JavaScript is disabled in your browser. Please enable JavaScript to view this website.
AB7315

Anti-pan methyl Lysine antibody - ChIP Grade

3

(2 Reviews)

|

(33 Publications)

Rabbit Polyclonal H3 antibody. Suitable for IP, ChIP, ELISA, WB, IHC-P, ICC/IF and reacts with Modified Amino Acid samples. Cited in 33 publications.

View Alternative Names

Histone H3.1

5 Images
Immunocytochemistry/ Immunofluorescence - Anti-pan methyl Lysine antibody - ChIP Grade (AB7315)
  • ICC/IF

Unknown

Immunocytochemistry/ Immunofluorescence - Anti-pan methyl Lysine antibody - ChIP Grade (AB7315)

ICC/IF image of ab7315 stained HeLa cells. The cells were 100% methanol fixed (5 min) and then incubated in 1%BSA / 10% normal goat serum / 0.3M glycine in 0.1% PBS-Tween for 1h to permeabilise the cells and block non-specific protein-protein interactions. The cells were then incubated with the antibody ab7315 at 5μg/ml overnight at +4°C. The secondary antibody (green) was DyLight® 488 goat anti- rabbit (ab96899) IgG (H+L) used at a 1/1000 dilution for 1h. Alexa Fluor® 594 WGA was used to label plasma membranes (red) at a 1/200 dilution for 1h. DAPI was used to stain the cell nuclei (blue) at a concentration of 1.43μM.

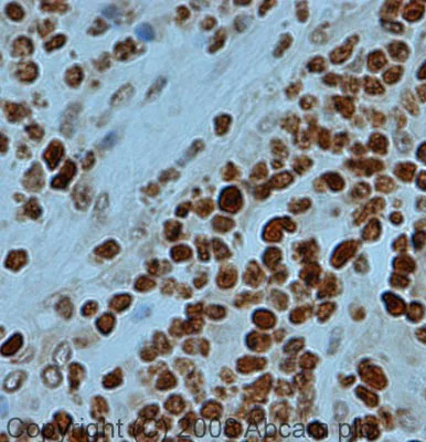
Immunohistochemistry (Formalin/PFA-fixed paraffin-embedded sections) - Anti-pan methyl Lysine antibody - ChIP Grade (AB7315)
  • IHC-P

Unknown

Immunohistochemistry (Formalin/PFA-fixed paraffin-embedded sections) - Anti-pan methyl Lysine antibody - ChIP Grade (AB7315)

IHC image of pan methyl Lysine (methyl K pan) staining in human breast carcinoma FFPE section, performed on a BondTM system using the standard protocol F. The section was pre-treated using heat mediated antigen retrieval with sodium citrate buffer (pH6, epitope retrieval solution 1) for 20 mins. The section was then incubated with ab7315, 1µg/ml, for 15 mins at room temperature and detected using an HRP conjugated compact polymer system. DAB was used as the chromogen. The section was then counterstained with haematoxylin and mounted with DPX.

ChIP - Anti-pan methyl Lysine antibody - ChIP Grade (AB7315)
  • ChIP

Unknown

ChIP - Anti-pan methyl Lysine antibody - ChIP Grade (AB7315)

Chromatin was prepared from Hela cells according to the Abcam X-ChIP protocol. Cells were fixed with formaldehyde for 10min. The ChIP was performed with 25μg of chromatin, 6.5μl of ab7315 (blue), and 20μl of Protein A/G sepharose beads. No antibody was added to the beads control (yellow). The immunoprecipitated DNA was quantified by real time PCR (Taqman approach for active and inactive loci, Sybr green approach for heterochromatic loci). Primers and probes are located in the first kb of the transcribed region.

Immunoprecipitation - Anti-pan methyl Lysine antibody - ChIP Grade (AB7315)
  • IP

Lab

Immunoprecipitation - Anti-pan methyl Lysine antibody - ChIP Grade (AB7315)

pan methyl Lysine was immunoprecipitated using 0.5mg Hela whole cell extract, 5µg of it polyclonal to pan methyl Lysine and 50µl of protein G magnetic beads (+). No antibody was added to the control (-).
The antibody was incubated under agitation with Protein G beads for 10min, Hela whole cell extract lysate diluted in RIPA buffer was added to each sample and incubated for a further 10min under agitation.
Proteins were eluted by addition of 40µl SDS loading buffer and incubated for 10min at 70oC; 10µl of each sample was separated on a SDS PAGE gel, transferred to a nitrocellulose membrane, blocked with 5% BSA and probed with ab7315.
Secondary : Clean blot (HRP conjugate) at 1/1000 dilution.
Band : 17kDa : pan methyl Lysine.

