JavaScript is disabled in your browser. Please enable JavaScript to view this website.
AB273055

Anti-Pancreatic Polypeptide antibody [EPR23320-10] - BSA and Azide free

Be the first to review this product! Submit a review

|

(0 Publication)

Rabbit Recombinant Monoclonal Pancreatic Polypeptide antibody. Carrier free. Suitable for IHC-P, IHC-Fr and reacts with Human, Mouse, Rat samples.

View Alternative Names

PNP, PPY, Pancreatic polypeptide prohormone, PH, Pancreatic polypeptide Y

5 Images
Immunohistochemistry (Frozen sections) - Anti-Pancreatic Polypeptide antibody [EPR23320-10] - BSA and Azide free (AB273055)
  • IHC-Fr

Unknown

Immunohistochemistry (Frozen sections) - Anti-Pancreatic Polypeptide antibody [EPR23320-10] - BSA and Azide free (AB273055)

Immunohistochemical analysis of 4% PFA-fixed, 0.2% Triton X-100 permeabilized frozen mouse pancreas tissue labeling Pancreatic Polypeptide with ab272732 at 1/1000 dilution followed by ab150077 Goat Anti-Rabbit IgG H&L (Alexa Fluor® 488) at 1/1000 (2 μg/ml) dilution (Green). Positive staining on PP cells in mouse pancreatic islet is observed. The nuclear counterstain was DAPI (Blue).

Secondary antibody control : Secondary antibody is ab150077 Goat Anti-Rabbit IgG H&L (Alexa Fluor® 488) at 1/1000 (2 μg/ml) dilution.

Heat mediated antigen retrieval using sodium citrate buffer (10mM citrate pH 6.0 + 0.05% Tween-20).

This data was developed using the same antibody clone in a different buffer formulation containing PBS, BSA, glycerol, and sodium azide (ab272732).

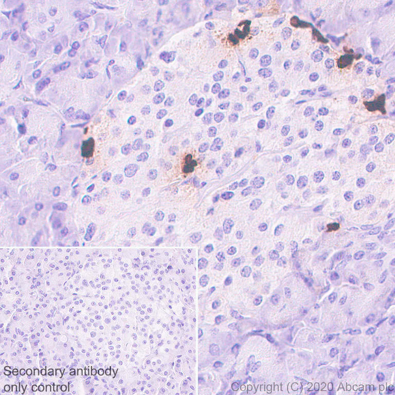
Immunohistochemistry (Formalin/PFA-fixed paraffin-embedded sections) - Anti-Pancreatic Polypeptide antibody [EPR23320-10] - BSA and Azide free (AB273055)
  • IHC-P

Unknown

Immunohistochemistry (Formalin/PFA-fixed paraffin-embedded sections) - Anti-Pancreatic Polypeptide antibody [EPR23320-10] - BSA and Azide free (AB273055)

Immunohistochemical analysis of paraffin-embedded rat pancreas tissue labeling Pancreatic Polypeptide with ab272732 at 1/2000 dilution followed by ready to use Rabbit specific IHC polymer detection kit HRP/DAB (ab209101). Positive staining on PP cells of rat pancreas. The section was incubated with ab272732 for 30 mins at room temperature. The immunostaining was performed on a Leica Biosystems BOND® RX instrument. Counterstained with Hematoxylin.

Secondary antibody only control : Secondary antibody is ready to use Rabbit specific IHC polymer detection kit HRP/DAB (ab209101).

Heat mediated antigen retrieval with Tris-EDTA buffer (pH 9.0, epitope retrieval solution2) for 20 mins.

This data was developed using the same antibody clone in a different buffer formulation containing PBS, BSA, glycerol, and sodium azide (ab272732).

