JavaScript is disabled in your browser. Please enable JavaScript to view this website.
AB284409

Anti-Pan Trk antibody [EPR24009-335] - BSA and Azide free

Be the first to review this product! Submit a review

|

(0 Publication)

Rabbit Recombinant Monoclonal TrkA antibody. Carrier free. Suitable for IP, Flow Cyt (Intra), IHC-P, WB and reacts with Rat, Mouse, Human, Transfected cell line, Transfected cell line - Human samples.

View Alternative Names

MTC, TRK, TRKA, NTRK1, High affinity nerve growth factor receptor, Neurotrophic tyrosine kinase receptor type 1, TRK1-transforming tyrosine kinase protein, Tropomyosin-related kinase A, Tyrosine kinase receptor, Tyrosine kinase receptor A, gp140trk, p140-TrkA, Trk-A

17 Images
Immunohistochemistry (Formalin/PFA-fixed paraffin-embedded sections) - Anti-Pan Trk antibody [EPR24009-335] - BSA and Azide free (AB284409)
  • IHC-P

Supplier Data

Immunohistochemistry (Formalin/PFA-fixed paraffin-embedded sections) - Anti-Pan Trk antibody [EPR24009-335] - BSA and Azide free (AB284409)

This data was developed using ab267830, the same antibody clone in a different buffer formulation.Immunohistochemical analysis of paraffin-embedded Panel A HEK-293T ( tissue labeling Pan Trk with ab267830 at 1/200 (2.74 ug/ml) followed by a ready to use LeicaDS9800 (Bond™ Polymer Refine Detection) was used. Positive staining on (A) HEK-293T transfected with TrkC expression vector, (B) HEK-293T transfected with a TrkA expression vector, and (C) HEK-293T transfected with TrkB expression vector. Almost no staining on (D) HEK-293T transfected with empty vector. The section was incubated with ab267830 for 30 mins at room temperature.The immunostaining was performed on a Leica Biosystems BOND® RX instrument Counterstained with Hematoxylin. Secondary antibody only control : Secondary antibody is a ready to use LeicaDS9800 (Bond™ Polymer Refine Detection) was used.Heat mediated antigen retrieval with Tris-EDTA buffer (pH 9.0, epitope retrieval solution2) for 20 mins

Immunohistochemistry (Formalin/PFA-fixed paraffin-embedded sections) - Anti-Pan Trk antibody [EPR24009-335] - BSA and Azide free (AB284409)
  • IHC-P

Supplier Data

Immunohistochemistry (Formalin/PFA-fixed paraffin-embedded sections) - Anti-Pan Trk antibody [EPR24009-335] - BSA and Azide free (AB284409)

This data was developed using ab267830, the same antibody clone in a different buffer formulation.Immunohistochemical analysis of paraffin-embedded Human cerebrum tissue labeling Pan Trk with ab267830 at 1/200 (2.74 ug/ml) followed by a ready to use LeicaDS9800 (Bond™ Polymer Refine Detection) was used. Positive staining on human cerebrum (PMID : 26171003).The section was incubated with ab267830 for 30 mins at room temperature.The immunostaining was performed on a Leica Biosystems BOND® RX instrument Counterstained with Hematoxylin. Secondary antibody only control : Secondary antibody is a ready to use LeicaDS9800 (Bond™ Polymer Refine Detection) was used.Heat mediated antigen retrieval with Tris-EDTA buffer (pH 9.0, epitope retrieval solution2) for 20 mins

