-embedded human colon adenocarcinoma tissue labeling pan cytokeratin with ab308262 at 1/5000 dilution (0.108 ug/ml) followed by ready to use LeicaDS9800 (Bond® Polymer Refine Detection). Positive staining on human adenocarcinoma of colon. The section was incubated with ab308262 for 30 mins at room temperature. The immunostaining was performed on a Leica Biosystems BOND® RX instrument. Counterstained with Hematoxylin. Secondary antibody only control : Secondary antibody is ready to use LeicaDS9800 (Bond® Polymer Refine Detection). Heat mediated antigen retrieval was performed with Tris-EDTA buffer (pH 9.0, Epitope Retrieval Solution2) for 20 mins.

Immunohistochemistry (Formalin/PFA-fixed paraffin-embedded sections) - Anti-pan cytokeratin antibody [EPR28285-45] - BSA and Azide free (AB308263)
  • IHC-P

Supplier Data

Immunohistochemistry (Formalin/PFA-fixed paraffin-embedded sections) - Anti-pan cytokeratin antibody [EPR28285-45] - BSA and Azide free (AB308263)

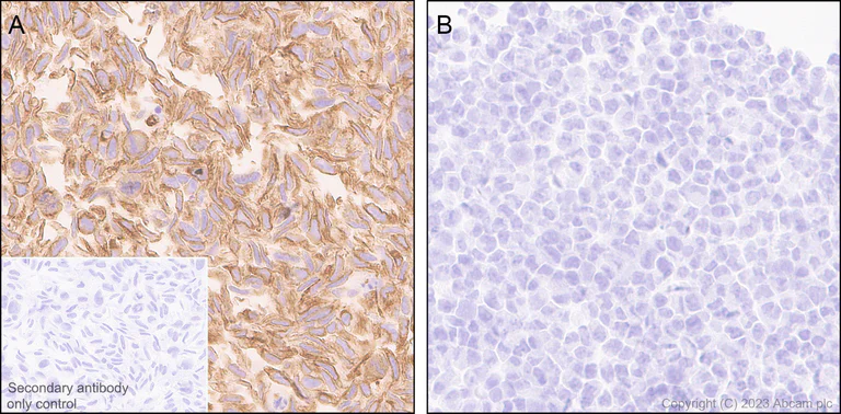
This data was produced using ab308262, the same clone but in a different formulation. Immunohistochemical analysis of paraffin-embedded cell pellets labeling pan cytokeratin with ab308262 at 1/5000 dilution (0.108 ug/ml) followed by ready to use LeicaDS9800 (Bond® Polymer Refine Detection). Cytoplasmic staining on (A) HeLa cell pellet. No staining on (B) Raji cell pellet. The section was incubated with ab308262 for 30 mins at room temperature. The immunostaining was performed on a Leica Biosystems BOND® RX instrument. Counterstained with Hematoxylin. Secondary antibody only control : Secondary antibody is ready to use LeicaDS9800 (Bond® Polymer Refine Detection). Heat mediated antigen retrieval was performed with Tris-EDTA buffer (pH 9.0, Epitope Retrieval Solution2) for 20 mins.

Immunohistochemistry (Formalin/PFA-fixed paraffin-embedded sections) - Anti-pan cytokeratin antibody [EPR28285-45] - BSA and Azide free (AB308263)
  • IHC-P

Supplier Data

Immunohistochemistry (Formalin/PFA-fixed paraffin-embedded sections) - Anti-pan cytokeratin antibody [EPR28285-45] - BSA and Azide free (AB308263)

This data was produced using ab308262, the same clone but in a different formulation. Immunohistochemical analysis of paraffin-embedded human skeletal muscle tissue labeling pan cytokeratin with ab308262 at 1/5000 dilution (0.108 ug/ml) followed by ready to use LeicaDS9800 (Bond® Polymer Refine Detection). Negative control : No staining on human skeletal muscle. The section was incubated with ab308262 for 30 mins at room temperature. The immunostaining was performed on a Leica Biosystems BOND® RX instrument. Counterstained with Hematoxylin. Secondary antibody only control : Secondary antibody is ready to use LeicaDS9800 (Bond® Polymer Refine Detection). Heat mediated antigen retrieval was performed with Tris-EDTA buffer (pH 9.0, Epitope Retrieval Solution2) for 20 mins.

