JavaScript is disabled in your browser. Please enable JavaScript to view this website.
AB300112

Anti-pan SCN antibody [EPR25134-4]

  • BOND RX™ Validated
  • 20ul selling size
  • RabMAb
  • Recombinant
  • What is this?

Be the first to review this product! Submit a review

|

(0 Publication)

Rabbit Recombinant Monoclonal pan SCN antibody EPR25134-4. Suitable for IP, WB, IHC-P, IHC-Fr and reacts with Mouse, Human, Rat, Transfected cell lysate - Human samples.

View Alternative Names

HBA, NAC2, SCN2A1, SCN2A2, SCN2A, Sodium channel protein type 2 subunit alpha, HBSC II, Sodium channel protein brain II subunit alpha, Sodium channel protein type II subunit alpha, Voltage-gated sodium channel subunit alpha Nav1.2

13 Images
Immunohistochemistry (Formalin/PFA-fixed paraffin-embedded sections) - Anti-pan SCN antibody [EPR25134-4] (AB300112)
  • IHC-P

Lab

Immunohistochemistry (Formalin/PFA-fixed paraffin-embedded sections) - Anti-pan SCN antibody [EPR25134-4] (AB300112)

Immunohistochemical analysis of paraffin-embedded human brain labeling SCN2A with ab300112 at 1/4000 dilution followed by a ready to use Leica DS9800 (BOND Polymer Refine Detection).

Positive staining on human brain is observed. The section was incubated with ab300112 for 30 mins at room temperature. The immunostaining was performed on a Leica Biosystems BOND® RX instrument.

Counterstained with Hematoxylin.

Secondary antibody only control : PBS was used instead of primary antibody followed by ready to use secondary antibody LeicaDS9800 (BOND Polymer Refine Detection).

Heat mediated antigen retrieval with Tris-EDTA buffer (pH 9.0, epitope retrieval solution2) for 20 mins.

Immunohistochemistry (Formalin/PFA-fixed paraffin-embedded sections) - Anti-pan SCN antibody [EPR25134-4] (AB300112)
  • IHC-P

Lab

Immunohistochemistry (Formalin/PFA-fixed paraffin-embedded sections) - Anti-pan SCN antibody [EPR25134-4] (AB300112)

Immunohistochemical analysis of paraffin-embedded mouse cerebellum tissue labeling SCN2A with ab300112 at 1/4000 dilution followed by a ready to use Leica DS9800 (BOND™ Polymer Refine Detection).

Positive staining on mouse cerebellum is observed.

The section was incubated with ab300112 for 30 mins at room temperature. The immunostaining was performed on a Leica Biosystems BOND® RX instrument.

Counterstained with Hematoxylin.

Secondary antibody only control : PBS was used instead of primary antibody followed by ready to use secondary antibody LeicaDS9800 (BOND™ Polymer Refine Detection).

Heat mediated antigen retrieval with Tris-EDTA buffer (pH 9.0, epitope retrieval solution2) for 20 mins.

Immunohistochemistry (Frozen sections) - Anti-pan SCN antibody [EPR25134-4] (AB300112)
  • IHC-Fr

Lab

Immunohistochemistry (Frozen sections) - Anti-pan SCN antibody [EPR25134-4] (AB300112)

Fresh mouse cerebellum was fixed with 4% PFA and permeabilised with 0.2 % Triton X100.

Positive staining on mouse cerebellum.

ab150081 Goat Anti-Rabbit IgG H&L (Alexa Fluor® 488) preadsorbed was used as a secondary antibody at 1/1000 dilution.

DAPI was used as a nuclear counterstain.

Immunohistochemistry (Formalin/PFA-fixed paraffin-embedded sections) - Anti-pan SCN antibody [EPR25134-4] (AB300112)
  • IHC-P

Lab

Immunohistochemistry (Formalin/PFA-fixed paraffin-embedded sections) - Anti-pan SCN antibody [EPR25134-4] (AB300112)

Immunohistochemical analysis of paraffin-embedded rat brain tissue labeling SCN2A with ab300112 at 1/4000 dilution followed by a ready to use Leica DS9800 (BOND Polymer Refine Detection).