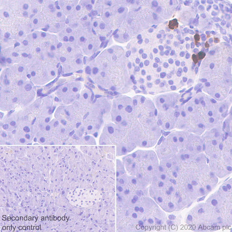
Immunohistochemistry (Formalin/PFA-fixed paraffin-embedded sections) - Anti-Pancreatic Polypeptide antibody [EPR23320-10] - BSA and Azide free (AB273055)
  • IHC-P

Unknown

Immunohistochemistry (Formalin/PFA-fixed paraffin-embedded sections) - Anti-Pancreatic Polypeptide antibody [EPR23320-10] - BSA and Azide free (AB273055)

Immunohistochemical analysis of paraffin-embedded mouse pancreas tissue labeling Pancreatic Polypeptide with ab272732 at 1/2000 dilution followed by ready to use Rabbit specific IHC polymer detection kit HRP/DAB (ab209101). Positive staining on PP cells of mouse pancreas (PMID : 27270601). The section was incubated with ab272732 for 30 mins at room temperature. The immunostaining was performed on a Leica Biosystems BOND® RX instrument. Counterstained with Hematoxylin.

Secondary antibody only control : Secondary antibody is ready to use Rabbit specific IHC polymer detection kit HRP/DAB (ab209101).

Heat mediated antigen retrieval with Tris-EDTA buffer (pH 9.0, epitope retrieval solution2) for 20 mins.

This data was developed using the same antibody clone in a different buffer formulation containing PBS, BSA, glycerol, and sodium azide (ab272732).

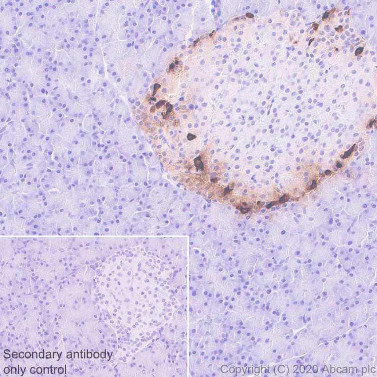
Immunohistochemistry (Formalin/PFA-fixed paraffin-embedded sections) - Anti-Pancreatic Polypeptide antibody [EPR23320-10] - BSA and Azide free (AB273055)
  • IHC-P

Unknown

Immunohistochemistry (Formalin/PFA-fixed paraffin-embedded sections) - Anti-Pancreatic Polypeptide antibody [EPR23320-10] - BSA and Azide free (AB273055)

Immunohistochemical analysis of paraffin-embedded human pancreas tissue labeling Pancreatic Polypeptide with ab272732 at 1/2000 dilution followed by ready to use Rabbit specific IHC polymer detection kit HRP/DAB (ab209101). Positive staining on PP cells of human pancreas. The section was incubated with ab272732 for 30 mins at room temperature. The immunostaining was performed on a Leica Biosystems BOND® RX instrument. Counterstained with Hematoxylin.

Secondary antibody only control : Secondary antibody is ready to use Rabbit specific IHC polymer detection kit HRP/DAB (ab209101).

Heat mediated antigen retrieval with Tris-EDTA buffer (pH 9.0, epitope retrieval solution2) for 20 mins.

This data was developed using the same antibody clone in a different buffer formulation containing PBS, BSA, glycerol, and sodium azide (ab272732).

Immunohistochemistry (Frozen sections) - Anti-Pancreatic Polypeptide antibody [EPR23320-10] - BSA and Azide free (AB273055)
  • IHC-Fr

Unknown

Immunohistochemistry (Frozen sections) - Anti-Pancreatic Polypeptide antibody [EPR23320-10] - BSA and Azide free (AB273055)

Immunohistochemical analysis of 4% PFA-fixed, 0.2% Triton X-100 permeabilized frozen rat pancreas tissue labeling Pancreatic Polypeptide with ab272732 at 1/1000 dilution followed by ab150077 Goat Anti-Rabbit IgG H&L (Alexa Fluor® 488) at 1/1000 (2 μg/ml) dilution (Green). Positive staining on PP cells in rat pancreatic islet is observed. The nuclear counterstain was DAPI (Blue).

Secondary antibody control : Secondary antibody is ab150077 Goat Anti-Rabbit IgG H&L (Alexa Fluor® 488) at 1/1000 (2 μg/ml) dilution.

Heat mediated antigen retrieval using sodium citrate buffer (10mM citrate pH 6.0 + 0.05% Tween-20).

