JavaScript is disabled in your browser. Please enable JavaScript to view this website.
AB272732

Anti-Pancreatic Polypeptide antibody [EPR23320-10]

Be the first to review this product! Submit a review

|

(6 Publications)

Rabbit Recombinant Monoclonal Pancreatic Polypeptide antibody. Suitable for IHC-Fr, IHC-P and reacts with Mouse, Rat, Human samples. Cited in 6 publications.

View Alternative Names

PNP, PPY, Pancreatic polypeptide prohormone, PH, Pancreatic polypeptide Y

5 Images
Immunohistochemistry (Formalin/PFA-fixed paraffin-embedded sections) - Anti-Pancreatic Polypeptide antibody [EPR23320-10] (AB272732)
  • IHC-P

Unknown

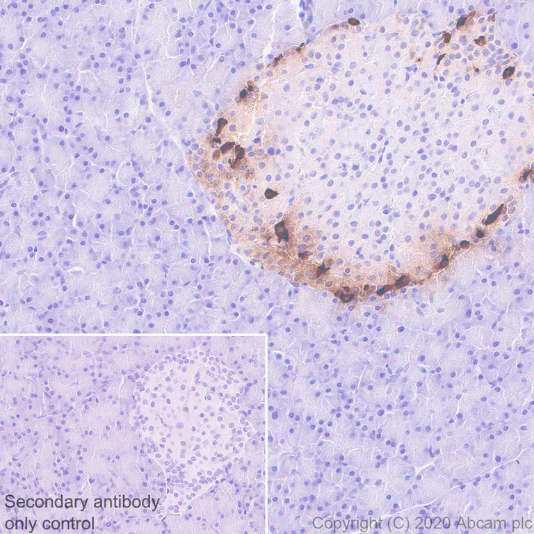
Immunohistochemistry (Formalin/PFA-fixed paraffin-embedded sections) - Anti-Pancreatic Polypeptide antibody [EPR23320-10] (AB272732)

Immunohistochemical analysis of paraffin-embedded human pancreas tissue labeling Pancreatic Polypeptide with ab272732 at 1/2000 dilution followed by ready to use Rabbit specific IHC polymer detection kit HRP/DAB (ab209101). Positive staining on PP cells of human pancreas. The section was incubated with ab272732 for 30 mins at room temperature. The immunostaining was performed on a Leica Biosystems BOND® RX instrument. Counterstained with Hematoxylin.

Secondary antibody only control : Secondary antibody is ready to use Rabbit specific IHC polymer detection kit HRP/DAB (ab209101).

Heat mediated antigen retrieval with Tris-EDTA buffer (pH 9.0, epitope retrieval solution2) for 20 mins.

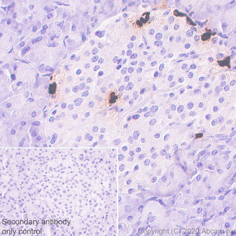
Immunohistochemistry (Formalin/PFA-fixed paraffin-embedded sections) - Anti-Pancreatic Polypeptide antibody [EPR23320-10] (AB272732)
  • IHC-P

Unknown

Immunohistochemistry (Formalin/PFA-fixed paraffin-embedded sections) - Anti-Pancreatic Polypeptide antibody [EPR23320-10] (AB272732)

Immunohistochemical analysis of paraffin-embedded mouse pancreas tissue labeling Pancreatic Polypeptide with ab272732 at 1/2000 dilution followed by ready to use Rabbit specific IHC polymer detection kit HRP/DAB (ab209101). Positive staining on PP cells of mouse pancreas (PMID : 27270601). The section was incubated with ab272732 for 30 mins at room temperature. The immunostaining was performed on a Leica Biosystems BOND® RX instrument. Counterstained with Hematoxylin.

Secondary antibody only control : Secondary antibody is ready to use Rabbit specific IHC polymer detection kit HRP/DAB (ab209101).