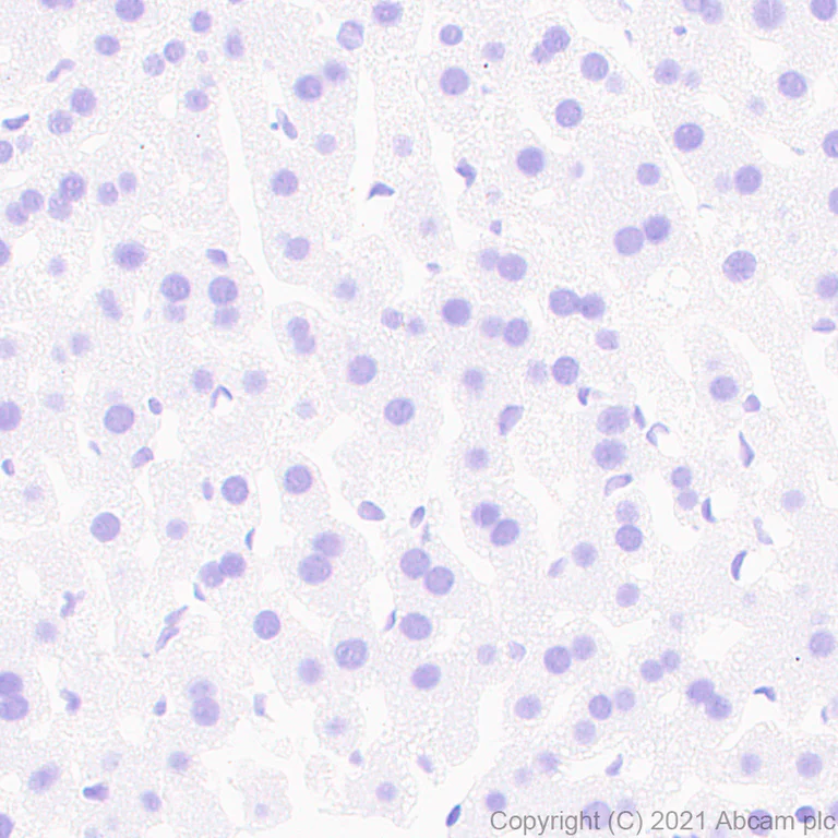
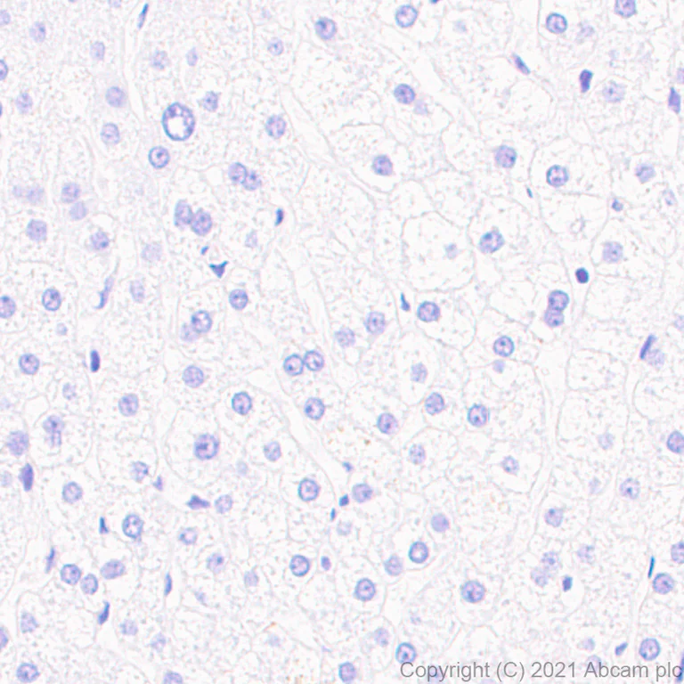
Immunohistochemistry (Formalin/PFA-fixed paraffin-embedded sections) - Anti-Pan Trk antibody [EPR24009-335] - BSA and Azide free (AB284409)
  • IHC-P

Supplier Data

Immunohistochemistry (Formalin/PFA-fixed paraffin-embedded sections) - Anti-Pan Trk antibody [EPR24009-335] - BSA and Azide free (AB284409)

This data was developed using ab267830, the same antibody clone in a different buffer formulation.Immunohistochemical analysis of paraffin-embedded Human liver tissue labeling Pan Trk with ab267830 at 1/200 (2.74 ug/ml) followed by a ready to use LeicaDS9800 (Bond™ Polymer Refine Detection) was used. Negative control : almost no staining on human liver.The section was incubated with ab267830 for 30 mins at room temperature.The immunostaining was performed on a Leica Biosystems BOND® RX instrument Counterstained with Hematoxylin. Secondary antibody only control : Secondary antibody is a ready to use LeicaDS9800 (Bond™ Polymer Refine Detection) was used.Heat mediated antigen retrieval with Tris-EDTA buffer (pH 9.0, epitope retrieval solution2) for 20 mins

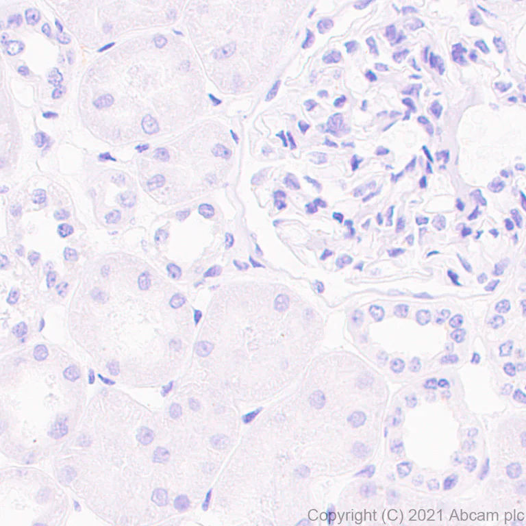
Immunohistochemistry (Formalin/PFA-fixed paraffin-embedded sections) - Anti-Pan Trk antibody [EPR24009-335] - BSA and Azide free (AB284409)
  • IHC-P

Supplier Data

Immunohistochemistry (Formalin/PFA-fixed paraffin-embedded sections) - Anti-Pan Trk antibody [EPR24009-335] - BSA and Azide free (AB284409)

This data was developed using ab267830, the same antibody clone in a different buffer formulation.Immunohistochemical analysis of paraffin-embedded Human kidney tissue labeling Pan Trk with ab267830 at 1/200 (2.74 ug/ml) followed by a ready to use LeicaDS9800 (Bond™ Polymer Refine Detection) was used. Negative control : almost no staining on human kidney.The section was incubated with ab267830 for 30 mins at room temperature.The immunostaining was performed on a Leica Biosystems BOND® RX instrument Counterstained with Hematoxylin. Secondary antibody only control : Secondary antibody is a ready to use LeicaDS9800 (Bond™ Polymer Refine Detection) was used.Heat mediated antigen retrieval with Tris-EDTA buffer (pH 9.0, epitope retrieval solution2) for 20 mins

