JavaScript is disabled in your browser. Please enable JavaScript to view this website.
AB77192

Anti-Pancreatic Polypeptide antibody

3

(3 Reviews)

|

(24 Publications)

Goat Polyclonal Pancreatic Polypeptide antibody. Suitable for WB, ELISA, ICC/IF, IHC-P, Flow Cyt (Intra) and reacts with Human, Mouse samples. Cited in 24 publications. Immunogen corresponding to Synthetic Peptide within Human PPY aa 50 to C-terminus.

View Alternative Names

PNP, PPY, Pancreatic polypeptide prohormone, PH, Pancreatic polypeptide Y

2 Images
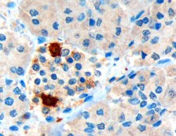
Immunohistochemistry (Formalin/PFA-fixed paraffin-embedded sections) - Anti-Pancreatic Polypeptide antibody (AB77192)
  • IHC-P

Unknown

Immunohistochemistry (Formalin/PFA-fixed paraffin-embedded sections) - Anti-Pancreatic Polypeptide antibody (AB77192)

Staining of formalin-fixed, paraffin-embedded human pancreas tissue with 3μg/ml ab77192. Note strong cytoplasmic staining of rare cells located at the periphery of islets of Langerhans.

Microwaved antigen retrieval with Tris/EDTA buffer pH6, HRP-staining.

Flow Cytometry (Intracellular) - Anti-Pancreatic Polypeptide antibody (AB77192)
  • Flow Cyt (Intra)

Supplier Data

Flow Cytometry (Intracellular) - Anti-Pancreatic Polypeptide antibody (AB77192)

Flow cytometric analysis of paraformaldehyde fixed U2OS cells (blue line), permeabilized with 0.5% Triton. Primary incubation 1hr (10ug/ml) followed by Alexa Fluor 488 secondary antibody (1ug/ml). IgG control : Unimmunized goat IgG (black line) followed by Alexa Fluor 488 secondary antibody.

Key facts

Host species

Goat

Clonality

Polyclonal

Isotype

IgG

Carrier free

No

Reacts with

Mouse, Human

Applications

Flow Cyt (Intra), IHC-P, ICC/IF, ELISA, WB

applications

Immunogen

Synthetic Peptide within Human PPY aa 50 to C-terminus. The exact immunogen used to generate this antibody is proprietary information.

