JavaScript is disabled in your browser. Please enable JavaScript to view this website.
AB203592

Anti-PANG antibody

Be the first to review this product! Submit a review

|

(2 Publications)

Rabbit Polyclonal PANG antibody. Suitable for IHC-P and reacts with Rat samples. Cited in 2 publications. Immunogen corresponding to Synthetic Peptide within Human CNTN3 aa 300-400 conjugated to Keyhole Limpet Haemocyanin.

View Alternative Names

KIAA1496, PANG, CNTN3, Contactin-3, Brain-derived immunoglobulin superfamily protein 1, Plasmacytoma-associated neuronal glycoprotein, BIG-1

1 Images
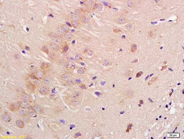
Immunohistochemistry (Formalin/PFA-fixed paraffin-embedded sections) - Anti-PANG antibody (AB203592)
  • IHC-P

Supplier Data

Immunohistochemistry (Formalin/PFA-fixed paraffin-embedded sections) - Anti-PANG antibody (AB203592)

Immunohistochemical analysis of formalin-fixed paraffin-embedded rat brain tissue labeling PANG with ab203592 at 1/200 dilution, followed by conjugation to the secondary antibody and DAB staining.

Key facts

Host species

Rabbit

Clonality

Polyclonal

Isotype

IgG

Carrier free

No

Reacts with

Rat

Applications

IHC-P

applications

Immunogen

Synthetic Peptide within Human CNTN3 aa 300-400 conjugated to Keyhole Limpet Haemocyanin. The exact immunogen used to generate this antibody is proprietary information.

Q9P232

Reactivity data

{ "title": "Reactivity Data", "filters": { "stats": ["", "Species", "Dilution Info", "Notes"], "tabs": { "all-applications": {"fullname" : "All Applications", "shortname": "All Applications"}, "IHCP" : {"fullname" : "Immunohistochemistry (Formalin/PFA-fixed paraffin-embedded sections)", "shortname":"IHC-P"} }, "product-promise": { "all": "all", "testedAndGuaranteed": "tested", "guaranteed": "expected", "predicted": "predicted", "notRecommended": "not-recommended" } }, "values": { "Rat": { "IHCP-species-checked": "testedAndGuaranteed", "IHCP-species-dilution-info": "1/100 - 1/500", "IHCP-species-notes": "<p>(or 1/50 - 1/200 if using a fluorescent secondary antibody)</p>" } } }

Properties and storage information

Form
Liquid
Purification technique
Affinity purification Protein A
Storage buffer
pH: 7.4 Preservative: 0.02% Proclin 300 Constituents: 50% Glycerol (glycerin, glycerine), 48.98% TBS, 1X, 1% BSA
Shipped at conditions
Blue Ice
Appropriate short-term storage duration
1-2 weeks
Appropriate short-term storage conditions
+4°C
Appropriate long-term storage conditions
-20°C
Aliquoting information
Upon delivery aliquot
Storage information
Avoid freeze / thaw cycle

Product protocols

For this product, it's our understanding that no specific protocols are required. You can visit:

Target data

Contactins mediate cell surface interactions during nervous system development. Has some neurite outgrowth-promoting activity (By similarity).
See full target information CNTN3

Publications (2)

Recent publications for all applications. Explore the full list and refine your search

Journal of neurodevelopmental disorders 14:8 PubMed35030990

2022

Down-regulation of the brain-specific cell-adhesion molecule contactin-3 in tuberous sclerosis complex during the early postnatal period.

Applications

Unspecified application

Species

Unspecified reactive species

Anatoly Korotkov,Mark J Luinenburg,Alessia Romagnolo,Till S Zimmer,Jackelien van Scheppingen,Anika Bongaarts,Diede W M Broekaart,Jasper J Anink,Caroline Mijnsbergen,Floor E Jansen,Wim van Hecke,Wim G Spliet,Peter C van Rijen,Martha Feucht,Johannes A Hainfellner,Pavel Krsek,Josef Zamecnik,Peter B Crino,Katarzyna Kotulska,Lieven Lagae,Anna C Jansen,David J Kwiatkowski,Sergiusz Jozwiak,Paolo Curatolo,Angelika Mühlebner,Erwin A van Vliet,James D Mills,Eleonora Aronica

Oncology letters 18:1863-1871 PubMed31423255

2019

Prognostic significance of contactin 3 expression and associated genes in glioblastoma multiforme.

Applications

Unspecified application

Species

Unspecified reactive species

Yi-Fang Zhu,Yuan-Biao Guo,Han-Yu Zhang,Peng Yang,Dan-Feng Wei,Tong-Tong Zhang,Bi-Ran Pan,Lei Liu
View all publications

Product promise

We are committed to supporting your work with high-quality reagents, and we're here for you every step of the way. In the unlikely event that one of our products does not perform as expected, you're protected by our Product Promise.
For full details, please see our Terms & Conditions

Please note: All products are 'FOR RESEARCH USE ONLY. NOT FOR USE IN DIAGNOSTIC OR THERAPEUTIC PROCEDURES'.

For licensing inquiries, please contact partnerships@abcam.com