Immunohistochemistry (Formalin/PFA-fixed paraffin-embedded sections) - Anti-pan cytokeratin antibody [EPR28285-45] - BSA and Azide free (AB308263)
  • IHC-P

Supplier Data

Immunohistochemistry (Formalin/PFA-fixed paraffin-embedded sections) - Anti-pan cytokeratin antibody [EPR28285-45] - BSA and Azide free (AB308263)

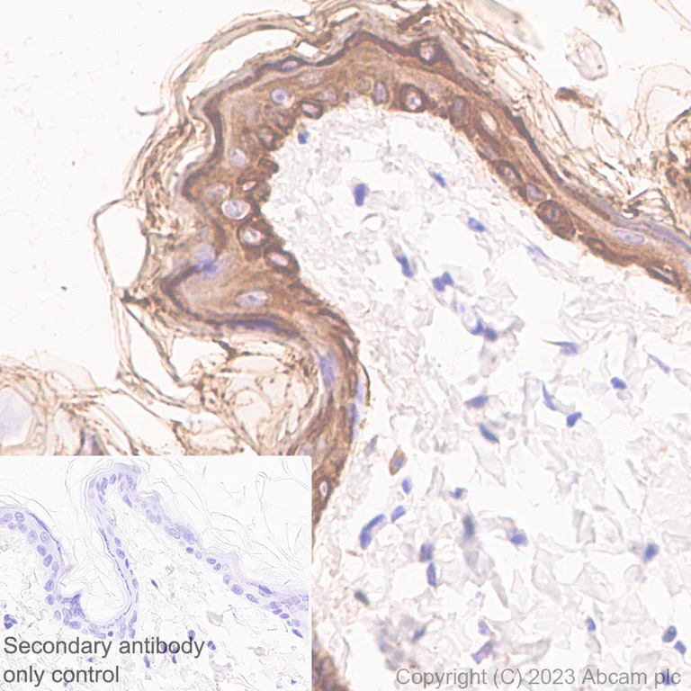
This data was produced using ab308262, the same clone but in a different formulation. Immunohistochemical analysis of paraffin-embedded human skin tissue labeling pan cytokeratin with ab308262 at 1/5000 dilution (0.108 ug/ml) followed by ready to use LeicaDS9800 (Bond® Polymer Refine Detection). Positive staining on human skin (PMID : 25411189). The section was incubated with ab308262 for 30 mins at room temperature. The immunostaining was performed on a Leica Biosystems BOND® RX instrument. Counterstained with Hematoxylin. Secondary antibody only control : Secondary antibody is ready to use LeicaDS9800 (Bond® Polymer Refine Detection). Heat mediated antigen retrieval was performed with Tris-EDTA buffer (pH 9.0, Epitope Retrieval Solution2) for 20 mins.

Immunohistochemistry (Formalin/PFA-fixed paraffin-embedded sections) - Anti-pan cytokeratin antibody [EPR28285-45] - BSA and Azide free (AB308263)
  • IHC-P

Supplier Data

Immunohistochemistry (Formalin/PFA-fixed paraffin-embedded sections) - Anti-pan cytokeratin antibody [EPR28285-45] - BSA and Azide free (AB308263)

This data was produced using ab308262, the same clone but in a different formulation. Immunohistochemical analysis of paraffin-embedded human colon tissue labeling pan cytokeratin with ab308262 at 1/5000 dilution (0.108 ug/ml) followed by ready to use LeicaDS9800 (Bond® Polymer Refine Detection). Positive staining on human colon. The section was incubated with ab308262 for 30 mins at room temperature. The immunostaining was performed on a Leica Biosystems BOND® RX instrument. Counterstained with Hematoxylin. Secondary antibody only control : Secondary antibody is ready to use LeicaDS9800 (Bond® Polymer Refine Detection). Heat mediated antigen retrieval was performed with Tris-EDTA buffer (pH 9.0, Epitope Retrieval Solution2) for 20 mins.

Immunohistochemistry (Formalin/PFA-fixed paraffin-embedded sections) - Anti-pan cytokeratin antibody [EPR28285-45] - BSA and Azide free (AB308263)
  • IHC-P

Supplier Data

Immunohistochemistry (Formalin/PFA-fixed paraffin-embedded sections) - Anti-pan cytokeratin antibody [EPR28285-45] - BSA and Azide free (AB308263)

This data was produced using ab308262, the same clone but in a different formulation. Immunohistochemical analysis of paraffin-embedded rat skeletal muscle tissue labeling pan cytokeratin with ab308262 at 1/5000 dilution (0.108 ug/ml) followed by ready to use LeicaDS9800 (Bond® Polymer Refine Detection). Negative control : No staining on rat skeletal muscle. The section was incubated with ab308262 for 30 mins at room temperature. The immunostaining was performed on a Leica Biosystems BOND® RX instrument. Counterstained with Hematoxylin. Secondary antibody only control : Secondary antibody is ready to use LeicaDS9800 (Bond® Polymer Refine Detection). Heat mediated antigen retrieval was performed with Tris-EDTA buffer (pH 9.0, Epitope Retrieval Solution2) for 20 mins.