P01298

Reactivity data

{ "title": "Reactivity Data", "filters": { "stats": ["", "Species", "Dilution Info", "Notes"], "tabs": { "all-applications": {"fullname" : "All Applications", "shortname": "All Applications"}, "WB" : {"fullname" : "Western blot", "shortname":"WB"}, "ELISA" : {"fullname" : "ELISA", "shortname":"ELISA"}, "ICCIF" : {"fullname" : "Immunocytochemistry/ Immunofluorescence", "shortname":"ICC/IF"}, "IHCP" : {"fullname" : "Immunohistochemistry (Formalin/PFA-fixed paraffin-embedded sections)", "shortname":"IHC-P"}, "FlowCytIntra" : {"fullname" : "Flow Cytometry (Intracellular)", "shortname":"Flow Cyt (Intra)"} }, "product-promise": { "all": "all", "testedAndGuaranteed": "tested", "guaranteed": "expected", "predicted": "predicted", "notRecommended": "not-recommended" } }, "values": { "Human": { "WB-species-checked": "guaranteed", "WB-species-dilution-info": "", "WB-species-notes": "<p>Preliminary experiments gave an approx 35-38 kDa band in human pancreas lysate, which was successfully blocked by incubation with the immunizing peptide. Please note that currently we cannot find an explanation in the literature for the band we observe given the calculated size of 10.5 kDa.</p>", "ELISA-species-checked": "guaranteed", "ELISA-species-dilution-info": "", "ELISA-species-notes": "<p>Antibody detection limit dilution 1:32,000 by peptide ELISA.</p>", "ICCIF-species-checked": "guaranteed", "ICCIF-species-dilution-info": "", "ICCIF-species-notes": "<p>See Abreview.</p>", "IHCP-species-checked": "testedAndGuaranteed", "IHCP-species-dilution-info": "3-5 µg/mL", "IHCP-species-notes": "<p>In paraffin embedded human pancreas, shows strong cytoplasmic staining of rare cells located at the periphery of islets of Langerhans.</p>", "FlowCytIntra-species-checked": "testedAndGuaranteed", "FlowCytIntra-species-dilution-info": "10 µg/mL", "FlowCytIntra-species-notes": "<p></p>" }, "Mouse": { "WB-species-checked": "guaranteed", "WB-species-dilution-info": "", "WB-species-notes": "<p>Preliminary experiments gave an approx 35-38 kDa band in human pancreas lysate, which was successfully blocked by incubation with the immunizing peptide. Please note that currently we cannot find an explanation in the literature for the band we observe given the calculated size of 10.5 kDa.</p>", "ELISA-species-checked": "guaranteed", "ELISA-species-dilution-info": "", "ELISA-species-notes": "<p>Antibody detection limit dilution 1:32,000 by peptide ELISA.</p>", "ICCIF-species-checked": "guaranteed", "ICCIF-species-dilution-info": "", "ICCIF-species-notes": "<p>See Abreview.</p>", "IHCP-species-checked": "predicted", "IHCP-species-dilution-info": "", "IHCP-species-notes": "", "FlowCytIntra-species-checked": "predicted", "FlowCytIntra-species-dilution-info": "", "FlowCytIntra-species-notes": "" }, "Rat": { "WB-species-checked": "predicted", "WB-species-dilution-info": "", "WB-species-notes": "", "ELISA-species-checked": "predicted", "ELISA-species-dilution-info": "", "ELISA-species-notes": "", "ICCIF-species-checked": "predicted", "ICCIF-species-dilution-info": "", "ICCIF-species-notes": "", "IHCP-species-checked": "predicted", "IHCP-species-dilution-info": "", "IHCP-species-notes": "", "FlowCytIntra-species-checked": "predicted", "FlowCytIntra-species-dilution-info": "", "FlowCytIntra-species-notes": "" }, "Chimpanzee": { "WB-species-checked": "predicted", "WB-species-dilution-info": "", "WB-species-notes": "", "ELISA-species-checked": "predicted", "ELISA-species-dilution-info": "", "ELISA-species-notes": "", "ICCIF-species-checked": "predicted", "ICCIF-species-dilution-info": "", "ICCIF-species-notes": "", "IHCP-species-checked": "predicted", "IHCP-species-dilution-info": "", "IHCP-species-notes": "", "FlowCytIntra-species-checked": "predicted", "FlowCytIntra-species-dilution-info": "", "FlowCytIntra-species-notes": "" }, "Dog": { "WB-species-checked": "predicted", "WB-species-dilution-info": "", "WB-species-notes": "", "ELISA-species-checked": "predicted", "ELISA-species-dilution-info": "", "ELISA-species-notes": "", "ICCIF-species-checked": "predicted", "ICCIF-species-dilution-info": "", "ICCIF-species-notes": "", "IHCP-species-checked": "predicted", "IHCP-species-dilution-info": "", "IHCP-species-notes": "", "FlowCytIntra-species-checked": "predicted", "FlowCytIntra-species-dilution-info": "", "FlowCytIntra-species-notes": "" }, "Macaque monkey": { "WB-species-checked": "predicted", "WB-species-dilution-info": "", "WB-species-notes": "", "ELISA-species-checked": "predicted", "ELISA-species-dilution-info": "", "ELISA-species-notes": "", "ICCIF-species-checked": "predicted", "ICCIF-species-dilution-info": "", "ICCIF-species-notes": "", "IHCP-species-checked": "predicted", "IHCP-species-dilution-info": "", "IHCP-species-notes": "", "FlowCytIntra-species-checked": "predicted", "FlowCytIntra-species-dilution-info": "", "FlowCytIntra-species-notes": "" } } }

