JavaScript is disabled in your browser. Please enable JavaScript to view this website.
AB300109

Anti-pan PDE4 antibody [EPR25202-101] - BSA and Azide free

Be the first to review this product! Submit a review

|

(0 Publication)

Rabbit Recombinant Monoclonal PDE4D antibody. Carrier free. Suitable for WB, Dot, IHC-P, IHC-Fr, ICC/IF, Flow Cyt (Intra) and reacts with Human, Mouse, Rat samples.

View Alternative Names

DPDE3, PDE4D, PDE43, cAMP-specific phosphodiesterase 4D

11 Images
Flow Cytometry (Intracellular) - Anti-pan PDE4 antibody [EPR25202-101] - BSA and Azide free (AB300109)
  • Flow Cyt (Intra)

Lab

Flow Cytometry (Intracellular) - Anti-pan PDE4 antibody [EPR25202-101] - BSA and Azide free (AB300109)

This data was developed using ab300108, the same antibody clone in a different buffer formulation. Intracellular flow cytometric analysis of 4% paraformaldehyde fixed 90% methanol permeabilized K-562 (human chronic myelogenous leukemia lymphoblast, Left) HeLa (human cervix adenocarcinoma epithelial cell, Right) cells labeling pan PDE4 with ab300108 at 1/5000 dilution (0.01ug) (red) compared with a Rabbit monoclonal IgG (ab172730) (black) isotype control and an unlabeled control (cells without incubation with primary antibody and secondary antibody) (blue). A Goat Anti-Rabbit IgG (Alexa Fluor® 488, ab150081) at 1/5000 dilution was used as the secondary antibody. Low expression : K-562.

Immunohistochemistry (Formalin/PFA-fixed paraffin-embedded sections) - Anti-pan PDE4 antibody [EPR25202-101] - BSA and Azide free (AB300109)
  • IHC-P

Lab

Immunohistochemistry (Formalin/PFA-fixed paraffin-embedded sections) - Anti-pan PDE4 antibody [EPR25202-101] - BSA and Azide free (AB300109)

This data was developed using ab300108, the same antibody clone in a different buffer formulation. Immunohistochemical analysis of paraffin-embedded human cerebrum tissue labeling pan PDE4 with ab300108 at 1/500 (1.044 µg/ml) followed by a Leica DS9800 (Bond™ Polymer Refine Detection). Positive staining on human cerebrum. The section was incubated with ab300108 for 30 mins at room temperature. The immunostaining was performed on a Leica Biosystems BOND® RX instrument counterstained with Hematoxylin. Secondary antibody only control : Secondary antibody is Leica DS9800 (Bond™ Polymer Refine Detection) kit. Heat mediated antigen retrieval with Tris-EDTA buffer (pH 9.0, epitope retrieval solution2) for 20 mins.

Immunocytochemistry/ Immunofluorescence - Anti-pan PDE4 antibody [EPR25202-101] - BSA and Azide free (AB300109)
  • ICC/IF

Lab

Immunocytochemistry/ Immunofluorescence - Anti-pan PDE4 antibody [EPR25202-101] - BSA and Azide free (AB300109)

Immunofluorescent analysis of 4% Paraformaldehyde-fixed, 0.1% TritonX-100 permeabilized HeLa (Human cervix adenocarcinoma epithelial cell) cells labeling pan PDE4 with ab300108 at 1/50 (10.44 µg/ml) dilution, followed by ab150081 Goat Anti-Rabbit IgG H&L (Alexa Fluor® 488) preadsorbed antibody at 1/1000 (2 µg/ml) dilution (green). Confocal image showing cytoplasmic staining in HeLa cell line. Low expression : K-562. Image was taken with a confocal microscope(Leica-Microsystems, TCS SP8). ab195889 Anti-alpha Tubulin mouse monoclonal antibody - Microtubule Marker (Alexa Fluor® 594) was used to counterstain tubulin at 1/200 (2.5µg/ml) dilution (red). The Nuclear counterstain was DAPI (blue). Secondary antibody only control : Secondary antibody is ab150081 Goat Anti-Rabbit IgG H&L (Alexa Fluor® 488) preadsorbed at 1/1000 (2 ug/ml) dilution.

