JavaScript is disabled in your browser. Please enable JavaScript to view this website.
AB316334

Anti-pan NOS antibody [RM1126]

  • BOND RX™ Validated
  • 20ul selling size
  • RabMAb
  • Recombinant
  • What is this?

Be the first to review this product! Submit a review

|

(0 Publication)

Rabbit Recombinant Multiclonal eNOS antibody. Suitable for Dot, IHC-P and reacts with Recombinant full length protein - Human, Human, Transfected cell line - Human samples.

View Alternative Names

Nitric oxide synthase 3, Constitutive NOS, EC-NOS, NOS type III, cNOS, NOSIII, Endothelial NOS, eNOS, NOS3, NOS2A, NOS2, Hepatocyte NOS, Inducible NO synthase, NOS type II, Peptidyl-cysteine S-nitrosylase NOS2, HEP-NOS, Inducible NOS, iNOS, Inosl, Nos2, Inducible NO synthase, Macrophage NOS, NOS type II, Peptidyl-cysteine S-nitrosylase NOS2, Inducible NOS, iNOS, MAC-NOS, Nitric oxide synthase 1, Constitutive NOS, NC-NOS, NOS type I, Neuronal NOS, Peptidyl-cysteine S-nitrosylase NOS1, N-NOS, nNOS, bNOS, NOS1

9 Images
Immunohistochemistry (Formalin/PFA-fixed paraffin-embedded sections) - Anti-pan NOS antibody [RM1126] (AB316334)
  • IHC-P

Supplier Data

Immunohistochemistry (Formalin/PFA-fixed paraffin-embedded sections) - Anti-pan NOS antibody [RM1126] (AB316334)

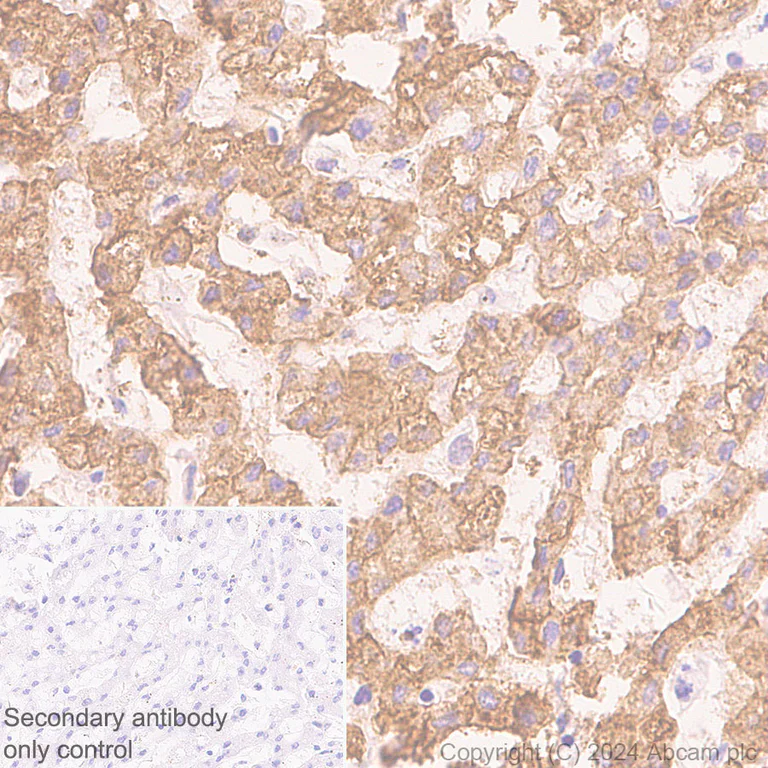
Immunohistochemical analysis of paraffin-embedded Human liver tissue labeling pan NOS with ab316334 at 1/200 (2.515 ug/ml) dilution, followed by a ready to use Rabbit specific IHC polymer detection kit HRP/DAB (ab209101).

