JavaScript is disabled in your browser. Please enable JavaScript to view this website.
AB218577

Anti-Pan Trk antibody [EPR17341] - BSA and Azide free

Be the first to review this product! Submit a review

|

(1 Publication)

Rabbit Recombinant Monoclonal TrkB antibody. Carrier free. Suitable for WB, ICC/IF, IHC-P and reacts with Human, Rat, Mouse samples. Cited in 1 publication.

View Alternative Names

TRKB, NTRK2, BDNF/NT-3 growth factors receptor, GP145-TrkB, Neurotrophic tyrosine kinase receptor type 2, TrkB tyrosine kinase, Tropomyosin-related kinase B, Trk-B

12 Images
Immunohistochemistry (Formalin/PFA-fixed paraffin-embedded sections) - Anti-Pan Trk antibody [EPR17341] - BSA and Azide free (AB218577)
  • IHC-P

Lab

Immunohistochemistry (Formalin/PFA-fixed paraffin-embedded sections) - Anti-Pan Trk antibody [EPR17341] - BSA and Azide free (AB218577)

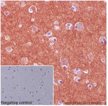
This data was developed using the same antibody clone in a different buffer formulation (ab181560).

Immunohistochemical analysis of formalin fixed paraffin embedded human cerebrum labelling Pan Trk with ab181560 at a concentration of 5 µg/ml. The immunostaining was performed on a Leica Biosystems BOND® RX instrument with a Bond™ Polymer Refine Detection kit. Heat mediated antigen retrieval was performed with Tris-EDTA buffer (pH 9.0, Epitope Retrieval Solution 2) for 20 mins. ab181560 anti-Pan Trk antibody [EPR17341] was incubated for 30 mins at room temperature. Sections were counterstained with Hematoxylin. Image inset shows absence of staining in secondary antibody only control.

Immunohistochemistry (Formalin/PFA-fixed paraffin-embedded sections) - Anti-Pan Trk antibody [EPR17341] - BSA and Azide free (AB218577)
  • IHC-P

Supplier Data

Immunohistochemistry (Formalin/PFA-fixed paraffin-embedded sections) - Anti-Pan Trk antibody [EPR17341] - BSA and Azide free (AB218577)

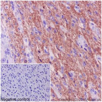
Immunohistochemical analysis of paraffin-embedded Human astrocytoma tissue labeling Pan Trk with ab181560 at 1/500 dilution followed by Anti-Rabbit HRP (ab97051) at 1/500 dilution. Astrocytoma cells show strong cytoplasmic staining. Counter stained with Hematoxylin. Antigen retrieval was perfomed using Tris-EDTA buffer pH 9.0

Negative control : Using PBS instead of primary ab secondary ab is prediluted HRP Polymer for Rabbit/Mouse IgG.

This data was developed using the same antibody clone in a different buffer formulation containing PBS, BSA, glycerol, and sodium azide (ab181560).

Immunohistochemistry (Formalin/PFA-fixed paraffin-embedded sections) - Anti-Pan Trk antibody [EPR17341] - BSA and Azide free (AB218577)
  • IHC-P

Supplier Data

Immunohistochemistry (Formalin/PFA-fixed paraffin-embedded sections) - Anti-Pan Trk antibody [EPR17341] - BSA and Azide free (AB218577)

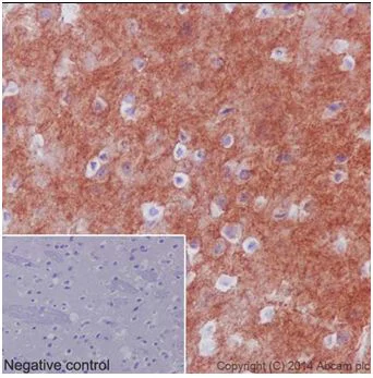
Immunohistochemical analysis of paraffin-embedded Human cerebral cortex tissue labeling Pan Trk with ab181560 at 1/500 dilution, followed by Anti-Rabbit HRP (ab97051) at 1/500 dilution. Cytoplasmic staining is observed on neurons of human cerebral cortex. Counter stained with Hematoxylin.

Negative control : Using PBS instead of primary ab, secondary ab is prediluted HRP Polymer for Rabbit/Mouse IgG.

This data was developed using the same antibody clone in a different buffer formulation containing PBS, BSA, glycerol, and sodium azide (ab181560).

Perform heat mediated antigen retrieval with Tris/EDTA buffer pH 9.0 before commencing with IHC staining protocol.