Immunohistochemistry (Formalin/PFA-fixed paraffin-embedded sections) - Anti-pan cytokeratin antibody [EPR28285-45] - BSA and Azide free (AB308263)
  • IHC-P

Supplier Data

Immunohistochemistry (Formalin/PFA-fixed paraffin-embedded sections) - Anti-pan cytokeratin antibody [EPR28285-45] - BSA and Azide free (AB308263)

This data was produced using ab308262, the same clone but in a different formulation. Immunohistochemical analysis of paraffin-embedded rat skin tissue labeling pan cytokeratin with ab308262 at 1/5000 dilution (0.108 ug/ml) followed by ready to use LeicaDS9800 (Bond® Polymer Refine Detection). Positive staining on rat skin. The section was incubated with ab308262 for 30 mins at room temperature. The immunostaining was performed on a Leica Biosystems BOND® RX instrument. Counterstained with Hematoxylin. Secondary antibody only control : Secondary antibody is ready to use LeicaDS9800 (Bond® Polymer Refine Detection). Heat mediated antigen retrieval was performed with Tris-EDTA buffer (pH 9.0, Epitope Retrieval Solution2) for 20 mins.

Immunohistochemistry (Formalin/PFA-fixed paraffin-embedded sections) - Anti-pan cytokeratin antibody [EPR28285-45] - BSA and Azide free (AB308263)
  • IHC-P

Supplier Data

Immunohistochemistry (Formalin/PFA-fixed paraffin-embedded sections) - Anti-pan cytokeratin antibody [EPR28285-45] - BSA and Azide free (AB308263)

This data was produced using ab308262, the same clone but in a different formulation. Immunohistochemical analysis of paraffin-embedded mouse skeletal muscle tissue labeling pan cytokeratin with ab308262 at 1/5000 dilution (0.108 ug/ml) followed by ready to use LeicaDS9800 (Bond® Polymer Refine Detection). Negative control : No staining on mouse skeletal muscle. The section was incubated with ab308262 for 30 mins at room temperature. The immunostaining was performed on a Leica Biosystems BOND® RX instrument. Counterstained with Hematoxylin. Secondary antibody only control : Secondary antibody is ready to use LeicaDS9800 (Bond® Polymer Refine Detection). Heat mediated antigen retrieval was performed with Tris-EDTA buffer (pH 9.0, Epitope Retrieval Solution2) for 20 mins.

Immunohistochemistry (Formalin/PFA-fixed paraffin-embedded sections) - Anti-pan cytokeratin antibody [EPR28285-45] - BSA and Azide free (AB308263)
  • IHC-P

Supplier Data

Immunohistochemistry (Formalin/PFA-fixed paraffin-embedded sections) - Anti-pan cytokeratin antibody [EPR28285-45] - BSA and Azide free (AB308263)

This data was produced using ab308262, the same clone but in a different formulation. Immunohistochemical analysis of paraffin-embedded mouse skin tissue labeling pan cytokeratin with ab308262 at 1/5000 dilution (0.108 ug/ml) followed by ready to use LeicaDS9800 (Bond® Polymer Refine Detection). Positive staining on mouse skin. The section was incubated with ab308262 for 30 mins at room temperature. The immunostaining was performed on a Leica Biosystems BOND® RX instrument. Counterstained with Hematoxylin. Secondary antibody only control : Secondary antibody is ready to use LeicaDS9800 (Bond® Polymer Refine Detection). Heat mediated antigen retrieval was performed with Tris-EDTA buffer (pH 9.0, Epitope Retrieval Solution2) for 20 mins.

Western blot - Anti-pan cytokeratin antibody [EPR28285-45] - BSA and Azide free (AB308263)
  • WB

Supplier Data

Western blot - Anti-pan cytokeratin antibody [EPR28285-45] - BSA and Azide free (AB308263)

This data was produced using ab308262, the same clone but in a different formulation. Blocking and diluting buffer and concentration : 5% NFDM/TBST. Low expression : skeletal muscle, testis. In Western blot, anti-GAPDH antibody (ab181602) loading control staining at 1/200000 dilution. Exposure time : 10 seconds.