Positive staining on rat brain is observed.

The section was incubated with ab300112 for 30 mins at room temperature. The immunostaining was performed on a Leica Biosystems BOND® RX instrument. Counterstained with Hematoxylin.

Secondary antibody only control : PBS was used instead of primary antibody followed by ready to use secondary antibody LeicaDS9800 (BOND Polymer Refine Detection).

Heat mediated antigen retrieval with Tris-EDTA buffer (pH 9.0, epitope retrieval solution2) for 20 mins.

Immunohistochemistry (Frozen sections) - Anti-pan SCN antibody [EPR25134-4] (AB300112)
  • IHC-Fr

Lab

Immunohistochemistry (Frozen sections) - Anti-pan SCN antibody [EPR25134-4] (AB300112)

Negative control. No staining on rat heart.

Fresh rat heart was fixed with 4% PFA and permeabilised with 0.2 % Triton X100. ab300112 was used as a primary antibody at 1/500 dilution.

ab150081 Goat Anti-Rabbit IgG H&L (Alexa Fluor® 488) preadsorbed was used as a secondary antibody at 1/1000 dilution.

DAPI was used as a nuclear counterstain.

Immunohistochemistry (Frozen sections) - Anti-pan SCN antibody [EPR25134-4] (AB300112)
  • IHC-Fr

Lab

Immunohistochemistry (Frozen sections) - Anti-pan SCN antibody [EPR25134-4] (AB300112)

Negative control : No staining on mouse heart.

Fresh mouse heart was fixed with 4% PFA and permeabilised with 0.2 % Triton X100. ab300112 was used as a primary antibody at 1/500 dilution.

ab150081 Goat Anti-Rabbit IgG H&L (Alexa Fluor® 488) preadsorbed was used as a secondary antibody at 1/1000 dilution.

DAPI was used as a nuclear counter stain.

Immunohistochemistry (Formalin/PFA-fixed paraffin-embedded sections) - Anti-pan SCN antibody [EPR25134-4] (AB300112)
  • IHC-P

Lab

Immunohistochemistry (Formalin/PFA-fixed paraffin-embedded sections) - Anti-pan SCN antibody [EPR25134-4] (AB300112)

Immunohistochemical analysis of paraffin-embedded mouse brain labeling SCN2A with ab300112 at 1/4000 dilution followed by a ready to use Leica DS9800 (BOND Polymer Refine Detection).

Positive staining on mouse brain in observed.

The section was incubated with ab300112 for 30 mins at room temperature. The immunostaining was performed on a Leica Biosystems BOND® RX instrument.

Counterstained with Hematoxylin.

Secondary antibody only control : PBS was used instead of primary antibody followed by ready to use secondary antibody LeicaDS9800 (BOND Polymer Refine Detection).

Heat mediated antigen retrieval with Tris-EDTA buffer (pH 9.0, epitope retrieval solution2) for 20 mins.

Immunohistochemistry (Frozen sections) - Anti-pan SCN antibody [EPR25134-4] (AB300112)
  • IHC-Fr

Lab

Immunohistochemistry (Frozen sections) - Anti-pan SCN antibody [EPR25134-4] (AB300112)

Positive staining on rat cerebellum.

Fresh rat cerebellum was fixed with 4% PFA and permeabilised with 0.2 % Triton X100. ab300112 was used as a primary antibody at 1/500 dilution.

ab150081 Goat Anti-Rabbit IgG H&L (Alexa Fluor® 488) preadsorbed was used as a secondary antibody at 1/1000 dilution.

DAPI was used as a nuclear counterstain.

