JavaScript is disabled in your browser. Please enable JavaScript to view this website.
AB251199

Anti-pan-myc antibody [EPR18863] - BSA and Azide free

Be the first to review this product! Submit a review

|

(0 Publication)

Rabbit Recombinant Monoclonal C-Myc/MYC antibody. Carrier free. Suitable for ChIC/CUT&RUN-seq, WB, ICC/IF, Flow Cyt (Intra) and reacts with Human, Mouse samples.

View Alternative Names

BHLHE39, MYC, Myc proto-oncogene protein, Class E basic helix-loop-helix protein 39, Proto-oncogene c-Myc, Transcription factor p64, bHLHe39

10 Images
Immunocytochemistry/ Immunofluorescence - Anti-pan-myc antibody [EPR18863] - BSA and Azide free (AB251199)
  • ICC/IF

Supplier Data

Immunocytochemistry/ Immunofluorescence - Anti-pan-myc antibody [EPR18863] - BSA and Azide free (AB251199)

This data was developed using ab195207, the same antibody clone in a different buffer formulation.

Immunofluorescent analysis of 4% paraformaldehyde-fixed, 0.1% Triton X-100 permeabilized HeLa (Human epithelial cells from cervix adenocarcinoma) cells labeling pan-myc with ab195207 at 1/250 dilution, followed by Goat anti-rabbit IgG (Alexa Fluor® 488) (ab150077) secondary antibody at 1/1000 dilution (green).

Confocal image showing nuclear staining on HeLa cell line.

The nuclear counterstain is DAPI (blue).

Tubulin is detected with ab7291 (anti-Tubulin mouse mAb) at 1/1000 dilution and ab150120 (AlexaFluor®594 Goat anti-Mouse secondary) at 1/1000 dilution (red).

The negative controls are as follows : -

-ve control 1 : ab195207 at 1/250 dilution followed by ab150120 (AlexaFluor®594 Goat anti-Mouse secondary) at 1/1000 dilution.

-ve control 2 : ab7291 (anti-Tubulin mouse mAb) at 1/1000 dilution followed by ab150077 (Alexa Fluor®488 Goat Anti-Rabbit IgG H&L) at 1/1000 dilution.

Flow Cytometry (Intracellular) - Anti-pan-myc antibody [EPR18863] - BSA and Azide free (AB251199)
  • Flow Cyt (Intra)

Lab

Flow Cytometry (Intracellular) - Anti-pan-myc antibody [EPR18863] - BSA and Azide free (AB251199)

This data was developed using ab195207, the same antibody clone in a different buffer formulation.

Intracellular Flow Cytometry analysis of HeLa cells labelling pan-myc (red) with purified ab195207 at dilution of 1/60. The secondary antibody used was Alexa Fluor® 488 goat-anti-rabbit IgG (1/2000). Cells were fixed with 4% paraformaldehyde and permeabilised with 90% methanol. Isotype control antibody was Rabbit monoclonal IgG (black). The blue line shows cells without incubation with primary antibody and secondary antibody.

Immunocytochemistry/ Immunofluorescence - Anti-pan-myc antibody [EPR18863] - BSA and Azide free (AB251199)
  • ICC/IF

Supplier Data

Immunocytochemistry/ Immunofluorescence - Anti-pan-myc antibody [EPR18863] - BSA and Azide free (AB251199)

This data was developed using ab195207, the same antibody clone in a different buffer formulation.

Immunofluorescent analysis of 4% paraformaldehyde-fixed, 0.1% Triton X-100 permeabilized RAW 264.7 (Mouse macrophage cells transformed with Abelson murine leukemia virus) cells labeling pan-myc with ab195207 at 1/250 dilution, followed by Goat anti-rabbit IgG (Alexa Fluor® 488) (ab150077) secondary antibody at 1/1000 dilution (green).

Confocal image showing nuclear staining on RAW 264.7 cell line.

The nuclear counterstain is DAPI (blue).