Positive staining on human liver. The section was incubated with ab316334 for 30 mins at room temperature.
The immunostaining was performed on a Leica Biosystems BOND® RX instrument

Counterstained with Hematoxylin.

Secondary antibody only control : Secondary antibody is a ready to use Rabbit specific IHC polymer detection kit HRP/DAB (ab209101).

Heat mediated antigen retrieval was performed with Tris-EDTA buffer (pH 9.0, Epitope Retrieval Solution2) for 20 mins

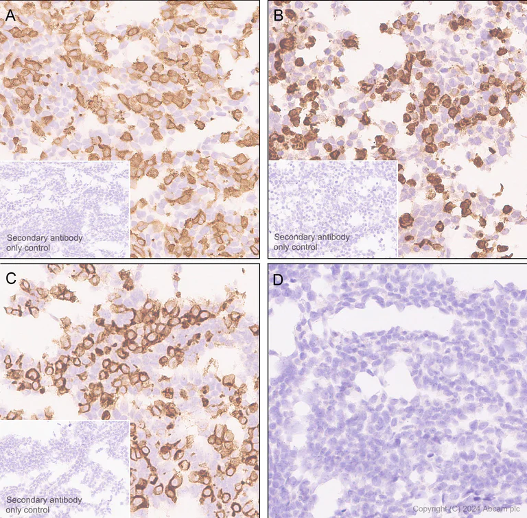
Immunohistochemistry (Formalin/PFA-fixed paraffin-embedded sections) - Anti-pan NOS antibody [RM1126] (AB316334)
  • IHC-P

Supplier Data

Immunohistochemistry (Formalin/PFA-fixed paraffin-embedded sections) - Anti-pan NOS antibody [RM1126] (AB316334)

Immunohistochemical analysis of paraffin-embedded (A) HEK-293T transfected with a human nNOS expression vector containing a Myc-His tag, (B) HEK-293T transfected with a human iNOS expression vector containing a Myc-His tag, and (C) HEK-293T transfected with a human eNOS expression vector containing a Myc-His tag, no staining on (D) HEK-293T transfected with empty vector containing a Myc-His tag tissues labeling pan NOS with ab316334 at 1/2000 (0.252 ug/ml) dilution, followed by a ready to use Rabbit specific IHC polymer detection kit HRP/DAB (ab209101).

Positive staining on (A) HEK-293T transfected with a human nNOS expression vector containing a Myc-His tag, (B) HEK-293T transfected with a human iNOS expression vector containing a Myc-His tag, and (C) HEK-293T transfected with a human eNOS expression vector containing a Myc-His tag, no staining on (D) HEK-293T transfected with empty vector containing a Myc-His tag. The section was incubated with ab316334 for 30 mins at room temperature.
The immunostaining was performed on a Leica Biosystems BOND® RX instrument

Counterstained with Hematoxylin.

Secondary antibody only control : Secondary antibody is a ready to use Rabbit specific IHC polymer detection kit HRP/DAB (ab209101).

Heat mediated antigen retrieval was performed with Tris-EDTA buffer (pH 9.0, Epitope Retrieval Solution2) for 20 mins

Immunohistochemistry (Formalin/PFA-fixed paraffin-embedded sections) - Anti-pan NOS antibody [RM1126] (AB316334)
  • IHC-P

Supplier Data

Immunohistochemistry (Formalin/PFA-fixed paraffin-embedded sections) - Anti-pan NOS antibody [RM1126] (AB316334)

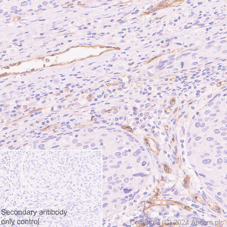
Immunohistochemical analysis of paraffin-embedded Human cervical squamous carcinoma tissue labeling pan NOS with ab316334 at 1/200 (2.515 ug/ml) dilution, followed by a ready to use Rabbit specific IHC polymer detection kit HRP/DAB (ab209101).

Positive staining on endothelial cells in human cervical squamous carcinoma. The section was incubated with ab316334 for 30 mins at room temperature.
The immunostaining was performed on a Leica Biosystems BOND® RX instrument

Counterstained with Hematoxylin.