Immunohistochemistry (Frozen sections) - Anti-pan PDE4 antibody [EPR25202-101] - BSA and Azide free (AB300109)
  • IHC-Fr

Lab

Immunohistochemistry (Frozen sections) - Anti-pan PDE4 antibody [EPR25202-101] - BSA and Azide free (AB300109)

This data was developed using ab300108, the same antibody clone in a different buffer formulation. Immunohistochemical analysis of 4% PFA-fixed, 0.2% Triton X-100 permeabilized frozen rat cerebrum (fresh) tissue labeling pan PDE4 with ab300108 at 1/50 (10.44 µg/ml) dilution followed by ab150081 Goat Anti-Rabbit IgG H&L (Alexa Fluor® 488) preadsorbed at 1/1000 (2 ug/mL) dilution (Green). Confocal image showing positive staining on rat cerebrum. The nuclear counterstain was DAPI (Blue). The section was incubated with ab300108 for 60 mins at room temperature. The section was then mounted using Fluoromount®.The immunostaining was performed on a Leica Biosystems BOND® RX instrument. Image was taken with a confocal microscope (Leica-Microsystems, TCS SP8). Secondary antibody control : Secondary antibody is ab150081 Goat Anti-Rabbit IgG H&L (Alexa Fluor® 488) preadsorbed at 1/1000 (2 µg/mL) dilution.

Immunohistochemistry (Frozen sections) - Anti-pan PDE4 antibody [EPR25202-101] - BSA and Azide free (AB300109)
  • IHC-Fr

Lab

Immunohistochemistry (Frozen sections) - Anti-pan PDE4 antibody [EPR25202-101] - BSA and Azide free (AB300109)

This data was developed using ab300108, the same antibody clone in a different buffer formulation. Immunohistochemical analysis of 4% PFA-fixed, 0.2% Triton X-100 permeabilized frozen mouse cerebrum (fresh) tissue labeling pan PDE4 with ab300108 at 1/50 (10.44 µg/ml) dilution followed by ab150081 Goat Anti-Rabbit IgG H&L (Alexa Fluor® 488) preadsorbed at 1/1000 (2 µg/mL) dilution (Green). Confocal image showing positive staining on mouse cerebrum. The nuclear counterstain was DAPI (Blue). The section was incubated with ab300108 for 60 mins at room temperature. The section was then mounted using Fluoromount®.The immunostaining was performed on a Leica Biosystems BOND® RX instrument. Image was taken with a confocal microscope (Leica-Microsystems, TCS SP8). Secondary antibody control : Secondary antibody is ab150081 Goat Anti-Rabbit IgG H&L (Alexa Fluor® 488) preadsorbed at 1/1000 (2 µg/mL) dilution.

Immunohistochemistry (Formalin/PFA-fixed paraffin-embedded sections) - Anti-pan PDE4 antibody [EPR25202-101] - BSA and Azide free (AB300109)
  • IHC-P

Lab

Immunohistochemistry (Formalin/PFA-fixed paraffin-embedded sections) - Anti-pan PDE4 antibody [EPR25202-101] - BSA and Azide free (AB300109)