Tubulin is detected with ab7291 (anti-Tubulin mouse mAb) at 1/1000 dilution and ab150120 (AlexaFluor®594 Goat anti-Mouse secondary) at 1/1000 dilution (red).

The negative controls are as follows : -

-ve control 1 : ab195207 at 1/250 dilution followed by ab150120 (AlexaFluor®594 Goat anti-Mouse secondary) at 1/1000 dilution.

-ve control 2 : ab7291 (anti-Tubulin mouse mAb) at 1/1000 dilution followed by ab150077 (Alexa Fluor®488 Goat Anti-Rabbit IgG H&L) at 1/1000 dilution.

Western blot - Anti-pan-myc antibody [EPR18863] - BSA and Azide free (AB251199)
  • WB

Supplier Data

Western blot - Anti-pan-myc antibody [EPR18863] - BSA and Azide free (AB251199)

This data was developed using ab195207, the same antibody clone in a different buffer formulation.

Blocking and dilution buffer : 5% NFDM/TBST.

All lanes:

Western blot - Anti-pan-myc antibody [EPR18863] (<a href='/en-us/products/primary-antibodies/pan-myc-antibody-epr18863-ab195207'>ab195207</a>) at 1/2000 dilution

Lane 1:

HEK-293 (Human epithelial cells from embryonic kidney) whole cell lysate transfected with empty vector (vector control) at 10 µg

Lane 2:

HEK-293 whole cell lysate transfected with L-Myc with GFP-tag at 10 µg

Secondary

All lanes:

Western blot - Goat Anti-Rabbit IgG H&L (HRP) (<a href='/en-us/products/secondary-antibodies/goat-rabbit-igg-h-l-hrp-ab97051'>ab97051</a>) at 1/100000 dilution

Predicted band size: 40 kDa,49 kDa,50 kDa

Observed band size: 57 kDa,83 kDa

false

Exposure time: 3min

Western blot - Anti-pan-myc antibody [EPR18863] - BSA and Azide free (AB251199)
  • WB

Supplier Data

Western blot - Anti-pan-myc antibody [EPR18863] - BSA and Azide free (AB251199)

This data was developed using ab195207, the same antibody clone in a different buffer formulation.

Blocking and dilution buffer : 5% NFDM/TBST.

All lanes:

Western blot - Anti-pan-myc antibody [EPR18863] (<a href='/en-us/products/primary-antibodies/pan-myc-antibody-epr18863-ab195207'>ab195207</a>) at 1/1000 dilution

Lane 1:

HeLa (Human epithelial cells from cervix adenocarcinoma) whole cell lysate at 10 µg

Lane 2:

HEK-293 (Human epithelial cells from embryonic kidney) whole cell lysate at 10 µg

Secondary

All lanes:

Western blot - Goat Anti-Rabbit IgG H&L (HRP) (<a href='/en-us/products/secondary-antibodies/goat-rabbit-igg-h-l-hrp-ab97051'>ab97051</a>) at 1/100000 dilution

Predicted band size: 40 kDa,49 kDa,50 kDa

Observed band size: 57 kDa

false

Exposure time: 3min

Western blot - Anti-pan-myc antibody [EPR18863] - BSA and Azide free (AB251199)
  • WB

Supplier Data

Western blot - Anti-pan-myc antibody [EPR18863] - BSA and Azide free (AB251199)

This data was developed using ab195207, the same antibody clone in a different buffer formulation.

Blocking and dilution buffer : 5% NFDM/TBST.

All lanes:

Western blot - Anti-pan-myc antibody [EPR18863] (<a href='/en-us/products/primary-antibodies/pan-myc-antibody-epr18863-ab195207'>ab195207</a>) at 1/2000 dilution

All lanes:

K562 (Human chronic myelogenous leukemia cells from bone marrow) whole cell lysate at 20 µg

Secondary

All lanes:

Western blot - Goat Anti-Rabbit IgG H&L (HRP) (<a href='/en-us/products/secondary-antibodies/goat-rabbit-igg-h-l-hrp-ab97051'>ab97051</a>) at 1/100000 dilution