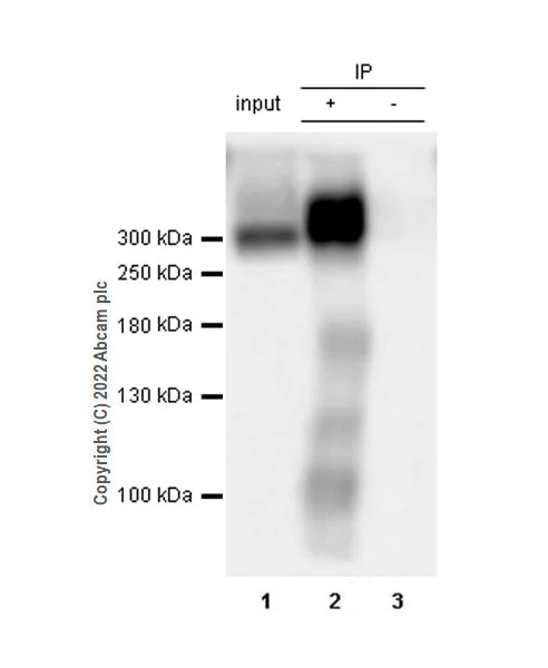
Immunoprecipitation - Anti-pan SCN antibody [EPR25134-4] (AB300112)
  • IP

Supplier Data

Immunoprecipitation - Anti-pan SCN antibody [EPR25134-4] (AB300112)

Pan SCN was immunoprecipitated from 0.35 mg mouse brain tissue lysate with ab300112 at 1/30 dilution (2ug in 0.35mg lysates).

Western blot was performed on the immunoprecipitate using ab300112 at 1/1000 dilution. VeriBlot for IP secondary antibody(HRP)(ab131366) was used at 1/5000 dilution.

All lanes:

Immunoprecipitation - Anti-pan SCN antibody [EPR25134-4] (ab300112) at 30 µg

Lane 1:

Mouse brain tissue lysate at 20 µg

Lane 2:

Mouse brain tissue lysate at 1/30 IP at 20 µg

Lane 3:

Rabbit monoclonal IgG (<a href='/en-us/products/primary-antibodies/rabbit-igg-monoclonal-epr25a-isotype-control-ab172730'>ab172730</a>) instead of ab300112 in mouse brain tissue lysate at 20 µg

Secondary

All lanes:

Immunoprecipitation - VeriBlot for IP Detection Reagent (HRP) (<a href='/en-us/products/reagents/veriblot-for-ip-detection-reagent-hrp-ab131366'>ab131366</a>) at 1/5000 dilution

false

Exposure time: 10s

Western blot - Anti-pan SCN antibody [EPR25134-4] (AB300112)
  • WB

Lab

Western blot - Anti-pan SCN antibody [EPR25134-4] (AB300112)

Exposure time : Lane 1-3 : 15 seconds; Lane 4 : 3 minutes.

This antibody does not cross-react with human SCN8A, SCN10A, and SCN11A.

Blocking and diluting buffer and concentration : 5% NFDM/TBST.

All lanes:

Western blot - Anti-pan SCN antibody [EPR25134-4] (ab300112) at 1/1000 dilution

Lane 1:

HEK-293T cells transfected with a human SCN2A expression vector containing a his-tag, whole cell lysate at 20 µg

Lane 2:

HEK-293T cells transfected with a human SCN10A expression vector containing a his-tag, whole cell lysate at 20 µg

Lane 3:

HEK-293T cells transfected with a human SCN11A expression vector containing a his-tag, whole cell lysate at 20 µg

Lane 4:

HEK-293T cells transfected with a human SCN8A expression vector containing a his-tag, whole cell lysate at 20 µg

Secondary

All lanes:

Western blot - Goat Anti-Rabbit IgG H&L (HRP) (<a href='/en-us/products/secondary-antibodies/goat-rabbit-igg-h-l-hrp-ab97051'>ab97051</a>) at 1/100000 dilution

Observed band size: 270 kDa

false

Western blot - Anti-pan SCN antibody [EPR25134-4] (AB300112)
  • WB

Lab

Western blot - Anti-pan SCN antibody [EPR25134-4] (AB300112)

Negative control : heart (PMID : 22081212).

Blocking and diluting buffer and concentration : 5% NFDM/TBST.

