JavaScript is disabled in your browser. Please enable JavaScript to view this website.
AB313842

Anti-pan PKC (phospho T410) antibody [HL1279] - BSA and Azide free

Be the first to review this product! Submit a review

|

(0 Publication)

Rabbit Recombinant Monoclonal KPCZ phospho T410 antibody. Carrier free. Suitable for WB, ICC/IF, IHC-P and reacts with Human, Mouse, Rat, Drosophila melanogaster samples. Immunogen corresponding to Synthetic Peptide within Human PRKCZ phospho T410 conjugated to Keyhole Limpet Haemocyanin.

View Alternative Names

PKC2, PRKCZ, Protein kinase C zeta type, nPKC-zeta

7 Images
Immunocytochemistry/ Immunofluorescence - Anti-pan PKC (phospho T410) antibody [HL1279] - BSA and Azide free (AB313842)
  • ICC/IF

Supplier Data

Immunocytochemistry/ Immunofluorescence - Anti-pan PKC (phospho T410) antibody [HL1279] - BSA and Azide free (AB313842)

Immunofluorescent analysis of HeLa (Human epithelial cell line from cervix adenocarcinoma) cells labeling pan PKC (phospho T410) using ab313842 at a 1/500 dilution (green). Blue : Fluoroshield with DAPI. Red : alpha Tubulin, a cytoskeleton marker, stained by alpha Tubulin antibody [GT114] diluted at 1/1000. Cells were fixed in 4% paraformaldehyde at RT for 15 mins.

Immunohistochemistry (Formalin/PFA-fixed paraffin-embedded sections) - Anti-pan PKC (phospho T410) antibody [HL1279] - BSA and Azide free (AB313842)
  • IHC-P

Supplier Data

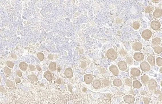
Immunohistochemistry (Formalin/PFA-fixed paraffin-embedded sections) - Anti-pan PKC (phospho T410) antibody [HL1279] - BSA and Azide free (AB313842)

Immunohistochemical analysis of paraffin-embedded mouse cerebellum tissue labeling pan PKC (phospho T410) using ab313842 at a 1/100 dilution. Antigen Retrieval : Citrate buffer, pH 6.0, 15 mins.

Western blot - Anti-pan PKC (phospho T410) antibody [HL1279] - BSA and Azide free (AB313842)
  • WB

Supplier Data

Western blot - Anti-pan PKC (phospho T410) antibody [HL1279] - BSA and Azide free (AB313842)

All lanes:

Western blot - Anti-pan PKC (phospho T410) antibody [HL1279] - BSA and Azide free (ab313842) at 1/1000 dilution

Lane 1:

HeLa (Human epithelial cell line from cervix adenocarcinoma) whole cell extract at 30 µg

Lane 2:

Whole cell extract from HeLa cells treated with CIP at 30 µg

Secondary

All lanes:

HRP-conjugated anti-rabbit IgG antibody

false

Western blot - Anti-pan PKC (phospho T410) antibody [HL1279] - BSA and Azide free (AB313842)
  • WB

Supplier Data

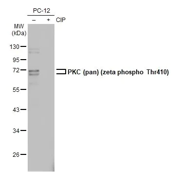
Western blot - Anti-pan PKC (phospho T410) antibody [HL1279] - BSA and Azide free (AB313842)

All lanes:

Western blot - Anti-pan PKC (phospho T410) antibody [HL1279] - BSA and Azide free (ab313842) at 1/1000 dilution

Lane 1:

PC-12 (Rat adrenal gland pheochromocytoma cell line) whole cell extract at 30 µg

Lane 2:

Whole cell extract from PC-12 cells treated with CIP at 30 µg

Secondary

All lanes:

HRP-conjugated anti-rabbit IgG antibody

false

Western blot - Anti-pan PKC (phospho T410) antibody [HL1279] - BSA and Azide free (AB313842)
  • WB

Supplier Data

Western blot - Anti-pan PKC (phospho T410) antibody [HL1279] - BSA and Azide free (AB313842)

All lanes:

Western blot - Anti-pan PKC (phospho T410) antibody [HL1279] - BSA and Azide free (ab313842) at 1/1000 dilution

Lane 1:

NIH/3T3 (Mouse embryonic fibroblast cell line) whole cell extract at 30 µg

Lane 2:

Whole cell extracts from NIH/3T3 cells treated with CIP at 30 µg

Secondary

All lanes:

HRP-conjugated anti-rabbit IgG antibody

false

Western blot - Anti-pan PKC (phospho T410) antibody [HL1279] - BSA and Azide free (AB313842)
  • WB

Supplier Data

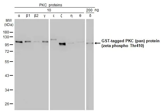
Western blot - Anti-pan PKC (phospho T410) antibody [HL1279] - BSA and Azide free (AB313842)

GST tagged PKC proteins were separated by 10% SDS-PAGE, and the membrane was blotted with ab313842 at a 1/1000 dilution, followed by an HRP-conjugated anti-rabbit IgG secondary antibody.