Immunohistochemistry (Formalin/PFA-fixed paraffin-embedded sections) - Anti-Pan Trk antibody [EPR24009-335] - BSA and Azide free (AB284409)
  • IHC-P

Supplier Data

Immunohistochemistry (Formalin/PFA-fixed paraffin-embedded sections) - Anti-Pan Trk antibody [EPR24009-335] - BSA and Azide free (AB284409)

This data was developed using ab267830, the same antibody clone in a different buffer formulation.Immunohistochemical analysis of paraffin-embedded Human glioblastoma tissue labeling Pan Trk with ab267830 at 1/200 (2.74 ug/ml) followed by a ready to use LeicaDS9800 (Bond™ Polymer Refine Detection) was used. Positive staining on human glioblastoma (PMID : 26171003).The section was incubated with ab267830 for 30 mins at room temperature.The immunostaining was performed on a Leica Biosystems BOND® RX instrument Counterstained with Hematoxylin. Secondary antibody only control : Secondary antibody is a ready to use LeicaDS9800 (Bond™ Polymer Refine Detection) was used.Heat mediated antigen retrieval with Tris-EDTA buffer (pH 9.0, epitope retrieval solution2) for 20 mins

Flow Cytometry (Intracellular) - Anti-Pan Trk antibody [EPR24009-335] - BSA and Azide free (AB284409)
  • Flow Cyt (Intra)

Supplier Data

Flow Cytometry (Intracellular) - Anti-Pan Trk antibody [EPR24009-335] - BSA and Azide free (AB284409)

This data was developed using ab267830, the same antibody clone in a different buffer formulation.Flow cytometric analysis of ICR Mouse primary neuron cells labelling Pan Trk with ab267830 at 1/500 dilution (0.1ug)/ Right compared with a Rabbit monoclonal IgG (ab172730) / Left isotype control and an unlabelled control (cells without incubation with primary antibody and secondary antibody) (Blue). Goat anti-Rabbit IgG Fc (Alexa Fluor® 488, ab150097) at 1/2000 dilution was used as the secondary antibody.

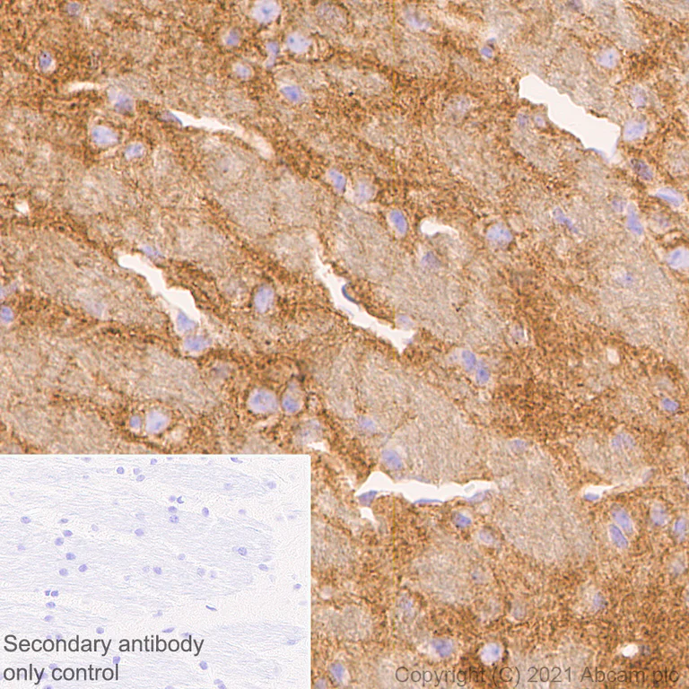
Immunohistochemistry (Formalin/PFA-fixed paraffin-embedded sections) - Anti-Pan Trk antibody [EPR24009-335] - BSA and Azide free (AB284409)
  • IHC-P

Supplier Data

Immunohistochemistry (Formalin/PFA-fixed paraffin-embedded sections) - Anti-Pan Trk antibody [EPR24009-335] - BSA and Azide free (AB284409)

This data was developed using ab267830, the same antibody clone in a different buffer formulation.Immunohistochemical analysis of paraffin-embedded Mouse cerebrum tissue labeling Pan Trk with ab267830 at 1/200 (2.74 ug/ml) followed by a ready to use LeicaDS9800 (Bond™ Polymer Refine Detection) was used. Positive staining on mouse cerebrum.The section was incubated with ab267830 for 30 mins at room temperature.The immunostaining was performed on a Leica Biosystems BOND® RX instrument Counterstained with Hematoxylin. Secondary antibody only control : Secondary antibody is a ready to use LeicaDS9800 (Bond™ Polymer Refine Detection) was used.Heat mediated antigen retrieval with Tris-EDTA buffer (pH 9.0, epitope retrieval solution2) for 20 mins