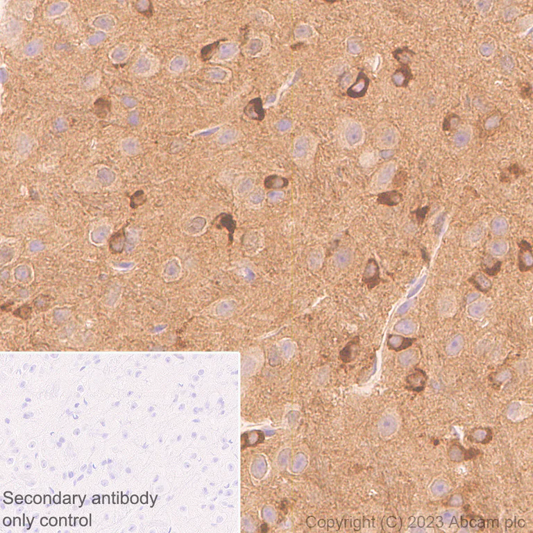
This data was developed using ab300108, the same antibody clone in a different buffer formulation. Immunohistochemical analysis of paraffin-embedded rat cerebrum tissue labeling pan PDE4 with ab300108 at 1/5000 (0.104 µg/ml) followed by a Leica DS9800 (Bond™ Polymer Refine Detection) kit. Positive staining on rat cerebrum. The section was incubated with ab300108 for 30 mins at room temperature. The immunostaining was performed on a Leica Biosystems BOND® RX instrument Counterstained with Hematoxylin. Secondary antibody only control : Secondary antibody is Leica DS9800 (Bond™ Polymer Refine Detection) kit used at a ready to use dilution. Heat mediated antigen retrieval with Tris-EDTA buffer (pH 9.0, epitope retrieval solution 2) for 20 mins.

Immunocytochemistry/ Immunofluorescence - Anti-pan PDE4 antibody [EPR25202-101] - BSA and Azide free (AB300109)
  • ICC/IF

Lab

Immunocytochemistry/ Immunofluorescence - Anti-pan PDE4 antibody [EPR25202-101] - BSA and Azide free (AB300109)

This data was developed using ab300108, the same antibody clone in a different buffer formulation. Immunofluorescent analysis of 4% Paraformaldehyde-fixed, 0.1% TritonX-100 permeabilized mouse primary neuron labeling pan PDE4 with ab300108 at 1/50 (10.44 µg/ml) dilution, followed by ab150081 Goat Anti-Rabbit IgG H&L (Alexa Fluor® 488) preadsorbed antibody at 1/1000 (2 µg/ml) dilution (green). Confocal image showing positive staining in mouse primary neuron. Confocal scanning Z step was set as 0.3 μm followed by image processing with maximum Z projection. Image was taken with a confocal microscope(Leica-Microsystems, TCS SP8). ab11267 Anti-MAP2 mouse monoclonal antibody was used to counterstain tubulin at 1/500 (4µg/ml) dilution (red) followed by ab150120 Goat Anti-Mouse IgG H&L (Alexa Fluor® 594) at 1/1000 dilution. The Nuclear counterstain was DAPI (blue). -ve control : ab11267 at 1/500 (4μg/ml) followed by ab150081 at 1/1000 (2 ug/ml) dilution.

Immunocytochemistry/ Immunofluorescence - Anti-pan PDE4 antibody [EPR25202-101] - BSA and Azide free (AB300109)
  • ICC/IF

Lab

Immunocytochemistry/ Immunofluorescence - Anti-pan PDE4 antibody [EPR25202-101] - BSA and Azide free (AB300109)

This data was developed using ab300108, the same antibody clone in a different buffer formulation. Immunofluorescent analysis of 4% Paraformaldehyde-fixed, 0.1% TritonX-100 permeabilized rat primary neuron labeling pan PDE4 with ab300108 at 1/50 (10.44 µg/ml) dilution, followed by ab150081 Goat Anti-Rabbit IgG H&L (Alexa Fluor® 488) preadsorbed antibody at 1/1000 (2 µg/ml) dilution (green). Confocal image showing positive staining in rat primary neuron. Confocal scanning Z step was set as 0.3 μm followed by image processing with maximum Z projection. Image was taken with a confocal microscope(Leica-Microsystems, TCS SP8). ab11267 Anti-MAP2 mouse monoclonal antibody was used to counterstain tubulin at 1/500 (4µg/ml) dilution (red) followed by ab150120 Goat Anti-Mouse IgG H&L (Alexa Fluor® 594) at 1/1000 dilution. The Nuclear counterstain was DAPI (blue). -ve control : ab11267 at 1/500 (4μg/ml) followed by ab150081 at 1/1000 (2 ug/ml) dilution.