All lanes:

Western blot - Anti-pan SCN antibody [EPR25134-4] (ab300112) at 1/1000 dilution

Lane 1:

Human cerebellum tissue lysate at 20 µg

Lane 2:

Human hypothalamus tissue lysate at 20 µg

Lane 3:

Human heart tissue lysate at 20 µg

Secondary

All lanes:

Goat Anti-Rabbit IgG (HRP) with minimal cross-reactivity with human IgG at 1/2000 dilution

Observed band size: 270 kDa

false

Exposure time: 5.5s

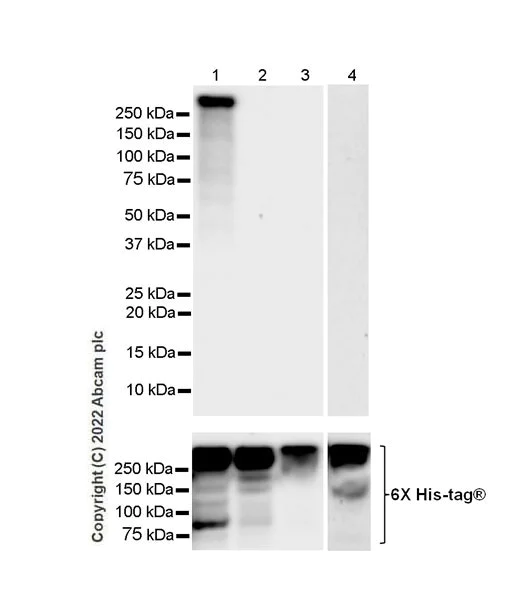
Western blot - Anti-pan SCN antibody [EPR25134-4] (AB300112)
  • WB

Lab

Western blot - Anti-pan SCN antibody [EPR25134-4] (AB300112)

This antibody reacts with human SCN1A, SCN3A, and SCN9A but does not react with human SCN4A and SCN5A.

Blocking and diluting buffer and concentration : 5% NFDM/TBST.

All lanes:

Western blot - Anti-pan SCN antibody [EPR25134-4] (ab300112) at 1/1000 dilution

Lane 1:

HEK-293T cells transfected with a human SCN1A fragment expression vector containing a his-tag, whole cell lysate at 20 µg

Lane 2:

HEK-293T cells transfected with a human SCN3A fragment expression vector containing a his-tag, whole cell lysate at 20 µg

Lane 3:

HEK-293T cells transfected with a human SCN4A fragment expression vector containing a his-tag, whole cell lysate at 20 µg

Lane 4:

HEK-293T cells transfected with a human SCN5A fragment expression vector containing a his-tag, whole cell lysate at 20 µg

Lane 5:

HEK-293T cells transfected with a human SCN9A fragment expression vector containing a his-tag, whole cell lysate at 20 µg

Secondary

All lanes:

Western blot - Goat Anti-Rabbit IgG H&L (HRP) (<a href='/en-us/products/secondary-antibodies/goat-rabbit-igg-h-l-hrp-ab97051'>ab97051</a>) at 1/100000 dilution

Observed band size: 20-25 kDa

false

Exposure time: 26s

Western blot - Anti-pan SCN antibody [EPR25134-4] (AB300112)
  • WB

Lab

Western blot - Anti-pan SCN antibody [EPR25134-4] (AB300112)

Negative control : heart (PMID : 22081212).

Blocking and diluting buffer and concentration : 5% NFDM/TBST.

All lanes:

Western blot - Anti-pan SCN antibody [EPR25134-4] (ab300112) at 1/1000 dilution

Lane 1:

Mouse brain tissue lysate at 20 µg

Lane 2:

Mouse hippocampus tissue lysate at 20 µg

Lane 3:

Mouse heart tissue lysate at 20 µg

Lane 4:

Rat brain tissue lysate at 20 µg

Lane 5:

Rat hippocampus tissue lysate at 20 µg

Lane 6:

Rat heart tissue lysate at 20 µg

Secondary

All lanes:

Goat Anti-Rabbit IgG (HRP) with minimal cross-reactivity with human IgG at 1/2000 dilution

Observed band size: 270 kDa

false

Exposure time: 26s

Key facts

Host species

Rabbit

Clonality

Monoclonal

Clone number

EPR25134-4

Isotype

IgG

Carrier free

No

Reacts with

Human, Mouse, Rat

Applications

WB, IP, IHC-Fr, IHC-P

applications

Immunogen

The exact immunogen used to generate this antibody is proprietary information.

