JavaScript is disabled in your browser. Please enable JavaScript to view this website.
AB124915

Anti-Pancreatic Lipase/PTL antibody [EPR6276]

Be the first to review this product! Submit a review

|

(3 Publications)

Rabbit Recombinant Monoclonal Pancreatic Lipase/PTL antibody. Suitable for IHC-P, WB and reacts with Human samples. Cited in 3 publications.

View Alternative Names

Pancreatic triacylglycerol lipase, PL, PTL, Pancreatic lipase, PNLIP

3 Images
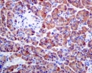
Immunohistochemistry (Formalin/PFA-fixed paraffin-embedded sections) - Anti-Pancreatic Lipase/PTL antibody [EPR6276] (AB124915)
  • IHC-P

Unknown

Immunohistochemistry (Formalin/PFA-fixed paraffin-embedded sections) - Anti-Pancreatic Lipase/PTL antibody [EPR6276] (AB124915)

ab124915 at 1/500 dilution staining Pancreatic Lipase/PTL in paraffin embedded Human pancreas tissue by immunohistochemistry.

Perform heat mediated antigen retrieval with citrate buffer pH 6 before commencing with IHC staining protocol.

Western blot - Anti-Pancreatic Lipase/PTL antibody [EPR6276] (AB124915)
  • WB

Unknown

Western blot - Anti-Pancreatic Lipase/PTL antibody [EPR6276] (AB124915)

All lanes:

Western blot - Anti-Pancreatic Lipase/PTL antibody [EPR6276] (ab124915) at 1/10000 dilution

Lane 1:

Human pancreas lysate at 10 µg

Lane 2:

Human small intestine lysate at 10 µg

Secondary

All lanes:

HRP labelled goat anti-rabbit at 1/2000 dilution

Predicted band size: 51 kDa

false

OI-RD Scanning - Anti-Pancreatic Lipase/PTL antibody [EPR6276] (AB124915)
  • OI-RD Scanning

Unknown

OI-RD Scanning - Anti-Pancreatic Lipase/PTL antibody [EPR6276] (AB124915)

We have systematically measured KD (the equilibrium dissociation constant between the antibody and its antigen), of more than 840 recombinant antibodies to assess not only their individual KD values but also to see the average affinity of antibody. Based on the comparison with published literature values for mouse monoclonal antibodies, Recombinant antibodies appear to be on average 1-2 order of magnitude higher affinity.

  • Carrier free

    Anti-Pancreatic Lipase/PTL antibody [EPR6276] - BSA and Azide free

Key facts

Host species

Rabbit

Clonality

Monoclonal

Clone number

EPR6276

Isotype

IgG

Carrier free

No

Reacts with

Human

Applications

IHC-P, WB

applications

Immunogen

The exact immunogen used to generate this antibody is proprietary information.

Reactivity data

{ "title": "Reactivity Data", "filters": { "stats": ["", "Species", "Dilution Info", "Notes"], "tabs": { "all-applications": {"fullname" : "All Applications", "shortname": "All Applications"}, "IHCP" : {"fullname" : "Immunohistochemistry (Formalin/PFA-fixed paraffin-embedded sections)", "shortname":"IHC-P"}, "IP" : {"fullname" : "Immunoprecipitation", "shortname":"IP"}, "WB" : {"fullname" : "Western blot", "shortname":"WB"} }, "product-promise": { "all": "all", "testedAndGuaranteed": "tested", "guaranteed": "expected", "predicted": "predicted", "notRecommended": "not-recommended" } }, "values": { "Human": { "IHCP-species-checked": "testedAndGuaranteed", "IHCP-species-dilution-info": "1/500 - 1/1000", "IHCP-species-notes": "<p></p> Perform heat-mediated antigen retrieval with citrate buffer pH 6 before commencing with IHC staining protocol.", "IP-species-checked": "notRecommended", "IP-species-dilution-info": "", "IP-species-notes": "<p></p>", "WB-species-checked": "testedAndGuaranteed", "WB-species-dilution-info": "1/10000 - 1/50000", "WB-species-notes": "<p></p>" }, "Mouse": { "IHCP-species-checked": "notRecommended", "IHCP-species-dilution-info": "1/500 - 1/1000", "IHCP-species-notes": "<p></p> Perform heat-mediated antigen retrieval with citrate buffer pH 6 before commencing with IHC staining protocol.", "IP-species-checked": "notRecommended", "IP-species-dilution-info": "", "IP-species-notes": "<p></p>", "WB-species-checked": "notRecommended", "WB-species-dilution-info": "1/10000 - 1/50000", "WB-species-notes": "<p></p>" }, "Rat": { "IHCP-species-checked": "notRecommended", "IHCP-species-dilution-info": "1/500 - 1/1000", "IHCP-species-notes": "<p></p> Perform heat-mediated antigen retrieval with citrate buffer pH 6 before commencing with IHC staining protocol.", "IP-species-checked": "notRecommended", "IP-species-dilution-info": "", "IP-species-notes": "<p></p>", "WB-species-checked": "notRecommended", "WB-species-dilution-info": "1/10000 - 1/50000", "WB-species-notes": "<p></p>" } } }

Product details

Patented technology
Our RabMAb® technology is a patented hybridoma-based technology for making rabbit monoclonal antibodies. For details on our patents, please refer to RabMAb® patents.