All lanes:

Western blot - Anti-pan cytokeratin antibody [EPR28285-45] (<a href='/en-us/products/primary-antibodies/pan-cytokeratin-antibody-epr28285-45-ab308262'>ab308262</a>) at 1/1000 dilution

Lane 1:

Human liver tissue lysate at 20 µg

Lane 2:

Human colon tissue lysate at 20 µg

Lane 3:

Human skeletal muscle tissue lysate at 20 µg

Lane 4:

Human testis tissue lysate at 20 µg

Secondary

All lanes:

Western blot - Goat Anti-Rabbit IgG H&L (HRP) (<a href='/en-us/products/secondary-antibodies/goat-rabbit-igg-h-l-hrp-ab97051'>ab97051</a>) at 1/100000 dilution

Observed band size: 37-65 kDa

false

Exposure time: 10s

Western blot - Anti-pan cytokeratin antibody [EPR28285-45] - BSA and Azide free (AB308263)
  • WB

Supplier Data

Western blot - Anti-pan cytokeratin antibody [EPR28285-45] - BSA and Azide free (AB308263)

This data was produced using ab308262, the same clone but in a different formulation. Blocking and diluting buffer and concentration : 5% NFDM/TBST. Low expression : MOLT-4, Ramos, Raji. In Western blot, anti-GAPDH antibody (ab181602) loading control staining at 1/200000 dilution. Exposure time : 10 seconds.

All lanes:

Western blot - Anti-pan cytokeratin antibody [EPR28285-45] (<a href='/en-us/products/primary-antibodies/pan-cytokeratin-antibody-epr28285-45-ab308262'>ab308262</a>) at 1/1000 dilution

Lane 1:

A431 (human epidermoid carcinoma epithelial cell) whole cell lysate at 20 µg

Lane 2:

HeLa (human cervix adenocarcinoma epithelial cell) whole cell lysate at 20 µg

Lane 3:

MOLT-4 (human lymphoblastic leukemia T lymphoblast) whole cell lysate at 20 µg

Lane 4:

Ramos (human Burkitt's lymphoma B lymphocyte) whole cell lysate at 20 µg

Lane 5:

Raji (human Burkitt's lymphoma B lymphocyte) whole cell lysate at 20 µg

Secondary

All lanes:

Western blot - Goat Anti-Rabbit IgG H&L (HRP) (<a href='/en-us/products/secondary-antibodies/goat-rabbit-igg-h-l-hrp-ab97051'>ab97051</a>) at 1/100000 dilution

Observed band size: 37-60 kDa

false

Exposure time: 10s

Dot Blot - Anti-pan cytokeratin antibody [EPR28285-45] - BSA and Azide free (AB308263)
  • Dot

Supplier Data

Dot Blot - Anti-pan cytokeratin antibody [EPR28285-45] - BSA and Azide free (AB308263)

This data was produced using ab308262, the same clone but in a different formulation. Dot blot analysis of pan cytokeratin using ab308262 at 1 : 1000 dilution (0.541 ug/ml) followed by a Goat Anti-Rabbit IgG, (H+L), Peroxidase conjugated (ab97051) at 1 : 100,000 dilution. Exposure time : 180 seconds. Blocking and diluting buffer and concentration : 5% NFDM/TBST. Lane 1 : Peptides for KRT5, KRT6, KRT7, KRT8 Lane 2 : Peptide for KRT2 Lane 3 : Peptide for KRT1 Lane 4 : Peptide for KRT3 Lane 5 : Peptide for KRT4 Lane 6 : Peptide for KRT23 Lane 7 : Peptides for KRT10, KRT12, KRT15, KRT18, KRT25, KRT26, KRT28 Lane 8 : Peptide for KRT20 Lane 9 : Peptide for KRT9 Lane 10 : Peptides for KRT14, KRT16, KRT17, KRT19, KRT27 Lane 11 : Peptide for KRT24

Western blot - Anti-pan cytokeratin antibody [EPR28285-45] - BSA and Azide free (AB308263)
  • WB

Supplier Data

Western blot - Anti-pan cytokeratin antibody [EPR28285-45] - BSA and Azide free (AB308263)

This data was produced using ab308262, the same clone but in a different formulation. Blocking and diluting buffer and concentration : 5% NFDM/TBST. Low expression : skeletal muscle. In Western blot, anti-GAPDH antibody (ab181602) loading control staining at 1/200000 dilution. Exposure time : Lane 1 : 8 seconds, lanes 2-3 : 15 seconds.