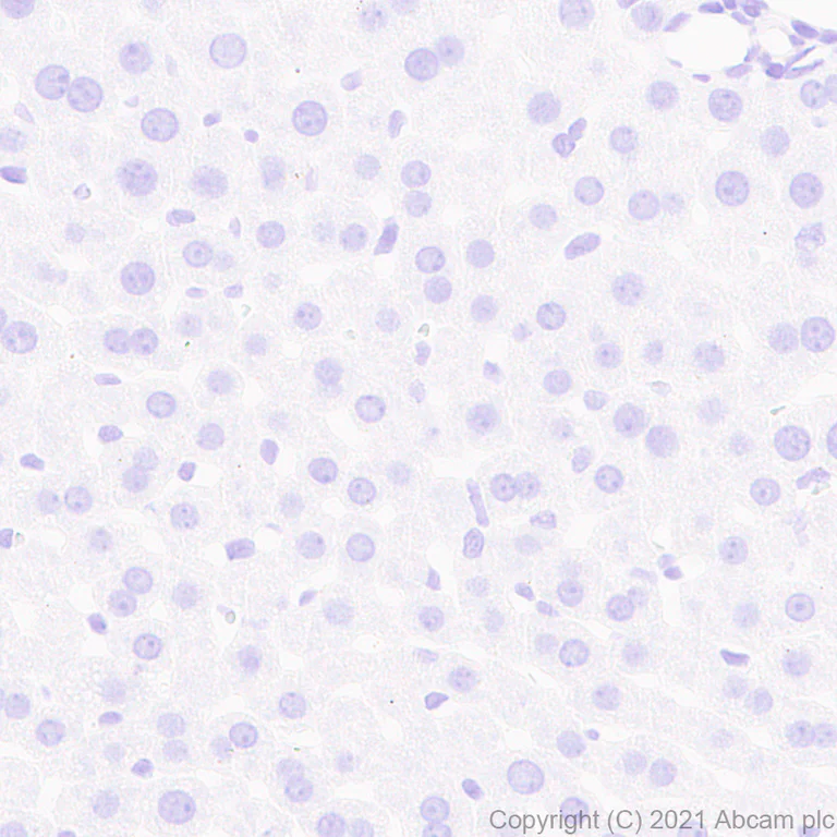
Immunohistochemistry (Formalin/PFA-fixed paraffin-embedded sections) - Anti-Pan Trk antibody [EPR24009-335] - BSA and Azide free (AB284409)
  • IHC-P

Supplier Data

Immunohistochemistry (Formalin/PFA-fixed paraffin-embedded sections) - Anti-Pan Trk antibody [EPR24009-335] - BSA and Azide free (AB284409)

This data was developed using ab267830, the same antibody clone in a different buffer formulation.Immunohistochemical analysis of paraffin-embedded Rat liver tissue labeling Pan Trk with ab267830 at 1/200 (2.74 ug/ml) followed by a ready to use LeicaDS9800 (Bond™ Polymer Refine Detection) was used. Negative control : almost no staining on rat liver.The section was incubated with ab267830 for 30 mins at room temperature.The immunostaining was performed on a Leica Biosystems BOND® RX instrument Counterstained with Hematoxylin. Secondary antibody only control : Secondary antibody is a ready to use LeicaDS9800 (Bond™ Polymer Refine Detection) was used.Heat mediated antigen retrieval with Tris-EDTA buffer (pH 9.0, epitope retrieval solution2) for 20 mins

Immunohistochemistry (Formalin/PFA-fixed paraffin-embedded sections) - Anti-Pan Trk antibody [EPR24009-335] - BSA and Azide free (AB284409)
  • IHC-P

Supplier Data

Immunohistochemistry (Formalin/PFA-fixed paraffin-embedded sections) - Anti-Pan Trk antibody [EPR24009-335] - BSA and Azide free (AB284409)

This data was developed using ab267830, the same antibody clone in a different buffer formulation.Immunohistochemical analysis of paraffin-embedded Rat cerebrum tissue labeling Pan Trk with ab267830 at 1/200 (2.74 ug/ml) followed by a ready to use LeicaDS9800 (Bond™ Polymer Refine Detection) was used. Positive staining on rat cerebrum.The section was incubated with ab267830 for 30 mins at room temperature.The immunostaining was performed on a Leica Biosystems BOND® RX instrument Counterstained with Hematoxylin. Secondary antibody only control : Secondary antibody is a ready to use LeicaDS9800 (Bond™ Polymer Refine Detection) was used.Heat mediated antigen retrieval with Tris-EDTA buffer (pH 9.0, epitope retrieval solution2) for 20 mins

Flow Cytometry (Intracellular) - Anti-Pan Trk antibody [EPR24009-335] - BSA and Azide free (AB284409)
  • Flow Cyt (Intra)

Supplier Data

Flow Cytometry (Intracellular) - Anti-Pan Trk antibody [EPR24009-335] - BSA and Azide free (AB284409)

This data was developed using ab267830, the same antibody clone in a different buffer formulation.Flow cytometric analysis of SD Rat primary neuron cells labelling Pan Trk with ab267830 at 1/500 dilution (0.1ug)/ Right compared with a Rabbit monoclonal IgG (ab172730) / Left isotype control and an unlabelled control (cells without incubation with primary antibody and secondary antibody) (Blue). Goat anti-Rabbit IgG Fc (Alexa Fluor® 488, ab150097) at 1/2000 dilution was used as the secondary antibody.