Immunohistochemistry (Formalin/PFA-fixed paraffin-embedded sections) - Anti-Pan Trk antibody [EPR17341] - BSA and Azide free (AB218577)
  • IHC-P

Lab

Immunohistochemistry (Formalin/PFA-fixed paraffin-embedded sections) - Anti-Pan Trk antibody [EPR17341] - BSA and Azide free (AB218577)

Tissue Microarrays stained for "Anti-Pan Trk antibody [EPR17341]" using "ab181560"in immunohistochemical analysis. This table provides a detailed overview of positive (tick mark) and negative (cross mark) staining per sample type tested. The sections were pre-treated using Heat mediated antigen retrieval using ab93684 (Tris/EDTA buffer, pH 9.0). The sections were incubated with ab181560 at +4°C overnight followed by a ready to use Goat Anti-Rabbit IgG H&L (HRP polymer).

Immunohistochemistry (Formalin/PFA-fixed paraffin-embedded sections) - Anti-Pan Trk antibody [EPR17341] - BSA and Azide free (AB218577)
  • IHC-P

Lab

Immunohistochemistry (Formalin/PFA-fixed paraffin-embedded sections) - Anti-Pan Trk antibody [EPR17341] - BSA and Azide free (AB218577)

This data was developed using the same antibody clone in a different buffer formulation (ab181560).

Immunohistochemical analysis of formalin fixed paraffin embedded human cerebrum labelling Pan Trk with ab181560 at a concentration of 3 µg/ml. The immunostaining was performed on a Ventana DISCOVERY ULTRA (Roche Tissue Diagnostics) instrument with an OptiView DAB IHC Detection Kit. Heat mediated antigen retrieval was conducted for 32 mins at 100°C with ULTRA cell conditioning solution (CC1, pH 8.5). ab181560 anti-Pan Trk antibody [EPR17341] was incubated at 37°C for 16 mins. Sections were counterstained with Hematoxylin II. Image inset shows absence of staining in secondary antibody only control.

Immunohistochemistry (Formalin/PFA-fixed paraffin-embedded sections) - Anti-Pan Trk antibody [EPR17341] - BSA and Azide free (AB218577)
  • IHC-P

Supplier Data

Immunohistochemistry (Formalin/PFA-fixed paraffin-embedded sections) - Anti-Pan Trk antibody [EPR17341] - BSA and Azide free (AB218577)

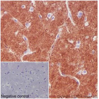
Immunohistochemical analysis of paraffin-embedded Mouse cerebral cortex tissue labeling Pan Trk with ab181560 at 1/500 dilution, followed by Anti-Rabbit HRP (ab97051) at 1/500 dilution. Cytoplasmic staining is observed on neurons of mouse cerebral cortex. Counter stained with Hematoxylin.
Negative control : Using PBS instead of primary ab, secondary ab is prediluted HRP Polymer for Rabbit/Mouse IgG.

This data was developed using the same antibody clone in a different buffer formulation containing PBS, BSA, glycerol, and sodium azide (ab181560).

Perform heat mediated antigen retrieval with Tris/EDTA buffer pH 9.0 before commencing with IHC staining protocol.

Immunocytochemistry/ Immunofluorescence - Anti-Pan Trk antibody [EPR17341] - BSA and Azide free (AB218577)
  • ICC/IF

Supplier Data

Immunocytochemistry/ Immunofluorescence - Anti-Pan Trk antibody [EPR17341] - BSA and Azide free (AB218577)

Immunofluorescent analysis of 4% paraformaldehyde-fixed 0.1% tritonX-100 permeabilized Neuro-2a (Mouse neuroblastoma cells) cells labeling Pan Trk with ab181560 at 1/250 dilution. Goat anti-rabbit IgG (Alexa Fluor® 488) (ab150077) at 1/400 dilution was used as the secondary antibody (green). Confocal image showing cytoplasmic staining on Neuro-2a cells is shown. The nuclear counter stain is DAPI (blue). Tubulin is detected with ab7291 (Tubulin mouse mAb) at 1/500 and ab150120 (Alexa Fluor® 594 Goat anti-Mouse secondary) at 1/500 dilution (red).

The negative controls are as follows;
1. ab181560 at 1/250 dilution followed by ab150120 (Goat anti mouse IgG (Alexa Fluor® 594)) at 1/500 dilution.
2. ab7291 (anti-Tubulin mouse mAb) at 1/500 dilution followed by ab150077 (Goat anti rabbit IgG (Alexa Fluor® 488)) at 1/400 dilution.

This data was developed using the same antibody clone in a different buffer formulation containing PBS, BSA, glycerol, and sodium azide (ab181560).