Properties and storage information

Form
Liquid
Purification technique
Affinity purification Immunogen
Purification notes
Purified from goat serum by ammonium sulphate precipitation followed by antigen affinity chromatography using the immunizing peptide.
Storage buffer
pH: 7.3 Preservative: 0.02% Sodium azide Constituents: Tris buffered saline, 0.5% BSA
Shipped at conditions
Blue Ice
Appropriate short-term storage conditions
+4°C
Appropriate long-term storage conditions
-20°C
Aliquoting information
Upon delivery aliquot
Storage information
Avoid freeze / thaw cycle

Supplementary information

This supplementary information is collated from multiple sources and compiled automatically.

Pancreatic Polypeptide also known as PP is a small protein with a molecular mass approximately 4200 Da. It is secreted by PP cells in the pancreas particularly in the F-cells located in the Langerhans islets. This peptide is highly conserved among different species including the rat where it displays similar function and expression patterns. Pancreatic polypeptide regulates various physiological processes by binding to specific receptors on target tissues.
Biological function summary

In various mammalian species including rats pancreatic polypeptide plays a significant role in the regulation of appetite and pancreatic secretion. It is not recognized as part of a multi-protein complex but it directly influences the function of digestive organs by inhibiting pancreatic exocrine secretions and gallbladder contraction. This makes it an important mediator in controlling the body's energy balance and digestive functions.

Pathways

Pancreatic polypeptide is involved in the peptidergic pathway regulating energy homeostasis and digestive processes. It interacts with the Y receptor family particularly the Y4 receptor which contributes to its regulatory actions on appetite and digestive enzyme secretion. This peptide works alongside other polypeptides such as neuropeptide Y and peptide YY in mediating these complex physiological pathways.

Pancreatic polypeptide levels relate to conditions such as obesity and diabetes. Altered secretion of this peptide can contribute to obesity by affecting appetite regulation and energy homeostasis. Furthermore in diabetes pancreatic polypeptide is connected to abnormal pancreatic function often observed alongside insulin and glucagon dysregulation. Understanding these relationships can provide insight into therapeutic strategies targeting metabolic and endocrine disorders.

Product protocols

For this product, it's our understanding that no specific protocols are required. You can visit:

Target data

Pancreatic polypeptide. Hormone secreted by pancreatic cells that acts as a regulator of pancreatic and gastrointestinal functions probably by signaling through the G protein-coupled receptor NPY4R2.
See full target information PPY

Additional targets

Pancreatic Polypeptide

Publications (24)

Recent publications for all applications. Explore the full list and refine your search

BMC genomics 25:427 PubMed38689254

2024

NKX2-2 based nuclei sorting on frozen human archival pancreas enables the enrichment of islet endocrine populations for single-nucleus RNA sequencing.

Applications

Unspecified application

Species

Unspecified reactive species

Gengqiang Xie,Maria Pilar Toledo,Xue Hu,Hyo Jeong Yong,Pamela Sandoval Sanchez,Chengyang Liu,Ali Naji,Jerome Irianto,Yue J Wang

iScience 26:106500 PubMed37096042

2023

Loss of Fgf9 in mice leads to pancreatic hypoplasia and asplenia.

Applications

Unspecified application

Species

Unspecified reactive species

Sophie Patzek,Zhe Liu,Sean de la O,Sean Chang,Lauren E Byrnes,Xiuqin Zhang,David M Ornitz,Julie B Sneddon

Cell reports 37:109919 PubMed34731614

2021

Single-cell analysis of the human pancreas in type 2 diabetes using multi-spectral imaging mass cytometry.

Applications

Unspecified application

Species

Unspecified reactive species

Minghui Wu,Michelle Y Y Lee,Varun Bahl,Daniel Traum,Jonathan Schug,Irina Kusmartseva,Mark A Atkinson,Guanjie Fan,Klaus H Kaestner

Nature metabolism 3:352-365 PubMed33723463

2021

Pre-existing beta cells but not progenitors contribute to new beta cells in the adult pancreas.