Immunohistochemistry (Formalin/PFA-fixed paraffin-embedded sections) - Anti-pan PDE4 antibody [EPR25202-101] - BSA and Azide free (AB300109)
  • IHC-P

Lab

Immunohistochemistry (Formalin/PFA-fixed paraffin-embedded sections) - Anti-pan PDE4 antibody [EPR25202-101] - BSA and Azide free (AB300109)

This data was developed using ab300108, the same antibody clone in a different buffer formulation. Immunohistochemical analysis of paraffin-embedded mouse cerebrum tissue labeling pan PDE4 with ab300108 at 1/5000 (0.104 µg/ml) followed by a Leica DS9800 (Bond™ Polymer Refine Detection) kit. Positive staining on mouse cerebrum. The section was incubated with ab300108 for 30 mins at room temperature. The immunostaining was performed on a Leica Biosystems BOND® RX instrument counterstained with Hematoxylin. Secondary antibody only control : Secondary antibody is Leica DS9800 (Bond™ Polymer Refine Detection) kit was used at a ready to use dilution. Heat mediated antigen retrieval with Tris-EDTA buffer (pH 9.0, epitope retrieval solution 2) for 20 mins.

Western blot - Anti-pan PDE4 antibody [EPR25202-101] - BSA and Azide free (AB300109)
  • WB

Lab

Western blot - Anti-pan PDE4 antibody [EPR25202-101] - BSA and Azide free (AB300109)

This data was developed using ab300108, the same antibody clone in a different buffer formulation. ab181602 was used as the Loading Control at 1/200000 dilution. Blocking/Diluting buffer and concentration : 5% NFDM/TBS Low expression : DU145 (PMID : 24518597), K562. The molecular weight observed is consistent with what has been described in the literature (PMID : 9880581, 15717866).

Lanes 1 - 7:

Western blot - Anti-pan PDE4 antibody [EPR25202-101] (<a href='/en-us/products/primary-antibodies/pan-pde4-antibody-epr25202-101-ab300108'>ab300108</a>) at 1/1000 dilution

Lanes 1 - 7:

Western blot - Anti-pan PDE4 antibody [EPR25202-101] - BSA and Azide free (ab300109)

Lane 1:

HeLa (human cervical adenocarcinoma epithelial cell) whole cell lysate at 50 µg

Lane 2:

K562 (human chronic myelogenous leukemia lymphoblast) whole cell lysate at 50 µg

Lane 3:

DU 145 (human prostate carcinoma epithelial cell) whole cell lysate at 50 µg

Lane 4:

Mouse brain tissue lysate at 50 µg

Lane 5:

Mouse cerebellum tissue lysate at 50 µg

Lane 6:

Rat brain tissue lysate at 50 µg

Lane 7:

Rat cerebellum tissue lysate at 50 µg

Secondary

All lanes:

Western blot - VeriBlot for IP Detection Reagent (HRP) (<a href='/en-us/products/reagents/veriblot-for-ip-detection-reagent-hrp-ab131366'>ab131366</a>) at 1/1000 dilution

Observed band size: 60-100 kDa

false

Dot Blot - Anti-pan PDE4 antibody [EPR25202-101] - BSA and Azide free (AB300109)
  • Dot

Lab

Dot Blot - Anti-pan PDE4 antibody [EPR25202-101] - BSA and Azide free (AB300109)

This data was developed using ab300108, the same antibody clone in a different buffer formulation. Dot blot analysis of pan PDE4 using ab300108 at 1/1000 (0.522 µg/ml) followed by a Goat Anti-Rabbit IgG, (H+L), Peroxidase conjugated (ab97051) at 1/100,000 dilution. Exposure time : 8 seconds Blocking and diluting buffer and concentration : 5% NFDM/TBST Lane 1 : His-tagged human PDE4A fragment Lane 2 : His-tagged human PDE4B fragment Lane 3 : GST-tagged human PDE4C fragment Lane 4 : His-tagged human PDE4D fragment

Key facts

Host species

Rabbit

Clonality

Monoclonal

Clone number

EPR25202-101

Isotype

IgG

Carrier free

Yes

Reacts with

Human, Mouse, Rat

Applications

ICC/IF, WB, IHC-Fr, Flow Cyt (Intra), IHC-P, Dot

applications

Immunogen

The exact immunogen used to generate this antibody is proprietary information.