Immunohistochemistry (Formalin/PFA-fixed paraffin-embedded sections) - Anti-Pan Trk antibody [EPR24009-335] - BSA and Azide free (AB284409)
  • IHC-P

Supplier Data

Immunohistochemistry (Formalin/PFA-fixed paraffin-embedded sections) - Anti-Pan Trk antibody [EPR24009-335] - BSA and Azide free (AB284409)

This data was developed using ab267830, the same antibody clone in a different buffer formulation.Immunohistochemical analysis of paraffin-embedded Mouse liver tissue labeling Pan Trk with ab267830 at 1/200 (2.74 ug/ml) followed by a ready to use LeicaDS9800 (Bond™ Polymer Refine Detection) was used. Negative control : almost no staining on mouse liver.The section was incubated with ab267830 for 30 mins at room temperature.The immunostaining was performed on a Leica Biosystems BOND® RX instrument Counterstained with Hematoxylin. Secondary antibody only control : Secondary antibody is a ready to use LeicaDS9800 (Bond™ Polymer Refine Detection) was used.Heat mediated antigen retrieval with Tris-EDTA buffer (pH 9.0, epitope retrieval solution2) for 20 mins

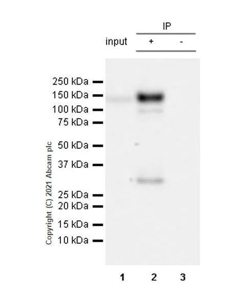
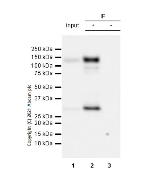
Immunoprecipitation - Anti-Pan Trk antibody [EPR24009-335] - BSA and Azide free (AB284409)
  • IP

Supplier Data

Immunoprecipitation - Anti-Pan Trk antibody [EPR24009-335] - BSA and Azide free (AB284409)

This data was developed using ab267830, the same antibody clone in a different buffer formulation.

Pan Trk was immunoprecipitated from 0.35 mg Mouse brain tissue lysate 10 ug with ab267830 at 1/30 dilution (2ug in 0.35mg lysates). Western blot was performed on the immunoprecipitate using ab267830 at 1/1000 dilution. VeriBlot for IP secondary antibody (HRP) (ab131366) was used at 1/5000 dilution.

Lane 1 : Mouse brain tissue lysate 10 ug

Lane 2 : ab267830 IP in Mouse brain tissue lysate

Lane 3 : Rabbit monoclonal IgG (ab172730) instead of ab267830 in mouse brain tissue lysate

Blocking and dilution buffer and concentration : 5% NFDM/TBST.

Exposure time : 8 seconds

All lanes:

Immunoprecipitation - Anti-Pan Trk antibody [EPR24009-335] (<a href='/en-us/products/primary-antibodies/pan-trk-antibody-epr24009-335-ab267830'>ab267830</a>) at 1/1000 dilution

All lanes:

Mouse brain tissue lysate at 10 µg

Secondary

All lanes:

Immunoprecipitation - VeriBlot for IP Detection Reagent (HRP) (<a href='/en-us/products/reagents/veriblot-for-ip-detection-reagent-hrp-ab131366'>ab131366</a>) at 1/5000 dilution

false

Exposure time: 8s

Immunoprecipitation - Anti-Pan Trk antibody [EPR24009-335] - BSA and Azide free (AB284409)
  • IP

Supplier Data

Immunoprecipitation - Anti-Pan Trk antibody [EPR24009-335] - BSA and Azide free (AB284409)

This data was developed using ab267830, the same antibody clone in a different buffer formulation.

Pan Trk was immunoprecipitated from 0.35 mg Rat brain tissue lysate 10 ug with ab267830 at 1/30 dilution (2ug in 0.35mg lysates). Western blot was performed on the immunoprecipitate using ab267830 at 1/1000 dilution. VeriBlot for IP secondary antibody (HRP) (ab131366) was used at 1/5000 dilution.

Lane 1 : Rat brain tissue lysate 10 ug

Lane 2 : ab267830 IP in Rat brain tissue lysate

Lane 3 : Rabbit monoclonal IgG (ab172730) instead of ab267830 in rat brain tissue lysate

Blocking and dilution buffer and concentration : 5% NFDM/TBST.

Exposure time : 8 seconds

All lanes:

Immunoprecipitation - Anti-Pan Trk antibody [EPR24009-335] (<a href='/en-us/products/primary-antibodies/pan-trk-antibody-epr24009-335-ab267830'>ab267830</a>) at 1/1000 dilution

All lanes:

Rat brain tissue lysate at 10 µg

Secondary

All lanes:

Immunoprecipitation - VeriBlot for IP Detection Reagent (HRP) (<a href='/en-us/products/reagents/veriblot-for-ip-detection-reagent-hrp-ab131366'>ab131366</a>) at 1/5000 dilution

false

Exposure time: 8s

Western blot - Anti-Pan Trk antibody [EPR24009-335] - BSA and Azide free (AB284409)
  • WB

Supplier Data

Western blot - Anti-Pan Trk antibody [EPR24009-335] - BSA and Azide free (AB284409)

This data was developed using ab267830, the same antibody clone in a different buffer formulation. Blocking Buffer and concentration : 5% NFDM/TBST

All lanes:

Western blot - Anti-Pan Trk antibody [EPR24009-335] (<a href='/en-us/products/primary-antibodies/pan-trk-antibody-epr24009-335-ab267830'>ab267830</a>) at 1/1000 dilution

Lane 1:

Human brain tissue lysate

Lane 2:

Human heart tissue lysate

Lane 3:

Human kidney tissue lysate

Lane 4:

Human spleen tissue lysate

Secondary

All lanes:

Goat Anti-Rabbit IgG (HRP) with minimal cross-reactivity with human IgG at 1/2000 dilution

Observed band size: 140 kDa

false

Exposure time: 15s

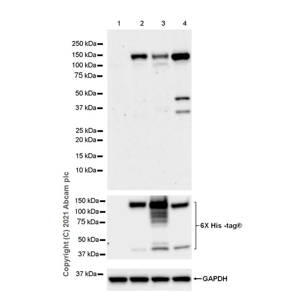
Western blot - Anti-Pan Trk antibody [EPR24009-335] - BSA and Azide free (AB284409)
  • WB

Supplier Data

Western blot - Anti-Pan Trk antibody [EPR24009-335] - BSA and Azide free (AB284409)

This data was developed using ab267830, the same antibody clone in a different buffer formulation. Blocking Buffer and concentration : 5% NFDM/TBST

All lanes:

Western blot - Anti-Pan Trk antibody [EPR24009-335] (<a href='/en-us/products/primary-antibodies/pan-trk-antibody-epr24009-335-ab267830'>ab267830</a>) at 1/1000 dilution

Lane 1:

293T (human embryonic kidney) transfected with an empty vector (vector control) containi a myc-His-tag®, whole cell lysate 20

Lane 2:

293T transfected with human TrkB expression vector containi a myc-His-tag®, whole cell lysate 20

Lane 3:

293T transfected with human TrkC expression vector containi a myc-His-tag®, whole cell lysate 20

Lane 4:

293T transfected with human TrkA expression vector containi a myc-His-tag®, whole cell lysate 20

Secondary

All lanes:

Western blot - Goat Anti-Rabbit IgG H&L (HRP) (<a href='/en-us/products/secondary-antibodies/goat-rabbit-igg-h-l-hrp-ab97051'>ab97051</a>) at 1/100000 dilution

Observed band size: 140 kDa

false

Exposure time: 3min

Western blot - Anti-Pan Trk antibody [EPR24009-335] - BSA and Azide free (AB284409)
  • WB

Supplier Data

Western blot - Anti-Pan Trk antibody [EPR24009-335] - BSA and Azide free (AB284409)

This data was developed using ab267830, the same antibody clone in a different buffer formulation. Blocking Buffer and concentration : 5% NFDM/TBST

All lanes:

Western blot - Anti-Pan Trk antibody [EPR24009-335] (<a href='/en-us/products/primary-antibodies/pan-trk-antibody-epr24009-335-ab267830'>ab267830</a>) at 1/1000 dilution

Lane 1:

Rat brain tissue lysate

Lane 2:

Rat heart tissue lysate

Lane 3:

Rat kidney tissue lysate

Lane 4:

Rat spleen tissue lysate

Secondary

All lanes:

Western blot - Goat Anti-Rabbit IgG H&L (HRP) (<a href='/en-us/products/secondary-antibodies/goat-rabbit-igg-h-l-hrp-ab97051'>ab97051</a>) at 1/100000 dilution

Observed band size: 140 kDa

false

Exposure time: 59s

Western blot - Anti-Pan Trk antibody [EPR24009-335] - BSA and Azide free (AB284409)
  • WB

Supplier Data

Western blot - Anti-Pan Trk antibody [EPR24009-335] - BSA and Azide free (AB284409)

This data was developed using ab267830, the same antibody clone in a different buffer formulation. Blocking Buffer and concentration : 5% NFDM/TBST

All lanes:

Western blot - Anti-Pan Trk antibody [EPR24009-335] (<a href='/en-us/products/primary-antibodies/pan-trk-antibody-epr24009-335-ab267830'>ab267830</a>) at 1/1000 dilution

Lane 1:

Mouse brain tissue lysate

Lane 2:

Mouse heart tissue lysate

Lane 3:

Mouse kidney tissue lysate

Lane 4:

Mouse spleen tissue lysate

Secondary

All lanes:

Western blot - Goat Anti-Rabbit IgG H&L (HRP) (<a href='/en-us/products/secondary-antibodies/goat-rabbit-igg-h-l-hrp-ab97051'>ab97051</a>) at 1/100000 dilution

Observed band size: 140 kDa

false

Exposure time: 37s

Key facts

Host species

Rabbit

Clonality

Monoclonal

Clone number

EPR24009-335

Isotype

IgG

Carrier free

Yes

Reacts with

Rat, Mouse, Human

Applications

IHC-P, IP, Flow Cyt (Intra), WB

applications

Immunogen

The exact immunogen used to generate this antibody is proprietary information.