All lanes:

Western blot - Anti-pan cytokeratin antibody [EPR28285-45] (<a href='/en-us/products/primary-antibodies/pan-cytokeratin-antibody-epr28285-45-ab308262'>ab308262</a>) at 1/1000 dilution

Lane 1:

Rat colon tissue lysate at 20 µg

Lane 2:

Rat skin tissue lysate at 20 µg

Lane 3:

Rat skeletal muscle tissue lysate at 20 µg

Secondary

All lanes:

Western blot - Goat Anti-Rabbit IgG H&L (HRP) (<a href='/en-us/products/secondary-antibodies/goat-rabbit-igg-h-l-hrp-ab97051'>ab97051</a>) at 1/100000 dilution

Observed band size: 37-60 kDa

false

Key facts

Host species

Rabbit

Clonality

Monoclonal

Clone number

EPR28285-45

Isotype

IgG

Carrier free

Yes

Reacts with

Rat, Human, Mouse

Applications

WB, IHC-P, Dot

applications

Immunogen

The exact immunogen used to generate this antibody is proprietary information.

Reactivity data

{ "title": "Reactivity Data", "filters": { "stats": ["", "Species", "Dilution Info", "Notes"], "tabs": { "all-applications": {"fullname" : "All Applications", "shortname": "All Applications"}, "WB" : {"fullname" : "Western blot", "shortname":"WB"}, "IHCP" : {"fullname" : "Immunohistochemistry (Formalin/PFA-fixed paraffin-embedded sections)", "shortname":"IHC-P"}, "ICCIF" : {"fullname" : "Immunocytochemistry/ Immunofluorescence", "shortname":"ICC/IF"}, "FlowCytIntra" : {"fullname" : "Flow Cytometry (Intracellular)", "shortname":"Flow Cyt (Intra)"}, "IP" : {"fullname" : "Immunoprecipitation", "shortname":"IP"}, "Dot" : {"fullname" : "Dot Blot", "shortname":"Dot"} }, "product-promise": { "all": "all", "testedAndGuaranteed": "tested", "guaranteed": "expected", "predicted": "predicted", "notRecommended": "not-recommended" } }, "values": { "Human": { "WB-species-checked": "testedAndGuaranteed", "WB-species-dilution-info": "", "WB-species-notes": "<p></p>", "IHCP-species-checked": "testedAndGuaranteed", "IHCP-species-dilution-info": "", "IHCP-species-notes": "<p></p>", "ICCIF-species-checked": "notRecommended", "ICCIF-species-dilution-info": "", "ICCIF-species-notes": "<p></p>", "FlowCytIntra-species-checked": "notRecommended", "FlowCytIntra-species-dilution-info": "", "FlowCytIntra-species-notes": "<p></p>", "IP-species-checked": "notRecommended", "IP-species-dilution-info": "", "IP-species-notes": "<p></p>", "Dot-species-checked": "guaranteed", "Dot-species-dilution-info": "", "Dot-species-notes": "" }, "Mouse": { "WB-species-checked": "notRecommended", "WB-species-dilution-info": "", "WB-species-notes": "<p></p>", "IHCP-species-checked": "testedAndGuaranteed", "IHCP-species-dilution-info": "", "IHCP-species-notes": "<p></p>", "ICCIF-species-checked": "notRecommended", "ICCIF-species-dilution-info": "", "ICCIF-species-notes": "<p></p>", "FlowCytIntra-species-checked": "notRecommended", "FlowCytIntra-species-dilution-info": "", "FlowCytIntra-species-notes": "<p></p>", "IP-species-checked": "notRecommended", "IP-species-dilution-info": "", "IP-species-notes": "<p></p>", "Dot-species-checked": "guaranteed", "Dot-species-dilution-info": "", "Dot-species-notes": "" }, "Rat": { "WB-species-checked": "testedAndGuaranteed", "WB-species-dilution-info": "", "WB-species-notes": "<p></p>", "IHCP-species-checked": "testedAndGuaranteed", "IHCP-species-dilution-info": "", "IHCP-species-notes": "<p></p>", "ICCIF-species-checked": "notRecommended", "ICCIF-species-dilution-info": "", "ICCIF-species-notes": "", "FlowCytIntra-species-checked": "notRecommended", "FlowCytIntra-species-dilution-info": "", "FlowCytIntra-species-notes": "", "IP-species-checked": "notRecommended", "IP-species-dilution-info": "", "IP-species-notes": "", "Dot-species-checked": "guaranteed", "Dot-species-dilution-info": "", "Dot-species-notes": "" }, "Synthetic peptide": { "WB-species-checked": "notRecommended", "WB-species-dilution-info": "", "WB-species-notes": "", "IHCP-species-checked": "notRecommended", "IHCP-species-dilution-info": "", "IHCP-species-notes": "", "ICCIF-species-checked": "notRecommended", "ICCIF-species-dilution-info": "", "ICCIF-species-notes": "", "FlowCytIntra-species-checked": "notRecommended", "FlowCytIntra-species-dilution-info": "", "FlowCytIntra-species-notes": "", "IP-species-checked": "notRecommended", "IP-species-dilution-info": "", "IP-species-notes": "", "Dot-species-checked": "testedAndGuaranteed", "Dot-species-dilution-info": "", "Dot-species-notes": "<p></p>" } } }