Predicted band size: 40 kDa,49 kDa,50 kDa

Observed band size: 57 kDa

false

Exposure time: 3min

ChIC/CUT&RUN sequencing - Anti-pan-myc antibody [EPR18863] - BSA and Azide free (AB251199)
  • ChIC/CUT&RUN-seq

Supplier Data

ChIC/CUT&RUN sequencing - Anti-pan-myc antibody [EPR18863] - BSA and Azide free (AB251199)

ChIC/CUT&RUN was performed using a pAG-MNAse at a final concentration of 700 ng/mL, 2 x 10^5 HeLa (Human cervix adenocarcinoma epithelial cell line) cells and 5µg of ab195207 [EPR18863]. The resulting DNA was sequenced on the Illumina NovaSeq 6000 to a depth of 10 million reads. The negative IgG control ab172730 is also shown. Additional screenshots of mapped reads can be found in the Protocol booklet in the Product Protocol section. The University of Geneva owns patents relevant to ChIC (Chromatin Immuno-Cleavage) methods. This data was developed using ab195207, the same antibody clone in a different buffer formulation.

Western blot - Anti-pan-myc antibody [EPR18863] - BSA and Azide free (AB251199)
  • WB

Supplier Data

Western blot - Anti-pan-myc antibody [EPR18863] - BSA and Azide free (AB251199)

This data was developed using ab195207, the same antibody clone in a different buffer formulation.

Blocking and dilution buffer : 5% NFDM/TBST.

The observed molecular weight for the mouse species is slightly higher than human Myc, this could be due to different degree of glycosylation.

All lanes:

Western blot - Anti-pan-myc antibody [EPR18863] (<a href='/en-us/products/primary-antibodies/pan-myc-antibody-epr18863-ab195207'>ab195207</a>) at 1/1000 dilution

All lanes:

RAW 264.7 (Mouse macrophage cells transformed with Abelson murine leukemia virus) whole cell lysate at 10 µg

Secondary

All lanes:

Western blot - Goat Anti-Rabbit IgG H&L (HRP) (<a href='/en-us/products/secondary-antibodies/goat-rabbit-igg-h-l-hrp-ab97051'>ab97051</a>) at 1/100000 dilution

Predicted band size: 40 kDa,49 kDa,50 kDa

Observed band size: 60 kDa

false

Exposure time: 30s

Western blot - Anti-pan-myc antibody [EPR18863] - BSA and Azide free (AB251199)
  • WB

Supplier Data

Western blot - Anti-pan-myc antibody [EPR18863] - BSA and Azide free (AB251199)

This data was developed using ab195207, the same antibody clone in a different buffer formulation.

Blocking and dilution buffer : 5% NFDM/TBST.

All lanes:

Western blot - Anti-pan-myc antibody [EPR18863] (<a href='/en-us/products/primary-antibodies/pan-myc-antibody-epr18863-ab195207'>ab195207</a>) at 1/5000 dilution

Lane 1:

HEK-293 (Human epithelial cells from embryonic kidney) whole cell lysate transfected with empty vector (vector control) at 10 µg

Lane 2:

HEK-293 whole cell lysate transfected with n-Myc with GFP-tag at 10 µg

Secondary

All lanes:

Western blot - Goat Anti-Rabbit IgG H&L (HRP) (<a href='/en-us/products/secondary-antibodies/goat-rabbit-igg-h-l-hrp-ab97051'>ab97051</a>) at 1/100000 dilution

Predicted band size: 40 kDa,49 kDa,50 kDa

Observed band size: 83 kDa

false

Exposure time: 3s

Western blot - Anti-pan-myc antibody [EPR18863] - BSA and Azide free (AB251199)
  • WB

Unknown

Western blot - Anti-pan-myc antibody [EPR18863] - BSA and Azide free (AB251199)

This data was developed using ab195207, the same antibody clone in a different buffer formulation.

Blocking and dilution buffer : 5% NFDM/TBST.