Secondary antibody only control : Secondary antibody is a ready to use Rabbit specific IHC polymer detection kit HRP/DAB (ab209101).

Heat mediated antigen retrieval was performed with Tris-EDTA buffer (pH 9.0, Epitope Retrieval Solution2) for 20 mins

Immunohistochemistry (Formalin/PFA-fixed paraffin-embedded sections) - Anti-pan NOS antibody [RM1126] (AB316334)
  • IHC-P

Supplier Data

Immunohistochemistry (Formalin/PFA-fixed paraffin-embedded sections) - Anti-pan NOS antibody [RM1126] (AB316334)

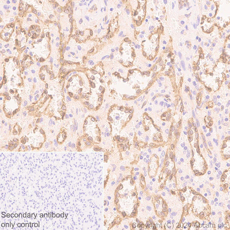
Immunohistochemical analysis of paraffin-embedded Human spleen tissue labeling pan NOS with ab316334 at 1/200 (2.515 ug/ml) dilution, followed by a ready to use Rabbit specific IHC polymer detection kit HRP/DAB (ab209101).

Positive staining on endothelial cells in human spleen. The section was incubated with ab316334 for 30 mins at room temperature.
The immunostaining was performed on a Leica Biosystems BOND® RX instrument

Counterstained with Hematoxylin.

Secondary antibody only control : Secondary antibody is a ready to use Rabbit specific IHC polymer detection kit HRP/DAB (ab209101).

Heat mediated antigen retrieval was performed with Tris-EDTA buffer (pH 9.0, Epitope Retrieval Solution2) for 20 mins

Immunohistochemistry (Formalin/PFA-fixed paraffin-embedded sections) - Anti-pan NOS antibody [RM1126] (AB316334)
  • IHC-P

Supplier Data

Immunohistochemistry (Formalin/PFA-fixed paraffin-embedded sections) - Anti-pan NOS antibody [RM1126] (AB316334)

Immunohistochemical analysis of paraffin-embedded Human thalamus tissue labeling pan NOS with ab316334 at 1/200 (2.515 ug/ml) dilution, followed by a ready to use Rabbit specific IHC polymer detection kit HRP/DAB (ab209101).

Positive staining on human thalamus. The section was incubated with ab316334 for 30 mins at room temperature.
The immunostaining was performed on a Leica Biosystems BOND® RX instrument

Counterstained with Hematoxylin.

Secondary antibody only control : Secondary antibody is a ready to use Rabbit specific IHC polymer detection kit HRP/DAB (ab209101).

Heat mediated antigen retrieval was performed with Tris-EDTA buffer (pH 9.0, Epitope Retrieval Solution2) for 20 mins

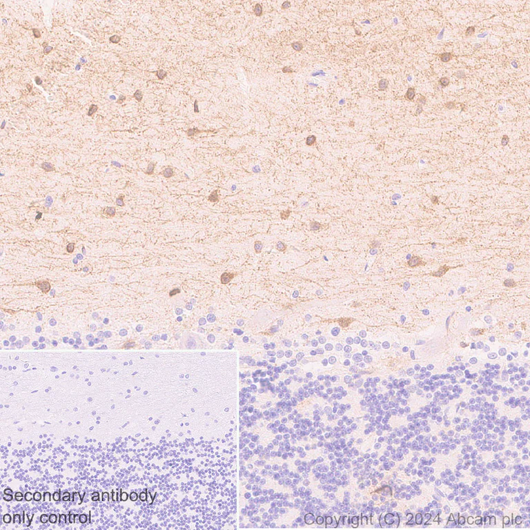
Immunohistochemistry (Formalin/PFA-fixed paraffin-embedded sections) - Anti-pan NOS antibody [RM1126] (AB316334)
  • IHC-P

Supplier Data

Immunohistochemistry (Formalin/PFA-fixed paraffin-embedded sections) - Anti-pan NOS antibody [RM1126] (AB316334)

Immunohistochemical analysis of paraffin-embedded Human cerebellum tissue labeling pan NOS with ab316334 at 1/200 (2.515 ug/ml) dilution, followed by a ready to use Rabbit specific IHC polymer detection kit HRP/DAB (ab209101).