Heat mediated antigen retrieval with Tris-EDTA buffer (pH 9.0, epitope retrieval solution2) for 20 mins.

Immunohistochemistry (Frozen sections) - Anti-Pancreatic Polypeptide antibody [EPR23320-10] (AB272732)
  • IHC-Fr

Unknown

Immunohistochemistry (Frozen sections) - Anti-Pancreatic Polypeptide antibody [EPR23320-10] (AB272732)

Immunohistochemical analysis of 4% PFA-fixed, 0.2% Triton X-100 permeabilized frozen rat pancreas tissue labeling Pancreatic Polypeptide with ab272732 at 1/1000 dilution followed by ab150077 Goat Anti-Rabbit IgG H&L (Alexa Fluor® 488) at 1/1000 (2 μg/ml) dilution (Green). Positive staining on PP cells in rat pancreatic islet is observed. The nuclear counterstain was DAPI (Blue).

Secondary antibody control : Secondary antibody is ab150077 Goat Anti-Rabbit IgG H&L (Alexa Fluor® 488) at 1/1000 (2 μg/ml) dilution.

Heat mediated antigen retrieval using sodium citrate buffer (10mM citrate pH 6.0 + 0.05% Tween-20).

Immunohistochemistry (Frozen sections) - Anti-Pancreatic Polypeptide antibody [EPR23320-10] (AB272732)
  • IHC-Fr

Unknown

Immunohistochemistry (Frozen sections) - Anti-Pancreatic Polypeptide antibody [EPR23320-10] (AB272732)

Immunohistochemical analysis of 4% PFA-fixed, 0.2% Triton X-100 permeabilized frozen mouse pancreas tissue labeling Pancreatic Polypeptide with ab272732 at 1/1000 dilution followed by ab150077 Goat Anti-Rabbit IgG H&L (Alexa Fluor® 488) at 1/1000 (2 μg/ml) dilution (Green). Positive staining on PP cells in mouse pancreatic islet is observed. The nuclear counterstain was DAPI (Blue).

Secondary antibody control : Secondary antibody is ab150077 Goat Anti-Rabbit IgG H&L (Alexa Fluor® 488) at 1/1000 (2 μg/ml) dilution.

Heat mediated antigen retrieval using sodium citrate buffer (10mM citrate pH 6.0 + 0.05% Tween-20).

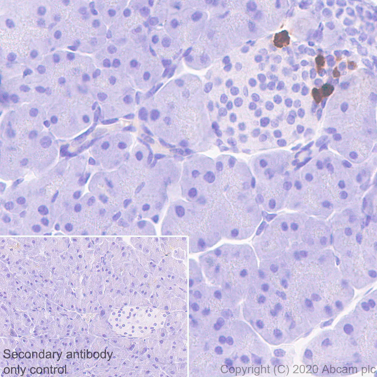
Immunohistochemistry (Formalin/PFA-fixed paraffin-embedded sections) - Anti-Pancreatic Polypeptide antibody [EPR23320-10] (AB272732)
  • IHC-P

Unknown

Immunohistochemistry (Formalin/PFA-fixed paraffin-embedded sections) - Anti-Pancreatic Polypeptide antibody [EPR23320-10] (AB272732)

Immunohistochemical analysis of paraffin-embedded rat pancreas tissue labeling Pancreatic Polypeptide with ab272732 at 1/2000 dilution followed by ready to use Rabbit specific IHC polymer detection kit HRP/DAB (ab209101). Positive staining on PP cells of rat pancreas. The section was incubated with ab272732 for 30 mins at room temperature. The immunostaining was performed on a Leica Biosystems BOND® RX instrument. Counterstained with Hematoxylin.

Secondary antibody only control : Secondary antibody is ready to use Rabbit specific IHC polymer detection kit HRP/DAB (ab209101).