All lanes:

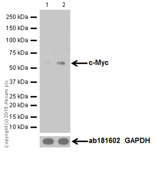
Western blot - Anti-pan-myc antibody [EPR18863] (<a href='/en-us/products/primary-antibodies/pan-myc-antibody-epr18863-ab195207'>ab195207</a>) at 1/1000 dilution

Lane 1:

HEK-293 (Human epithelial cells from embryonic kidney) whole cell lysate transfected with empty vector (vector control) at 10 µg

Lane 2:

HEK-293 whole cell lysate transfected with c-Myc at 10 µg

Secondary

All lanes:

Western blot - Goat Anti-Rabbit IgG H&L (HRP) (<a href='/en-us/products/secondary-antibodies/goat-rabbit-igg-h-l-hrp-ab97051'>ab97051</a>) at 1/100000 dilution

Predicted band size: 40 kDa,49 kDa,50 kDa

Observed band size: 57 kDa

false

Exposure time: 3min

Key facts

Host species

Rabbit

Clonality

Monoclonal

Clone number

EPR18863

Isotype

IgG

Carrier free

Yes

Reacts with

Mouse, Human

Applications

WB, Flow Cyt (Intra), ChIC/CUT&RUN-seq, ICC/IF

applications

Immunogen

The exact immunogen used to generate this antibody is proprietary information.

Reactivity data

{ "title": "Reactivity Data", "filters": { "stats": ["", "Species", "Dilution Info", "Notes"], "tabs": { "all-applications": {"fullname" : "All Applications", "shortname": "All Applications"}, "ChICCUTRUNseq" : {"fullname" : "ChIC/CUT&RUN sequencing", "shortname":"ChIC/CUT&RUN-seq"}, "WB" : {"fullname" : "Western blot", "shortname":"WB"}, "ICCIF" : {"fullname" : "Immunocytochemistry/ Immunofluorescence", "shortname":"ICC/IF"}, "FlowCytIntra" : {"fullname" : "Flow Cytometry (Intracellular)", "shortname":"Flow Cyt (Intra)"} }, "product-promise": { "all": "all", "testedAndGuaranteed": "tested", "guaranteed": "expected", "predicted": "predicted", "notRecommended": "not-recommended" } }, "values": { "Human": { "ChICCUTRUNseq-species-checked": "testedAndGuaranteed", "ChICCUTRUNseq-species-dilution-info": "", "ChICCUTRUNseq-species-notes": "<p></p>", "WB-species-checked": "testedAndGuaranteed", "WB-species-dilution-info": "", "WB-species-notes": "<p></p>", "ICCIF-species-checked": "testedAndGuaranteed", "ICCIF-species-dilution-info": "", "ICCIF-species-notes": "<p></p>", "FlowCytIntra-species-checked": "testedAndGuaranteed", "FlowCytIntra-species-dilution-info": "", "FlowCytIntra-species-notes": "<p></p>" }, "Mouse": { "ChICCUTRUNseq-species-checked": "guaranteed", "ChICCUTRUNseq-species-dilution-info": "", "ChICCUTRUNseq-species-notes": "", "WB-species-checked": "testedAndGuaranteed", "WB-species-dilution-info": "", "WB-species-notes": "<p></p>", "ICCIF-species-checked": "testedAndGuaranteed", "ICCIF-species-dilution-info": "", "ICCIF-species-notes": "<p></p>", "FlowCytIntra-species-checked": "guaranteed", "FlowCytIntra-species-dilution-info": "", "FlowCytIntra-species-notes": "" } } }

Product details

ab251199 is the carrier-free version of ab195207.

Patented technology
Our RabMAb® technology is a patented hybridoma-based technology for making rabbit monoclonal antibodies. For details on our patents, please refer to RabMAb® patents.

What are the advantages of a recombinant monoclonal antibody?
This product is a recombinant monoclonal antibody, which offers several advantages including:

  • - High batch-to-batch consistency and reproducibility
  • - Improved sensitivity and specificity
  • - Long-term security of supply
  • - Animal-free batch production

For more information, read more on recombinant antibodies.