Positive staining on human cerebellum. The section was incubated with ab316334 for 30 mins at room temperature.
The immunostaining was performed on a Leica Biosystems BOND® RX instrument

Counterstained with Hematoxylin.

Secondary antibody only control : Secondary antibody is a ready to use Rabbit specific IHC polymer detection kit HRP/DAB (ab209101).

Heat mediated antigen retrieval was performed with Tris-EDTA buffer (pH 9.0, Epitope Retrieval Solution2) for 20 mins

Immunohistochemistry (Formalin/PFA-fixed paraffin-embedded sections) - Anti-pan NOS antibody [RM1126] (AB316334)
  • IHC-P

Supplier Data

Immunohistochemistry (Formalin/PFA-fixed paraffin-embedded sections) - Anti-pan NOS antibody [RM1126] (AB316334)

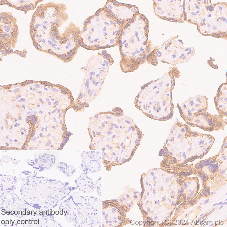
Immunohistochemical analysis of paraffin-embedded Human placenta tissue labeling pan NOS with ab316334 at 1/200 (2.515 ug/ml) dilution, followed by a ready to use Rabbit specific IHC polymer detection kit HRP/DAB (ab209101).

Positive staining on human placenta. The section was incubated with ab316334 for 30 mins at room temperature.
The immunostaining was performed on a Leica Biosystems BOND® RX instrument

Counterstained with Hematoxylin.

Secondary antibody only control : Secondary antibody is a ready to use Rabbit specific IHC polymer detection kit HRP/DAB (ab209101).

Heat mediated antigen retrieval was performed with Tris-EDTA buffer (pH 9.0, Epitope Retrieval Solution2) for 20 mins

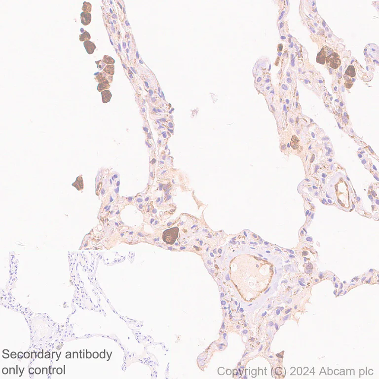
Immunohistochemistry (Formalin/PFA-fixed paraffin-embedded sections) - Anti-pan NOS antibody [RM1126] (AB316334)
  • IHC-P

Supplier Data

Immunohistochemistry (Formalin/PFA-fixed paraffin-embedded sections) - Anti-pan NOS antibody [RM1126] (AB316334)

Immunohistochemical analysis of paraffin-embedded Human lung tissue labeling pan NOS with ab316334 at 1/200 (2.515 ug/ml) dilution, followed by a ready to use Rabbit specific IHC polymer detection kit HRP/DAB (ab209101).

Positive staining on human lung. The section was incubated with ab316334 for 30 mins at room temperature.
The immunostaining was performed on a Leica Biosystems BOND® RX instrument

Counterstained with Hematoxylin.

Secondary antibody only control : Secondary antibody is a ready to use Rabbit specific IHC polymer detection kit HRP/DAB (ab209101).

Heat mediated antigen retrieval was performed with Tris-EDTA buffer (pH 9.0, Epitope Retrieval Solution2) for 20 mins

Dot Blot - Anti-pan NOS antibody [RM1126] (AB316334)
  • Dot

Supplier Data

Dot Blot - Anti-pan NOS antibody [RM1126] (AB316334)

Dot blot analysis of pan NOS using ab316334 at 1 : 1000 (0.503 ug/ml) followed by a Goat Anti-Rabbit IgG, (H+L), Peroxidase conjugated (ab97051) at 1 : 20,000 dilution.