All lanes:

Immunoprecipitation - Anti-pan methyl Lysine antibody - ChIP Grade (ab7315)

false

Western blot - Anti-pan methyl Lysine antibody - ChIP Grade (AB7315)
  • WB

Project1592****

Western blot - Anti-pan methyl Lysine antibody - ChIP Grade (AB7315)

Expected molecular weights : H3 = 17 kDa; H4 = 14 kDa This image shows that the main epitopes recognized by ab7315 are the di methylated lysine residues. This can be seen in lanes 4, 7 and 10 where the activity of the antibody is quenched by the immunizing peptides (ab7768, ab1772, ab1781).

All lanes:

Western blot - Anti-pan methyl Lysine antibody - ChIP Grade (ab7315) at 1 µg/mL

All lanes:

Calf Thymus Histone Preparation Nuclear Lysate at 0.5 µg

Secondary

All lanes:

Western blot - Goat Anti-Rabbit IgG H&L (HRP) preadsorbed (<a href='/en-us/products/secondary-antibodies/goat-rabbit-igg-h-l-hrp-preadsorbed-ab97080'>ab97080</a>) at 1/5000 dilution

Predicted band size: 14-17 kDa

true

Exposure time: 20min

Key facts

Host species

Rabbit

Clonality

Polyclonal

Isotype

IgG

Carrier free

No

Applications

ELISA, IP, ChIP, ICC/IF, IHC-P, WB

applications

Immunogen

The exact immunogen used to generate this antibody is proprietary information.

Specificity

ab7315 recognises Histone H3 di-methyl K4, di-methyl K9 and di-methyl K27 in WB. Non-histone samples have not been tested, thus, we do not know if ab7315 would work on non-histone samples.

Reactivity data

{ "title": "Reactivity Data", "filters": { "stats": ["", "Species", "Dilution Info", "Notes"], "tabs": { "all-applications": {"fullname" : "All Applications", "shortname": "All Applications"}, "IP" : {"fullname" : "Immunoprecipitation", "shortname":"IP"}, "ChIP" : {"fullname" : "ChIP", "shortname":"ChIP"}, "ELISA" : {"fullname" : "ELISA", "shortname":"ELISA"}, "WB" : {"fullname" : "Western blot", "shortname":"WB"}, "IHCP" : {"fullname" : "Immunohistochemistry (Formalin/PFA-fixed paraffin-embedded sections)", "shortname":"IHC-P"}, "ICCIF" : {"fullname" : "Immunocytochemistry/ Immunofluorescence", "shortname":"ICC/IF"} }, "product-promise": { "all": "all", "testedAndGuaranteed": "tested", "guaranteed": "expected", "predicted": "predicted", "notRecommended": "not-recommended" } }, "values": { "Modified Amino Acid": { "IP-species-checked": "testedAndGuaranteed", "IP-species-dilution-info": "", "IP-species-notes": "<p></p>", "ChIP-species-checked": "testedAndGuaranteed", "ChIP-species-dilution-info": "", "ChIP-species-notes": "<p>Every new batch of this antibody is tested at Abcam in ChIP.</p>", "ELISA-species-checked": "guaranteed", "ELISA-species-dilution-info": "", "ELISA-species-notes": "<p></p>", "WB-species-checked": "testedAndGuaranteed", "WB-species-dilution-info": "1/1000 - 1/2000", "WB-species-notes": "<p></p>", "IHCP-species-checked": "testedAndGuaranteed", "IHCP-species-dilution-info": "1 µg/mL", "IHCP-species-notes": "<p></p>", "ICCIF-species-checked": "testedAndGuaranteed", "ICCIF-species-dilution-info": "5 µg/mL", "ICCIF-species-notes": "<p></p>" } } }

Product details

This antibody will be extremely useful in the study of the regulation of transcription by methylation. Has also been successfully used in CHIP in both human and yeast.

