JavaScript is disabled in your browser. Please enable JavaScript to view this website.
AB270305

Anti-pan Cytokeratin antibody [KRTL/1577R] - BSA and Azide free

Be the first to review this product! Submit a review

|

(1 Publication)

Rabbit Recombinant Monoclonal K2C1B antibody. Carrier free. Suitable for IHC-P and reacts with Human samples. Cited in 1 publication. Immunogen corresponding to Recombinant Fragment Protein within Human KRT77.

View Alternative Names

KRT1B, KRT77, Cytokeratin-1B, Keratin-77, Type-II keratin Kb39, CK-1B, K77

1 Images
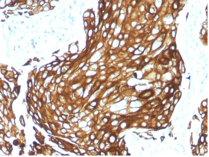
Immunohistochemistry (Formalin/PFA-fixed paraffin-embedded sections) - Anti-pan Cytokeratin antibody [KRTL/1577R] - BSA and Azide free (AB270305)
  • IHC-P

Supplier Data

Immunohistochemistry (Formalin/PFA-fixed paraffin-embedded sections) - Anti-pan Cytokeratin antibody [KRTL/1577R] - BSA and Azide free (AB270305)

Formalin-fixed, parafin-embedded human lung carcinoma tissue stained with pan Cytokeratin using ab217915 at 2μg/ml in immunohistochemical analysis.

This data was developed using the same antibody clone in a different buffer formulation containing PBS, BSA, and sodium azide (ab217915).

Key facts

Host species

Rabbit

Clonality

Monoclonal

Clone number

KRTL/1577R

Isotype

IgG

Carrier free

Yes

Reacts with

Human

Applications

IHC-P

applications

Immunogen

Recombinant Fragment Protein within Human KRT77. The exact immunogen used to generate this antibody is proprietary information.

Q7Z794

Reactivity data

{ "title": "Reactivity Data", "filters": { "stats": ["", "Species", "Dilution Info", "Notes"], "tabs": { "all-applications": {"fullname" : "All Applications", "shortname": "All Applications"}, "IHCP" : {"fullname" : "Immunohistochemistry (Formalin/PFA-fixed paraffin-embedded sections)", "shortname":"IHC-P"} }, "product-promise": { "all": "all", "testedAndGuaranteed": "tested", "guaranteed": "expected", "predicted": "predicted", "notRecommended": "not-recommended" } }, "values": { "Human": { "IHCP-species-checked": "testedAndGuaranteed", "IHCP-species-dilution-info": "1-2 µg/mL", "IHCP-species-notes": "<p></p> Perform heat-mediated antigen retrieval with Tris/EDTA buffer pH 9.0 before commencing with IHC staining protocol." } } }

Product details

Conjugation ready
Our carrier-free antibodies are typically supplied in a PBS-only formulation, purified and free of BSA, sodium azide and glycerol. This conjugation-ready format is designed for use with fluorochromes, metal isotopes, oligonucleotides, and enzymes, which makes them ideal for antibody labelling, functional and cell-based assays, flow-based assays (e.g. mass cytometry) and Multiplex Imaging applications.

Use our conjugation kits for antibody conjugates that are ready-to-use in as little as 20 minutes with 1 minute hands-on-time and 100% antibody recovery: available for fluorescent dyes, HRP, biotin and gold.

Properties and storage information

Form
Liquid
Purification technique
Affinity purification Protein A/G
Purification notes
Purified from bioreactor concentrate.
Storage buffer
pH: 7.2 - 7.4 Constituents: PBS
Shipped at conditions
Blue Ice
Appropriate short-term storage duration
1-2 weeks
Appropriate short-term storage conditions
+4°C
Appropriate long-term storage conditions
-20°C
Aliquoting information
Upon delivery aliquot
Storage information
Avoid freeze / thaw cycle

Supplementary information

This supplementary information is collated from multiple sources and compiled automatically.

Pan cytokeratin also known as cytokeratin AE1/AE3 is a cytoskeletal protein complex that consists of different keratin polypeptides. It mechanically supports epithelial cells contributing to their structural integrity. The protein mass is variable due to its composite nature ranging between 40 to 67 kDa. Pan cytokeratin is expressed in epithelial tissues throughout the body serving as a reliable marker for identifying epithelial origin cells in histological studies.
Biological function summary

Keratins in pan cytokeratin contribute to maintaining structural stability within epithelial cells. They act as components of the cytoskeletal network interacting with other cellular structures to provide protection from stress and mechanical damage. Pan cytokeratin exists as part of the intermediate filament protein complex which plays a significant role in cellular mechanics and cohesion essential for tissue integrity.

Pathways

Intermediate filaments containing pan cytokeratin participate in pathways related to cell differentiation and stress response. Its interactions with other proteins like desmoplakin and plectin link the cytoskeletal filaments to cell membranes and the extracellular matrix. This involvement is important in pathways related to cellular structural integrity and epithelial-mesenchymal transition (EMT).

Pan cytokeratin serves as a critical marker in the diagnosis of epithelial-derived cancers such as carcinoma and conditions like psoriasis. Abnormal expression patterns of pan cytokeratin indicate tumor presence and origin. Its connection to proteins such as E-cadherin and vimentin assists in understanding the progression and metastasis of cancer by facilitating EMT and tissue invasion diagnostics.

Product protocols

For this product, it's our understanding that no specific protocols are required. You can visit:

Publications (1)

Recent publications for all applications. Explore the full list and refine your search

PloS one 18:e0279821 PubMed36602988

2023

A living biobank of matched pairs of patient-derived xenografts and organoids for cancer pharmacology.

Applications

Unspecified application

Species

Unspecified reactive species

Xiaoxi Xu,Rajendra Kumari,Jun Zhou,Jing Chen,Binchen Mao,Jingjing Wang,Meiling Zheng,Xiaolong Tu,Xiaoyu An,Xiaobo Chen,Likun Zhang,Xiaoli Tian,Haojie Wang,Xin Dong,Zhengzheng Bao,Sheng Guo,Xuesong Ouyang,Limei Shang,Fei Wang,Xuefei Yan,Rui Zhang,Robert G J Vries,Hans Clevers,Qi-Xiang Li
View all publications

Product promise

We are committed to supporting your work with high-quality reagents, and we're here for you every step of the way. In the unlikely event that one of our products does not perform as expected, you're protected by our Product Promise.
For full details, please see our Terms & Conditions

Please note: All products are 'FOR RESEARCH USE ONLY. NOT FOR USE IN DIAGNOSTIC OR THERAPEUTIC PROCEDURES'.

For licensing inquiries, please contact partnerships@abcam.com