All lanes:

Western blot - Anti-pan PKC (phospho T410) antibody [HL1279] - BSA and Azide free (ab313842) at 1/1000 dilution

Secondary

All lanes:

HRP-conjugated anti-rabbit IgG antibody

false

Western blot - Anti-pan PKC (phospho T410) antibody [HL1279] - BSA and Azide free (AB313842)
  • WB

Supplier Data

Western blot - Anti-pan PKC (phospho T410) antibody [HL1279] - BSA and Azide free (AB313842)

Samples were separated by 10% SDS-PAGE.

All lanes:

Western blot - Anti-pan PKC (phospho T410) antibody [HL1279] - BSA and Azide free (ab313842) at 1/1000 dilution

All lanes:

Drosophila tissue extract at 50 µg

Secondary

All lanes:

HRP-conjugated anti-rabbit IgG antibody

false

Key facts

Host species

Rabbit

Clonality

Monoclonal

Clone number

HL1279

Isotype

IgG

Carrier free

Yes

Reacts with

Human, Mouse, Rat, Drosophila melanogaster

Applications

WB, IHC-P, ICC/IF

applications

Immunogen

Synthetic Peptide within Human PRKCZ phospho T410 conjugated to Keyhole Limpet Haemocyanin.

Q05513

Reactivity data

{ "title": "Reactivity Data", "filters": { "stats": ["", "Species", "Dilution Info", "Notes"], "tabs": { "all-applications": {"fullname" : "All Applications", "shortname": "All Applications"}, "WB" : {"fullname" : "Western blot", "shortname":"WB"}, "ICCIF" : {"fullname" : "Immunocytochemistry/ Immunofluorescence", "shortname":"ICC/IF"}, "IHCP" : {"fullname" : "Immunohistochemistry (Formalin/PFA-fixed paraffin-embedded sections)", "shortname":"IHC-P"} }, "product-promise": { "all": "all", "testedAndGuaranteed": "tested", "guaranteed": "expected", "predicted": "predicted", "notRecommended": "not-recommended" } }, "values": { "Human": { "WB-species-checked": "testedAndGuaranteed", "WB-species-dilution-info": "1/500 - 1/3000", "WB-species-notes": "<p></p>", "ICCIF-species-checked": "testedAndGuaranteed", "ICCIF-species-dilution-info": "1/500", "ICCIF-species-notes": "<p></p>", "IHCP-species-checked": "guaranteed", "IHCP-species-dilution-info": "", "IHCP-species-notes": "" }, "Mouse": { "WB-species-checked": "testedAndGuaranteed", "WB-species-dilution-info": "1/500 - 1/3000", "WB-species-notes": "<p></p>", "ICCIF-species-checked": "guaranteed", "ICCIF-species-dilution-info": "", "ICCIF-species-notes": "", "IHCP-species-checked": "testedAndGuaranteed", "IHCP-species-dilution-info": "1/100", "IHCP-species-notes": "<p></p> Perform heat-mediated antigen retrieval with citrate buffer pH 6 before commencing with IHC staining protocol." }, "Rat": { "WB-species-checked": "testedAndGuaranteed", "WB-species-dilution-info": "1/500 - 1/3000", "WB-species-notes": "<p></p>", "ICCIF-species-checked": "guaranteed", "ICCIF-species-dilution-info": "", "ICCIF-species-notes": "", "IHCP-species-checked": "guaranteed", "IHCP-species-dilution-info": "", "IHCP-species-notes": "" }, "Drosophila melanogaster": { "WB-species-checked": "testedAndGuaranteed", "WB-species-dilution-info": "1/500 - 1/3000", "WB-species-notes": "<p></p>", "ICCIF-species-checked": "guaranteed", "ICCIF-species-dilution-info": "", "ICCIF-species-notes": "", "IHCP-species-checked": "guaranteed", "IHCP-species-dilution-info": "", "IHCP-species-notes": "" } } }

Product details

What are the advantages of a recombinant monoclonal antibody?
This product is a recombinant monoclonal antibody, which offers several advantages including:

  • - High batch-to-batch consistency and reproducibility
  • - Improved sensitivity and specificity
  • - Long-term security of supply
  • - Animal-free batch production

For more information, read more on recombinant antibodies.

Conjugation ready
Our carrier-free antibodies are typically supplied in a PBS-only formulation, purified and free of BSA, sodium azide and glycerol. This conjugation-ready format is designed for use with fluorochromes, metal isotopes, oligonucleotides, and enzymes, which makes them ideal for antibody labelling, functional and cell-based assays, flow-based assays (e.g. mass cytometry) and Multiplex Imaging applications.

Use our conjugation kits for antibody conjugates that are ready-to-use in as little as 20 minutes with 1 minute hands-on-time and 100% antibody recovery: available for fluorescent dyes, HRP, biotin and gold.

Properties and storage information

Form
Liquid
Purification technique
Affinity purification Protein A
Storage buffer
pH: 7.4 Constituents: PBS
Shipped at conditions
Blue Ice
Appropriate short-term storage conditions
+4°C
Appropriate long-term storage conditions
+4°C
Aliquoting information
Upon delivery aliquot

Supplementary information

This supplementary information is collated from multiple sources and compiled automatically.