Reactivity data

{ "title": "Reactivity Data", "filters": { "stats": ["", "Species", "Dilution Info", "Notes"], "tabs": { "all-applications": {"fullname" : "All Applications", "shortname": "All Applications"}, "WB" : {"fullname" : "Western blot", "shortname":"WB"}, "Dot" : {"fullname" : "Dot Blot", "shortname":"Dot"}, "IHCP" : {"fullname" : "Immunohistochemistry (Formalin/PFA-fixed paraffin-embedded sections)", "shortname":"IHC-P"}, "IHCFr" : {"fullname" : "Immunohistochemistry (Frozen sections)", "shortname":"IHC-Fr"}, "ICCIF" : {"fullname" : "Immunocytochemistry/ Immunofluorescence", "shortname":"ICC/IF"}, "FlowCytIntra" : {"fullname" : "Flow Cytometry (Intracellular)", "shortname":"Flow Cyt (Intra)"}, "IP" : {"fullname" : "Immunoprecipitation", "shortname":"IP"} }, "product-promise": { "all": "all", "testedAndGuaranteed": "tested", "guaranteed": "expected", "predicted": "predicted", "notRecommended": "not-recommended" } }, "values": { "Human": { "WB-species-checked": "testedAndGuaranteed", "WB-species-dilution-info": "", "WB-species-notes": "<p></p>", "Dot-species-checked": "testedAndGuaranteed", "Dot-species-dilution-info": "", "Dot-species-notes": "<p></p>", "IHCP-species-checked": "testedAndGuaranteed", "IHCP-species-dilution-info": "", "IHCP-species-notes": "<p></p>", "IHCFr-species-checked": "guaranteed", "IHCFr-species-dilution-info": "", "IHCFr-species-notes": "", "ICCIF-species-checked": "testedAndGuaranteed", "ICCIF-species-dilution-info": "", "ICCIF-species-notes": "<p></p>", "FlowCytIntra-species-checked": "testedAndGuaranteed", "FlowCytIntra-species-dilution-info": "", "FlowCytIntra-species-notes": "<p></p>", "IP-species-checked": "notRecommended", "IP-species-dilution-info": "", "IP-species-notes": "" }, "Mouse": { "WB-species-checked": "testedAndGuaranteed", "WB-species-dilution-info": "", "WB-species-notes": "<p></p>", "Dot-species-checked": "guaranteed", "Dot-species-dilution-info": "", "Dot-species-notes": "", "IHCP-species-checked": "testedAndGuaranteed", "IHCP-species-dilution-info": "", "IHCP-species-notes": "<p></p>", "IHCFr-species-checked": "testedAndGuaranteed", "IHCFr-species-dilution-info": "", "IHCFr-species-notes": "<p></p>", "ICCIF-species-checked": "testedAndGuaranteed", "ICCIF-species-dilution-info": "", "ICCIF-species-notes": "<p></p>", "FlowCytIntra-species-checked": "guaranteed", "FlowCytIntra-species-dilution-info": "", "FlowCytIntra-species-notes": "", "IP-species-checked": "notRecommended", "IP-species-dilution-info": "", "IP-species-notes": "<p></p>" }, "Rat": { "WB-species-checked": "testedAndGuaranteed", "WB-species-dilution-info": "", "WB-species-notes": "<p></p>", "Dot-species-checked": "guaranteed", "Dot-species-dilution-info": "", "Dot-species-notes": "", "IHCP-species-checked": "testedAndGuaranteed", "IHCP-species-dilution-info": "", "IHCP-species-notes": "<p></p>", "IHCFr-species-checked": "testedAndGuaranteed", "IHCFr-species-dilution-info": "", "IHCFr-species-notes": "<p></p>", "ICCIF-species-checked": "testedAndGuaranteed", "ICCIF-species-dilution-info": "", "ICCIF-species-notes": "<p></p>", "FlowCytIntra-species-checked": "guaranteed", "FlowCytIntra-species-dilution-info": "", "FlowCytIntra-species-notes": "", "IP-species-checked": "notRecommended", "IP-species-dilution-info": "", "IP-species-notes": "" } } }

Product details

Patented technology
Our RabMAb® technology is a patented hybridoma-based technology for making rabbit monoclonal antibodies. For details on our patents, please refer to RabMAb® patents.