Heat mediated antigen retrieval with Tris-EDTA buffer (pH 9.0, epitope retrieval solution2) for 20 mins.

  • Carrier free

    Anti-Pancreatic Polypeptide antibody [EPR23320-10] - BSA and Azide free

  • 665 Alexa Fluor® 647

    Alexa Fluor® 647 Anti-Pancreatic Polypeptide antibody [EPR23320-10]

  • 519 Alexa Fluor® 488

    Alexa Fluor® 488 Anti-Pancreatic Polypeptide antibody [EPR23320-10]

Key facts

Host species

Rabbit

Clonality

Monoclonal

Clone number

EPR23320-10

Isotype

IgG

Carrier free

No

Reacts with

Mouse, Rat, Human

Applications

IHC-P, IHC-Fr

applications

Immunogen

The exact immunogen used to generate this antibody is proprietary information.

Reactivity data

{ "title": "Reactivity Data", "filters": { "stats": ["", "Species", "Dilution Info", "Notes"], "tabs": { "all-applications": {"fullname" : "All Applications", "shortname": "All Applications"}, "IHCFr" : {"fullname" : "Immunohistochemistry (Frozen sections)", "shortname":"IHC-Fr"}, "IP" : {"fullname" : "Immunoprecipitation", "shortname":"IP"}, "WB" : {"fullname" : "Western blot", "shortname":"WB"}, "ICCIF" : {"fullname" : "Immunocytochemistry/ Immunofluorescence", "shortname":"ICC/IF"}, "IHCP" : {"fullname" : "Immunohistochemistry (Formalin/PFA-fixed paraffin-embedded sections)", "shortname":"IHC-P"} }, "product-promise": { "all": "all", "testedAndGuaranteed": "tested", "guaranteed": "expected", "predicted": "predicted", "notRecommended": "not-recommended" } }, "values": { "Human": { "IHCFr-species-checked": "guaranteed", "IHCFr-species-dilution-info": "", "IHCFr-species-notes": "", "IP-species-checked": "notRecommended", "IP-species-dilution-info": "", "IP-species-notes": "<p></p>", "WB-species-checked": "notRecommended", "WB-species-dilution-info": "", "WB-species-notes": "<p></p>", "ICCIF-species-checked": "notRecommended", "ICCIF-species-dilution-info": "", "ICCIF-species-notes": "<p></p>", "IHCP-species-checked": "testedAndGuaranteed", "IHCP-species-dilution-info": "1/2000", "IHCP-species-notes": "<p></p>" }, "Mouse": { "IHCFr-species-checked": "testedAndGuaranteed", "IHCFr-species-dilution-info": "1/1000", "IHCFr-species-notes": "<p>Heat mediated antigen retrieval using sodium citrate buffer (10mM citrate pH 6.0 + 0.05% Tween-20).</p>", "IP-species-checked": "notRecommended", "IP-species-dilution-info": "", "IP-species-notes": "<p></p>", "WB-species-checked": "notRecommended", "WB-species-dilution-info": "", "WB-species-notes": "<p></p>", "ICCIF-species-checked": "notRecommended", "ICCIF-species-dilution-info": "", "ICCIF-species-notes": "<p></p>", "IHCP-species-checked": "testedAndGuaranteed", "IHCP-species-dilution-info": "1/2000", "IHCP-species-notes": "<p></p>" }, "Rat": { "IHCFr-species-checked": "testedAndGuaranteed", "IHCFr-species-dilution-info": "1/1000", "IHCFr-species-notes": "<p>Heat mediated antigen retrieval using sodium citrate buffer (10mM citrate pH 6.0 + 0.05% Tween-20).</p>", "IP-species-checked": "notRecommended", "IP-species-dilution-info": "", "IP-species-notes": "", "WB-species-checked": "notRecommended", "WB-species-dilution-info": "", "WB-species-notes": "<p></p>", "ICCIF-species-checked": "notRecommended", "ICCIF-species-dilution-info": "", "ICCIF-species-notes": "", "IHCP-species-checked": "testedAndGuaranteed", "IHCP-species-dilution-info": "1/2000", "IHCP-species-notes": "<p></p>" } } }

Product details

Patented technology
Our RabMAb® technology is a patented hybridoma-based technology for making rabbit monoclonal antibodies. For details on our patents, please refer to RabMAb® patents.