Properties and storage information

Form
Liquid
Purification technique
Affinity purification Immunogen
Storage buffer
pH: 7.4 Preservative: 0.02% Sodium azide Constituents: 98.98% PBS, 1% BSA
Shipped at conditions
Blue Ice
Appropriate short-term storage duration
1-2 weeks
Appropriate short-term storage conditions
+4°C
Appropriate long-term storage conditions
-20°C
Aliquoting information
Add glycerol to a final volume of 50% for extra stability and aliquot
Storage information
Avoid freeze / thaw cycle

Supplementary information

This supplementary information is collated from multiple sources and compiled automatically.

Pan methyl Lysine a common post-translational modification involves the methylation of lysine residues on histones and other proteins. This modification is a marker for chromatin states and gene expression regulation. Pan methyl Lysine does not refer to a single protein but rather a type of modification found on various proteins impacting their function. Any measurement of mass refers to the specific protein that bears this modification. You can find pan methyl Lysine in the cell nucleus of eukaryotic organisms where it plays a role in gene expression regulation.
Biological function summary

The methylation of lysine residues affects processes like transcription replication and DNA repair. It interacts with chromatin-modifying complexes and transcription factors. This modification can facilitate or inhibit the binding of proteins to chromatin thereby influencing gene expression. In addition pan methyl Lysine can undergo mono- di- or tri-methylation each with distinct biological impacts on protein function and cellular processes.

Pathways

Mechanisms involving lysine methylation tie closely with epigenetic regulation pathways alongside histone acetylation phosphorylation and ubiquitination. Proteins such as histone methyltransferases and demethylases regulate the methylation status of lysine residues affecting chromatin dynamics and consequently gene expression. Methyl lysine modifications can work in concert with other histone modifications within the histone code pathway dictating specific gene expression patterns in response to cellular signals.

Abnormalities in lysine methylation link to cancer and neurological disorders. Alterations in methylation patterns can lead to dysregulation of oncogenes or tumor suppressor genes contributing to cancer progression. Proteins like mixed lineage leukemia (MLL) and enhancer of zeste homolog 2 (EZH2) which involve lysine methylation often show mutations or misregulation in cancer-related pathways. In neurological conditions abnormal methylation affects gene expression patterns important for neural function and development linking it to disorders such as schizophrenia.

Product protocols

For this product, it's our understanding that no specific protocols are required. You can visit:

Target data

Core component of nucleosome. Nucleosomes wrap and compact DNA into chromatin, limiting DNA accessibility to the cellular machineries which require DNA as a template. Histones thereby play a central role in transcription regulation, DNA repair, DNA replication and chromosomal stability. DNA accessibility is regulated via a complex set of post-translational modifications of histones, also called histone code, and nucleosome remodeling.
See full target information Histone H3.1

Publications (33)

Recent publications for all applications. Explore the full list and refine your search

Nature genetics 57:1463-1477 PubMed40457074

2025

KDM4C inhibition blocks tumor growth in basal breast cancer by promoting cathepsin L-mediated histone H3 cleavage.

Applications

Unspecified application

Species

Unspecified reactive species

Zheqi Li,Guillermo Peluffo,Laura E Stevens,Xintao Qiu,Marco Seehawer,Amatullah Tawawalla,Xiao-Yun Huang,Shawn B Egri,Shaunak Raval,Maeve McFadden,Clive S D'Santos,Eva Papachristou,Natalie L Kingston,Jun Nishida,Kyle E Evans,Ji-Heui Seo,Kendell Clement,Daniel Temko,Muhammad Ekram,Rong Li,Matthew G Rees,Melissa M Ronan,Jennifer A Roth,Anton Simeonov,Stephen C Kales,Ganesha Rai,Madhu Lal-Nag,David J Maloney,Ajit Jadhav,Franziska Michor,Alex Meissner,Justin M Balko,Jason S Carroll,Matthew L Freedman,Jacob D Jaffe,Malvina Papanastasiou,Henry W Long,Kornelia Polyak

Nature 641:779-787 PubMed40240600

2025

Histone H1 deamidation facilitates chromatin relaxation for DNA repair.

Applications

Unspecified application

Species

Unspecified reactive species

Yuan Tian,Tingting Feng,Jun Zhang,Qingren Meng,Wenxin Zhan,Ming Tang,Chaohua Liu,Mengyan Li,Wenhui Tao,Yuxin Shu,Yu Zhang,Feng Chen,Shunichi Takeda,Qian Zhu,Xiaopeng Lu,Wei-Guo Zhu

Biomolecules 14: PubMed39595554

2024

LSD1 Demethylates and Destabilizes Autophagy Protein LC3B in Ovarian Cancer.