What are the advantages of a recombinant monoclonal antibody?
This product is a recombinant monoclonal antibody, which offers several advantages including:

  • - High batch-to-batch consistency and reproducibility
  • - Improved sensitivity and specificity
  • - Long-term security of supply
  • - Animal-free batch production

For more information, read more on recombinant antibodies.

Conjugation ready
Our carrier-free antibodies are typically supplied in a PBS-only formulation, purified and free of BSA, sodium azide and glycerol. This conjugation-ready format is designed for use with fluorochromes, metal isotopes, oligonucleotides, and enzymes, which makes them ideal for antibody labelling, functional and cell-based assays, flow-based assays (e.g. mass cytometry) and Multiplex Imaging applications.

Use our conjugation kits for antibody conjugates that are ready-to-use in as little as 20 minutes with 1 minute hands-on-time and 100% antibody recovery: available for fluorescent dyes, HRP, biotin and gold.

Compatibility
This product is compatible with the Maxpar® Antibody Labeling Kit from Fluidigm, without the need for antibody preparation. Maxpar® is a trademark of Fluidigm Canada Inc.

Properties and storage information

Form
Liquid
Purification technique
Affinity purification Protein A
Storage buffer
pH: 7.2 - 7.4 Constituents: PBS
Shipped at conditions
Blue Ice
Appropriate short-term storage conditions
+4°C
Appropriate long-term storage conditions
+4°C

Supplementary information

This supplementary information is collated from multiple sources and compiled automatically.

PDE4 or phosphodiesterase 4 is an enzyme that specifically hydrolyzes cyclic adenosine monophosphate (cAMP) into AMP which regulates intracellular levels of cAMP. PDE4 subfamily includes four isoforms: PDE4A PDE4B PDE4C and PDE4D each with unique expression patterns and roles. The approximate molecular weight of PDE4 enzymes varies depending on isoform but typically around 80-100 kDa. This enzyme is widely distributed in the body with expression found primarily in the brain heart lungs and immune cells where it modulates cellular responses to hormonal signals.
Biological function summary

PDE4 plays an important role in modulating inflammatory responses and immune cell activation due to its control over cAMP levels. By degrading cAMP PDE4 impacts the signaling pathways that govern inflammation and immune responses. This enzyme is often found in complex with other proteins that help localize and regulate its activity within cells. It plays a significant role in neuron communication and neuroplasticity affecting learning and memory processes.

Pathways

PDE4 is integral to the cAMP signaling pathway which impacts numerous physiological processes including cardiac function and immune responses. It interacts closely with protein kinase A (PKA) as its downstream effector thereby influencing PKA-dependent cellular responses. PDE4 also interacts within the mitogen-activated protein kinase (MAPK) pathway linking it to cell growth and differentiation responses which are important for various cellular processes.

PDE4 is strongly implicated in inflammatory and neuropsychiatric conditions. Overactivity or dysregulation of PDE4 can lead to disorders such as asthma and chronic obstructive pulmonary disease (COPD) due to its role in inflammation. It is also connected to major depressive disorder where altered cAMP signaling plays a part in pathophysiology. Inflammatory responses are linked to proteins such as tumor necrosis factor-alpha (TNF-alpha) and interleukins where PDE4 modulation can influence these pathways affecting disease development and progression.

Product protocols

For this product, it's our understanding that no specific protocols are required. You can visit:

Target data

Hydrolyzes the second messenger cAMP, which is a key regulator of many important physiological processes.
See full target information PDE4D

Product promise

We are committed to supporting your work with high-quality reagents, and we're here for you every step of the way. In the unlikely event that one of our products does not perform as expected, you're protected by our Product Promise.
For full details, please see our Terms & Conditions

Please note: All products are 'FOR RESEARCH USE ONLY. NOT FOR USE IN DIAGNOSTIC OR THERAPEUTIC PROCEDURES'.

For licensing inquiries, please contact partnerships@abcam.com