The protein kinase C (PKC) family comprising isoforms like PKC alpha delta epsilon beta I gamma zeta eta theta and iota plays a significant role in cellular signaling. These isoforms also known as PRKCA PRKCD PRKCE PRKCB PRKCG PRKCZ PRKCH PRKCQ and PRKCI are serine/threonine kinases with masses ranging from 76 to 115 kDa. PKCs are expressed in various tissues including the brain heart muscle and immune cells. Mechanically they become activated through the phosphorylation driven by lipid second messengers such as diacylglycerol (DAG) and calcium ions which lead to their translocation to cellular membranes where they exert their effects.
Biological function summary

PKC isoforms are critical for regulating numerous cellular processes such as proliferation differentiation apoptosis and migration. They do not usually form complexes but interact with other kinases and phosphatases to transmit signals. They modulate essential cellular pathways ensuring various physiological responses are executed efficiently. Specific isoforms like PKC gamma show high expression in neuronal tissues influencing neuronal functions and synaptic plasticity.

Pathways

PKC isoforms are central to the MAPK/ERK and NF-kB signaling pathways. These pathways regulate important cellular responses including gene expression and stress responses. PKC works in conjunction with other kinases like RAF and IKK which are integral to these pathways providing structural and functional support. The activation of PKC can induce MAPK/ERK signaling which triggers cell proliferation and differentiation while its interaction with the NF-kB pathway can modulate immune responses and cell survival.

PKC isoforms have significant roles in cancer and cardiovascular diseases. Aberrant PKC activity affects cell cycle regulation and apoptosis contributing to tumor development and progression. PKC theta is linked to T-cell activation and autoimmunity contributing to autoimmune diseases. Additionally the dysregulation of PKC alpha and beta I is implicated in myocardial disorders by influencing cardiac contractility and hypertrophy often through interactions with calmodulin kinases and other cardiac-specific proteins. Understanding these interactions can aid in developing targeted therapies for such conditions.

Product protocols

For this product, it's our understanding that no specific protocols are required. You can visit:

Target data

Calcium- and diacylglycerol-independent serine/threonine-protein kinase that functions in phosphatidylinositol 3-kinase (PI3K) pathway and mitogen-activated protein (MAP) kinase cascade, and is involved in NF-kappa-B activation, mitogenic signaling, cell proliferation, cell polarity, inflammatory response and maintenance of long-term potentiation (LTP). Upon lipopolysaccharide (LPS) treatment in macrophages, or following mitogenic stimuli, functions downstream of PI3K to activate MAP2K1/MEK1-MAPK1/ERK2 signaling cascade independently of RAF1 activation. Required for insulin-dependent activation of AKT3, but may function as an adapter rather than a direct activator. Upon insulin treatment may act as a downstream effector of PI3K and contribute to the activation of translocation of the glucose transporter SLC2A4/GLUT4 and subsequent glucose transport in adipocytes. In EGF-induced cells, binds and activates MAP2K5/MEK5-MAPK7/ERK5 independently of its kinase activity and can activate JUN promoter through MEF2C. Through binding with SQSTM1/p62, functions in interleukin-1 signaling and activation of NF-kappa-B with the specific adapters RIPK1 and TRAF6. Participates in TNF-dependent transactivation of NF-kappa-B by phosphorylating and activating IKBKB kinase, which in turn leads to the degradation of NF-kappa-B inhibitors. In migrating astrocytes, forms a cytoplasmic complex with PARD6A and is recruited by CDC42 to function in the establishment of cell polarity along with the microtubule motor and dynein. In association with FEZ1, stimulates neuronal differentiation in PC12 cells. In the inflammatory response, is required for the T-helper 2 (Th2) differentiation process, including interleukin production, efficient activation of JAK1 and the subsequent phosphorylation and nuclear translocation of STAT6. May be involved in development of allergic airway inflammation (asthma), a process dependent on Th2 immune response. In the NF-kappa-B-mediated inflammatory response, can relieve SETD6-dependent repression of NF-kappa-B target genes by phosphorylating the RELA subunit at 'Ser-311'. Phosphorylates VAMP2 in vitro (PubMed : 17313651). Phosphorylates and activates LRRK1, which phosphorylates RAB proteins involved in intracellular trafficking (PubMed : 36040231).. Isoform 2. Involved in late synaptic long term potention phase in CA1 hippocampal cells and long term memory maintenance.
See full target information PRKCZ phospho T410

Additional targets

PRKCE phospho T410,PRKCG phospho T410,PRKCD phospho T410,PRKCA phospho T410,PRKCB phospho T410,PRKCH phospho T410,PRKCQ phospho T410,PRKCI phospho T410

Product promise

We are committed to supporting your work with high-quality reagents, and we're here for you every step of the way. In the unlikely event that one of our products does not perform as expected, you're protected by our Product Promise.
For full details, please see our Terms & Conditions

Please note: All products are 'FOR RESEARCH USE ONLY. NOT FOR USE IN DIAGNOSTIC OR THERAPEUTIC PROCEDURES'.

For licensing inquiries, please contact partnerships@abcam.com