This data was developed using the same antibody clone in a different buffer formulation containing PBS, BSA, glycerol, and sodium azide (ab272732).

  • Unconjugated

    Anti-Pancreatic Polypeptide antibody [EPR23320-10]

  • 665 Alexa Fluor® 647

    Alexa Fluor® 647 Anti-Pancreatic Polypeptide antibody [EPR23320-10]

  • 519 Alexa Fluor® 488

    Alexa Fluor® 488 Anti-Pancreatic Polypeptide antibody [EPR23320-10]

Key facts

Host species

Rabbit

Clonality

Monoclonal

Clone number

EPR23320-10

Isotype

IgG

Carrier free

Yes

Reacts with

Mouse, Rat, Human

Applications

IHC-Fr, IHC-P

applications

Immunogen

The exact immunogen used to generate this antibody is proprietary information.

Reactivity data

{ "title": "Reactivity Data", "filters": { "stats": ["", "Species", "Dilution Info", "Notes"], "tabs": { "all-applications": {"fullname" : "All Applications", "shortname": "All Applications"}, "WB" : {"fullname" : "Western blot", "shortname":"WB"}, "ICCIF" : {"fullname" : "Immunocytochemistry/ Immunofluorescence", "shortname":"ICC/IF"}, "IP" : {"fullname" : "Immunoprecipitation", "shortname":"IP"}, "IHCP" : {"fullname" : "Immunohistochemistry (Formalin/PFA-fixed paraffin-embedded sections)", "shortname":"IHC-P"}, "IHCFr" : {"fullname" : "Immunohistochemistry (Frozen sections)", "shortname":"IHC-Fr"} }, "product-promise": { "all": "all", "testedAndGuaranteed": "tested", "guaranteed": "expected", "predicted": "predicted", "notRecommended": "not-recommended" } }, "values": { "Human": { "WB-species-checked": "notRecommended", "WB-species-dilution-info": "", "WB-species-notes": "<p></p>", "ICCIF-species-checked": "notRecommended", "ICCIF-species-dilution-info": "", "ICCIF-species-notes": "<p></p>", "IP-species-checked": "notRecommended", "IP-species-dilution-info": "", "IP-species-notes": "<p></p>", "IHCP-species-checked": "testedAndGuaranteed", "IHCP-species-dilution-info": "", "IHCP-species-notes": "<p></p>", "IHCFr-species-checked": "guaranteed", "IHCFr-species-dilution-info": "", "IHCFr-species-notes": "" }, "Mouse": { "WB-species-checked": "notRecommended", "WB-species-dilution-info": "", "WB-species-notes": "<p></p>", "ICCIF-species-checked": "notRecommended", "ICCIF-species-dilution-info": "", "ICCIF-species-notes": "<p></p>", "IP-species-checked": "notRecommended", "IP-species-dilution-info": "", "IP-species-notes": "<p></p>", "IHCP-species-checked": "testedAndGuaranteed", "IHCP-species-dilution-info": "", "IHCP-species-notes": "<p></p>", "IHCFr-species-checked": "testedAndGuaranteed", "IHCFr-species-dilution-info": "", "IHCFr-species-notes": "<p>Heat mediated antigen retrieval using sodium citrate buffer (10mM citrate pH 6.0 + 0.05% Tween-20).</p>" }, "Rat": { "WB-species-checked": "notRecommended", "WB-species-dilution-info": "", "WB-species-notes": "<p></p>", "ICCIF-species-checked": "notRecommended", "ICCIF-species-dilution-info": "", "ICCIF-species-notes": "<p></p>", "IP-species-checked": "notRecommended", "IP-species-dilution-info": "", "IP-species-notes": "<p></p>", "IHCP-species-checked": "testedAndGuaranteed", "IHCP-species-dilution-info": "", "IHCP-species-notes": "<p></p>", "IHCFr-species-checked": "testedAndGuaranteed", "IHCFr-species-dilution-info": "", "IHCFr-species-notes": "<p>Heat mediated antigen retrieval using sodium citrate buffer (10mM citrate pH 6.0 + 0.05% Tween-20).</p>" } } }

Product details

ab273055 is the carrier-free version of ab272732.