Blocking and diluting buffer and concentration : 5% NFDM/TBST.

Anti-DDDDK tag (Binds to FLAG® tag sequence) antibody [EPR20018-251] (ab205606) as total protein control staining at 1/1000 dilution.

All lanes:

Dot Blot - Anti-pan NOS antibody [RM1126] (ab316334) at 1/1000 dilution

Lane 1:

C-Myc/DDK tagged full length human nNOS recombinant protein

Lane 2:

C-Myc/DDK tagged full length human iNOS recombinant protein

Lane 3:

C-Myc/DDK tagged full length human eNOS recombinant protein

Secondary

All lanes:

Dot Blot - Goat Anti-Rabbit IgG H&L (HRP) (<a href='/en-us/products/secondary-antibodies/goat-rabbit-igg-h-l-hrp-ab97051'>ab97051</a>) at 1/20000 dilution

false

Exposure time: 1s

Key facts

Host species

Rabbit

Clonality

Multiclonal

Clone number

RM1126

Isotype

IgG

Carrier free

No

Reacts with

Human

Applications

IHC-P, Dot

applications

Immunogen

This product was produced with the following immunogens:

The exact immunogen used to generate this antibody is proprietary information.

The exact immunogen used to generate this antibody is proprietary information.

The exact immunogen used to generate this antibody is proprietary information.

Reactivity data

{ "title": "Reactivity Data", "filters": { "stats": ["", "Species", "Dilution Info", "Notes"], "tabs": { "all-applications": {"fullname" : "All Applications", "shortname": "All Applications"}, "Dot" : {"fullname" : "Dot Blot", "shortname":"Dot"}, "IHCP" : {"fullname" : "Immunohistochemistry (Formalin/PFA-fixed paraffin-embedded sections)", "shortname":"IHC-P"} }, "product-promise": { "all": "all", "testedAndGuaranteed": "tested", "guaranteed": "expected", "predicted": "predicted", "notRecommended": "not-recommended" } }, "values": { "Human": { "Dot-species-checked": "guaranteed", "Dot-species-dilution-info": "", "Dot-species-notes": "", "IHCP-species-checked": "testedAndGuaranteed", "IHCP-species-dilution-info": "1/200", "IHCP-species-notes": "<p></p> Perform heat-mediated antigen retrieval with Tris/EDTA buffer pH 9.0 before commencing with IHC staining protocol." }, "Mouse": { "Dot-species-checked": "notRecommended", "Dot-species-dilution-info": "", "Dot-species-notes": "", "IHCP-species-checked": "notRecommended", "IHCP-species-dilution-info": "", "IHCP-species-notes": "<p></p>" }, "Rat": { "Dot-species-checked": "notRecommended", "Dot-species-dilution-info": "", "Dot-species-notes": "", "IHCP-species-checked": "notRecommended", "IHCP-species-dilution-info": "", "IHCP-species-notes": "<p></p>" }, "Recombinant full length protein - Human": { "Dot-species-checked": "testedAndGuaranteed", "Dot-species-dilution-info": "1/1000", "Dot-species-notes": "<p></p>", "IHCP-species-checked": "notRecommended", "IHCP-species-dilution-info": "", "IHCP-species-notes": "" }, "Transfected cell line - Human": { "Dot-species-checked": "notRecommended", "Dot-species-dilution-info": "", "Dot-species-notes": "", "IHCP-species-checked": "testedAndGuaranteed", "IHCP-species-dilution-info": "1/2000", "IHCP-species-notes": "<p></p>" } } }

Product details

What are recombinant multiclonals?
Recombinant multiclonals are a mixture of recombinant antibodies co-expressed from a library of heavy and light chains. They offer several advantages including:

  • - The sensitivity of polyclonal antibodies by recognising multiple epitopes
  • - High batch-to-batch consistency and reproducibility
  • - Improved sensitivity and specificity
  • - Long-term security of supply
  • - Animal-free batch production

View our range of recombinant multiclonal antibodies.

