JavaScript is disabled in your browser. Please enable JavaScript to view this website.
AB223091

Anti-PANK2 antibody

Be the first to review this product! Submit a review

|

(1 Publication)

Rabbit Polyclonal PANK2 antibody. Suitable for WB, IHC-P, ICC/IF and reacts with Mouse, Human samples. Cited in 1 publication. Immunogen corresponding to Recombinant Fragment Protein within Human PANK2 aa 400-500.

View Alternative Names

C20orf48, PANK2, hPanK2, Pantothenic acid kinase 2

3 Images
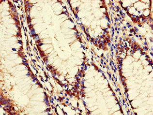
Immunohistochemistry (Formalin/PFA-fixed paraffin-embedded sections) - Anti-PANK2 antibody (AB223091)
  • IHC-P

Supplier Data

Immunohistochemistry (Formalin/PFA-fixed paraffin-embedded sections) - Anti-PANK2 antibody (AB223091)

Paraffin-embedded human colon cancer tissue stained for PANK2 using ab223091 at 1/100 dilution in immunohistochemical analysis.

Immunocytochemistry/ Immunofluorescence - Anti-PANK2 antibody (AB223091)
  • ICC/IF

Supplier Data

Immunocytochemistry/ Immunofluorescence - Anti-PANK2 antibody (AB223091)

PFA-fixed, Triton X-100 permeabilized HepG2 (human liver hepatocellular carcinoma cell line) cells stained for PANK2 (green) using ab223091 at 1/100 dilution in ICC/IF. Secondary : Alexa Fluor 488® conjugated Goat Anti-Rabbit IgG (H+L).

Western blot - Anti-PANK2 antibody (AB223091)
  • WB

Supplier Data

Western blot - Anti-PANK2 antibody (AB223091)

All lanes:

Western blot - Anti-PANK2 antibody (ab223091) at 1/500 dilution

Lane 1:

Mouse liver tissue lysate

Lane 2:

Mouse kidney tissue lysate

Secondary

All lanes:

Goat polyclonal to rabbit IgG at 1/50000 dilution

Predicted band size: 63 kDa

true

Key facts

Host species

Rabbit

Clonality

Polyclonal

Isotype

IgG

Carrier free

No

Reacts with

Mouse, Human

Applications

WB, IHC-P, ICC/IF

applications

Immunogen

Recombinant Fragment Protein within Human PANK2 aa 400-500. The exact immunogen used to generate this antibody is proprietary information.

Q9BZ23

Reactivity data

{ "title": "Reactivity Data", "filters": { "stats": ["", "Species", "Dilution Info", "Notes"], "tabs": { "all-applications": {"fullname" : "All Applications", "shortname": "All Applications"}, "WB" : {"fullname" : "Western blot", "shortname":"WB"}, "IHCP" : {"fullname" : "Immunohistochemistry (Formalin/PFA-fixed paraffin-embedded sections)", "shortname":"IHC-P"}, "ICCIF" : {"fullname" : "Immunocytochemistry/ Immunofluorescence", "shortname":"ICC/IF"} }, "product-promise": { "all": "all", "testedAndGuaranteed": "tested", "guaranteed": "expected", "predicted": "predicted", "notRecommended": "not-recommended" } }, "values": { "Human": { "WB-species-checked": "guaranteed", "WB-species-dilution-info": "", "WB-species-notes": "", "IHCP-species-checked": "testedAndGuaranteed", "IHCP-species-dilution-info": "1/20 - 1/200", "IHCP-species-notes": "<p></p>", "ICCIF-species-checked": "testedAndGuaranteed", "ICCIF-species-dilution-info": "1/50 - 1/200", "ICCIF-species-notes": "<p></p>" }, "Mouse": { "WB-species-checked": "testedAndGuaranteed", "WB-species-dilution-info": "1/500 - 1/5000", "WB-species-notes": "<p></p>", "IHCP-species-checked": "guaranteed", "IHCP-species-dilution-info": "", "IHCP-species-notes": "", "ICCIF-species-checked": "guaranteed", "ICCIF-species-dilution-info": "", "ICCIF-species-notes": "" } } }

Properties and storage information

Form
Liquid
Purification technique
Affinity purification Protein G
Purification notes
Purity >95%
Storage buffer
pH: 7.4 Preservative: 0.03% Proclin 300 Constituents: PBS, 50% Glycerol (glycerin, glycerine)
Shipped at conditions
Blue Ice
Appropriate short-term storage duration
1-2 weeks
Appropriate short-term storage conditions
+4°C
Appropriate long-term storage conditions
-20°C
Aliquoting information
Upon delivery aliquot
Storage information
Avoid freeze / thaw cycle

Product protocols

For this product, it's our understanding that no specific protocols are required. You can visit:

Target data

Isoform 1. Mitochondrial isoform that catalyzes the phosphorylation of pantothenate to generate 4'-phosphopantothenate in the first and rate-determining step of coenzyme A (CoA) synthesis (PubMed : 15659606, PubMed : 16272150, PubMed : 17242360, PubMed : 17825826). Required for angiogenic activity of umbilical vein of endothelial cells (HUVEC) (PubMed : 30221726).. Isoform 4. Cytoplasmic isoform that catalyzes the phosphorylation of pantothenate to generate 4'-phosphopantothenate in the first and rate-determining step of coenzyme A (CoA) synthesis.
See full target information PANK2

Publications (1)

Recent publications for all applications. Explore the full list and refine your search

International journal of surgery (London, England) 110:4103-4115 PubMed38549224

2024

Pulsatile flow increases METTL14-induced m 6 A modification and attenuates septic cardiomyopathy: an experimental study.

Applications

Unspecified application

Species

Unspecified reactive species

Shenyu Zhu,Kai Wang,Zhexuan Yu,Wei Tang,Yu Zhang,Shafiu A Shinge,Yongjia Qiang,Hangyu Liu,Jianfeng Zeng,Kun Qiao,Chi Liu,Guanhua Li
View all publications

Product promise

We are committed to supporting your work with high-quality reagents, and we're here for you every step of the way. In the unlikely event that one of our products does not perform as expected, you're protected by our Product Promise.
For full details, please see our Terms & Conditions

Please note: All products are 'FOR RESEARCH USE ONLY. NOT FOR USE IN DIAGNOSTIC OR THERAPEUTIC PROCEDURES'.

For licensing inquiries, please contact partnerships@abcam.com