Immunohistochemistry (Formalin/PFA-fixed paraffin-embedded sections) - Anti-Pan Trk antibody [EPR17341] - BSA and Azide free (AB218577)
  • IHC-P

Supplier Data

Immunohistochemistry (Formalin/PFA-fixed paraffin-embedded sections) - Anti-Pan Trk antibody [EPR17341] - BSA and Azide free (AB218577)

Immunohistochemical analysis of paraffin-embedded Rat cerebral cortex tissue labeling Pan Trk with ab181560 at 1/500 dilution, followed by Anti-Rabbit HRP (ab97051) at 1/500 dilution. Cytoplasmic staining is observed on neurons of Rat cerebral cortex. Counter stained with Hematoxylin.
Negative control : Using PBS instead of primary ab, secondary ab is prediluted HRP Polymer for Rabbit/Mouse IgG.

This data was developed using the same antibody clone in a different buffer formulation containing PBS, BSA, glycerol, and sodium azide (ab181560).

Perform heat mediated antigen retrieval with Tris/EDTA buffer pH 9.0 before commencing with IHC staining protocol.

Immunohistochemistry (Formalin/PFA-fixed paraffin-embedded sections) - Anti-Pan Trk antibody [EPR17341] - BSA and Azide free (AB218577)
  • IHC-P

Lab

Immunohistochemistry (Formalin/PFA-fixed paraffin-embedded sections) - Anti-Pan Trk antibody [EPR17341] - BSA and Azide free (AB218577)

Tissue Microarrays stained for "Anti-Pan Trk antibody [EPR17341]" using "ab181560"in immunohistochemical analysis. This table provides a detailed overview of positive (tick mark) and negative (cross mark) staining per sample type tested. The sections were pre-treated using Heat mediated antigen retrieval using ab93684 (Tris/EDTA buffer, pH 9.0). The sections were incubated with ab181560 at +4°C overnight followed by a ready to use Goat Anti-Rabbit IgG H&L (HRP polymer).

Immunocytochemistry/ Immunofluorescence - Anti-Pan Trk antibody [EPR17341] - BSA and Azide free (AB218577)
  • ICC/IF

Supplier Data

Immunocytochemistry/ Immunofluorescence - Anti-Pan Trk antibody [EPR17341] - BSA and Azide free (AB218577)

Immunofluorescent analysis of 4% Paraformaldehyde-fixed 0.1% TritonX-100 permeabilized mouse primary neural mix culture cells labelling Pan Trk with ab181560 at 1 : 100 dilution followed by ab150077 AlexaFluor®488 Goat anti-Rabbit secondary antibody at 1 : 1000 dilution (Green). Confocal scanning Z step was set as 0.3 μm followed by image processing with maximum Z projection. ab195889 Anti-alpha Tubulin antibody [DM1A] - Microtubule Marker (Alexa Fluor® 594) was used to counterstain tubulin at 1 : 200 dilution (Red). The Nuclear counterstain was DAPI (Blue).

This data was developed using the same antibody clone in a different buffer formulation containing PBS, BSA, glycerol, and sodium azide (ab181560).

Western blot - Anti-Pan Trk antibody [EPR17341] - BSA and Azide free (AB218577)
  • WB

Lab

Western blot - Anti-Pan Trk antibody [EPR17341] - BSA and Azide free (AB218577)

This data was developed using ab181560, the same antibody clone in a different buffer formulation. Different batches of ab181560 were tested on human brain lysate at 1.5 µg/ml. 15 µg of lysate was loaded in each lane. Bands observed at 30,140 kDa.

All lanes:

Western blot - Anti-Pan Trk antibody [EPR17341] (<a href='/en-us/products/primary-antibodies/pan-trk-antibody-epr17341-ab181560'>ab181560</a>)

Predicted band size: 92 kDa

false

Western blot - Anti-Pan Trk antibody [EPR17341] - BSA and Azide free (AB218577)
  • WB

Lab

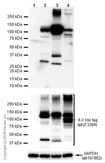
Western blot - Anti-Pan Trk antibody [EPR17341] - BSA and Azide free (AB218577)

Blocking and dilution buffer : 5% NFDM/TBST.