Reactivity data

{ "title": "Reactivity Data", "filters": { "stats": ["", "Species", "Dilution Info", "Notes"], "tabs": { "all-applications": {"fullname" : "All Applications", "shortname": "All Applications"}, "IP" : {"fullname" : "Immunoprecipitation", "shortname":"IP"}, "ICCIF" : {"fullname" : "Immunocytochemistry/ Immunofluorescence", "shortname":"ICC/IF"}, "FlowCytIntra" : {"fullname" : "Flow Cytometry (Intracellular)", "shortname":"Flow Cyt (Intra)"}, "WB" : {"fullname" : "Western blot", "shortname":"WB"}, "IHCP" : {"fullname" : "Immunohistochemistry (Formalin/PFA-fixed paraffin-embedded sections)", "shortname":"IHC-P"}, "IHCFr" : {"fullname" : "Immunohistochemistry (Frozen sections)", "shortname":"IHC-Fr"} }, "product-promise": { "all": "all", "testedAndGuaranteed": "tested", "guaranteed": "expected", "predicted": "predicted", "notRecommended": "not-recommended" } }, "values": { "Human": { "IP-species-checked": "guaranteed", "IP-species-dilution-info": "", "IP-species-notes": "", "ICCIF-species-checked": "notRecommended", "ICCIF-species-dilution-info": "", "ICCIF-species-notes": "", "FlowCytIntra-species-checked": "notRecommended", "FlowCytIntra-species-dilution-info": "", "FlowCytIntra-species-notes": "", "WB-species-checked": "testedAndGuaranteed", "WB-species-dilution-info": "1/1000", "WB-species-notes": "<p></p>", "IHCP-species-checked": "testedAndGuaranteed", "IHCP-species-dilution-info": "1/4000", "IHCP-species-notes": "<p></p>", "IHCFr-species-checked": "guaranteed", "IHCFr-species-dilution-info": "", "IHCFr-species-notes": "" }, "Mouse": { "IP-species-checked": "testedAndGuaranteed", "IP-species-dilution-info": "", "IP-species-notes": "<p></p>", "ICCIF-species-checked": "notRecommended", "ICCIF-species-dilution-info": "", "ICCIF-species-notes": "<p></p>", "FlowCytIntra-species-checked": "notRecommended", "FlowCytIntra-species-dilution-info": "", "FlowCytIntra-species-notes": "<p></p>", "WB-species-checked": "testedAndGuaranteed", "WB-species-dilution-info": "1/1000", "WB-species-notes": "<p></p>", "IHCP-species-checked": "testedAndGuaranteed", "IHCP-species-dilution-info": "1/4000", "IHCP-species-notes": "<p></p>", "IHCFr-species-checked": "testedAndGuaranteed", "IHCFr-species-dilution-info": "1/500", "IHCFr-species-notes": "<p></p>" }, "Rat": { "IP-species-checked": "guaranteed", "IP-species-dilution-info": "", "IP-species-notes": "", "ICCIF-species-checked": "notRecommended", "ICCIF-species-dilution-info": "", "ICCIF-species-notes": "<p></p>", "FlowCytIntra-species-checked": "notRecommended", "FlowCytIntra-species-dilution-info": "", "FlowCytIntra-species-notes": "<p></p>", "WB-species-checked": "testedAndGuaranteed", "WB-species-dilution-info": "1/1000", "WB-species-notes": "<p></p>", "IHCP-species-checked": "testedAndGuaranteed", "IHCP-species-dilution-info": "1/4000", "IHCP-species-notes": "<p></p>", "IHCFr-species-checked": "testedAndGuaranteed", "IHCFr-species-dilution-info": "1/500", "IHCFr-species-notes": "<p></p>" }, "Transfected cell lysate - Human": { "IP-species-checked": "notRecommended", "IP-species-dilution-info": "", "IP-species-notes": "", "ICCIF-species-checked": "notRecommended", "ICCIF-species-dilution-info": "", "ICCIF-species-notes": "", "FlowCytIntra-species-checked": "notRecommended", "FlowCytIntra-species-dilution-info": "", "FlowCytIntra-species-notes": "", "WB-species-checked": "testedAndGuaranteed", "WB-species-dilution-info": "", "WB-species-notes": "<p></p>", "IHCP-species-checked": "notRecommended", "IHCP-species-dilution-info": "", "IHCP-species-notes": "", "IHCFr-species-checked": "notRecommended", "IHCFr-species-dilution-info": "", "IHCFr-species-notes": "" } } }