What are the advantages of a recombinant monoclonal antibody?
This product is a recombinant monoclonal antibody, which offers several advantages including:

  • - High batch-to-batch consistency and reproducibility
  • - Improved sensitivity and specificity
  • - Long-term security of supply
  • - Animal-free batch production

For more information, read more on recombinant antibodies.

Properties and storage information

Form
Liquid
Purification technique
Affinity purification Protein A
Storage buffer
pH: 7.2 - 7.4 Preservative: 0.01% Sodium azide Constituents: PBS, 40% Glycerol (glycerin, glycerine), 0.05% BSA
Shipped at conditions
Blue Ice
Appropriate short-term storage duration
1-2 weeks
Appropriate short-term storage conditions
+4°C
Appropriate long-term storage conditions
-20°C
Aliquoting information
Upon delivery aliquot
Storage information
Avoid freeze / thaw cycle

Supplementary information

This supplementary information is collated from multiple sources and compiled automatically.

Pancreatic Polypeptide also known as PP is a small protein with a molecular mass approximately 4200 Da. It is secreted by PP cells in the pancreas particularly in the F-cells located in the Langerhans islets. This peptide is highly conserved among different species including the rat where it displays similar function and expression patterns. Pancreatic polypeptide regulates various physiological processes by binding to specific receptors on target tissues.
Biological function summary

In various mammalian species including rats pancreatic polypeptide plays a significant role in the regulation of appetite and pancreatic secretion. It is not recognized as part of a multi-protein complex but it directly influences the function of digestive organs by inhibiting pancreatic exocrine secretions and gallbladder contraction. This makes it an important mediator in controlling the body's energy balance and digestive functions.

Pathways

Pancreatic polypeptide is involved in the peptidergic pathway regulating energy homeostasis and digestive processes. It interacts with the Y receptor family particularly the Y4 receptor which contributes to its regulatory actions on appetite and digestive enzyme secretion. This peptide works alongside other polypeptides such as neuropeptide Y and peptide YY in mediating these complex physiological pathways.

Pancreatic polypeptide levels relate to conditions such as obesity and diabetes. Altered secretion of this peptide can contribute to obesity by affecting appetite regulation and energy homeostasis. Furthermore in diabetes pancreatic polypeptide is connected to abnormal pancreatic function often observed alongside insulin and glucagon dysregulation. Understanding these relationships can provide insight into therapeutic strategies targeting metabolic and endocrine disorders.

Product protocols

For this product, it's our understanding that no specific protocols are required. You can visit:

Target data

Pancreatic polypeptide. Hormone secreted by pancreatic cells that acts as a regulator of pancreatic and gastrointestinal functions probably by signaling through the G protein-coupled receptor NPY4R2.
See full target information PPY

Additional targets

Pancreatic Polypeptide

Publications (6)

Recent publications for all applications. Explore the full list and refine your search

Cellular and molecular gastroenterology and hepatology 19:101439 PubMed39667579

2024

Elevated Bile Acids Induce Circadian Rhythm Sleep Disorders in Chronic Liver Diseases.

Applications

Unspecified application

Species

Unspecified reactive species

Lan Zhou,Min Yan,Qin Luo,Wen Qiu,Yu-Ru Guo,Xiao-Qing Guo,Hong-Bin Yu,Jing-Ru Huo,Yan-Lin Feng,De-Ping Wang,Teng Sun,Kai-Fang Wang,Jian-Yun Shi,Xuan Shang,Mei-Na Wu,Lin Wang,Ji-Min Cao

Journal of veterinary research 68:461-468 PubMed39318524

2024

Immunodetection of selected pancreatic hormones under intragastric administration of apelin-13, a novel endogenous ligand for an angiotensin-like orphan G-protein coupled receptor, in unweaned rats.