All lanes:

Western blot - Anti-Pan Trk antibody [EPR17341] (<a href='/en-us/products/primary-antibodies/pan-trk-antibody-epr17341-ab181560'>ab181560</a>) at 1/10000 dilution

Lane 1:

293T (human embryonic kidney) transfected with an empty vector (vector control) containing a myc-His-tag®, whole cell lysate at 20 µg

Lane 2:

293T transfected with human TrkA expression vector containing a myc-His-tag®, whole cell lysate at 20 µg

Lane 3:

293T transfected with human TrkB expression vector containing a myc-His-tag®, whole cell lysate at 20 µg

Lane 4:

293T transfected with human TrkC expression vector containing a myc-His-tag®, whole cell lysate at 20 µg

Secondary

All lanes:

Western blot - Goat Anti-Rabbit IgG H&L (HRP) (<a href='/en-us/products/secondary-antibodies/goat-rabbit-igg-h-l-hrp-ab97051'>ab97051</a>) at 1/20000 dilution

Observed band size: 140 kDa

false

Exposure time: 100s

Key facts

Host species

Rabbit

Clonality

Monoclonal

Clone number

EPR17341

Isotype

IgG

Carrier free

Yes

Reacts with

Mouse, Rat, Human

Applications

IHC-P, ICC/IF, WB

applications

Immunogen

The exact immunogen used to generate this antibody is proprietary information.

Reactivity data

{ "title": "Reactivity Data", "filters": { "stats": ["", "Species", "Dilution Info", "Notes"], "tabs": { "all-applications": {"fullname" : "All Applications", "shortname": "All Applications"}, "WB" : {"fullname" : "Western blot", "shortname":"WB"}, "ICCIF" : {"fullname" : "Immunocytochemistry/ Immunofluorescence", "shortname":"ICC/IF"}, "IHCP" : {"fullname" : "Immunohistochemistry (Formalin/PFA-fixed paraffin-embedded sections)", "shortname":"IHC-P"} }, "product-promise": { "all": "all", "testedAndGuaranteed": "tested", "guaranteed": "expected", "predicted": "predicted", "notRecommended": "not-recommended" } }, "values": { "Human": { "WB-species-checked": "testedAndGuaranteed", "WB-species-dilution-info": "", "WB-species-notes": "<p></p>", "ICCIF-species-checked": "guaranteed", "ICCIF-species-dilution-info": "", "ICCIF-species-notes": "", "IHCP-species-checked": "testedAndGuaranteed", "IHCP-species-dilution-info": "", "IHCP-species-notes": "<p></p> Perform heat-mediated antigen retrieval before commencing with IHC staining protocol." }, "Mouse": { "WB-species-checked": "testedAndGuaranteed", "WB-species-dilution-info": "", "WB-species-notes": "<p></p>", "ICCIF-species-checked": "testedAndGuaranteed", "ICCIF-species-dilution-info": "", "ICCIF-species-notes": "<p></p>", "IHCP-species-checked": "testedAndGuaranteed", "IHCP-species-dilution-info": "", "IHCP-species-notes": "<p></p> Perform heat-mediated antigen retrieval before commencing with IHC staining protocol." }, "Rat": { "WB-species-checked": "testedAndGuaranteed", "WB-species-dilution-info": "", "WB-species-notes": "<p></p>", "ICCIF-species-checked": "guaranteed", "ICCIF-species-dilution-info": "", "ICCIF-species-notes": "", "IHCP-species-checked": "testedAndGuaranteed", "IHCP-species-dilution-info": "", "IHCP-species-notes": "<p></p> Perform heat-mediated antigen retrieval before commencing with IHC staining protocol." } } }

Product details

ab218577 is the carrier-free version of ab181560.

This is the Research Use Only (RUO) antibody of the clone that has been used in the in vitro diagnostic VENTANA pan-TRK (EPR17341) assay (an immunohistochemistry assay).

Patented technology
Our RabMAb® technology is a patented hybridoma-based technology for making rabbit monoclonal antibodies. For details on our patents, please refer to RabMAb® patents.

What are the advantages of a recombinant monoclonal antibody?
This product is a recombinant monoclonal antibody, which offers several advantages including:

  • - High batch-to-batch consistency and reproducibility
  • - Improved sensitivity and specificity
  • - Long-term security of supply
  • - Animal-free batch production

For more information, read more on recombinant antibodies.

Conjugation ready
Our carrier-free antibodies are typically supplied in a PBS-only formulation, purified and free of BSA, sodium azide and glycerol. This conjugation-ready format is designed for use with fluorochromes, metal isotopes, oligonucleotides, and enzymes, which makes them ideal for antibody labelling, functional and cell-based assays, flow-based assays (e.g. mass cytometry) and Multiplex Imaging applications.

Use our conjugation kits for antibody conjugates that are ready-to-use in as little as 20 minutes with 1 minute hands-on-time and 100% antibody recovery: available for fluorescent dyes, HRP, biotin and gold.

Compatibility
This product is compatible with the Maxpar® Antibody Labeling Kit from Fluidigm, without the need for antibody preparation. Maxpar® is a trademark of Fluidigm Canada Inc.