Reactivity data

{ "title": "Reactivity Data", "filters": { "stats": ["", "Species", "Dilution Info", "Notes"], "tabs": { "all-applications": {"fullname" : "All Applications", "shortname": "All Applications"}, "IP" : {"fullname" : "Immunoprecipitation", "shortname":"IP"}, "FlowCytIntra" : {"fullname" : "Flow Cytometry (Intracellular)", "shortname":"Flow Cyt (Intra)"}, "ICCIF" : {"fullname" : "Immunocytochemistry/ Immunofluorescence", "shortname":"ICC/IF"}, "IHCFr" : {"fullname" : "Immunohistochemistry (Frozen sections)", "shortname":"IHC-Fr"}, "IHCP" : {"fullname" : "Immunohistochemistry (Formalin/PFA-fixed paraffin-embedded sections)", "shortname":"IHC-P"}, "WB" : {"fullname" : "Western blot", "shortname":"WB"} }, "product-promise": { "all": "all", "testedAndGuaranteed": "tested", "guaranteed": "expected", "predicted": "predicted", "notRecommended": "not-recommended" } }, "values": { "Human": { "IP-species-checked": "notRecommended", "IP-species-dilution-info": "", "IP-species-notes": "<p></p>", "FlowCytIntra-species-checked": "guaranteed", "FlowCytIntra-species-dilution-info": "", "FlowCytIntra-species-notes": "", "ICCIF-species-checked": "notRecommended", "ICCIF-species-dilution-info": "", "ICCIF-species-notes": "", "IHCFr-species-checked": "notRecommended", "IHCFr-species-dilution-info": "", "IHCFr-species-notes": "<p></p>", "IHCP-species-checked": "testedAndGuaranteed", "IHCP-species-dilution-info": "", "IHCP-species-notes": "<p></p> Perform heat-mediated antigen retrieval with Tris/EDTA buffer pH 9.0 before commencing with IHC staining protocol.", "WB-species-checked": "testedAndGuaranteed", "WB-species-dilution-info": "", "WB-species-notes": "<p></p>" }, "Mouse": { "IP-species-checked": "testedAndGuaranteed", "IP-species-dilution-info": "", "IP-species-notes": "<p></p>", "FlowCytIntra-species-checked": "testedAndGuaranteed", "FlowCytIntra-species-dilution-info": "", "FlowCytIntra-species-notes": "<p></p>", "ICCIF-species-checked": "notRecommended", "ICCIF-species-dilution-info": "", "ICCIF-species-notes": "<p></p>", "IHCFr-species-checked": "notRecommended", "IHCFr-species-dilution-info": "", "IHCFr-species-notes": "<p></p>", "IHCP-species-checked": "testedAndGuaranteed", "IHCP-species-dilution-info": "", "IHCP-species-notes": "<p></p> Perform heat-mediated antigen retrieval with Tris/EDTA buffer pH 9.0 before commencing with IHC staining protocol.", "WB-species-checked": "testedAndGuaranteed", "WB-species-dilution-info": "", "WB-species-notes": "<p></p>" }, "Rat": { "IP-species-checked": "testedAndGuaranteed", "IP-species-dilution-info": "", "IP-species-notes": "<p></p>", "FlowCytIntra-species-checked": "testedAndGuaranteed", "FlowCytIntra-species-dilution-info": "", "FlowCytIntra-species-notes": "<p></p>", "ICCIF-species-checked": "notRecommended", "ICCIF-species-dilution-info": "", "ICCIF-species-notes": "<p></p>", "IHCFr-species-checked": "notRecommended", "IHCFr-species-dilution-info": "", "IHCFr-species-notes": "<p></p>", "IHCP-species-checked": "testedAndGuaranteed", "IHCP-species-dilution-info": "", "IHCP-species-notes": "<p></p> Perform heat-mediated antigen retrieval with Tris/EDTA buffer pH 9.0 before commencing with IHC staining protocol.", "WB-species-checked": "testedAndGuaranteed", "WB-species-dilution-info": "", "WB-species-notes": "<p></p>" }, "Transfected cell line": { "IP-species-checked": "notRecommended", "IP-species-dilution-info": "", "IP-species-notes": "", "FlowCytIntra-species-checked": "notRecommended", "FlowCytIntra-species-dilution-info": "", "FlowCytIntra-species-notes": "", "ICCIF-species-checked": "notRecommended", "ICCIF-species-dilution-info": "", "ICCIF-species-notes": "", "IHCFr-species-checked": "notRecommended", "IHCFr-species-dilution-info": "", "IHCFr-species-notes": "", "IHCP-species-checked": "testedAndGuaranteed", "IHCP-species-dilution-info": "", "IHCP-species-notes": "<p></p> Perform heat-mediated antigen retrieval with Tris/EDTA buffer pH 9.0 before commencing with IHC staining protocol.", "WB-species-checked": "notRecommended", "WB-species-dilution-info": "", "WB-species-notes": "" }, "Transfected cell line - Human": { "IP-species-checked": "notRecommended", "IP-species-dilution-info": "", "IP-species-notes": "", "FlowCytIntra-species-checked": "notRecommended", "FlowCytIntra-species-dilution-info": "", "FlowCytIntra-species-notes": "", "ICCIF-species-checked": "notRecommended", "ICCIF-species-dilution-info": "", "ICCIF-species-notes": "", "IHCFr-species-checked": "notRecommended", "IHCFr-species-dilution-info": "", "IHCFr-species-notes": "", "IHCP-species-checked": "notRecommended", "IHCP-species-dilution-info": "", "IHCP-species-notes": "", "WB-species-checked": "testedAndGuaranteed", "WB-species-dilution-info": "", "WB-species-notes": "<p></p>" } } }

Product details

ab284409 is a carrier free version of ab267830.

Patented technology
Our RabMAb® technology is a patented hybridoma-based technology for making rabbit monoclonal antibodies. For details on our patents, please refer to RabMAb® patents.