Applications

Unspecified application

Species

Unspecified reactive species

Sylwia Szymańczyk,Katarzyna Kras,Cezary Osiak-Wicha,Małgorzata Kapica,Iwona Puzio,Hanna Antushevich,Atsukazu Kuwahara,Ikuo Kato,Marcin B Arciszewski

Signal transduction and targeted therapy 9:98 PubMed38609366

2024

Infection with SARS-CoV-2 can cause pancreatic impairment.

Applications

Unspecified application

Species

Unspecified reactive species

Wei Deng,Linlin Bao,Zhiqi Song,Ling Zhang,Pin Yu,Yanfeng Xu,Jue Wang,Wenjie Zhao,Xiuqin Zhang,Yunlin Han,Yanhong Li,Jiangning Liu,Qi Lv,Xujian Liang,Fengdi Li,Feifei Qi,Ran Deng,Siyuan Wang,Yibai Xiong,Ruiping Xiao,Hongyang Wang,Chuan Qin

The American journal of surgical pathology 48:377-386 PubMed38271200

2024

GAD2 Is a Highly Specific Marker for Neuroendocrine Neoplasms of the Pancreas.

Applications

Unspecified application

Species

Unspecified reactive species

Maximilian Lennartz,Nick Benjamin Dünnebier,Doris Höflmayer,Sebastian Dwertmann Rico,Simon Kind,Viktor Reiswich,Florian Viehweger,Florian Lutz,Christoph Fraune,Natalia Gorbokon,Andreas M Luebke,Claudia Hube-Magg,Franziska Büscheck,Anne Menz,Ria Uhlig,Till Krech,Andrea Hinsch,Eike Burandt,Guido Sauter,Ronald Simon,Martina Kluth,Stefan Steurer,Andreas H Marx,Patrick Lebok,David Dum,Sarah Minner,Frank Jacobsen,Till S Clauditz,Christian Bernreuther

Molecular metabolism 78:101821 PubMed37806486

2023

Protective roles of adiponectin and molecular signatures of HNF4α and PPARα as downstream targets of adiponectin in pancreatic β cells.

Applications

Unspecified application

Species

Unspecified reactive species

Toshiharu Onodera,Dae-Seok Kim,Risheng Ye,May-Yun Wang,Shiuhwei Chen,Bianca C Field,Leon Straub,Xue-Nan Sun,Chao Li,Charlotte Lee,Megan Paredes,Clair Crewe,Shangang Zhao,Christine M Kusminski,Ruth Gordillo,Philipp E Scherer

Cell death & disease 12:867 PubMed34556631

2021

Inhibition of Notch activity promotes pancreatic cytokeratin 5-positive cell differentiation to beta cells and improves glucose homeostasis following acute pancreatitis.

Applications

Unspecified application

Species

Unspecified reactive species

Xiaoyi Zhang,Jing Tao,Jia Yu,Ning Hu,Xuanzhe Zhang,Guirong Wang,Jiarui Feng,Xingcheng Xiong,Man Li,Dongqi Chai,Hanjun Li,Yuping Rong,Zhigang Tang,Weixing Wang,Zhiyong Peng,Qiao Shi
View all publications

Product promise

We are committed to supporting your work with high-quality reagents, and we're here for you every step of the way. In the unlikely event that one of our products does not perform as expected, you're protected by our Product Promise.
For full details, please see our Terms & Conditions

Please note: All products are 'FOR RESEARCH USE ONLY. NOT FOR USE IN DIAGNOSTIC OR THERAPEUTIC PROCEDURES'.

For licensing inquiries, please contact partnerships@abcam.com