Patented technology
Our RabMAb® technology is a patented hybridoma-based technology for making rabbit monoclonal antibodies. For details on our patents, please refer to RabMAb® patents.

What are the advantages of a recombinant monoclonal antibody?
This product is a recombinant monoclonal antibody, which offers several advantages including:

  • - High batch-to-batch consistency and reproducibility
  • - Improved sensitivity and specificity
  • - Long-term security of supply
  • - Animal-free batch production

For more information, read more on recombinant antibodies.

Conjugation ready
Our carrier-free antibodies are typically supplied in a PBS-only formulation, purified and free of BSA, sodium azide and glycerol. This conjugation-ready format is designed for use with fluorochromes, metal isotopes, oligonucleotides, and enzymes, which makes them ideal for antibody labelling, functional and cell-based assays, flow-based assays (e.g. mass cytometry) and Multiplex Imaging applications.

Use our conjugation kits for antibody conjugates that are ready-to-use in as little as 20 minutes with 1 minute hands-on-time and 100% antibody recovery: available for fluorescent dyes, HRP, biotin and gold.

Compatibility
This product is compatible with the Maxpar® Antibody Labeling Kit from Fluidigm, without the need for antibody preparation. Maxpar® is a trademark of Fluidigm Canada Inc.

Properties and storage information

Form
Liquid
Purification technique
Affinity purification Protein A
Storage buffer
pH: 7.2 - 7.4 Constituents: PBS
Shipped at conditions
Blue Ice
Appropriate short-term storage conditions
+4°C
Appropriate long-term storage conditions
+4°C
Storage information
Do Not Freeze

Supplementary information

This supplementary information is collated from multiple sources and compiled automatically.

Pancreatic Polypeptide also known as PP is a small protein with a molecular mass approximately 4200 Da. It is secreted by PP cells in the pancreas particularly in the F-cells located in the Langerhans islets. This peptide is highly conserved among different species including the rat where it displays similar function and expression patterns. Pancreatic polypeptide regulates various physiological processes by binding to specific receptors on target tissues.
Biological function summary

In various mammalian species including rats pancreatic polypeptide plays a significant role in the regulation of appetite and pancreatic secretion. It is not recognized as part of a multi-protein complex but it directly influences the function of digestive organs by inhibiting pancreatic exocrine secretions and gallbladder contraction. This makes it an important mediator in controlling the body's energy balance and digestive functions.

Pathways

Pancreatic polypeptide is involved in the peptidergic pathway regulating energy homeostasis and digestive processes. It interacts with the Y receptor family particularly the Y4 receptor which contributes to its regulatory actions on appetite and digestive enzyme secretion. This peptide works alongside other polypeptides such as neuropeptide Y and peptide YY in mediating these complex physiological pathways.

Pancreatic polypeptide levels relate to conditions such as obesity and diabetes. Altered secretion of this peptide can contribute to obesity by affecting appetite regulation and energy homeostasis. Furthermore in diabetes pancreatic polypeptide is connected to abnormal pancreatic function often observed alongside insulin and glucagon dysregulation. Understanding these relationships can provide insight into therapeutic strategies targeting metabolic and endocrine disorders.

Product protocols

For this product, it's our understanding that no specific protocols are required. You can visit:

Target data

Pancreatic polypeptide. Hormone secreted by pancreatic cells that acts as a regulator of pancreatic and gastrointestinal functions probably by signaling through the G protein-coupled receptor NPY4R2.
See full target information PPY

Additional targets

Pancreatic Polypeptide

Product promise

We are committed to supporting your work with high-quality reagents, and we're here for you every step of the way. In the unlikely event that one of our products does not perform as expected, you're protected by our Product Promise.
For full details, please see our Terms & Conditions

Please note: All products are 'FOR RESEARCH USE ONLY. NOT FOR USE IN DIAGNOSTIC OR THERAPEUTIC PROCEDURES'.

For licensing inquiries, please contact partnerships@abcam.com