Patented technology
Our RabMAb® technology is a patented hybridoma-based technology for making rabbit monoclonal antibodies. For details on our patents, please refer to RabMAb® patents.

Properties and storage information

Form
Liquid
Purification technique
Affinity purification Protein A
Storage buffer
pH: 7.2 - 7.4 Preservative: 0.01% Sodium azide Constituents: PBS, 40% Glycerol (glycerin, glycerine), 0.05% BSA
Shipped at conditions
Blue Ice
Appropriate short-term storage duration
1-2 weeks
Appropriate short-term storage conditions
+4°C
Appropriate long-term storage conditions
-20°C
Aliquoting information
Upon delivery aliquot
Storage information
Avoid freeze / thaw cycle

Supplementary information

This supplementary information is collated from multiple sources and compiled automatically.

Nitric Oxide Synthases (NOS) are enzymes responsible for the production of nitric oxide (NO) from L-arginine. NOS proteins exist in three main isoforms: neuronal NOS (nNOS or NOS1) inducible NOS (iNOS or NOS2) and endothelial NOS (eNOS or NOS3). They range in molecular mass between 130 and 160 kDa. Pan NOS refers to any antibody or inhibitor that targets all three NOS isoforms. These enzymes are expressed in various tissues with nNOS mainly in neural tissue iNOS in immune cells and eNOS in endothelial cells. Each isoform plays a unique role in its respective location.
Biological function summary

Nitric oxide acts as a signaling molecule with diverse functions within the body. It does not bind into large permanent complexes but interacts transiently with various proteins to relay signals. In the nervous system nNOS-generated NO modulates neurotransmission and contributes to synaptic plasticity. In blood vessels eNOS-derived NO plays an important role in vasodilation and blood pressure regulation. iNOS often gets activated during immune responses producing larger amounts of NO to fight pathogens.

Pathways

Nitric oxide produced by NOS enzymes participates in significant signaling cascades. The L-arginine-NO-cGMP pathway is one of the primary routes involving cyclic guanosine monophosphate (cGMP) as a secondary messenger. The NO-cGMP pathway interacts with proteins like soluble guanylyl cyclase which then modulates various physiological responses like vasodilation and neurotransmission. NOS activity also interplays with oxidative stress pathways interacting with reactive oxygen species (ROS) and affecting cellular responses like inflammation and apoptosis.

Aberrations in NOS activity relate to cardiovascular disorders and neurodegenerative diseases. For instance dysregulated eNOS activity can contribute to hypertension due to impaired vasodilation. In neurodegenerative conditions such as Alzheimer's disease abnormal nNOS activity may exacerbate neuronal damage through excessive NO production. Furthermore iNOS expression links to inflammatory conditions where excess NO might damage tissues. NOS activity can also intersect with proteins like amyloid-beta in Alzheimer's amplifying neurodegenerative processes.

Product protocols

For this product, it's our understanding that no specific protocols are required. You can visit:

Target data

Produces nitric oxide (NO) which is implicated in vascular smooth muscle relaxation through a cGMP-mediated signal transduction pathway (PubMed : 1378832). NO mediates vascular endothelial growth factor (VEGF)-induced angiogenesis in coronary vessels and promotes blood clotting through the activation of platelets.. Isoform eNOS13C. Lacks eNOS activity, dominant-negative form that may down-regulate eNOS activity by forming heterodimers with isoform 1.
See full target information NOS3

Additional targets

Nitric oxide synthase, brain,NOS2,Nos2

Product promise

We are committed to supporting your work with high-quality reagents, and we're here for you every step of the way. In the unlikely event that one of our products does not perform as expected, you're protected by our Product Promise.
For full details, please see our Terms & Conditions

Please note: All products are 'FOR RESEARCH USE ONLY. NOT FOR USE IN DIAGNOSTIC OR THERAPEUTIC PROCEDURES'.

For licensing inquiries, please contact partnerships@abcam.com