Applications

Unspecified application

Species

Unspecified reactive species

Huan Zhao,Xiuzhen Huang,Zixin Liu,Wenjuan Pu,Zan Lv,Lingjuan He,Yan Li,Qiao Zhou,Kathy O Lui,Bin Zhou

Cell research 31:886-903 PubMed33692492

2021

Sequential progenitor states mark the generation of pancreatic endocrine lineages in mice and humans.

Applications

Unspecified application

Species

Unspecified reactive species

Xin-Xin Yu,Wei-Lin Qiu,Liu Yang,Yan-Chun Wang,Mao-Yang He,Dan Wang,Yu Zhang,Lin-Chen Li,Jing Zhang,Yi Wang,Cheng-Ran Xu

PloS one 15:e0242749 PubMed33264332

2020

Heterogeneous expression of CFTR in insulin-secreting β-cells of the normal human islet.

Applications

Unspecified application

Species

Unspecified reactive species

Mauricio Di Fulvio,Marika Bogdani,Myrian Velasco,Timothy S McMillen,Cecilia Ridaura,Lisa Kelly,Mohammed M Almutairi,Shams Kursan,Abu A Sajib,Marcia Hiriart,Lydia Aguilar-Bryan

Cancer research 80:3620-3630 PubMed32591410

2020

Rb and p53 Execute Distinct Roles in the Development of Pancreatic Neuroendocrine Tumors.

Applications

Unspecified application

Species

Unspecified reactive species

Yuki Yamauchi,Yuzo Kodama,Masahiro Shiokawa,Nobuyuki Kakiuchi,Saiko Marui,Takeshi Kuwada,Yuko Sogabe,Teruko Tomono,Atsushi Mima,Toshihiro Morita,Tomoaki Matsumori,Tatsuki Ueda,Motoyuki Tsuda,Yoshihiro Nishikawa,Katsutoshi Kuriyama,Yojiro Sakuma,Yuji Ota,Takahisa Maruno,Norimitsu Uza,Atsuhiro Masuda,Hisato Tatsuoka,Daisuke Yabe,Sachiko Minamiguchi,Toshihiko Masui,Nobuya Inagaki,Shinji Uemoto,Tsutomu Chiba,Hiroshi Seno

Cell transplantation 29:963689720927392 PubMed32584149

2020

Long-Term Liraglutide Administration Induces Pancreas Neogenesis in Adult T2DM Mice.

Applications

Unspecified application

Species

Unspecified reactive species

Hongjun Deng,Fengying Yang,Xiaoyi Ma,Ying Wang,Qi Chen,Li Yuan

Life science alliance 3: PubMed32371554

2020

Pancreatic cancer triggers diabetes through TGF-β-mediated selective depletion of islet β-cells.

Applications

Unspecified application

Species

Unspecified reactive species

Parash Parajuli,Thien Ly Nguyen,Céline Prunier,Mohammed S Razzaque,Keli Xu,Azeddine Atfi

Molecular and cellular endocrinology 510:110815 PubMed32315719

2020

Syndecan-4 is regulated by IL-1β in β-cells and human islets.

Applications

Unspecified application

Species

Unspecified reactive species

Estelle Brioudes,Mohamed Alibashe-Ahmed,Vanessa Lavallard,Thierry Berney,Domenico Bosco
View all publications

Product promise

We are committed to supporting your work with high-quality reagents, and we're here for you every step of the way. In the unlikely event that one of our products does not perform as expected, you're protected by our Product Promise.
For full details, please see our Terms & Conditions

Please note: All products are 'FOR RESEARCH USE ONLY. NOT FOR USE IN DIAGNOSTIC OR THERAPEUTIC PROCEDURES'.

For licensing inquiries, please contact partnerships@abcam.com