What are the advantages of a recombinant monoclonal antibody?
This product is a recombinant monoclonal antibody, which offers several advantages including:

  • - High batch-to-batch consistency and reproducibility
  • - Improved sensitivity and specificity
  • - Long-term security of supply
  • - Animal-free batch production

For more information, read more on recombinant antibodies.

Properties and storage information

Form
Liquid
Purification technique
Affinity purification Protein A
Storage buffer
pH: 7.2 - 7.4 Preservative: 0.05% Sodium azide Constituents: 50% Tissue culture supernatant, 40% Glycerol (glycerin, glycerine), 9.85% Tris glycine
Shipped at conditions
Blue Ice
Appropriate short-term storage conditions
+4°C
Appropriate long-term storage conditions
-20°C
Storage information
Stable for 12 months at -20°C

Supplementary information

This supplementary information is collated from multiple sources and compiled automatically.

Pancreatic Lipase also known as PTL or Lipase Pancreas is an enzyme with a molecular mass around 3000 daltons. It is important for the digestion of dietary fats and is expressed in the pancreas of several animals including the mouse and rat. The enzyme hydrolyzes triglycerides into monoglycerides and free fatty acids facilitating the absorption of fat-soluble vitamins. The presence of pancreatic lipase in rodent models like 'pancreas in rat' or 'mouse pancreas' aids in studying its mechanical function which is significant for understanding lipid metabolism.
Biological function summary

Pancreatic lipase plays a central role in the digestive system converting dietary fats into absorbable units. Although primarily not part of any complex its activity depends on the presence of bile salts and co-lipase. Co-lipase binds to pancreatic lipase and enhances its efficiency by stabilizing the enzyme-substrate complex in the presence of bile supporting lipid digestion and absorption.

Pathways

The enzyme is an essential component of the lipid digestion and absorption pathways. It operates closely with other lipases like gastric lipase sequentially breaking down fats from different stages of digestion. The pathways involve the secretion of bile from the liver which emulsifies fats enabling pancreatic lipase to act more efficiently. As part of the larger digestion process the enzyme plays a role in maintaining metabolic homeostasis by interlinking with hormones like insulin which further regulates blood glucose levels based on energy intake from fats.

Pancreatic lipase has significant implications in conditions like hyperlipidemia and pancreatitis. Defects or deficiencies in pancreatic lipase activity can result in malabsorption syndromes affecting nutritional status and leading to weight loss and vitamin deficiencies. Chronic pancreatitis an inflammatory disease with progressive exocrine pancreatic insufficiency involves diminished pancreatic lipase function often requiring enzyme supplementation as part of the treatment. The connection of pancreatic lipase to hyperlipidemia relates to its interaction with proteins like lipoprotein lipase which manages lipid levels within the bloodstream.

Product protocols

For this product, it's our understanding that no specific protocols are required. You can visit:

Target data

Plays an important role in fat metabolism. It preferentially splits the esters of long-chain fatty acids at positions 1 and 3, producing mainly 2-monoacylglycerol and free fatty acids, and shows considerably higher activity against insoluble emulsified substrates than against soluble ones.
See full target information PNLIP

Publications (3)

Recent publications for all applications. Explore the full list and refine your search

Addiction neuroscience 15: PubMed40575352

2025

EcoHIV infection effects on cocaine seeking and neuroimmune responses in male mice depend on cocaine exposure pattern.

Applications

Unspecified application

Species

Unspecified reactive species

Mark D Namba,Qiaowei Xie,Kyewon Park,Joshua G Jackson,Jacqueline M Barker

Cellular and molecular bioengineering 14:583-596 PubMed34900012

2021

Digestive Enzyme Activity and Protein Degradation in Plasma of Heart Failure Patients.

Applications

Unspecified application

Species

Unspecified reactive species

Vasiliki Courelli,Alla Ahmad,Majid Ghassemian,Chris Pruitt,Paul J Mills,Geert W Schmid-Schönbein

Forensic science, medicine, and pathology 17:486-492 PubMed34191249

2021

Fox sign in a case of terminal stage pancreatic cancer and suggestions for diagnosis.

Applications

Unspecified application

Species

Unspecified reactive species

Julian Prangenberg,Elke Doberentz,Burkhard Madea
View all publications

Product promise

We are committed to supporting your work with high-quality reagents, and we're here for you every step of the way. In the unlikely event that one of our products does not perform as expected, you're protected by our Product Promise.
For full details, please see our Terms & Conditions

Please note: All products are 'FOR RESEARCH USE ONLY. NOT FOR USE IN DIAGNOSTIC OR THERAPEUTIC PROCEDURES'.

For licensing inquiries, please contact partnerships@abcam.com