What are the advantages of a recombinant monoclonal antibody?
This product is a recombinant monoclonal antibody, which offers several advantages including:

  • - High batch-to-batch consistency and reproducibility
  • - Improved sensitivity and specificity
  • - Long-term security of supply
  • - Animal-free batch production

For more information, read more on recombinant antibodies.

Conjugation ready
Our carrier-free antibodies are typically supplied in a PBS-only formulation, purified and free of BSA, sodium azide and glycerol. This conjugation-ready format is designed for use with fluorochromes, metal isotopes, oligonucleotides, and enzymes, which makes them ideal for antibody labelling, functional and cell-based assays, flow-based assays (e.g. mass cytometry) and Multiplex Imaging applications.

Use our conjugation kits for antibody conjugates that are ready-to-use in as little as 20 minutes with 1 minute hands-on-time and 100% antibody recovery: available for fluorescent dyes, HRP, biotin and gold.

Compatibility
This product is compatible with the Maxpar® Antibody Labeling Kit from Fluidigm, without the need for antibody preparation. Maxpar® is a trademark of Fluidigm Canada Inc.

Properties and storage information

Form
Liquid
Purification technique
Affinity purification Protein A
Storage buffer
pH: 7.2 - 7.4 Constituents: PBS
Shipped at conditions
Blue Ice
Appropriate short-term storage conditions
+4°C
Appropriate long-term storage conditions
+4°C

Supplementary information

This supplementary information is collated from multiple sources and compiled automatically.

Pan Trk also known as Pan-tropomyosin receptor kinases are receptors that belong to the neurotrophin receptor family including TrkA TrkB and TrkC. They typically express in neural tissues and play a role in neuronal development and function. The mass of Pan Trk can vary as it encompasses several related proteins rather than a single unit. The variant forms are present in both the central and peripheral nervous systems. Researchers often use tags like Pan Trk IHc 555 Pan and Alexa Pan to identify different forms and monitor their expression patterns.
Biological function summary

Pan Trk receptors play a vital role in the survival development and function of neurons by mediating the action of neurotrophins. They participate as part of a receptor complex activated by ligand binding which triggers autophosphorylation. These receptors modulate various processes like neuronal survival and differentiation. Pan Trk signals generally initiate upon binding neurotrophins leading to multiple intracellular events.

Pathways

Pan Trk receptors are central players in signaling pathways such as the MAPK/ERK and PI3K/AKT pathways. These pathways significantly impact cell survival and proliferation. Pan Trk often interacts with proteins like SHC and GRB2 to transmit signals downstream efficiently. These interactions are important for linking the surface receptor activation to the intracellular responses that govern cell growth and survival.

Dysregulation or mutations in Pan Trk pathways contribute to neurodegenerative diseases and cancers. For example in neuroblastoma altered Pan Trk expression can modify cell survival signals resulting in tumor growth. These receptors also relate to Alzheimer's disease where Pan Trk dysfunction can affect neuronal resilience and memory pathways. In these disorders Pan Trk associates with various proteins including Tau which can disrupt normal neuronal processes.

Product protocols

For this product, it's our understanding that no specific protocols are required. You can visit:

Target data

Receptor tyrosine kinase involved in the development and the maturation of the central and peripheral nervous systems through regulation of proliferation, differentiation and survival of sympathetic and nervous neurons. High affinity receptor for NGF which is its primary ligand (PubMed : 1281417, PubMed : 15488758, PubMed : 17196528, PubMed : 1849459, PubMed : 1850821, PubMed : 22649032, PubMed : 27445338, PubMed : 8325889). Can also bind and be activated by NTF3/neurotrophin-3. However, NTF3 only supports axonal extension through NTRK1 but has no effect on neuron survival (By similarity). Upon dimeric NGF ligand-binding, undergoes homodimerization, autophosphorylation and activation (PubMed : 1281417). Recruits, phosphorylates and/or activates several downstream effectors including SHC1, FRS2, SH2B1, SH2B2 and PLCG1 that regulate distinct overlapping signaling cascades driving cell survival and differentiation. Through SHC1 and FRS2 activates a GRB2-Ras-MAPK cascade that regulates cell differentiation and survival. Through PLCG1 controls NF-Kappa-B activation and the transcription of genes involved in cell survival. Through SHC1 and SH2B1 controls a Ras-PI3 kinase-AKT1 signaling cascade that is also regulating survival. In absence of ligand and activation, may promote cell death, making the survival of neurons dependent on trophic factors.. Isoform TrkA-III. Resistant to NGF, it constitutively activates AKT1 and NF-kappa-B and is unable to activate the Ras-MAPK signaling cascade. Antagonizes the anti-proliferative NGF-NTRK1 signaling that promotes neuronal precursors differentiation. Isoform TrkA-III promotes angiogenesis and has oncogenic activity when overexpressed.
See full target information NTRK1

Additional targets

NTRK3,NTRK1

Product promise

We are committed to supporting your work with high-quality reagents, and we're here for you every step of the way. In the unlikely event that one of our products does not perform as expected, you're protected by our Product Promise.
For full details, please see our Terms & Conditions

Please note: All products are 'FOR RESEARCH USE ONLY. NOT FOR USE IN DIAGNOSTIC OR THERAPEUTIC PROCEDURES'.

For licensing inquiries, please contact partnerships@abcam.com