Applications

Unspecified application

Species

Unspecified reactive species

Mingyang Li,Jie Feng,Kangrong Zhao,Ting Huang,Bowen Zhang,Yifan Yang,Aiqin Sun,Qiong Lin,Genbao Shao

Immunity, inflammation and disease 12:e1135 PubMed38270316

2024

Sirtuin 3 is required for the dexmedetomidine-mediated alleviation of inflammation and oxidative stress in nephritis.

Applications

Unspecified application

Species

Unspecified reactive species

Kai Lu,Xinlong Li,Jie Wu

The EMBO journal 42:e112675 PubMed37092319

2023

Glutamate dehydrogenase1 supports HIF-1α stability to promote colorectal tumorigenesis under hypoxia.

Applications

Unspecified application

Species

Unspecified reactive species

Kunhua Hu,Yufeng Ding,Hongwen Zhu,Xiaoqian Jing,Weiling He,Hua Yu,Xiongjun Wang

iScience 25:104162 PubMed35434545

2022

Linkage of methionine addiction, histone lysine hypermethylation, and malignancy.

Applications

Unspecified application

Species

Unspecified reactive species

Jun Yamamoto,Sachiko Inubushi,Qinghong Han,Yoshihiko Tashiro,Norihiko Sugisawa,Kazuyuki Hamada,Yusuke Aoki,Kentaro Miyake,Ryusei Matsuyama,Michael Bouvet,Steven G Clarke,Itaru Endo,Robert M Hoffman

Nature communications 12:6941 PubMed34862367

2021

Inhibition of cytoplasmic EZH2 induces antitumor activity through stabilization of the DLC1 tumor suppressor protein.

Applications

Unspecified application

Species

Unspecified reactive species

Brajendra K Tripathi,Meghan F Anderman,Disha Bhargava,Luciarita Boccuzzi,Xiaolan Qian,Dunrui Wang,Marian E Durkin,Alex G Papageorge,Fernando J de Miguel,Katerina Politi,Kylie J Walters,James H Doroshow,Douglas R Lowy

Molecular medicine (Cambridge, Mass.) 27:113 PubMed34535085

2021

Circular RNA-0007059 protects cell viability and reduces inflammation in a nephritis cell model by inhibiting microRNA-1278/SHP-1/STAT3 signaling.

Applications

Unspecified application

Species

Unspecified reactive species

Peng-Wei Guo,Hai-Ting Huang,Jing Ma,Yao Zuo,Dan Huang,Lin-Lin He,Zi-Ming Wan,Cheng Chen,Fa-Fen Yang,Yan-Wu You

Cell discovery 7:37 PubMed34031383

2021

Targeting novel LSD1-dependent ACE2 demethylation domains inhibits SARS-CoV-2 replication.

Applications

Unspecified application

Species

Unspecified reactive species

Wen Juan Tu,Robert D McCuaig,Michelle Melino,Daniel J Rawle,Thuy T Le,Kexin Yan,Andreas Suhrbier,Rebecca L Johnston,Lambros T Koufariotis,Nicola Waddell,Emily M Cross,Sofiya Tsimbalyuk,Amanda Bain,Elizabeth Ahern,Natasha Collinson,Simon Phipps,Jade K Forwood,Nabila Seddiki,Sudha Rao

Experimental & molecular medicine 53:250-263 PubMed33564100

2021

SRF is a nonhistone methylation target of KDM2B and SET7 in the regulation of skeletal muscle differentiation.

Applications

Unspecified application

Species

Unspecified reactive species

Duk-Hwa Kwon,Joo-Young Kang,Hosouk Joung,Ji-Young Kim,Anna Jeong,Hyun-Ki Min,Sera Shin,Yun-Gyeong Lee,Young-Kook Kim,Sang-Beom Seo,Hyun Kook
View all publications

Product promise

We are committed to supporting your work with high-quality reagents, and we're here for you every step of the way. In the unlikely event that one of our products does not perform as expected, you're protected by our Product Promise.
For full details, please see our Terms & Conditions

Please note: All products are 'FOR RESEARCH USE ONLY. NOT FOR USE IN DIAGNOSTIC OR THERAPEUTIC PROCEDURES'.

For licensing inquiries, please contact partnerships@abcam.com