Properties and storage information

Form
Liquid
Purification technique
Affinity purification Protein A
Storage buffer
pH: 7.2 - 7.4 Constituents: PBS
Shipped at conditions
Blue Ice
Appropriate short-term storage conditions
+4°C
Appropriate long-term storage conditions
+4°C
Storage information
Do Not Freeze

Supplementary information

This supplementary information is collated from multiple sources and compiled automatically.

Pan Trk also known as Pan-tropomyosin receptor kinases are receptors that belong to the neurotrophin receptor family including TrkA TrkB and TrkC. They typically express in neural tissues and play a role in neuronal development and function. The mass of Pan Trk can vary as it encompasses several related proteins rather than a single unit. The variant forms are present in both the central and peripheral nervous systems. Researchers often use tags like Pan Trk IHc 555 Pan and Alexa Pan to identify different forms and monitor their expression patterns.
Biological function summary

Pan Trk receptors play a vital role in the survival development and function of neurons by mediating the action of neurotrophins. They participate as part of a receptor complex activated by ligand binding which triggers autophosphorylation. These receptors modulate various processes like neuronal survival and differentiation. Pan Trk signals generally initiate upon binding neurotrophins leading to multiple intracellular events.

Pathways

Pan Trk receptors are central players in signaling pathways such as the MAPK/ERK and PI3K/AKT pathways. These pathways significantly impact cell survival and proliferation. Pan Trk often interacts with proteins like SHC and GRB2 to transmit signals downstream efficiently. These interactions are important for linking the surface receptor activation to the intracellular responses that govern cell growth and survival.

Dysregulation or mutations in Pan Trk pathways contribute to neurodegenerative diseases and cancers. For example in neuroblastoma altered Pan Trk expression can modify cell survival signals resulting in tumor growth. These receptors also relate to Alzheimer's disease where Pan Trk dysfunction can affect neuronal resilience and memory pathways. In these disorders Pan Trk associates with various proteins including Tau which can disrupt normal neuronal processes.

Product protocols

For this product, it's our understanding that no specific protocols are required. You can visit:

Target data

The protein expressed by the NTRK2 gene functions as a receptor for BDNF/brain-derived neurotrophic factor and NTF4/neurotrophin-4, and can also bind to NTF3/neurotrophin-3, although this interaction is less efficient. Upon binding with its ligands, the receptor undergoes homodimerization, autophosphorylation, and activation, enabling it to recruit, phosphorylate, and/or activate several downstream effectors like SHC1, FRS2, SH2B1, SH2B2, and PLCG1. These effectors regulate distinct but overlapping signaling cascades. Through SHC1, FRS2, SH2B1, and SH2B2, NTRK2 activates the GRB2-Ras-MAPK cascade, which regulates neuronal differentiation including neurite outgrowth, as well as the Ras-PI3 kinase-AKT1 signaling cascade, which is primarily involved in growth and survival. The PLCG1 pathway, which influences synaptic plasticity, plays a role in learning and memory by affecting both short-term synaptic function and long-term potentiation. Additionally, PLCG1 activation leads to NF-Kappa-B activation, promoting the transcription of genes related to cell survival, thereby suppressing anoikis. NTRK2 may also be involved in neurotrophin-dependent calcium signaling in glial cells and in mediating communication between neurons and glial cells. This supplementary information is collated from multiple sources and compiled automatically.
See full target information NTRK2

Publications (1)

Recent publications for all applications. Explore the full list and refine your search

Cold Spring Harbor molecular case studies 1:a000471 PubMed27148571

2016

Characterization of a novel fusion gene EML4-NTRK3 in a case of recurrent congenital fibrosarcoma.

Applications

WB

Species

Mouse

Sarah Tannenbaum-Dvir,Julia L Glade Bender,Alanna J Church,Katherine A Janeway,Marian H Harris,Mahesh M Mansukhani,Peter L Nagy,Stuart J Andrews,Vundavalli V Murty,Angela Kadenhe-Chiweshe,Eileen P Connolly,Andrew L Kung,Filemon S Dela Cruz
View all publications

Product promise

We are committed to supporting your work with high-quality reagents, and we're here for you every step of the way. In the unlikely event that one of our products does not perform as expected, you're protected by our Product Promise.
For full details, please see our Terms & Conditions

Please note: All products are 'FOR RESEARCH USE ONLY. NOT FOR USE IN DIAGNOSTIC OR THERAPEUTIC PROCEDURES'.

For licensing inquiries, please contact partnerships@abcam.com