Product details

Patented technology
Our RabMAb® technology is a patented hybridoma-based technology for making rabbit monoclonal antibodies. For details on our patents, please refer to RabMAb® patents.

What are the advantages of a recombinant monoclonal antibody?
This product is a recombinant monoclonal antibody, which offers several advantages including:

  • - High batch-to-batch consistency and reproducibility
  • - Improved sensitivity and specificity
  • - Long-term security of supply
  • - Animal-free batch production

For more information, read more on recombinant antibodies.

Conjugation ready
Our carrier-free antibodies are typically supplied in a PBS-only formulation, purified and free of BSA, sodium azide and glycerol. This conjugation-ready format is designed for use with fluorochromes, metal isotopes, oligonucleotides, and enzymes, which makes them ideal for antibody labelling, functional and cell-based assays, flow-based assays (e.g. mass cytometry) and Multiplex Imaging applications.

Use our conjugation kits for antibody conjugates that are ready-to-use in as little as 20 minutes with 1 minute hands-on-time and 100% antibody recovery: available for fluorescent dyes, HRP, biotin and gold.

Compatibility
This product is compatible with the Maxpar® Antibody Labeling Kit from Fluidigm, without the need for antibody preparation. Maxpar® is a trademark of Fluidigm Canada Inc.

Properties and storage information

Form
Liquid
Purification technique
Affinity purification Protein A
Storage buffer
pH: 7.2 - 7.4 Constituents: PBS
Shipped at conditions
Blue Ice
Appropriate short-term storage conditions
+4°C
Appropriate long-term storage conditions
+4°C

Supplementary information

This supplementary information is collated from multiple sources and compiled automatically.

Pan cytokeratin also known as cytokeratin AE1/AE3 is a cytoskeletal protein complex that consists of different keratin polypeptides. It mechanically supports epithelial cells contributing to their structural integrity. The protein mass is variable due to its composite nature ranging between 40 to 67 kDa. Pan cytokeratin is expressed in epithelial tissues throughout the body serving as a reliable marker for identifying epithelial origin cells in histological studies.
Biological function summary

Keratins in pan cytokeratin contribute to maintaining structural stability within epithelial cells. They act as components of the cytoskeletal network interacting with other cellular structures to provide protection from stress and mechanical damage. Pan cytokeratin exists as part of the intermediate filament protein complex which plays a significant role in cellular mechanics and cohesion essential for tissue integrity.

Pathways

Intermediate filaments containing pan cytokeratin participate in pathways related to cell differentiation and stress response. Its interactions with other proteins like desmoplakin and plectin link the cytoskeletal filaments to cell membranes and the extracellular matrix. This involvement is important in pathways related to cellular structural integrity and epithelial-mesenchymal transition (EMT).

Pan cytokeratin serves as a critical marker in the diagnosis of epithelial-derived cancers such as carcinoma and conditions like psoriasis. Abnormal expression patterns of pan cytokeratin indicate tumor presence and origin. Its connection to proteins such as E-cadherin and vimentin assists in understanding the progression and metastasis of cancer by facilitating EMT and tissue invasion diagnostics.

Product protocols

For this product, it's our understanding that no specific protocols are required. You can visit:

Product promise

We are committed to supporting your work with high-quality reagents, and we're here for you every step of the way. In the unlikely event that one of our products does not perform as expected, you're protected by our Product Promise.
For full details, please see our Terms & Conditions

Please note: All products are 'FOR RESEARCH USE ONLY. NOT FOR USE IN DIAGNOSTIC OR THERAPEUTIC PROCEDURES'.

For licensing inquiries, please contact partnerships@abcam.com