Conjugation ready
Our carrier-free antibodies are typically supplied in a PBS-only formulation, purified and free of BSA, sodium azide and glycerol. This conjugation-ready format is designed for use with fluorochromes, metal isotopes, oligonucleotides, and enzymes, which makes them ideal for antibody labelling, functional and cell-based assays, flow-based assays (e.g. mass cytometry) and Multiplex Imaging applications.

Use our conjugation kits for antibody conjugates that are ready-to-use in as little as 20 minutes with 1 minute hands-on-time and 100% antibody recovery: available for fluorescent dyes, HRP, biotin and gold.

Compatibility
This product is compatible with the Maxpar® Antibody Labeling Kit from Fluidigm, without the need for antibody preparation. Maxpar® is a trademark of Fluidigm Canada Inc.

Properties and storage information

Form
Liquid
Storage buffer
pH: 7.2 - 7.4 Constituents: PBS
Shipped at conditions
Blue Ice
Appropriate short-term storage conditions
+4°C
Appropriate long-term storage conditions
+4°C
Storage information
Do Not Freeze

Supplementary information

This supplementary information is collated from multiple sources and compiled automatically.

Pan-MYC refers to a group of transcription factors in the MYC family primarily comprising c-Myc N-Myc and L-Myc with c-Myc weighing around 49 kDa. MYC proteins are nuclear phosphoproteins that regulate gene expression. MYC proteins express in various tissues including embryonic stem cells and proliferating cells and they are known for their involvement in cell cycle progression apoptosis and cellular transformation.
Biological function summary

MYC proteins perform an important role in the regulation of transcription by binding to DNA at E-box sequences. They function as part of the MYC/MAX/MAD network a transcriptional complex with MAX as the obligate partner. This network influences genes involved in cellular growth metabolism and differentiation. Deregulation of MYC proteins affects many cellular processes and can influence normal physiology.

Pathways

The MYC proteins are central to the regulation of the cell cycle and Wnt signaling pathways. In the PI3K/Akt signaling MYC interacts with other signaling molecules to control cell growth and survival. The E-box binding allows MYC to regulate multiple downstream targets including cyclins and growth factor receptors. MYC's ability to form a complex with MAX also interlinks it with other survival and proliferation pathways.

Aberrant MYC expression correlates with various cancers such as Burkitt's lymphoma and neuroblastoma. Overexpression of MYC often results from chromosomal translocations or gene amplifications in these malignancies. MYC's connection with the BCL2 protein leads to the disruption of apoptosis promoting oncogenic transformation. Control of MYC expression and function remains a critical focus in cancer research due to its role in tumor development.

Product protocols

For this product, it's our understanding that no specific protocols are required. You can visit:

Target data

Transcription factor that binds DNA in a non-specific manner, yet also specifically recognizes the core sequence 5'-CAC[GA]TG-3' (PubMed : 24940000, PubMed : 25956029). Activates the transcription of growth-related genes (PubMed : 24940000, PubMed : 25956029). Binds to the VEGFA promoter, promoting VEGFA production and subsequent sprouting angiogenesis (PubMed : 24940000, PubMed : 25956029). Regulator of somatic reprogramming, controls self-renewal of embryonic stem cells (By similarity). Functions with TAF6L to activate target gene expression through RNA polymerase II pause release (By similarity). Positively regulates transcription of HNRNPA1, HNRNPA2 and PTBP1 which in turn regulate splicing of pyruvate kinase PKM by binding repressively to sequences flanking PKM exon 9, inhibiting exon 9 inclusion and resulting in exon 10 inclusion and production of the PKM M2 isoform (PubMed : 20010808).
See full target information MYC
chicCutRunSequencingBooklet
en

Product promise

We are committed to supporting your work with high-quality reagents, and we're here for you every step of the way. In the unlikely event that one of our products does not perform as expected, you're protected by our Product Promise.
For full details, please see our Terms & Conditions

Please note: All products are 'FOR RESEARCH USE ONLY. NOT FOR USE IN DIAGNOSTIC OR THERAPEUTIC PROCEDURES'.

For licensing inquiries, please contact partnerships@abcam.com