Product details

Patented technology
Our RabMAb® technology is a patented hybridoma-based technology for making rabbit monoclonal antibodies. For details on our patents, please refer to RabMAb® patents.

What are the advantages of a recombinant monoclonal antibody?
This product is a recombinant monoclonal antibody, which offers several advantages including:

  • - High batch-to-batch consistency and reproducibility
  • - Improved sensitivity and specificity
  • - Long-term security of supply
  • - Animal-free batch production

For more information, read more on recombinant antibodies.

Properties and storage information

Form
Liquid
Purification technique
Affinity purification Protein A
Storage buffer
pH: 7.2 - 7.4 Preservative: 0.01% Sodium azide Constituents: PBS, 40% Glycerol (glycerin, glycerine), 0.05% BSA
Shipped at conditions
Blue Ice
Appropriate short-term storage duration
1-2 weeks
Appropriate short-term storage conditions
+4°C
Appropriate long-term storage conditions
-20°C
Aliquoting information
Upon delivery aliquot
Storage information
Avoid freeze / thaw cycle

Supplementary information

This supplementary information is collated from multiple sources and compiled automatically.

The target "pan SCN" also referred to as "IP SCN" and sometimes identified by "647" refers to a group encompassing several voltage-gated sodium channels commonly expressed in excitable tissues like the brain and skeletal muscles. These channels have different subunits that might have varying molecular weights but generally range around 220-260 kDa. They are essential for generating and propagating action potentials in neurons.
Biological function summary

Voltage-gated sodium channels aid in the rapid depolarization phase of the action potential in excitable cells. They open in response to membrane depolarization allowing the influx of sodium ions which is critical for the feedback cycle that continues the action potential. These channels typically comprise a core alpha subunit which forms the pore and optional accessory beta subunits that modulate functionality.

Pathways

These sodium channels integrate into critical signaling pathways like the ion homeostasis pathway and the sodium ion transport pathway. They interact with various proteins such as different isoforms of potassium channels and calcium channels to maintain the delicate balance of ionic gradients necessary for cell excitability and signaling integrity.

Mutations or dysfunctions in voltage-gated sodium channels relate strongly to conditions like epilepsy and certain skeletal muscle disorders. Epilepsy often associates with abnormal activity of the channels with related proteins such as GABA receptors and potassium channels also being implicated in the disorder's pathophysiology. Skeletal muscle disorders involve disruptions in ion channel functioning where calcium channels show significant interplay with these sodium channels in maintaining muscle contractions.

Product protocols

For this product, it's our understanding that no specific protocols are required. You can visit:

Target data

Mediates the voltage-dependent sodium ion permeability of excitable membranes. Assuming opened or closed conformations in response to the voltage difference across the membrane, the protein forms a sodium-selective channel through which Na(+) ions may pass in accordance with their electrochemical gradient (PubMed : 1325650, PubMed : 17021166, PubMed : 28256214, PubMed : 29844171). Implicated in the regulation of hippocampal replay occurring within sharp wave ripples (SPW-R) important for memory (By similarity).
See full target information SCN2A

Additional targets

SCN1A,SCN3A,SCN9A

Product promise

We are committed to supporting your work with high-quality reagents, and we're here for you every step of the way. In the unlikely event that one of our products does not perform as expected, you're protected by our Product Promise.
For full details, please see our Terms & Conditions

Please note: All products are 'FOR RESEARCH USE ONLY. NOT FOR USE IN DIAGNOSTIC OR THERAPEUTIC PROCEDURES'.

For licensing inquiries, please contact partnerships@abcam.com